JavaScript is disabled in your browser. Please enable JavaScript to view this website.
AB231163

Anti-IRF5 antibody [EPR17067] - BSA and Azide free

Be the first to review this product! Submit a review

|

(0 Publication)

Knockout Tested Rabbit Recombinant Monoclonal IRF5 antibody. Carrier free. Suitable for IP, WB, ICC/IF, Flow Cyt (Intra), IHC-P and reacts with Mouse, Human, Rat, Transfected cell lysate samples.

View Alternative Names

Interferon regulatory factor 5, IRF-5, IRF5

12 Images
Flow Cytometry (Intracellular) - Anti-IRF5 antibody [EPR17067] - BSA and Azide free (AB231163)
  • Flow Cyt (Intra)

Supplier Data

Flow Cytometry (Intracellular) - Anti-IRF5 antibody [EPR17067] - BSA and Azide free (AB231163)

Intracellular flow cytometric analysis of 2% paraformaldehyde-fixed THP-1 (Human monocytic leukemia cells) cells labeling IRF5�with ab181553 at 1/50 dilution (red) compared with a rabbit monoclonal IgG isotype control (ab172730;�black) and an unlabelled control (cells without incubation with primary antibody and secondary antibody; blue). Goat anti rabbit IgG (FITC) at 1/150 dilution was used as the secondary antibody.

This data was developed using the same antibody clone in a different buffer formulation containing PBS, BSA, glycerol, and sodium azide (ab181553).

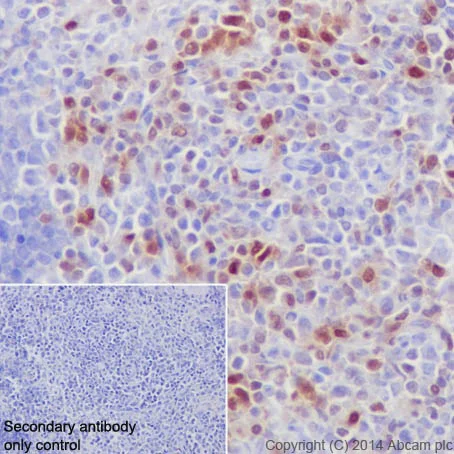
Immunohistochemistry (Formalin/PFA-fixed paraffin-embedded sections) - Anti-IRF5 antibody [EPR17067] - BSA and Azide free (AB231163)
  • IHC-P

Supplier Data

Immunohistochemistry (Formalin/PFA-fixed paraffin-embedded sections) - Anti-IRF5 antibody [EPR17067] - BSA and Azide free (AB231163)

This IHC data was generated using the same anti-IRF5 antibody clone, EPR17067, in a different buffer formulation (cat# ab181553).

Immunohistochemical analysis of paraffin-embedded Human breast cancer tissue labeling IRF5 with ab181553 at 1/500 dilution, followed by Goat Anti-Rabbit IgG H&L (HRP) (ab97051) secondary antibody at 1/500 dilution. Nuclear and cytoplasmic staining on leukocyte of Human breast cancer stroma is observed. Counter stained with Hematoxylin.

Secondary antibody only control : Used PBS instead of primary antibody, secondary antibody is Goat Anti-Rabbit IgG H&L (HRP) (ab97051) at 1/500 dilution.

Heat mediated antigen retrieval was performed with Tris/EDTA buffer pH 9.0 before commencing with IHC staining protocol.

Immunocytochemistry/ Immunofluorescence - Anti-IRF5 antibody [EPR17067] - BSA and Azide free (AB231163)
  • ICC/IF

Lab

Immunocytochemistry/ Immunofluorescence - Anti-IRF5 antibody [EPR17067] - BSA and Azide free (AB231163)

This ICC data was generated using the same anti-IRF5 antibody clone, EPR17067, in a different buffer formulation (cat# ab181553).

