JavaScript is disabled in your browser. Please enable JavaScript to view this website.
AB201809

Anti-IRF3 antibody [EPR2418Y] - BSA and Azide free

4

(1 Review)

|

(2 Publications)

Rabbit Recombinant Monoclonal IRF3 antibody. Carrier free. Suitable for WB, ICC/IF, Flow Cyt (Intra), IHC-P and reacts with Human, Mouse samples. Cited in 2 publications.

View Alternative Names

Interferon regulatory factor 3, IRF-3, IRF3

9 Images
Western blot - Anti-IRF3 antibody [EPR2418Y] - BSA and Azide free (AB201809)
  • WB

Lab

Western blot - Anti-IRF3 antibody [EPR2418Y] - BSA and Azide free (AB201809)

This data was developed using the same antibody clone in a different buffer formulation (ab68481).

Lanes 1 - 2 : Merged signal (red and green). Green - ab68481 observed at 50 kDa. Red - loading control ab8245 (Mouse anti-GAPDH antibody [6C5]) observed at 37kDa.

ab68481 was shown to react with IRF3 in wild-type A549 cells in western blot with loss of signal observed in IRF3 knockout cell line ab267097 (IRF3 knockout cell lysate ab256953). Wild-type and IRF3 knockout A549 cell lysates were subjected to SDS-PAGE. Membranes were blocked in 3% milk in TBS-T (0.1% Tween®) before incubation with ab68481 and ab8245 (Mouse anti-GAPDH antibody [6C5]) overnight at 4°C at a 1 in 1000 dilution and a 1 in 20000 dilution respectively. Blots were incubated with Goat anti-Rabbit IgG H&L (IRDye® 800CW) preabsorbed (ab216773) and Goat anti-Mouse IgG H&L (IRDye® 680RD) preabsorbed (ab216776) secondary antibodies at 1 in 20000 dilution for 1 hour at room temperature before imaging.

All lanes:

Western blot - Anti-IRF3 antibody [EPR2418Y] (<a href='/en-us/products/primary-antibodies/irf3-antibody-epr2418y-ab68481'>ab68481</a>) at 1/1000 dilution

Lane 1:

Wild-type A549 cell lysate at 20 µg

Lane 2:

IRF3 knockout A549 cell lysate at 20 µg

Lane 2:

Western blot - Human IRF3 knockout A549 cell line (<a href='/en-us/products/cell-lines/human-irf3-knockout-a549-cell-line-ab267097'>ab267097</a>)

Predicted band size: 47 kDa

Observed band size: 50 kDa

false

Flow Cytometry (Intracellular) - Anti-IRF3 antibody [EPR2418Y] - BSA and Azide free (AB201809)
  • Flow Cyt (Intra)

Unknown

Flow Cytometry (Intracellular) - Anti-IRF3 antibody [EPR2418Y] - BSA and Azide free (AB201809)

Intracellular Flow Cytometry analysis of 2% paraformaldehyde fixed U937 (Human histiocytic lymphoma cells) cells labeling IRF3 with ab68481 at 1/160 dilution (red line). Secondary antibody used is a goat anti rabbit IgG (FITC) at 1/150 dilution. The isotype control is rabbit monoclonal IgG (black line). The unlabeled control is cells without incubation with primary and secondary antibodies (blue line).

This data was developed using the same antibody clone in a different buffer formulation containing PBS, BSA, glycerol, and sodium azide (ab68481).

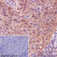
Immunohistochemistry (Formalin/PFA-fixed paraffin-embedded sections) - Anti-IRF3 antibody [EPR2418Y] - BSA and Azide free (AB201809)
  • IHC-P

Unknown

Immunohistochemistry (Formalin/PFA-fixed paraffin-embedded sections) - Anti-IRF3 antibody [EPR2418Y] - BSA and Azide free (AB201809)

Immunohistochemical analysis of paraffin-embedded Human squamous cell carcinoma of cervix labeling IRF3 with ab68481at 1/500 dilution, followed by prediluted HRP Polymer for Rabbit/Mouse IgG. The negative control utilised PBS instead of primary antibody. Counter stained with Hematoxylin.

