JavaScript is disabled in your browser. Please enable JavaScript to view this website.
AB251475

Anti-IRF8 antibody [EPR20441] - BSA and Azide free

Be the first to review this product! Submit a review

|

(0 Publication)

Rabbit Recombinant Monoclonal IRF8 antibody. Carrier free. Suitable for IP, WB, IHC-P and reacts with Human samples.

View Alternative Names

ICSBP1, IRF8, Interferon regulatory factor 8, IRF-8, Interferon consensus sequence-binding protein, H-ICSBP, ICSBP

5 Images
Immunohistochemistry (Formalin/PFA-fixed paraffin-embedded sections) - Anti-IRF8 antibody [EPR20441] - BSA and Azide free (AB251475)
  • IHC-P

Supplier Data

Immunohistochemistry (Formalin/PFA-fixed paraffin-embedded sections) - Anti-IRF8 antibody [EPR20441] - BSA and Azide free (AB251475)

This data was developed using ab207418, the same antibody clone in a different buffer formulation.

Immunohistochemical analysis of paraffin-embedded human tonsil tissue labeling IRF8 with ab207418 at 1/1000 dilution, followed by Goat Anti-Rabbit IgG H&L (HRP) Ready to use. Nuclear staining on human tonsil (x200) [PMID : 18663414] [PMID : 16380510].

Counter stained with Hematoxylin.

Secondary antibody only control : Used PBS instead of primary antibody, secondary antibody is Goat Anti-Rabbit IgG H&L (HRP) Ready to use.

Perform heat mediated antigen retrieval with Tris/EDTA buffer pH 9.0 before commencing with IHC staining protocol.

Immunohistochemistry (Formalin/PFA-fixed paraffin-embedded sections) - Anti-IRF8 antibody [EPR20441] - BSA and Azide free (AB251475)
  • IHC-P

Supplier Data

Immunohistochemistry (Formalin/PFA-fixed paraffin-embedded sections) - Anti-IRF8 antibody [EPR20441] - BSA and Azide free (AB251475)

This data was developed using ab207418, the same antibody clone in a different buffer formulation.

Immunohistochemical analysis of paraffin-embedded human non-hodgkin's lymphoma tissue labeling IRF8 with ab207418 at 1/1000 dilution, followed by Goat Anti-Rabbit IgG H&L (HRP) ready to use. Nuclear staining on human non-hodgkin's lymphoma.

Counter stained with Hematoxylin.

Secondary antibody only control : Used PBS instead of primary antibody, secondary antibody is Goat Anti-Rabbit IgG H&L (HRP) ready to use.

Perform heat mediated antigen retrieval with Tris/EDTA buffer pH 9.0 before commencing with IHC staining protocol.

Immunoprecipitation - Anti-IRF8 antibody [EPR20441] - BSA and Azide free (AB251475)
  • IP

Supplier Data

Immunoprecipitation - Anti-IRF8 antibody [EPR20441] - BSA and Azide free (AB251475)

This data was developed using ab207418, the same antibody clone in a different buffer formulation.

IRF8 was immunoprecipitated from 0.35 mg of Raji (Human Burkitt's lymphoma cell line) whole cell lysate with ab207418 at 1/40 dilution. Western blot was performed from the immunoprecipitate using ab207418 at 1/500 dilution. VeriBlot for IP Detection Reagent (HRP) (ab131366), was used for detection at 1/1000 dilution.

Lane 1 : Raji whole cell lysate 10 μg (Input).
Lane 2 : ab207418 IP in Raji whole cell lysate.
Lane 3 : Rabbit monoclonal IgG (ab172730) instead of ab207418 in Raji whole cell lysate.

Blocking and dilution buffer and concentration : 5% NFDM/TBST.

Exposure time : 1 second.

All lanes:

Immunoprecipitation - Anti-IRF8 antibody [EPR20441] (<a href='/en-us/products/primary-antibodies/irf8-antibody-epr20441-ab207418'>ab207418</a>)

Predicted band size: 48 kDa

false

Western blot - Anti-IRF8 antibody [EPR20441] - BSA and Azide free (AB251475)
  • WB

Supplier Data

Western blot - Anti-IRF8 antibody [EPR20441] - BSA and Azide free (AB251475)

This data was developed using ab207418, the same antibody clone in a different buffer formulation.

