JavaScript is disabled in your browser. Please enable JavaScript to view this website.
AB115352

Anti-IRF7 antibody

Be the first to review this product! Submit a review

|

(7 Publications)

Rabbit Polyclonal IRF7 antibody. Suitable for IHC-P and reacts with Human samples. Cited in 7 publications. Immunogen corresponding to Synthetic Peptide within Human IRF7 conjugated to Keyhole Limpet Haemocyanin.

View Alternative Names

Interferon regulatory factor 7, IRF-7, IRF7

1 Images
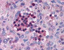
Immunohistochemistry (Formalin/PFA-fixed paraffin-embedded sections) - Anti-IRF7 antibody (AB115352)
  • IHC-P

Unknown

Immunohistochemistry (Formalin/PFA-fixed paraffin-embedded sections) - Anti-IRF7 antibody (AB115352)

ab115352, at 5 μg/ml, staining IRF7 in formalin-fixed, paraffin-embedded Human Spleen tissue by Immunohistochemistry, using a biotinylated goat anti-rabbit IgG secondary antibody, alkaline phosphatase-streptavidin and chromogen.

Key facts

Host species

Rabbit

Clonality

Polyclonal

Isotype

IgG

Carrier free

No

Reacts with

Human

Applications

IHC-P

applications

Immunogen

Synthetic Peptide within Human IRF7 conjugated to Keyhole Limpet Haemocyanin. The exact immunogen used to generate this antibody is proprietary information.

Q92985

Reactivity data

{ "title": "Reactivity Data", "filters": { "stats": ["", "Species", "Dilution Info", "Notes"], "tabs": { "all-applications": {"fullname" : "All Applications", "shortname": "All Applications"}, "IHCP" : {"fullname" : "Immunohistochemistry (Formalin/PFA-fixed paraffin-embedded sections)", "shortname":"IHC-P"} }, "product-promise": { "all": "all", "testedAndGuaranteed": "tested", "guaranteed": "expected", "predicted": "predicted", "notRecommended": "not-recommended" } }, "values": { "Human": { "IHCP-species-checked": "testedAndGuaranteed", "IHCP-species-dilution-info": "5 µg/mL", "IHCP-species-notes": "<p></p> Perform heat-mediated antigen retrieval with citrate buffer pH 6 before commencing with IHC staining protocol." } } }

Properties and storage information

Form
Liquid
Purification technique
Affinity purification Immunogen
Storage buffer
pH: 7.4 Preservative: 0.02% Sodium azide Constituents: PBS
Shipped at conditions
Blue Ice
Appropriate short-term storage duration
1-2 weeks
Appropriate short-term storage conditions
+4°C
Appropriate long-term storage conditions
-20°C
Aliquoting information
Upon delivery aliquot

Supplementary information

This supplementary information is collated from multiple sources and compiled automatically.

The transcription factor IRF7 also known as Interferon Regulatory Factor 7 plays a significant role in the regulation of type I interferon genes. This protein acts as an important modulator of the immune response specifically during viral infections. The molecular weight of IRF7 is approximately 54 kDa. It is predominantly expressed in lymphoid tissues such as the spleen and thymus and is also found in other immune cells like B cells and dendritic cells. The expression of IRF7 is induced by pathogen-associated molecular patterns which stimulate the activation of immune signaling pathways.
Biological function summary

IRF7 activates and modulates the expression of type I interferons and other cytokines important for antiviral defense. This protein can form part of a larger complex with other IRF family members to enhance its effect on gene transcription. IRF7 operates through its interaction with transcriptional coactivators allowing it to execute its function as a transcriptional activator reinforcing the immune system's response to infectious agents.

Pathways

IRF7 plays a critical role in the Toll-like receptor (TLR) signaling pathway and retinoic acid-inducible gene I (RIG-I) pathway. It directly interacts with MyD88 and IRAK1 proteins linking it to signal transduction pathways that lead to interferon-beta production. The activation of IRF7 in these pathways also strengthens the body's defense mechanism by enhancing the transcription of antiviral genes forming a robust antibacterial and antiviral environment within the host.

IRF7's function is implicated in autoimmune diseases and specific cancers. For autoimmune conditions like systemic lupus erythematosus (SLE) dysregulated IRF7 activity is observed leading to an aberrant interferon response. It connects with proteins such as IRF5 which has its expressions elevated in affected patients. In relation to cancer IRF7 can impact tumor progression particularly in breast cancer through modulation of immune surveillance functions. Its interaction with interferon pathways becomes a double-edged sword affecting tumor immunity and progression.

