JavaScript is disabled in your browser. Please enable JavaScript to view this website.
AB313437

Anti-IRS1 (phospho S312) antibody [RP23040108]

Be the first to review this product! Submit a review

|

(1 Publication)

Rabbit Recombinant Multiclonal IRS1 phospho S312 antibody. Suitable for ICC/IF, WB and reacts with Human samples. Cited in 1 publication. Immunogen corresponding to Synthetic Peptide within Human IRS1 phospho S312.

View Alternative Names

Insulin receptor substrate 1, IRS-1, IRS1

2 Images
Immunocytochemistry/ Immunofluorescence - Anti-IRS1 (phospho S312) antibody [RP23040108] (AB313437)
  • ICC/IF

Supplier Data

Immunocytochemistry/ Immunofluorescence - Anti-IRS1 (phospho S312) antibody [RP23040108] (AB313437)

Immunofluorescent analysis of MCF7 cells treated with IGF (100 ng/mL/20 min) fixed using 4% formaldehyde (reconstituted in 1X PBS) for 10 min at room temperature and permeabilized using 0.1 % Triton X-100 in PBS for 15 min at room temperature labeling IRS with ab313437 at 1 ?g/mL followed by Goat anti-Rabbit IgG (H+L) Secondary Antibody, Alexa Fluor 488 conjugate at 1/2500 dilution. Panel a) shows representative cells that were stained for detection and localization of IRS (pS312) protein (green), Panel b) is stained for Nuclei (blue) using DAPI at 1/50 dilution. Panel c) represents cytoskeletal F-actin staining using Alexa Fluor 594 Phalloidin at 1/200 dilution. Panel d) is a composite image of Panels a, b and c clearly demonstrating nuclear localization of IRS (pS312). Panel e) represents cells without treatment and panel f) represents control cells with no primary antibody to assess background.

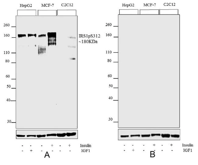
Western blot - Anti-IRS1 (phospho S312) antibody [RP23040108] (AB313437)
  • WB

Supplier Data

Western blot - Anti-IRS1 (phospho S312) antibody [RP23040108] (AB313437)

All lanes:

Western blot - Anti-IRS1 (phospho S312) antibody [RP23040108] (ab313437) at 1 µg/mL

Lane 1:

HepG2 cell lysate at 30 µg

Lane 2:

HepG2 treated with IGF1 (100 ng/mL/20 min) cell lysate at 30 µg

Lane 3:

MCF7 cell lysate at 30 µg

Lane 4:

MCF7 treated with Insulin (100 nM/10 min) cell lysate at 30 µg

Lane 5:

C2C12 cell lysate at 30 µg

Lane 6:

C2C12 treated with Insulin (100 nM/ 10 minutes) cell lysate at 30 µg

Lane 7:

phosphopeptide incubated (10 µg/ml) HepG2 cell lysate at 30 µg

Lane 8:

phosphopeptide incubated (10 µg/ml) HepG2 treated with IGF1 (100 ng/mL/20 min) cell lysate at 30 µg

Lane 9:

phosphopeptide incubated (10 µg/ml) MCF7 cell lysate at 30 µg

Lane 10:

phosphopeptide incubated (10 µg/ml) MCF7 treated with Insulin (100 nM/10 min) cell lysate at 30 µg

Lane 11:

phosphopeptide incubated (10 µg/ml) C2C12 cell lysate at 30 µg

Lane 12:

phosphopeptide incubated (10 µg/ml) C2C12 treated with Insulin (100 nM/10 min) cell lysate at 30 µg

Secondary

All lanes:

Goat anti-Rabbit IgG (H+L) Secondary Antibody, HRP conjugate at 1/2500 dilution

Predicted band size: 131.591 kDa

Observed band size: 180 kDa

true

Key facts

Host species

Rabbit

Clonality

Multiclonal

Clone number

RP23040108

Isotype

IgG

Carrier free

No

Reacts with

Human

Applications

WB, ICC/IF

applications

Immunogen

Synthetic Peptide within Human IRS1 phospho S312.

P35568

Reactivity data

{ "title": "Reactivity Data", "filters": { "stats": ["", "Species", "Dilution Info", "Notes"], "tabs": { "all-applications": {"fullname" : "All Applications", "shortname": "All Applications"}, "ICCIF" : {"fullname" : "Immunocytochemistry/ Immunofluorescence", "shortname":"ICC/IF"}, "WB" : {"fullname" : "Western blot", "shortname":"WB"} }, "product-promise": { "all": "all", "testedAndGuaranteed": "tested", "guaranteed": "expected", "predicted": "predicted", "notRecommended": "not-recommended" } }, "values": { "Human": { "ICCIF-species-checked": "testedAndGuaranteed", "ICCIF-species-dilution-info": "1 µg/mL", "ICCIF-species-notes": "<p></p>", "WB-species-checked": "testedAndGuaranteed", "WB-species-dilution-info": "1-3 µg/mL", "WB-species-notes": "<p></p>" } } }

Product details

What are recombinant multiclonals?
Recombinant multiclonals are a mixture of recombinant antibodies co-expressed from a library of heavy and light chains. They offer several advantages including:

  • - The sensitivity of polyclonal antibodies by recognising multiple epitopes
  • - High batch-to-batch consistency and reproducibility
  • - Improved sensitivity and specificity
  • - Long-term security of supply
  • - Animal-free batch production

View our range of recombinant multiclonal antibodies.

