JavaScript is disabled in your browser. Please enable JavaScript to view this website.
AB240071

Anti-IRF4 antibody [EP5699] - BSA and Azide free

Be the first to review this product! Submit a review

|

(2 Publications)

Rabbit Recombinant Monoclonal IRF4 antibody. Carrier free. Suitable for ICC/IF, IHC-P, IP, WB, Flow Cyt (Intra) and reacts with Human samples. Cited in 2 publications.

View Alternative Names

MUM1, IRF4, Interferon regulatory factor 4, IRF-4, Lymphocyte-specific interferon regulatory factor, Multiple myeloma oncogene 1, NF-EM5, LSIRF

5 Images
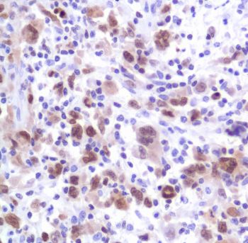
Immunohistochemistry (Formalin/PFA-fixed paraffin-embedded sections) - Anti-IRF4 antibody [EP5699] - BSA and Azide free (AB240071)
  • IHC-P

Unknown

Immunohistochemistry (Formalin/PFA-fixed paraffin-embedded sections) - Anti-IRF4 antibody [EP5699] - BSA and Azide free (AB240071)

Immunohistochemical analysis of paraffin embedded Human tonsil tissue labelling IRF4, using ab133590 at a dilution of 1/250.

This data was developed using the same antibody clone in a different buffer formulation containing PBS, BSA, glycerol, and sodium azide (ab133590).

Perform heat mediated antigen retrieval with citrate buffer pH 6 before commencing with IHC staining protocol.

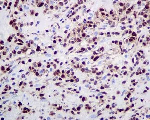
Immunohistochemistry (Formalin/PFA-fixed paraffin-embedded sections) - Anti-IRF4 antibody [EP5699] - BSA and Azide free (AB240071)
  • IHC-P

Unknown

Immunohistochemistry (Formalin/PFA-fixed paraffin-embedded sections) - Anti-IRF4 antibody [EP5699] - BSA and Azide free (AB240071)

Immunohistochemical analysis of paraffin embedded Human lymphoma tissue labelling IRF4, using ab133590 at a dilution of 1/250.

This data was developed using the same antibody clone in a different buffer formulation containing PBS, BSA, glycerol, and sodium azide (ab133590).

Perform heat mediated antigen retrieval with citrate buffer pH 6 before commencing with IHC staining protocol.

Flow Cytometry (Intracellular) - Anti-IRF4 antibody [EP5699] - BSA and Azide free (AB240071)
  • Flow Cyt (Intra)

Unknown

Flow Cytometry (Intracellular) - Anti-IRF4 antibody [EP5699] - BSA and Azide free (AB240071)

Overlay histogram showing Ramos cells stained with ab133590 (red line). The cells were fixed with 4% paraformaldehyde (10 min) and then permeabilized with 0.1% PBS-Tween for 20 min. The cells were then incubated in 1x PBS / 10% normal goat serum / 0.3M glycine to block non-specific protein-protein interactions followed by the antibody (ab133590, 1/1000 dilution) for 30 min at 22°C. The secondary antibody used was Alexa Fluor® 488 goat anti-rabbit IgG (H&L) (ab150077) at 1/2000 dilution for 30 min at 22°C. Isotype control antibody (black line) was rabbit IgG (monoclonal) (0.1μg/1x106 cells) used under the same conditions. Unlabelled sample (blue line) was also used as a control. Acquisition of >5,000 events were collected using a 20mW Argon ion laser (488nm) and 525/30 bandpass filter. This antibody gave a positive signal in Ramos cells fixed with 80% methanol (5 min)/permeabilized with 0.1% PBS-Tween for 20 min used under the same conditions. This data was developed using the same antibody clone in a different buffer formulation containing PBS, BSA, glycerol, and sodium azide (ab133590).

Immunocytochemistry/ Immunofluorescence - Anti-IRF4 antibody [EP5699] - BSA and Azide free (AB240071)
  • ICC/IF

Lab

Immunocytochemistry/ Immunofluorescence - Anti-IRF4 antibody [EP5699] - BSA and Azide free (AB240071)

This data was developed using the same antibody clone in a different buffer formulation containing PBS, BSA, glycerol, and sodium azide (ab133590). Immunocytochemistry/ Immunofluorescence analysis of IM-9 (human multiple myeloma B lymphoblast) labeling IRF4 with ab133590 at 1/500 dilution followed by ab150081 Goat Anti-Rabbit IgG H&L (Alexa Fluor® 488) preadsorbed at 1/1000 dilution. Cells were fixed with 4% Paraformaldehyde and permeabilised with 0.1% TritonX-100. DAPI was used as nuclear counterstain. ab195889 Anti-alpha Tubulin mouse monoclonal antibody - Microtubule Marker (Alexa Fluor® 594) at 1/200 was used as the counterstain antibody. Confocal image showing mainly nuclear staining in IM-9 cell line. Negative control : 293T (PMID : 23804715) Image was taken with a confocal microscope(Leica-Microsystems, TCS SP8).

