JavaScript is disabled in your browser. Please enable JavaScript to view this website.
AB247286

Anti-IRS1+IRS2 antibody [EP263Y] - BSA and Azide free

Be the first to review this product! Submit a review

|

(0 Publication)

Rabbit Recombinant Monoclonal IRS1 antibody. Carrier free. Suitable for IHC-P, ICC/IF, WB, Flow Cyt (Intra) and reacts with Human, Recombinant fragment - Human samples.

View Alternative Names

Insulin receptor substrate 1, IRS-1, IRS1

8 Images
Immunohistochemistry (Formalin/PFA-fixed paraffin-embedded sections) - Anti-IRS1+IRS2 antibody [EP263Y] - BSA and Azide free (AB247286)
  • IHC-P

Unknown

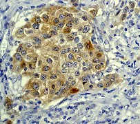
Immunohistochemistry (Formalin/PFA-fixed paraffin-embedded sections) - Anti-IRS1+IRS2 antibody [EP263Y] - BSA and Azide free (AB247286)

This data was developed using ab40777, the same antibody clone in a different buffer formulation.

Immunohistochemistry (Formalin/PFA-fixed paraffin-embedded sections) analysis of human breast carcinoma labelling IRS1 with unpurified ab40777.

Perform heat mediated antigen retrieval before commencing with IHC staining protocol.

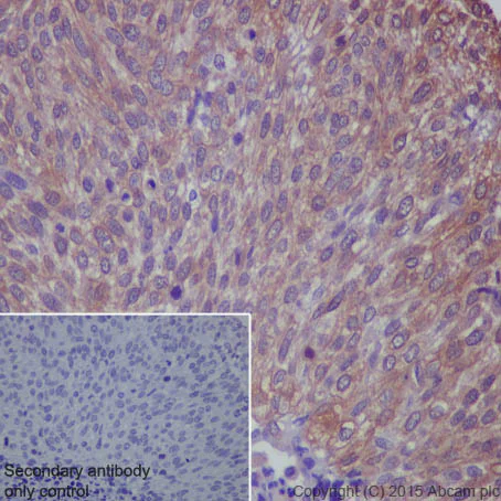
Immunohistochemistry (Formalin/PFA-fixed paraffin-embedded sections) - Anti-IRS1+IRS2 antibody [EP263Y] - BSA and Azide free (AB247286)
  • IHC-P

Lab

Immunohistochemistry (Formalin/PFA-fixed paraffin-embedded sections) - Anti-IRS1+IRS2 antibody [EP263Y] - BSA and Azide free (AB247286)

This data was developed using ab40777, the same antibody clone in a different buffer formulation.

Immunohistochemistry (Formalin/PFA-fixed paraffin-embedded sections) analysis of human cervical carcinoma tissue labelling IRS1 with purified ab40777 at a dilution of 1/100. Heat mediated antigen retrieval was performed using EDTA buffer pH 9. ab97051, a HRP-conjugated goat anti-rabbit IgG (H+L) was used as the secondary antibody (1/500). Negative control using PBS instead of primary antibody. Counterstained with hematoxylin.

Flow Cytometry (Intracellular) - Anti-IRS1+IRS2 antibody [EP263Y] - BSA and Azide free (AB247286)
  • Flow Cyt (Intra)

Unknown

Flow Cytometry (Intracellular) - Anti-IRS1+IRS2 antibody [EP263Y] - BSA and Azide free (AB247286)

This data was developed using ab40777, the same antibody clone in a different buffer formulation.

Intracellular Flow Cytometry analysis of MCF-7 (human breast carcinoma) cells labeling IRS1 with unpurified ab40777 at 1/90 dilution (10ug/ml) (red). Cells were fixed with 4% paraformaldehyde and permeabilised with 90% methanol. A Goat anti rabbit IgG (Alexa Fluor® 488) (1/2000 dilution) was used as the secondary antibody. Rabbit monoclonal IgG (Black) was used as the isotype control, cells without incubation with primary antibody and secondary antibody (Blue) were used as the unlabeled control.

