JavaScript is disabled in your browser. Please enable JavaScript to view this website.
AB306553

Anti-IRF8 antibody [EPR26382-10] - BSA and Azide free

5

(1 Review)

|

(0 Publication)

Rabbit Recombinant Monoclonal IRF8 antibody. Carrier free. Suitable for Flow Cyt (Intra), ICC/IF, IHC-P, WB and reacts with Mouse, Human samples.

View Alternative Names

ICSBP1, IRF8, Interferon regulatory factor 8, IRF-8, Interferon consensus sequence-binding protein, H-ICSBP, ICSBP

12 Images
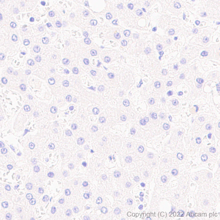
Immunohistochemistry (Formalin/PFA-fixed paraffin-embedded sections) - Anti-IRF8 antibody [EPR26382-10] - BSA and Azide free (AB306553)
  • IHC-P

Supplier Data

Immunohistochemistry (Formalin/PFA-fixed paraffin-embedded sections) - Anti-IRF8 antibody [EPR26382-10] - BSA and Azide free (AB306553)

This data was developed using ab306552, the same antibody clone in a different buffer formulation. Immunohistochemical analysis of paraffin-embedded human liver tissue labeling IRF8 with ab306552 at 1/500 (1.082 ug/ml) followed by ready to use LeicaDS9800 (Bond® Polymer Refine Detection). Negative control : no staining in human liver. The section was incubated with ab306552 for 30 mins at room temperature. The immunostaining was performed on a Leica Biosystems BOND® RX instrument. Counterstained with Hematoxylin. Secondary antibody only control : Secondary antibody is ready to use LeicaDS9800 (Bond® Polymer Refine Detection). Heat mediated antigen retrieval with Tris-EDTA buffer (pH 9.0, epitope retrieval solution2) for 20 mins

Flow Cytometry (Intracellular) - Anti-IRF8 antibody [EPR26382-10] - BSA and Azide free (AB306553)
  • Flow Cyt (Intra)

Supplier Data

Flow Cytometry (Intracellular) - Anti-IRF8 antibody [EPR26382-10] - BSA and Azide free (AB306553)

This data was developed using ab306552, the same antibody clone in a different buffer formulation. Flow cytometric analysis of 4% paraformaldehyde fixed 90% methanol permeabilized HCT116 (human colorectal carcinoma epithelial cell, Left) / THP-1 (human monocytic leukemia monocyte, Right) cells labeling IRF8 with ab306552 at 1/500 dilution (0.1ug) (Red) compared with a Rabbit monoclonal IgG (ab172730) (Black) isotype control and an unlabeled control (cells without incubation with primary antibody and secondary antibody) (Blue). A Goat Anti-Rabbit IgG (Alexa Fluor® 488, ab150081) at 1/2000 dilution was used as the secondary antibody. Negative control : HCT116 (PMID : 30540937).

Immunohistochemistry (Formalin/PFA-fixed paraffin-embedded sections) - Anti-IRF8 antibody [EPR26382-10] - BSA and Azide free (AB306553)
  • IHC-P

Supplier Data

Immunohistochemistry (Formalin/PFA-fixed paraffin-embedded sections) - Anti-IRF8 antibody [EPR26382-10] - BSA and Azide free (AB306553)

This data was developed using ab306552, the same antibody clone in a different buffer formulation. Immunohistochemical analysis of paraffin-embedded human tonsil tissue labeling IRF8 with ab306552 at 1/500 (1.082 ug/ml) followed by ready to use LeicaDS9800 (Bond® Polymer Refine Detection). Positive staining in human tonsil (PMID : 18663414). The section was incubated with ab306552 for 30 mins at room temperature. The immunostaining was performed on a Leica Biosystems BOND® RX instrument. Counterstained with Hematoxylin. Secondary antibody only control : Secondary antibody is ready to use LeicaDS9800 (Bond® Polymer Refine Detection). Heat mediated antigen retrieval with Tris-EDTA buffer (pH 9.0, epitope retrieval solution2) for 20 mins

