JavaScript is disabled in your browser. Please enable JavaScript to view this website.
AB76409

Anti-IRF3 antibody [EP2419Y]

  • BOND RX™ Validated
  • 20ul selling size
  • RabMAb
  • Recombinant
  • KO Validated
  • What is this?

1

(1 Review)

|

(30 Publications)

Rabbit Recombinant Monoclonal IRF3 antibody. Suitable for IHC-P, IP, WB, Flow Cyt (Intra) and reacts with Human samples. Cited in 30 publications.

View Alternative Names

Interferon regulatory factor 3, IRF-3, IRF3

7 Images
Flow Cytometry (Intracellular) - Anti-IRF3 antibody [EP2419Y] (AB76409)
  • Flow Cyt (Intra)

Lab

Flow Cytometry (Intracellular) - Anti-IRF3 antibody [EP2419Y] (AB76409)

Intracellular Flow Cytometry analysis of HeLa (Human cervix adenocarcinoma epithelial cell) cells labeling IRF3 with Purified 76409 at 1/20 dilution (10 μg/ml) (Red). Cells were fixed with 4% Paraformaldehyde and permeabilised with 90% Methanol. A Goat anti rabbit IgG (Alexa Fluor® 488, ab150077) secondary antibody was used at 1/2000. Isotype control - Rabbit monoclonal IgG (Black). Unlabeled control - Cell without incubation with primary antibody and secondary antibody (Blue).

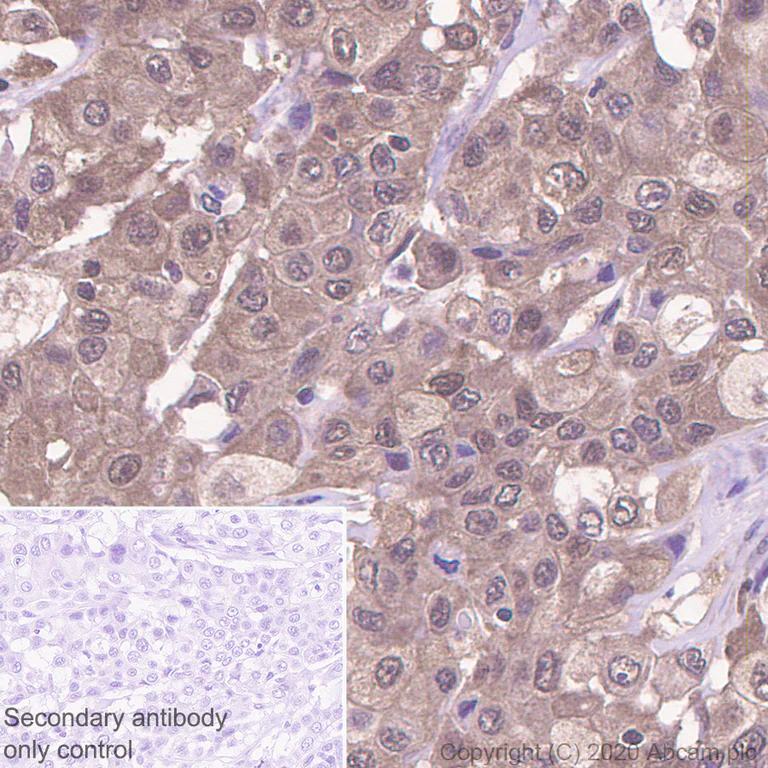
Immunohistochemistry (Formalin/PFA-fixed paraffin-embedded sections) - Anti-IRF3 antibody [EP2419Y] (AB76409)
  • IHC-P

Lab

Immunohistochemistry (Formalin/PFA-fixed paraffin-embedded sections) - Anti-IRF3 antibody [EP2419Y] (AB76409)

Immunohistochemistry (Formalin/PFA-fixed paraffin-embedded sections) analysis of human bladder carcinoma tissue sections labeling IRF3 with Purified 76409 at 1 : 100 dilution (1.55 µg/ml). Heat mediated antigen retrieval using Bond™ Epitope Retrieval Solution 2 (pH 9.0) . Rabbit specific IHC polymer detection kit HRP/DAB (ab209101) was used as the secondary antibody. Negative control : PBS instead of the primary antibody. Hematoxylin was used as a counterstain.