Product protocols

For this product, it's our understanding that no specific protocols are required. You can visit:

Target data

Key transcriptional regulator of type I interferon (IFN)-dependent immune responses and plays a critical role in the innate immune response against DNA and RNA viruses (PubMed : 28342865, PubMed : 28768858). Regulates the transcription of type I IFN genes (IFN-alpha and IFN-beta) and IFN-stimulated genes (ISG) by binding to an interferon-stimulated response element (ISRE) in their promoters (PubMed : 17574024, PubMed : 32972995). Can efficiently activate both the IFN-beta (IFNB) and the IFN-alpha (IFNA) genes and mediate their induction via both the virus-activated, MyD88-independent pathway and the TLR-activated, MyD88-dependent pathway. Induces transcription of ubiquitin hydrolase USP25 mRNA in response to lipopolysaccharide (LPS) or viral infection in a type I IFN-dependent manner (By similarity). Required during both the early and late phases of the IFN gene induction but is more critical for the late than for the early phase. Exists in an inactive form in the cytoplasm of uninfected cells and following viral infection, double-stranded RNA (dsRNA), or toll-like receptor (TLR) signaling, becomes phosphorylated by IKBKE and TBK1 kinases. This induces a conformational change, leading to its dimerization and nuclear localization where along with other coactivators it can activate transcription of the type I IFN and ISG genes. Can also play a role in regulating adaptive immune responses by inducing PSMB9/LMP2 expression, either directly or through induction of IRF1. Binds to the Q promoter (Qp) of EBV nuclear antigen 1 a (EBNA1) and may play a role in the regulation of EBV latency. Can activate distinct gene expression programs in macrophages and regulate the anti-tumor properties of primary macrophages (By similarity) (PubMed : 11073981, PubMed : 12374802, PubMed : 15361868, PubMed : 17404045).
See full target information IRF7

Publications (7)

Recent publications for all applications. Explore the full list and refine your search

Immunity 55:1386-1401.e10 PubMed35931086

2022

DNA methyltransferase 3 alpha and TET methylcytosine dioxygenase 2 restrain mitochondrial DNA-mediated interferon signaling in macrophages.

Applications

Unspecified application

Species

Unspecified reactive species

Isidoro Cobo,Tiffany N Tanaka,Kailash Chandra Mangalhara,Addison Lana,Calvin Yeang,Claudia Han,Johannes Schlachetzki,Jean Challcombe,Bethany R Fixsen,Mashito Sakai,Rick Z Li,Hannah Fields,Michal Mokry,Randy G Tsai,Rafael Bejar,Koen Prange,Menno de Winther,Gerald S Shadel,Christopher K Glass

Cell reports 38:110489 PubMed35263587

2022

Monosodium urate crystals regulate a unique JNK-dependent macrophage metabolic and inflammatory response.

Applications

Unspecified application

Species

Unspecified reactive species

Isidoro Cobo,Anyan Cheng,Jessica Murillo-Saich,Roxana Coras,Alyssa Torres,Yohei Abe,Addison J Lana,Johannes Schlachetzki,Ru Liu-Bryan,Robert Terkeltaub,Elsa Sanchez-Lopez,Christopher K Glass,Monica Guma

Annals of clinical and translational neurology 8:677-686 PubMed33576578

2021

Mitochondrial morphology and MAVS-IFN1 signaling pathway in muscles of anti-MDA5 dermatomyositis.

Applications

Unspecified application

Species

Unspecified reactive species

Yanyan Jiang,Yilin Liu,Yawen Zhao,Yiming Zheng,Meng Yu,Jianwen Deng,Hongjun Hao,Wei Zhang,Zhaoxia Wang,Yun Yuan

The Journal of international medical research 48:300060520924256 PubMed33021413

2020

Heat-killed Typhimurium protects mice against carbon ion radiation.

Applications

Unspecified application

Species

Unspecified reactive species

Zebin Liao,Zhe Liu,Zhenyu Gong,Xuguang Hu,Yuanyuan Chen,Kun Cao,Hong Zhang,Lu Gan,Juxiang Chen,Yanyong Yang,Jianming Cai

Cell cycle (Georgetown, Tex.) 19:179-192 PubMed31856677

2019

Downregulation of miR-155-5p facilitates enterovirus 71 replication through suppression of type I IFN response by targeting FOXO3/IRF7 pathway.

Applications

Unspecified application

Species

Unspecified reactive species

Daokun Yang,Xinwei Wang,Haili Gao,Baoxin Chen,Changyun Si,Shasha Wang

Oral surgery, oral medicine, oral pathology and oral radiology 125:459-467.e2 PubMed29429903

2018

Increased infiltration of CD11 c/CD123 dendritic cell subsets and upregulation of TLR/IFN-α signaling participate in pathogenesis of oral lichen planus.

Applications

IHC-P

Species

Unspecified reactive species

Yufeng Wang,Shu Shang,Qianqian Sun,Junjun Chen,Guanhuan Du,Hong Nie,Xiaozhe Han,Guoyao Tang

Molecular and cellular biology 33:2988-95 PubMed23716593

2013

Telomere length influences cancer cell differentiation in vivo.

Applications

ICC/IF

Species

Unspecified reactive species

Kyotaro Hirashima,Toshiro Migita,Shigeo Sato,Yukiko Muramatsu,Yuichi Ishikawa,Hiroyuki Seimiya
View all publications

Product promise

We are committed to supporting your work with high-quality reagents, and we're here for you every step of the way. In the unlikely event that one of our products does not perform as expected, you're protected by our Product Promise.
For full details, please see our Terms & Conditions

Please note: All products are 'FOR RESEARCH USE ONLY. NOT FOR USE IN DIAGNOSTIC OR THERAPEUTIC PROCEDURES'.

For licensing inquiries, please contact partnerships@abcam.com