JavaScript is disabled in your browser. Please enable JavaScript to view this website.
AB134101

Anti-IRS2 antibody [EPR904(2)]

Be the first to review this product! Submit a review

|

(39 Publications)

Rabbit Recombinant Monoclonal IRS2 antibody. Suitable for IHC-P, WB, ICC/IF, Flow Cyt (Intra) and reacts with Rat, Human, Mouse samples. Cited in 39 publications.

View Alternative Names

Insulin receptor substrate 2, IRS-2, IRS2

12 Images
Immunocytochemistry/ Immunofluorescence - Anti-IRS2 antibody [EPR904(2)] (AB134101)
  • ICC/IF

Lab

Immunocytochemistry/ Immunofluorescence - Anti-IRS2 antibody [EPR904(2)] (AB134101)

ab134101 staining IRS2 in wild-type HEK293 cells (top panel) and IRS2 knockout HEK293 cells (bottom panel). The cells were fixed with 4% paraformaldehyde (10 min) permeabilized with 0.1% Triton X-100 for 5 minutes and then blocked with 1% BSA/10% normal goat serum/0.3M glycine in 0.1% PBS-Tween for 1h. The cells were then incubated with ab134101 at 1/500 and ab7291 (Mouse monoclonal to alpha Tubulin) at 1/1000 dilution overnight at +4°C, followed by a further incubation at room temperature for 1h with a goat secondary antibody to rabbit IgG (Alexa Fluor® 488) (ab150081) at 2 μg/ml (shown in green) and a goat secondary antibody to mouse IgG (Alexa Fluor® 594) (ab150120) at 2 μg/ml (shown in red). Nuclear DNA was labelled in blue with DAPI.

Image was taken with a confocal microscope (Leica-Microsystems, TCS SP8).

Flow Cytometry (Intracellular) - Anti-IRS2 antibody [EPR904(2)] (AB134101)
  • Flow Cyt (Intra)

Unknown

Flow Cytometry (Intracellular) - Anti-IRS2 antibody [EPR904(2)] (AB134101)

Overlay histogram showing HeLa cells stained with unpurified ab134101 (red line). The cells were fixed with 80% methanol (5 min) and then permeabilized with 0.1% PBS-Tween for 20 min. The cells were then incubated in 1x PBS / 10% normal goat serum / 0.3M glycine to block non-specific protein-protein interactions followed by the antibody (unpurified ab134101, 1/1000 dilution) for 30 min at 22°C. The secondary antibody used was Alexa Fluor® 488 goat anti-rabbit IgG (H&L) (ab150077) at 1/2000 dilution for 30 min at 22°C. Isotype control antibody (black line) was rabbit IgG (monoclonal) (0.1μg/1x106 cells) used under the same conditions. Unlabelled sample (blue line) was also used as a control. Acquisition of >5,000 events were collected using a 20mW Argon ion laser (488nm) and 525/30 bandpass filter. This antibody gave a positive signal in HeLa cells fixed with 4% paraformaldehyde (10 min)/permeabilized with 0.1% PBS-Tween for 20 min used under the same conditions.

Immunohistochemistry (Formalin/PFA-fixed paraffin-embedded sections) - Anti-IRS2 antibody [EPR904(2)] (AB134101)
  • IHC-P

Unknown

Immunohistochemistry (Formalin/PFA-fixed paraffin-embedded sections) - Anti-IRS2 antibody [EPR904(2)] (AB134101)

Immunohistochemistry (Formalin/PFA-fixed paraffin-embedded sections) analysis of human breast tissue labelling IRS2 with unpurified ab134101 at a dilution of 1/50.

Perform heat mediated antigen retrieval with citrate buffer pH 6 before commencing with IHC staining protocol.

