JavaScript is disabled in your browser. Please enable JavaScript to view this website.
AB123880

Anti-IRF6 antibody [OTI2A12]

3

(1 Review)

|

(4 Publications)

Mouse Monoclonal IRF6 antibody. Suitable for WB, ICC/IF, Flow Cyt (Intra), IHC-P and reacts with Human, African green monkey, Transfected cell line samples. Cited in 4 publications. Immunogen corresponding to Recombinant Full Length Protein corresponding to Human IRF6.

View Alternative Names

Interferon regulatory factor 6, IRF-6, IRF6

7 Images
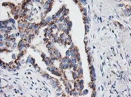
Immunohistochemistry (Formalin/PFA-fixed paraffin-embedded sections) - Anti-IRF6 antibody [OTI2A12] (AB123880)
  • IHC-P

Unknown

Immunohistochemistry (Formalin/PFA-fixed paraffin-embedded sections) - Anti-IRF6 antibody [OTI2A12] (AB123880)

Paraffin-embedded human kidney tissue stained for IRF6 using ab123880 at 1/150 dilution in immunohistochemical analysis.

Immunohistochemistry (Formalin/PFA-fixed paraffin-embedded sections) - Anti-IRF6 antibody [OTI2A12] (AB123880)
  • IHC-P

Unknown

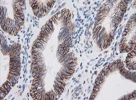
Immunohistochemistry (Formalin/PFA-fixed paraffin-embedded sections) - Anti-IRF6 antibody [OTI2A12] (AB123880)

Paraffin-embedded human endometrium adenocarcinoma tissue stained for IRF6 using ab123880 at 1/150 dilution in immunohistochemical analysis.

Immunohistochemistry (Formalin/PFA-fixed paraffin-embedded sections) - Anti-IRF6 antibody [OTI2A12] (AB123880)
  • IHC-P

Unknown

Immunohistochemistry (Formalin/PFA-fixed paraffin-embedded sections) - Anti-IRF6 antibody [OTI2A12] (AB123880)

Paraffin-embedded human colon adenocarcinoma tissue stained for IRF6 using ab123880 at 1/150 dilution in immunohistochemical analysis.

Immunohistochemistry (Formalin/PFA-fixed paraffin-embedded sections) - Anti-IRF6 antibody [OTI2A12] (AB123880)
  • IHC-P

Unknown

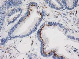
Immunohistochemistry (Formalin/PFA-fixed paraffin-embedded sections) - Anti-IRF6 antibody [OTI2A12] (AB123880)

Paraffin-embedded human lung carcinoma tissue stained for IRF6 using ab123880 at 1/150 dilution in immunohistochemical analysis.

Flow Cytometry (Intracellular) - Anti-IRF6 antibody [OTI2A12] (AB123880)
  • Flow Cyt (Intra)

Unknown

Flow Cytometry (Intracellular) - Anti-IRF6 antibody [OTI2A12] (AB123880)

Flow cytometric analysis of HEK-293T (human epithelial cell line from embryonic kidney transformed with large T antigen) cells transfected with either pCMV6-ENTRY IRF6 overexpress plasmid (Red), or empty vector control plasmid (Blue).

Immunocytochemistry/ Immunofluorescence - Anti-IRF6 antibody [OTI2A12] (AB123880)
  • ICC/IF

Unknown

Immunocytochemistry/ Immunofluorescence - Anti-IRF6 antibody [OTI2A12] (AB123880)

COS-7 (African green monkey kidney fibroblast-like cell line) cells transiently transfected using pCMV6-ENTRY IRF6 stained for IRF6 (green) in ICC/IF.

