JavaScript is disabled in your browser. Please enable JavaScript to view this website.
AB242427

Anti-IRF4 antibody [SP114] - BSA and Azide free

4

(1 Review)

|

(1 Publication)

Rabbit Recombinant Monoclonal IRF4 antibody. Carrier free. Suitable for Flow Cyt (Intra), WB, IHC-P and reacts with Human samples. Cited in 1 publication.

View Alternative Names

MUM1, IRF4, Interferon regulatory factor 4, IRF-4, Lymphocyte-specific interferon regulatory factor, Multiple myeloma oncogene 1, NF-EM5, LSIRF

5 Images
Immunohistochemistry (Formalin/PFA-fixed paraffin-embedded sections) - Anti-IRF4 antibody [SP114] - BSA and Azide free (AB242427)
  • IHC-P

Supplier Data

Immunohistochemistry (Formalin/PFA-fixed paraffin-embedded sections) - Anti-IRF4 antibody [SP114] - BSA and Azide free (AB242427)

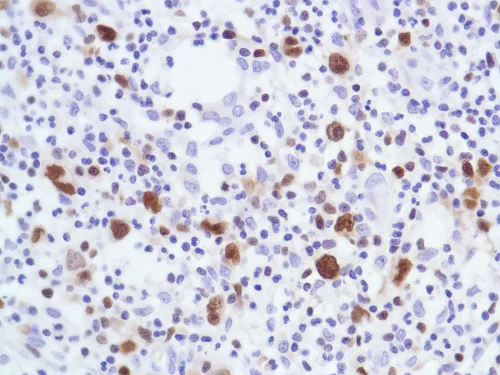
Formalin-fixed, paraffin-embedded human Hodgkin's lymphoma tissue stained for IRF4 using ab227646 at 1/100 dilution in immunohistochemical analysis.

This data was developed using the same antibody clone in a different buffer formulation containing PBS, BSA, and sodium azide (ab227646).

Flow Cytometry (Intracellular) - Anti-IRF4 antibody [SP114] - BSA and Azide free (AB242427)
  • Flow Cyt (Intra)

Unknown

Flow Cytometry (Intracellular) - Anti-IRF4 antibody [SP114] - BSA and Azide free (AB242427)

Flow Cytometry analysis of Ramos(Human Burkitt's lymphoma B lymphocyte) cells labeling IRF4 with purified ab227646 at 1 : 230 dilution (1.01 μg/ml) Red. Cells were fixed with 4% paraformaldehyde . A Goat anti rabbit IgG (Alexa Fluor® 488, ab150081) secondary antibody was used at 1 : 2000 dilution. Isotype control - Rabbit monoclonal IgG (ab172730) / Black. Unlabeled control - Unlabelled cells / Blue.
This data was developed using the same antibody clone in a different buffer formulation containing PBS, BSA, glycerol, and sodium azide (ab115803).

Immunohistochemistry (Formalin/PFA-fixed paraffin-embedded sections) - Anti-IRF4 antibody [SP114] - BSA and Azide free (AB242427)
  • IHC-P

Unknown

Immunohistochemistry (Formalin/PFA-fixed paraffin-embedded sections) - Anti-IRF4 antibody [SP114] - BSA and Azide free (AB242427)

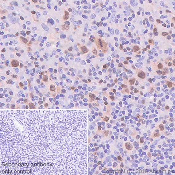
Immunohistochemistry (Formalin/PFA-fixed paraffin-embedded sections) analysis of Human Hodgkin's lymphoma tissue sections labeling IRF4 with ab227646 at 1/100 dilution (2.32 μg/ml). Heat mediated antigen retrieval was performed Heat mediated antigen retrieval with Tris-EDTA buffer (pH 9.0, epitope retrieval solution 2) for 10mins. Rabbit specific IHC polymer detection kit HRP/DAB (ab209101) was used as the secondary antibody. Negative control : PBS instead of the primary antibody. Hematoxylin was used as a counterstain.
This data was developed using the same antibody clone in a different buffer formulation containing PBS, BSA, glycerol, and sodium azide (ab227646)