Properties and storage information

Form
Liquid
Purification technique
Affinity purification Protein A
Storage buffer
pH: 7.2 Preservative: 0.09% Sodium azide Constituents: PBS
Shipped at conditions
Blue Ice
Appropriate short-term storage duration
1-2 weeks
Appropriate short-term storage conditions
+4°C
Appropriate long-term storage conditions
-20°C
Aliquoting information
Upon delivery aliquot
Storage information
Avoid freeze / thaw cycle

Supplementary information

This supplementary information is collated from multiple sources and compiled automatically.

The protein IRS1 also known as Insulin Receptor Substrate 1 is an important player in insulin signaling. It is a docking protein that plays a part in the signaling pathway of insulin and insulin-like growth factor (IGF) contributing to glucose homeostasis. The molecular weight of IRS1 is approximately 180 kDa. Expressed in various tissues including muscle liver and adipose tissue IRS1 facilitates the transmission of signals from activated cell surface receptors to intracellular pathways. Notable for its phosphorylation IRS1 undergoes change in state when interacting with receptor kinases impacting its role in cell signaling.
Biological function summary

IRS1 helps mediate the effects of insulin by acting as a downstream effector in the insulin signaling cascade. IRS1 functions in a complex manner binding with PI3K (phosphoinositide 3-kinase) after phosphorylation at specific tyrosine residues. This interaction is important for further signaling events leading to the regulation of glucose uptake lipid synthesis and gene expression. Besides its role in energy balance IRS1 plays a significant part in cell growth and differentiation driven by its ability to relay signals from the insulin and IGF receptors.

Pathways

IRS1 is heavily involved in the insulin signaling pathway and the PI3K-Akt pathway. Upon phosphorylation IRS1 binds to proteins such as the PI3K initiating a cascade that ultimately activates Akt resulting in anabolic processes within cells. The pathway is essential for regulating basic functions like metabolism growth and survival. IRS1's interaction with other related proteins like IR (insulin receptor) and IGFR (insulin-like growth factor receptor) highlights its integrative role in cellular processes related to energy and growth.

IRS1 is implicated in insulin resistance and type 2 diabetes. Changes in IRS1 phosphorylation patterns can disrupt normal insulin signaling leading to impaired glucose uptake and metabolic dysregulation. The protein's dysfunction is linked to obesity forming a connection through its interactions with other proteins like Akt and mTOR. Aberrant IRS1 activity may contribute to altered cell metabolism and growth promoting conditions like diabetes which highlights the importance of IRS1 in maintaining metabolic health.

Product protocols

For this product, it's our understanding that no specific protocols are required. You can visit:

Target data

Signaling adapter protein that participates in the signal transduction from two prominent receptor tyrosine kinases, insulin receptor/INSR and insulin-like growth factor I receptor/IGF1R (PubMed : 7541045, PubMed : 33991522, PubMed : 38625937). Plays therefore an important role in development, growth, glucose homeostasis as well as lipid metabolism (PubMed : 19639489). Upon phosphorylation by the insulin receptor, functions as a signaling scaffold that propagates insulin action through binding to SH2 domain-containing proteins including the p85 regulatory subunit of PI3K, NCK1, NCK2, GRB2 or SHP2 (PubMed : 11171109, PubMed : 8265614). Recruitment of GRB2 leads to the activation of the guanine nucleotide exchange factor SOS1 which in turn triggers the Ras/Raf/MEK/MAPK signaling cascade (By similarity). Activation of the PI3K/AKT pathway is responsible for most of insulin metabolic effects in the cell, and the Ras/Raf/MEK/MAPK is involved in the regulation of gene expression and in cooperation with the PI3K pathway regulates cell growth and differentiation. Acts a positive regulator of the Wnt/beta-catenin signaling pathway through suppression of DVL2 autophagy-mediated degradation leading to cell proliferation (PubMed : 24616100).
See full target information IRS1 phospho S312

Publications (1)

Recent publications for all applications. Explore the full list and refine your search

Diabetology & metabolic syndrome 17:374 PubMed41044623

2025

THBS1 regulates the function and insulin sensitivity of HTR8/SVneo cells treated with high glucose through the RhoA/ROCK1 signaling pathway.

Applications

Unspecified application

Species

Unspecified reactive species

Yuerong Chai,Jie Tang,Aimin Liu,Qin Zhou
View all publications

Product promise

We are committed to supporting your work with high-quality reagents, and we're here for you every step of the way. In the unlikely event that one of our products does not perform as expected, you're protected by our Product Promise.
For full details, please see our Terms & Conditions

Please note: All products are 'FOR RESEARCH USE ONLY. NOT FOR USE IN DIAGNOSTIC OR THERAPEUTIC PROCEDURES'.

For licensing inquiries, please contact partnerships@abcam.com