Immunofluorescent analysis of 4% paraformaldehyde-fixed, 0.1% Triton X-100 permeabilized THP-1 (Human monocytic leukemia cells) cells labeling IRF5 with ab181553 at 1/1000 dilution, followed by Goat anti-rabbit IgG (Alexa Fluor® 488) (ab150077) secondary antibody at 1/500 dilution (green). Confocal image showing cytoplasmic and weakly nuclear staining on THP-1 cells. The nuclear counter stain is DAPI (blue). Tubulin is detected with ab7291 (anti-Tubulin mouse mAb) at 1/1000 dilution and ab150120 (AlexaFluor®594 Goat anti-Mouse secondary) at 1/500 dilution (red).
The negative controls are as follows :
-ve control 1 : ab181553 at 1/1000 dilution followed by ab150120 (AlexaFluor®594 Goat anti-Mouse secondary) at 1/500 dilution.
-ve control 2 : ab7291 (anti-Tubulin mouse mAb) at 1/1000 dilution followed by ab150077 (Alexa Fluor®488 Goat Anti-Rabbit IgG H&L) at 1/500 dilution.

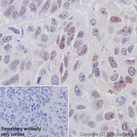
Immunohistochemistry (Formalin/PFA-fixed paraffin-embedded sections) - Anti-IRF5 antibody [EPR17067] - BSA and Azide free (AB231163)
  • IHC-P

Supplier Data

Immunohistochemistry (Formalin/PFA-fixed paraffin-embedded sections) - Anti-IRF5 antibody [EPR17067] - BSA and Azide free (AB231163)

Immunohistochemical analysis of paraffin-embedded Human lung cancer tissue labeling IRF5 with ab181553 at 1/500 dilution, followed by Goat Anti-Rabbit IgG H&L (HRP) (ab97051) secondary antibody at 1/500 dilution. Nucleus staining on cancer cells of Human lung cancer is observed. Counter stained with Hematoxylin.

Secondary antibody only control : Used PBS instead of primary antibody, secondary antibody is Goat Anti-Rabbit IgG H&L (HRP) (ab97051) at 1/500 dilution.

This data was developed using the same antibody clone in a different buffer formulation containing PBS, BSA, glycerol, and sodium azide (ab181553).

Heat mediated antigen retrieval was performed with Tris/EDTA buffer pH 9.0 before commencing with IHC staining protocol.

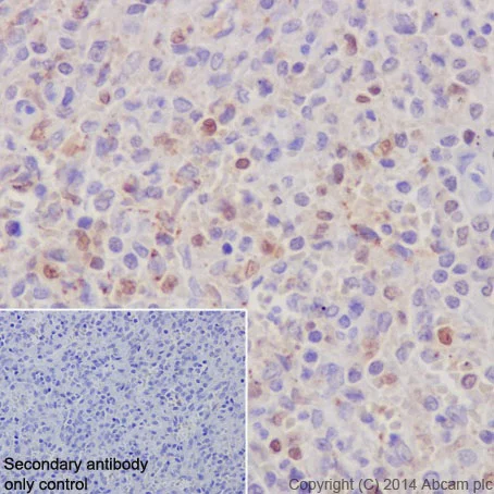
Immunohistochemistry (Formalin/PFA-fixed paraffin-embedded sections) - Anti-IRF5 antibody [EPR17067] - BSA and Azide free (AB231163)
  • IHC-P

Supplier Data

Immunohistochemistry (Formalin/PFA-fixed paraffin-embedded sections) - Anti-IRF5 antibody [EPR17067] - BSA and Azide free (AB231163)

Immunohistochemical analysis of paraffin-embedded Human spleen tissue labeling IRF5 with ab181553 at 1/500 dilution, followed by Goat Anti-Rabbit IgG H&L (HRP) (ab97051) secondary antibody at 1/500 dilution. Nuclear and cytoplasmic staining on leukocytes of Human spleen is observed. Counter stained with Hematoxylin.

Secondary antibody only control : Used PBS instead of primary antibody, secondary antibody is Goat Anti-Rabbit IgG H&L (HRP) (ab97051) at 1/500 dilution.