Immunoprecipitation - Anti-IRF3 antibody [EP2419Y] (AB76409)
  • IP

Lab

Immunoprecipitation - Anti-IRF3 antibody [EP2419Y] (AB76409)

Purified ab76409 at 1/20 dilution (0.8μg) immunoprecipitating IRF3 in HeLa whole cell lysate.
Lane 1 (input) : HeLa (Human cervix adenocarcinoma epithelial cell) whole cell lysate 10μg
Lane 2 (+) : ab76409 + HeLa whole cell lysate.
Lane 3 (-) : Rabbit monoclonal IgG (ab172730) instead of ab76409 in HeLa whole cell lysate.
VeriBlot for IP Detection Reagent (HRP) (ab131366) (1/1000 dilution) was used for Western blotting.
Blocking Buffer and concentration : 5% NFDM/TBST.
Diluting buffer and concentration : 5% NFDM/TBST.
Observed band size : 47 kDa
Fresh lysate need to be used to avoid protein degradation.

All lanes:

Immunoprecipitation - Anti-IRF3 antibody [EP2419Y] (ab76409)

Predicted band size: 47 kDa

false

Western blot - Anti-IRF3 antibody [EP2419Y] (AB76409)
  • WB

Unknown

Western blot - Anti-IRF3 antibody [EP2419Y] (AB76409)

We are unsure how to define the extra bands.

All lanes:

Western blot - Anti-IRF3 antibody [EP2419Y] (ab76409) at 1/1000 dilution

Lane 1:

HeLa (Human cervix adenocarcinoma epithelial cell) whole cell lysate at 20 µg

Lane 2:

Jurkat (Human T cell leukemia T lymphocyte) whole cell lysate at 20 µg

Lane 3:

U-937 (Human histiocytic lymphoma monocyte) whole cell lysate at 20 µg

Lane 4:

THP-1 (Human monocytic leukemia monocyte) whole cell lysate at 20 µg

Lane 5:

Daudi (Human Burkitt's lymphoma lymphoblast) whole cell lysate at 20 µg

Secondary

All lanes:

Goat Anti-Rabbit IgG (HRP) with minimal cross-reactivity with human IgG at 1/2000 dilution

Predicted band size: 47 kDa

false

Western blot - Anti-IRF3 antibody [EP2419Y] (AB76409)
  • WB

Lab

Western blot - Anti-IRF3 antibody [EP2419Y] (AB76409)

Lanes 1 - 2 : Merged signal (red and green). Green - ab76409 observed at 50 kDa. Red - loading control ab8245 (Mouse anti-GAPDH antibody [6C5]) observed at 37kDa.

ab76409 was shown to react with IRF3 in wild-type A549 cells in western blot with loss of signal observed in IRF3 knockout cell line ab267097 (IRF3 knockout cell lysate ab256953). Wild-type and IRF3 knockout A549 cell lysates were subjected to SDS-PAGE. Membranes were blocked in 3% milk in TBS-T (0.1% Tween®) before incubation with ab76409 and ab8245 (Mouse anti-GAPDH antibody [6C5]) overnight at 4°C at a 1 in 1000 dilution and a 1 in 20000 dilution respectively. Blots were incubated with Goat anti-Rabbit IgG H&L (IRDye® 800CW) preabsorbed (ab216773) and Goat anti-Mouse IgG H&L (IRDye® 680RD) preabsorbed (ab216776) secondary antibodies at 1 in 20000 dilution for 1 hour at room temperature before imaging.

All lanes:

Western blot - Anti-IRF3 antibody [EP2419Y] (ab76409) at 1/1000 dilution

Lane 1:

Wild-type A549 cell lysate at 20 µg

Lane 2:

IRF3 knockout A549 cell lysate at 20 µg

Lane 2:

Western blot - Human IRF3 knockout A549 cell line (<a href='/en-us/products/cell-lines/human-irf3-knockout-a549-cell-line-ab267097'>ab267097</a>)

Predicted band size: 47 kDa

Observed band size: 50 kDa

false

Western blot - Anti-IRF3 antibody [EP2419Y] (AB76409)
  • WB

Lab

Western blot - Anti-IRF3 antibody [EP2419Y] (AB76409)

