JavaScript is disabled in your browser. Please enable JavaScript to view this website.
AB274328

Anti-Iroquois homeobox protein 3/IRX3 antibody [EPR22709-52] - BSA and Azide free

Be the first to review this product! Submit a review

|

(0 Publication)

Rabbit Recombinant Monoclonal Iroquois homeobox protein 3/IRX3 antibody. Carrier free. Suitable for WB, IHC-P, Flow Cyt (Intra), ICC/IF and reacts with Mouse, Rat, Transfected cell line - Mouse samples.

View Alternative Names

Irxb1, Irx3, Iroquois-class homeodomain protein IRX-3, Homeodomain protein IRXB1, Iroquois homeobox protein 3

7 Images
Flow Cytometry (Intracellular) - Anti-Iroquois homeobox protein 3/IRX3 antibody [EPR22709-52] - BSA and Azide free (AB274328)
  • Flow Cyt (Intra)

Unknown

Flow Cytometry (Intracellular) - Anti-Iroquois homeobox protein 3/IRX3 antibody [EPR22709-52] - BSA and Azide free (AB274328)

This data was developed using ab242133, the same antibody clone in a different buffer formulation.

Intracellular flow cytometric analysis of 4% paraformaldehyde fixed, 90% methanol permeabilized HEK-293T (Human embryonic kidney epithelial cell) (transfected with Flag-tagged mouse IRX3 expression vector) cells labelling Iroquois homeobox protein 3/IRX3 with ab242133 at 1/500 dilution (0.1ug) (Right) compared with a Rabbit monoclonal IgG (ab172730) isotype control (Left).

A Goat anti rabbit IgG (Alexa Fluor®488, ab150077) at 1/2000 dilution was used as the secondary antibody.

Immunocytochemistry/ Immunofluorescence - Anti-Iroquois homeobox protein 3/IRX3 antibody [EPR22709-52] - BSA and Azide free (AB274328)
  • ICC/IF

Unknown

Immunocytochemistry/ Immunofluorescence - Anti-Iroquois homeobox protein 3/IRX3 antibody [EPR22709-52] - BSA and Azide free (AB274328)

This data was developed using ab242133, the same antibody clone in a different buffer formulation.

Immunofluorescent analysis of 4% Paraformaldehyde-fixed, 0.1% Triton X-100 permeabilized HEK-293T cells (transfected with Flag-tagged mouse IRX3 expression vector) labelling Iroquois homeobox protein 3/IRX3 with ab242133 at 1/50 dilution, followed by ab150077 Goat Anti-Rabbit IgG H&L (Alexa Fluor® 488) antibody at 1/1000 dilution (Green). Confocal image showing nuclear staining in 293T cells transfected with Flag-tagged IRX3 expression vector. is observed. Anti-FLAG mouse monoclonal antibody was used at 1/500 dilution (Red). The Nuclear counterstain was DAPI (Blue).

Secondary antibody only control : Secondary antibody is ab150077 Goat Anti-Rabbit IgG H&L (Alexa Fluor® 488) at 1/1000 dilution.

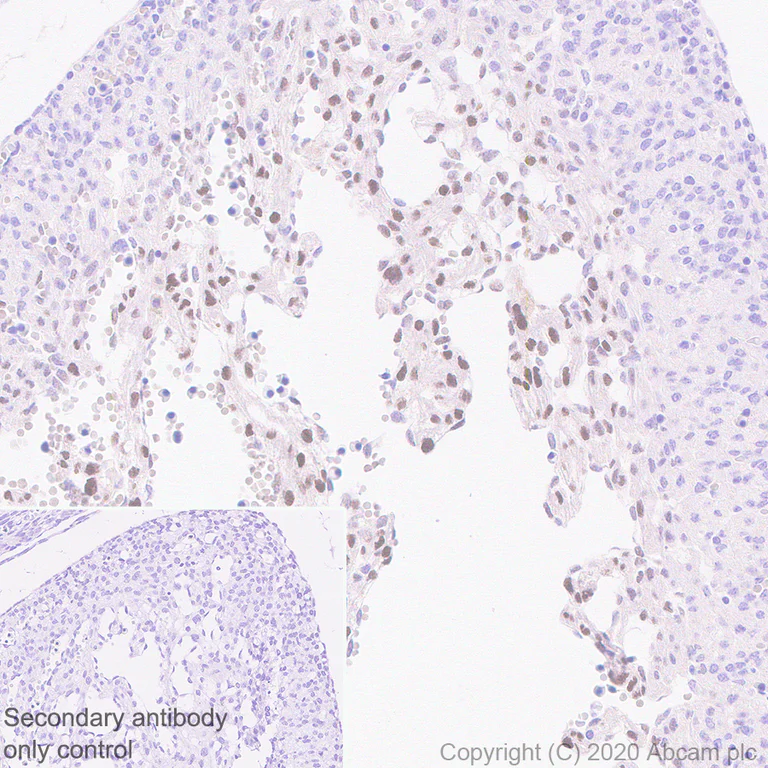
Immunohistochemistry (Formalin/PFA-fixed paraffin-embedded sections) - Anti-Iroquois homeobox protein 3/IRX3 antibody [EPR22709-52] - BSA and Azide free (AB274328)
  • IHC-P

