JavaScript is disabled in your browser. Please enable JavaScript to view this website.
AB315394

Anti-IRF4 antibody [EPR28687-87]

  • BOND RX™ Validated
  • 20ul selling size
  • RabMAb
  • Recombinant
  • What is this?

Be the first to review this product! Submit a review

|

(1 Publication)

Rabbit Recombinant Monoclonal IRF4 antibody. Suitable for WB, IHC-P, ICC/IF, IP, Flow Cyt (Intra) and reacts with Human, Mouse, Rat samples. Cited in 1 publication.

View Alternative Names

Spip, Irf4, Interferon regulatory factor 4, IRF-4, Lymphocyte-specific interferon regulatory factor, NF-EM5, PU.1 interaction partner, Transcriptional activator PIP, LSIRF

16 Images
Immunohistochemistry (Formalin/PFA-fixed paraffin-embedded sections) - Anti-IRF4 antibody [EPR28687-87] (AB315394)
  • IHC-P

Supplier Data

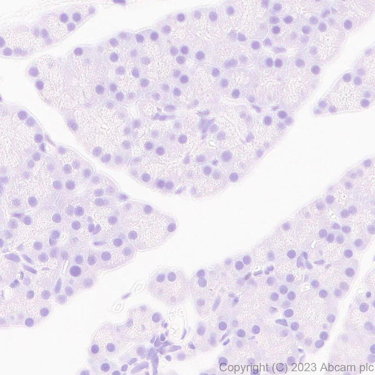
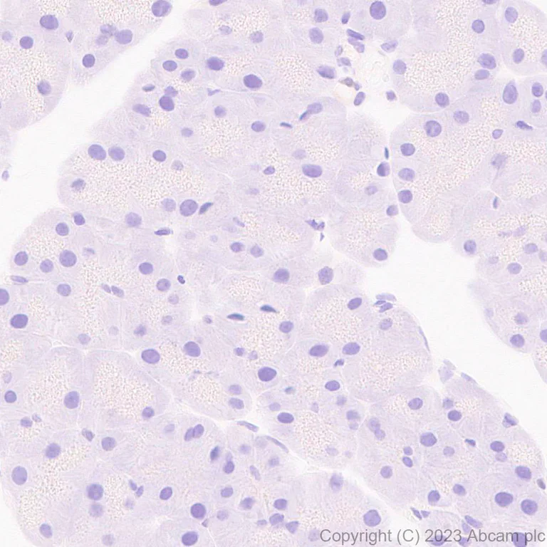
Immunohistochemistry (Formalin/PFA-fixed paraffin-embedded sections) - Anti-IRF4 antibody [EPR28687-87] (AB315394)

Immunohistochemical analysis of paraffin-embedded Human pancreas tissue labeling IRF4 with ab315394 at 1/100 (5.12 ug/ml) dilution, followed by a ready to use LeicaDS9800 (Bond™ Polymer Refine Detection).

Low expression tissue : No staining in human pancreas.
The section was incubated with ab315394 for 30 mins at room temperature.
The immunostaining was performed on a Leica Biosystems BOND® RX instrument

Counterstained with Hematoxylin.

Secondary antibody only control : Secondary antibody is a ready to use LeicaDS9800 (Bond™ Polymer Refine Detection).

Heat mediated antigen retrieval was performed with Tris-EDTA buffer (pH 9.0, Epitope Retrieval Solution2) for 20 mins

Immunohistochemistry (Formalin/PFA-fixed paraffin-embedded sections) - Anti-IRF4 antibody [EPR28687-87] (AB315394)
  • IHC-P