Immunocytochemistry/ Immunofluorescence - Anti-IRS1+IRS2 antibody [EP263Y] - BSA and Azide free (AB247286)
  • ICC/IF

Unknown

Immunocytochemistry/ Immunofluorescence - Anti-IRS1+IRS2 antibody [EP263Y] - BSA and Azide free (AB247286)

This data was developed using ab40777, the same antibody clone in a different buffer formulation.

Immunocytochemistry/Immunofluorescence analysis of MCF-7 cells labelling IRS1 with purified ab40777 at a dilution of 1/250. Cells were fixed with 4% paraformaldehyde and permeabilized with 0.1% Triton X-100. ab150077, an Alexa Fluor® 488-conjugated goat anti-rabbit IgG (1/1000) was used as the secondary antibody. DAPI (blue) was used as the nuclear counterstain. ab7291, a mouse anti-tubulin (1/1000) and ab150120, an Alexa Fluor® 594-conjugated goat anti-mouse IgG (1/1000) were also used.

Control 1 : primary antibody (1/250) and secondary antibody, ab150120, an Alexa Fluor® 594-conjugated goat anti-mouse IgG (1/1000).

Control 2 : ab7291 (1/1000) and secondary antibody, ab150077, an Alexa Fluor® 488-conjugated goat anti-rabbit IgG (1/1000).

Western blot - Anti-IRS1+IRS2 antibody [EP263Y] - BSA and Azide free (AB247286)
  • WB

Unknown

Western blot - Anti-IRS1+IRS2 antibody [EP263Y] - BSA and Azide free (AB247286)

This data was developed using ab40777, the same antibody clone in a different buffer formulation.

All lanes:

Western blot - Anti-IRS1+IRS2 antibody [EP263Y] (<a href='/en-us/products/primary-antibodies/irs1irs2-antibody-ep263y-ab40777'>ab40777</a>) at 1/1000 dilution

All lanes:

HeLa cell lysate at 10 µg

Observed band size: 170 kDa

false

Western blot - Anti-IRS1+IRS2 antibody [EP263Y] - BSA and Azide free (AB247286)
  • WB

Lab

Western blot - Anti-IRS1+IRS2 antibody [EP263Y] - BSA and Azide free (AB247286)

This data was developed using ab40777, the same antibody clone in a different buffer formulation.

Blocking and dilution buffer : 5% NFDM/TBST.

All lanes:

Western blot - Anti-IRS1+IRS2 antibody [EP263Y] (<a href='/en-us/products/primary-antibodies/irs1irs2-antibody-ep263y-ab40777'>ab40777</a>) at 1/10000 dilution

All lanes:

HEK293 whole cell lysate at 10 µg

Secondary

All lanes:

Western blot - Goat Anti-Rabbit IgG H&L (HRP) (<a href='/en-us/products/secondary-antibodies/goat-rabbit-igg-h-l-hrp-ab97051'>ab97051</a>) at 1/20000 dilution

Observed band size: 170 kDa

false

Western blot - Anti-IRS1+IRS2 antibody [EP263Y] - BSA and Azide free (AB247286)
  • WB

Lab

Western blot - Anti-IRS1+IRS2 antibody [EP263Y] - BSA and Azide free (AB247286)

This data was developed using ab40777, the same antibody clone in a different buffer formulation.

Blocking and dilution buffer : 5% NFDM/TBST.

All lanes:

Western blot - Anti-IRS1+IRS2 antibody [EP263Y] (<a href='/en-us/products/primary-antibodies/irs1irs2-antibody-ep263y-ab40777'>ab40777</a>)

All lanes:

HeLa whole cell lysate at 10 µg

Secondary

All lanes:

Western blot - Goat Anti-Rabbit IgG H&L (HRP) (<a href='/en-us/products/secondary-antibodies/goat-rabbit-igg-h-l-hrp-ab97051'>ab97051</a>) at 1/20000 dilution

