JavaScript is disabled in your browser. Please enable JavaScript to view this website.
AB273663

Anti-IRF3 antibody [OTI4A1] - BSA and Azide free

Be the first to review this product! Submit a review

|

(0 Publication)

Mouse Monoclonal IRF3 antibody. Carrier free. Suitable for WB, IHC-P and reacts with Human samples. Immunogen corresponding to Recombinant Fragment Protein within Human IRF3 aa 1-200.

View Alternative Names

Interferon regulatory factor 3, IRF-3, IRF3

6 Images
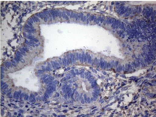
Immunohistochemistry (Formalin/PFA-fixed paraffin-embedded sections) - Anti-IRF3 antibody [OTI4A1] - BSA and Azide free (AB273663)
  • IHC-P

Supplier Data

Immunohistochemistry (Formalin/PFA-fixed paraffin-embedded sections) - Anti-IRF3 antibody [OTI4A1] - BSA and Azide free (AB273663)

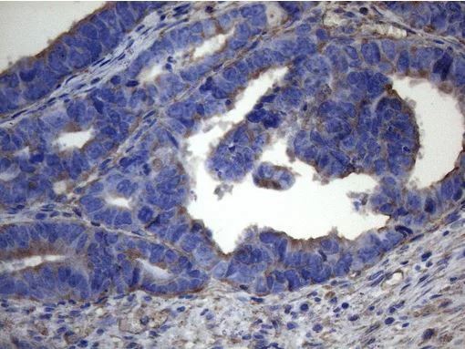
Paraffin embedded human colon adenocarcinoma tissue stained for IRF3 using ab273663 at 1/150 dilution in immunohistochemical analysis.

This data was developed using the same antibody clone in a different buffer formulation containing PBS, pH 7.3, 8% trehalose.

Western blot - Anti-IRF3 antibody [OTI4A1] - BSA and Azide free (AB273663)
  • WB

Supplier Data

Western blot - Anti-IRF3 antibody [OTI4A1] - BSA and Azide free (AB273663)

This data was developed using the same antibody clone in a different buffer formulation containing PBS, pH 7.3, 8% trehalose.

All lanes:

Western blot - Anti-IRF3 antibody [OTI4A1] - BSA and Azide free (ab273663) at 1/2000 dilution

Lane 1:

HEK-293T cells transfected with pCMV6-ENTRY control at 5 µg

Lane 2:

HEK-293T cells transfected with pCMV6-ENTRY IRF3 at 5 µg

Predicted band size: 47 kDa

false

Immunohistochemistry (Formalin/PFA-fixed paraffin-embedded sections) - Anti-IRF3 antibody [OTI4A1] - BSA and Azide free (AB273663)
  • IHC-P

Supplier Data

Immunohistochemistry (Formalin/PFA-fixed paraffin-embedded sections) - Anti-IRF3 antibody [OTI4A1] - BSA and Azide free (AB273663)

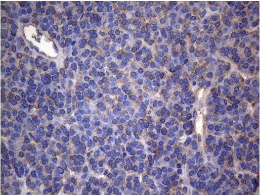
Paraffin embedded human ovary tissue stained for IRF3 using ab273663 at 1/150 dilution in immunohistochemical analysis.

This data was developed using the same antibody clone in a different buffer formulation containing PBS, pH 7.3, 8% trehalose.

Immunohistochemistry (Formalin/PFA-fixed paraffin-embedded sections) - Anti-IRF3 antibody [OTI4A1] - BSA and Azide free (AB273663)
  • IHC-P

Supplier Data

Immunohistochemistry (Formalin/PFA-fixed paraffin-embedded sections) - Anti-IRF3 antibody [OTI4A1] - BSA and Azide free (AB273663)

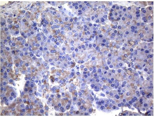
Paraffin embedded human pancreas tissue stained for IRF3 using ab273663 at 1/150 dilution in immunohistochemical analysis.

This data was developed using the same antibody clone in a different buffer formulation containing PBS, pH 7.3, 8% trehalose.

