JavaScript is disabled in your browser. Please enable JavaScript to view this website.
AB320083

Anti-IRF3 (phospho S396) antibody [EPR28686-189] - BSA and Azide free

Be the first to review this product! Submit a review

|

(0 Publication)

Knockout Tested Rabbit Recombinant Monoclonal IRF3 phospho S396 antibody. Carrier free. Suitable for Dot, WB and reacts with Synthetic peptide, Human samples.

View Alternative Names

Interferon regulatory factor 3, IRF-3, IRF3

3 Images
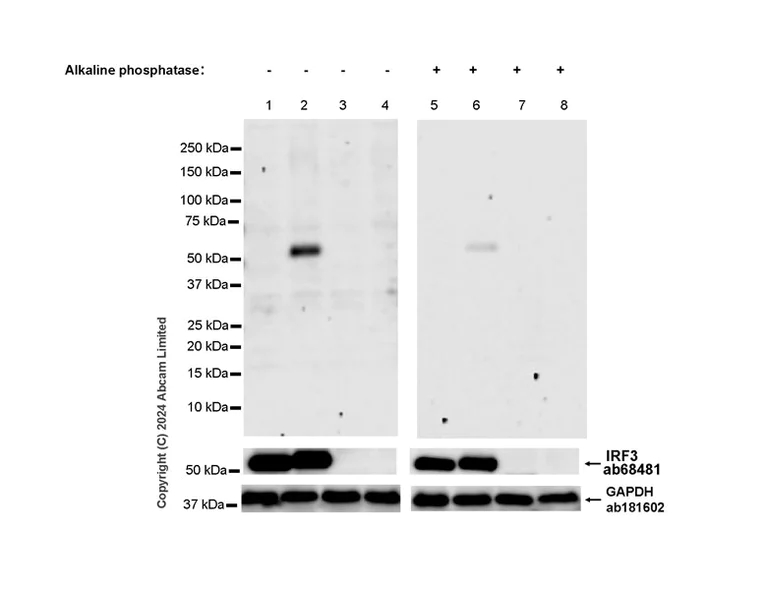
Western blot - Anti-IRF3 (phospho S396) antibody [EPR28686-189] - BSA and Azide free (AB320083)
  • WB

Supplier Data

Western blot - Anti-IRF3 (phospho S396) antibody [EPR28686-189] - BSA and Azide free (AB320083)

This data was developed using ab320082, the same antibody clone in a different buffer formulation.

Blocking and diluting buffer and concentration : 5% NFDM/TBST.

In Western blot, ab320082 was shown to bind specifically to IRF3. Target of interest was observed at 60 kDa in wild-type Hela cell lysates (lane 2) with no signal observed at this size in IRF3 knockout cell line (lane 4) (lane 4, knockout cell line ab255345 / knockout cell lysate ab263784).

Lysates were freshly made and used for Western blotting immediately to minimize protein degradation.

In Western blot, Anti-GAPDH antibody [EPR16891] - Loading Control (ab181602) staining at 1/200000 dilution.

In Western blot, Anti-IRF3 antibody [EPR2418Y] (ab68481) staining at 1/1000 dilution.

All lanes:

Western blot - Anti-IRF3 (phospho S396) antibody [EPR28686-189] (<a href='/en-us/products/primary-antibodies/irf3-phospho-s396-antibody-epr28686-189-ab320082'>ab320082</a>) at 1/1000 dilution

Lane 1:

Untreated wild-typeHeLa (human cervical adenocarcinoma epithelial cell) whole cell lysate (untreated membrane) at 60 µg

Lane 2:

Wild-type HeLa treated first with 80nM TPA for 24h, then change fresh medium, transfect 10ug/ml poly(dA:dT) for 2h whole cell lysate (untreated membrane) at 60 µg

Lane 3:

Untreated IRF3 knockout HeLa whole cell lysate (untreated membrane) at 60 µg

Lane 4:

IRF3 knockout HeLa treated first with 80nM TPA for 24h, then change fresh medium, transfect 10ug/ml poly(dA:dT) for 2h whole cell lysate (untreated membrane) at 60 µg

Lane 5:

Untreated wild-typeHeLa whole cell lysate (alkaline phosphatase treated membrane) at 60 µg

Lane 6:

Wild-type HeLa treated first with 80nM TPA for 24h, then change fresh medium, transfect 10ug/ml poly(dA:dT) for 2h whole cell lysate (alkaline phosphatase treated membrane) at 60 µg

Lane 7:

Untreated IRF3 knockout HeLa whole cell lysate (alkaline phosphatase treated membrane) at 60 µg

Lane 8:

IRF3 knockout HeLa treated first with 80nM TPA for 24h, then change fresh medium, transfect 10ug/ml poly(dA:dT) for 2h whole cell lysate (alkaline phosphatase treated membrane) at 60 µg

Secondary

All lanes:

Western blot - Goat Anti-Rabbit IgG H&L (HRP) (<a href='/en-us/products/secondary-antibodies/goat-rabbit-igg-h-l-hrp-ab97051'>ab97051</a>) at 1/20000 dilution

Observed band size: 60 kDa,36 kDa

false

Exposure time: 92s

Western blot - Anti-IRF3 (phospho S396) antibody [EPR28686-189] - BSA and Azide free (AB320083)
  • WB

Supplier Data

Western blot - Anti-IRF3 (phospho S396) antibody [EPR28686-189] - BSA and Azide free (AB320083)

This data was developed using ab320082, the same antibody clone in a different buffer formulation.

Blocking and diluting buffer and concentration : 5% NFDM/TBST.

The identity of the bands between 25 kDa and 35 kDa are unknown.

In Western blot, Anti-GAPDH antibody [EPR16891] - Loading Control (ab181602) staining at 1/200000 dilution.

In Western blot, Anti-IRF3 antibody [EPR2418Y] (ab68481) staining at 1/1000 dilution.

All lanes:

Western blot - Anti-IRF3 (phospho S396) antibody [EPR28686-189] (<a href='/en-us/products/primary-antibodies/irf3-phospho-s396-antibody-epr28686-189-ab320082'>ab320082</a>) at 1/1000 dilution

Lane 1:

Untreated THP-1 (human monocytic leukemia monocyte) whole cell lysate at 60 µg

Lane 2:

THP-1 treated first with 80nM TPA for 24h, then change fresh medium, transfect 10ug/ml poly(dA:dT) for 2h whole cell lysate at 60 µg

Secondary

All lanes:

Western blot - Goat Anti-Rabbit IgG H&L (HRP) (<a href='/en-us/products/secondary-antibodies/goat-rabbit-igg-h-l-hrp-ab97051'>ab97051</a>) at 1/20000 dilution

Observed band size: 60 kDa,36 kDa

false

Exposure time: 48s

Dot Blot - Anti-IRF3 (phospho S396) antibody [EPR28686-189] - BSA and Azide free (AB320083)
  • Dot

Supplier Data

Dot Blot - Anti-IRF3 (phospho S396) antibody [EPR28686-189] - BSA and Azide free (AB320083)

This data was developed using ab320082, the same antibody clone in a different buffer formulation.

Dot blot analysis of IRF3 (phospho S396) using ab320082 at 1 : 1000 (0.509 ug/ml) followed by a Goat Anti-Rabbit IgG, (H+L), Peroxidase conjugated (ab97051) at 1 : 100,000 dilution.

Blocking and diluting buffer and concentration : 5% NFDM/TBST.

All lanes:

Dot Blot - Anti-IRF3 (phospho S396) antibody [EPR28686-189] (<a href='/en-us/products/primary-antibodies/irf3-phospho-s396-antibody-epr28686-189-ab320082'>ab320082</a>) at 1/1000 dilution

Lane 1:

Human IRF3 (phospho S396) peptide 1

Lane 2:

Human IRF3 (phospho S396) peptide 2

Lane 3:

Human IRF3 non-phospho peptide

Lane 4:

Human IRF3 (phospho S398) peptide

Secondary

All lanes:

Dot Blot - Goat Anti-Rabbit IgG H&L (HRP) (<a href='/en-us/products/secondary-antibodies/goat-rabbit-igg-h-l-hrp-ab97051'>ab97051</a>) at 1/100000 dilution

false

Exposure time: 180s

  • Unconjugated

    Anti-IRF3 (phospho S396) antibody [EPR28686-189]

Key facts

Host species

Rabbit

Clonality

Monoclonal

Clone number

EPR28686-189

Isotype

IgG

Carrier free

Yes

Reacts with

Human

Applications

Dot, WB

applications

Immunogen

The exact immunogen used to generate this antibody is proprietary information.

