JavaScript is disabled in your browser. Please enable JavaScript to view this website.
AB131487

Anti-IRS1 antibody

5

(3 Reviews)

|

(27 Publications)

Rabbit Polyclonal IRS1 antibody. Suitable for ICC/IF, IHC-P, WB and reacts with Human, Rat, Mouse samples. Cited in 27 publications. Immunogen corresponding to Synthetic Peptide within Human Insulin receptor substrate 1 aa 600-650 conjugated to Keyhole Limpet Haemocyanin.

View Alternative Names

Insulin receptor substrate 1, IRS-1, IRS1

4 Images
Immunocytochemistry/ Immunofluorescence - Anti-IRS1 antibody (AB131487)
  • ICC/IF

Unknown

Immunocytochemistry/ Immunofluorescence - Anti-IRS1 antibody (AB131487)

Immunofluorescent analysis of methanol-fixed HeLa cells labelling IRS1 with ab131487 at 1/100 dilution.

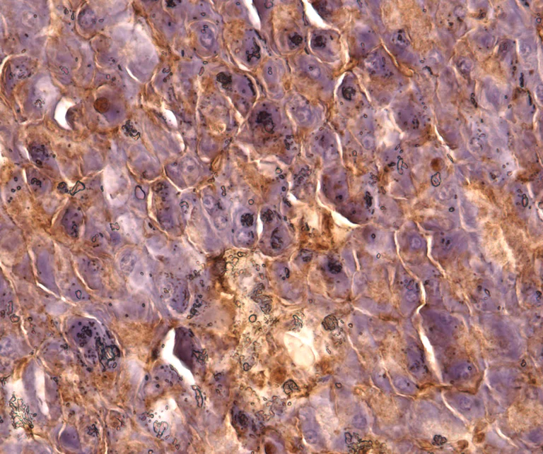
Immunohistochemistry (Formalin/PFA-fixed paraffin-embedded sections) - Anti-IRS1 antibody (AB131487)
  • IHC-P

AbReview81526****

Immunohistochemistry (Formalin/PFA-fixed paraffin-embedded sections) - Anti-IRS1 antibody (AB131487)

Immunohistochemistry (Formalin/PFA-fixed paraffin-embedded sections) analysis of formaldehyde-fixed DB mice pancreas tissue staining with ab131487 at 1/50 dilution. Secondary antibody was ready to use HRP Immpress Goat anti-rabbit IGG. Samples were incubated with the primary antibody with SignalStain antibody diluent for 18 hours at 4°C. Blocking was done using 100% Bloxall for 20 minutes at 20°C. Heat mediated antigen retrieval with Tris-EDTA ph9

This image is courtesy of an anonymous Abreview.

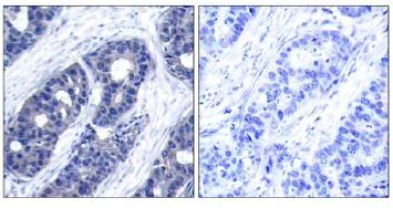
Immunohistochemistry (Formalin/PFA-fixed paraffin-embedded sections) - Anti-IRS1 antibody (AB131487)
  • IHC-P

Unknown

Immunohistochemistry (Formalin/PFA-fixed paraffin-embedded sections) - Anti-IRS1 antibody (AB131487)

Immunohistochemical analysis of paraffin-embedded Human Breast carcinoma tissue labelling IRS1 with ab131487 at 1/50 dilution. The image on the right is treated with the synthesized peptide.

Western blot - Anti-IRS1 antibody (AB131487)
  • WB

Unknown

Western blot - Anti-IRS1 antibody (AB131487)

All lanes:

Western blot - Anti-IRS1 antibody (ab131487) at 1/500 dilution

All lanes:

293 cell extract

Predicted band size: 131 kDa

false

Key facts

Host species

Rabbit

Clonality

Polyclonal

Isotype

IgG

Carrier free

No

Reacts with

Human, Mouse, Rat

Applications

ICC/IF, WB, IHC-P

applications

Immunogen

Synthetic Peptide within Human Insulin receptor substrate 1 aa 600-650 conjugated to Keyhole Limpet Haemocyanin. The exact immunogen used to generate this antibody is proprietary information.