Lanes 1 - 4 : Merged signal (red and green). Green - ab76409 observed at 50 kDa. Red - loading control, ab8245 observed at 37 kDa.

ab76409 was shown to react with IRF3 in wild-type HeLa. Loss of signal was observed when knockout cell line ab255345 (knockout cell lysate ab263784) was used. Wild-type and IRF3 knockout samples were subjected to SDS-PAGE. ab76409 and Anti-GAPDH antibody [6C5] - Loading Control (ab8245) were incubated overnight at 4°C at 1 in 1000 dilution and 1 in 20000 dilution respectively. Blots were developed with Goat anti-Rabbit IgG H&L (IRDye® 800CW) preadsorbed (ab216773) and Goat anti-Mouse IgG H&L (IRDye® 680RD) preadsorbed (ab216776) secondary antibodies at 1 in 20000 dilution for 1 hour at room temperature before imaging.

All lanes:

Western blot - Anti-IRF3 antibody [EP2419Y] (ab76409) at 1/1000 dilution

Lane 1:

Jurkat cell lysate at 20 µg

Lane 2:

MCF7 cell lysate at 20 µg

Lane 2:

Western blot - Human IRF3 knockout HeLa cell line (<a href='/en-us/products/cell-lines/human-irf3-knockout-hela-cell-line-ab255345'>ab255345</a>)

Lane 3:

Wild-type HeLa cell lysate at 20 µg

Lane 4:

IRF3 knockout HeLa cell lysate at 20 µg

Secondary

All lanes:

Western blot - Goat anti-Rabbit IgG H&L (IRDye® 800CW) preadsorbed (<a href='/en-us/products/secondary-antibodies/goat-rabbit-igg-h-l-irdye-800cw-preadsorbed-ab216773'>ab216773</a>) at 1/20000 dilution

Predicted band size: 47 kDa

Observed band size: 47 kDa,50 kDa

false

Western blot - Anti-IRF3 antibody [EP2419Y] (AB76409)
  • WB

Unknown

Western blot - Anti-IRF3 antibody [EP2419Y] (AB76409)

Lanes 1 - 4 : Merged signal (red and green). Green - ab76409 observed at 50 kDa. Red - loading control, ab8245, observed at 37kDa.

ab76409 was shown to react with IRF3 in wild-type HAP1 cells alond with additional cross-reactive bands. No band was observed when IRF3 knockout samples were used. Wild-type and IRF3 knockout samples were subjected to SDS-PAGE. ab76409 and ab8245 (loading control to GAPDH) were both diluted 1/1000 and 1/10,000 respectively and incubated overnight at 4°C. Blots were developed with Goat anti-Rabbit IgG H&L (IRDye® 800CW) preadsorbed (ab216773) and Goat anti-Mouse IgG H&L (IRDye® 680RD) preadsorbed (ab216776) secondary antibodies at 1/10,000 dilution for 1 hour at room temperature before imaging.

All lanes:

Western blot - Anti-IRF3 antibody [EP2419Y] (ab76409) at 1/1000 dilution

Lane 1:

Wild-type HAP1 cell lysate at 20 µg

Lane 2:

IRF3 knockout HAP1 cell lysate at 20 µg

Lane 3:

HeLa cell lysate at 20 µg

Lane 4:

Jurkat cell lysate at 20 µg

Predicted band size: 47 kDa

false

  • Carrier free

    Anti-IRF3 antibody [EP2419Y] - BSA and Azide free

Key facts

Host species

Rabbit

Clonality

Monoclonal

Clone number

EP2419Y

Isotype

IgG

Carrier free

No

Reacts with

Human

Applications

WB, Flow Cyt (Intra), IP, IHC-P

applications

Immunogen

The exact immunogen used to generate this antibody is proprietary information.

