JavaScript is disabled in your browser. Please enable JavaScript to view this website.
AB124744

Anti-IRF2 antibody [EPR4644(2)]

  • RabMAb
  • Recombinant
  • KO Validated
  • 20ul selling size
  • What is this?

4

(1 Review)

|

(20 Publications)

Anti-IRF2 antibody [EPR4644(2)] (ab124744) is a rabbit monoclonal antibody detecting IRF2 in Western Blot, IHC-P, ICC/IF. Suitable for Human, Mouse.

- KO validated for confirmed specificity
- Biophysical QC for unrivalled batch-batch consistency
- Over 10 publications

View Alternative Names

Interferon regulatory factor 2, IRF-2, IRF2

11 Images
Immunocytochemistry/ Immunofluorescence - Anti-IRF2 antibody [EPR4644(2)] (AB124744)
  • ICC/IF

Supplier Data

Immunocytochemistry/ Immunofluorescence - Anti-IRF2 antibody [EPR4644(2)] (AB124744)

Immunofluorescent analysis of 4% paraformaldehyde-fixed, 0.1% Triton X-100 permeabilized HeLa (Human epithelial cells from cervix adenocarcinoma) cells labeling IRF2 with ab124744 at 1/500 dilution, followed by Goat anti-rabbit IgG (Alexa Fluor® 488) (ab150077) secondary antibody at 1/500 dilution (green). Confocal image showing nuclear staining on HeLa cells.

The nuclear counter stain is DAPI (blue). Tubulin is detected with ab7291 (anti-Tubulin mouse mAb) at 1/1000 dilution and ab150120 (AlexaFluor®594 Goat anti-Mouse secondary) at 1/500 dilution (red).
The negative controls are as follows :
-ve control 1 : ab124744 at 1/500 dilution followed by ab150120 (AlexaFluor®594 Goat anti-Mouse secondary) at 1/500 dilution.
-ve control 2 : ab7291 (anti-Tubulin mouse mAb) at 1/1000 dilution followed by ab150077 (Alexa Fluor®488 Goat Anti-Rabbit IgG H&L) at 1/500 dilution.

Immunohistochemistry (Formalin/PFA-fixed paraffin-embedded sections) - Anti-IRF2 antibody [EPR4644(2)] (AB124744)
  • IHC-P

Supplier Data

Immunohistochemistry (Formalin/PFA-fixed paraffin-embedded sections) - Anti-IRF2 antibody [EPR4644(2)] (AB124744)

Immunohistochemistry (Formalin/PFA-fixed paraffin-embedded sections) analysis of Human cervical cancer tissue labeling IRF2 with purified ab124744 at 1/50. Heat mediated antigen retrieval was performed using Tris/EDTA buffer pH 9. Goat Anti-Rabbit IgG H&L (HRP) (ab97051) at 1/500 dilution was used as the secondary antibody. Nucleus staining on tumor cells of human cervix cancer was observed. Negative control using PBS instead of primary antibody. Counterstained with Hematoxylin.

Immunohistochemistry (Formalin/PFA-fixed paraffin-embedded sections) - Anti-IRF2 antibody [EPR4644(2)] (AB124744)
  • IHC-P

Supplier Data

Immunohistochemistry (Formalin/PFA-fixed paraffin-embedded sections) - Anti-IRF2 antibody [EPR4644(2)] (AB124744)

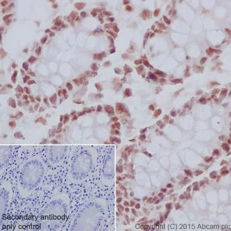
Immunohistochemistry (Formalin/PFA-fixed paraffin-embedded sections) analysis of Human colon tissue labeling IRF2 with purified ab124744 at 1/50. Heat mediated antigen retrieval was performed using Tris/EDTA buffer pH 9. Goat Anti-Rabbit IgG H&L (HRP) (ab97051) at 1/500 dilution was used as the secondary antibody. Nucleus staining on epithelium of human colon was observed. Negative control using PBS instead of primary antibody. Counterstained with Hematoxylin.