P35568

Reactivity data

{ "title": "Reactivity Data", "filters": { "stats": ["", "Species", "Dilution Info", "Notes"], "tabs": { "all-applications": {"fullname" : "All Applications", "shortname": "All Applications"}, "ICCIF" : {"fullname" : "Immunocytochemistry/ Immunofluorescence", "shortname":"ICC/IF"}, "IHCP" : {"fullname" : "Immunohistochemistry (Formalin/PFA-fixed paraffin-embedded sections)", "shortname":"IHC-P"}, "WB" : {"fullname" : "Western blot", "shortname":"WB"} }, "product-promise": { "all": "all", "testedAndGuaranteed": "tested", "guaranteed": "expected", "predicted": "predicted", "notRecommended": "not-recommended" } }, "values": { "Human": { "ICCIF-species-checked": "testedAndGuaranteed", "ICCIF-species-dilution-info": "1/100 - 1/200", "ICCIF-species-notes": "<p></p>", "IHCP-species-checked": "testedAndGuaranteed", "IHCP-species-dilution-info": "1/50 - 1/100", "IHCP-species-notes": "<p></p>", "WB-species-checked": "testedAndGuaranteed", "WB-species-dilution-info": "1/500 - 1/1000", "WB-species-notes": "<p></p>" }, "Mouse": { "ICCIF-species-checked": "guaranteed", "ICCIF-species-dilution-info": "1/100 - 1/200", "ICCIF-species-notes": "<p></p>", "IHCP-species-checked": "guaranteed", "IHCP-species-dilution-info": "1/50 - 1/100", "IHCP-species-notes": "<p></p>", "WB-species-checked": "guaranteed", "WB-species-dilution-info": "1/500 - 1/1000", "WB-species-notes": "<p></p>" }, "Rat": { "ICCIF-species-checked": "guaranteed", "ICCIF-species-dilution-info": "100-200 Cells/mL", "ICCIF-species-notes": "<p></p>", "IHCP-species-checked": "guaranteed", "IHCP-species-dilution-info": "1/50 - 1/100", "IHCP-species-notes": "<p></p>", "WB-species-checked": "guaranteed", "WB-species-dilution-info": "1/500 - 1/1000", "WB-species-notes": "<p></p>" } } }

Properties and storage information

Form
Liquid
Purification technique
Affinity purification Immunogen
Purification notes
ab131487 was purified by affinity chromatography using epitope specific peptide.
Storage buffer
pH: 7.4 Preservative: 0.02% Sodium azide Constituents: 50% Glycerol (glycerin, glycerine), 49% PBS, 0.88% Sodium chloride
Shipped at conditions
Blue Ice
Appropriate short-term storage conditions
+4°C
Appropriate long-term storage conditions
-20°C
Storage information
Stable for 12 months at -20°C

Supplementary information

This supplementary information is collated from multiple sources and compiled automatically.

The protein IRS1 also known as Insulin Receptor Substrate 1 is an important player in insulin signaling. It is a docking protein that plays a part in the signaling pathway of insulin and insulin-like growth factor (IGF) contributing to glucose homeostasis. The molecular weight of IRS1 is approximately 180 kDa. Expressed in various tissues including muscle liver and adipose tissue IRS1 facilitates the transmission of signals from activated cell surface receptors to intracellular pathways. Notable for its phosphorylation IRS1 undergoes change in state when interacting with receptor kinases impacting its role in cell signaling.
Biological function summary

IRS1 helps mediate the effects of insulin by acting as a downstream effector in the insulin signaling cascade. IRS1 functions in a complex manner binding with PI3K (phosphoinositide 3-kinase) after phosphorylation at specific tyrosine residues. This interaction is important for further signaling events leading to the regulation of glucose uptake lipid synthesis and gene expression. Besides its role in energy balance IRS1 plays a significant part in cell growth and differentiation driven by its ability to relay signals from the insulin and IGF receptors.

Pathways

IRS1 is heavily involved in the insulin signaling pathway and the PI3K-Akt pathway. Upon phosphorylation IRS1 binds to proteins such as the PI3K initiating a cascade that ultimately activates Akt resulting in anabolic processes within cells. The pathway is essential for regulating basic functions like metabolism growth and survival. IRS1's interaction with other related proteins like IR (insulin receptor) and IGFR (insulin-like growth factor receptor) highlights its integrative role in cellular processes related to energy and growth.

IRS1 is implicated in insulin resistance and type 2 diabetes. Changes in IRS1 phosphorylation patterns can disrupt normal insulin signaling leading to impaired glucose uptake and metabolic dysregulation. The protein's dysfunction is linked to obesity forming a connection through its interactions with other proteins like Akt and mTOR. Aberrant IRS1 activity may contribute to altered cell metabolism and growth promoting conditions like diabetes which highlights the importance of IRS1 in maintaining metabolic health.

Product protocols

For this product, it's our understanding that no specific protocols are required. You can visit:

Target data

Signaling adapter protein that participates in the signal transduction from two prominent receptor tyrosine kinases, insulin receptor/INSR and insulin-like growth factor I receptor/IGF1R (PubMed : 7541045, PubMed : 33991522, PubMed : 38625937). Plays therefore an important role in development, growth, glucose homeostasis as well as lipid metabolism (PubMed : 19639489). Upon phosphorylation by the insulin receptor, functions as a signaling scaffold that propagates insulin action through binding to SH2 domain-containing proteins including the p85 regulatory subunit of PI3K, NCK1, NCK2, GRB2 or SHP2 (PubMed : 11171109, PubMed : 8265614). Recruitment of GRB2 leads to the activation of the guanine nucleotide exchange factor SOS1 which in turn triggers the Ras/Raf/MEK/MAPK signaling cascade (By similarity). Activation of the PI3K/AKT pathway is responsible for most of insulin metabolic effects in the cell, and the Ras/Raf/MEK/MAPK is involved in the regulation of gene expression and in cooperation with the PI3K pathway regulates cell growth and differentiation. Acts a positive regulator of the Wnt/beta-catenin signaling pathway through suppression of DVL2 autophagy-mediated degradation leading to cell proliferation (PubMed : 24616100).
See full target information Insulin receptor substrate 1

Publications (27)

Recent publications for all applications. Explore the full list and refine your search

Diabetology & metabolic syndrome 17:374 PubMed41044623

2025

THBS1 regulates the function and insulin sensitivity of HTR8/SVneo cells treated with high glucose through the RhoA/ROCK1 signaling pathway.

