JavaScript is disabled in your browser. Please enable JavaScript to view this website.
AB47404

Anti-IRS1 (phospho S639) antibody

Be the first to review this product! Submit a review

|

(1 Publication)

Rabbit Polyclonal IRS1 phospho S639 antibody. Suitable for IHC-P and reacts with Human samples. Cited in 1 publication. Immunogen corresponding to Synthetic Peptide within Human Insulin receptor substrate 1 phospho S639 aa 600-700.

View Alternative Names

Insulin receptor substrate 1, IRS-1, IRS1

1 Images
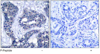
Immunohistochemistry (Formalin/PFA-fixed paraffin-embedded sections) - Anti-IRS1 (phospho S639) antibody (AB47404)
  • IHC-P

Unknown

Immunohistochemistry (Formalin/PFA-fixed paraffin-embedded sections) - Anti-IRS1 (phospho S639) antibody (AB47404)

Immunohistochemical analysis of paraffin-embedded human breast carcinoma tissue using IRS-1 (phospho-Ser639) antibody in the presence and absence of blocking peptide. (antibody dilution : 1/50)

Key facts

Host species

Rabbit

Clonality

Polyclonal

Isotype

IgG

Carrier free

No

Reacts with

Human

Applications

IHC-P

applications

Immunogen

Synthetic Peptide within Human Insulin receptor substrate 1 phospho S639 aa 600-700. The exact immunogen used to generate this antibody is proprietary information.

P35568

Specificity

This antibody detects endogenous levels of human IRS-1 only when phosphorylated at serine 639. In rat and mouse the phosphorilation site in at serine 635.

Reactivity data

{ "title": "Reactivity Data", "filters": { "stats": ["", "Species", "Dilution Info", "Notes"], "tabs": { "all-applications": {"fullname" : "All Applications", "shortname": "All Applications"}, "IHCP" : {"fullname" : "Immunohistochemistry (Formalin/PFA-fixed paraffin-embedded sections)", "shortname":"IHC-P"} }, "product-promise": { "all": "all", "testedAndGuaranteed": "tested", "guaranteed": "expected", "predicted": "predicted", "notRecommended": "not-recommended" } }, "values": { "Human": { "IHCP-species-checked": "testedAndGuaranteed", "IHCP-species-dilution-info": "", "IHCP-species-notes": "<p></p>" } } }

Properties and storage information

Form
Liquid
Purification technique
Affinity purification Immunogen
Purification notes
The antibody was affinity-purified from rabbit antiserum by affinity-chromatography using epitope-specific phosphopeptide. The antibody against non-phosphopeptide was removed by chromatography using a non-phosphopeptide corresponding to the phosphorylation site.
Storage buffer
pH: 7.4 Preservative: 0.02% Sodium azide Constituents: PBS, 50% Glycerol (glycerin, glycerine), 0.87% Sodium chloride
Shipped at conditions
Blue Ice
Appropriate short-term storage conditions
+4°C
Appropriate long-term storage conditions
-20°C
Aliquoting information
Upon delivery aliquot
Storage information
Avoid freeze / thaw cycle

Supplementary information

This supplementary information is collated from multiple sources and compiled automatically.

The protein IRS1 also known as Insulin Receptor Substrate 1 is an important player in insulin signaling. It is a docking protein that plays a part in the signaling pathway of insulin and insulin-like growth factor (IGF) contributing to glucose homeostasis. The molecular weight of IRS1 is approximately 180 kDa. Expressed in various tissues including muscle liver and adipose tissue IRS1 facilitates the transmission of signals from activated cell surface receptors to intracellular pathways. Notable for its phosphorylation IRS1 undergoes change in state when interacting with receptor kinases impacting its role in cell signaling.
Biological function summary

IRS1 helps mediate the effects of insulin by acting as a downstream effector in the insulin signaling cascade. IRS1 functions in a complex manner binding with PI3K (phosphoinositide 3-kinase) after phosphorylation at specific tyrosine residues. This interaction is important for further signaling events leading to the regulation of glucose uptake lipid synthesis and gene expression. Besides its role in energy balance IRS1 plays a significant part in cell growth and differentiation driven by its ability to relay signals from the insulin and IGF receptors.

Pathways

IRS1 is heavily involved in the insulin signaling pathway and the PI3K-Akt pathway. Upon phosphorylation IRS1 binds to proteins such as the PI3K initiating a cascade that ultimately activates Akt resulting in anabolic processes within cells. The pathway is essential for regulating basic functions like metabolism growth and survival. IRS1's interaction with other related proteins like IR (insulin receptor) and IGFR (insulin-like growth factor receptor) highlights its integrative role in cellular processes related to energy and growth.

IRS1 is implicated in insulin resistance and type 2 diabetes. Changes in IRS1 phosphorylation patterns can disrupt normal insulin signaling leading to impaired glucose uptake and metabolic dysregulation. The protein's dysfunction is linked to obesity forming a connection through its interactions with other proteins like Akt and mTOR. Aberrant IRS1 activity may contribute to altered cell metabolism and growth promoting conditions like diabetes which highlights the importance of IRS1 in maintaining metabolic health.

Product protocols

For this product, it's our understanding that no specific protocols are required. You can visit:

Target data

Signaling adapter protein that participates in the signal transduction from two prominent receptor tyrosine kinases, insulin receptor/INSR and insulin-like growth factor I receptor/IGF1R (PubMed : 7541045, PubMed : 33991522, PubMed : 38625937). Plays therefore an important role in development, growth, glucose homeostasis as well as lipid metabolism (PubMed : 19639489). Upon phosphorylation by the insulin receptor, functions as a signaling scaffold that propagates insulin action through binding to SH2 domain-containing proteins including the p85 regulatory subunit of PI3K, NCK1, NCK2, GRB2 or SHP2 (PubMed : 11171109, PubMed : 8265614). Recruitment of GRB2 leads to the activation of the guanine nucleotide exchange factor SOS1 which in turn triggers the Ras/Raf/MEK/MAPK signaling cascade (By similarity). Activation of the PI3K/AKT pathway is responsible for most of insulin metabolic effects in the cell, and the Ras/Raf/MEK/MAPK is involved in the regulation of gene expression and in cooperation with the PI3K pathway regulates cell growth and differentiation. Acts a positive regulator of the Wnt/beta-catenin signaling pathway through suppression of DVL2 autophagy-mediated degradation leading to cell proliferation (PubMed : 24616100).
See full target information Insulin receptor substrate 1 phospho S639

Publications (1)

Recent publications for all applications. Explore the full list and refine your search

Cancer biology & therapy 19:1153-1161 PubMed30067448

2018

Antidiabetic drugs influence molecular mechanisms in prostate cancer.

Applications

Unspecified application

Species

Unspecified reactive species

Andreas Pircher,Martin Zieher,Andrea Eigentler,Renate Pichler,Georg Schäfer,Josef Fritz,Martin Puhr,Eberhard Steiner,Wolfgang Horninger,Helmut Klocker,Isabel Heidegger
View all publications

Product promise

We are committed to supporting your work with high-quality reagents, and we're here for you every step of the way. In the unlikely event that one of our products does not perform as expected, you're protected by our Product Promise.
For full details, please see our Terms & Conditions

Please note: All products are 'FOR RESEARCH USE ONLY. NOT FOR USE IN DIAGNOSTIC OR THERAPEUTIC PROCEDURES'.

For licensing inquiries, please contact partnerships@abcam.com