Supplier Data

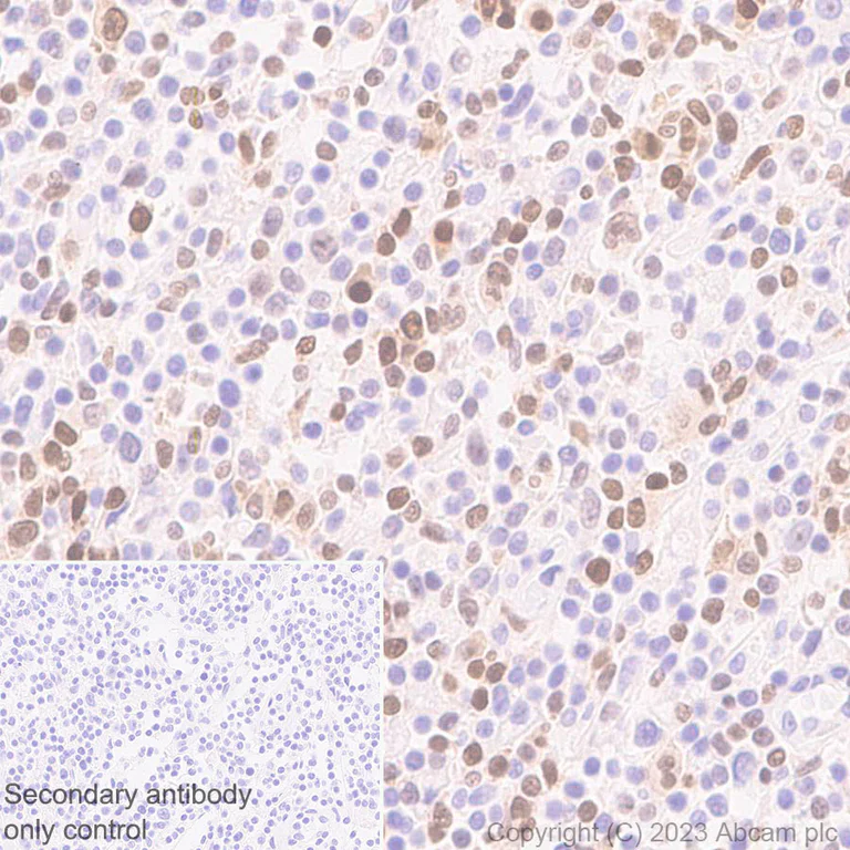
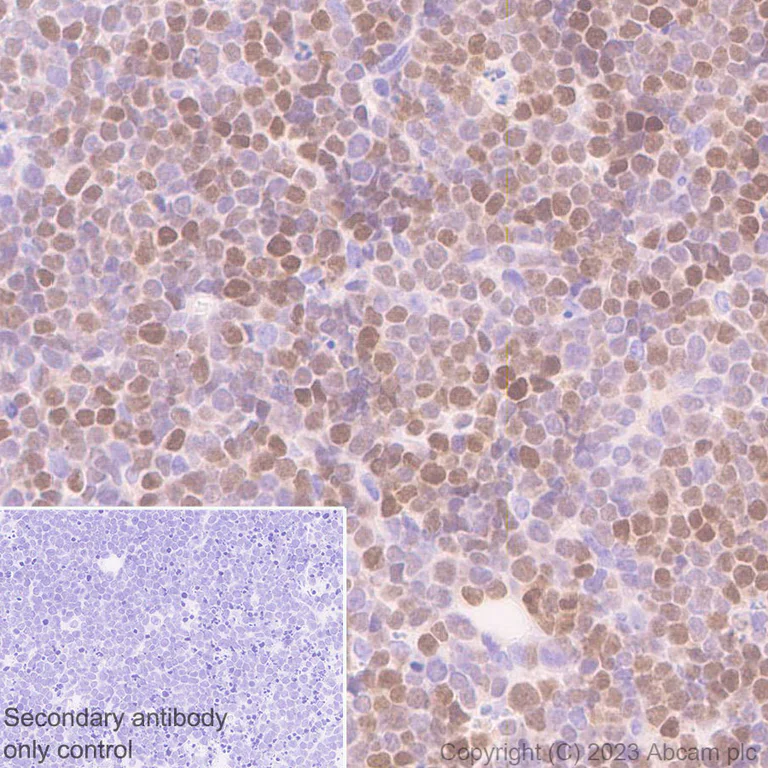
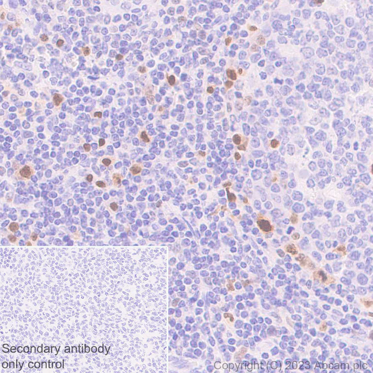
Immunohistochemistry (Formalin/PFA-fixed paraffin-embedded sections) - Anti-IRF4 antibody [EPR28687-87] (AB315394)

Immunohistochemical analysis of paraffin-embedded Human Hodgkin's lymphoma tissue labeling IRF4 with ab315394 at 1/100 (5.12 ug/ml) dilution, followed by a ready to use LeicaDS9800 (Bond™ Polymer Refine Detection).

Positive staining in Human Hodgkin's lymphoma.
The section was incubated with ab315394 for 30 mins at room temperature.
The immunostaining was performed on a Leica Biosystems BOND® RX instrument

Counterstained with Hematoxylin.

Secondary antibody only control : Secondary antibody is a ready to use LeicaDS9800 (Bond™ Polymer Refine Detection).