Immunocytochemistry/ Immunofluorescence - Anti-IRF8 antibody [EPR26382-10] - BSA and Azide free (AB306553)
  • ICC/IF

Supplier Data

Immunocytochemistry/ Immunofluorescence - Anti-IRF8 antibody [EPR26382-10] - BSA and Azide free (AB306553)

This data was developed using ab306552, the same antibody clone in a different buffer formulation. Immunofluorescent analysis of 4% Paraformaldehyde-fixed, 0.1% Triton X-100 permeabilized THP-1 (human monocytic leukemia monocyte) cells labeling IRF8 with ab306552 at 1/500 (1.082 ug/ml) dilution, followed by ab150081 Goat Anti-Rabbit IgG H&L (Alexa Fluor® 488) preadsorbed antibody at 1/1000 (2 ug/ml) dilution (Green). Confocal image showing nuclear and weak cytoplasmic staining in THP-1 cell line. Negative control : HCT116 (PMID : 30540937). Image was taken with a confocal microscope(Leica-Microsystems, TCS SP8). ab195889 Anti-alpha Tubulin mouse monoclonal antibody - Microtubule Marker (Alexa Fluor® 594) was used to counterstain tubulin at 1/200 dilution (2.5 ug/ml) dilution (Red). The nuclear counterstain was DAPI (Blue). Secondary antibody only control : Secondary antibody is ab150081 Goat Anti-Rabbit IgG H&L (Alexa Fluor® 488) preadsorbed at 1/1000 (2 ug/ml) dilution.

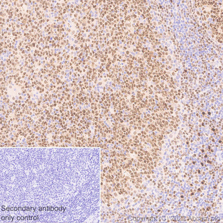
Immunohistochemistry (Formalin/PFA-fixed paraffin-embedded sections) - Anti-IRF8 antibody [EPR26382-10] - BSA and Azide free (AB306553)
  • IHC-P

Supplier Data

Immunohistochemistry (Formalin/PFA-fixed paraffin-embedded sections) - Anti-IRF8 antibody [EPR26382-10] - BSA and Azide free (AB306553)

This data was developed using ab306552, the same antibody clone in a different buffer formulation. Immunohistochemical analysis of paraffin-embedded human Hodgkin's Lymphoma tissue labeling IRF8 with ab306552 at 1/500 (1.082 ug/ml) followed by ready to use LeicaDS9800 (Bond® Polymer Refine Detection). Positive staining in human Hodgkin's Lymphoma. The section was incubated with ab306552 for 30 mins at room temperature. The immunostaining was performed on a Leica Biosystems BOND® RX instrument. Counterstained with Hematoxylin. Secondary antibody only control : Secondary antibody is ready to use LeicaDS9800 (Bond® Polymer Refine Detection). Heat mediated antigen retrieval with Tris-EDTA buffer (pH 9.0, epitope retrieval solution2) for 20 mins

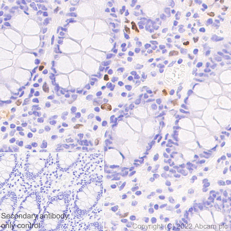
Immunohistochemistry (Formalin/PFA-fixed paraffin-embedded sections) - Anti-IRF8 antibody [EPR26382-10] - BSA and Azide free (AB306553)
  • IHC-P

Supplier Data

Immunohistochemistry (Formalin/PFA-fixed paraffin-embedded sections) - Anti-IRF8 antibody [EPR26382-10] - BSA and Azide free (AB306553)

This data was developed using ab306552, the same antibody clone in a different buffer formulation. Immunohistochemical analysis of paraffin-embedded human colon tissue labeling IRF8 with ab306552 at 1/500 (1.082 ug/ml) followed by ready to use LeicaDS9800 (Bond® Polymer Refine Detection). Positive staining in immune cells of human colon. The section was incubated with ab306552 for 30 mins at room temperature. The immunostaining was performed on a Leica Biosystems BOND® RX instrument. Counterstained with Hematoxylin. Secondary antibody only control : Secondary antibody is ready to use LeicaDS9800 (Bond® Polymer Refine Detection). Heat mediated antigen retrieval with Tris-EDTA buffer (pH 9.0, epitope retrieval solution2) for 20 mins