Immunohistochemistry (Formalin/PFA-fixed paraffin-embedded sections) - Anti-IRF2 antibody [EPR4644(2)] (AB124744)
  • IHC-P

Lab

Immunohistochemistry (Formalin/PFA-fixed paraffin-embedded sections) - Anti-IRF2 antibody [EPR4644(2)] (AB124744)

Immunohistochemistry (Formalin/PFA-fixed paraffin-embedded sections) analysis of human colonic carcinoma tissue labelling IRF2 with purified ab124744 at 1/50. Heat mediated antigen retrieval was performed using Tris/EDTA buffer pH 9. A prediluted HRP-polymer conjugated anti-rabbit IgG was used as the secondary antibody. Negative control using PBS instead of primary antibody. Counterstained with Hematoxylin.

Immunohistochemistry (Formalin/PFA-fixed paraffin-embedded sections) - Anti-IRF2 antibody [EPR4644(2)] (AB124744)
  • IHC-P

Supplier Data

Immunohistochemistry (Formalin/PFA-fixed paraffin-embedded sections) - Anti-IRF2 antibody [EPR4644(2)] (AB124744)

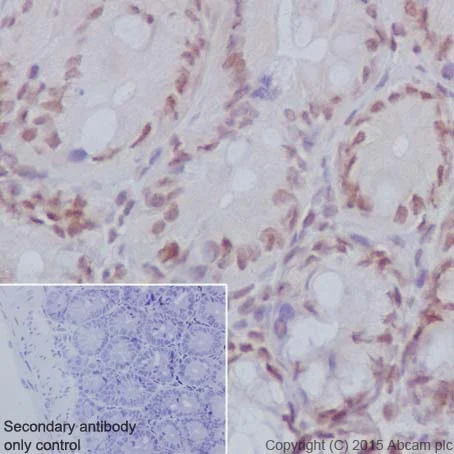
Immunohistochemistry (Formalin/PFA-fixed paraffin-embedded sections) analysis of Mouse colon tissue labeling IRF2 with purified ab124744 at 1/50. Heat mediated antigen retrieval was performed using Tris/EDTA buffer pH 9. Goat Anti-Rabbit IgG H&L (HRP) (ab97051) at 1/500 dilution was used as the secondary antibody. Nucleus staining on epithelial cells of mouse colon was observed. Negative control using PBS instead of primary antibody. Counterstained with Hematoxylin.

Western blot - Anti-IRF2 antibody [EPR4644(2)] (AB124744)
  • WB

Supplier Data

Western blot - Anti-IRF2 antibody [EPR4644(2)] (AB124744)

Blocking and Diluting buffer and concentration : 5% NFDM/TBST

All lanes:

Western blot - Anti-IRF2 antibody [EPR4644(2)] (ab124744) at 1/5000 dilution

Lane 1:

SW480 (Human colorectal adenocarcinoma cell line) at 20 µg

Lane 2:

HeLa (Human epithelial cells from cervix adenocarcinoma) at 20 µg

Lane 3:

Jurkat (Human T cell leukemia cells from peripheral blood) at 20 µg

Secondary

All lanes:

Goat Anti-Rabbit IgG, (H+L),Peroxidase conjugated at 1/1000 dilution

Predicted band size: 39 kDa

Observed band size: 50 kDa

false

Exposure time: 3min

Western blot - Anti-IRF2 antibody [EPR4644(2)] (AB124744)
  • WB

Unknown

Western blot - Anti-IRF2 antibody [EPR4644(2)] (AB124744)

Lane 1 : Wild type HAP1 whole cell lysate (20 μg)
Lane 2 : IRF2 knockout HAP1 whole cell lysate (20 μg)
Lane 3 : HeLa whole cell lysate (20 μg)
Lane 4 : CACO2 whole cell lysate (20 μg)

