JavaScript is disabled in your browser. Please enable JavaScript to view this website.
AB309088

Anti-IRF5 (phospho S446) antibody [EPR26132-254]

  • 20ul selling size
  • RabMAb
  • Recombinant
  • KO Validated
  • What is this?

Be the first to review this product! Submit a review

|

(2 Publications)

Anti-IRF5 (phospho S446) antibody [EPR26132-254] (ab309088) is a rabbit monoclonal antibody detecting IRF5 in Western Blot, Dot Blot. Suitable for Human.

- KO validated for confirmed specificity
- Biophysical QC for unrivalled batch-batch consistency

View Alternative Names

Interferon regulatory factor 5, IRF-5, IRF5

4 Images
Western blot - Anti-IRF5 (phospho S446) antibody [EPR26132-254] (AB309088)
  • WB

Collaborator

Western blot - Anti-IRF5 (phospho S446) antibody [EPR26132-254] (AB309088)

Blocking and diluting buffer and concentration : 5% NFDM/TBST.

All lanes:

Western blot - Anti-IRF5 (phospho S446) antibody [EPR26132-254] (ab309088) at 1/500 dilution

Lane 1:

Untreated THP-1 (human monocytic leukemia monocyte) overexpressing TLR9 whole cell lysate at 25 µg

Lane 2:

THP-1 overexpressing TLR9 treated with CpG-B for 3 hours whole cell lysate at 25 µg

Lane 3:

Untreated IRF5 knockout THP-1 overexpressing TLR9 whole cell lysate at 25 µg

Lane 4:

IRF5 knockout THP-1 overexpressing TLR9 treated with CpG-B for 3 hours whole cell lysate at 25 µg

Predicted band size: 56 kDa

Observed band size: 56 kDa

false

The image was kindly provided by an anonymous collaborator.

Western blot - Anti-IRF5 (phospho S446) antibody [EPR26132-254] (AB309088)
  • WB

Supplier Data

Western blot - Anti-IRF5 (phospho S446) antibody [EPR26132-254] (AB309088)

Blocking and diluting buffer and concentration : 5% NFDM/TBST In Western blot, anti-IRF5 antibody (ab181553) staining at 1/1000 dilution. Anti-GAPDH antibody (ab181602) loading control staining at 1/200000 dilution.

All lanes:

Western blot - Anti-IRF5 (phospho S446) antibody [EPR26132-254] (ab309088) at 1/1000 dilution

Lane 1:

293T cells transfected with a human IRF5 expression vector containing a His-tag whole cell lysate (untreated membrane) at 20 µg

Lane 2:

293T cells transfected with a human IRF5 expression vector containing a His-tag whole cell lysate (phosphatase treated membrane) at 20 µg

Secondary

All lanes:

Western blot - Goat Anti-Rabbit IgG H&L (HRP) (<a href='/en-us/products/secondary-antibodies/goat-rabbit-igg-h-l-hrp-ab97051'>ab97051</a>) at 1/20000 dilution

Observed band size: 56 kDa

false

Exposure time: 180s

Western blot - Anti-IRF5 (phospho S446) antibody [EPR26132-254] (AB309088)
  • WB

Supplier Data

Western blot - Anti-IRF5 (phospho S446) antibody [EPR26132-254] (AB309088)

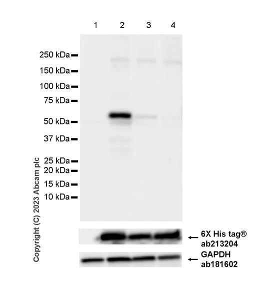
Blocking and diluting buffer and concentration : 5% NFDM/TBST In Western blot, anti-His antibody (ab213204) staining at 1/5000 dilution. Anti-GAPDH antibody (ab181602) loading control staining at 1/200000 dilution. Exposure time : 26 seconds

All lanes:

Western blot - Anti-IRF5 (phospho S446) antibody [EPR26132-254] (ab309088) at 1/1000 dilution

Lane 1:

293T cells transfected with an empty vector containi a his tag whole cell lysate at 20 µg

Lane 2:

293T cells transfected with a human IRF5 expression vector containi a His-tag whole cell lysate at 20 µg

Lane 3:

293T cells transfected with a human IRF5 (S446D mutation) expression vector containi a His-tag whole cell lysate at 20 µg

Lane 4:

293T cells transfected with a human IRF5 (S446A mutation) expression vector containi a His-tag whole cell lysate at 20 µg

Secondary

All lanes:

Western blot - Goat Anti-Rabbit IgG H&L (HRP) (<a href='/en-us/products/secondary-antibodies/goat-rabbit-igg-h-l-hrp-ab97051'>ab97051</a>) at 1/100000 dilution

