JavaScript is disabled in your browser. Please enable JavaScript to view this website.
AB118569

Anti-IRGM antibody

Be the first to review this product! Submit a review

|

(3 Publications)

Rabbit Polyclonal IRGM antibody. Suitable for IHC-P, WB and reacts with Human samples. Cited in 3 publications. Immunogen corresponding to Synthetic Peptide within Human IRGM.

View Alternative Names

IFI1, IRGM1, LRG47, IRGM, Immunity-related GTPase family M protein, Immunity-related GTPase family M protein 1, Interferon-inducible protein 1, LPS-stimulated RAW 264.7 macrophage protein 47 homolog, LRG-47

3 Images
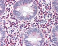
Immunohistochemistry (Formalin/PFA-fixed paraffin-embedded sections) - Anti-IRGM antibody (AB118569)
  • IHC-P

Unknown

Immunohistochemistry (Formalin/PFA-fixed paraffin-embedded sections) - Anti-IRGM antibody (AB118569)

Human Colon (formalin-fixed, paraffin-embedded) stained with IRGM antibody ab118569 at 5 µg/ml followed by biotinylated goat anti-rabbit IgG secondary antibody, alkaline phosphatase-streptavidin and chromogen.

Western blot - Anti-IRGM antibody (AB118569)
  • WB

Unknown

Western blot - Anti-IRGM antibody (AB118569)

Lane 1:

Western blot - Anti-IRGM antibody (ab118569) at 1 µg/mL

Lane 2:

Western blot - Anti-IRGM antibody (ab118569) at 2 µg/mL

All lanes:

Human Brain lysate

Predicted band size: 20 kDa

false

Western blot - Anti-IRGM antibody (AB118569)
  • WB

Lab

Western blot - Anti-IRGM antibody (AB118569)

Western blot : Anti-IRGM antibody (ab118569) staining at 2 ug/ml, shown in green; Mouse anti-Alpha Tubulin [DM1A] (ab7291) loading control staining at 1/20000 dilution, shown in magenta. In Western blot, ab118569 was shown to bind specifically to IRGM. A band was observed at 18 kDa in wild-type A549 cell lysates with no signal observed at this size in IRGM knockout cell line. To generate this image, wild-type and IRGM knockout A549 cell lysates were analysed. First, samples were run on an SDS-PAGE gel then transferred onto a nitrocellulose membrane. Membranes were blocked in 3 % milk in TBS-0.1 % Tween® 20 (TBS-T) before incubation with primary antibodies overnight at 4 °C. Blots were washed four times in TBS-T, incubated with secondary antibodies for 1 h at room temperature, washed again four times then imaged. Secondary antibodies used were Goat anti-Rabbit IgG H&L 800CW and Goat anti-Mouse IgG H&L 680RD at 1/20000 dilution.

All lanes:

Western blot - Anti-IRGM antibody (ab118569) at 2 µg/mL

Lane 1:

Wild-type A549 cell lysate at 20 µg

Lane 2:

IRGM knockout A549 cell lysate at 20 µg

Lane 2:

Western blot - Human IRGM Knockout A549 cell line (ab314956)

Secondary

All lanes:

Goat anti-Rabbit IgG H&L 800CW and Goat anti-Mouse IgG H&L 680RD at 1/20000 dilution

Observed band size: 18 kDa

false

Key facts

Host species

Rabbit

Clonality

Polyclonal

Isotype

IgG

Carrier free

No

Reacts with

Human

Applications

IHC-P, WB

applications

Immunogen

Synthetic Peptide within Human IRGM. The exact immunogen used to generate this antibody is proprietary information.