Western blot - Anti-IRF6 antibody [OTI2A12] (AB123880)
  • WB

Unknown

Western blot - Anti-IRF6 antibody [OTI2A12] (AB123880)

All lanes:

Western blot - Anti-IRF6 antibody [OTI2A12] (ab123880) at 1/2000 dilution

Lane 1:

HEK-293T (human epithelial cell line from embryonic kidney transformed with large T antigen) cells transfected with pCMV6-ENTRY control cDNA at 5 µg

Lane 2:

HEK-293T cells transfected with pCMV6-ENTRY IRF6 cDNA at 5 µg

Predicted band size: 53 kDa

false

Key facts

Host species

Mouse

Clonality

Monoclonal

Clone number

OTI2A12

Isotype

IgG2b

Carrier free

No

Reacts with

Human, African green monkey

Applications

ICC/IF, WB, Flow Cyt (Intra), IHC-P

applications

Immunogen

Recombinant Full Length Protein corresponding to Human IRF6.

O14896

Reactivity data

{ "title": "Reactivity Data", "filters": { "stats": ["", "Species", "Dilution Info", "Notes"], "tabs": { "all-applications": {"fullname" : "All Applications", "shortname": "All Applications"}, "WB" : {"fullname" : "Western blot", "shortname":"WB"}, "ICCIF" : {"fullname" : "Immunocytochemistry/ Immunofluorescence", "shortname":"ICC/IF"}, "FlowCytIntra" : {"fullname" : "Flow Cytometry (Intracellular)", "shortname":"Flow Cyt (Intra)"}, "IHCP" : {"fullname" : "Immunohistochemistry (Formalin/PFA-fixed paraffin-embedded sections)", "shortname":"IHC-P"} }, "product-promise": { "all": "all", "testedAndGuaranteed": "tested", "guaranteed": "expected", "predicted": "predicted", "notRecommended": "not-recommended" } }, "values": { "Human": { "WB-species-checked": "testedAndGuaranteed", "WB-species-dilution-info": "1/2000", "WB-species-notes": "<p></p>", "ICCIF-species-checked": "guaranteed", "ICCIF-species-dilution-info": "", "ICCIF-species-notes": "", "FlowCytIntra-species-checked": "guaranteed", "FlowCytIntra-species-dilution-info": "", "FlowCytIntra-species-notes": "", "IHCP-species-checked": "testedAndGuaranteed", "IHCP-species-dilution-info": "1/150", "IHCP-species-notes": "<p></p>" }, "African green monkey": { "WB-species-checked": "guaranteed", "WB-species-dilution-info": "", "WB-species-notes": "<p></p>", "ICCIF-species-checked": "testedAndGuaranteed", "ICCIF-species-dilution-info": "1/100", "ICCIF-species-notes": "<p></p>", "FlowCytIntra-species-checked": "guaranteed", "FlowCytIntra-species-dilution-info": "", "FlowCytIntra-species-notes": "", "IHCP-species-checked": "guaranteed", "IHCP-species-dilution-info": "", "IHCP-species-notes": "" }, "Transfected cell line": { "WB-species-checked": "notRecommended", "WB-species-dilution-info": "", "WB-species-notes": "", "ICCIF-species-checked": "notRecommended", "ICCIF-species-dilution-info": "", "ICCIF-species-notes": "", "FlowCytIntra-species-checked": "testedAndGuaranteed", "FlowCytIntra-species-dilution-info": "1/100", "FlowCytIntra-species-notes": "<p><a href='/en-us/products/primary-antibodies/mouse-igg2b-kappa-monoclonal-7e10g10-isotype-control-ab170192'>ab170192</a> - Mouse monoclonal IgG2b, is suitable for use as an isotype control with this antibody.</p>", "IHCP-species-checked": "notRecommended", "IHCP-species-dilution-info": "", "IHCP-species-notes": "" } } }

Properties and storage information

Form
Liquid
Purification technique
Affinity purification
Purification notes
Purified from cell culture supernatant by affinity chromatography.
Storage buffer
pH: 7.3 Preservative: 0.02% Sodium azide Constituents: PBS, 50% Glycerol (glycerin, glycerine), 1% BSA
Shipped at conditions
Blue Ice
Appropriate short-term storage conditions
+4°C
Appropriate long-term storage conditions
-20°C
Aliquoting information
Upon delivery aliquot
Storage information
Avoid freeze / thaw cycle

Supplementary information

This supplementary information is collated from multiple sources and compiled automatically.