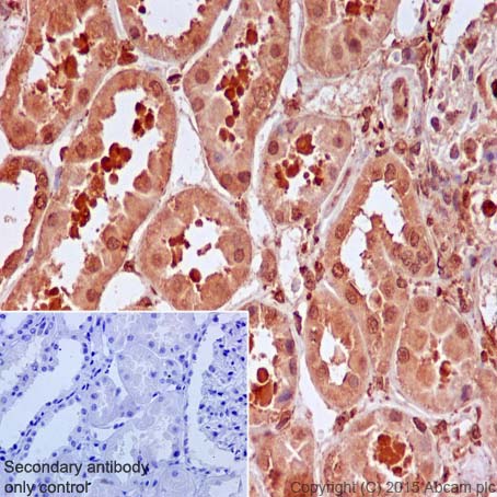
Immunohistochemistry (Formalin/PFA-fixed paraffin-embedded sections) - Anti-IRS2 antibody [EPR904(2)] (AB134101)
  • IHC-P

Lab

Immunohistochemistry (Formalin/PFA-fixed paraffin-embedded sections) - Anti-IRS2 antibody [EPR904(2)] (AB134101)

Immunohistochemistry (Formalin/PFA-fixed paraffin-embedded sections) analysis of human kidney tissue labelling IRS2 with purified ab134101 at 1/500. Heat mediated antigen retrieval was performed using Tris/EDTA buffer pH 9. ab97051, a HRP-conjugated goat anti-rabbit IgG (H+L) was used as the secondary antibody (1/500). Negative control using PBS instead of primary antibody. Counterstained with hematoxylin.

Immunocytochemistry/ Immunofluorescence - Anti-IRS2 antibody [EPR904(2)] (AB134101)
  • ICC/IF

Lab

Immunocytochemistry/ Immunofluorescence - Anti-IRS2 antibody [EPR904(2)] (AB134101)

Immunocytochemistry/Immunofluorescence analysis of SH-SY5Y cells labelling IRS2 with purified ab134101 at 1/300. Cells were fixed with 4% paraformaldehyde and permeabilized with 0.1% Triton X-100. ab150077, an Alexa Fluor® 488-conjugated goat anti-rabbit IgG (1/1000) was used as the secondary antibody. DAPI (blue) was used as the nuclear counterstain. ab7291, a mouse anti-tubulin (1/1000) and ab150120, an Alexa Fluor® 594-conjugated goat anti-mouse IgG (1/1000) were also used.

Control 1 : primary antibody (1/300) and secondary antibody, ab150120, an Alexa Fluor® 594-conjugated goat anti-mouse IgG (1/1000).

Control 2 : ab7291 (1/1000) and secondary antibody, ab150077, an Alexa Fluor® 488-conjugated goat anti-rabbit IgG (1/1000).

Flow Cytometry (Intracellular) - Anti-IRS2 antibody [EPR904(2)] (AB134101)
  • Flow Cyt (Intra)

Lab

Flow Cytometry (Intracellular) - Anti-IRS2 antibody [EPR904(2)] (AB134101)

Intracellular Flow Cytometry analysis of HeLa cells labelling IRS2 with purified ab134101 at 1/120 (red). Cells were fixed with 2% paraformaldehyde. A FITC-conjugated goat anti-rabbit IgG (1/500) was used as the secondary antibody. Black - Isotype control, rabbit monoclonal IgG. Blue - Unlabelled control, cells without incubation with primary and secondary antibodies.

Immunohistochemistry (Formalin/PFA-fixed paraffin-embedded sections) - Anti-IRS2 antibody [EPR904(2)] (AB134101)
  • IHC-P

Unknown

Immunohistochemistry (Formalin/PFA-fixed paraffin-embedded sections) - Anti-IRS2 antibody [EPR904(2)] (AB134101)

Immunohistochemistry (Formalin/PFA-fixed paraffin-embedded sections) analysis of human muscle tissue labelling IRS2 with unpurified ab134101 at a dilution of 1/50.

Perform heat mediated antigen retrieval with citrate buffer pH 6 before commencing with IHC staining protocol.

Immunohistochemistry (Formalin/PFA-fixed paraffin-embedded sections) - Anti-IRS2 antibody [EPR904(2)] (AB134101)
  • IHC-P

Lab

Immunohistochemistry (Formalin/PFA-fixed paraffin-embedded sections) - Anti-IRS2 antibody [EPR904(2)] (AB134101)

Immunohistochemistry (Formalin/PFA-fixed paraffin-embedded sections) analysis of rat kidney tissue labelling IRS2 with purified ab134101 at 1/500. Heat mediated antigen retrieval was performed using Tris/EDTA buffer pH 9. ab97051, a HRP-conjugated goat anti-rabbit IgG (H+L) was used as the secondary antibody (1/500). Negative control using PBS instead of primary antibody. Counterstained with hematoxylin.