This data was developed using the same antibody clone in a different buffer formulation containing PBS, BSA, glycerol, and sodium azide (ab181553).

Heat mediated antigen retrieval was performed with Tris/EDTA buffer pH 9.0 before commencing with IHC staining protocol.

Immunohistochemistry (Formalin/PFA-fixed paraffin-embedded sections) - Anti-IRF5 antibody [EPR17067] - BSA and Azide free (AB231163)
  • IHC-P

Unknown

Immunohistochemistry (Formalin/PFA-fixed paraffin-embedded sections) - Anti-IRF5 antibody [EPR17067] - BSA and Azide free (AB231163)

Anti-IRF5 antibody [EPR17067] (ab181553)
Immunohistochemistry (Formalin/PFA-fixed paraffin-embedded sections) analysis of human tonsil tissue labelling IRF5 with ab181553 at a dilution of 1 : 500. Heat mediated antigen retrieval was performed using AR9 antigen retrieval solution, and microwave treatment for 15 min at 20% power. Anti-Rabbit/Mouse HRP polymer (PerkinElmer Opal Polymer HRP Ms Plus Rb) was used as secondary antibody. Opal tyramide amplification was performed using Opal 520 fluorophore. Counterstained with DAPI stain. Image scanned with Vectra 3.0 and analyzed via Phenochart software.
This image was courteously provided by Dr. Houssein Abdul Sater, Georgia Cancer Center.

Immunocytochemistry/ Immunofluorescence - Anti-IRF5 antibody [EPR17067] - BSA and Azide free (AB231163)
  • ICC/IF

Lab

Immunocytochemistry/ Immunofluorescence - Anti-IRF5 antibody [EPR17067] - BSA and Azide free (AB231163)

Immunofluorescent analysis of 4% paraformaldehyde-fixed, 0.1% Triton X-100 permeabilized RAW 264.7 (Mouse macrophage cells transformed with Abelson murine leukemia virus) cells labeling IRF5 with ab181553 at 1/1000 dilution, followed by Goat anti-rabbit IgG (Alexa Fluor® 488) (ab150077) secondary antibody at 1/500 dilution (green). Confocal image showing cytoplasmic and weakly nuclear staining on RAW 264.7 cells. The nuclear counter stain is DAPI (blue). Tubulin is detected with ab7291 (anti-Tubulin mouse mAb) at 1/1000 dilution and ab150120 (AlexaFluor®594 Goat anti-Mouse secondary) at 1/500 dilution (red).
The negative controls are as follows :
-ve control 1 : ab181553 at 1/1000 dilution followed by ab150120 (AlexaFluor®594 Goat anti-Mouse secondary) at 1/500 dilution.
-ve control 2 : ab7291 (anti-Tubulin mouse mAb) at 1/1000 dilution followed by ab150077 (Alexa Fluor®488 Goat Anti-Rabbit IgG H&L) at 1/500 dilution.

This data was developed using the same antibody clone in a different buffer formulation containing PBS, BSA, glycerol, and sodium azide (ab181553).

Immunohistochemistry (Formalin/PFA-fixed paraffin-embedded sections) - Anti-IRF5 antibody [EPR17067] - BSA and Azide free (AB231163)
  • IHC-P

Supplier Data

Immunohistochemistry (Formalin/PFA-fixed paraffin-embedded sections) - Anti-IRF5 antibody [EPR17067] - BSA and Azide free (AB231163)

Immunohistochemical analysis of paraffin-embedded Rat spleen tissue labeling IRF5 with ab181553 at 1/500 dilution, followed by Goat Anti-Rabbit IgG H&L (HRP) (ab97051) secondary antibody at 1/500 dilution. Nuclear and cytoplasmic staining on lymphocytes of rat spleen is observed. Counter stained with Hematoxylin.