Lanes 1 - 4 : Merged signal (red and green). Green - ab124744 observed at 48 kDa. Red - loading control, ab18058, observed at 130 kDa.

ab124744 was shown to recognize IRF2 when IRF2 knockout samples were used, along with additional cross-reactive bands. Wild-type and IRF2 knockout samples were subjected to SDS-PAGE. ab124744 and ab18058 (Mouse anti Vinculin loading control) were incubated overnight at 4°C at 1/1000 and 1/10000 dilutions respectively. Blots were developed with Goat anti-Rabbit IgG H&L (IRDye® 800CW) ab216773 and 680CW Goat anti Mouse secondary antibodies at 1/10000 dilution for 1 hour at room temperature before imaging.

All lanes:

Western blot - Anti-IRF2 antibody [EPR4644(2)] (ab124744)

Predicted band size: 39 kDa

false

Western blot - Anti-IRF2 antibody [EPR4644(2)] (AB124744)
  • WB

Supplier Data

Western blot - Anti-IRF2 antibody [EPR4644(2)] (AB124744)

Blocking and Diluting buffer and concentration : 5% NFDM/TBST

All lanes:

Western blot - Anti-IRF2 antibody [EPR4644(2)] (ab124744) at 1/1000 dilution

Lane 1:

Caco-2 (Human colorectal adenocarcinoma cells) at 10 µg

Lane 2:

RAW 264.7 (Mouse macrophage cells transformed with Abelson murine leukemia virus) at 10 µg

Lane 3:

NIH/3T3 (Mouse embyro fibroblast cells) at 10 µg

Secondary

All lanes:

Goat Anti-Rabbit IgG, (H+L),Peroxidase conjugated at 1/1000 dilution

Predicted band size: 132 kDa,39 kDa

Observed band size: 132 kDa,50 kDa

false

Exposure time: 3min

Western blot - Anti-IRF2 antibody [EPR4644(2)] (AB124744)
  • WB

Supplier Data

Western blot - Anti-IRF2 antibody [EPR4644(2)] (AB124744)

Blocking and Diluting buffer and concentration : 5% NFDM/TBST

All lanes:

Western blot - Anti-IRF2 antibody [EPR4644(2)] (ab124744) at 1/1000 dilution

All lanes:

Human fetal lung lysate at 10 µg

Secondary

All lanes:

Anti-Rabbit IgG (HRP), specific to the non-reduced form of IgG at 1/1000 dilution

Predicted band size: 32 kDa,39 kDa

Observed band size: 32 kDa,50 kDa

false

Exposure time: 3min

OI-RD Scanning - Anti-IRF2 antibody [EPR4644(2)] (AB124744)
  • OI-RD Scanning

Unknown

OI-RD Scanning - Anti-IRF2 antibody [EPR4644(2)] (AB124744)

We have systematically measured KD (the equilibrium dissociation constant between the antibody and its antigen), of more than 840 recombinant antibodies to assess not only their individual KD values but also to see the average affinity of antibody. Based on the comparison with published literature values for mouse monoclonal antibodies, Recombinant antibodies appear to be on average 1-2 order of magnitude higher affinity.

Western blot - Anti-IRF2 antibody [EPR4644(2)] (AB124744)
  • WB

CiteAb

Western blot - Anti-IRF2 antibody [EPR4644(2)] (AB124744)

IRF2 western blot using anti-IRF2 antibody [EPR4644(2)] ab124744. Publication image and figure legend from Cheng, L., Geng, L., et al., 2018, Cell Death Dis, PubMed 29695839.

ab124744 was used in this publication in western blot. This may not be the same as the application(s) guaranteed by Abcam. For a full list of applications guaranteed by Abcam for ab124744 please see the product overview.

