JavaScript is disabled in your browser. Please enable JavaScript to view this website.
AB242133

Anti-Iroquois homeobox protein 3/IRX3 antibody [EPR22709-52]

Be the first to review this product! Submit a review

|

(2 Publications)

Rabbit Recombinant Monoclonal Iroquois homeobox protein 3/IRX3 antibody. Suitable for IHC-P, Flow Cyt (Intra), ICC/IF, WB and reacts with Mouse, Rat, Transfected cell line - Mouse samples. Cited in 2 publications.

View Alternative Names

Irxb1, Irx3, Iroquois-class homeodomain protein IRX-3, Homeodomain protein IRXB1, Iroquois homeobox protein 3

7 Images
Flow Cytometry (Intracellular) - Anti-Iroquois homeobox protein 3/IRX3 antibody [EPR22709-52] (AB242133)
  • Flow Cyt (Intra)

Unknown

Flow Cytometry (Intracellular) - Anti-Iroquois homeobox protein 3/IRX3 antibody [EPR22709-52] (AB242133)

Intracellular flow cytometric analysis of 4% paraformaldehyde fixed, 90% methanol permeabilized HEK-293T (Human embryonic kidney epithelial cell) (transfected with Flag-tagged mouse IRX3 expression vector) cells labelling Iroquois homeobox protein 3/IRX3 with ab242133 at 1/500 dilution (0.1ug) (Right) compared with a Rabbit monoclonal IgG (ab172730) isotype control (Left).

A Goat anti rabbit IgG (Alexa Fluor® 488, ab150077) at 1/2000 dilution was used as the secondary antibody.

Immunocytochemistry/ Immunofluorescence - Anti-Iroquois homeobox protein 3/IRX3 antibody [EPR22709-52] (AB242133)
  • ICC/IF

Unknown

Immunocytochemistry/ Immunofluorescence - Anti-Iroquois homeobox protein 3/IRX3 antibody [EPR22709-52] (AB242133)

Immunofluorescent analysis of 4% Paraformaldehyde-fixed, 0.1% TritonX-100 permeabilized HEK-293T cells ( transfected with Flag-tagged mouse IRX3 expression vector) labelling Iroquois homeobox protein 3/IRX3 with ab242133 at 1/50 dilution, followed by ab150077 Goat Anti-Rabbit IgG H&L (Alexa Fluor® 488) antibody at 1/1000 dilution (Green). Confocal image showing nuclear staining in 293T cells transfected with Flag-tagged IRX3 expression vector. is observed. Anti-FLAG mouse monoclonal antibody was used at 1/500 dilution (Red). The Nuclear counterstain was DAPI (Blue).

Secondary antibody only control : Secondary antibody is ab150077 Goat Anti-Rabbit IgG H&L (Alexa Fluor® 488) at 1/1000 dilution.

Immunohistochemistry (Formalin/PFA-fixed paraffin-embedded sections) - Anti-Iroquois homeobox protein 3/IRX3 antibody [EPR22709-52] (AB242133)
  • IHC-P

Unknown

Immunohistochemistry (Formalin/PFA-fixed paraffin-embedded sections) - Anti-Iroquois homeobox protein 3/IRX3 antibody [EPR22709-52] (AB242133)

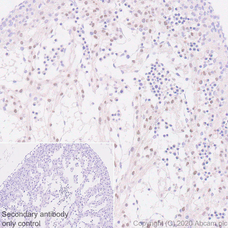
Immunohistochemical analysis of paraffin-embedded Rat E14.5 heart tissue labeling Iroquois homeobox protein 3/IRX3 with ab242133 at 1/100 dilution followed by a ready to use Rabbit specific IHC polymer detection kit HRP/DAB (ab209101). Positive staining on heart of rat E14.5. The section was incubated with ab242133 for 30 mins at room temperature. The immunostaining was performed on a Leica Biosystems BOND® RX instrument. Counterstained with Hematoxylin.

Secondary antibody only control : Secondary antibody is a ready to use Rabbit specific IHC polymer detection kit HRP/DAB (ab209101).

Heat mediated antigen retrieval with Tris-EDTA buffer (pH 9.0, epitope retrieval solution2) for 20 mins.