Observed band size: 56 kDa

false

Exposure time: 26s

Dot Blot - Anti-IRF5 (phospho S446) antibody [EPR26132-254] (AB309088)
  • Dot

Supplier Data

Dot Blot - Anti-IRF5 (phospho S446) antibody [EPR26132-254] (AB309088)

Dot blot analysis of IRF5 (phospho S446) using ab309088 at 1 : 1000 (0.503 ug/ml) followed by a Goat Anti-Rabbit IgG, (H+L), Peroxidase conjugated (ab97051) at 1 : 100,000 dilution. Lane 1 : IRF5 (phospho S446) peptide a Lane 2 : IRF5 (phospho S446) peptide b Lane 3 : IRF5 (phospho S446) non-phospho peptide c Exposure time : 180 seconds Blocking and diluting buffer and concentration : 5% NFDM/TBST

Key facts

Host species

Rabbit

Clonality

Monoclonal

Clone number

EPR26132-254

Isotype

IgG

Carrier free

No

Reacts with

Human

Applications

WB, Dot

applications

Immunogen

The exact immunogen used to generate this antibody is proprietary information.

Reactivity data

{ "title": "Reactivity Data", "filters": { "stats": ["", "Species", "Dilution Info", "Notes"], "tabs": { "all-applications": {"fullname" : "All Applications", "shortname": "All Applications"}, "WB" : {"fullname" : "Western blot", "shortname":"WB"}, "Dot" : {"fullname" : "Dot Blot", "shortname":"Dot"}, "ICCIF" : {"fullname" : "Immunocytochemistry/ Immunofluorescence", "shortname":"ICC/IF"}, "FlowCytIntra" : {"fullname" : "Flow Cytometry (Intracellular)", "shortname":"Flow Cyt (Intra)"} }, "product-promise": { "all": "all", "testedAndGuaranteed": "tested", "guaranteed": "expected", "predicted": "predicted", "notRecommended": "not-recommended" } }, "values": { "Human": { "WB-species-checked": "testedAndGuaranteed", "WB-species-dilution-info": "1/500", "WB-species-notes": "<p></p>", "Dot-species-checked": "guaranteed", "Dot-species-dilution-info": "", "Dot-species-notes": "", "ICCIF-species-checked": "notRecommended", "ICCIF-species-dilution-info": "", "ICCIF-species-notes": "<p></p>", "FlowCytIntra-species-checked": "notRecommended", "FlowCytIntra-species-dilution-info": "", "FlowCytIntra-species-notes": "<p></p>" }, "Synthetic peptide": { "WB-species-checked": "notRecommended", "WB-species-dilution-info": "", "WB-species-notes": "", "Dot-species-checked": "testedAndGuaranteed", "Dot-species-dilution-info": "1/1000", "Dot-species-notes": "<p></p>", "ICCIF-species-checked": "notRecommended", "ICCIF-species-dilution-info": "", "ICCIF-species-notes": "", "FlowCytIntra-species-checked": "notRecommended", "FlowCytIntra-species-dilution-info": "", "FlowCytIntra-species-notes": "" }, "Transfected cell lysate - Human": { "WB-species-checked": "testedAndGuaranteed", "WB-species-dilution-info": "1/1000", "WB-species-notes": "<p></p>", "Dot-species-checked": "notRecommended", "Dot-species-dilution-info": "", "Dot-species-notes": "", "ICCIF-species-checked": "notRecommended", "ICCIF-species-dilution-info": "", "ICCIF-species-notes": "", "FlowCytIntra-species-checked": "notRecommended", "FlowCytIntra-species-dilution-info": "", "FlowCytIntra-species-notes": "" } } }

Product details

What is this antibody validated in?
Anti-IRF5 (phospho S446) antibody [EPR26132-254] (ab309088) is a rabbit recombinant monoclonal antibody and is validated for use in Western Blot (WB), Dot Blot in Human samples.

What is the molecular weight of IRF5?
Anti-IRF5 (phospho S446) [EPR26132-254] (ab309088) specifically detects a band for IRF5 (UniProt: Q13568) at a molecular weight of 56kDa.

Trial sizes available!
Test your antibody or perform pre-screening before committing to a larger quantity. Sold in 10µl. Discover our selection of trial-size antibodies.

Specificity confirmed
The specificity of Anti-IRF5 (phospho S446) antibody [EPR26132-254] (ab309088) has been confirmed by Western blot testing in IRF5 Knockout THP-1 cell line.

Other related products
We have a range of other formats of antibody clone [EPR26132-254] also available for your convenience: ab309088, Carrier free - ab309089

Patented technology
Our RabMAb® technology is a patented hybridoma-based technology for making rabbit monoclonal antibodies. For details on our patents, please refer to RabMAb® patents.