Applications

Unspecified application

Species

Unspecified reactive species

Yuerong Chai,Jie Tang,Aimin Liu,Qin Zhou

Chemical biology & drug design 106:e70169 PubMed40944385

2025

Kisspeptin-10 Improves Gestational Diabetes Mellitus Symptoms in Rats by Suppressing Insulin Resistance in Placental Trophoblast Cells by Activating the Cyclic AMP/Protein Kinase A Pathway.

Applications

Unspecified application

Species

Unspecified reactive species

Jianhua Li,Jinhuan Chen,Lin Lu,Bei Gan

Endocrine connections 14: PubMed40742333

2025

Endoplasmic reticulum stress contributes to insulin resistance in Hashimoto's thyroiditis.

Applications

Unspecified application

Species

Unspecified reactive species

Qing Zhou,Li Yong Zhang,Xue Lin Gao,Chao Chun Zou,Hui Liu

Endocrine-related cancer 32: PubMed40106332

2025

ob/ob obese mice promote tumorigenesis of endometrial cancer associated with Pten deficiency.

Applications

Unspecified application

Species

Unspecified reactive species

Keun Cheon Kim,Amanda Hull,Eric Johannsen,Mark I Hunter,Tae Hoon Kim,Jae-Wook Jeong

Journal of cancer research and clinical oncology 151:15 PubMed39724412

2024

AKT1-Mediated NOTCH1 phosphorylation promotes gastric cancer progression via targeted regulation of IRS-1 transcription.

Applications

Unspecified application

Species

Unspecified reactive species

Lingshan Zhou,Yuan Yang,Qian Qiao,Yingying Mi,Yuling Gan,Ya Zheng,Yuping Wang,Min Liu,Yongning Zhou

iScience 27:111019 PubMed39429784

2024

Behenic acid alleviates inflammation and insulin resistance in gestational diabetes mellitus by regulating TLR4/NF-κB signaling pathway.

Applications

Unspecified application

Species

Unspecified reactive species

Kerong Liu,Ying Gu,Xingnan Pan,Sha Chen,Jie Cheng,Le Zhang,Minkai Cao

Foods (Basel, Switzerland) 13: PubMed38998642

2024

Korean Red Ginseng Improves Oxidative Stress-Induced Hepatic Insulin Resistance via Enhancing Mitophagy.

Applications

Unspecified application

Species

Unspecified reactive species

Nodir Rustamov,Yuanqiang Ma,Jeong-Su Park,Feng Wang,Hwan Ma,Guoyan Sui,Gahye Moon,Hwan-Soo Yoo,Yoon-Seok Roh

Frontiers in immunology 15:1397722 PubMed38957471

2024

Exosome-shuttled miR-150-5p from LPS-preconditioned mesenchymal stem cells down-regulate PI3K/Akt/mTOR pathway via Irs1 to enhance M2 macrophage polarization and confer protection against sepsis.

Applications

Unspecified application

Species

Unspecified reactive species

Ting Zheng,Sipeng Li,Teng Zhang,Wei Fu,Shuchang Liu,Yuxin He,Xiao Wang,Tao Ma

iScience 26:107914 PubMed37817933

2023

Sex-specific adipose tissue's dynamic role in metabolic and inflammatory response following peripheral nerve injury.

Applications

Unspecified application

Species

Unspecified reactive species

Valentina Vacca,Claudia Rossi,Luisa Pieroni,Federica De Angelis,Giacomo Giacovazzo,Ilaria Cicalini,Domenico Ciavardelli,Flaminia Pavone,Roberto Coccurello,Sara Marinelli

Frontiers in endocrinology 14:1120221 PubMed36742405

2023

Benefits of Huang Lian mediated by gut microbiota on HFD/STZ-induced type 2 diabetes mellitus in mice.

Applications

Unspecified application

Species

Unspecified reactive species

Dan Li,Guangli Feng,Yue Li,Han Pan,Pei Luo,Bo Liu,Tao Ding,Xin Wang,Huibo Xu,Yufeng Zhao,Chenhong Zhang
View all publications

Product promise

We are committed to supporting your work with high-quality reagents, and we're here for you every step of the way. In the unlikely event that one of our products does not perform as expected, you're protected by our Product Promise.
For full details, please see our Terms & Conditions

Please note: All products are 'FOR RESEARCH USE ONLY. NOT FOR USE IN DIAGNOSTIC OR THERAPEUTIC PROCEDURES'.

For licensing inquiries, please contact partnerships@abcam.com