Blocking and dilution buffer : 5% NFDM/TBST.

Exposure time : Lane 1 : 30 seconds; Lane 2 : 2 seconds; Lane 3 : 15 seconds.

All lanes:

Western blot - Anti-IRF8 antibody [EPR20441] (<a href='/en-us/products/primary-antibodies/irf8-antibody-epr20441-ab207418'>ab207418</a>) at 1/1000 dilution

Lane 1:

Human fetal spleen lysate at 10 µg

Lane 2:

Human tonsil lysate at 10 µg

Lane 3:

Human colon lysate at 10 µg

Secondary

All lanes:

Western blot - VeriBlot for IP Detection Reagent (HRP) (<a href='/en-us/products/reagents/veriblot-for-ip-detection-reagent-hrp-ab131366'>ab131366</a>) at 1/1000 dilution

Predicted band size: 48 kDa

Observed band size: 48 kDa

false

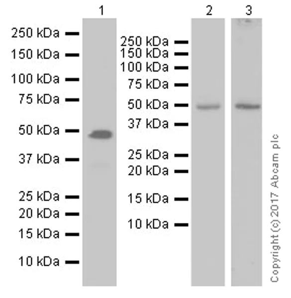
Western blot - Anti-IRF8 antibody [EPR20441] - BSA and Azide free (AB251475)
  • WB

Supplier Data

Western blot - Anti-IRF8 antibody [EPR20441] - BSA and Azide free (AB251475)

This data was developed using ab207418, the same antibody clone in a different buffer formulation.

Blocking and dilution buffer : 5% NFDM/TBST.

All lanes:

Western blot - Anti-IRF8 antibody [EPR20441] (<a href='/en-us/products/primary-antibodies/irf8-antibody-epr20441-ab207418'>ab207418</a>) at 1/1000 dilution

Lane 1:

THP-1 (Human monocytic leukemia cell line) whole cell lysate at 20 µg

Lane 2:

Raji (Human Burkitt's lymphoma cell line) whole cell lysate at 20 µg

Secondary

All lanes:

Western blot - Goat Anti-Rabbit IgG H&L (HRP) (<a href='/en-us/products/secondary-antibodies/goat-rabbit-igg-h-l-hrp-ab97051'>ab97051</a>) at 1/100000 dilution

Predicted band size: 48 kDa

Observed band size: 48 kDa

false

Exposure time: 1min

Key facts

Host species

Rabbit

Clonality

Monoclonal

Clone number

EPR20441

Isotype

IgG

Carrier free

Yes

Reacts with

Human

Applications

WB, IHC-P, IP

applications

Immunogen

The exact immunogen used to generate this antibody is proprietary information.

Reactivity data

{ "title": "Reactivity Data", "filters": { "stats": ["", "Species", "Dilution Info", "Notes"], "tabs": { "all-applications": {"fullname" : "All Applications", "shortname": "All Applications"}, "IP" : {"fullname" : "Immunoprecipitation", "shortname":"IP"}, "WB" : {"fullname" : "Western blot", "shortname":"WB"}, "IHCP" : {"fullname" : "Immunohistochemistry (Formalin/PFA-fixed paraffin-embedded sections)", "shortname":"IHC-P"} }, "product-promise": { "all": "all", "testedAndGuaranteed": "tested", "guaranteed": "expected", "predicted": "predicted", "notRecommended": "not-recommended" } }, "values": { "Human": { "IP-species-checked": "testedAndGuaranteed", "IP-species-dilution-info": "", "IP-species-notes": "<p></p>", "WB-species-checked": "testedAndGuaranteed", "WB-species-dilution-info": "", "WB-species-notes": "<p></p>", "IHCP-species-checked": "testedAndGuaranteed", "IHCP-species-dilution-info": "", "IHCP-species-notes": "<p></p>" } } }

Product details

ab251475 is the carrier-free version of ab207418.

Patented technology
Our RabMAb® technology is a patented hybridoma-based technology for making rabbit monoclonal antibodies. For details on our patents, please refer to RabMAb® patents.

What are the advantages of a recombinant monoclonal antibody?
This product is a recombinant monoclonal antibody, which offers several advantages including:

  • - High batch-to-batch consistency and reproducibility
  • - Improved sensitivity and specificity
  • - Long-term security of supply
  • - Animal-free batch production

For more information, read more on recombinant antibodies.