Heat mediated antigen retrieval was performed with Tris-EDTA buffer (pH 9.0, Epitope Retrieval Solution2) for 20 mins

Immunohistochemistry (Formalin/PFA-fixed paraffin-embedded sections) - Anti-IRF4 antibody [EPR28687-87] (AB315394)
  • IHC-P

Supplier Data

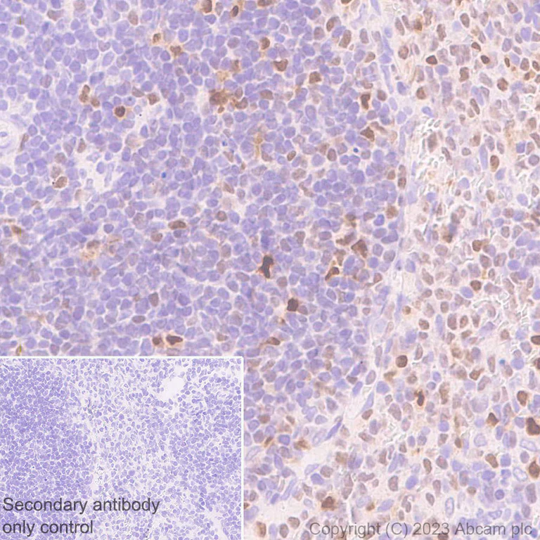
Immunohistochemistry (Formalin/PFA-fixed paraffin-embedded sections) - Anti-IRF4 antibody [EPR28687-87] (AB315394)

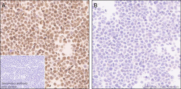
Immunohistochemical analysis of paraffin-embedded A Ramos (human Burkitt's lymphoma B lymphocyte) cell pellets; B Jurkat (human T cell leukemia T lymphocyte from peripheral blood) cell pellets. tissue labeling IRF4 with ab315394 at 1/100 (5.12 ug/ml) dilution, followed by a ready to use LeicaDS9800 (Bond™ Polymer Refine Detection).

Positive staining in A : Ramos cell pellets, nearly no staining in B : Jurkat cell pellets.
The section was incubated with ab315394 for 30 mins at room temperature.
The immunostaining was performed on a Leica Biosystems BOND® RX instrument

Counterstained with Hematoxylin.

Secondary antibody only control : Secondary antibody is a ready to use LeicaDS9800 (Bond™ Polymer Refine Detection).

Heat mediated antigen retrieval was performed with Tris-EDTA buffer (pH 9.0, Epitope Retrieval Solution2) for 20 mins

Immunohistochemistry (Formalin/PFA-fixed paraffin-embedded sections) - Anti-IRF4 antibody [EPR28687-87] (AB315394)
  • IHC-P

Supplier Data

Immunohistochemistry (Formalin/PFA-fixed paraffin-embedded sections) - Anti-IRF4 antibody [EPR28687-87] (AB315394)

Immunohistochemical analysis of paraffin-embedded Human tonsil tissue labeling IRF4 with ab315394 at 1/100 (5.12 ug/ml) dilution, followed by a ready to use LeicaDS9800 (Bond™ Polymer Refine Detection).

Positive staining in human tonsil.
The section was incubated with ab315394 for 30 mins at room temperature.
The immunostaining was performed on a Leica Biosystems BOND® RX instrument

Counterstained with Hematoxylin.

Secondary antibody only control : Secondary antibody is a ready to use LeicaDS9800 (Bond™ Polymer Refine Detection).

Heat mediated antigen retrieval was performed with Tris-EDTA buffer (pH 9.0, Epitope Retrieval Solution2) for 20 mins

Flow Cytometry (Intracellular) - Anti-IRF4 antibody [EPR28687-87] (AB315394)
  • Flow Cyt (Intra)

Lab

Flow Cytometry (Intracellular) - Anti-IRF4 antibody [EPR28687-87] (AB315394)

Flow cytometric analysis of 2% paraformaldehyde fixed 0.1% Tween-20 permeabilized Human PBMC (human peripheral blood mononuclear cell) treated with 10ug/ml PHA for 3days (Red) / Untreated human PBMC (Dotted-red) labelling IRF4 with ab315394 at 1/500 dilution (0.1 ug)/Red and dotted-red, compared with a Rabbit monoclonal IgG (ab172730)  (Black) isotype control and an unlabelled control (cells without incubation with primary antibody and secondary antibody) (Blue).

Goat Anti-Rabbit IgG (Alexa Fluor® 488, ab150081) at 1/5000 dilution was used as the secondary antibody.

Cells are gated on CD4 positive cells. Cells were stained with anti-CD4 conjugated to Alexa Fluor®647. Fixed with 2% PFA for 10 min followed by intracellularly staining with primary antibody.