Immunohistochemistry (Formalin/PFA-fixed paraffin-embedded sections) - Anti-IRF4 antibody [SP114] - BSA and Azide free (AB242427)
  • IHC-P

Unknown

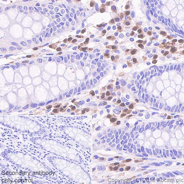
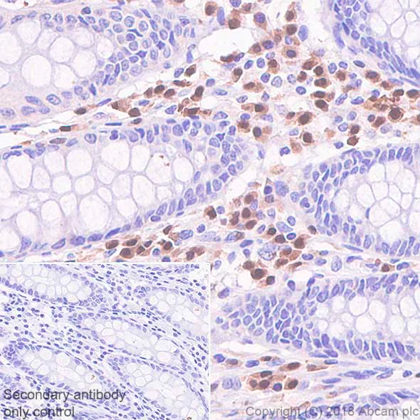
Immunohistochemistry (Formalin/PFA-fixed paraffin-embedded sections) - Anti-IRF4 antibody [SP114] - BSA and Azide free (AB242427)

Immunohistochemistry (Formalin/PFA-fixed paraffin-embedded sections) analysis of Human colon tissue sections labeling IRF4 with ab227646 at 1/100 dilution (2.32 μg/ml). Heat mediated antigen retrieval was performed Heat mediated antigen retrieval with Tris-EDTA buffer (pH 9.0, epitope retrieval solution 2) for 10mins. Rabbit specific IHC polymer detection kit HRP/DAB (ab209101) was used as the secondary antibody. Negative control : PBS instead of the primary antibody. Hematoxylin was used as a counterstain.
This data was developed using the same antibody clone in a different buffer formulation containing PBS, BSA, glycerol, and sodium azide (ab227646)

Immunohistochemistry (Formalin/PFA-fixed paraffin-embedded sections) - Anti-IRF4 antibody [SP114] - BSA and Azide free (AB242427)
  • IHC-P

Supplier Data

Immunohistochemistry (Formalin/PFA-fixed paraffin-embedded sections) - Anti-IRF4 antibody [SP114] - BSA and Azide free (AB242427)

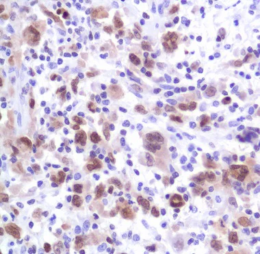
Formalin-fixed, paraffin-embedded human HK lymphoma tissue stained for IRF4 using ab227646 at 1/100 dilution in immunohistochemical analysis.

This data was developed using the same antibody clone in a different buffer formulation containing PBS, BSA, and sodium azide (ab227646).

Key facts

Host species

Rabbit

Clonality

Monoclonal

Clone number

SP114

Isotype

IgG

Carrier free

Yes

Reacts with

Human

Applications

IHC-P, Flow Cyt (Intra), WB

applications

Immunogen

The exact immunogen used to generate this antibody is proprietary information.

Specificity

Not suitable for IP-Mouse.