Perform heat mediated antigen retrieval with Tris/EDTA buffer pH 9.0 before commencing with IHC staining protocol.

This data was developed using the same antibody clone in a different buffer formulation containing PBS, BSA, glycerol, and sodium azide (ab68481).

Flow Cytometry (Intracellular) - Anti-IRF3 antibody [EPR2418Y] - BSA and Azide free (AB201809)
  • Flow Cyt (Intra)

Unknown

Flow Cytometry (Intracellular) - Anti-IRF3 antibody [EPR2418Y] - BSA and Azide free (AB201809)

Overlay histogram showing HAP1 wildtype (green line) and HAP1-IRF3 knockout cells (red line) stained with ab68481. The cells were fixed with 80% methanol (5 min) (left pannel) or 4% formaldehyde (10 min) (right pannel), and then permeabilized with 0.1% PBS-Triton X-100 for 15 min. The cells were then incubated in 1x PBS / 10% normal goat serum to block non-specific protein-protein interactions followed by the antibody (ab68481, 0.1μg/ml) for 30 min at 22°C. The secondary antibody used was Alexa Fluor® 488 goat anti-rabbit IgG (H&L) presorbed (ab150081) at 1/2000 dilution for 30 min at 22°C. A rabbit IgG isotype control antibody (ab172730) was used at the same concentration and conditions as the primary antibody (HAP1 wildtype - black line, HAP1-IRF3 knockout - grey line). Unlabelled sample was also used as a control (this line is not shown for the purpose of simplicity). Acquisition of >5,000 events were collected using a 50 mW Blue laser (488nm) and 530/30 bandpass filter.

Note : We recommend fixing cells using MeOH instead of PFA to get optimal results.

This data was developed using the same antibody clone in a different buffer formulation containing PBS, BSA, glycerol, and sodium azide (ab68481).

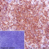
Immunohistochemistry (Formalin/PFA-fixed paraffin-embedded sections) - Anti-IRF3 antibody [EPR2418Y] - BSA and Azide free (AB201809)
  • IHC-P

Unknown

Immunohistochemistry (Formalin/PFA-fixed paraffin-embedded sections) - Anti-IRF3 antibody [EPR2418Y] - BSA and Azide free (AB201809)

Immunohistochemical analysis of paraffin-embedded Mouse spleen labeling IRF3 with ab68481at 1/500 dilution, followed by prediluted HRP Polymer for Rabbit/Mouse IgG. The negative control utilised PBS instead of primary antibody. Counter stained with Hematoxylin.

Perform heat mediated antigen retrieval with Tris/EDTA buffer pH 9.0 before commencing with IHC staining protocol.

This data was developed using the same antibody clone in a different buffer formulation containing PBS, BSA, glycerol, and sodium azide (ab68481).

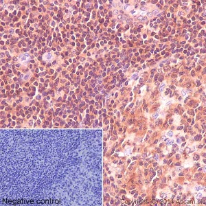
Immunohistochemistry (Formalin/PFA-fixed paraffin-embedded sections) - Anti-IRF3 antibody [EPR2418Y] - BSA and Azide free (AB201809)
  • IHC-P

Unknown

Immunohistochemistry (Formalin/PFA-fixed paraffin-embedded sections) - Anti-IRF3 antibody [EPR2418Y] - BSA and Azide free (AB201809)

Immunohistochemical analysis of paraffin-embedded Human tonsil labeling IRF3 with ab68481at 1/500 dilution, followed by prediluted HRP Polymer for Rabbit/Mouse IgG. The negative control utilised PBS instead of primary antibody. Counter stained with Hematoxylin.

Perform heat mediated antigen retrieval with Tris/EDTA buffer pH 9.0 before commencing with IHC staining protocol.

This data was developed using the same antibody clone in a different buffer formulation containing PBS, BSA, glycerol, and sodium azide (ab68481).