Secondary antibody only control : Used PBS instead of primary antibody, secondary antibody is Goat Anti-Rabbit IgG H&L (HRP) (ab97051) at 1/500 dilution.

This data was developed using the same antibody clone in a different buffer formulation containing PBS, BSA, glycerol, and sodium azide (ab181553).

Heat mediated antigen retrieval was performed with Tris/EDTA buffer pH 9.0 before commencing with IHC staining protocol.

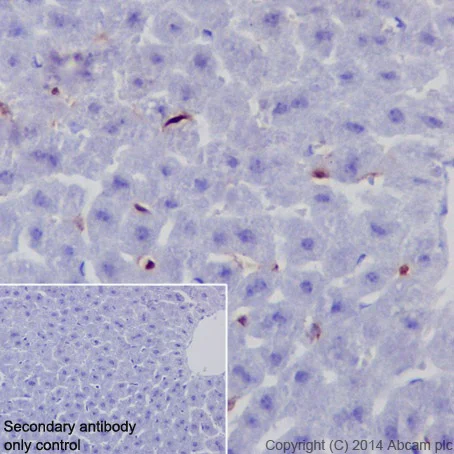
Immunohistochemistry (Formalin/PFA-fixed paraffin-embedded sections) - Anti-IRF5 antibody [EPR17067] - BSA and Azide free (AB231163)
  • IHC-P

Supplier Data

Immunohistochemistry (Formalin/PFA-fixed paraffin-embedded sections) - Anti-IRF5 antibody [EPR17067] - BSA and Azide free (AB231163)

Immunohistochemical analysis of paraffin-embedded Mouse liver tissue labeling IRF5 with ab181553 at 1/500 dilution, followed by Goat Anti-Rabbit IgG H&L (HRP) (ab97051) secondary antibody at 1/500 dilution. Nuclear staining on kupffer cells of mouse liver is observed. Counter stained with Hematoxylin.

Secondary antibody only control : Used PBS instead of primary antibody, secondary antibody is Goat Anti-Rabbit IgG H&L (HRP) (ab97051) at 1/500 dilution.

This data was developed using the same antibody clone in a different buffer formulation containing PBS, BSA, glycerol, and sodium azide (ab181553).

Heat mediated antigen retrieval was performed with Tris/EDTA buffer pH 9.0 before commencing with IHC staining protocol.

Immunoprecipitation - Anti-IRF5 antibody [EPR17067] - BSA and Azide free (AB231163)
  • IP

Supplier Data

Immunoprecipitation - Anti-IRF5 antibody [EPR17067] - BSA and Azide free (AB231163)

IRF5 was immunoprecipitated from 1mg of RAW 264.7 (Mouse macrophage cells transformed with Abelson murine leukemia virus) whole cell lysate with ab181553 at 1/150 dilution. Western blot was performed from the immunoprecipitate using ab181553 at 1/1000 dilution. Anti-Rabbit IgG (HRP), specific to the non-reduced form of IgG, was used as secondary antibody at 1/1500 dilution.

Lane 1 : RAW 264.7 whole cell lysate 10 µg (Input).

Lane 2 : ab181553 IP in RAW 264.7 whole cell lysate.

Lane 3 : Rabbit monoclonal IgG (ab172730) instead of ab181553 in RAW 264.7 whole cell lysate.

Blocking and dilution buffer and concentration : 5% NFDM/TBST.

This data was developed using the same antibody clone in a different buffer formulation containing PBS, BSA, glycerol, and sodium azide (ab181553).