Immunocytochemistry/ Immunofluorescence - Anti-IRF4 antibody [EPR28687-87] (AB315394)
  • ICC/IF

Supplier Data

Immunocytochemistry/ Immunofluorescence - Anti-IRF4 antibody [EPR28687-87] (AB315394)

Immunofluorescent analysis of 100% methanol-fixed, 0.1% TritonX-100 permeabilized J558 (mouse B lymphocyte lymphoblast) cells labelling IRF4 with ab315394 at 1/100 (5.12 ug/ml) dilution, followed by ab150081 Goat Anti-Rabbit IgG H&L (Alexa Fluor® 488) preadsorbed antibody at 1/1000 (2 ug/ml) dilution (Green).

Confocal image showing mainly nuclear staining in J558 cells and showing weak nuclear staining in EL4 cells.
Low expression : EL4 (PMID : 24711583).
Image was taken with a confocal microscope(Leica-Microsystems, TCS SP8).

ab195889 Anti-alpha Tubulin mouse monoclonal antibody - Microtubule Marker (Alexa Fluor® 594) was used to counterstain tubulin at 1/200 (2.5ug/ml) dilution (Red). The Nuclear counterstain was DAPI (Blue).

Secondary antibody only control : Secondary antibody is ab150081 Goat Anti-Rabbit IgG H&L (Alexa Fluor® 488) preadsorbed at 1/1000 (2 ug/ml) dilution.

Immunohistochemistry (Formalin/PFA-fixed paraffin-embedded sections) - Anti-IRF4 antibody [EPR28687-87] (AB315394)
  • IHC-P

Supplier Data

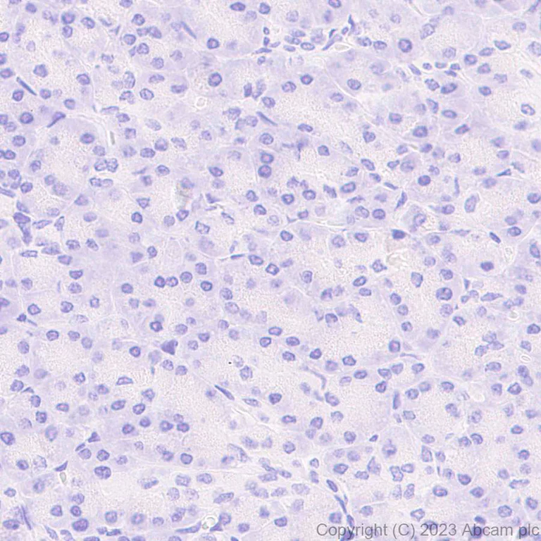
Immunohistochemistry (Formalin/PFA-fixed paraffin-embedded sections) - Anti-IRF4 antibody [EPR28687-87] (AB315394)

Immunohistochemical analysis of paraffin-embedded Rat pancreas tissue labeling IRF4 with ab315394 at 1/100 (5.12 ug/ml) dilution, followed by a ready to use LeicaDS9800 (Bond™ Polymer Refine Detection).

Low expression tissue : No staining in rat pancreas.
The section was incubated with ab315394 for 30 mins at room temperature.
The immunostaining was performed on a Leica Biosystems BOND® RX instrument

Counterstained with Hematoxylin.

Secondary antibody only control : Secondary antibody is a ready to use LeicaDS9800 (Bond™ Polymer Refine Detection).

Heat mediated antigen retrieval was performed with Tris-EDTA buffer (pH 9.0, Epitope Retrieval Solution2) for 20 mins

Immunohistochemistry (Formalin/PFA-fixed paraffin-embedded sections) - Anti-IRF4 antibody [EPR28687-87] (AB315394)
  • IHC-P

Supplier Data

Immunohistochemistry (Formalin/PFA-fixed paraffin-embedded sections) - Anti-IRF4 antibody [EPR28687-87] (AB315394)

Immunohistochemical analysis of paraffin-embedded Mouse pancreas tissue labeling IRF4 with ab315394 at 1/100 (5.12 ug/ml) dilution, followed by a ready to use LeicaDS9800 (Bond™ Polymer Refine Detection).

Low expression tissue : No staining in mouse pancreas.
The section was incubated with ab315394 for 30 mins at room temperature.
The immunostaining was performed on a Leica Biosystems BOND® RX instrument

Counterstained with Hematoxylin.

Secondary antibody only control : Secondary antibody is a ready to use LeicaDS9800 (Bond™ Polymer Refine Detection).