Immunocytochemistry/ Immunofluorescence - Anti-IRF3 antibody [EPR2418Y] - BSA and Azide free (AB201809)
  • ICC/IF

Unknown

Immunocytochemistry/ Immunofluorescence - Anti-IRF3 antibody [EPR2418Y] - BSA and Azide free (AB201809)

Immunofluorescent analysis of 4% paraformaldehyde-fixed, 0.1% Triton X-100 permeabilized HeLa (Human epithelial cells from cervix adenocarcinoma) cells labeling IRF3 with ab68481 at 1/100 dilution. Goat anti-rabbit IgG (Alexa Fluor® 488) (ab150077) at 1/400 dilution was used as the secondary antibody (green). The confocal image shows cytoplasmic on HeLa cells. The nuclear counter stain is DAPI (blue). Tubulin is detected with ab7291 (anti-Tubulin mouse mAb) at 1/500 and ab150120 (AlexaFluor®594 Goat anti-Mouse secondary) at 1/500 dilution (red).
The negative controls are as follows;
1. ab68481 at 1/100 dilution followed by ab150120 (AlexaFluor®594 Goat anti-Mouse secondary) at 1/500 dilution.
2. ab7291 (anti-Tubulin mouse mAb) at 1/500 dilution followed by ab150077 (Alexa Fluor®488 Goat Anti-Rabbit IgG H&L) at 1/400 dilution.

This data was developed using the same antibody clone in a different buffer formulation containing PBS, BSA, glycerol, and sodium azide (ab68481).

Western blot - Anti-IRF3 antibody [EPR2418Y] - BSA and Azide free (AB201809)
  • WB

Lab

Western blot - Anti-IRF3 antibody [EPR2418Y] - BSA and Azide free (AB201809)

This data was developed using the same antibody clone in a different buffer formulation (ab68481).

Lanes 1 - 2 : Merged signal (red and green). Green - ab68481 observed at 50 kDa. Red - loading control ab8245 (Mouse anti-GAPDH antibody [6C5]) observed at 37kDa.

ab68481 was shown to react with IRF3 in wild-type A549 cells in western blot with loss of signal observed in IRF3 knockout cell line ab267098 (IRF3 knockout cell lysate ab256954). Wild-type and IRF3 knockout A549 cell lysates were subjected to SDS-PAGE. Membranes were blocked in 3% milk in TBS-T (0.1% Tween®) before incubation with ab68481 and ab8245 (Mouse anti-GAPDH antibody [6C5]) overnight at 4°C at a 1 in 1000 dilution and a 1 in 20000 dilution respectively. Blots were incubated with Goat anti-Rabbit IgG H&L (IRDye® 800CW) preabsorbed (ab216773) and Goat anti-Mouse IgG H&L (IRDye® 680RD) preabsorbed (ab216776) secondary antibodies at 1 in 20000 dilution for 1 hour at room temperature before imaging.

All lanes:

Western blot - Anti-IRF3 antibody [EPR2418Y] (<a href='/en-us/products/primary-antibodies/irf3-antibody-epr2418y-ab68481'>ab68481</a>) at 1/1000 dilution

Lane 1:

Wild-type A549 cell lysate at 20 µg

Lane 2:

IRF3 knockout A549 cell lysate at 20 µg

Lane 2:

Western blot - Human IRF3 knockout A549 cell line (<a href='/en-us/products/cell-lines/human-irf3-knockout-a549-cell-line-ab267098'>ab267098</a>)

Predicted band size: 47 kDa

Observed band size: 50 kDa

false

Western blot - Anti-IRF3 antibody [EPR2418Y] - BSA and Azide free (AB201809)
  • WB

Lab

Western blot - Anti-IRF3 antibody [EPR2418Y] - BSA and Azide free (AB201809)

This data was developed using the same antibody clone in a different buffer formulation (ab68481).