There was an inverse correlation between expression of let-7a cluster and IRF-1 in the inflamed livers.a ELISA assay was used to detect the expression of such pro-inflammatory factors as IFN-γ, TNF-α, and IL-1β in liver specimens and corresponding serum sampled from the mice (n = 6) with hepatitis. We found that some slight differences in the expression of those three factors in liver specimens without reaching statistical significance. However, the expression of IFN-γ (p < 0.01), TNF-α (p < 0.05), and IL-1β (p < 0.01) were significantly increased in the serum of mice with hepatitis, particularly IFN-γ (fold change = 6.55). b Total RNA was prepared from HT29 human colon carcinoma cells and CT26.WT mouse colon carcinoma cells which had been treated with different concentrations of IFN-γ. The qTR-PCR results showed that treatment with IFN-γ increased IRF-1 expression at the mRNA level in both cell lines, whereas IRF-2 expression did not show a noticeable increase. c Total proteins were extracted from the pre-treated CRC cells and analyzed in western blot studies that used antibodies against IRF-1 and IRF-2. Histone was used as a loading control. c The differential expression of IRF-1 and IRF-2 in the liver specimens was also tested using IHC methods. The levels of IRF-1, but not IRF-2, were dramatically increased in the inflamed liver specimens, and IRF-1-positive structures were located mainly in regions where metastatic tumors were present. e Results from qRT-PCR studies showed that let-7a cluster expression was dramatically downregulated in both CRC cell lines after the cells had been treated with different concentrations of IFN-γ for 48 h (p < 0.05). A two-tailed t-test was used to compare data obtained from the qRT-PCR analyses of two independent groups. Values are shown as the mean ± SD. *p < 0.05; **p < 0.001

false

  • Carrier free

    Anti-IRF2 antibody [EPR4644(2)] - BSA and Azide free

  • 578 PE

    PE Anti-IRF2 antibody [EPR4644(2)]

  • 660 APC

    APC Anti-IRF2 antibody [EPR4644(2)]

  • 617 Alexa Fluor® 594

    Alexa Fluor® 594 Anti-IRF2 antibody [EPR4644(2)]

  • 565 Alexa Fluor® 555

    Alexa Fluor® 555 Anti-IRF2 antibody [EPR4644(2)]

  • 519 Alexa Fluor® 488

    Alexa Fluor® 488 Anti-IRF2 antibody [EPR4644(2)]

  • 665 Alexa Fluor® 647

    Alexa Fluor® 647 Anti-IRF2 antibody [EPR4644(2)]

  • 775 Alexa Fluor® 750

    Alexa Fluor® 750 Anti-IRF2 antibody [EPR4644(2)]

Key facts

Host species

Rabbit

Clonality

Monoclonal

Clone number

EPR4644(2)

Isotype

IgG

Carrier free

No

Reacts with

Mouse, Human

Applications

ICC/IF, WB, IHC-P

applications

Immunogen

The exact immunogen used to generate this antibody is proprietary information.

Reactivity data

{ "title": "Reactivity Data", "filters": { "stats": ["", "Species", "Dilution Info", "Notes"], "tabs": { "all-applications": {"fullname" : "All Applications", "shortname": "All Applications"}, "WB" : {"fullname" : "Western blot", "shortname":"WB"}, "ICCIF" : {"fullname" : "Immunocytochemistry/ Immunofluorescence", "shortname":"ICC/IF"}, "IHCP" : {"fullname" : "Immunohistochemistry (Formalin/PFA-fixed paraffin-embedded sections)", "shortname":"IHC-P"} }, "product-promise": { "all": "all", "testedAndGuaranteed": "tested", "guaranteed": "expected", "predicted": "predicted", "notRecommended": "not-recommended" } }, "values": { "Human": { "WB-species-checked": "testedAndGuaranteed", "WB-species-dilution-info": "1/1000", "WB-species-notes": "<p></p>", "ICCIF-species-checked": "testedAndGuaranteed", "ICCIF-species-dilution-info": "1/500", "ICCIF-species-notes": "<p></p>", "IHCP-species-checked": "testedAndGuaranteed", "IHCP-species-dilution-info": "1/50", "IHCP-species-notes": "<p></p> Perform heat-mediated antigen retrieval with Tris/EDTA buffer pH 9.0 before commencing with IHC staining protocol." }, "Mouse": { "WB-species-checked": "testedAndGuaranteed", "WB-species-dilution-info": "1/1000", "WB-species-notes": "<p></p>", "ICCIF-species-checked": "guaranteed", "ICCIF-species-dilution-info": "", "ICCIF-species-notes": "", "IHCP-species-checked": "testedAndGuaranteed", "IHCP-species-dilution-info": "1/50", "IHCP-species-notes": "<p></p> Perform heat-mediated antigen retrieval with Tris/EDTA buffer pH 9.0 before commencing with IHC staining protocol." } } }