Reactivity data

{ "title": "Reactivity Data", "filters": { "stats": ["", "Species", "Dilution Info", "Notes"], "tabs": { "all-applications": {"fullname" : "All Applications", "shortname": "All Applications"}, "IHCP" : {"fullname" : "Immunohistochemistry (Formalin/PFA-fixed paraffin-embedded sections)", "shortname":"IHC-P"}, "ICCIF" : {"fullname" : "Immunocytochemistry/ Immunofluorescence", "shortname":"ICC/IF"}, "IP" : {"fullname" : "Immunoprecipitation", "shortname":"IP"}, "WB" : {"fullname" : "Western blot", "shortname":"WB"}, "FlowCytIntra" : {"fullname" : "Flow Cytometry (Intracellular)", "shortname":"Flow Cyt (Intra)"} }, "product-promise": { "all": "all", "testedAndGuaranteed": "tested", "guaranteed": "expected", "predicted": "predicted", "notRecommended": "not-recommended" } }, "values": { "Human": { "IHCP-species-checked": "testedAndGuaranteed", "IHCP-species-dilution-info": "1/100 - 1/250", "IHCP-species-notes": "<p></p> Perform heat-mediated antigen retrieval via the pressure cooker method before commencing with IHC staining protocol.", "ICCIF-species-checked": "notRecommended", "ICCIF-species-dilution-info": "", "ICCIF-species-notes": "<p></p>", "IP-species-checked": "testedAndGuaranteed", "IP-species-dilution-info": "1/20", "IP-species-notes": "<p></p>", "WB-species-checked": "testedAndGuaranteed", "WB-species-dilution-info": "1/1000 - 1/2000", "WB-species-notes": "<p></p>", "FlowCytIntra-species-checked": "testedAndGuaranteed", "FlowCytIntra-species-dilution-info": "1/20", "FlowCytIntra-species-notes": "<p><a href='/en-us/products/primary-antibodies/rabbit-igg-monoclonal-epr25a-isotype-control-ab172730'>ab172730</a> - Rabbit monoclonal IgG, is suitable for use as an isotype control with this antibody.</p>" } } }

Product details

Species reactivity
Mouse, Rat: We have preliminary internal testing data to indicate this antibody may not react with these species.
Please contact us for more information.

Patented technology
Our RabMAb® technology is a patented hybridoma-based technology for making rabbit monoclonal antibodies. For details on our patents, please refer to RabMAb® patents.

What are the advantages of a recombinant monoclonal antibody?
This product is a recombinant monoclonal antibody, which offers several advantages including:

  • - High batch-to-batch consistency and reproducibility
  • - Improved sensitivity and specificity
  • - Long-term security of supply
  • - Animal-free batch production

For more information, read more on recombinant antibodies.

Properties and storage information

Form
Liquid
Purification technique
Affinity purification Protein A
Storage buffer
pH: 7.2 - 7.4 Preservative: 0.01% Sodium azide Constituents: PBS, 40% Glycerol (glycerin, glycerine), 0.05% BSA
Shipped at conditions
Blue Ice
Appropriate short-term storage conditions
+4°C
Appropriate long-term storage conditions
-20°C
Aliquoting information
Upon delivery aliquot
Storage information
Avoid freeze / thaw cycle

Supplementary information

This supplementary information is collated from multiple sources and compiled automatically.

IRF3 also known as Interferon Regulatory Factor 3 acts as an important transcription factor in the immune response. It has a molecular weight of approximately 47 kDa. The IRF3 protein is mainly expressed in the cytoplasm and nucleus of various cell types including immune cells such as macrophages and dendritic cells. The protein becomes activated through phosphorylation a process frequently identified in its phosphorylated form phospo-IRF3 or p-IRF3 which facilitates its role in immune function.
Biological function summary

IRF3 participates in the regulation of type I interferon (IFN) response a fundamental antiviral defense mechanism. IRF3 when phosphorylated forms a complex with CBP/p300 which then translocates to the nucleus to drive the expression of IFN-stimulated genes. This action strengthens the innate immune response and boosts the body's ability to counteract viral infections. Its activity and regulation are significant for maintaining a balanced immune response without excessive inflammation.

Pathways

IRF3 is involved in the Toll-like receptor (TLR) and RIG-I-like receptor (RLR) signaling pathways both essential in pathogen recognition and response. Within these pathways IRF3 interacts with proteins such as MAVS and TBK1 to propagate immune signaling. The activation of IRF3 in these pathways results in the production of type I interferons and other cytokines orchestrating an effective antiviral response. These interactions highlight the protein's central role in mediating immune signaling cascades.