Lanes 1 - 4 : Merged signal (red and green). Green - ab68481 observed at 50 kDa. Red - loading control, ab8245 observed at 37 kDa.

ab68481 was shown to react with IRF3 in wild-type HeLa cells. Loss of signal was observed when knockout cell line ab255345 (knockout cell lysate ab263784) was used. Wild-type and IRF3 knockout samples were subjected to SDS-PAGE. ab68481 and Anti-GAPDH antibody [6C5] - Loading Control (ab8245) were incubated overnight at 4°C at 1 in 1000 dilution and 1 in 20000 dilution respectively. Blots were developed with Goat anti-Rabbit IgG H&L (IRDye® 800CW) preadsorbed (ab216773) and Goat anti-Mouse IgG H&L (IRDye® 680RD) preadsorbed (ab216776) secondary antibodies at 1 in 20000 dilution for 1 hour at room temperature before imaging.

All lanes:

Western blot - Anti-IRF3 antibody [EPR2418Y] (<a href='/en-us/products/primary-antibodies/irf3-antibody-epr2418y-ab68481'>ab68481</a>) at 1/1000 dilution

Lane 1:

Jurkat cell lysate at 20 µg

Lane 2:

MCF7 cell lysate at 20 µg

Lane 2:

Western blot - Human IRF3 knockout HeLa cell line (<a href='/en-us/products/cell-lines/human-irf3-knockout-hela-cell-line-ab255345'>ab255345</a>)

Lane 3:

Wild-type HeLa cell lysate at 20 µg

Lane 4:

IRF3 knockout HeLa cell lysate at 20 µg

Secondary

All lanes:

Western blot - Goat anti-Rabbit IgG H&L (IRDye® 800CW) preadsorbed (<a href='/en-us/products/secondary-antibodies/goat-rabbit-igg-h-l-irdye-800cw-preadsorbed-ab216773'>ab216773</a>) at 1/20000 dilution

Predicted band size: 47 kDa

Observed band size: 37 kDa,51 kDa

false

  • Unconjugated

    Anti-IRF3 antibody [EPR2418Y]

  • 603 Alexa Fluor® 568

    Alexa Fluor® 568 Anti-IRF3 antibody [EPR2418Y]

  • 775 Alexa Fluor® 750

    Alexa Fluor® 750 Anti-IRF3 antibody [EPR2418Y]

  • 578 PE

    PE Anti-IRF3 antibody [EPR2418Y]

  • HRP

    HRP Anti-IRF3 antibody [EPR2418Y]

  • 565 Alexa Fluor® 555

    Alexa Fluor® 555 Anti-IRF3 antibody [EPR2418Y]

  • 617 Alexa Fluor® 594

    Alexa Fluor® 594 Anti-IRF3 antibody [EPR2418Y]

  • 660 APC

    APC Anti-IRF3 antibody [EPR2418Y]

Key facts

Host species

Rabbit

Clonality

Monoclonal

Clone number

EPR2418Y

Isotype

IgG

Carrier free

Yes

Reacts with

Mouse, Human

Applications

ICC/IF, Flow Cyt (Intra), WB, IHC-P

applications

Immunogen

The exact immunogen used to generate this antibody is proprietary information.