Conjugation ready
Our carrier-free antibodies are typically supplied in a PBS-only formulation, purified and free of BSA, sodium azide and glycerol. This conjugation-ready format is designed for use with fluorochromes, metal isotopes, oligonucleotides, and enzymes, which makes them ideal for antibody labelling, functional and cell-based assays, flow-based assays (e.g. mass cytometry) and Multiplex Imaging applications.

Use our conjugation kits for antibody conjugates that are ready-to-use in as little as 20 minutes with 1 minute hands-on-time and 100% antibody recovery: available for fluorescent dyes, HRP, biotin and gold.

Compatibility
This product is compatible with the Maxpar® Antibody Labeling Kit from Fluidigm, without the need for antibody preparation. Maxpar® is a trademark of Fluidigm Canada Inc.

Properties and storage information

Form
Liquid
Purification technique
Affinity purification Protein A
Storage buffer
pH: 7.2 - 7.4 Constituents: PBS
Shipped at conditions
Blue Ice
Appropriate short-term storage conditions
+4°C
Appropriate long-term storage conditions
+4°C
Storage information
Do Not Freeze

Supplementary information

This supplementary information is collated from multiple sources and compiled automatically.

IRF8 also known as Interferon Regulatory Factor 8 plays a significant role as a transcription factor in the regulation of gene expression. With a molecular mass of approximately 48 kDa this nuclear protein primarily functions in immune cells such as monocytes dendritic cells and macrophages. It binds to specific DNA sequences in gene promoters influencing the transcription of genes involved in immune response and development of blood cells. The expression of IRF8 extends beyond immune cells to tissues like the spleen and thymus.
Biological function summary

IRF8 drives differentiation and maturation of various immune cell types. It forms part of protein complexes that control the expression of genes necessary for immune surveillance and defense mechanisms. IRF8 can dimerize with other IRF family members or proteins like PU.1 to modulate activity of specific target genes. This transcription factor supports the growth and differentiation of myeloid cells and helps to balance lymphoid and myeloid lineage commitment which is important for maintaining a proper immune system function.

Pathways

IRF8 is integral to the interferon signaling and hematopoietic cell lineage pathways. It enhances the expression of interferon-stimulated genes integrating signals for a potent antiviral response. The protein connects with transcriptional regulators such as IRF1 and STAT1 to modulate these pathways. By participating in hematopoietic differentiation IRF8 also influences pathways related to the immune system development and inflammatory responses.

Mutations or alterations in IRF8 function associate with immunodeficiencies and hematologic malignancies. Chronic myelogenous leukemia and systemic lupus erythematosus exemplify conditions where IRF8 plays a role. Its dysfunction affects the regulation of cytokine genes which can lead to inappropriate immune responses. The protein's activity intersects with other key players such as BTK and BCL2 which are involved in disease processes related to immune cell proliferation and survival.

Product protocols

For this product, it's our understanding that no specific protocols are required. You can visit:

Target data

Transcription factor that specifically binds to the upstream regulatory region of type I interferon (IFN) and IFN-inducible MHC class I genes (the interferon consensus sequence (ICS)) (PubMed : 25122610). Can both act as a transcriptional activator or repressor (By similarity). Plays a negative regulatory role in cells of the immune system (By similarity). Involved in CD8(+) dendritic cell differentiation by forming a complex with the BATF-JUNB heterodimer in immune cells, leading to recognition of AICE sequence (5'-TGAnTCA/GAAA-3'), an immune-specific regulatory element, followed by cooperative binding of BATF and IRF8 and activation of genes (By similarity). Required for the development of plasmacytoid dendritic cells (pDCs), which produce most of the type I IFN in response to viral infection (By similarity). Positively regulates macroautophagy in dendritic cells (PubMed : 29434592). Acts as a transcriptional repressor of osteoclast differentiation factors such as NFATC1 and EEIG1 (By similarity).
See full target information IRF8

Product promise

We are committed to supporting your work with high-quality reagents, and we're here for you every step of the way. In the unlikely event that one of our products does not perform as expected, you're protected by our Product Promise.
For full details, please see our Terms & Conditions

Please note: All products are 'FOR RESEARCH USE ONLY. NOT FOR USE IN DIAGNOSTIC OR THERAPEUTIC PROCEDURES'.

For licensing inquiries, please contact partnerships@abcam.com