Heat mediated antigen retrieval was performed with Tris-EDTA buffer (pH 9.0, Epitope Retrieval Solution2) for 20 mins

Immunohistochemistry (Formalin/PFA-fixed paraffin-embedded sections) - Anti-IRF4 antibody [EPR28687-87] (AB315394)
  • IHC-P

Supplier Data

Immunohistochemistry (Formalin/PFA-fixed paraffin-embedded sections) - Anti-IRF4 antibody [EPR28687-87] (AB315394)

Immunohistochemical analysis of paraffin-embedded Mouse spleen tissue labeling IRF4 with ab315394 at 1/100 (5.12 ug/ml) dilution, followed by a ready to use LeicaDS9800 (Bond™ Polymer Refine Detection).

Positive staining in mouse spleen.
The section was incubated with ab315394 for 30 mins at room temperature.
The immunostaining was performed on a Leica Biosystems BOND® RX instrument

Counterstained with Hematoxylin.

Secondary antibody only control : Secondary antibody is a ready to use LeicaDS9800 (Bond™ Polymer Refine Detection).

Heat mediated antigen retrieval was performed with Tris-EDTA buffer (pH 9.0, Epitope Retrieval Solution2) for 20 mins

Immunohistochemistry (Formalin/PFA-fixed paraffin-embedded sections) - Anti-IRF4 antibody [EPR28687-87] (AB315394)
  • IHC-P

Supplier Data

Immunohistochemistry (Formalin/PFA-fixed paraffin-embedded sections) - Anti-IRF4 antibody [EPR28687-87] (AB315394)

Immunohistochemical analysis of paraffin-embedded Rat spleen tissue labeling IRF4 with ab315394 at 1/100 (5.12 ug/ml) dilution, followed by a ready to use LeicaDS9800 (Bond™ Polymer Refine Detection).

Positive staining in rat spleen.
The section was incubated with ab315394 for 30 mins at room temperature.
The immunostaining was performed on a Leica Biosystems BOND® RX instrument

Counterstained with Hematoxylin.

Secondary antibody only control : Secondary antibody is a ready to use LeicaDS9800 (Bond™ Polymer Refine Detection).

Heat mediated antigen retrieval was performed with Tris-EDTA buffer (pH 9.0, Epitope Retrieval Solution2) for 20 mins

Immunohistochemistry (Formalin/PFA-fixed paraffin-embedded sections) - Anti-IRF4 antibody [EPR28687-87] (AB315394)
  • IHC-P

Supplier Data

Immunohistochemistry (Formalin/PFA-fixed paraffin-embedded sections) - Anti-IRF4 antibody [EPR28687-87] (AB315394)

Immunohistochemical analysis of paraffin-embedded Mouse Burkitt's lymphoma tissue labeling IRF4 with ab315394 at 1/100 (5.12 ug/ml) dilution, followed by a ready to use LeicaDS9800 (Bond™ Polymer Refine Detection).

Positive staining in mouse Burkitt's lymphoma.
The section was incubated with ab315394 for 30 mins at room temperature.
The immunostaining was performed on a Leica Biosystems BOND® RX instrument

Counterstained with Hematoxylin.

Secondary antibody only control : Secondary antibody is a ready to use LeicaDS9800 (Bond™ Polymer Refine Detection).

Heat mediated antigen retrieval was performed with Tris-EDTA buffer (pH 9.0, Epitope Retrieval Solution2) for 20 mins

Flow Cytometry (Intracellular) - Anti-IRF4 antibody [EPR28687-87] (AB315394)
  • Flow Cyt (Intra)

Lab

Flow Cytometry (Intracellular) - Anti-IRF4 antibody [EPR28687-87] (AB315394)

Flow cytometric analysis of 2% paraformaldehyde fixed 0.1% Tween-20 permeabilized Mouse PBMC (mouse peripheral blood mononuclear cell) treated with 10ug/ml PHA for 3days (Red) / Untreated Mouse PBMC (Dotted-red), labelling IRF4 with ab315394 at 1/500 dilution (0.1 ug)/Red and dotted-red, compared with a Rabbit monoclonal IgG (ab172730) (Black) isotype control and an unlabelled control (cells without incubation with primary antibody and secondary antibody) (Blue).

Goat Anti-Rabbit IgG (Alexa Fluor® 488, ab150081) at 1/5000 dilution was used as the secondary antibody.

Cells are gated on CD4 positive cells. Cells were stained with anti-CD4 conjugated to Alexa Fluor®647. Then fixed with 2% PFA for 10 min followed by intracellularly staining with primary antibody.