Reactivity data

{ "title": "Reactivity Data", "filters": { "stats": ["", "Species", "Dilution Info", "Notes"], "tabs": { "all-applications": {"fullname" : "All Applications", "shortname": "All Applications"}, "IP" : {"fullname" : "Immunoprecipitation", "shortname":"IP"}, "WB" : {"fullname" : "Western blot", "shortname":"WB"}, "ICCIF" : {"fullname" : "Immunocytochemistry/ Immunofluorescence", "shortname":"ICC/IF"}, "FlowCytIntra" : {"fullname" : "Flow Cytometry (Intracellular)", "shortname":"Flow Cyt (Intra)"}, "IHCP" : {"fullname" : "Immunohistochemistry (Formalin/PFA-fixed paraffin-embedded sections)", "shortname":"IHC-P"} }, "product-promise": { "all": "all", "testedAndGuaranteed": "tested", "guaranteed": "expected", "predicted": "predicted", "notRecommended": "not-recommended" } }, "values": { "Human": { "IP-species-checked": "notRecommended", "IP-species-dilution-info": "", "IP-species-notes": "<p></p>", "WB-species-checked": "testedAndGuaranteed", "WB-species-dilution-info": "", "WB-species-notes": "<p></p>", "ICCIF-species-checked": "testedAndGuaranteed", "ICCIF-species-dilution-info": "", "ICCIF-species-notes": "<p></p>", "FlowCytIntra-species-checked": "testedAndGuaranteed", "FlowCytIntra-species-dilution-info": "", "FlowCytIntra-species-notes": "<p><a href='/en-us/products/primary-antibodies/rabbit-igg-monoclonal-epr25a-isotype-control-low-endotoxin-azide-free-ab199376'>ab199376</a> - Rabbit monoclonal IgG, is suitable for use as an isotype control with this antibody.</p>", "IHCP-species-checked": "guaranteed", "IHCP-species-dilution-info": "", "IHCP-species-notes": "" }, "Mouse": { "IP-species-checked": "notRecommended", "IP-species-dilution-info": "", "IP-species-notes": "<p></p>", "WB-species-checked": "guaranteed", "WB-species-dilution-info": "", "WB-species-notes": "", "ICCIF-species-checked": "guaranteed", "ICCIF-species-dilution-info": "", "ICCIF-species-notes": "", "FlowCytIntra-species-checked": "guaranteed", "FlowCytIntra-species-dilution-info": "", "FlowCytIntra-species-notes": "", "IHCP-species-checked": "testedAndGuaranteed", "IHCP-species-dilution-info": "", "IHCP-species-notes": "<p></p>" } } }

You may be interested in:

AB207210

IRF3 Transcription Factor Assay Kit (Colorimetric)

0

0 Reviews

View product

We recommend this product because it’s often used in the same experiment or related research.

We advise that you always check the datasheet to ensure it fits your experiments, or contact ourtechnical teamfor help.

Product details

ab201809 is the carrier-free version of ab68481.

Patented technology
Our RabMAb® technology is a patented hybridoma-based technology for making rabbit monoclonal antibodies. For details on our patents, please refer to RabMAb® patents.

Species reactivity
Rat: We have preliminary internal testing data to indicate this antibody may not react with this species.
Please contact us for more information.

Conjugation ready
Our carrier-free antibodies are typically supplied in a PBS-only formulation, purified and free of BSA, sodium azide and glycerol. This conjugation-ready format is designed for use with fluorochromes, metal isotopes, oligonucleotides, and enzymes, which makes them ideal for antibody labelling, functional and cell-based assays, flow-based assays (e.g. mass cytometry) and Multiplex Imaging applications.

Use our conjugation kits for antibody conjugates that are ready-to-use in as little as 20 minutes with 1 minute hands-on-time and 100% antibody recovery: available for fluorescent dyes, HRP, biotin and gold.

Compatibility
This product is compatible with the Maxpar® Antibody Labeling Kit from Fluidigm, without the need for antibody preparation. Maxpar® is a trademark of Fluidigm Canada Inc.

Properties and storage information

Form
Liquid
Purification technique
Affinity purification Protein A
Storage buffer
pH: 7.2 - 7.4 Constituents: PBS
Shipped at conditions
Blue Ice
Appropriate short-term storage conditions
+4°C
Appropriate long-term storage conditions
+4°C
Storage information
Do Not Freeze

Supplementary information

This supplementary information is collated from multiple sources and compiled automatically.

