JavaScript is disabled in your browser. Please enable JavaScript to view this website.
AB4776

Anti-IRS1 (phospho S616) antibody

Be the first to review this product! Submit a review

|

(6 Publications)

Rabbit Polyclonal IRS1 phospho S616 antibody. Suitable for IHC-P, WB and reacts with Mouse, Human samples. Cited in 6 publications. Immunogen corresponding to Synthetic Peptide within Human Insulin receptor substrate 1 phospho S616.

View Alternative Names

Insulin receptor substrate 1, IRS-1, IRS1

3 Images
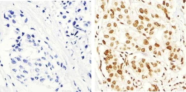
Immunohistochemistry (Formalin/PFA-fixed paraffin-embedded sections) - Anti-IRS1 (phospho S616) antibody (AB4776)
  • IHC-P

Supplier Data

Immunohistochemistry (Formalin/PFA-fixed paraffin-embedded sections) - Anti-IRS1 (phospho S616) antibody (AB4776)

Immunohistochemistry analysis of IRS1 (phospho S616) showing staining in the nucleus of paraffin-embedded human breast carcinoma tissue (right) compared to a negative control without primary antibody (left). Antigen retrieval was performed using 10mM sodium citrate (pH 6.0), microwaved for 8-15 min. Tissues were blocked in 3% H2O2-methanol for 15 min at room temperature, washed with ddH2O and PBS, and then probed with ab4776 diluted in 3% BSA-PBS at a dilution of 1/100 overnight at 4°C in a humidified chamber. Tissues were washed extensively in PBST and detection was performed using an HRP-conjugated secondary antibody followed by colorimetric detection using a DAB kit. Tissues were counterstained with hematoxylin and dehydrated with ethanol and xylene to prep for mounting.

Immunohistochemistry (Formalin/PFA-fixed paraffin-embedded sections) - Anti-IRS1 (phospho S616) antibody (AB4776)
  • IHC-P

Supplier Data

Immunohistochemistry (Formalin/PFA-fixed paraffin-embedded sections) - Anti-IRS1 (phospho S616) antibody (AB4776)

Immunohistochemistry analysis of IRS1 (phospho S616) showing staining in the nucleus of paraffin-embedded mouse skeletal muscle tissue (right) compared to a negative control without primary antibody (left). Antigen retrieval was performed using 10mM sodium citrate (pH 6.0), microwaved for 8-15 min. Following antigen retrieval, tissues were blocked in 3% H2O2-methanol for 15 min at room temperature, washed with ddH2O and PBS, and then probed with ab4776 diluted in 3% BSA-PBS at a dilution of 1/20 overnight at 4°C in a humidified chamber. Tissues were washed extensively in PBST and detection was performed using an HRP-conjugated secondary antibody followed by colorimetric detection using a DAB kit. Tissues were counterstained with hematoxylin and dehydrated with ethanol and xylene to prep for mounting.

Western blot - Anti-IRS1 (phospho S616) antibody (AB4776)
  • WB

Supplier Data

Western blot - Anti-IRS1 (phospho S616) antibody (AB4776)

Extracts of 293T cells transfected with wild-type human IRS1 and treated with 100 ng/mL TPA for 30 minutes were resolved by SDS-PAGE on a 10% Tris-glycine gel and transferred to PVDF.

All lanes:

Western blot - Anti-IRS1 (phospho S616) antibody (ab4776)

Predicted band size: 131 kDa

false

Key facts

Host species

Rabbit

Clonality

Polyclonal

Isotype

IgG

Carrier free

No

Reacts with

Mouse, Human

Applications

WB, IHC-P

applications

Immunogen

Synthetic Peptide within Human Insulin receptor substrate 1 phospho S616. The exact immunogen used to generate this antibody is proprietary information.