Western blot - Anti-IRS2 antibody [EPR904(2)] (AB134101)
  • WB

Lab

Western blot - Anti-IRS2 antibody [EPR904(2)] (AB134101)

Blocking/Diluting buffer and concentration : 5% NFDM/TBST.

Exposure time :

Left image : 180 seconds

Right image : 40 seconds

Although some papers support the expression in liver (PMID : 30202052), A549 (PMID : 30988063), NCI-H1299 (PMID : 30988063), LADMAC (PMID : 29115630), MDA-MB-231 (PMID : 29685905) and MEF (PMID : 30679431), ab134101 can't detect the target band in these samples, even at the dilution of 1 : 200.

All lanes:

Western blot - Anti-IRS2 antibody [EPR904(2)] (ab134101) at 1/1000 dilution

Lane 1:

Rat liver lysates at 20 µg

Lane 2:

Human liver lysates at 20 µg

Lane 3:

A375 (human malignant melanoma epithelial cell) whole cell lysates at 20 µg

Lane 4:

A549 (human lung carcinoma epithelial cell) whole cell lysates at 20 µg

Lane 5:

NCI-H1299 (human lung carcinoma epithelial cell) whole cell lysates at 20 µg

Lane 6:

LADMAC (Mouse bone marrow monocyte macrophage) whole cell lysates at 20 µg

Lane 7:

MDA-MB-231 (human breast adenocarcinoma epithelial cell) whole cell lysates at 20 µg

Lane 8:

MEF (Mouse embryonic fibroblast) whole cell lysates at 20 µg

Secondary

All lanes:

Western blot - Goat Anti-Rabbit IgG H&L (HRP) (<a href='/en-us/products/secondary-antibodies/goat-rabbit-igg-h-l-hrp-ab97051'>ab97051</a>) at 1/20000 dilution

Predicted band size: 137 kDa

Observed band size: 170-185 kDa

true

Western blot - Anti-IRS2 antibody [EPR904(2)] (AB134101)
  • WB

Lab

Western blot - Anti-IRS2 antibody [EPR904(2)] (AB134101)

Lanes 1 - 4 : Merged signal (red and green). Green - ab134101 observed at 160 kDa. Red - loading control ab7291 (Mouse anti-Alpha Tubulin [DM1A]) observed at 55kDa.

ab134101 was shown to react with IRS2 in wild-type HEK-293 cells in western blot with loss of signal observed in IRS2 knockout sample. Wild-type and IRS2 knockout HEK-293 cell lysates were subjected to SDS-PAGE. Membranes were blocked in 3% milk in TBS-T (0.1% Tween®) before incubation with ab134101 and ab7291 (Mouse anti-Alpha Tubulin [DM1A]) overnight at 4°C at a 1 in 1000 Dilution and a 1 in 20000 dilution respectively. Blots were incubated with Goat anti-Rabbit IgG H&L (IRDye® 800CW) preabsorbed (ab216773) and Goat anti-Mouse IgG H&L (IRDye® 680RD) preabsorbed (ab216776) secondary antibodies at 1 in 20000 dilution for 1 hour at room temperature before imaging.

All lanes:

Western blot - Anti-IRS2 antibody [EPR904(2)] (ab134101) at 1/1000 dilution

Lane 1:

Wild-type HEK-293 (Human epithelial cell line from embryonic kidney) whole cell lysate at 20 µg

Lane 2:

IRS2 knockout HEK-293 (Human epithelial cell line from embryonic kidney) whole cell lysate at 20 µg

Lane 2:

Western blot - Human IRS2 knockout HEK-293 cell line (<a href='/en-us/products/cell-lines/human-irs2-knockout-hek-293-cell-line-ab264013'>ab264013</a>)

Lane 3:

A-375 cell lysate at 20 µg

Lane 4:

A549 (Human lung carcinoma cell line) whole cell lysate at 20 µg

Predicted band size: 137 kDa,25 kDa

Observed band size: 160 kDa

false

Western blot - Anti-IRS2 antibody [EPR904(2)] (AB134101)
  • WB

Lab

Western blot - Anti-IRS2 antibody [EPR904(2)] (AB134101)

Blocking and dilution buffer : 5% NFDM/TBST.