Immunocytochemistry/ Immunofluorescence - Anti-IRF8 antibody [EPR26382-10] - BSA and Azide free (AB306553)
  • ICC/IF

Supplier Data

Immunocytochemistry/ Immunofluorescence - Anti-IRF8 antibody [EPR26382-10] - BSA and Azide free (AB306553)

This data was developed using ab306552, the same antibody clone in a different buffer formulation. Immunofluorescent analysis of 4% Paraformaldehyde-fixed, 0.1% Triton X-100 permeabilized A20 (mouse reticulum sarcoma B lymphocyte) cells labeling IRF8 with ab306552 at 1/500 (1.082 ug/ml) dilution, followed by ab150081 Goat Anti-Rabbit IgG H&L (Alexa Fluor® 488) preadsorbed antibody at 1/1000 (2 ug/ml) dilution (Green). Confocal image showing nuclear and weak cytoplasmic staining in A20 cell line. Image was taken with a confocal microscope(Leica-Microsystems, TCS SP8). ab195889 Anti-alpha Tubulin mouse monoclonal antibody - Microtubule Marker (Alexa Fluor® 594) was used to counterstain tubulin at 1/200 dilution (2.5 ug/ml) dilution (Red). The nuclear counterstain was DAPI (Blue). Secondary antibody only control : Secondary antibody is ab150081 Goat Anti-Rabbit IgG H&L (Alexa Fluor® 488) preadsorbed at 1/1000 (2 ug/ml) dilution.

Immunohistochemistry (Formalin/PFA-fixed paraffin-embedded sections) - Anti-IRF8 antibody [EPR26382-10] - BSA and Azide free (AB306553)
  • IHC-P

Supplier Data

Immunohistochemistry (Formalin/PFA-fixed paraffin-embedded sections) - Anti-IRF8 antibody [EPR26382-10] - BSA and Azide free (AB306553)

This data was developed using ab306552, the same antibody clone in a different buffer formulation. Immunohistochemical analysis of paraffin-embedded mouse spleen tissue labeling IRF8 with ab306552 at 1/500 (1.082 ug/ml) followed by ready to use LeicaDS9800 (Bond® Polymer Refine Detection). Positive staining in mouse spleen. The section was incubated with ab306552 for 30 mins at room temperature. The immunostaining was performed on a Leica Biosystems BOND® RX instrument. Counterstained with Hematoxylin. Secondary antibody only control : Secondary antibody is ready to use LeicaDS9800 (Bond® Polymer Refine Detection). Heat mediated antigen retrieval with Tris-EDTA buffer (pH 9.0, epitope retrieval solution2) for 20 mins

Flow Cytometry (Intracellular) - Anti-IRF8 antibody [EPR26382-10] - BSA and Azide free (AB306553)
  • Flow Cyt (Intra)

Supplier Data

Flow Cytometry (Intracellular) - Anti-IRF8 antibody [EPR26382-10] - BSA and Azide free (AB306553)

This data was developed using ab306552, the same antibody clone in a different buffer formulation. Flow cytometric analysis of 4% paraformaldehyde fixed 90% methanol permeabilized A20 (mouse reticulum sarcoma B lymphocyte) cells labeling IRF8 with ab306552 at 1/50 dilution (1ug) (Red) compared with a Rabbit monoclonal IgG (ab172730) (Black) isotype control and an unlabeled control (cells without incubation with primary antibody and secondary antibody) (Blue). A Goat Anti-Rabbit IgG (Alexa Fluor® 488, ab150081) at 1/2000 dilution was used as the secondary antibody.

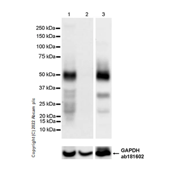
Western blot - Anti-IRF8 antibody [EPR26382-10] - BSA and Azide free (AB306553)
  • WB

Supplier Data

Western blot - Anti-IRF8 antibody [EPR26382-10] - BSA and Azide free (AB306553)

This data was developed using ab306552, the same antibody clone in a different buffer formulation. Blocking and diluting buffer and concentration : 5% NFDM/TBST. Negative control : human liver (PMID : 19074829; PMID : 2111015). Exposure time : Lanes 1-2 : 81 seconds, Lane 3 : 26 seconds.