Reactivity data

{ "title": "Reactivity Data", "filters": { "stats": ["", "Species", "Dilution Info", "Notes"], "tabs": { "all-applications": {"fullname" : "All Applications", "shortname": "All Applications"}, "Dot" : {"fullname" : "Dot Blot", "shortname":"Dot"}, "WB" : {"fullname" : "Western blot", "shortname":"WB"}, "ICCIF" : {"fullname" : "Immunocytochemistry/ Immunofluorescence", "shortname":"ICC/IF"} }, "product-promise": { "all": "all", "testedAndGuaranteed": "tested", "guaranteed": "expected", "predicted": "predicted", "notRecommended": "not-recommended" } }, "values": { "Human": { "Dot-species-checked": "guaranteed", "Dot-species-dilution-info": "", "Dot-species-notes": "", "WB-species-checked": "testedAndGuaranteed", "WB-species-dilution-info": "", "WB-species-notes": "<p></p>", "ICCIF-species-checked": "notRecommended", "ICCIF-species-dilution-info": "", "ICCIF-species-notes": "<p></p>" }, "Mouse": { "Dot-species-checked": "notRecommended", "Dot-species-dilution-info": "", "Dot-species-notes": "", "WB-species-checked": "notRecommended", "WB-species-dilution-info": "", "WB-species-notes": "<p></p>", "ICCIF-species-checked": "notRecommended", "ICCIF-species-dilution-info": "", "ICCIF-species-notes": "<p></p>" }, "Synthetic peptide": { "Dot-species-checked": "testedAndGuaranteed", "Dot-species-dilution-info": "", "Dot-species-notes": "<p></p>", "WB-species-checked": "notRecommended", "WB-species-dilution-info": "", "WB-species-notes": "", "ICCIF-species-checked": "notRecommended", "ICCIF-species-dilution-info": "", "ICCIF-species-notes": "" } } }

Product details

ab320083 is the carrier-free version of ab320082.

Patented technology
Our RabMAb® technology is a patented hybridoma-based technology for making rabbit monoclonal antibodies. For details on our patents, please refer to RabMAb® patents.

What are the advantages of a recombinant monoclonal antibody?
This product is a recombinant monoclonal antibody, which offers several advantages including:

  • - High batch-to-batch consistency and reproducibility
  • - Improved sensitivity and specificity
  • - Long-term security of supply
  • - Animal-free batch production

For more information, read more on recombinant antibodies.

Conjugation ready
Our carrier-free antibodies are typically supplied in a PBS-only formulation, purified and free of BSA, sodium azide and glycerol. This conjugation-ready format is designed for use with fluorochromes, metal isotopes, oligonucleotides, and enzymes, which makes them ideal for antibody labelling, functional and cell-based assays, flow-based assays (e.g. mass cytometry) and Multiplex Imaging applications.

Use our conjugation kits for antibody conjugates that are ready-to-use in as little as 20 minutes with 1 minute hands-on-time and 100% antibody recovery: available for fluorescent dyes, HRP, biotin and gold.

Compatibility
This product is compatible with the Maxpar® Antibody Labeling Kit from Fluidigm, without the need for antibody preparation. Maxpar® is a trademark of Fluidigm Canada Inc.

Properties and storage information

Form
Liquid
Purification technique
Affinity purification Protein A
Storage buffer
pH: 7.2 - 7.4 Constituents: PBS
Shipped at conditions
Blue Ice
Appropriate short-term storage conditions
+4°C
Appropriate long-term storage conditions
+4°C

Supplementary information

This supplementary information is collated from multiple sources and compiled automatically.