All lanes:

Western blot - Anti-IRS2 antibody [EPR904(2)] (ab134101) at 20 µg

Lane 1:

HEK293 whole cell lysate - untreated at 20 µg

Lane 2:

HEK293 whole cell lysate - treated with insulin at 20 µg

Lane 3:

SH-SY5Y whole cell lysate at 20 µg

Secondary

All lanes:

Western blot - Goat Anti-Rabbit IgG H&L (HRP) (<a href='/en-us/products/secondary-antibodies/goat-rabbit-igg-h-l-hrp-ab97051'>ab97051</a>) at 1/50000 dilution

Predicted band size: 137 kDa

Observed band size: 170-185 kDa

false

Western blot - Anti-IRS2 antibody [EPR904(2)] (AB134101)
  • WB

Lab

Western blot - Anti-IRS2 antibody [EPR904(2)] (AB134101)

Blocking and dilution buffer : 5% NFDM/TBST.

All lanes:

Western blot - Anti-IRS2 antibody [EPR904(2)] (ab134101) at 1/5000 dilution

All lanes:

NIH/3T3 whole cell lysate - treated with insulin at 20 µg

Secondary

All lanes:

Western blot - Goat Anti-Rabbit IgG H&L (HRP) (<a href='/en-us/products/secondary-antibodies/goat-rabbit-igg-h-l-hrp-ab97051'>ab97051</a>) at 1/50000 dilution

Predicted band size: 137 kDa

Observed band size: 170-185 kDa

false

  • 519 Alexa Fluor® 488

    Alexa Fluor® 488 Anti-IRS2 antibody [EPR904(2)]

  • Carrier free

    Anti-IRS2 antibody [EPR904(2)] - BSA and Azide free

  • 660 APC

    APC Anti-IRS2 antibody [EPR904(2)]

Key facts

Host species

Rabbit

Clonality

Monoclonal

Clone number

EPR904(2)

Isotype

IgG

Carrier free

No

Reacts with

Mouse, Rat, Human

Applications

WB, Flow Cyt (Intra), IHC-P, ICC/IF

applications

Immunogen

The exact immunogen used to generate this antibody is proprietary information.