Immunoprecipitation - Anti-IRF4 antibody [EP5699] - BSA and Azide free (AB240071)
  • IP

Lab

Immunoprecipitation - Anti-IRF4 antibody [EP5699] - BSA and Azide free (AB240071)

This data was developed using ab133590, the same antibody clone in a different buffer formulation.

IRF4 was immunoprecipitated from 0.35 mg IM-9 (Human multiple myeloma B Lymphoblast) whole cell lysate 10 μg with ab133590 at 1/20 dilution (1μg). VeriBlot for IP Detection Reagent (HRP)(ab131366) was used at 1/5000 dilution.

Lane 1 : IM-9 (Human multiple myeloma B Lymphoblast) whole cell lysate 10 μg

Lane 2 : ab133590 IP in IM-9 whole cell lysate

Lane 3 : Rabbit monoclonal IgG (ab172730) instead of ab133590 in IM-9 whole cell lysate

Blocking and dilution buffer and concentration : 5% NFDM/TBST.

Lower bands could be ubiquitin mediated protein degradation. (PMID : 23658517)

All lanes:

Immunoprecipitation - Anti-IRF4 antibody [EP5699] (<a href='/en-us/products/primary-antibodies/irf4-antibody-ep5699-ab133590'>ab133590</a>)

Predicted band size: 52 kDa

Observed band size: 52 kDa

false

Key facts

Host species

Rabbit

Clonality

Monoclonal

Clone number

EP5699

Isotype

IgG

Carrier free

Yes

Reacts with

Human

Applications

Flow Cyt (Intra), ICC/IF, IP, WB, IHC-P

applications

Immunogen

The exact immunogen used to generate this antibody is proprietary information.

Reactivity data

{ "title": "Reactivity Data", "filters": { "stats": ["", "Species", "Dilution Info", "Notes"], "tabs": { "all-applications": {"fullname" : "All Applications", "shortname": "All Applications"}, "ICCIF" : {"fullname" : "Immunocytochemistry/ Immunofluorescence", "shortname":"ICC/IF"}, "IHCP" : {"fullname" : "Immunohistochemistry (Formalin/PFA-fixed paraffin-embedded sections)", "shortname":"IHC-P"}, "IP" : {"fullname" : "Immunoprecipitation", "shortname":"IP"}, "WB" : {"fullname" : "Western blot", "shortname":"WB"}, "FlowCytIntra" : {"fullname" : "Flow Cytometry (Intracellular)", "shortname":"Flow Cyt (Intra)"}, "ChIP" : {"fullname" : "ChIP", "shortname":"ChIP"} }, "product-promise": { "all": "all", "testedAndGuaranteed": "tested", "guaranteed": "expected", "predicted": "predicted", "notRecommended": "not-recommended" } }, "values": { "Human": { "ICCIF-species-checked": "testedAndGuaranteed", "ICCIF-species-dilution-info": "", "ICCIF-species-notes": "<p></p>", "IHCP-species-checked": "testedAndGuaranteed", "IHCP-species-dilution-info": "", "IHCP-species-notes": "<p></p>", "IP-species-checked": "testedAndGuaranteed", "IP-species-dilution-info": "", "IP-species-notes": "<p></p>", "WB-species-checked": "testedAndGuaranteed", "WB-species-dilution-info": "", "WB-species-notes": "<p></p>", "FlowCytIntra-species-checked": "testedAndGuaranteed", "FlowCytIntra-species-dilution-info": "", "FlowCytIntra-species-notes": "<p><a href='/en-us/products/primary-antibodies/rabbit-igg-monoclonal-epr25a-isotype-control-low-endotoxin-azide-free-ab199376'>ab199376</a> - Rabbit monoclonal IgG, is suitable for use as an isotype control with this antibody.</p>", "ChIP-species-checked": "notRecommended", "ChIP-species-dilution-info": "", "ChIP-species-notes": "<p></p>" }, "Mouse": { "ICCIF-species-checked": "notRecommended", "ICCIF-species-dilution-info": "", "ICCIF-species-notes": "", "IHCP-species-checked": "notRecommended", "IHCP-species-dilution-info": "", "IHCP-species-notes": "<p></p>", "IP-species-checked": "notRecommended", "IP-species-dilution-info": "", "IP-species-notes": "", "WB-species-checked": "notRecommended", "WB-species-dilution-info": "", "WB-species-notes": "<p></p>", "FlowCytIntra-species-checked": "notRecommended", "FlowCytIntra-species-dilution-info": "", "FlowCytIntra-species-notes": "<p><a href='/en-us/products/primary-antibodies/rabbit-igg-monoclonal-epr25a-isotype-control-ab172730'>ab172730</a> - Rabbit monoclonal IgG, is suitable for use as an isotype control with this antibody.</p>", "ChIP-species-checked": "notRecommended", "ChIP-species-dilution-info": "", "ChIP-species-notes": "" } } }

Product details

ab240071 is the carrier-free version of ab133590.

Species reactivity
Mouse, Rat: We have preliminary internal testing data to indicate this antibody may not react with these species.
Please contact us for more information.