Immunohistochemistry (Formalin/PFA-fixed paraffin-embedded sections) - Anti-Iroquois homeobox protein 3/IRX3 antibody [EPR22709-52] (AB242133)
  • IHC-P

Unknown

Immunohistochemistry (Formalin/PFA-fixed paraffin-embedded sections) - Anti-Iroquois homeobox protein 3/IRX3 antibody [EPR22709-52] (AB242133)

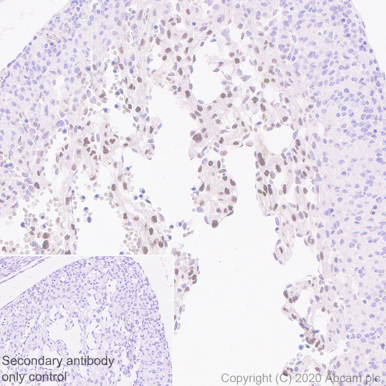
Immunohistochemical analysis of paraffin-embedded Mouse E14.5 lung tissue labeling Iroquois homeobox protein 3/IRX3 with ab242133 at 1/100 dilution followed by a ready to use Rabbit specific IHC polymer detection kit HRP/DAB (ab209101). Positive staining on lung of mouse E14.5 (PMID : 11520674 ). The section was incubated with ab242133 for 30 mins at room temperature. The immunostaining was performed on a Leica Biosystems BOND® RX instrument. Counterstained with Hematoxylin.

Secondary antibody only control : Secondary antibody is a ready to use Rabbit specific IHC polymer detection kit HRP/DAB (ab209101).

Heat mediated antigen retrieval with Tris-EDTA buffer (pH 9.0, epitope retrieval solution2) for 20 mins

Immunohistochemistry (Formalin/PFA-fixed paraffin-embedded sections) - Anti-Iroquois homeobox protein 3/IRX3 antibody [EPR22709-52] (AB242133)
  • IHC-P

Unknown

Immunohistochemistry (Formalin/PFA-fixed paraffin-embedded sections) - Anti-Iroquois homeobox protein 3/IRX3 antibody [EPR22709-52] (AB242133)

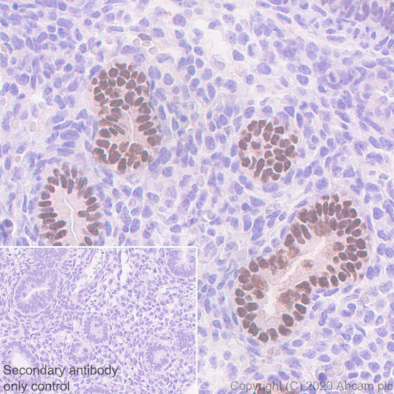
Immunohistochemical analysis of paraffin-embedded Mouse E14.5 heart tissue labeling Iroquois homeobox protein 3/IRX3 with ab242133 at 1/100 dilution followed by a ready to use Rabbit specific IHC polymer detection kit HRP/DAB (ab209101). Positive staining on heart of mouse E14.5 (PMID : 15342473, PMID : 11520674). The section was incubated with ab242133 for 30 mins at room temperature. The immunostaining was performed on a Leica Biosystems BOND® RX instrument. Counterstained with Hematoxylin.

Secondary antibody only control : Secondary antibody is a ready to use Rabbit specific IHC polymer detection kit HRP/DAB (ab209101).

Heat mediated antigen retrieval with Tris-EDTA buffer (pH 9.0, epitope retrieval solution2) for 20 mins.

Western blot - Anti-Iroquois homeobox protein 3/IRX3 antibody [EPR22709-52] (AB242133)
  • WB

Lab

Western blot - Anti-Iroquois homeobox protein 3/IRX3 antibody [EPR22709-52] (AB242133)

Blocking and diluting buffer and concentration : 5% NFDM/TBST.

This blot was developed using a higher sensitivity ECL substrate.

Exposure time : 125 seconds.

All lanes:

Western blot - Anti-Iroquois homeobox protein 3/IRX3 antibody [EPR22709-52] (ab242133) at 1/1000 dilution

Lane 1:

Mouse E17 embryo tissue lysate at 40 µg

Lane 2:

Rat E17 brain (primary culture) tissue lysate at 40 µg

Secondary

All lanes:

Goat Anti-Rabbit IgG, (H+L), Peroxidase conjugated (<a href='/en-us/products/secondary-antibodies/goat-rabbit-igg-h-l-hrp-ab97051'>ab97051</a>) at 1/50000 dilution

Predicted band size: 52 kDa

Observed band size: 70 kDa

false

Western blot - Anti-Iroquois homeobox protein 3/IRX3 antibody [EPR22709-52] (AB242133)
  • WB

Lab

Western blot - Anti-Iroquois homeobox protein 3/IRX3 antibody [EPR22709-52] (AB242133)

Blocking and diluting buffer and concentration : 5% NFDM/TBST.

This blot was developed using a higher sensitivity ECL substrate.

Exposure time : 3 minutes.