Reactivity data

{ "title": "Reactivity Data", "filters": { "stats": ["", "Species", "Dilution Info", "Notes"], "tabs": { "all-applications": {"fullname" : "All Applications", "shortname": "All Applications"}, "FlowCytIntra" : {"fullname" : "Flow Cytometry (Intracellular)", "shortname":"Flow Cyt (Intra)"}, "IP" : {"fullname" : "Immunoprecipitation", "shortname":"IP"}, "WB" : {"fullname" : "Western blot", "shortname":"WB"}, "IHCP" : {"fullname" : "Immunohistochemistry (Formalin/PFA-fixed paraffin-embedded sections)", "shortname":"IHC-P"} }, "product-promise": { "all": "all", "testedAndGuaranteed": "tested", "guaranteed": "expected", "predicted": "predicted", "notRecommended": "not-recommended" } }, "values": { "Human": { "FlowCytIntra-species-checked": "testedAndGuaranteed", "FlowCytIntra-species-dilution-info": "", "FlowCytIntra-species-notes": "<p></p>", "IP-species-checked": "notRecommended", "IP-species-dilution-info": "", "IP-species-notes": "", "WB-species-checked": "testedAndGuaranteed", "WB-species-dilution-info": "", "WB-species-notes": "<p>Primary antibody incubation for 1 hour at room temperature.</p>", "IHCP-species-checked": "testedAndGuaranteed", "IHCP-species-dilution-info": "", "IHCP-species-notes": "<p>Perform heat mediated antigen retrieval with 10 mM EDTA buffer before commencing with IHC staining protocol.</p><p>Primary antibody incubation for 30 minutes at room temperature.</p>" }, "Mouse": { "FlowCytIntra-species-checked": "predicted", "FlowCytIntra-species-dilution-info": "", "FlowCytIntra-species-notes": "", "IP-species-checked": "notRecommended", "IP-species-dilution-info": "", "IP-species-notes": "<p>Not suitable for IP-Mouse.</p>", "WB-species-checked": "predicted", "WB-species-dilution-info": "", "WB-species-notes": "", "IHCP-species-checked": "predicted", "IHCP-species-dilution-info": "", "IHCP-species-notes": "" }, "Rat": { "FlowCytIntra-species-checked": "predicted", "FlowCytIntra-species-dilution-info": "", "FlowCytIntra-species-notes": "", "IP-species-checked": "notRecommended", "IP-species-dilution-info": "", "IP-species-notes": "", "WB-species-checked": "predicted", "WB-species-dilution-info": "", "WB-species-notes": "", "IHCP-species-checked": "predicted", "IHCP-species-dilution-info": "", "IHCP-species-notes": "" }, "Chicken": { "FlowCytIntra-species-checked": "predicted", "FlowCytIntra-species-dilution-info": "", "FlowCytIntra-species-notes": "", "IP-species-checked": "notRecommended", "IP-species-dilution-info": "", "IP-species-notes": "", "WB-species-checked": "predicted", "WB-species-dilution-info": "", "WB-species-notes": "", "IHCP-species-checked": "predicted", "IHCP-species-dilution-info": "", "IHCP-species-notes": "" }, "Cow": { "FlowCytIntra-species-checked": "predicted", "FlowCytIntra-species-dilution-info": "", "FlowCytIntra-species-notes": "", "IP-species-checked": "notRecommended", "IP-species-dilution-info": "", "IP-species-notes": "", "WB-species-checked": "predicted", "WB-species-dilution-info": "", "WB-species-notes": "", "IHCP-species-checked": "predicted", "IHCP-species-dilution-info": "", "IHCP-species-notes": "" }, "Dog": { "FlowCytIntra-species-checked": "predicted", "FlowCytIntra-species-dilution-info": "", "FlowCytIntra-species-notes": "", "IP-species-checked": "notRecommended", "IP-species-dilution-info": "", "IP-species-notes": "", "WB-species-checked": "predicted", "WB-species-dilution-info": "", "WB-species-notes": "", "IHCP-species-checked": "predicted", "IHCP-species-dilution-info": "", "IHCP-species-notes": "" }, "Rabbit": { "FlowCytIntra-species-checked": "predicted", "FlowCytIntra-species-dilution-info": "", "FlowCytIntra-species-notes": "", "IP-species-checked": "notRecommended", "IP-species-dilution-info": "", "IP-species-notes": "", "WB-species-checked": "predicted", "WB-species-dilution-info": "", "WB-species-notes": "", "IHCP-species-checked": "predicted", "IHCP-species-dilution-info": "", "IHCP-species-notes": "" } } }

Product details

ab242427 is the carrier-free version of ab227646.

What are the advantages of a recombinant monoclonal antibody?
This product is a recombinant monoclonal antibody, which offers several advantages including:

  • - High batch-to-batch consistency and reproducibility
  • - Improved sensitivity and specificity
  • - Long-term security of supply
  • - Animal-free batch production

For more information, read more on recombinant antibodies.

Conjugation ready
Our carrier-free antibodies are typically supplied in a PBS-only formulation, purified and free of BSA, sodium azide and glycerol. This conjugation-ready format is designed for use with fluorochromes, metal isotopes, oligonucleotides, and enzymes, which makes them ideal for antibody labelling, functional and cell-based assays, flow-based assays (e.g. mass cytometry) and Multiplex Imaging applications.