Unknown

Immunohistochemistry (Formalin/PFA-fixed paraffin-embedded sections) - Anti-Iroquois homeobox protein 3/IRX3 antibody [EPR22709-52] - BSA and Azide free (AB274328)

This data was developed using ab242133, the same antibody clone in a different buffer formulation.

Immunohistochemical analysis of paraffin-embedded Rat E14.5 heart tissue labeling Iroquois homeobox protein 3/IRX3 with ab242133 at 1/100 dilution followed by a ready to use Rabbit specific IHC polymer detection kit HRP/DAB (ab209101). Positive staining on heart of rat E14.5. The section was incubated with ab242133 for 30 mins at room temperature. The immunostaining was performed on a Leica Biosystems BOND® RX instrument. Counterstained with Hematoxylin.

Secondary antibody only control : Secondary antibody is a ready to use Rabbit specific IHC polymer detection kit HRP/DAB (ab209101).

Heat mediated antigen retrieval with Tris-EDTA buffer (pH 9.0, epitope retrieval solution2) for 20 mins.

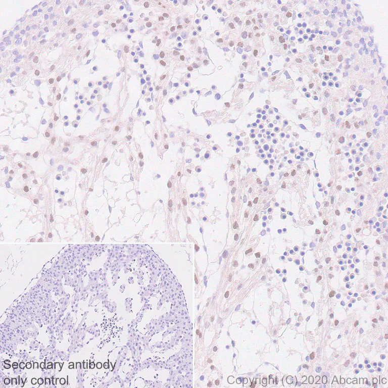
Immunohistochemistry (Formalin/PFA-fixed paraffin-embedded sections) - Anti-Iroquois homeobox protein 3/IRX3 antibody [EPR22709-52] - BSA and Azide free (AB274328)
  • IHC-P

Unknown

Immunohistochemistry (Formalin/PFA-fixed paraffin-embedded sections) - Anti-Iroquois homeobox protein 3/IRX3 antibody [EPR22709-52] - BSA and Azide free (AB274328)

This data was developed using ab242133, the same antibody clone in a different buffer formulation.

Immunohistochemical analysis of paraffin-embedded Mouse E14.5 lung tissue labeling Iroquois homeobox protein 3/IRX3 with ab242133 at 1/100 dilution followed by a ready to use Rabbit specific IHC polymer detection kit HRP/DAB (ab209101). Positive staining on lung of mouse E14.5 (PMID : 11520674 ). The section was incubated with ab242133 for 30 mins at room temperature. The immunostaining was performed on a Leica Biosystems BOND® RX instrument. Counterstained with Hematoxylin.

Secondary antibody only control : Secondary antibody is a ready to use Rabbit specific IHC polymer detection kit HRP/DAB (ab209101).

Heat mediated antigen retrieval with Tris-EDTA buffer (pH 9.0, epitope retrieval solution2) for 20 mins

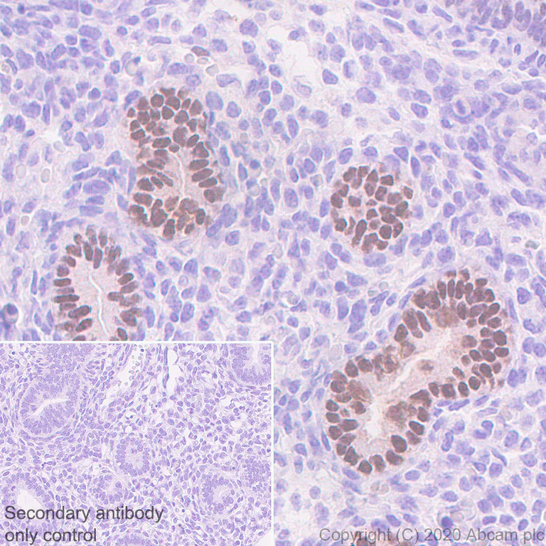
Immunohistochemistry (Formalin/PFA-fixed paraffin-embedded sections) - Anti-Iroquois homeobox protein 3/IRX3 antibody [EPR22709-52] - BSA and Azide free (AB274328)
  • IHC-P