IRF3's malfunction or deregulation can contribute to autoimmune diseases and antiviral deficiencies. Conditions such as systemic lupus erythematosus (SLE) and chronic hepatitis B infection are linked to IRF3 activity. During autoimmune responses or viral persistence the aberrant activation of IRF3 can lead to inappropriate immune responses. The connection with proteins like STAT1 in these conditions highlights the complex network IRF3 engages in facilitating its impact on disease progression and immune dysregulation.

Product protocols

For this product, it's our understanding that no specific protocols are required. You can visit:

Target data

Key transcriptional regulator of type I interferon (IFN)-dependent immune responses which plays a critical role in the innate immune response against DNA and RNA viruses (PubMed : 22394562, PubMed : 24049179, PubMed : 25636800, PubMed : 27302953, PubMed : 31340999, PubMed : 36603579, PubMed : 8524823, PubMed : 39362857). Regulates the transcription of type I IFN genes (IFN-alpha and IFN-beta) and IFN-stimulated genes (ISG) by binding to an interferon-stimulated response element (ISRE) in their promoters (PubMed : 11846977, PubMed : 16846591, PubMed : 16979567, PubMed : 20049431, PubMed : 32972995, PubMed : 36603579, PubMed : 8524823). Acts as a more potent activator of the IFN-beta (IFNB) gene than the IFN-alpha (IFNA) gene and plays a critical role in both the early and late phases of the IFNA/B gene induction (PubMed : 16846591, PubMed : 16979567, PubMed : 20049431, PubMed : 36603579). Found in an inactive form in the cytoplasm of uninfected cells and following viral infection, double-stranded RNA (dsRNA), or toll-like receptor (TLR) signaling, is phosphorylated by IKBKE and TBK1 kinases (PubMed : 22394562, PubMed : 25636800, PubMed : 27302953, PubMed : 36603579). This induces a conformational change, leading to its dimerization and nuclear localization and association with CREB binding protein (CREBBP) to form dsRNA-activated factor 1 (DRAF1), a complex which activates the transcription of the type I IFN and ISG genes (PubMed : 16154084, PubMed : 27302953, PubMed : 33440148, PubMed : 36603579). Can activate distinct gene expression programs in macrophages and can induce significant apoptosis in primary macrophages (PubMed : 16846591). In response to Sendai virus infection, is recruited by TOMM70 : HSP90AA1 to mitochondrion and forms an apoptosis complex TOMM70 : HSP90AA1 : IRF3 : BAX inducing apoptosis (PubMed : 25609812). Key transcription factor regulating the IFN response during SARS-CoV-2 infection (PubMed : 33440148).
See full target information IRF3

Publications (30)

Recent publications for all applications. Explore the full list and refine your search

iScience 28:113046 PubMed40717771

2025

Malaria-derived hemozoin skews dendritic cell responses to bacterial infections by reducing interferon gene-transcription by SWI/SNF-NuRD.

Applications

Unspecified application

Species

Unspecified reactive species

Gintare Lasaviciute,Kanwal Tariq,Anaswara Sugathan,Jaclyn Quin,Mareike Polenkowski,Ioana Bujila,Oleksii Skorokhod,Marita Troye-Blomberg,Eva Sverremark-Ekström,Ann-Kristin Östlund Farrants

Cell communication and signaling : CCS 23:306 PubMed40597187

2025

Phosphorylated IRF3 promotes GSDME-mediated pyroptosis through RIPK1/FADD/caspase-8 complex formation during mitotic arrest in ovarian cancer.

Applications

Unspecified application

Species

Unspecified reactive species

Wenjian Gong,Dongchen Zhou,Qiuyang Xu,Linghui Wang,Mengshi Luo,Yuewen Zhang,Zhiqi Liao,Fan Xiong,Guangnian Zhao,Bingbing Zhao,Qinglei Gao,Yong Fang

Cell biology and toxicology 41:82 PubMed40335763

2025

ELF4 improves sepsis-induced myocardial injury by regulating STING signaling-mediated T cells differentiation.

Applications

Unspecified application

Species

Unspecified reactive species

Yawen Zheng,Xiongjun Peng,Yusha Zhang,Ruilin Liu,Junke Long

Human molecular genetics 33:1555-1566 PubMed38796715

2024

Mutations in the non-catalytic polyproline motif destabilize TREX1 and amplify cGAS-STING signaling.