Immunohistochemistry (Formalin/PFA-fixed paraffin-embedded sections) - Anti-IRF3 antibody [OTI4A1] - BSA and Azide free (AB273663)
  • IHC-P

Supplier Data

Immunohistochemistry (Formalin/PFA-fixed paraffin-embedded sections) - Anti-IRF3 antibody [OTI4A1] - BSA and Azide free (AB273663)

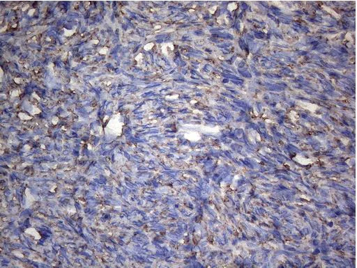
Paraffin embedded carcinoma of Human thyroid tissue stained for IRF3 using ab273663 at 1/150 dilution in immunohistochemical analysis.

This data was developed using the same antibody clone in a different buffer formulation containing PBS, pH 7.3, 8% trehalose.

Immunohistochemistry (Formalin/PFA-fixed paraffin-embedded sections) - Anti-IRF3 antibody [OTI4A1] - BSA and Azide free (AB273663)
  • IHC-P

Supplier Data

Immunohistochemistry (Formalin/PFA-fixed paraffin-embedded sections) - Anti-IRF3 antibody [OTI4A1] - BSA and Azide free (AB273663)

Paraffin embedded human endometrium adenocarcinoma tissue stained for IRF3 using ab273663 at 1/150 dilution in immunohistochemical analysis.

This data was developed using the same antibody clone in a different buffer formulation containing PBS, pH 7.3, 8% trehalose.

Key facts

Host species

Mouse

Clonality

Monoclonal

Clone number

OTI4A1

Isotype

IgG1

Carrier free

Yes

Reacts with

Human

Applications

WB, IHC-P

applications

Immunogen

Recombinant Fragment Protein within Human IRF3 aa 1-200. The exact immunogen used to generate this antibody is proprietary information.

Q14653

Reactivity data

{ "title": "Reactivity Data", "filters": { "stats": ["", "Species", "Dilution Info", "Notes"], "tabs": { "all-applications": {"fullname" : "All Applications", "shortname": "All Applications"}, "WB" : {"fullname" : "Western blot", "shortname":"WB"}, "IHCP" : {"fullname" : "Immunohistochemistry (Formalin/PFA-fixed paraffin-embedded sections)", "shortname":"IHC-P"} }, "product-promise": { "all": "all", "testedAndGuaranteed": "tested", "guaranteed": "expected", "predicted": "predicted", "notRecommended": "not-recommended" } }, "values": { "Human": { "WB-species-checked": "testedAndGuaranteed", "WB-species-dilution-info": "1/2000", "WB-species-notes": "<p></p>", "IHCP-species-checked": "testedAndGuaranteed", "IHCP-species-dilution-info": "1/150", "IHCP-species-notes": "<p>Heat-induced epitope retrieval by 1mM EDTA in 10mM Tris buffer (pH8.5) at 120°C for 3minutes.</p>" } } }

You may be interested in:

AB207210

IRF3 Transcription Factor Assay Kit (Colorimetric)

0

0 Reviews

View product

We recommend this product because it’s often used in the same experiment or related research.

We advise that you always check the datasheet to ensure it fits your experiments, or contact ourtechnical teamfor help.

Properties and storage information

Form
Liquid
Purification technique
Affinity purification Protein A/G
Purification notes
Purified from tissue culture supernatant.
Storage buffer
pH: 7.3 Constituents: PBS
Shipped at conditions
Blue Ice
Appropriate short-term storage duration
1-2 weeks
Appropriate short-term storage conditions
+4°C
Appropriate long-term storage conditions
-20°C
Aliquoting information
Upon delivery aliquot
Storage information
Avoid freeze / thaw cycle

Supplementary information

This supplementary information is collated from multiple sources and compiled automatically.