Unknown

Immunohistochemistry (Formalin/PFA-fixed paraffin-embedded sections) - Anti-Iroquois homeobox protein 3/IRX3 antibody [EPR22709-52] - BSA and Azide free (AB274328)

This data was developed using ab242133, the same antibody clone in a different buffer formulation.

Immunohistochemical analysis of paraffin-embedded Mouse E14.5 heart tissue labeling Iroquois homeobox protein 3/IRX3 with ab242133 at 1/100 dilution followed by a ready to use Rabbit specific IHC polymer detection kit HRP/DAB (ab209101). Positive staining on heart of mouse E14.5 (PMID : 15342473, PMID : 11520674). The section was incubated with ab242133 for 30 mins at room temperature. The immunostaining was performed on a Leica Biosystems BOND® RX instrument. Counterstained with Hematoxylin.

Secondary antibody only control : Secondary antibody is a ready to use Rabbit specific IHC polymer detection kit HRP/DAB (ab209101).

Heat mediated antigen retrieval with Tris-EDTA buffer (pH 9.0, epitope retrieval solution2) for 20 mins.

Western blot - Anti-Iroquois homeobox protein 3/IRX3 antibody [EPR22709-52] - BSA and Azide free (AB274328)
  • WB

Lab

Western blot - Anti-Iroquois homeobox protein 3/IRX3 antibody [EPR22709-52] - BSA and Azide free (AB274328)

This data was developed using ab242133, the same antibody clone in a different buffer formulation.

Blocking and diluting buffer and concentration : 5% NFDM/TBST.

This blot was developed using a higher sensitivity ECL substrate.

Exposure time : 125 seconds.

All lanes:

Western blot - Anti-Iroquois homeobox protein 3/IRX3 antibody [EPR22709-52] (<a href='/en-us/products/primary-antibodies/iroquois-homeobox-protein-3-irx3-antibody-epr22709-52-ab242133'>ab242133</a>) at 1/1000 dilution

Lane 1:

Mouse E17 embryo tissue lysate at 40 µg

Lane 2:

Rat E17 brain (primary culture) tissue lysate at 40 µg

Secondary

All lanes:

Goat Anti-Rabbit IgG, (H+L), Peroxidase conjugated (<a href='/en-us/products/secondary-antibodies/goat-rabbit-igg-h-l-hrp-ab97051'>ab97051</a>) at 1/50000 dilution

Predicted band size: 52 kDa

Observed band size: 70 kDa

false

Western blot - Anti-Iroquois homeobox protein 3/IRX3 antibody [EPR22709-52] - BSA and Azide free (AB274328)
  • WB

Lab

Western blot - Anti-Iroquois homeobox protein 3/IRX3 antibody [EPR22709-52] - BSA and Azide free (AB274328)

This data was developed using ab242133, the same antibody clone in a different buffer formulation.

Blocking and diluting buffer and concentration : 5% NFDM/TBST.

This blot was developed using a higher sensitivity ECL substrate.

Exposure time : 3 minutes.

All lanes:

Western blot - Anti-Iroquois homeobox protein 3/IRX3 antibody [EPR22709-52] (<a href='/en-us/products/primary-antibodies/iroquois-homeobox-protein-3-irx3-antibody-epr22709-52-ab242133'>ab242133</a>) at 1/1000 dilution

Lane 1:

Mouse embryo tissue lysate at 40 µg

Lane 2:

Mouse E14.5 lung tissue lysate at 40 µg

Secondary

All lanes:

Goat Anti-Rabbit IgG, (H+L), Peroxidase conjugated (<a href='/en-us/products/secondary-antibodies/goat-rabbit-igg-h-l-hrp-ab97051'>ab97051</a>) at 1/100000 dilution

Predicted band size: 52 kDa

Observed band size: 70 kDa

false

  • Unconjugated

    Anti-Iroquois homeobox protein 3/IRX3 antibody [EPR22709-52]

Key facts

Host species

Rabbit

Clonality

Monoclonal

Clone number

EPR22709-52

Isotype

IgG

Carrier free

Yes

Reacts with

Mouse, Rat

Applications

Flow Cyt (Intra), WB, ICC/IF, IHC-P

applications

Immunogen

The exact immunogen used to generate this antibody is proprietary information.