Applications

Unspecified application

Species

Unspecified reactive species

Abraham Shim,Xiaohan Luan,Wen Zhou,Yanick J Crow,John Maciejowski

Nucleic acids research 52:5698-5719 PubMed38587186

2024

ARID1A regulates DNA repair through chromatin organization and its deficiency triggers DNA damage-mediated anti-tumor immune response.

Applications

Unspecified application

Species

Unspecified reactive species

Ali Bakr,Giuditta Della Corte,Olivera Veselinov,Simge Kelekçi,Mei-Ju May Chen,Yu-Yu Lin,Gianluca Sigismondo,Marika Iacovone,Alice Cross,Rabail Syed,Yunhee Jeong,Etienne Sollier,Chun-Shan Liu,Pavlo Lutsik,Jeroen Krijgsveld,Dieter Weichenhan,Christoph Plass,Odilia Popanda,Peter Schmezer

Life science alliance 6: PubMed37553253

2023

IKBKB reduces huntingtin aggregation by phosphorylating serine 13 via a non-canonical IKK pathway.

Applications

Unspecified application

Species

Unspecified reactive species

Cristina Cariulo,Paola Martufi,Margherita Verani,Leticia Toledo-Sherman,Ramee Lee,Celia Dominguez,Lara Petricca,Andrea Caricasole

Cancers 15: PubMed36980689

2023

Inhibition of IDH3α Enhanced the Efficacy of Chemoimmunotherapy by Regulating Acidic Tumor Microenvironments.

Applications

Unspecified application

Species

Unspecified reactive species

Lingling Zhang,Yang Song,Xiaoyan Dai,Wenwen Xu,Mengxia Li,Yuxi Zhu

Viruses 15: PubMed36851534

2023

Obesity Induces an Impaired Placental Antiviral Immune Response in Pregnant Women Infected with Zika Virus.

Applications

Unspecified application

Species

Unspecified reactive species

Anna Cláudia Calvielli Castelo Branco,Emily Araujo De Oliveira,Nátalli Zanete Pereira,Ricardo Wesley Alberca,Amaro Nunes Duarte-Neto,Luiz Fernando Ferraz Da Silva,Fernanda Guedes Luiz,Naiura Vieira Pereira,Mirian Nacagami Sotto,Naiara Naiana Dejani,Patrícia Helen Carvalho Rondó,Elyzabeth Avvad-Portari,Zilton Farias Meira De Vasconcelos,Alberto José da Silva Duarte,Tamiris Azamor,Maria Notomi Sato

Frontiers in cardiovascular medicine 9:791143 PubMed36082118

2022

MAGI1 inhibits interferon signaling to promote influenza A infection.

Applications

Unspecified application

Species

Unspecified reactive species

Yin Wang,Jun-Ichi Abe,Khanh M Chau,Yongxing Wang,Hang Thi Vu,Loka Reddy Velatooru,Fahad Gulraiz,Masaki Imanishi,Venkata S K Samanthapudi,Minh T H Nguyen,Kyung Ae Ko,Ling-Ling Lee,Tamlyn N Thomas,Elizabeth A Olmsted-Davis,Sivareddy Kotla,Keigi Fujiwara,John P Cooke,Di Zhao,Scott E Evans,Nhat-Tu Le

Gut microbes 14:2045046 PubMed35258405

2022

Gut commensal induces atypical memory-like phenotype in human dendritic cells in vitro.

Applications

Unspecified application

Species

Unspecified reactive species

Gintare Lasaviciute,Myriam Barz,Marieke van der Heiden,Claudia Arasa,Kanwal Tariq,Jaclyn Quin,Ann-Kristin Östlund Farrants,Eva Sverremark-Ekström
View all publications

Product promise

We are committed to supporting your work with high-quality reagents, and we're here for you every step of the way. In the unlikely event that one of our products does not perform as expected, you're protected by our Product Promise.
For full details, please see our Terms & Conditions

Please note: All products are 'FOR RESEARCH USE ONLY. NOT FOR USE IN DIAGNOSTIC OR THERAPEUTIC PROCEDURES'.

For licensing inquiries, please contact partnerships@abcam.com