Predicted band size: 52 kDa

Observed band size: 170 kDa

false

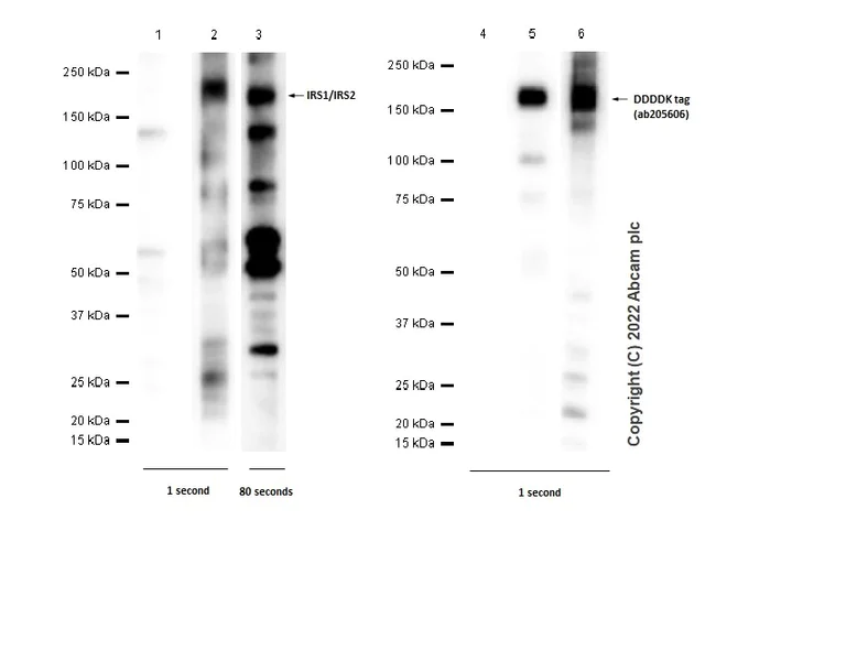
Western blot - Anti-IRS1+IRS2 antibody [EP263Y] - BSA and Azide free (AB247286)
  • WB

Supplier Data

Western blot - Anti-IRS1+IRS2 antibody [EP263Y] - BSA and Azide free (AB247286)

This data was developed using ab40777, the same antibody clone in a different buffer formulation. Blocking and diluting buffer and concentration : 5% NFDM /TBST. Exposure time : Lane 1, 2, 4, 5 , 6 : 1 second. Lane 3 : 80 seconds.

Lanes 1 - 3:

Western blot - Anti-IRS1+IRS2 antibody [EP263Y] (<a href='/en-us/products/primary-antibodies/irs1irs2-antibody-ep263y-ab40777'>ab40777</a>) at 1/1000 dilution

Lanes 4 - 6:

Western blot - Anti-DDDDK tag (Binds to FLAG® tag sequence) antibody [EPR20018-251] (<a href='/en-us/products/primary-antibodies/ddddk-tag-binds-to-flag-tag-sequence-antibody-epr20018-251-ab205606'>ab205606</a>) at 1/1000 dilution

Lanes 1 and 4:

HEK-293T transfected with an empty vector whole cell lysate at 20 µg

Lanes 2 and 5:

HEK-293T transfected with a human IRS1 expression vector containing a Myc/DDK tag whole cell lysate at 20 µg

Lanes 3 and 6:

HEK-293T transfected with a human IRS2 expression vector containing a Myc/DDK tag whole cell lysate at 20 µg

Secondary

All lanes:

Western blot - Goat Anti-Rabbit IgG H&L (HRP) (<a href='/en-us/products/secondary-antibodies/goat-rabbit-igg-h-l-hrp-ab97051'>ab97051</a>) at 1/20000 dilution

Observed band size: 170 kDa

false

Key facts

Host species

Rabbit

Clonality

Monoclonal

Clone number

EP263Y

Isotype

IgG

Carrier free

Yes

Reacts with

Human

Applications

Flow Cyt (Intra), ICC/IF, IHC-P, WB

applications

Immunogen

The exact immunogen used to generate this antibody is proprietary information.

Specificity

The immunogen used for this product shares 78% homology with IRS2. Cross-reactivity with this protein has not been confirmed experimentally.