Product details

What is this antibody validated in?
Anti-IRF2 antibody [EPR4644(2)] (ab124744) is a rabbit recombinant monoclonal antibody and is validated for use in Western Blot (WB), Immunohistochemistry (IHC-P), Immunocytochemistry/immunofluorescence (ICC/IF) in Human, Mouse samples.

What is the molecular weight of IRF2?
Anti-IRF2 [EPR4644(2)] (ab124744) specifically detects a band for IRF2 (UniProt: P14316) at a molecular weight of 39kDa.

Trusted by the scientific community
Anti-IRF2 [EPR4644(2)] (ab124744) was first used in a scientific publication in 2012 and has been cited over 10 times in peer-reviewed journals.

Trial sizes available!
Test your antibody or perform pre-screening before committing to a larger quantity. Sold in 10µl. Discover our selection of trial-size antibodies.

Specificity confirmed
The specificity of Anti-IRF2 antibody [EPR4644(2)] (ab124744) has been confirmed by Western blot testing in IRF2 Knockout HAP1 cells.

Other related products
We have a range of other formats of antibody clone [EPR4644(2)] also available for your convenience: ab124744, Carrier free - ab229443, PE - ab318372, APC - ab318475, Alexa Fluor® 488 - ab318578, Alexa Fluor® 647 - ab318681, Alexa Fluor® 594 - ab318784, Alexa Fluor® 555 - ab318884, Alexa Fluor® 750 - ab320976

Patented technology
Our RabMAb® technology is a patented hybridoma-based technology for making rabbit monoclonal antibodies. For details on our patents, please refer to RabMAb® patents.

What are the advantages of a recombinant monoclonal antibody?
This product is a recombinant monoclonal antibody, which offers several advantages including:

  • - High batch-to-batch consistency and reproducibility
  • - Improved sensitivity and specificity
  • - Long-term security of supply
  • - Animal-free batch production

For more information, read more on recombinant antibodies.

Species reactivity
Rat: We have preliminary internal testing data to indicate this antibody may not react with this species.
Please contact us for more information.

Shipping conditions update: ambient shipping

This product will be delivered at ambient temperature instead of chilled – this is by design. Extensive stability testing confirmed that our products are suitable for shipment under ambient conditions and maintain expected quality.

Why the change?

It’s part of our commitment to more sustainable packaging solutions, with ambient deliveries using eco-friendly materials such as recyclable cardboard instead of polystyrene.

What you need to know

  • Ambient shipments come clearly marked on the delivery note.
  • No ice will be included in ambient shipments, but mixed orders (ambient and cold-chain items) will still arrive with ice packs to protect temperature-sensitive products.
  • Warranty coverage remains fully valid, aligned with our validated shipping method.
  • Please store the product as per the datasheet instructions upon receipt.