All lanes:

Immunoprecipitation - Anti-IRF5 antibody [EPR17067] (<a href='/en-us/products/primary-antibodies/irf5-antibody-epr17067-ab181553'>ab181553</a>)

Predicted band size: 56 kDa

false

Western blot - Anti-IRF5 antibody [EPR17067] - BSA and Azide free (AB231163)
  • WB

Lab

Western blot - Anti-IRF5 antibody [EPR17067] - BSA and Azide free (AB231163)

Western blot : Anti-IRF5 antibody [EPR17067] (ab181553) staining at 1/1000 dilution, shown in green; Mouse anti-GAPDH antibody [6C5] (ab8245) loading control staining at 1/20000 dilution, shown in magenta. In Western blot, ab181553 was shown to bind specifically to IRF5. A band was observed at 50-70 kDa in wild-type A549 cell lysates with no signal observed at this size in IRF5 knockout cell line. To generate this image, wild-type and IRF5 knockout A549 cell lysates were analysed. First, samples were run on an SDS-PAGE gel then transferred onto a nitrocellulose membrane. Membranes were blocked in 3 % milk in TBS-0.1 % Tween® 20 (TBS-T) before incubation with primary antibodies overnight at 4 °C. Blots were washed four times in TBS-T, incubated with secondary antibodies for 1 h at room temperature, washed again four times then imaged. Secondary antibodies used were Goat anti-Rabbit IgG H&L 800CW and Goat anti-Mouse IgG H&L 680RD at 1/20000 dilution.

All lanes:

Western blot - Anti-IRF5 antibody [EPR17067] (<a href='/en-us/products/primary-antibodies/irf5-antibody-epr17067-ab181553'>ab181553</a>) at 1/1000 dilution

Lane 1:

Wild-type A549 cell lysate at 20 µg

Lane 2:

IRF5 knockout A549 cell lysate at 20 µg

Secondary

All lanes:

Goat anti-Rabbit IgG H&L 800CW and Goat anti-Mouse IgG H&L 680RD at 1/20000 dilution

Observed band size: 50 kDa,70 kDa

false

Western blot - Anti-IRF5 antibody [EPR17067] - BSA and Azide free (AB231163)
  • WB

Lab

Western blot - Anti-IRF5 antibody [EPR17067] - BSA and Azide free (AB231163)

Lanes 1 - 2 : Merged signal (red and green). Green - ab181553 observed at 56 kDa. Red - loading control, ab9484, observed at 37 kDa.

ab181553 was shown to specifically react with IRF5 in wild-type HAP1 cells as signal was lost in IRF5 knockout cells. Wild-type and IRF5 knockout samples were subjected to SDS-PAGE. ab181553 and ab9484 (Mouse anti-GAPDH loading control) were incubated overnight at 4°C at 1/1000 dilution and 1/20000 dilution respectively. Blots were developed with Goat anti-Rabbit IgG H&L (IRDye® 800CW) preabsorbed ab216773 and Goat anti-Mouse IgG H&L (IRDye® 680RD) preabsorbed ab216776 secondary antibodies at 1/20000 dilution for 1 hour at room temperature before imaging.

This data was developed using the same antibody clone in a different buffer formulation containing PBS, BSA, glycerol, and sodium azide (ab181553).

All lanes:

Western blot - Anti-IRF5 antibody [EPR17067] (<a href='/en-us/products/primary-antibodies/irf5-antibody-epr17067-ab181553'>ab181553</a>) at 1/1000 dilution

Lane 1:

Wild-type HAP1 whole cell lysate at 20 µg

Lane 2:

IRF5 knockout HAP1 whole cell lysate at 20 µg

Predicted band size: 56 kDa

false

Key facts

Host species

Rabbit

Clonality

Monoclonal

Clone number

EPR17067

Isotype

IgG

Carrier free

Yes

Reacts with

Mouse, Rat, Human

Applications

ICC/IF, IP, WB, Flow Cyt (Intra), IHC-P

applications

Immunogen

The exact immunogen used to generate this antibody is proprietary information.

