JavaScript is disabled in your browser. Please enable JavaScript to view this website.
AB208195

Anti-IRS2 antibody [EPR904(2)] - BSA and Azide free

Be the first to review this product! Submit a review

|

(1 Publication)

Rabbit Recombinant Monoclonal IRS2 antibody. Carrier free. Suitable for IHC-P, WB, ICC/IF, Flow Cyt (Intra) and reacts with Human, Rat, Mouse samples. Cited in 1 publication.

View Alternative Names

Insulin receptor substrate 2, IRS-2, IRS2

8 Images
Immunohistochemistry (Formalin/PFA-fixed paraffin-embedded sections) - Anti-IRS2 antibody [EPR904(2)] - BSA and Azide free (AB208195)
  • IHC-P

Unknown

Immunohistochemistry (Formalin/PFA-fixed paraffin-embedded sections) - Anti-IRS2 antibody [EPR904(2)] - BSA and Azide free (AB208195)

Immunohistochemistry (Formalin/PFA-fixed paraffin-embedded sections) analysis of human breast tissue labelling IRS2 with unpurified ab134101 at a dilution of 1/50.

This data was developed using the same antibody clone in a different buffer formulation containing PBS, BSA, glycerol, and sodium azide (ab134101).

Perform heat mediated antigen retrieval with citrate buffer pH 6 before commencing with IHC staining protocol.

Immunocytochemistry/ Immunofluorescence - Anti-IRS2 antibody [EPR904(2)] - BSA and Azide free (AB208195)
  • ICC/IF

Lab

Immunocytochemistry/ Immunofluorescence - Anti-IRS2 antibody [EPR904(2)] - BSA and Azide free (AB208195)

Immunocytochemistry/Immunofluorescence analysis of SH-SY5Y cells labelling IRS2 with purified ab134101 at 1/300. Cells were fixed with 4% paraformaldehyde and permeabilized with 0.1% Triton X-100. ab150077, an Alexa Fluor® 488-conjugated goat anti-rabbit IgG (1/1000) was used as the secondary antibody. DAPI (blue) was used as the nuclear counterstain. ab7291, a mouse anti-tubulin (1/1000) and ab150120, an Alexa Fluor® 594-conjugated goat anti-mouse IgG (1/1000) were also used.

Control 1 : primary antibody (1/300) and secondary antibody, ab150120, an Alexa Fluor® 594-conjugated goat anti-mouse IgG (1/1000).

Control 2 : ab7291 (1/1000) and secondary antibody, ab150077, an Alexa Fluor® 488-conjugated goat anti-rabbit IgG (1/1000).

This data was developed using the same antibody clone in a different buffer formulation containing PBS, BSA, glycerol, and sodium azide (ab134101).

Flow Cytometry (Intracellular) - Anti-IRS2 antibody [EPR904(2)] - BSA and Azide free (AB208195)
  • Flow Cyt (Intra)

Lab

Flow Cytometry (Intracellular) - Anti-IRS2 antibody [EPR904(2)] - BSA and Azide free (AB208195)

Intracellular Flow Cytometry analysis of HeLa cells labelling IRS2 with purified ab134101 at 1/120 (red). Cells were fixed with 2% paraformaldehyde. A FITC-conjugated goat anti-rabbit IgG (1/500) was used as the secondary antibody. Black - Isotype control, rabbit monoclonal IgG. Blue - Unlabelled control, cells without incubation with primary and secondary antibodies.

This data was developed using the same antibody clone in a different buffer formulation containing PBS, BSA, glycerol, and sodium azide (ab134101).