All lanes:

Western blot - Anti-IRF8 antibody [EPR26382-10] (<a href='/en-us/products/primary-antibodies/irf8-antibody-epr26382-10-ab306552'>ab306552</a>) at 1/1000 dilution

Lane 1:

Human lymph node tissue lysate 20 μg

Lane 2:

Human liver tissue lysate 20 μg

Lane 3:

Mouse lymph node tissue lysate 20 μg

Secondary

All lanes:

Goat Anti-Rabbit IgG (HRP) with minimal cross-reactivity with human IgG at 1/2000 dilution

Observed band size: 48 kDa

false

Exposure time: 81s

Western blot - Anti-IRF8 antibody [EPR26382-10] - BSA and Azide free (AB306553)
  • WB

Supplier Data

Western blot - Anti-IRF8 antibody [EPR26382-10] - BSA and Azide free (AB306553)

This data was developed using ab306552, the same antibody clone in a different buffer formulation. Blocking and diluting buffer and concentration : 5% NFDM/TBST. Negative control : HCT 116 (PMID : 30540937; PMID : 19074829). Exposure time : Lanes 1-5 : 15 seconds, Lanes 6-7 : 81 seconds.

All lanes:

Western blot - Anti-IRF8 antibody [EPR26382-10] (<a href='/en-us/products/primary-antibodies/irf8-antibody-epr26382-10-ab306552'>ab306552</a>) at 1/1000 dilution

Lane 1:

A20 (mouse reticum sarcoma B lymphocyte) whole cell lysate 20 μg

Lane 2:

HCT 116 (human colorectal carcinoma epithelial cell) whole cell lysate 20 μg

Lane 3:

THP-1 (human monocytic leukemia monocyte) whole cell lysate 20 μg

Lane 4:

Raji (human Burkitts lymphoma B lymphocyte) whole cell lysate 20 μg

Lane 5:

Ramos (human Burkitts lymphoma B lymphocyte) whole cell lysate 20 μg

Lane 6:

RAW 264.7 (mouse Abelson murine leukemia virus-induced tumor macrophage) whole cell lysate 20 μg

Lane 7:

Mouse spleen tissue lysate 20 μg

Secondary

All lanes:

Western blot - Goat Anti-Rabbit IgG H&L (HRP) (<a href='/en-us/products/secondary-antibodies/goat-rabbit-igg-h-l-hrp-ab97051'>ab97051</a>) at 1/50000 dilution

Observed band size: 48 kDa

false

Exposure time: 15s

Western blot - Anti-IRF8 antibody [EPR26382-10] - BSA and Azide free (AB306553)
  • WB

Lab

Western blot - Anti-IRF8 antibody [EPR26382-10] - BSA and Azide free (AB306553)

This data was developed using ab306552, the same antibody clone in a different buffer formulation.

Blocking and diluting buffer and concentration : 5% NFDM/TBST.

Compared to ab306552, ab307292 demonstrates lower sensitivity in Western blot.

We suggest optimizing experimental protocols (increasing lysate amount, using lower dilution or higher sensitivity ECL substrate) to improve results when using ab307292 in western blot.

Lanes 1 - 3:

Western blot - Anti-IRF8 antibody [EPR26381-181] (<a href='/en-us/products/primary-antibodies/irf8-antibody-epr26381-181-ab307292'>ab307292</a>) at 1/1000 dilution

Lanes 4 - 6:

Western blot - Anti-IRF8 antibody [EPR26382-10] (<a href='/en-us/products/primary-antibodies/irf8-antibody-epr26382-10-ab306552'>ab306552</a>) at 1/1000 dilution

Lanes 1 and 4:

Mouse spleen tissue lysate at 20 µg

Lanes 2 and 5:

Mouse lymph node tissue lysate at 20 µg

Lanes 3 and 6:

A20 (mouse reticum sarcoma B lymphocyte) whole cell lysate at 20 µg

Secondary

All lanes:

Western blot - Goat Anti-Rabbit IgG H&L (HRP) (<a href='/en-us/products/secondary-antibodies/goat-rabbit-igg-h-l-hrp-ab97051'>ab97051</a>) at 1/20000 dilution

Observed band size: 48 kDa

false

Exposure time: 60s

Key facts

Host species

Rabbit

Clonality

Monoclonal

Clone number

EPR26382-10

Isotype

IgG

Carrier free

Yes

Reacts with

Human, Mouse

Applications

WB, IHC-P, ICC/IF, Flow Cyt (Intra)

applications

Immunogen

The exact immunogen used to generate this antibody is proprietary information.