Reactivity data

{ "title": "Reactivity Data", "filters": { "stats": ["", "Species", "Dilution Info", "Notes"], "tabs": { "all-applications": {"fullname" : "All Applications", "shortname": "All Applications"}, "IP" : {"fullname" : "Immunoprecipitation", "shortname":"IP"}, "WB" : {"fullname" : "Western blot", "shortname":"WB"}, "IHCP" : {"fullname" : "Immunohistochemistry (Formalin/PFA-fixed paraffin-embedded sections)", "shortname":"IHC-P"}, "IHCFr" : {"fullname" : "Immunohistochemistry (Frozen sections)", "shortname":"IHC-Fr"}, "FlowCytIntra" : {"fullname" : "Flow Cytometry (Intracellular)", "shortname":"Flow Cyt (Intra)"}, "ICCIF" : {"fullname" : "Immunocytochemistry/ Immunofluorescence", "shortname":"ICC/IF"} }, "product-promise": { "all": "all", "testedAndGuaranteed": "tested", "guaranteed": "expected", "predicted": "predicted", "notRecommended": "not-recommended" } }, "values": { "Human": { "IP-species-checked": "notRecommended", "IP-species-dilution-info": "", "IP-species-notes": "", "WB-species-checked": "notRecommended", "WB-species-dilution-info": "", "WB-species-notes": "", "IHCP-species-checked": "notRecommended", "IHCP-species-dilution-info": "", "IHCP-species-notes": "<p></p>", "IHCFr-species-checked": "notRecommended", "IHCFr-species-dilution-info": "", "IHCFr-species-notes": "", "FlowCytIntra-species-checked": "notRecommended", "FlowCytIntra-species-dilution-info": "", "FlowCytIntra-species-notes": "", "ICCIF-species-checked": "notRecommended", "ICCIF-species-dilution-info": "", "ICCIF-species-notes": "" }, "Mouse": { "IP-species-checked": "notRecommended", "IP-species-dilution-info": "", "IP-species-notes": "<p></p>", "WB-species-checked": "testedAndGuaranteed", "WB-species-dilution-info": "", "WB-species-notes": "<p></p>", "IHCP-species-checked": "testedAndGuaranteed", "IHCP-species-dilution-info": "", "IHCP-species-notes": "<p></p>", "IHCFr-species-checked": "notRecommended", "IHCFr-species-dilution-info": "", "IHCFr-species-notes": "<p></p>", "FlowCytIntra-species-checked": "guaranteed", "FlowCytIntra-species-dilution-info": "", "FlowCytIntra-species-notes": "", "ICCIF-species-checked": "guaranteed", "ICCIF-species-dilution-info": "", "ICCIF-species-notes": "" }, "Rat": { "IP-species-checked": "notRecommended", "IP-species-dilution-info": "", "IP-species-notes": "", "WB-species-checked": "testedAndGuaranteed", "WB-species-dilution-info": "", "WB-species-notes": "<p></p>", "IHCP-species-checked": "testedAndGuaranteed", "IHCP-species-dilution-info": "", "IHCP-species-notes": "<p></p>", "IHCFr-species-checked": "notRecommended", "IHCFr-species-dilution-info": "", "IHCFr-species-notes": "", "FlowCytIntra-species-checked": "guaranteed", "FlowCytIntra-species-dilution-info": "", "FlowCytIntra-species-notes": "", "ICCIF-species-checked": "guaranteed", "ICCIF-species-dilution-info": "", "ICCIF-species-notes": "" }, "Transfected cell line - Mouse": { "IP-species-checked": "notRecommended", "IP-species-dilution-info": "", "IP-species-notes": "", "WB-species-checked": "notRecommended", "WB-species-dilution-info": "", "WB-species-notes": "", "IHCP-species-checked": "notRecommended", "IHCP-species-dilution-info": "", "IHCP-species-notes": "", "IHCFr-species-checked": "notRecommended", "IHCFr-species-dilution-info": "", "IHCFr-species-notes": "", "FlowCytIntra-species-checked": "testedAndGuaranteed", "FlowCytIntra-species-dilution-info": "", "FlowCytIntra-species-notes": "<p></p>", "ICCIF-species-checked": "testedAndGuaranteed", "ICCIF-species-dilution-info": "", "ICCIF-species-notes": "<p></p>" } } }

Product details

ab274328 is the carrier-free version of ab242133.