Immunohistochemistry (Formalin/PFA-fixed paraffin-embedded sections) - Anti-IRS2 antibody [EPR904(2)] - BSA and Azide free (AB208195)
  • IHC-P

Unknown

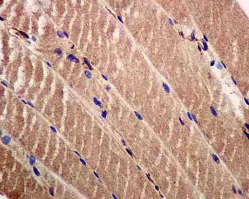
Immunohistochemistry (Formalin/PFA-fixed paraffin-embedded sections) - Anti-IRS2 antibody [EPR904(2)] - BSA and Azide free (AB208195)

Immunohistochemistry (Formalin/PFA-fixed paraffin-embedded sections) analysis of human muscle tissue labelling IRS2 with unpurified ab134101 at a dilution of 1/50.

This data was developed using the same antibody clone in a different buffer formulation containing PBS, BSA, glycerol, and sodium azide (ab134101).

Perform heat mediated antigen retrieval with citrate buffer pH 6 before commencing with IHC staining protocol.

Immunohistochemistry (Formalin/PFA-fixed paraffin-embedded sections) - Anti-IRS2 antibody [EPR904(2)] - BSA and Azide free (AB208195)
  • IHC-P

Lab

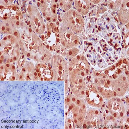
Immunohistochemistry (Formalin/PFA-fixed paraffin-embedded sections) - Anti-IRS2 antibody [EPR904(2)] - BSA and Azide free (AB208195)

Immunohistochemistry (Formalin/PFA-fixed paraffin-embedded sections) analysis of human kidney tissue labelling IRS2 with purified ab134101 at 1/500. Heat mediated antigen retrieval was performed using Tris/EDTA buffer pH 9. ab97051, a HRP-conjugated goat anti-rabbit IgG (H+L) was used as the secondary antibody (1/500). Negative control using PBS instead of primary antibody. Counterstained with hematoxylin.

This data was developed using the same antibody clone in a different buffer formulation containing PBS, BSA, glycerol, and sodium azide (ab134101).

Flow Cytometry (Intracellular) - Anti-IRS2 antibody [EPR904(2)] - BSA and Azide free (AB208195)
  • Flow Cyt (Intra)

Unknown

Flow Cytometry (Intracellular) - Anti-IRS2 antibody [EPR904(2)] - BSA and Azide free (AB208195)

Overlay histogram showing HeLa cells stained with unpurified ab134101 (red line). The cells were fixed with 80% methanol (5 min) and then permeabilized with 0.1% PBS-Tween for 20 min. The cells were then incubated in 1x PBS / 10% normal goat serum / 0.3M glycine to block non-specific protein-protein interactions followed by the antibody (unpurified ab134101, 1/1000 dilution) for 30 min at 22°C. The secondary antibody used was Alexa Fluor® 488 goat anti-rabbit IgG (H&L) (ab150077) at 1/2000 dilution for 30 min at 22°C. Isotype control antibody (black line) was rabbit IgG (monoclonal) (0.1μg/1x106 cells) used under the same conditions. Unlabelled sample (blue line) was also used as a control. Acquisition of >5,000 events were collected using a 20mW Argon ion laser (488nm) and 525/30 bandpass filter. This antibody gave a positive signal in HeLa cells fixed with 4% paraformaldehyde (10 min)/permeabilized with 0.1% PBS-Tween for 20 min used under the same conditions.

This data was developed using the same antibody clone in a different buffer formulation containing PBS, BSA, glycerol, and sodium azide (ab134101).

Immunohistochemistry (Formalin/PFA-fixed paraffin-embedded sections) - Anti-IRS2 antibody [EPR904(2)] - BSA and Azide free (AB208195)
  • IHC-P

Lab

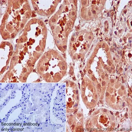
Immunohistochemistry (Formalin/PFA-fixed paraffin-embedded sections) - Anti-IRS2 antibody [EPR904(2)] - BSA and Azide free (AB208195)

Immunohistochemistry (Formalin/PFA-fixed paraffin-embedded sections) analysis of rat kidney tissue labelling IRS2 with purified ab134101 at 1/500. Heat mediated antigen retrieval was performed using Tris/EDTA buffer pH 9. ab97051, a HRP-conjugated goat anti-rabbit IgG (H+L) was used as the secondary antibody (1/500). Negative control using PBS instead of primary antibody. Counterstained with hematoxylin.