Reactivity data

{ "title": "Reactivity Data", "filters": { "stats": ["", "Species", "Dilution Info", "Notes"], "tabs": { "all-applications": {"fullname" : "All Applications", "shortname": "All Applications"}, "IP" : {"fullname" : "Immunoprecipitation", "shortname":"IP"}, "FlowCytIntra" : {"fullname" : "Flow Cytometry (Intracellular)", "shortname":"Flow Cyt (Intra)"}, "ICCIF" : {"fullname" : "Immunocytochemistry/ Immunofluorescence", "shortname":"ICC/IF"}, "IHCP" : {"fullname" : "Immunohistochemistry (Formalin/PFA-fixed paraffin-embedded sections)", "shortname":"IHC-P"}, "WB" : {"fullname" : "Western blot", "shortname":"WB"} }, "product-promise": { "all": "all", "testedAndGuaranteed": "tested", "guaranteed": "expected", "predicted": "predicted", "notRecommended": "not-recommended" } }, "values": { "Human": { "IP-species-checked": "notRecommended", "IP-species-dilution-info": "", "IP-species-notes": "<p></p>", "FlowCytIntra-species-checked": "testedAndGuaranteed", "FlowCytIntra-species-dilution-info": "", "FlowCytIntra-species-notes": "<p></p>", "ICCIF-species-checked": "testedAndGuaranteed", "ICCIF-species-dilution-info": "", "ICCIF-species-notes": "<p></p>", "IHCP-species-checked": "testedAndGuaranteed", "IHCP-species-dilution-info": "", "IHCP-species-notes": "<p></p>", "WB-species-checked": "testedAndGuaranteed", "WB-species-dilution-info": "", "WB-species-notes": "<p></p>" }, "Mouse": { "IP-species-checked": "notRecommended", "IP-species-dilution-info": "", "IP-species-notes": "<p></p>", "FlowCytIntra-species-checked": "testedAndGuaranteed", "FlowCytIntra-species-dilution-info": "", "FlowCytIntra-species-notes": "<p></p>", "ICCIF-species-checked": "testedAndGuaranteed", "ICCIF-species-dilution-info": "", "ICCIF-species-notes": "<p></p>", "IHCP-species-checked": "testedAndGuaranteed", "IHCP-species-dilution-info": "", "IHCP-species-notes": "<p></p>", "WB-species-checked": "testedAndGuaranteed", "WB-species-dilution-info": "", "WB-species-notes": "<p></p>" }, "Rat": { "IP-species-checked": "notRecommended", "IP-species-dilution-info": "", "IP-species-notes": "", "FlowCytIntra-species-checked": "notRecommended", "FlowCytIntra-species-dilution-info": "", "FlowCytIntra-species-notes": "", "ICCIF-species-checked": "notRecommended", "ICCIF-species-dilution-info": "", "ICCIF-species-notes": "", "IHCP-species-checked": "notRecommended", "IHCP-species-dilution-info": "", "IHCP-species-notes": "<p></p>", "WB-species-checked": "notRecommended", "WB-species-dilution-info": "", "WB-species-notes": "<p></p>" } } }

Product details

Patented technology
Our RabMAb® technology is a patented hybridoma-based technology for making rabbit monoclonal antibodies. For details on our patents, please refer to RabMAb® patents.

What are the advantages of a recombinant monoclonal antibody?
This product is a recombinant monoclonal antibody, which offers several advantages including:

  • - High batch-to-batch consistency and reproducibility
  • - Improved sensitivity and specificity
  • - Long-term security of supply
  • - Animal-free batch production

For more information, read more on recombinant antibodies.