Reactivity data

{ "title": "Reactivity Data", "filters": { "stats": ["", "Species", "Dilution Info", "Notes"], "tabs": { "all-applications": {"fullname" : "All Applications", "shortname": "All Applications"}, "IHCP" : {"fullname" : "Immunohistochemistry (Formalin/PFA-fixed paraffin-embedded sections)", "shortname":"IHC-P"}, "ICCIF" : {"fullname" : "Immunocytochemistry/ Immunofluorescence", "shortname":"ICC/IF"}, "IP" : {"fullname" : "Immunoprecipitation", "shortname":"IP"}, "WB" : {"fullname" : "Western blot", "shortname":"WB"}, "FlowCytIntra" : {"fullname" : "Flow Cytometry (Intracellular)", "shortname":"Flow Cyt (Intra)"} }, "product-promise": { "all": "all", "testedAndGuaranteed": "tested", "guaranteed": "expected", "predicted": "predicted", "notRecommended": "not-recommended" } }, "values": { "Human": { "IHCP-species-checked": "testedAndGuaranteed", "IHCP-species-dilution-info": "", "IHCP-species-notes": "<p></p>", "ICCIF-species-checked": "testedAndGuaranteed", "ICCIF-species-dilution-info": "", "ICCIF-species-notes": "<p></p>", "IP-species-checked": "notRecommended", "IP-species-dilution-info": "", "IP-species-notes": "<p></p>", "WB-species-checked": "testedAndGuaranteed", "WB-species-dilution-info": "", "WB-species-notes": "<p></p>", "FlowCytIntra-species-checked": "testedAndGuaranteed", "FlowCytIntra-species-dilution-info": "", "FlowCytIntra-species-notes": "<p></p>" }, "Recombinant fragment - Human": { "IHCP-species-checked": "notRecommended", "IHCP-species-dilution-info": "", "IHCP-species-notes": "", "ICCIF-species-checked": "notRecommended", "ICCIF-species-dilution-info": "", "ICCIF-species-notes": "", "IP-species-checked": "notRecommended", "IP-species-dilution-info": "", "IP-species-notes": "", "WB-species-checked": "testedAndGuaranteed", "WB-species-dilution-info": "", "WB-species-notes": "<p></p>", "FlowCytIntra-species-checked": "notRecommended", "FlowCytIntra-species-dilution-info": "", "FlowCytIntra-species-notes": "" } } }

Product details

ab247286 is the carrier-free version of ab40777.

Species reactivity
Mouse, Rat: We have preliminary internal testing data to indicate this antibody may not react with these species.
Please contact us for more information.

Patented technology
Our RabMAb® technology is a patented hybridoma-based technology for making rabbit monoclonal antibodies. For details on our patents, please refer to RabMAb® patents.

What are the advantages of a recombinant monoclonal antibody?
This product is a recombinant monoclonal antibody, which offers several advantages including:

  • - High batch-to-batch consistency and reproducibility
  • - Improved sensitivity and specificity
  • - Long-term security of supply
  • - Animal-free batch production

For more information, read more on recombinant antibodies.

Conjugation ready
Our carrier-free antibodies are typically supplied in a PBS-only formulation, purified and free of BSA, sodium azide and glycerol. This conjugation-ready format is designed for use with fluorochromes, metal isotopes, oligonucleotides, and enzymes, which makes them ideal for antibody labelling, functional and cell-based assays, flow-based assays (e.g. mass cytometry) and Multiplex Imaging applications.

Use our conjugation kits for antibody conjugates that are ready-to-use in as little as 20 minutes with 1 minute hands-on-time and 100% antibody recovery: available for fluorescent dyes, HRP, biotin and gold.

Compatibility
This product is compatible with the Maxpar® Antibody Labeling Kit from Fluidigm, without the need for antibody preparation. Maxpar® is a trademark of Fluidigm Canada Inc.