Reactivity data

{ "title": "Reactivity Data", "filters": { "stats": ["", "Species", "Dilution Info", "Notes"], "tabs": { "all-applications": {"fullname" : "All Applications", "shortname": "All Applications"}, "IHCP" : {"fullname" : "Immunohistochemistry (Formalin/PFA-fixed paraffin-embedded sections)", "shortname":"IHC-P"}, "WB" : {"fullname" : "Western blot", "shortname":"WB"}, "ICCIF" : {"fullname" : "Immunocytochemistry/ Immunofluorescence", "shortname":"ICC/IF"}, "FlowCytIntra" : {"fullname" : "Flow Cytometry (Intracellular)", "shortname":"Flow Cyt (Intra)"} }, "product-promise": { "all": "all", "testedAndGuaranteed": "tested", "guaranteed": "expected", "predicted": "predicted", "notRecommended": "not-recommended" } }, "values": { "Human": { "IHCP-species-checked": "testedAndGuaranteed", "IHCP-species-dilution-info": "1/50 - 1/500", "IHCP-species-notes": "<p></p>", "WB-species-checked": "testedAndGuaranteed", "WB-species-dilution-info": "1/1000 - 1/10000", "WB-species-notes": "<p>Although some papers support the expression in liver (PMID: 30202052), A549 (PMID: 30988063), NCI-H1299 (PMID: 30988063), LADMAC (PMID: 29115630), MDA-MB-231 (PMID: 29685905) and MEF (PMID: 30679431), ab134101 can't detect the target band in these samples, even at the dilution of 1:200</p>", "ICCIF-species-checked": "testedAndGuaranteed", "ICCIF-species-dilution-info": "1/300", "ICCIF-species-notes": "<p></p>", "FlowCytIntra-species-checked": "testedAndGuaranteed", "FlowCytIntra-species-dilution-info": "1/100 - 1/1000", "FlowCytIntra-species-notes": "<p><a href='/en-us/products/primary-antibodies/rabbit-igg-monoclonal-epr25a-isotype-control-ab172730'>ab172730</a> - Rabbit monoclonal IgG, is suitable for use as an isotype control with this antibody.</p>" }, "Mouse": { "IHCP-species-checked": "guaranteed", "IHCP-species-dilution-info": "", "IHCP-species-notes": "", "WB-species-checked": "testedAndGuaranteed", "WB-species-dilution-info": "1/1000 - 1/10000", "WB-species-notes": "<p>Although some papers support the expression in liver (PMID: 30202052), A549 (PMID: 30988063), NCI-H1299 (PMID: 30988063), LADMAC (PMID: 29115630), MDA-MB-231 (PMID: 29685905) and MEF (PMID: 30679431), ab134101 can't detect the target band in these samples, even at the dilution of 1:200</p>", "ICCIF-species-checked": "guaranteed", "ICCIF-species-dilution-info": "", "ICCIF-species-notes": "", "FlowCytIntra-species-checked": "guaranteed", "FlowCytIntra-species-dilution-info": "", "FlowCytIntra-species-notes": "" }, "Rat": { "IHCP-species-checked": "testedAndGuaranteed", "IHCP-species-dilution-info": "1/50 - 1/500", "IHCP-species-notes": "<p></p>", "WB-species-checked": "testedAndGuaranteed", "WB-species-dilution-info": "1/1000 - 1/10000", "WB-species-notes": "<p>Although some papers support the expression in liver (PMID: 30202052), A549 (PMID: 30988063), NCI-H1299 (PMID: 30988063), LADMAC (PMID: 29115630), MDA-MB-231 (PMID: 29685905) and MEF (PMID: 30679431), ab134101 can't detect the target band in these samples, even at the dilution of 1:200</p>", "ICCIF-species-checked": "guaranteed", "ICCIF-species-dilution-info": "", "ICCIF-species-notes": "", "FlowCytIntra-species-checked": "guaranteed", "FlowCytIntra-species-dilution-info": "", "FlowCytIntra-species-notes": "" } } }

Product details

Patented technology
Our RabMAb® technology is a patented hybridoma-based technology for making rabbit monoclonal antibodies. For details on our patents, please refer to RabMAb® patents.

What are the advantages of a recombinant monoclonal antibody?
This product is a recombinant monoclonal antibody, which offers several advantages including:

  • - High batch-to-batch consistency and reproducibility
  • - Improved sensitivity and specificity
  • - Long-term security of supply
  • - Animal-free batch production

For more information, read more on recombinant antibodies.

Properties and storage information

Form
Liquid
Purification technique
Affinity purification Protein A
Storage buffer
pH: 7.2 - 7.4 Preservative: 0.01% Sodium azide Constituents: PBS, 40% Glycerol (glycerin, glycerine), 0.05% BSA
Shipped at conditions
Blue Ice
Appropriate short-term storage duration
1-2 weeks
Appropriate short-term storage conditions
+4°C
Appropriate long-term storage conditions
-20°C
Aliquoting information
Upon delivery aliquot
Storage information
Stable for 12 months at -20°C

Supplementary information

This supplementary information is collated from multiple sources and compiled automatically.

Insulin Receptor Substrate 2 (IRS2) is an important cytoplasmic adaptor protein involved in insulin signaling. Alternate names for IRS2 include IRS-2 or HEK293 products IRS2. It plays a role in transducing signals from the insulin receptor tyrosine kinase to downstream effectors. IRS2 has a molecular mass of approximately 180 kDa. Expression of IRS2 occurs in many tissues with significant presence in liver and skeletal muscle indicating its broad physiological role.
Biological function summary

IRS2 acts in signal transduction and is a part of the insulin and insulin-like growth factor signaling pathways. IRS2 does not function alone but interacts with other molecules to propagate signals that regulate cellular processes. It is essential for glucose homeostasis and lipid metabolism playing a critical role in maintaining energy balance within the organism. IRS2 also mediates other biological processes like cell growth and differentiation.