All lanes:

Western blot - Anti-Iroquois homeobox protein 3/IRX3 antibody [EPR22709-52] (ab242133) at 1/1000 dilution

Lane 1:

Mouse embryo tissue lysate at 40 µg

Lane 2:

Mouse E14.5 lung tissue lysate at 40 µg

Secondary

All lanes:

Goat Anti-Rabbit IgG, (H+L), Peroxidase conjugated (<a href='/en-us/products/secondary-antibodies/goat-rabbit-igg-h-l-hrp-ab97051'>ab97051</a>) at 1/100000 dilution

Predicted band size: 52 kDa

Observed band size: 70 kDa

false

  • Carrier free

    Anti-Iroquois homeobox protein 3/IRX3 antibody [EPR22709-52] - BSA and Azide free

Key facts

Host species

Rabbit

Clonality

Monoclonal

Clone number

EPR22709-52

Isotype

IgG

Carrier free

No

Reacts with

Mouse, Rat

Applications

IHC-P, Flow Cyt (Intra), WB, ICC/IF

applications

Immunogen

The exact immunogen used to generate this antibody is proprietary information.

Reactivity data

{ "title": "Reactivity Data", "filters": { "stats": ["", "Species", "Dilution Info", "Notes"], "tabs": { "all-applications": {"fullname" : "All Applications", "shortname": "All Applications"}, "IHCP" : {"fullname" : "Immunohistochemistry (Formalin/PFA-fixed paraffin-embedded sections)", "shortname":"IHC-P"}, "FlowCytIntra" : {"fullname" : "Flow Cytometry (Intracellular)", "shortname":"Flow Cyt (Intra)"}, "ICCIF" : {"fullname" : "Immunocytochemistry/ Immunofluorescence", "shortname":"ICC/IF"}, "IP" : {"fullname" : "Immunoprecipitation", "shortname":"IP"}, "WB" : {"fullname" : "Western blot", "shortname":"WB"}, "IHCFr" : {"fullname" : "Immunohistochemistry (Frozen sections)", "shortname":"IHC-Fr"} }, "product-promise": { "all": "all", "testedAndGuaranteed": "tested", "guaranteed": "expected", "predicted": "predicted", "notRecommended": "not-recommended" } }, "values": { "Human": { "IHCP-species-checked": "notRecommended", "IHCP-species-dilution-info": "", "IHCP-species-notes": "<p></p>", "FlowCytIntra-species-checked": "notRecommended", "FlowCytIntra-species-dilution-info": "", "FlowCytIntra-species-notes": "", "ICCIF-species-checked": "notRecommended", "ICCIF-species-dilution-info": "", "ICCIF-species-notes": "", "IP-species-checked": "notRecommended", "IP-species-dilution-info": "", "IP-species-notes": "", "WB-species-checked": "notRecommended", "WB-species-dilution-info": "", "WB-species-notes": "", "IHCFr-species-checked": "notRecommended", "IHCFr-species-dilution-info": "", "IHCFr-species-notes": "" }, "Mouse": { "IHCP-species-checked": "testedAndGuaranteed", "IHCP-species-dilution-info": "1/100", "IHCP-species-notes": "<p></p>", "FlowCytIntra-species-checked": "guaranteed", "FlowCytIntra-species-dilution-info": "", "FlowCytIntra-species-notes": "", "ICCIF-species-checked": "guaranteed", "ICCIF-species-dilution-info": "", "ICCIF-species-notes": "", "IP-species-checked": "notRecommended", "IP-species-dilution-info": "", "IP-species-notes": "<p></p>", "WB-species-checked": "testedAndGuaranteed", "WB-species-dilution-info": "1/1000", "WB-species-notes": "<p></p>", "IHCFr-species-checked": "notRecommended", "IHCFr-species-dilution-info": "", "IHCFr-species-notes": "<p></p>" }, "Rat": { "IHCP-species-checked": "testedAndGuaranteed", "IHCP-species-dilution-info": "1/100", "IHCP-species-notes": "<p></p>", "FlowCytIntra-species-checked": "guaranteed", "FlowCytIntra-species-dilution-info": "", "FlowCytIntra-species-notes": "", "ICCIF-species-checked": "guaranteed", "ICCIF-species-dilution-info": "", "ICCIF-species-notes": "", "IP-species-checked": "notRecommended", "IP-species-dilution-info": "", "IP-species-notes": "", "WB-species-checked": "testedAndGuaranteed", "WB-species-dilution-info": "1/1000", "WB-species-notes": "<p></p>", "IHCFr-species-checked": "notRecommended", "IHCFr-species-dilution-info": "", "IHCFr-species-notes": "" }, "Transfected cell line - Mouse": { "IHCP-species-checked": "notRecommended", "IHCP-species-dilution-info": "", "IHCP-species-notes": "", "FlowCytIntra-species-checked": "testedAndGuaranteed", "FlowCytIntra-species-dilution-info": "1/500", "FlowCytIntra-species-notes": "<p></p>", "ICCIF-species-checked": "testedAndGuaranteed", "ICCIF-species-dilution-info": "", "ICCIF-species-notes": "<p></p>", "IP-species-checked": "notRecommended", "IP-species-dilution-info": "", "IP-species-notes": "", "WB-species-checked": "notRecommended", "WB-species-dilution-info": "", "WB-species-notes": "", "IHCFr-species-checked": "notRecommended", "IHCFr-species-dilution-info": "", "IHCFr-species-notes": "" } } }

Product details

Patented technology
Our RabMAb® technology is a patented hybridoma-based technology for making rabbit monoclonal antibodies. For details on our patents, please refer to RabMAb® patents.