Properties and storage information

Form
Liquid
Purification technique
Affinity purification Protein A
Storage buffer
pH: 7.2 - 7.4 Constituents: PBS
Shipped at conditions
Blue Ice
Appropriate short-term storage conditions
+4°C
Appropriate long-term storage conditions
+4°C
Storage information
Do Not Freeze

Supplementary information

This supplementary information is collated from multiple sources and compiled automatically.

The targets IRS1 and IRS2 also known as Insulin Receptor Substrate 1 and 2 are important adaptor proteins that play an important role in insulin signaling. IRS1 and IRS2 have molecular masses of approximately 180 kDa and 185 kDa respectively. These proteins are expressed in a wide range of tissues but show particularly high expression in insulin-responsive tissues such as muscle liver and adipose tissues. IRS1 and IRS2 function by interacting with activated insulin receptors allowing subsequent recruitment of downstream signaling molecules.
Biological function summary

IRS1 and IRS2 translate insulin receptor activation into metabolic and mitogenic effects. These proteins form signaling complexes that mediate the action of insulin and insulin-like growth factor 1 (IGF-1). IRS1 and IRS2 interact with several signaling molecules including PI3K and GRB2 which are essential for the activation of downstream pathways. Their role is essential in glucose homeostasis cell growth and differentiation. In some contexts IRS1 and IRS2 also participate in signaling pathways influenced by other growth factors.

Pathways

IRS1 and IRS2 have pivotal roles in the insulin signaling and IGF-1 signaling pathways. They facilitate signal transduction from the insulin and IGF-1 receptors impacting both metabolic and growth-related pathways. Within these pathways their interaction with PI3K highlights their importance in glucose uptake and utilization while their connection with SHC and ERK pathways emphasizes their involvement in cell growth and proliferation. The coordinated action of IRS1 and IRS2 helps maintain energy balance and cellular functions.

IRS1 and IRS2 have significant associations with type 2 diabetes and certain cancers. In type 2 diabetes alterations in IRS1 and IRS2 signaling can impair glucose metabolism leading to insulin resistance. Genetic variations or dysregulation in their function often contribute to diabetes susceptibility. Additionally IRS1 and IRS2 are linked to cancer as their pathways overlap with pathways that influence cell growth and survival. Increased signaling can enhance cell proliferation and resistance to apoptosis with relevant proteins like PI3K and AKT further involved in these processes.

Product protocols

For this product, it's our understanding that no specific protocols are required. You can visit:

Target data

Signaling adapter protein that participates in the signal transduction from two prominent receptor tyrosine kinases, insulin receptor/INSR and insulin-like growth factor I receptor/IGF1R (PubMed : 7541045, PubMed : 33991522, PubMed : 38625937). Plays therefore an important role in development, growth, glucose homeostasis as well as lipid metabolism (PubMed : 19639489). Upon phosphorylation by the insulin receptor, functions as a signaling scaffold that propagates insulin action through binding to SH2 domain-containing proteins including the p85 regulatory subunit of PI3K, NCK1, NCK2, GRB2 or SHP2 (PubMed : 11171109, PubMed : 8265614). Recruitment of GRB2 leads to the activation of the guanine nucleotide exchange factor SOS1 which in turn triggers the Ras/Raf/MEK/MAPK signaling cascade (By similarity). Activation of the PI3K/AKT pathway is responsible for most of insulin metabolic effects in the cell, and the Ras/Raf/MEK/MAPK is involved in the regulation of gene expression and in cooperation with the PI3K pathway regulates cell growth and differentiation. Acts a positive regulator of the Wnt/beta-catenin signaling pathway through suppression of DVL2 autophagy-mediated degradation leading to cell proliferation (PubMed : 24616100).
See full target information Insulin receptor substrate 1

Additional targets

Insulin receptor substrate 2

Product promise

We are committed to supporting your work with high-quality reagents, and we're here for you every step of the way. In the unlikely event that one of our products does not perform as expected, you're protected by our Product Promise.
For full details, please see our Terms & Conditions

Please note: All products are 'FOR RESEARCH USE ONLY. NOT FOR USE IN DIAGNOSTIC OR THERAPEUTIC PROCEDURES'.

For licensing inquiries, please contact partnerships@abcam.com