Pathways

With regards to pathways IRS2 is involved in the insulin signaling and mTOR pathways. It serves as an important junction between metabolic and growth-promoting signals. Activation of IRS2 through insulin receptors leads to downstream signaling involving PI3K and Akt essential for mediating metabolic actions of insulin. It also interacts with mTOR a central protein in cell growth regulation. These pathways illustrate the integration of IRS2 in broader cellular responses to growth signals and energy availability.

IRS2 is linked to conditions like type 2 diabetes and obesity. Dysregulation of IRS2-mediated signaling can contribute to insulin resistance a characteristic feature of type 2 diabetes. In such disorders IRS2 signaling may be impaired or altered affecting its interaction with proteins like PI3K and Akt which are also implicated in these conditions. Furthermore chronic imbalance in IRS2 activity may contribute to obesity as it affects key metabolic pathways that regulate fat storage and energy expenditure.

Product protocols

For this product, it's our understanding that no specific protocols are required. You can visit:

Target data

Signaling adapter protein that participates in the signal transduction from two prominent receptor tyrosine kinases, insulin receptor/INSR and insulin-like growth factor I receptor/IGF1R (PubMed : 25879670). Plays therefore an important role in development, growth, glucose homeostasis as well as lipid metabolism (PubMed : 24616100). Upon phosphorylation by the insulin receptor, functions as a signaling scaffold that propagates insulin action through binding to SH2 domain-containing proteins including the p85 regulatory subunit of PI3K, NCK1, NCK2, GRB2 or SHP2 (PubMed : 15316008, PubMed : 19109239). Recruitment of GRB2 leads to the activation of the guanine nucleotide exchange factor SOS1 which in turn triggers the Ras/Raf/MEK/MAPK signaling cascade (By similarity). Activation of the PI3K/AKT pathway is responsible for most of insulin metabolic effects in the cell, and the Ras/Raf/MEK/MAPK is involved in the regulation of gene expression and in cooperation with the PI3K pathway regulates cell growth and differentiation. Acts a positive regulator of the Wnt/beta-catenin signaling pathway through suppression of DVL2 autophagy-mediated degradation leading to cell proliferation (PubMed : 24616100). Plays a role in cell cycle progression by promoting a robust spindle assembly checkpoint (SAC) during M-phase (PubMed : 32554797). In macrophages, IL4-induced tyrosine phosphorylation of IRS2 leads to the recruitment and activation of phosphoinositide 3-kinase (PI3K) (PubMed : 19109239).
See full target information Insulin receptor substrate 2

Publications (39)

Recent publications for all applications. Explore the full list and refine your search

Molecular medicine (Cambridge, Mass.) 31:293 PubMed41013182

2025

IRS2/FOXO1 mitigates osteoarthritis by regulating chondrocyte autophagy and mitochondrial function.

Applications

Unspecified application

Species

Unspecified reactive species

Chaoren Qin,Kai Chen,Yingchun Sun,Changjiang Wang,Yaohui Yu,Hao Zhu,Guoyou Zou

Neuro-oncology 27:1729-1745 PubMed39888380

2025

IRS2 as a driver of brain metastasis in colorectal cancer: A potential target for novel therapeutic strategies.

Applications

Unspecified application

Species

Unspecified reactive species

Inbal Greenberg,Fayhaa Khair-Dabour,Keren Merenbakh-Lamin,Ethan S Sokol,Anat Klein Goldberg,Dor Simkin,Avishay Spitzer,Moshe Benhamou,Shai Bar-Shira,Michal Raz,Rachel Grossman,Eilam Yeini,Paula Ofek,Tomer Meirson,Ronit Satchi-Fainaro,Hadas Reuveni,Ido Wolf,Tami Rubinek

Iranian journal of pharmaceutical research : IJPR 23:e144200 PubMed39830652

2025

Insulin and TLR4 Inhibitor Improve Motor Impairments in a Rat Model of Parkinson's Disease.