Patented technology
Our RabMAb® technology is a patented hybridoma-based technology for making rabbit monoclonal antibodies. For details on our patents, please refer to RabMAb® patents.

What are the advantages of a recombinant monoclonal antibody?
This product is a recombinant monoclonal antibody, which offers several advantages including:

  • - High batch-to-batch consistency and reproducibility
  • - Improved sensitivity and specificity
  • - Long-term security of supply
  • - Animal-free batch production

For more information, read more on recombinant antibodies.

Conjugation ready
Our carrier-free antibodies are typically supplied in a PBS-only formulation, purified and free of BSA, sodium azide and glycerol. This conjugation-ready format is designed for use with fluorochromes, metal isotopes, oligonucleotides, and enzymes, which makes them ideal for antibody labelling, functional and cell-based assays, flow-based assays (e.g. mass cytometry) and Multiplex Imaging applications.

Use our conjugation kits for antibody conjugates that are ready-to-use in as little as 20 minutes with 1 minute hands-on-time and 100% antibody recovery: available for fluorescent dyes, HRP, biotin and gold.

Compatibility
This product is compatible with the Maxpar® Antibody Labeling Kit from Fluidigm, without the need for antibody preparation. Maxpar® is a trademark of Fluidigm Canada Inc.

Properties and storage information

Form
Liquid
Purification technique
Affinity purification Protein A
Storage buffer
pH: 7.2 - 7.4 Constituents: PBS
Shipped at conditions
Blue Ice
Appropriate short-term storage conditions
+4°C
Appropriate long-term storage conditions
+4°C
Storage information
Do Not Freeze

Supplementary information

This supplementary information is collated from multiple sources and compiled automatically.

Iroquois homeobox protein 3 also known as IRX3 is a transcription factor that plays a role in gene expression regulation. IRX3 weighs approximately 57 kDa. It is expressed in various tissues prominently in the brain heart and skeletal muscle. IRX3 participates in a network of transcription factors that regulates developmental processes and cellular differentiation.
Biological function summary

IRX3 serves an important role in the regulation of embryonic pattern formation. It is a part of the Iroquois homeobox gene family which is involved in the development of distinct anatomical regions during embryogenesis. IRX3 assists in determining body structure and organ formation and forms part of transcriptional complexes that guide the spatial organization of tissues. This protein also interacts with other homeobox proteins to accomplish its roles in development and differentiation.

Pathways

IRX3 integrates into several essential developmental signaling cascades. It is involved in the Wnt signaling pathway influential in cell fate determination embryonic development and homeostasis of adult tissues. In addition IRX3 links with the Hedgehog signaling pathway integral to developmental processes. It functions alongside other proteins such as IRX5 to modulate these pathways’ activities illustrating its role in complex gene interactions and signaling networks.

Studies connect IRX3 to obesity and metabolic syndrome. Variations in the gene locus near IRX3 significantly impact fat distribution and insulin sensitivity. IRX3 may also associate with cardiac disorders as alterations in its expression levels are influenced by its role in heart development. IRX3 interacts with proteins like FTO showing a direct link to metabolic phenotypes and their pathological manifestations.

Product protocols

For this product, it's our understanding that no specific protocols are required. You can visit:

Target data

Transcription factor involved in SHH-dependent neural patterning (PubMed : 10830170, PubMed : 15201216). Together with NKX2-2 and NKX6-1 acts to restrict the generation of motor neurons to the appropriate region of the neural tube (PubMed : 10830170, PubMed : 15201216). Belongs to the class I proteins of neuronal progenitor factors, which are repressed by SHH signals (PubMed : 10830170, PubMed : 15201216). Involved in the transcriptional repression of MNX1 in non-motor neuron cells (PubMed : 15201216). Acts as a regulator of energy metabolism (PubMed : 24646999).
See full target information Irx3

Product promise

We are committed to supporting your work with high-quality reagents, and we're here for you every step of the way. In the unlikely event that one of our products does not perform as expected, you're protected by our Product Promise.
For full details, please see our Terms & Conditions

Please note: All products are 'FOR RESEARCH USE ONLY. NOT FOR USE IN DIAGNOSTIC OR THERAPEUTIC PROCEDURES'.

For licensing inquiries, please contact partnerships@abcam.com