A1A4Y4

Reactivity data

{ "title": "Reactivity Data", "filters": { "stats": ["", "Species", "Dilution Info", "Notes"], "tabs": { "all-applications": {"fullname" : "All Applications", "shortname": "All Applications"}, "IHCP" : {"fullname" : "Immunohistochemistry (Formalin/PFA-fixed paraffin-embedded sections)", "shortname":"IHC-P"}, "WB" : {"fullname" : "Western blot", "shortname":"WB"} }, "product-promise": { "all": "all", "testedAndGuaranteed": "tested", "guaranteed": "expected", "predicted": "predicted", "notRecommended": "not-recommended" } }, "values": { "Human": { "IHCP-species-checked": "testedAndGuaranteed", "IHCP-species-dilution-info": "5 µg/mL", "IHCP-species-notes": "<p></p> Perform heat-mediated antigen retrieval with citrate buffer pH 6 before commencing with IHC staining protocol.", "WB-species-checked": "testedAndGuaranteed", "WB-species-dilution-info": "1-2 µg/mL", "WB-species-notes": "<p></p>" }, "Mouse": { "IHCP-species-checked": "predicted", "IHCP-species-dilution-info": "", "IHCP-species-notes": "", "WB-species-checked": "predicted", "WB-species-dilution-info": "", "WB-species-notes": "" }, "Rat": { "IHCP-species-checked": "predicted", "IHCP-species-dilution-info": "", "IHCP-species-notes": "", "WB-species-checked": "predicted", "WB-species-dilution-info": "", "WB-species-notes": "" } } }

Properties and storage information

Form
Liquid
Purification technique
Affinity purification Immunogen
Storage buffer
pH: 7.4 Preservative: 0.02% Sodium azide Constituents: PBS
Shipped at conditions
Blue Ice
Appropriate short-term storage conditions
+4°C
Appropriate long-term storage conditions
-20°C
Storage information
Avoid freeze / thaw cycle|Store undiluted

Supplementary information

This supplementary information is collated from multiple sources and compiled automatically.

IRGM also known as Immunity-Related GTPase Family M is a small protein with a molecular mass of approximately 22 kDa. This protein is mostly expressed in immune cells such as macrophages and dendritic cells. IRGM engages in autophagy a cellular process that eliminates intracellular pathogens and maintains cellular homeostasis. Its involvement in autophagy makes it an important player in immune defense mechanisms.
Biological function summary

IRGM functions to regulate innate immune responses. It is part of the ATG (autophagy-related) complex where it facilitates the formation of autophagosomes. This protein initiates the degradation of microbial invaders and damaged organelles contributing to the host defense systems. IRGM can also modulate inflammatory responses by interacting with other immune components ensuring a balance between pathogen clearance and tissue damage prevention.

Pathways

IRGM holds a connection to the autophagy pathway where it works together with proteins like LC3 and p62/sequestosome 1. This pathway is important for the degradation of pathogens engulfed in autophagosomes. In addition IRGM is involved in the intracellular signaling pathways that respond to bacterial infections collaborating with NOD2 and other pattern recognition receptors to enhance immune response.

IRGM has shown links to Crohn's disease and tuberculosis. Crohn's disease a type of inflammatory bowel disease sees IRGM influencing autophagy pathways which affects the host's ability to handle gut microbiota and microbial pathogens. In tuberculosis IRGM helps control Mycobacterium tuberculosis infection through autophagy-mediated pathways. Disruptions in IRGM functions can impair effective autophagic response influencing the progression of these diseases.

Product protocols

For this product, it's our understanding that no specific protocols are required. You can visit:

Target data

Immunity-related GTPase that plays important roles in innate immunity and inflammatory response (PubMed : 16888103, PubMed : 19165925, PubMed : 25891078). Acts as a dynamin-like protein that binds to intracellular membranes and promotes remodeling and trafficking of those membranes (By similarity). Required for clearance of acute protozoan and bacterial infections by interacting with autophagy and lysosome regulatory proteins, thereby promoting the fusion of phagosomes with lysosomes for efficient degradation of cargo including microbes (PubMed : 16888103, PubMed : 25891078, PubMed : 29420192, PubMed : 32939830). Regulates selective autophagy, including xenophagy and mitophagy, both directly and indirectly (PubMed : 16888103, PubMed : 25891078, PubMed : 29420192, PubMed : 32939830). Directly regulates autophagy by acting as a molecular adapter that promotes the coassembly of the core autophagy machinery to mediate antimicrobial defense : IRGM (1) activates AMPK, which in turn phosphorylates ULK1 and BECN1 to induce autophagy, (2) promotes the coassembly of ULK1 and BECN1, enhancing BECN1-interacting partners and (3) influences the composition of the BECN1 complex, by competing with the negative regulators BCL2 and RUBCN, to trigger autophagy (PubMed : 25891078). Also activates autophagy by promoting recruitment of STX17 to autophagosomes (PubMed : 29420192). In collaboration with ATG8 proteins, regulate lysosomal biogenesis, a fundamental process for any autophagic pathway, by promoting TFEB dephosphorylation (PubMed : 32753672). Also modulates autophagy by assisting with autophagosome formation and preventing lysosomal deacidification (By similarity). While activating autophagy, acts as a key negative regulator of the inflammatory and interferon responses both by (1) promoting mitophagy and (2) mediating autophagy-dependent degradation of effectors of the inflammatory response (PubMed : 30612879, PubMed : 32715615, PubMed : 36221902). Promotes degradation of damaged and IFNG/IFN-gamma-stressed mitochondria via mitophagy, preventing cytosolic release of ligands that activate inflammation (PubMed : 32715615). Acts as a suppressor of inflammation by promoting recruitment of inflammation effectors, such as CGAS, RIGI/RIG-I and NLRP3, to autophagosome membranes, leading to their SQSTM1/p62-dependent autophagic degradation (PubMed : 30612879, PubMed : 32715615). Also directly inhibits assembly of the NLRP3 inflammasome by preventing the association between NLRP3 and PYCARD (PubMed : 30612879). Acts as a negative regulator of antiviral innate immune response by suppressing the RIPK2-dependent pro-inflammatory response : mediates recruitment of RIPosomes, composed of RIPK2 and NOD1 or NOD2, to autophagosome membranes, promoting their SQSTM1/p62-dependent autophagic degradation (PubMed : 34467632, PubMed : 36221902).. Isoform IRGMd. Acts as a positive regulator of mitophagy in response to intracellular mycobacteria infection : specifically binds cardiolipin, leading to its translocation to mitochondria, where it promotes affected mitochondrial fission and mitophagy.. (Microbial infection) Following infection by hepatitis C virus (HCV), promotes HCV-triggered membrane remodeling, leading to autophagy and Golgi fragmentation, a step required for HCV replication.
See full target information IRGM

Publications (3)

Recent publications for all applications. Explore the full list and refine your search

Biomolecules & biomedicine 25:940-953 PubMed39466086

2024

Hsa_circ_0001492 regulates the hsa-miR-145-5p/ovarian carcinoma immunoreactive antigen domain 2 axis to promote the progression of lung adenocarcinoma.

Applications

Unspecified application

Species

Unspecified reactive species

Yuanqiang He,Gang Li,Ran Fu,Yue Li,Ying Wang

Cell reports 33:108510 PubMed33326776

2020

Hypusination Orchestrates the Antimicrobial Response of Macrophages.

Applications

Unspecified application

Species

Unspecified reactive species

Alain P Gobert,Jordan L Finley,Yvonne L Latour,Mohammad Asim,Thaddeus M Smith,Thomas G Verriere,Daniel P Barry,Margaret M Allaman,Alberto G Delagado,Kristie L Rose,M Wade Calcutt,Kevin L Schey,Johanna C Sierra,M Blanca Piazuelo,Raghavendra G Mirmira,Keith T Wilson

PloS one 15:e0238037 PubMed32886703

2020

New label-free methods for protein relative quantification applied to the investigation of an animal model of Huntington Disease.

Applications

Unspecified application

Species

Unspecified reactive species

Flora Cozzolino,Alfredo Landolfi,Ilaria Iacobucci,Vittoria Monaco,Marianna Caterino,Simona Celentano,Chiara Zuccato,Elena Cattaneo,Maria Monti
View all publications

Product promise

We are committed to supporting your work with high-quality reagents, and we're here for you every step of the way. In the unlikely event that one of our products does not perform as expected, you're protected by our Product Promise.
For full details, please see our Terms & Conditions

Please note: All products are 'FOR RESEARCH USE ONLY. NOT FOR USE IN DIAGNOSTIC OR THERAPEUTIC PROCEDURES'.

For licensing inquiries, please contact partnerships@abcam.com