Flow Cytometry (Intracellular) - Anti-IRF4 antibody [EPR28687-87] (AB315394)
  • Flow Cyt (Intra)

Supplier Data

Flow Cytometry (Intracellular) - Anti-IRF4 antibody [EPR28687-87] (AB315394)

Flow cytometric analysis of 4% paraformaldehyde fixed 90% methanol permeabilized EL4 (mouse lymphoma T lymphocyte, Left) / J558 (mouse B lymphocyte lymphoblast, Right) cells labelling IRF4 with ab315394 at 1/5000 dilution (0.01 ug)/Red compared with a Rabbit monoclonal IgG (ab172730) (Black) isotype control and an unlabelled control (cells without incubation with primary antibody and secondary antibody) (Blue).

Goat Anti-Rabbit IgG (Alexa Fluor® 488, ab150081) at 1/5000 dilution was used as the secondary antibody.

Low expression : EL4.

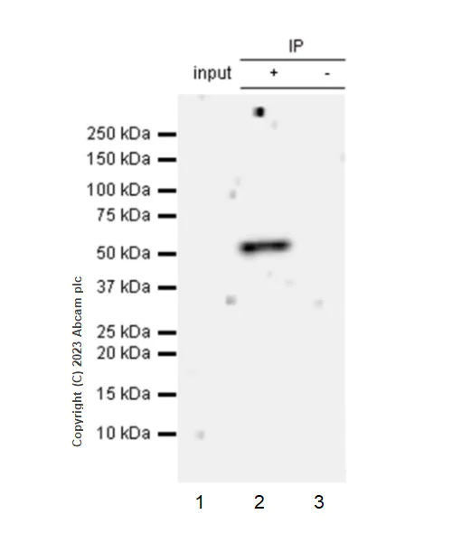
Immunoprecipitation - Anti-IRF4 antibody [EPR28687-87] (AB315394)
  • IP

Supplier Data

Immunoprecipitation - Anti-IRF4 antibody [EPR28687-87] (AB315394)

IRF4 was immunoprecipitated from 0.35 mg Mouse lymph node tissue lysate with ab315394 at 1/30 dilution (2ug in 0.35mg lysates). Western blot was performed on the immunoprecipitate using ab315394 at 1/1000 dilution. VeriBlot for IP secondary antibody(HRP)(ab131366) was used at 1/5000 dilution.

Blocking and diluting buffer and concentration : 5% NFDM/TBST.

All lanes:

Immunoprecipitation - Anti-IRF4 antibody [EPR28687-87] (ab315394) at 1/1000 dilution

Lane 1:

Mouse lymph node tissue lysate

Lane 2:

ab315394 at 1/30 IP in Mouse lymph node tissue lysate

Lane 3:

Rabbit monoclonal IgG (<a href='/en-us/products/primary-antibodies/rabbit-igg-monoclonal-epr25a-isotype-control-ab172730'>ab172730</a>) instead of ab315394 in Mouse lymph node tissue lysate

Secondary

All lanes:

Immunoprecipitation - VeriBlot for IP Detection Reagent (HRP) (<a href='/en-us/products/reagents/veriblot-for-ip-detection-reagent-hrp-ab131366'>ab131366</a>) at 1/5000 dilution

false

Exposure time: 180s

Western blot - Anti-IRF4 antibody [EPR28687-87] (AB315394)
  • WB

Supplier Data

Western blot - Anti-IRF4 antibody [EPR28687-87] (AB315394)

Blocking and diluting buffer and concentration : 5% NFDM/TBST.

Low expression : Jurkat(PMID : 10714679), EL4(PMID : 24711583)

Lower bands could be ubiquitin mediated protein degradation. (PMID : 23658517)

In Western blot, Anti-GAPDH antibody [EPR16891] - Loading Control (ab181602) staining at 1/200000 dilution.

All lanes:

Western blot - Anti-IRF4 antibody [EPR28687-87] (ab315394) at 1/1000 dilution

Lane 1:

Ramos (human Burkitts lymphoma B lymphocyte) whole cell lysate at 20 µg

Lane 2:

Jurkat (human T cell leukemia T lymphocyte from peripheral blood) whole cell lysate at 20 µg

Lane 3:

J558 (mouse B lymphocyte lymphoblast) whole cell lysate at 20 µg

Lane 4:

EL4 (mouse lymphoma T lymphocyte) whole cell lysate at 20 µg

Secondary

All lanes:

Western blot - Goat Anti-Rabbit IgG H&L (HRP) (<a href='/en-us/products/secondary-antibodies/goat-rabbit-igg-h-l-hrp-ab97051'>ab97051</a>) at 1/100000 dilution

Observed band size: 35 kDa,51 kDa,36 kDa

false

Exposure time: 26s

Western blot - Anti-IRF4 antibody [EPR28687-87] (AB315394)
  • WB

Supplier Data

Western blot - Anti-IRF4 antibody [EPR28687-87] (AB315394)

Blocking and diluting buffer and concentration : 5% NFDM/TBST.