Find out more - https://www.abcam.com/en-us/support/shipping-storage-support/ambient-shipping

Properties and storage information

Form
Liquid
Purification technique
Affinity purification Protein A
Storage buffer
pH: 7.2 - 7.4 Preservative: 0.01% Sodium azide Constituents: PBS, 40% Glycerol (glycerin, glycerine), 0.05% BSA
Shipped at conditions
Conditional Ambient
Appropriate short-term storage duration
1-2 weeks
Appropriate short-term storage conditions
+4°C
Appropriate long-term storage conditions
-20°C
Aliquoting information
Upon delivery aliquot
Storage information
Stable for 12 months at -20°C

Supplementary information

This supplementary information is collated from multiple sources and compiled automatically.

The Interferon Regulatory Factor 2 (IRF2) also known as IRF-2 plays an important role in cellular processes like modulation of immune responses and regulation of gene expression. It has a molecular mass of approximately 39 kDa. IRF2 is expressed across various tissues including the immune system cells fibroblasts and epithelial cells. It can function as both a transcriptional activator and repressor depending on the context and specific gene targets.
Biological function summary

IRF2 regulates immune responses by controlling the expression of interferon (IFN) responsive genes. It acts independently and as part of transcriptional complexes binding to specific DNA sequences within target genes. Its action prevents excessive activation of immune responses maintaining a balanced immune system. IRF2 also influences cell cycle regulation contributing to its role in cell growth and differentiation.

Pathways

And several cellular communication networks IRF2 is a central figure in the interferon signaling pathway interacting with other members of the IRF family like IRF1 and IRF3. These interactions help propagate signals necessary for effective immune responses. In conjunction with the JAK-STAT pathway IRF2 modulates expressions that control antiviral responses and cellular proliferation showing its critical placement in immune response regulation.

IRF2's dysregulation has associations with cancer and autoimmune diseases. Overexpression of IRF2 is linked to certain cancers providing cells with growth advantages and resistance to apoptosis commonly in concert with proteins like STAT1. In autoimmune diseases IRF2 impacts inflammatory responses with aberrant regulation contributing to conditions like systemic lupus erythematosus. Its involvement highlights the complex nature of immune regulation and potential for targeted therapy interventions.

Product protocols

For this product, it's our understanding that no specific protocols are required. You can visit:

Target data

Specifically binds to the upstream regulatory region of type I IFN and IFN-inducible MHC class I genes (the interferon consensus sequence (ICS)) and represses those genes. Also acts as an activator for several genes including H4 and IL7. Constitutively binds to the ISRE promoter to activate IL7. Involved in cell cycle regulation through binding the site II (HiNF-M) promoter region of H4 and activating transcription during cell growth. Antagonizes IRF1 transcriptional activation.
See full target information IRF2

Publications (20)

Recent publications for all applications. Explore the full list and refine your search

Turkish journal of haematology : official journal of Turkish Society of Haematology 42:82-91 PubMed39960210

2025

The IRF2-INPP4B Pathway Aggravates Acute Myeloid Leukemia

Applications

Unspecified application

Species

Unspecified reactive species

Xiangqin Xing,Mei Zhang,Shengfen Tan,Junfeng Zhu,Jiajia Li,Pingping Zhang,Yuan Yuan,Meng Wang,Feng Zhang

Biochimica et biophysica acta. Molecular basis of disease 1871:167627 PubMed39689761

2024

Exosomal miR-184 facilitates bladder cancer progression by targeting AKR1C3 and inducing immune escape via IRF2-CXCL10 axis.

Applications

Unspecified application

Species

Unspecified reactive species

Wenwei Ying,Ying Zhao,Yuhui He,Yisen Deng,Xiaoming Gan,Peizhe Li,Xing Chen,Zhenshan Ding

Journal of experimental & clinical cancer research : CR 43:276 PubMed39354629

2024

IRF2 loss is associated with reduced MHC I pathway transcripts in subsets of most human cancers and causes resistance to checkpoint immunotherapy in human and mouse melanomas.