IRF3 also known as Interferon Regulatory Factor 3 acts as an important transcription factor in the immune response. It has a molecular weight of approximately 47 kDa. The IRF3 protein is mainly expressed in the cytoplasm and nucleus of various cell types including immune cells such as macrophages and dendritic cells. The protein becomes activated through phosphorylation a process frequently identified in its phosphorylated form phospo-IRF3 or p-IRF3 which facilitates its role in immune function.
Biological function summary

IRF3 participates in the regulation of type I interferon (IFN) response a fundamental antiviral defense mechanism. IRF3 when phosphorylated forms a complex with CBP/p300 which then translocates to the nucleus to drive the expression of IFN-stimulated genes. This action strengthens the innate immune response and boosts the body's ability to counteract viral infections. Its activity and regulation are significant for maintaining a balanced immune response without excessive inflammation.

Pathways

IRF3 is involved in the Toll-like receptor (TLR) and RIG-I-like receptor (RLR) signaling pathways both essential in pathogen recognition and response. Within these pathways IRF3 interacts with proteins such as MAVS and TBK1 to propagate immune signaling. The activation of IRF3 in these pathways results in the production of type I interferons and other cytokines orchestrating an effective antiviral response. These interactions highlight the protein's central role in mediating immune signaling cascades.

IRF3's malfunction or deregulation can contribute to autoimmune diseases and antiviral deficiencies. Conditions such as systemic lupus erythematosus (SLE) and chronic hepatitis B infection are linked to IRF3 activity. During autoimmune responses or viral persistence the aberrant activation of IRF3 can lead to inappropriate immune responses. The connection with proteins like STAT1 in these conditions highlights the complex network IRF3 engages in facilitating its impact on disease progression and immune dysregulation.

Product protocols

For this product, it's our understanding that no specific protocols are required. You can visit:

Target data

Key transcriptional regulator of type I interferon (IFN)-dependent immune responses which plays a critical role in the innate immune response against DNA and RNA viruses (PubMed : 22394562, PubMed : 24049179, PubMed : 25636800, PubMed : 27302953, PubMed : 31340999, PubMed : 36603579, PubMed : 8524823). Regulates the transcription of type I IFN genes (IFN-alpha and IFN-beta) and IFN-stimulated genes (ISG) by binding to an interferon-stimulated response element (ISRE) in their promoters (PubMed : 11846977, PubMed : 16846591, PubMed : 16979567, PubMed : 20049431, PubMed : 32972995, PubMed : 36603579, PubMed : 8524823). Acts as a more potent activator of the IFN-beta (IFNB) gene than the IFN-alpha (IFNA) gene and plays a critical role in both the early and late phases of the IFNA/B gene induction (PubMed : 16846591, PubMed : 16979567, PubMed : 20049431, PubMed : 36603579). Found in an inactive form in the cytoplasm of uninfected cells and following viral infection, double-stranded RNA (dsRNA), or toll-like receptor (TLR) signaling, is phosphorylated by IKBKE and TBK1 kinases (PubMed : 22394562, PubMed : 25636800, PubMed : 27302953, PubMed : 36603579). This induces a conformational change, leading to its dimerization and nuclear localization and association with CREB binding protein (CREBBP) to form dsRNA-activated factor 1 (DRAF1), a complex which activates the transcription of the type I IFN and ISG genes (PubMed : 16154084, PubMed : 27302953, PubMed : 33440148, PubMed : 36603579). Can activate distinct gene expression programs in macrophages and can induce significant apoptosis in primary macrophages (PubMed : 16846591). In response to Sendai virus infection, is recruited by TOMM70 : HSP90AA1 to mitochondrion and forms an apoptosis complex TOMM70 : HSP90AA1 : IRF3 : BAX inducing apoptosis (PubMed : 25609812). Key transcription factor regulating the IFN response during SARS-CoV-2 infection (PubMed : 33440148).
See full target information IRF3

Publications (2)

Recent publications for all applications. Explore the full list and refine your search

Journal of virology 86:4538-47 PubMed22345458

2012

C7L family of poxvirus host range genes inhibits antiviral activities induced by type I interferons and interferon regulatory factor 1.

Applications

WB

Species

Unspecified reactive species

Xiangzhi Meng,John Schoggins,Lloyd Rose,Jingxin Cao,Alexander Ploss,Charles M Rice,Yan Xiang

Nature cell biology 13:254-62 PubMed21336305

2011

Klotho suppresses RIG-I-mediated senescence-associated inflammation.