IRF3 also known as Interferon Regulatory Factor 3 acts as an important transcription factor in the immune response. It has a molecular weight of approximately 47 kDa. The IRF3 protein is mainly expressed in the cytoplasm and nucleus of various cell types including immune cells such as macrophages and dendritic cells. The protein becomes activated through phosphorylation a process frequently identified in its phosphorylated form phospo-IRF3 or p-IRF3 which facilitates its role in immune function.
Biological function summary

IRF3 participates in the regulation of type I interferon (IFN) response a fundamental antiviral defense mechanism. IRF3 when phosphorylated forms a complex with CBP/p300 which then translocates to the nucleus to drive the expression of IFN-stimulated genes. This action strengthens the innate immune response and boosts the body's ability to counteract viral infections. Its activity and regulation are significant for maintaining a balanced immune response without excessive inflammation.

Pathways

IRF3 is involved in the Toll-like receptor (TLR) and RIG-I-like receptor (RLR) signaling pathways both essential in pathogen recognition and response. Within these pathways IRF3 interacts with proteins such as MAVS and TBK1 to propagate immune signaling. The activation of IRF3 in these pathways results in the production of type I interferons and other cytokines orchestrating an effective antiviral response. These interactions highlight the protein's central role in mediating immune signaling cascades.

IRF3's malfunction or deregulation can contribute to autoimmune diseases and antiviral deficiencies. Conditions such as systemic lupus erythematosus (SLE) and chronic hepatitis B infection are linked to IRF3 activity. During autoimmune responses or viral persistence the aberrant activation of IRF3 can lead to inappropriate immune responses. The connection with proteins like STAT1 in these conditions highlights the complex network IRF3 engages in facilitating its impact on disease progression and immune dysregulation.

Product protocols

For this product, it's our understanding that no specific protocols are required. You can visit:

Target data

Key transcriptional regulator of type I interferon (IFN)-dependent immune responses which plays a critical role in the innate immune response against DNA and RNA viruses (PubMed : 22394562, PubMed : 24049179, PubMed : 25636800, PubMed : 27302953, PubMed : 31340999, PubMed : 36603579, PubMed : 8524823). Regulates the transcription of type I IFN genes (IFN-alpha and IFN-beta) and IFN-stimulated genes (ISG) by binding to an interferon-stimulated response element (ISRE) in their promoters (PubMed : 11846977, PubMed : 16846591, PubMed : 16979567, PubMed : 20049431, PubMed : 32972995, PubMed : 36603579, PubMed : 8524823). Acts as a more potent activator of the IFN-beta (IFNB) gene than the IFN-alpha (IFNA) gene and plays a critical role in both the early and late phases of the IFNA/B gene induction (PubMed : 16846591, PubMed : 16979567, PubMed : 20049431, PubMed : 36603579). Found in an inactive form in the cytoplasm of uninfected cells and following viral infection, double-stranded RNA (dsRNA), or toll-like receptor (TLR) signaling, is phosphorylated by IKBKE and TBK1 kinases (PubMed : 22394562, PubMed : 25636800, PubMed : 27302953, PubMed : 36603579). This induces a conformational change, leading to its dimerization and nuclear localization and association with CREB binding protein (CREBBP) to form dsRNA-activated factor 1 (DRAF1), a complex which activates the transcription of the type I IFN and ISG genes (PubMed : 16154084, PubMed : 27302953, PubMed : 33440148, PubMed : 36603579). Can activate distinct gene expression programs in macrophages and can induce significant apoptosis in primary macrophages (PubMed : 16846591). In response to Sendai virus infection, is recruited by TOMM70 : HSP90AA1 to mitochondrion and forms an apoptosis complex TOMM70 : HSP90AA1 : IRF3 : BAX inducing apoptosis (PubMed : 25609812). Key transcription factor regulating the IFN response during SARS-CoV-2 infection (PubMed : 33440148).
See full target information IRF3 phospho S396

Product promise

We are committed to supporting your work with high-quality reagents, and we're here for you every step of the way. In the unlikely event that one of our products does not perform as expected, you're protected by our Product Promise.
For full details, please see our Terms & Conditions

Please note: All products are 'FOR RESEARCH USE ONLY. NOT FOR USE IN DIAGNOSTIC OR THERAPEUTIC PROCEDURES'.

For licensing inquiries, please contact partnerships@abcam.com