This data was developed using the same antibody clone in a different buffer formulation containing PBS, BSA, glycerol, and sodium azide (ab134101).

Western blot - Anti-IRS2 antibody [EPR904(2)] - BSA and Azide free (AB208195)
  • WB

Lab

Western blot - Anti-IRS2 antibody [EPR904(2)] - BSA and Azide free (AB208195)

This data was developed using the same antibody clone in a different buffer formulation (ab134101).

Lanes 1 - 4 : Merged signal (red and green). Green - ab134101 observed at 160 kDa. Red - loading control ab7291 (Mouse anti-Alpha Tubulin [DM1A]) observed at 55kDa.

ab134101 was shown to react with IRS2 in wild-type HEK-293 cells in western blot with loss of signal observed in IRS2 knockout sample. Wild-type and IRS2 knockout HEK-293 cell lysates were subjected to SDS-PAGE. Membranes were blocked in 3% milk in TBS-T (0.1% Tween®) before incubation with ab134101 and ab7291 (Mouse anti-Alpha Tubulin [DM1A]) overnight at 4°C at a 1 in 1000 Dilution and a 1 in 20000 dilution respectively. Blots were incubated with Goat anti-Rabbit IgG H&L (IRDye® 800CW) preabsorbed (ab216773) and Goat anti-Mouse IgG H&L (IRDye® 680RD) preabsorbed (ab216776) secondary antibodies at 1 in 20000 dilution for 1 hour at room temperature before imaging.

All lanes:

Western blot - Anti-IRS2 antibody [EPR904(2)] (<a href='/en-us/products/primary-antibodies/irs2-antibody-epr9042-ab134101'>ab134101</a>) at 1/1000 dilution

Lane 1:

Wild-type HEK-293 (Human epithelial cell line from embryonic kidney) whole cell lysate at 20 µg

Lane 2:

IRS2 knockout HEK-293 (Human epithelial cell line from embryonic kidney) whole cell lysate at 20 µg

Lane 2:

Western blot - Human IRS2 knockout HEK-293 cell line (<a href='/en-us/products/cell-lines/human-irs2-knockout-hek-293-cell-line-ab264013'>ab264013</a>)

Lane 3:

A-375 cell lysate at 20 µg

Lane 4:

A549 (Human lung carcinoma cell line) whole cell lysate at 20 µg

Predicted band size: 137 kDa,25 kDa

Observed band size: 160 kDa

false

Key facts

Host species

Rabbit

Clonality

Monoclonal

Clone number

EPR904(2)

Isotype

IgG

Carrier free

Yes

Reacts with

Mouse, Rat, Human

Applications

ICC/IF, IHC-P, WB, Flow Cyt (Intra)

applications

Immunogen

The exact immunogen used to generate this antibody is proprietary information.