Applications

Unspecified application

Species

Unspecified reactive species

Feng Liu,Su Wu,Hongwei Ren,Jun Gu
View all publications

Product promise

We are committed to supporting your work with high-quality reagents, and we're here for you every step of the way. In the unlikely event that one of our products does not perform as expected, you're protected by our Product Promise.
For full details, please see our Terms & Conditions

Associated Products

Select an associated product type
Alternative Product
Primary Antibodies

AB138449

Anti-IRF3 (phospho S396) antibody

primary-antibodies

irf3-phospho-s396-antibody-ab138449

2

(1 reviews)

Alternative Product
Primary Antibodies

AB25950

Anti-IRF3 antibody

primary-antibodies

irf3-antibody-ab25950

4

(3 reviews)

Alternative Product
Primary Antibodies

AB192796

Anti-IRF3 (phospho S386) antibody

primary-antibodies

irf3-phospho-s386-antibody-ab192796

0

(0 reviews)

Alternative Product
Primary Antibodies

AB218160

Anti-IRF3 antibody

primary-antibodies

irf3-antibody-ab218160

0

(0 reviews)

Alternative Product
Primary Antibodies

AB245341

Anti-IRF3 antibody

primary-antibodies

irf3-antibody-ab245341

0

(0 reviews)

Alternative Product
Primary Antibodies

AB76493

Anti-IRF3 (phospho S386) antibody [EPR2346]

primary-antibodies

irf3-phospho-s386-antibody-epr2346-ab76493

4

(2 reviews)

Alternative Product
Primary Antibodies

AB201810

Anti-IRF3 antibody [EP2419Y] - BSA and Azide free

primary-antibodies

irf3-antibody-ep2419y-bsa-and-azide-free-ab201810

0

(0 reviews)

Alternative Product
Primary Antibodies

AB76409

Anti-IRF3 antibody [EP2419Y]

primary-antibodies

irf3-antibody-ep2419y-ab76409

1

(1 reviews)

Alternative Product
Primary Antibodies

AB182859

Anti-IRF3 (phospho S386) antibody [EPR2346] - BSA and Azide free

primary-antibodies

irf3-phospho-s386-antibody-epr2346-bsa-and-azide-free-ab182859

0

(0 reviews)

Alternative Product
Primary Antibodies

AB50772

Anti-IRF3 antibody [IRF35I218]

primary-antibodies

irf3-antibody-irf35i218-ab50772

4

(3 reviews)

Alternative Version
Primary Antibodies

AB209919

PE Anti-IRF3 antibody [EPR2418Y]

primary-antibodies

pe-irf3-antibody-epr2418y-ab209919

0

(0 reviews)

Alternative Version
Primary Antibodies

AB205443

HRP Anti-IRF3 antibody [EPR2418Y]

primary-antibodies

hrp-irf3-antibody-epr2418y-ab205443

0

(0 reviews)

Alternative Version
Primary Antibodies

AB313187

Alexa Fluor® 555 Anti-IRF3 antibody [EPR2418Y]

primary-antibodies

alexa-fluor-555-irf3-antibody-epr2418y-ab313187

0

(0 reviews)

Alternative Version
Primary Antibodies

AB311704

Alexa Fluor® 594 Anti-IRF3 antibody [EPR2418Y]

primary-antibodies

alexa-fluor-594-irf3-antibody-epr2418y-ab311704

0

(0 reviews)

Alternative Version
Primary Antibodies

AB310875

APC Anti-IRF3 antibody [EPR2418Y]

primary-antibodies

apc-irf3-antibody-epr2418y-ab310875

0

(0 reviews)

Please note: All products are 'FOR RESEARCH USE ONLY. NOT FOR USE IN DIAGNOSTIC OR THERAPEUTIC PROCEDURES'.

For licensing inquiries, please contact partnerships@abcam.com