Applications

Unspecified application

Species

Unspecified reactive species

Fatemeh Hemmati,Neda Valian,Abolhassan Ahmadiani,Zahurin Mohamed,Raymond Azman Ali,Norlinah Mohamed Ibrahim,Seyed Farshad Hosseini Shirazi

Communications biology 7:1317 PubMed39397070

2024

A metabolic dysfunction-associated steatotic liver acinus biomimetic induces pancreatic islet dysfunction in a coupled microphysiology system.

Applications

Unspecified application

Species

Unspecified reactive species

Julio Aleman,Ravikumar K,Connor Wiegand,Mark E Schurdak,Lawrence Vernetti,Dillon Gavlock,Celeste Reese,Richard DeBiasio,Greg LaRocca,Yulder Daniel Angarita,Albert Gough,Alejandro Soto-Gutierrez,Jaideep Behari,Vijay K Yechoor,Mark T Miedel,Andrew M Stern,Ipsita Banerjee,D Lansing Taylor

Journal of nanobiotechnology 22:489 PubMed39143532

2024

M2 macrophage-polarized anti-inflammatory microneedle patch for accelerating biofilm-infected diabetic wound healing via modulating the insulin pathway.

Applications

Unspecified application

Species

Unspecified reactive species

Yushan Yang,Limin Fan,Jingsi Jiang,Jiuyuan Sun,Liangyi Xue,Xiaoyi Ma,Le Kuai,Bin Li,Yongyong Li

Journal of pineal research 75:e12897 PubMed37391878

2023

Amelioration of gamma irradiation-induced salivary gland damage in mice using melatonin.

Applications

Unspecified application

Species

Unspecified reactive species

Jingming Ren,Tong Zhu,Zhouxuan Wang,Lu Lu,Saijun Fan

Liver international : official journal of the International Association for the Study of the Liver 43:2560-2570 PubMed37337778

2023

Steatotic hepatocyte-derived extracellular vesicles promote β-cell apoptosis and diabetes via microRNA-126a-3p.

Applications

Unspecified application

Species

Unspecified reactive species

Qi Chen,Fang-Jie Jiang,Xin Gao,Xiao-Ying Li,Pu Xia

Toxics 11: PubMed36976981

2023

Gestational and Lactational Co-Exposure to DEHP and BPA Impairs Hepatic Function via PI3K/AKT/FOXO1 Pathway in Offspring.

Applications

Unspecified application

Species

Unspecified reactive species

Minghan Wang,Yu Wang,Junyuan Han,Zhiwen Duan,Jiye Yin,Rigao Ding,Quanjun Wang

Cancers 15: PubMed36900240

2023

High Expression of IRS-1, RUNX3 and SMAD4 Are Positive Prognostic Factors in Stage I-III Colon Cancer.

Applications

Unspecified application

Species

Unspecified reactive species

Hallgeir Selven,Lill-Tove Rasmussen Busund,Sigve Andersen,Mona Irene Pedersen,Ana Paola Giometti Lombardi,Thomas Karsten Kilvaer

Genes 14: PubMed36833456

2023

miR-33a Inhibits the Differentiation of Bovine Preadipocytes through the IRS2-Akt Pathway.

Applications

Unspecified application

Species

Unspecified reactive species

Wenzhen Zhang,Sayed Haidar Abbas Raza,Bingzhi Li,Bing Sun,Sihu Wang,Sameer D Pant,Nouf S Al-Abbas,Nehad A Shaer,Linsen Zan
View all publications

Product promise

We are committed to supporting your work with high-quality reagents, and we're here for you every step of the way. In the unlikely event that one of our products does not perform as expected, you're protected by our Product Promise.
For full details, please see our Terms & Conditions

Please note: All products are 'FOR RESEARCH USE ONLY. NOT FOR USE IN DIAGNOSTIC OR THERAPEUTIC PROCEDURES'.

For licensing inquiries, please contact partnerships@abcam.com