Reactivity data

{ "title": "Reactivity Data", "filters": { "stats": ["", "Species", "Dilution Info", "Notes"], "tabs": { "all-applications": {"fullname" : "All Applications", "shortname": "All Applications"}, "IHCP" : {"fullname" : "Immunohistochemistry (Formalin/PFA-fixed paraffin-embedded sections)", "shortname":"IHC-P"}, "WB" : {"fullname" : "Western blot", "shortname":"WB"}, "ICCIF" : {"fullname" : "Immunocytochemistry/ Immunofluorescence", "shortname":"ICC/IF"}, "FlowCytIntra" : {"fullname" : "Flow Cytometry (Intracellular)", "shortname":"Flow Cyt (Intra)"} }, "product-promise": { "all": "all", "testedAndGuaranteed": "tested", "guaranteed": "expected", "predicted": "predicted", "notRecommended": "not-recommended" } }, "values": { "Human": { "IHCP-species-checked": "testedAndGuaranteed", "IHCP-species-dilution-info": "", "IHCP-species-notes": "<p></p>", "WB-species-checked": "testedAndGuaranteed", "WB-species-dilution-info": "", "WB-species-notes": "<p></p>", "ICCIF-species-checked": "testedAndGuaranteed", "ICCIF-species-dilution-info": "", "ICCIF-species-notes": "<p></p>", "FlowCytIntra-species-checked": "testedAndGuaranteed", "FlowCytIntra-species-dilution-info": "", "FlowCytIntra-species-notes": "<p><a href='/en-us/products/primary-antibodies/rabbit-igg-monoclonal-epr25a-isotype-control-low-endotoxin-azide-free-ab199376'>ab199376</a> - Rabbit monoclonal IgG, is suitable for use as an isotype control with this antibody.</p>" }, "Mouse": { "IHCP-species-checked": "guaranteed", "IHCP-species-dilution-info": "", "IHCP-species-notes": "", "WB-species-checked": "testedAndGuaranteed", "WB-species-dilution-info": "", "WB-species-notes": "<p></p>", "ICCIF-species-checked": "guaranteed", "ICCIF-species-dilution-info": "", "ICCIF-species-notes": "", "FlowCytIntra-species-checked": "guaranteed", "FlowCytIntra-species-dilution-info": "", "FlowCytIntra-species-notes": "" }, "Rat": { "IHCP-species-checked": "testedAndGuaranteed", "IHCP-species-dilution-info": "", "IHCP-species-notes": "<p></p>", "WB-species-checked": "guaranteed", "WB-species-dilution-info": "", "WB-species-notes": "", "ICCIF-species-checked": "guaranteed", "ICCIF-species-dilution-info": "", "ICCIF-species-notes": "", "FlowCytIntra-species-checked": "guaranteed", "FlowCytIntra-species-dilution-info": "", "FlowCytIntra-species-notes": "" } } }

Product details

ab208195 is the carrier-free version of ab134101.

Patented technology
Our RabMAb® technology is a patented hybridoma-based technology for making rabbit monoclonal antibodies. For details on our patents, please refer to RabMAb® patents.

What are the advantages of a recombinant monoclonal antibody?
This product is a recombinant monoclonal antibody, which offers several advantages including:

  • - High batch-to-batch consistency and reproducibility
  • - Improved sensitivity and specificity
  • - Long-term security of supply
  • - Animal-free batch production

For more information, read more on recombinant antibodies.

Conjugation ready
Our carrier-free antibodies are typically supplied in a PBS-only formulation, purified and free of BSA, sodium azide and glycerol. This conjugation-ready format is designed for use with fluorochromes, metal isotopes, oligonucleotides, and enzymes, which makes them ideal for antibody labelling, functional and cell-based assays, flow-based assays (e.g. mass cytometry) and Multiplex Imaging applications.

Use our conjugation kits for antibody conjugates that are ready-to-use in as little as 20 minutes with 1 minute hands-on-time and 100% antibody recovery: available for fluorescent dyes, HRP, biotin and gold.

Compatibility
This product is compatible with the Maxpar® Antibody Labeling Kit from Fluidigm, without the need for antibody preparation. Maxpar® is a trademark of Fluidigm Canada Inc.

Properties and storage information

Form
Liquid
Purification technique
Affinity purification Protein A
Storage buffer
pH: 7.2 - 7.4 Constituents: PBS
Shipped at conditions
Blue Ice
Appropriate short-term storage conditions
+4°C
Appropriate long-term storage conditions
+4°C
Storage information
Do Not Freeze

Supplementary information

This supplementary information is collated from multiple sources and compiled automatically.