P35568

Reactivity data

{ "title": "Reactivity Data", "filters": { "stats": ["", "Species", "Dilution Info", "Notes"], "tabs": { "all-applications": {"fullname" : "All Applications", "shortname": "All Applications"}, "IHCP" : {"fullname" : "Immunohistochemistry (Formalin/PFA-fixed paraffin-embedded sections)", "shortname":"IHC-P"}, "WB" : {"fullname" : "Western blot", "shortname":"WB"} }, "product-promise": { "all": "all", "testedAndGuaranteed": "tested", "guaranteed": "expected", "predicted": "predicted", "notRecommended": "not-recommended" } }, "values": { "Human": { "IHCP-species-checked": "testedAndGuaranteed", "IHCP-species-dilution-info": "1/10 - 1/100", "IHCP-species-notes": "<p></p> Perform heat-mediated antigen retrieval with citrate buffer pH 6 before commencing with IHC staining protocol.", "WB-species-checked": "testedAndGuaranteed", "WB-species-dilution-info": "1/1000", "WB-species-notes": "<p></p>" }, "Mouse": { "IHCP-species-checked": "testedAndGuaranteed", "IHCP-species-dilution-info": "1/10 - 1/100", "IHCP-species-notes": "<p></p> Perform heat-mediated antigen retrieval with citrate buffer pH 6 before commencing with IHC staining protocol.", "WB-species-checked": "guaranteed", "WB-species-dilution-info": "", "WB-species-notes": "" }, "Rat": { "IHCP-species-checked": "predicted", "IHCP-species-dilution-info": "", "IHCP-species-notes": "", "WB-species-checked": "predicted", "WB-species-dilution-info": "", "WB-species-notes": "" } } }

Properties and storage information

Form
Liquid
Purification technique
Affinity purification Immunogen
Purification notes
Purified from rabbit serum by sequential epitope-specific chromatography. The antibody has been negatively preadsorbed using a non-phosphopeptide corresponding to the site of phosphorylation to remove antibody that is reactive with non-phosphorylated insulin receptor substrate 1 (IRS 1).
Storage buffer
pH: 7.3 Preservative: 0.05% Sodium azide Constituents: PBS, 50% Glycerol (glycerin, glycerine), 0.1% BSA
Shipped at conditions
Blue Ice
Appropriate short-term storage conditions
+4°C
Appropriate long-term storage conditions
-20°C
Aliquoting information
Upon delivery aliquot
Storage information
Avoid freeze / thaw cycle

Supplementary information

This supplementary information is collated from multiple sources and compiled automatically.

The protein IRS1 also known as Insulin Receptor Substrate 1 is an important player in insulin signaling. It is a docking protein that plays a part in the signaling pathway of insulin and insulin-like growth factor (IGF) contributing to glucose homeostasis. The molecular weight of IRS1 is approximately 180 kDa. Expressed in various tissues including muscle liver and adipose tissue IRS1 facilitates the transmission of signals from activated cell surface receptors to intracellular pathways. Notable for its phosphorylation IRS1 undergoes change in state when interacting with receptor kinases impacting its role in cell signaling.
Biological function summary

IRS1 helps mediate the effects of insulin by acting as a downstream effector in the insulin signaling cascade. IRS1 functions in a complex manner binding with PI3K (phosphoinositide 3-kinase) after phosphorylation at specific tyrosine residues. This interaction is important for further signaling events leading to the regulation of glucose uptake lipid synthesis and gene expression. Besides its role in energy balance IRS1 plays a significant part in cell growth and differentiation driven by its ability to relay signals from the insulin and IGF receptors.

Pathways

IRS1 is heavily involved in the insulin signaling pathway and the PI3K-Akt pathway. Upon phosphorylation IRS1 binds to proteins such as the PI3K initiating a cascade that ultimately activates Akt resulting in anabolic processes within cells. The pathway is essential for regulating basic functions like metabolism growth and survival. IRS1's interaction with other related proteins like IR (insulin receptor) and IGFR (insulin-like growth factor receptor) highlights its integrative role in cellular processes related to energy and growth.

IRS1 is implicated in insulin resistance and type 2 diabetes. Changes in IRS1 phosphorylation patterns can disrupt normal insulin signaling leading to impaired glucose uptake and metabolic dysregulation. The protein's dysfunction is linked to obesity forming a connection through its interactions with other proteins like Akt and mTOR. Aberrant IRS1 activity may contribute to altered cell metabolism and growth promoting conditions like diabetes which highlights the importance of IRS1 in maintaining metabolic health.