Reactivity data

{ "title": "Reactivity Data", "filters": { "stats": ["", "Species", "Dilution Info", "Notes"], "tabs": { "all-applications": {"fullname" : "All Applications", "shortname": "All Applications"}, "IP" : {"fullname" : "Immunoprecipitation", "shortname":"IP"}, "WB" : {"fullname" : "Western blot", "shortname":"WB"}, "ICCIF" : {"fullname" : "Immunocytochemistry/ Immunofluorescence", "shortname":"ICC/IF"}, "FlowCytIntra" : {"fullname" : "Flow Cytometry (Intracellular)", "shortname":"Flow Cyt (Intra)"}, "IHCP" : {"fullname" : "Immunohistochemistry (Formalin/PFA-fixed paraffin-embedded sections)", "shortname":"IHC-P"} }, "product-promise": { "all": "all", "testedAndGuaranteed": "tested", "guaranteed": "expected", "predicted": "predicted", "notRecommended": "not-recommended" } }, "values": { "Human": { "IP-species-checked": "guaranteed", "IP-species-dilution-info": "", "IP-species-notes": "", "WB-species-checked": "testedAndGuaranteed", "WB-species-dilution-info": "", "WB-species-notes": "<p></p>", "ICCIF-species-checked": "testedAndGuaranteed", "ICCIF-species-dilution-info": "", "ICCIF-species-notes": "<p></p>", "FlowCytIntra-species-checked": "testedAndGuaranteed", "FlowCytIntra-species-dilution-info": "", "FlowCytIntra-species-notes": "<p><a href='/en-us/products/primary-antibodies/rabbit-igg-monoclonal-epr25a-isotype-control-low-endotoxin-azide-free-ab199376'>ab199376</a>- Rabbit monoclonal IgG (Low endotoxin, Azide free), is suitable for use as an isotype control with this antibody.</p>", "IHCP-species-checked": "testedAndGuaranteed", "IHCP-species-dilution-info": "", "IHCP-species-notes": "<p></p>" }, "Mouse": { "IP-species-checked": "testedAndGuaranteed", "IP-species-dilution-info": "", "IP-species-notes": "<p></p>", "WB-species-checked": "testedAndGuaranteed", "WB-species-dilution-info": "", "WB-species-notes": "<p></p>", "ICCIF-species-checked": "testedAndGuaranteed", "ICCIF-species-dilution-info": "", "ICCIF-species-notes": "<p></p>", "FlowCytIntra-species-checked": "guaranteed", "FlowCytIntra-species-dilution-info": "", "FlowCytIntra-species-notes": "", "IHCP-species-checked": "testedAndGuaranteed", "IHCP-species-dilution-info": "", "IHCP-species-notes": "<p></p>" }, "Rat": { "IP-species-checked": "guaranteed", "IP-species-dilution-info": "", "IP-species-notes": "", "WB-species-checked": "testedAndGuaranteed", "WB-species-dilution-info": "", "WB-species-notes": "<p></p>", "ICCIF-species-checked": "guaranteed", "ICCIF-species-dilution-info": "", "ICCIF-species-notes": "", "FlowCytIntra-species-checked": "guaranteed", "FlowCytIntra-species-dilution-info": "", "FlowCytIntra-species-notes": "", "IHCP-species-checked": "testedAndGuaranteed", "IHCP-species-dilution-info": "", "IHCP-species-notes": "<p></p>" }, "Transfected cell lysate": { "IP-species-checked": "notRecommended", "IP-species-dilution-info": "", "IP-species-notes": "", "WB-species-checked": "testedAndGuaranteed", "WB-species-dilution-info": "", "WB-species-notes": "<p></p>", "ICCIF-species-checked": "notRecommended", "ICCIF-species-dilution-info": "", "ICCIF-species-notes": "", "FlowCytIntra-species-checked": "notRecommended", "FlowCytIntra-species-dilution-info": "", "FlowCytIntra-species-notes": "", "IHCP-species-checked": "notRecommended", "IHCP-species-dilution-info": "", "IHCP-species-notes": "" } } }

Product details

ab231163 is the carrier-free version of ab181553.

Conjugation ready
Our carrier-free antibodies are typically supplied in a PBS-only formulation, purified and free of BSA, sodium azide and glycerol. This conjugation-ready format is designed for use with fluorochromes, metal isotopes, oligonucleotides, and enzymes, which makes them ideal for antibody labelling, functional and cell-based assays, flow-based assays (e.g. mass cytometry) and Multiplex Imaging applications.