What are the advantages of a recombinant monoclonal antibody?
This product is a recombinant monoclonal antibody, which offers several advantages including:

  • - High batch-to-batch consistency and reproducibility
  • - Improved sensitivity and specificity
  • - Long-term security of supply
  • - Animal-free batch production

For more information, read more on recombinant antibodies.

Properties and storage information

Form
Liquid
Purification technique
Affinity purification Protein A
Storage buffer
pH: 7.2 - 7.4 Preservative: 0.01% Sodium azide Constituents: PBS, 40% Glycerol (glycerin, glycerine), 0.05% BSA
Shipped at conditions
Blue Ice
Appropriate short-term storage duration
1-2 weeks
Appropriate short-term storage conditions
+4°C
Appropriate long-term storage conditions
-20°C
Aliquoting information
Upon delivery aliquot
Storage information
Avoid freeze / thaw cycle

Supplementary information

This supplementary information is collated from multiple sources and compiled automatically.

IRF5 or Interferon Regulatory Factor 5 is a member of the IRF family of transcription factors. This protein weighs approximately 56 kDa and is expressed in cells of the immune system including B cells dendritic cells and macrophages. IRF5 plays an important role in regulating the transcription of interferon-stimulated genes following a viral infection. It acts by binding to specific DNA sequences initiating transcription processes that are important for the antiviral response.
Biological function summary

IRF5 influences the immune response through the regulation of cytokine production. It activates genes involved in producing pro-inflammatory cytokines such as TNF-α and IL-6 which are important for clearing viral infections and activating immune cells. IRF5 does not usually form part of a protein complex but it interacts closely with TRAF6 and MyD88 for its activation. Its pivotal role in cytokine production highlights its importance in controlling inflammation.

Pathways

IRF5 is an important component of the Toll-like receptor (TLR) signaling pathway and plays a role in the MyD88-dependent pathway. In this context IRF5 gets activated by TLRs interacting with MyD88 and TAK1 to enhance the transcription of important genes for immune response. It is also closely connected to the IRF3 protein which shares similar activation pathways and can similarly initiate an antiviral state.

Defects or dysregulation in IRF5 function are linked to autoimmune diseases such as systemic lupus erythematosus (SLE) and rheumatoid arthritis. In SLE IRF5 influences autoantibody production contributing to disease development. It works alongside other regulatory proteins involved in autoimmunity including IFN-α and STAT4 which also play significant roles in modulating immune responses. Understanding IRF5's role in these conditions could present new opportunities for therapeutic interventions using IRF5 inhibitors.

Product protocols

For this product, it's our understanding that no specific protocols are required. You can visit:

Target data

Transcription factor that plays a critical role in innate immunity by activating expression of type I interferon (IFN) IFNA and INFB and inflammatory cytokines downstream of endolysosomal toll-like receptors TLR7, TLR8 and TLR9 (PubMed : 11303025, PubMed : 15695821, PubMed : 22412986, PubMed : 25326418, PubMed : 32433612). Regulates the transcription of type I IFN genes (IFN-alpha and IFN-beta) and IFN-stimulated genes (ISG) by binding to an interferon-stimulated response element (ISRE) in their promoters (By similarity). Can efficiently activate both the IFN-beta (IFNB) and the IFN-alpha (IFNA) genes and mediate their induction downstream of the TLR-activated, MyD88-dependent pathway (By similarity). Key transcription factor regulating the IFN response during SARS-CoV-2 infection (PubMed : 33440148).
See full target information IRF5 phospho S446

Publications (2)

Recent publications for all applications. Explore the full list and refine your search

The Journal of experimental medicine 222: PubMed39656203

2024

CCDC134 controls TLR biogenesis through the ER chaperone Gp96.

Applications

WB

Species

Human

Léa Bernaleau,Michaela Drobek,Fenja Blank,Philipp Walch,Maeva Delacrétaz,Ales Drobek,Marta Monguió-Tortajada,Petr Broz,Olivia Majer,Manuele Rebsamen

Journal of cellular and molecular medicine 28:e70130 PubMed39365284

2024

PLAGL1 overexpression induces cytoplasmic DNA accumulation that triggers cGAS/STING activation.

Applications

Unspecified application

Species

Unspecified reactive species

Cheng Li,Lingyan Qiao,Juan Ge,Sicui Hu,Hongxiu Yang,Conghui Hu,Tang Li
View all publications

Product promise

We are committed to supporting your work with high-quality reagents, and we're here for you every step of the way. In the unlikely event that one of our products does not perform as expected, you're protected by our Product Promise.
For full details, please see our Terms & Conditions

Please note: All products are 'FOR RESEARCH USE ONLY. NOT FOR USE IN DIAGNOSTIC OR THERAPEUTIC PROCEDURES'.

For licensing inquiries, please contact partnerships@abcam.com