What are the advantages of a recombinant monoclonal antibody?
This product is a recombinant monoclonal antibody, which offers several advantages including:

  • - High batch-to-batch consistency and reproducibility
  • - Improved sensitivity and specificity
  • - Long-term security of supply
  • - Animal-free batch production

For more information, read more on recombinant antibodies.

Properties and storage information

Form
Liquid
Purification technique
Affinity purification Protein A
Storage buffer
pH: 7.2 - 7.4 Preservative: 0.01% Sodium azide Constituents: PBS, 40% Glycerol (glycerin, glycerine), 0.05% BSA
Shipped at conditions
Blue Ice
Appropriate short-term storage duration
1-2 weeks
Appropriate short-term storage conditions
+4°C
Appropriate long-term storage conditions
-20°C
Aliquoting information
Upon delivery aliquot
Storage information
Avoid freeze / thaw cycle

Supplementary information

This supplementary information is collated from multiple sources and compiled automatically.

Iroquois homeobox protein 3 also known as IRX3 is a transcription factor that plays a role in gene expression regulation. IRX3 weighs approximately 57 kDa. It is expressed in various tissues prominently in the brain heart and skeletal muscle. IRX3 participates in a network of transcription factors that regulates developmental processes and cellular differentiation.
Biological function summary

IRX3 serves an important role in the regulation of embryonic pattern formation. It is a part of the Iroquois homeobox gene family which is involved in the development of distinct anatomical regions during embryogenesis. IRX3 assists in determining body structure and organ formation and forms part of transcriptional complexes that guide the spatial organization of tissues. This protein also interacts with other homeobox proteins to accomplish its roles in development and differentiation.

Pathways

IRX3 integrates into several essential developmental signaling cascades. It is involved in the Wnt signaling pathway influential in cell fate determination embryonic development and homeostasis of adult tissues. In addition IRX3 links with the Hedgehog signaling pathway integral to developmental processes. It functions alongside other proteins such as IRX5 to modulate these pathways’ activities illustrating its role in complex gene interactions and signaling networks.

Studies connect IRX3 to obesity and metabolic syndrome. Variations in the gene locus near IRX3 significantly impact fat distribution and insulin sensitivity. IRX3 may also associate with cardiac disorders as alterations in its expression levels are influenced by its role in heart development. IRX3 interacts with proteins like FTO showing a direct link to metabolic phenotypes and their pathological manifestations.

Product protocols

For this product, it's our understanding that no specific protocols are required. You can visit:

Target data

Transcription factor involved in SHH-dependent neural patterning (PubMed : 10830170, PubMed : 15201216). Together with NKX2-2 and NKX6-1 acts to restrict the generation of motor neurons to the appropriate region of the neural tube (PubMed : 10830170, PubMed : 15201216). Belongs to the class I proteins of neuronal progenitor factors, which are repressed by SHH signals (PubMed : 10830170, PubMed : 15201216). Involved in the transcriptional repression of MNX1 in non-motor neuron cells (PubMed : 15201216). Acts as a regulator of energy metabolism (PubMed : 24646999).
See full target information Irx3

Publications (2)

Recent publications for all applications. Explore the full list and refine your search

iScience 28:112210 PubMed40230530

2025

The () homeobox genes are conserved Hox targets involved in motor neuron development.

Applications

Unspecified application

Species

Unspecified reactive species

Catarina Catela,Stavroula Assimacopoulos,Yihan Chen,Konstantinos Tsioras,Weidong Feng,Paschalis Kratsios

PloS one 19:e0311978 PubMed39441825

2024

Transcriptomic signatures of WNT-driven pathways and granulosa cell-oocyte interactions during primordial follicle activation.

Applications

Unspecified application

Species

Unspecified reactive species

Hinako M Takase,Tappei Mishina,Tetsutaro Hayashi,Mika Yoshimura,Mariko Kuse,Itoshi Nikaido,Tomoya S Kitajima
View all publications

Product promise

We are committed to supporting your work with high-quality reagents, and we're here for you every step of the way. In the unlikely event that one of our products does not perform as expected, you're protected by our Product Promise.
For full details, please see our Terms & Conditions

Please note: All products are 'FOR RESEARCH USE ONLY. NOT FOR USE IN DIAGNOSTIC OR THERAPEUTIC PROCEDURES'.

For licensing inquiries, please contact partnerships@abcam.com