Use our conjugation kits for antibody conjugates that are ready-to-use in as little as 20 minutes with 1 minute hands-on-time and 100% antibody recovery: available for fluorescent dyes, HRP, biotin and gold.

Compatibility
This product is compatible with the Maxpar® Antibody Labeling Kit from Fluidigm, without the need for antibody preparation. Maxpar® is a trademark of Fluidigm Canada Inc.

Properties and storage information

Form
Liquid
Purification technique
Affinity purification Protein A/G
Purification notes
Purified from TCS by protein A/G.
Storage buffer
pH: 7.2 - 7.4 Constituents: PBS
Shipped at conditions
Blue Ice
Appropriate short-term storage conditions
+4°C
Appropriate long-term storage conditions
+4°C
Storage information
Do Not Freeze

Supplementary information

This supplementary information is collated from multiple sources and compiled automatically.

The IRF4 protein also known as Interferon Regulatory Factor 4 is a transcription factor encoded by the IRF4 gene. It weighs approximately 52 kDa. IRF4 is expressed mainly in lymphoid cells including B cells T cells and macrophages. It plays a mechanical role in regulating gene expression by binding to specific DNA sequences. Through these interactions IRF4 influences various cellular processes important for the immune response.
Biological function summary

IRF4 helps in the activation and differentiation of immune cells. It forms complexes with other transcription factors like PU.1 enhancing its regulatory functions. IRF4 also contributes to the maturation of B and T lymphocytes impacting the adaptive immune system. It acts by modulating expression of cytokines and surface markers involved in immune response.

Pathways

IRF4 functions within the immune response and cell differentiation pathways. It interacts with pathways like NF-kB and MAPK linking it to important immune regulatory processes. IRF4 associates with proteins such as c-Rel in the NF-kB pathway influencing gene expression related to immune activation and survival.

IRF4 plays a role in multiple myeloma and autoimmune disorders. Aberrant expression of IRF4 can lead to dysregulated immune cell proliferation as seen in multiple myeloma. It also connects with proteins like BLIMP-1 contributing to pathogenesis of autoimmune conditions. Understanding IRF4’s involvement provides insights into potential therapeutic targets for such diseases.

Product protocols

For this product, it's our understanding that no specific protocols are required. You can visit:

Target data

Transcriptional activator. Binds to the interferon-stimulated response element (ISRE) of the MHC class I promoter. Binds the immunoglobulin lambda light chain enhancer, together with PU.1. Probably plays a role in ISRE-targeted signal transduction mechanisms specific to lymphoid cells. Involved in CD8(+) dendritic cell differentiation by forming a complex with the BATF-JUNB heterodimer in immune cells, leading to recognition of AICE sequence (5'-TGAnTCA/GAAA-3'), an immune-specific regulatory element, followed by cooperative binding of BATF and IRF4 and activation of genes (By similarity).
See full target information IRF4

Publications (1)

Recent publications for all applications. Explore the full list and refine your search

Matrix biology : journal of the International Society for Matrix Biology 98:32-48 PubMed34015468

2021

Loss of sphingosine kinase 2 enhances Wilm's tumor suppressor gene 1 and nephrin expression in podocytes and protects from streptozotocin-induced podocytopathy and albuminuria in mice.

Applications

Unspecified application

Species

Unspecified reactive species

Faik Imeri,Bisera Stepanovska Tanturovska,Stephanie Schwalm,Sarbari Saha,Jinyang Zeng-Brouwers,Herrmann Pavenstädt,Josef Pfeilschifter,Liliana Schaefer,Andrea Huwiler
View all publications

Product promise

We are committed to supporting your work with high-quality reagents, and we're here for you every step of the way. In the unlikely event that one of our products does not perform as expected, you're protected by our Product Promise.
For full details, please see our Terms & Conditions

Please note: All products are 'FOR RESEARCH USE ONLY. NOT FOR USE IN DIAGNOSTIC OR THERAPEUTIC PROCEDURES'.

For licensing inquiries, please contact partnerships@abcam.com