Lower bands could be ubiquitin mediated protein degradation. (PMID : 23658517).

In Western blot, Anti-GAPDH antibody [EPR16891] - Loading Control (ab181602) staining at 1/200000 dilution.

All lanes:

Western blot - Anti-IRF4 antibody [EPR28687-87] (ab315394) at 1/1000 dilution

Lane 1:

Mouse lymph node tissue lysate at 20 µg

Lane 2:

Rat spleen tissue lysate at 20 µg

Lane 3:

Rat lymph node tissue lysate at 20 µg

Secondary

All lanes:

Western blot - Goat Anti-Rabbit IgG H&L (HRP) (<a href='/en-us/products/secondary-antibodies/goat-rabbit-igg-h-l-hrp-ab97051'>ab97051</a>) at 1/100000 dilution

Observed band size: 51 kDa,35 kDa,36 kDa

false

  • Carrier free

    Anti-IRF4 antibody [EPR28687-87] - BSA and Azide free

Key facts

Host species

Rabbit

Clonality

Monoclonal

Clone number

EPR28687-87

Isotype

IgG

Carrier free

No

Reacts with

Human, Mouse, Rat

Applications

WB, Flow Cyt (Intra), IHC-P, IP, ICC/IF

applications

Immunogen

The exact immunogen used to generate this antibody is proprietary information.

Reactivity data

{ "title": "Reactivity Data", "filters": { "stats": ["", "Species", "Dilution Info", "Notes"], "tabs": { "all-applications": {"fullname" : "All Applications", "shortname": "All Applications"}, "WB" : {"fullname" : "Western blot", "shortname":"WB"}, "IHCP" : {"fullname" : "Immunohistochemistry (Formalin/PFA-fixed paraffin-embedded sections)", "shortname":"IHC-P"}, "ICCIF" : {"fullname" : "Immunocytochemistry/ Immunofluorescence", "shortname":"ICC/IF"}, "IP" : {"fullname" : "Immunoprecipitation", "shortname":"IP"}, "FlowCytIntra" : {"fullname" : "Flow Cytometry (Intracellular)", "shortname":"Flow Cyt (Intra)"} }, "product-promise": { "all": "all", "testedAndGuaranteed": "tested", "guaranteed": "expected", "predicted": "predicted", "notRecommended": "not-recommended" } }, "values": { "Human": { "WB-species-checked": "testedAndGuaranteed", "WB-species-dilution-info": "1/1000", "WB-species-notes": "<p></p>", "IHCP-species-checked": "testedAndGuaranteed", "IHCP-species-dilution-info": "1/100", "IHCP-species-notes": "<p></p> Perform heat-mediated antigen retrieval with Tris/EDTA buffer pH 9.0 before commencing with IHC staining protocol.", "ICCIF-species-checked": "guaranteed", "ICCIF-species-dilution-info": "", "ICCIF-species-notes": "", "IP-species-checked": "guaranteed", "IP-species-dilution-info": "", "IP-species-notes": "", "FlowCytIntra-species-checked": "testedAndGuaranteed", "FlowCytIntra-species-dilution-info": "1/500", "FlowCytIntra-species-notes": "<p></p>" }, "Mouse": { "WB-species-checked": "testedAndGuaranteed", "WB-species-dilution-info": "1/1000", "WB-species-notes": "<p></p>", "IHCP-species-checked": "testedAndGuaranteed", "IHCP-species-dilution-info": "1/100", "IHCP-species-notes": "<p></p> Perform heat-mediated antigen retrieval with Tris/EDTA buffer pH 9.0 before commencing with IHC staining protocol.", "ICCIF-species-checked": "testedAndGuaranteed", "ICCIF-species-dilution-info": "1/100", "ICCIF-species-notes": "<p></p>", "IP-species-checked": "testedAndGuaranteed", "IP-species-dilution-info": "1/30", "IP-species-notes": "<p></p>", "FlowCytIntra-species-checked": "testedAndGuaranteed", "FlowCytIntra-species-dilution-info": "1/5000", "FlowCytIntra-species-notes": "<p></p>" }, "Rat": { "WB-species-checked": "testedAndGuaranteed", "WB-species-dilution-info": "1/1000", "WB-species-notes": "<p></p>", "IHCP-species-checked": "testedAndGuaranteed", "IHCP-species-dilution-info": "1/100", "IHCP-species-notes": "<p></p> Perform heat-mediated antigen retrieval with Tris/EDTA buffer pH 9.0 before commencing with IHC staining protocol.", "ICCIF-species-checked": "guaranteed", "ICCIF-species-dilution-info": "", "ICCIF-species-notes": "", "IP-species-checked": "guaranteed", "IP-species-dilution-info": "", "IP-species-notes": "", "FlowCytIntra-species-checked": "guaranteed", "FlowCytIntra-species-dilution-info": "", "FlowCytIntra-species-notes": "" } } }

Product details

Patented technology
Our RabMAb® technology is a patented hybridoma-based technology for making rabbit monoclonal antibodies. For details on our patents, please refer to RabMAb® patents.