Use our conjugation kits for antibody conjugates that are ready-to-use in as little as 20 minutes with 1 minute hands-on-time and 100% antibody recovery: available for fluorescent dyes, HRP, biotin and gold.

Compatibility
This product is compatible with the Maxpar® Antibody Labeling Kit from Fluidigm, without the need for antibody preparation. Maxpar® is a trademark of Fluidigm Canada Inc.

Properties and storage information

Form
Liquid
Purification technique
Affinity purification Protein A
Storage buffer
pH: 7.2 - 7.4 Constituents: PBS
Shipped at conditions
Blue Ice
Appropriate short-term storage conditions
+4°C
Appropriate long-term storage conditions
+4°C
Storage information
Do Not Freeze

Supplementary information

This supplementary information is collated from multiple sources and compiled automatically.

IRF5 or Interferon Regulatory Factor 5 is a member of the IRF family of transcription factors. This protein weighs approximately 56 kDa and is expressed in cells of the immune system including B cells dendritic cells and macrophages. IRF5 plays an important role in regulating the transcription of interferon-stimulated genes following a viral infection. It acts by binding to specific DNA sequences initiating transcription processes that are important for the antiviral response.
Biological function summary

IRF5 influences the immune response through the regulation of cytokine production. It activates genes involved in producing pro-inflammatory cytokines such as TNF-α and IL-6 which are important for clearing viral infections and activating immune cells. IRF5 does not usually form part of a protein complex but it interacts closely with TRAF6 and MyD88 for its activation. Its pivotal role in cytokine production highlights its importance in controlling inflammation.

Pathways

IRF5 is an important component of the Toll-like receptor (TLR) signaling pathway and plays a role in the MyD88-dependent pathway. In this context IRF5 gets activated by TLRs interacting with MyD88 and TAK1 to enhance the transcription of important genes for immune response. It is also closely connected to the IRF3 protein which shares similar activation pathways and can similarly initiate an antiviral state.

Defects or dysregulation in IRF5 function are linked to autoimmune diseases such as systemic lupus erythematosus (SLE) and rheumatoid arthritis. In SLE IRF5 influences autoantibody production contributing to disease development. It works alongside other regulatory proteins involved in autoimmunity including IFN-α and STAT4 which also play significant roles in modulating immune responses. Understanding IRF5's role in these conditions could present new opportunities for therapeutic interventions using IRF5 inhibitors.

Product protocols

For this product, it's our understanding that no specific protocols are required. You can visit:

Target data

Transcription factor that plays a critical role in innate immunity by activating expression of type I interferon (IFN) IFNA and INFB and inflammatory cytokines downstream of endolysosomal toll-like receptors TLR7, TLR8 and TLR9 (PubMed : 11303025, PubMed : 15695821, PubMed : 22412986, PubMed : 25326418, PubMed : 32433612). Regulates the transcription of type I IFN genes (IFN-alpha and IFN-beta) and IFN-stimulated genes (ISG) by binding to an interferon-stimulated response element (ISRE) in their promoters (By similarity). Can efficiently activate both the IFN-beta (IFNB) and the IFN-alpha (IFNA) genes and mediate their induction downstream of the TLR-activated, MyD88-dependent pathway (By similarity). Key transcription factor regulating the IFN response during SARS-CoV-2 infection (PubMed : 33440148).
See full target information IRF5

Product promise

We are committed to supporting your work with high-quality reagents, and we're here for you every step of the way. In the unlikely event that one of our products does not perform as expected, you're protected by our Product Promise.
For full details, please see our Terms & Conditions

Please note: All products are 'FOR RESEARCH USE ONLY. NOT FOR USE IN DIAGNOSTIC OR THERAPEUTIC PROCEDURES'.

For licensing inquiries, please contact partnerships@abcam.com