Interferon Regulatory Factor 6 (IRF6) is a transcription factor known for its role in the regulation of gene expression involved in developmental processes. It weighs approximately 53 kDa and it is part of the IRF family of transcription factors. This protein is predominantly found in the epithelial tissues where it plays a critical role in keratinocyte differentiation and proliferation. The expression of IRF6 can be observed in several tissues but it is especially important in the oral epithelium skin and hair follicles.
Biological function summary

IRF6 orchestrates various cellular activities essential for tissue development and repair. It functions as a transcriptional activator influencing the expression of genes involved in the morphogenesis of craniofacial structures. IRF6 does not form large protein complexes but rather exerts its function through interaction with DNA and possibly with other transcription factors. It contributes to epithelial differentiation and proliferation balancing growth and apoptosis in tissues.

Pathways

IRF6 participates significantly in the Wnt and Notch signaling pathways. Both pathways are critical for regulating cell fate and development processes. The Notch pathway influences differentiation in the epithelial cells while the Wnt pathway is key for controlling the balance between growth and differentiation. IRF6 interacts with proteins such as RIPK4 which mediates signaling important for preventing excessive proliferation by promoting differentiation processes.

IRF6 mutations link to conditions such as Van der Woude syndrome and orofacial clefting which involve developmental anomalies in facial structures. These mutations may disrupt normal protein function impacting critical pathways and their downstream effects. IRF6 dysfunction in these disorders may also involve interactions with other proteins like p63 influencing epithelial development negatively and contributing to the clinical manifestations observed in these conditions.

Product protocols

For this product, it's our understanding that no specific protocols are required. You can visit:

Target data

Probable DNA-binding transcriptional activator. Key determinant of the keratinocyte proliferation-differentiation switch involved in appropriate epidermal development (By similarity). Plays a role in regulating mammary epithelial cell proliferation (By similarity). May regulate WDR65 transcription (By similarity).
See full target information IRF6

Publications (4)

Recent publications for all applications. Explore the full list and refine your search

Cancer cell international 25:191 PubMed40413506

2025

EphrinA2 promotes glioma cell migration and invasion through EphA2 and FAK.

Applications

Unspecified application

Species

Unspecified reactive species

Nozomi Hirai,Sho Tamai,Toshiya Ichinose,Hemragul Sabit,Norihiko Saito,Satoshi Iwabuchi,Mitsutoshi Nakada

Journal of traditional Chinese medicine = Chung i tsa chih ying wen pan 43:1092-1102 PubMed37946471

2023

Hepatic transcriptome delineates the therapeutic effects of Sanren Tang on high-fat diet-induced non-alcoholic fatty liver disease.

Applications

Unspecified application

Species

Unspecified reactive species

Yin Yixiao,Tang Hao,Fang Yi,Liu Wei,Wang Jun,H U Yiyang,Peng Jinghua

Cancer cell international 21:246 PubMed33941190

2021

Inhibition of KIF20A by transcription factor IRF6 affects the progression of renal clear cell carcinoma.

Applications

Unspecified application

Species

Unspecified reactive species

Xinwei Ma,Xiaoqi Wang,Qian Dong,Hongquan Pang,Jianming Xu,Junkang Shen,Jianbing Zhu

Vaccines 8: PubMed32046307

2020

A Novel Combined Scientific and Artistic Approach for the Advanced Characterization of Interactomes: The Akirin/Subolesin Model.

Applications

Unspecified application

Species

Unspecified reactive species

Sara Artigas-Jerónimo,Juan J Pastor Comín,Margarita Villar,Marinela Contreras,Pilar Alberdi,Israel León Viera,Leandro Soto,Raúl Cordero,James J Valdés,Alejandro Cabezas-Cruz,Agustín Estrada-Peña,José de la Fuente
View all publications

Product promise

We are committed to supporting your work with high-quality reagents, and we're here for you every step of the way. In the unlikely event that one of our products does not perform as expected, you're protected by our Product Promise.
For full details, please see our Terms & Conditions

Please note: All products are 'FOR RESEARCH USE ONLY. NOT FOR USE IN DIAGNOSTIC OR THERAPEUTIC PROCEDURES'.

For licensing inquiries, please contact partnerships@abcam.com