What are the advantages of a recombinant monoclonal antibody?
This product is a recombinant monoclonal antibody, which offers several advantages including:

  • - High batch-to-batch consistency and reproducibility
  • - Improved sensitivity and specificity
  • - Long-term security of supply
  • - Animal-free batch production

For more information, read more on recombinant antibodies.

Properties and storage information

Form
Liquid
Purification technique
Affinity purification Protein A
Storage buffer
pH: 7.2 - 7.4 Preservative: 0.01% Sodium azide Constituents: PBS, 40% Glycerol (glycerin, glycerine), 0.05% BSA
Shipped at conditions
Blue Ice
Appropriate short-term storage duration
1-2 weeks
Appropriate short-term storage conditions
+4°C
Appropriate long-term storage conditions
-20°C
Aliquoting information
Upon delivery aliquot
Storage information
Avoid freeze / thaw cycle

Supplementary information

This supplementary information is collated from multiple sources and compiled automatically.

The IRF4 protein also known as Interferon Regulatory Factor 4 is a transcription factor encoded by the IRF4 gene. It weighs approximately 52 kDa. IRF4 is expressed mainly in lymphoid cells including B cells T cells and macrophages. It plays a mechanical role in regulating gene expression by binding to specific DNA sequences. Through these interactions IRF4 influences various cellular processes important for the immune response.
Biological function summary

IRF4 helps in the activation and differentiation of immune cells. It forms complexes with other transcription factors like PU.1 enhancing its regulatory functions. IRF4 also contributes to the maturation of B and T lymphocytes impacting the adaptive immune system. It acts by modulating expression of cytokines and surface markers involved in immune response.

Pathways

IRF4 functions within the immune response and cell differentiation pathways. It interacts with pathways like NF-kB and MAPK linking it to important immune regulatory processes. IRF4 associates with proteins such as c-Rel in the NF-kB pathway influencing gene expression related to immune activation and survival.

IRF4 plays a role in multiple myeloma and autoimmune disorders. Aberrant expression of IRF4 can lead to dysregulated immune cell proliferation as seen in multiple myeloma. It also connects with proteins like BLIMP-1 contributing to pathogenesis of autoimmune conditions. Understanding IRF4’s involvement provides insights into potential therapeutic targets for such diseases.

Product protocols

For this product, it's our understanding that no specific protocols are required. You can visit:

Target data

Transcriptional activator. Binds to the interferon-stimulated response element (ISRE) of the MHC class I promoter. Binds the immunoglobulin lambda light chain enhancer, together with PU.1. Probably plays a role in ISRE-targeted signal transduction mechanisms specific to lymphoid cells. Involved in CD8(+) dendritic cell differentiation by forming a complex with the BATF-JUNB heterodimer in immune cells, leading to recognition of AICE sequence (5'-TGAnTCA/GAAA-3'), an immune-specific regulatory element, followed by cooperative binding of BATF and IRF4 and activation of genes.
See full target information Irf4

Publications (1)

Recent publications for all applications. Explore the full list and refine your search

International journal of biological sciences 21:3827-3851 PubMed40607252

2025

Interferon Regulatory Factor 4 Recruits Immature B Cells to Signal Tertiary Lymphoid Structure Immaturity and Progression of Clear Cell Renal Cell Carcinoma.

Applications

Unspecified application

Species

Unspecified reactive species

Siqi Zhou,Shiqi Ye,Liang Chen,Qintao Ge,Jiahe Lu,Aihetaimujiang Anwaier,Xi Tian,Zhongyuan Wang,Shuxuan Zhu,Kun Chang,Jianfeng Yang,Tian Li,Hailiang Zhang,Dingwei Ye,Jianfeng Xiang,Wenhao Xu
View all publications

Product promise

We are committed to supporting your work with high-quality reagents, and we're here for you every step of the way. In the unlikely event that one of our products does not perform as expected, you're protected by our Product Promise.
For full details, please see our Terms & Conditions

Please note: All products are 'FOR RESEARCH USE ONLY. NOT FOR USE IN DIAGNOSTIC OR THERAPEUTIC PROCEDURES'.

For licensing inquiries, please contact partnerships@abcam.com