Product protocols

For this product, it's our understanding that no specific protocols are required. You can visit:

Target data

Signaling adapter protein that participates in the signal transduction from two prominent receptor tyrosine kinases, insulin receptor/INSR and insulin-like growth factor I receptor/IGF1R (PubMed : 7541045, PubMed : 33991522, PubMed : 38625937). Plays therefore an important role in development, growth, glucose homeostasis as well as lipid metabolism (PubMed : 19639489). Upon phosphorylation by the insulin receptor, functions as a signaling scaffold that propagates insulin action through binding to SH2 domain-containing proteins including the p85 regulatory subunit of PI3K, NCK1, NCK2, GRB2 or SHP2 (PubMed : 11171109, PubMed : 8265614). Recruitment of GRB2 leads to the activation of the guanine nucleotide exchange factor SOS1 which in turn triggers the Ras/Raf/MEK/MAPK signaling cascade (By similarity). Activation of the PI3K/AKT pathway is responsible for most of insulin metabolic effects in the cell, and the Ras/Raf/MEK/MAPK is involved in the regulation of gene expression and in cooperation with the PI3K pathway regulates cell growth and differentiation. Acts a positive regulator of the Wnt/beta-catenin signaling pathway through suppression of DVL2 autophagy-mediated degradation leading to cell proliferation (PubMed : 24616100).
See full target information Insulin receptor substrate 1 phospho S616

Publications (6)

Recent publications for all applications. Explore the full list and refine your search

Aging 15:10291-10306 PubMed37812195

2023

polysaccharide decreases podocyte injury in diabetic nephropathy by regulating IRS-1/AKT signal and promoting mitophagy.

Applications

Unspecified application

Species

Unspecified reactive species

Huahua Li,Jin Zheng,Yacen Wu,Hong Zhou,Suli Zeng,Quanqing Li

Cell cycle (Georgetown, Tex.) 22:967-985 PubMed36710409

2023

Deficiency of lipopolysaccharide binding protein facilitates adipose browning, glucose uptake and oxygen consumption in mouse embryonic fibroblasts via activating PI3K/Akt/mTOR pathway and inhibiting autophagy.

Applications

Unspecified application

Species

Unspecified reactive species

Xueyao Yin,Zhiye Xu,Xinxin Zhang,Jiahua Wu,Weina Lu

Phytotherapy research : PTR 37:611-626 PubMed36325883

2022

Increasing brain glucose uptake by Gypenoside LXXV ameliorates cognitive deficits in a mouse model of diabetic Alzheimer's disease.

Applications

Unspecified application

Species

Unspecified reactive species

Xiangbao Meng,Yuan Zhang,Zongyang Li,Guoxu Ma,Xiejun Zhang,Di Zhang,Weiwei Cao,Sicen Wang,Qian Cai,Ping Cui,Guodong Huang

Phytotherapy research : PTR 36:1770-1784 PubMed35192202

2022

A novel natural PPARγ agonist, Gypenoside LXXV, ameliorates cognitive deficits by enhancing brain glucose uptake via the activation of Akt/GLUT4 signaling in db/db mice.

Applications

Unspecified application

Species

Unspecified reactive species

Xiangbao Meng,Yuan Zhang,Zongyang Li,Jinxian Hu,Di Zhang,Weiwei Cao,Min Li,Guoxu Ma,Sicen Wang,Ping Cui,Qian Cai,Guodong Huang

Phytotherapy research : PTR 36:1297-1309 PubMed35088915

2022

A novel DPP-4 inhibitor Gramcyclin A attenuates cognitive deficits in APP/PS1/tau triple transgenic mice via enhancing brain GLP-1-dependent glucose uptake.

Applications

Unspecified application

Species

Unspecified reactive species

Zongyang Li,Yuan Zhang,Xiangbao Meng,Min Li,Weiwei Cao,Junshan Yang,Xudong Xu,Wenlan Liu,Weiping Li,Qian Cai,Sicen Wang,Guoxu Ma,Zhiheng Liu,Guodong Huang

Circulation 118:731-42 PubMed18663085

2008

Apolipoprotein CIII links hyperlipidemia with vascular endothelial cell dysfunction.

Applications

Unspecified application

Species

Unspecified reactive species

Akio Kawakami,Mizuko Osaka,Mariko Tani,Hiroshi Azuma,Frank M Sacks,Kentaro Shimokado,Masayuki Yoshida
View all publications

Product promise

We are committed to supporting your work with high-quality reagents, and we're here for you every step of the way. In the unlikely event that one of our products does not perform as expected, you're protected by our Product Promise.
For full details, please see our Terms & Conditions

Please note: All products are 'FOR RESEARCH USE ONLY. NOT FOR USE IN DIAGNOSTIC OR THERAPEUTIC PROCEDURES'.

For licensing inquiries, please contact partnerships@abcam.com