IRF3 also known as Interferon Regulatory Factor 3 acts as an important transcription factor in the immune response. It has a molecular weight of approximately 47 kDa. The IRF3 protein is mainly expressed in the cytoplasm and nucleus of various cell types including immune cells such as macrophages and dendritic cells. The protein becomes activated through phosphorylation a process frequently identified in its phosphorylated form phospo-IRF3 or p-IRF3 which facilitates its role in immune function.
Biological function summary

IRF3 participates in the regulation of type I interferon (IFN) response a fundamental antiviral defense mechanism. IRF3 when phosphorylated forms a complex with CBP/p300 which then translocates to the nucleus to drive the expression of IFN-stimulated genes. This action strengthens the innate immune response and boosts the body's ability to counteract viral infections. Its activity and regulation are significant for maintaining a balanced immune response without excessive inflammation.

Pathways

IRF3 is involved in the Toll-like receptor (TLR) and RIG-I-like receptor (RLR) signaling pathways both essential in pathogen recognition and response. Within these pathways IRF3 interacts with proteins such as MAVS and TBK1 to propagate immune signaling. The activation of IRF3 in these pathways results in the production of type I interferons and other cytokines orchestrating an effective antiviral response. These interactions highlight the protein's central role in mediating immune signaling cascades.

IRF3's malfunction or deregulation can contribute to autoimmune diseases and antiviral deficiencies. Conditions such as systemic lupus erythematosus (SLE) and chronic hepatitis B infection are linked to IRF3 activity. During autoimmune responses or viral persistence the aberrant activation of IRF3 can lead to inappropriate immune responses. The connection with proteins like STAT1 in these conditions highlights the complex network IRF3 engages in facilitating its impact on disease progression and immune dysregulation.

Product protocols

For this product, it's our understanding that no specific protocols are required. You can visit:

Target data

Key transcriptional regulator of type I interferon (IFN)-dependent immune responses which plays a critical role in the innate immune response against DNA and RNA viruses (PubMed : 22394562, PubMed : 24049179, PubMed : 25636800, PubMed : 27302953, PubMed : 31340999, PubMed : 36603579, PubMed : 8524823). Regulates the transcription of type I IFN genes (IFN-alpha and IFN-beta) and IFN-stimulated genes (ISG) by binding to an interferon-stimulated response element (ISRE) in their promoters (PubMed : 11846977, PubMed : 16846591, PubMed : 16979567, PubMed : 20049431, PubMed : 32972995, PubMed : 36603579, PubMed : 8524823). Acts as a more potent activator of the IFN-beta (IFNB) gene than the IFN-alpha (IFNA) gene and plays a critical role in both the early and late phases of the IFNA/B gene induction (PubMed : 16846591, PubMed : 16979567, PubMed : 20049431, PubMed : 36603579). Found in an inactive form in the cytoplasm of uninfected cells and following viral infection, double-stranded RNA (dsRNA), or toll-like receptor (TLR) signaling, is phosphorylated by IKBKE and TBK1 kinases (PubMed : 22394562, PubMed : 25636800, PubMed : 27302953, PubMed : 36603579). This induces a conformational change, leading to its dimerization and nuclear localization and association with CREB binding protein (CREBBP) to form dsRNA-activated factor 1 (DRAF1), a complex which activates the transcription of the type I IFN and ISG genes (PubMed : 16154084, PubMed : 27302953, PubMed : 33440148, PubMed : 36603579). Can activate distinct gene expression programs in macrophages and can induce significant apoptosis in primary macrophages (PubMed : 16846591). In response to Sendai virus infection, is recruited by TOMM70 : HSP90AA1 to mitochondrion and forms an apoptosis complex TOMM70 : HSP90AA1 : IRF3 : BAX inducing apoptosis (PubMed : 25609812). Key transcription factor regulating the IFN response during SARS-CoV-2 infection (PubMed : 33440148).
See full target information IRF3

Product promise

We are committed to supporting your work with high-quality reagents, and we're here for you every step of the way. In the unlikely event that one of our products does not perform as expected, you're protected by our Product Promise.
For full details, please see our Terms & Conditions

Please note: All products are 'FOR RESEARCH USE ONLY. NOT FOR USE IN DIAGNOSTIC OR THERAPEUTIC PROCEDURES'.

For licensing inquiries, please contact partnerships@abcam.com