Insulin Receptor Substrate 2 (IRS2) is an important cytoplasmic adaptor protein involved in insulin signaling. Alternate names for IRS2 include IRS-2 or HEK293 products IRS2. It plays a role in transducing signals from the insulin receptor tyrosine kinase to downstream effectors. IRS2 has a molecular mass of approximately 180 kDa. Expression of IRS2 occurs in many tissues with significant presence in liver and skeletal muscle indicating its broad physiological role.
Biological function summary

IRS2 acts in signal transduction and is a part of the insulin and insulin-like growth factor signaling pathways. IRS2 does not function alone but interacts with other molecules to propagate signals that regulate cellular processes. It is essential for glucose homeostasis and lipid metabolism playing a critical role in maintaining energy balance within the organism. IRS2 also mediates other biological processes like cell growth and differentiation.

Pathways

With regards to pathways IRS2 is involved in the insulin signaling and mTOR pathways. It serves as an important junction between metabolic and growth-promoting signals. Activation of IRS2 through insulin receptors leads to downstream signaling involving PI3K and Akt essential for mediating metabolic actions of insulin. It also interacts with mTOR a central protein in cell growth regulation. These pathways illustrate the integration of IRS2 in broader cellular responses to growth signals and energy availability.

IRS2 is linked to conditions like type 2 diabetes and obesity. Dysregulation of IRS2-mediated signaling can contribute to insulin resistance a characteristic feature of type 2 diabetes. In such disorders IRS2 signaling may be impaired or altered affecting its interaction with proteins like PI3K and Akt which are also implicated in these conditions. Furthermore chronic imbalance in IRS2 activity may contribute to obesity as it affects key metabolic pathways that regulate fat storage and energy expenditure.

Product protocols

For this product, it's our understanding that no specific protocols are required. You can visit:

Target data

Signaling adapter protein that participates in the signal transduction from two prominent receptor tyrosine kinases, insulin receptor/INSR and insulin-like growth factor I receptor/IGF1R (PubMed : 25879670). Plays therefore an important role in development, growth, glucose homeostasis as well as lipid metabolism (PubMed : 24616100). Upon phosphorylation by the insulin receptor, functions as a signaling scaffold that propagates insulin action through binding to SH2 domain-containing proteins including the p85 regulatory subunit of PI3K, NCK1, NCK2, GRB2 or SHP2 (PubMed : 15316008, PubMed : 19109239). Recruitment of GRB2 leads to the activation of the guanine nucleotide exchange factor SOS1 which in turn triggers the Ras/Raf/MEK/MAPK signaling cascade (By similarity). Activation of the PI3K/AKT pathway is responsible for most of insulin metabolic effects in the cell, and the Ras/Raf/MEK/MAPK is involved in the regulation of gene expression and in cooperation with the PI3K pathway regulates cell growth and differentiation. Acts a positive regulator of the Wnt/beta-catenin signaling pathway through suppression of DVL2 autophagy-mediated degradation leading to cell proliferation (PubMed : 24616100). Plays a role in cell cycle progression by promoting a robust spindle assembly checkpoint (SAC) during M-phase (PubMed : 32554797). In macrophages, IL4-induced tyrosine phosphorylation of IRS2 leads to the recruitment and activation of phosphoinositide 3-kinase (PI3K) (PubMed : 19109239).
See full target information Insulin receptor substrate 2

Publications (1)

Recent publications for all applications. Explore the full list and refine your search

International journal of molecular sciences 22: PubMed34072333

2021

Cyclovirobuxine D Induced-Mitophagy through the p65/BNIP3/LC3 Axis Potentiates Its Apoptosis-Inducing Effects in Lung Cancer Cells.

Applications

Unspecified application

Species

Unspecified reactive species

Cheng Zeng,Tingting Zou,Junyan Qu,Xu Chen,Suping Zhang,Zhenghong Lin
View all publications

Product promise

We are committed to supporting your work with high-quality reagents, and we're here for you every step of the way. In the unlikely event that one of our products does not perform as expected, you're protected by our Product Promise.
For full details, please see our Terms & Conditions

Please note: All products are 'FOR RESEARCH USE ONLY. NOT FOR USE IN DIAGNOSTIC OR THERAPEUTIC PROCEDURES'.

For licensing inquiries, please contact partnerships@abcam.com