Patented technology
Our RabMAb® technology is a patented hybridoma-based technology for making rabbit monoclonal antibodies. For details on our patents, please refer to RabMAb® patents.

What are the advantages of a recombinant monoclonal antibody?
This product is a recombinant monoclonal antibody, which offers several advantages including:

  • - High batch-to-batch consistency and reproducibility
  • - Improved sensitivity and specificity
  • - Long-term security of supply
  • - Animal-free batch production

For more information, read more on recombinant antibodies.

Conjugation ready
Our carrier-free antibodies are typically supplied in a PBS-only formulation, purified and free of BSA, sodium azide and glycerol. This conjugation-ready format is designed for use with fluorochromes, metal isotopes, oligonucleotides, and enzymes, which makes them ideal for antibody labelling, functional and cell-based assays, flow-based assays (e.g. mass cytometry) and Multiplex Imaging applications.

Use our conjugation kits for antibody conjugates that are ready-to-use in as little as 20 minutes with 1 minute hands-on-time and 100% antibody recovery: available for fluorescent dyes, HRP, biotin and gold.

Compatibility
This product is compatible with the Maxpar® Antibody Labeling Kit from Fluidigm, without the need for antibody preparation. Maxpar® is a trademark of Fluidigm Canada Inc.

Properties and storage information

Form
Liquid
Purification technique
Affinity purification Protein A
Storage buffer
pH: 7.2 - 7.4 Constituents: PBS
Shipped at conditions
Blue Ice
Appropriate short-term storage conditions
+4°C
Appropriate long-term storage conditions
+4°C
Storage information
Do Not Freeze

Supplementary information

This supplementary information is collated from multiple sources and compiled automatically.

The IRF4 protein also known as Interferon Regulatory Factor 4 is a transcription factor encoded by the IRF4 gene. It weighs approximately 52 kDa. IRF4 is expressed mainly in lymphoid cells including B cells T cells and macrophages. It plays a mechanical role in regulating gene expression by binding to specific DNA sequences. Through these interactions IRF4 influences various cellular processes important for the immune response.
Biological function summary

IRF4 helps in the activation and differentiation of immune cells. It forms complexes with other transcription factors like PU.1 enhancing its regulatory functions. IRF4 also contributes to the maturation of B and T lymphocytes impacting the adaptive immune system. It acts by modulating expression of cytokines and surface markers involved in immune response.

Pathways

IRF4 functions within the immune response and cell differentiation pathways. It interacts with pathways like NF-kB and MAPK linking it to important immune regulatory processes. IRF4 associates with proteins such as c-Rel in the NF-kB pathway influencing gene expression related to immune activation and survival.

IRF4 plays a role in multiple myeloma and autoimmune disorders. Aberrant expression of IRF4 can lead to dysregulated immune cell proliferation as seen in multiple myeloma. It also connects with proteins like BLIMP-1 contributing to pathogenesis of autoimmune conditions. Understanding IRF4’s involvement provides insights into potential therapeutic targets for such diseases.

Product protocols

For this product, it's our understanding that no specific protocols are required. You can visit:

Target data

Transcriptional activator. Binds to the interferon-stimulated response element (ISRE) of the MHC class I promoter. Binds the immunoglobulin lambda light chain enhancer, together with PU.1. Probably plays a role in ISRE-targeted signal transduction mechanisms specific to lymphoid cells. Involved in CD8(+) dendritic cell differentiation by forming a complex with the BATF-JUNB heterodimer in immune cells, leading to recognition of AICE sequence (5'-TGAnTCA/GAAA-3'), an immune-specific regulatory element, followed by cooperative binding of BATF and IRF4 and activation of genes (By similarity).
See full target information IRF4

Publications (2)

Recent publications for all applications. Explore the full list and refine your search

NPJ precision oncology 7:95 PubMed37723227

2023

Targeted single-cell proteomic analysis identifies new liquid biopsy biomarkers associated with multiple myeloma.

Applications

Unspecified application

Species

Unspecified reactive species

Sonia M Setayesh,Libere J Ndacayisaba,Kate E Rappard,Valerie Hennes,Luz Yurany Moreno Rueda,Guilin Tang,Pei Lin,Robert Z Orlowski,David E Symer,Elisabet E Manasanch,Stephanie N Shishido,Peter Kuhn

Journal of cellular biochemistry 121:2236-2246 PubMed31692056

2019

The circular RNA-NRIP1 plays oncogenic roles by targeting microRNA-505 in the renal carcinoma cell lines.

Applications

Unspecified application

Species

Unspecified reactive species

Zhen Dong,Yidong Liu,Qinghai Wang,Hongyang Wang,Jianlei Ji,Tao Huang,Aashish Khanal,Haitao Niu,Yanwei Cao
View all publications

Product promise

We are committed to supporting your work with high-quality reagents, and we're here for you every step of the way. In the unlikely event that one of our products does not perform as expected, you're protected by our Product Promise.
For full details, please see our Terms & Conditions

Please note: All products are 'FOR RESEARCH USE ONLY. NOT FOR USE IN DIAGNOSTIC OR THERAPEUTIC PROCEDURES'.

For licensing inquiries, please contact partnerships@abcam.com