Conjugation ready
Our carrier-free antibodies are typically supplied in a PBS-only formulation, purified and free of BSA, sodium azide and glycerol. This conjugation-ready format is designed for use with fluorochromes, metal isotopes, oligonucleotides, and enzymes, which makes them ideal for antibody labelling, functional and cell-based assays, flow-based assays (e.g. mass cytometry) and Multiplex Imaging applications.

Use our conjugation kits for antibody conjugates that are ready-to-use in as little as 20 minutes with 1 minute hands-on-time and 100% antibody recovery: available for fluorescent dyes, HRP, biotin and gold.

Compatibility
This product is compatible with the Maxpar® Antibody Labeling Kit from Fluidigm, without the need for antibody preparation. Maxpar® is a trademark of Fluidigm Canada Inc.

Properties and storage information

Form
Liquid
Purification technique
Affinity purification Protein A
Storage buffer
pH: 7.2 - 7.4 Constituents: PBS
Shipped at conditions
Blue Ice
Appropriate short-term storage conditions
+4°C
Appropriate long-term storage conditions
+4°C

Supplementary information

This supplementary information is collated from multiple sources and compiled automatically.

IRF8 also known as Interferon Regulatory Factor 8 plays a significant role as a transcription factor in the regulation of gene expression. With a molecular mass of approximately 48 kDa this nuclear protein primarily functions in immune cells such as monocytes dendritic cells and macrophages. It binds to specific DNA sequences in gene promoters influencing the transcription of genes involved in immune response and development of blood cells. The expression of IRF8 extends beyond immune cells to tissues like the spleen and thymus.
Biological function summary

IRF8 drives differentiation and maturation of various immune cell types. It forms part of protein complexes that control the expression of genes necessary for immune surveillance and defense mechanisms. IRF8 can dimerize with other IRF family members or proteins like PU.1 to modulate activity of specific target genes. This transcription factor supports the growth and differentiation of myeloid cells and helps to balance lymphoid and myeloid lineage commitment which is important for maintaining a proper immune system function.

Pathways

IRF8 is integral to the interferon signaling and hematopoietic cell lineage pathways. It enhances the expression of interferon-stimulated genes integrating signals for a potent antiviral response. The protein connects with transcriptional regulators such as IRF1 and STAT1 to modulate these pathways. By participating in hematopoietic differentiation IRF8 also influences pathways related to the immune system development and inflammatory responses.

Mutations or alterations in IRF8 function associate with immunodeficiencies and hematologic malignancies. Chronic myelogenous leukemia and systemic lupus erythematosus exemplify conditions where IRF8 plays a role. Its dysfunction affects the regulation of cytokine genes which can lead to inappropriate immune responses. The protein's activity intersects with other key players such as BTK and BCL2 which are involved in disease processes related to immune cell proliferation and survival.

Product protocols

For this product, it's our understanding that no specific protocols are required. You can visit:

Target data

Transcription factor that specifically binds to the upstream regulatory region of type I interferon (IFN) and IFN-inducible MHC class I genes (the interferon consensus sequence (ICS)) (PubMed : 25122610). Can both act as a transcriptional activator or repressor (By similarity). Plays a negative regulatory role in cells of the immune system (By similarity). Involved in CD8(+) dendritic cell differentiation by forming a complex with the BATF-JUNB heterodimer in immune cells, leading to recognition of AICE sequence (5'-TGAnTCA/GAAA-3'), an immune-specific regulatory element, followed by cooperative binding of BATF and IRF8 and activation of genes (By similarity). Required for the development of plasmacytoid dendritic cells (pDCs), which produce most of the type I IFN in response to viral infection (By similarity). Positively regulates macroautophagy in dendritic cells (PubMed : 29434592). Acts as a transcriptional repressor of osteoclast differentiation factors such as NFATC1 and EEIG1 (By similarity).
See full target information IRF8

Product promise

We are committed to supporting your work with high-quality reagents, and we're here for you every step of the way. In the unlikely event that one of our products does not perform as expected, you're protected by our Product Promise.
For full details, please see our Terms & Conditions

Please note: All products are 'FOR RESEARCH USE ONLY. NOT FOR USE IN DIAGNOSTIC OR THERAPEUTIC PROCEDURES'.

For licensing inquiries, please contact partnerships@abcam.com