Applications

Unspecified application

Species

Unspecified reactive species

G Sari,K Dhatchinamoorthy,L Orellano-Ariza,L M Ferreira,M A Brehm,K Rock

Cell death & disease 15:192 PubMed38448411

2024

The RNA mA reader IGF2BP3 regulates NFAT1/IRF1 axis-mediated anti-tumor activity in gastric cancer.

Applications

Unspecified application

Species

Unspecified reactive species

Lichen Ge,Yalan Rui,Cheng Wang,Yingmin Wu,Hongsheng Wang,Junjun Wang

International journal of rheumatic diseases 26:2223-2232 PubMed37740638

2023

Genome-wide DNA methylation sequencing reveals epigenetic features and potential biomarkers of Sjögren syndrome.

Applications

Unspecified application

Species

Unspecified reactive species

Ding-Qi Lu,Xin-Yi Yao,Ya-Ting Ren,Kai-Yuan Zhang,Xin-Chao Zhu,Tao Hong,Xue Yu,Zhi-Min Xie,Li-Ying Chen,Xin-Chang Wang

Analytical cellular pathology (Amsterdam) 2023:4024887 PubMed37621743

2023

Mesenchymal Stem Cell-Derived Exosomal miRNA-222-3p Increases Th1/Th2 Ratio and Promotes Apoptosis of Acute Myeloid Leukemia Cells.

Applications

Unspecified application

Species

Unspecified reactive species

Yuan Yuan,Shengfen Tan,Huanhuan Wang,Junfeng Zhu,Jiajia Li,Pingping Zhang,Meng Wang,Feng Zhang

Immunity 55:2369-2385.e10 PubMed36370712

2022

The transcription factor IRF2 drives interferon-mediated CD8 T cell exhaustion to restrict anti-tumor immunity.

Applications

Unspecified application

Species

Unspecified reactive species

Sabelo Lukhele,Diala Abd Rabbo,Mengdi Guo,Jian Shen,Heidi J Elsaesser,Rene Quevedo,Madeleine Carew,Ramy Gadalla,Laura M Snell,Lawanya Mahesh,M Teresa Ciudad,Bryan E Snow,Annick You-Ten,Jillian Haight,Andrew Wakeham,Pamela S Ohashi,Tak W Mak,Weiguo Cui,Tracy L McGaha,David G Brooks

Journal of oncology 2022:9973519 PubMed36199790

2022

IRF2 Destabilizes Oncogenic KPNA2 to Modulate the Development of Osteosarcoma.

Applications

Unspecified application

Species

Unspecified reactive species

Shuchi Xia,Yiqun Ma

Drug design, development and therapy 15:5123-5132 PubMed34992348

2021

Downregulation of IRF2 Alleviates Sepsis-Related Acute Kidney Injury in vitro and in vivo.

Applications

Unspecified application

Species

Unspecified reactive species

Yanyan Zhang,Yun Zhang,Aixiang Yang,Fei Xia

Clinical and translational medicine 11:e429 PubMed34185419

2021

IRF2-mediated upregulation of lncRNA HHAS1 facilitates the osteogenic differentiation of bone marrow-derived mesenchymal stem cells by acting as a competing endogenous RNA.

Applications

Unspecified application

Species

Unspecified reactive species

Guiwen Ye,Peng Wang,Zhongyu Xie,Jinteng Li,Guan Zheng,Wenjie Liu,Qian Cao,Ming Li,Shuizhong Cen,Zhaofeng Li,Wenhui Yu,Yanfeng Wu,Huiyong Shen
View all publications

Product promise

We are committed to supporting your work with high-quality reagents, and we're here for you every step of the way. In the unlikely event that one of our products does not perform as expected, you're protected by our Product Promise.
For full details, please see our Terms & Conditions

Please note: All products are 'FOR RESEARCH USE ONLY. NOT FOR USE IN DIAGNOSTIC OR THERAPEUTIC PROCEDURES'.

For licensing inquiries, please contact partnerships@abcam.com