JavaScript is disabled in your browser. Please enable JavaScript to view this website.
AB246494

Anti-IRX5 antibody [EPR22724-43]

  • 20ul selling size
  • RabMAb
  • Recombinant
  • KO Validated
  • What is this?

Be the first to review this product! Submit a review

|

(1 Publication)

Rabbit Recombinant Monoclonal IRX5 antibody. Suitable for IP, WB and reacts with Transfected cell lysate - Mouse, Mouse samples. Cited in 1 publication.

View Alternative Names

Irxb2, Irx5, Iroquois-class homeodomain protein IRX-5, Homeodomain protein IRXB2, Iroquois homeobox protein 5

4 Images
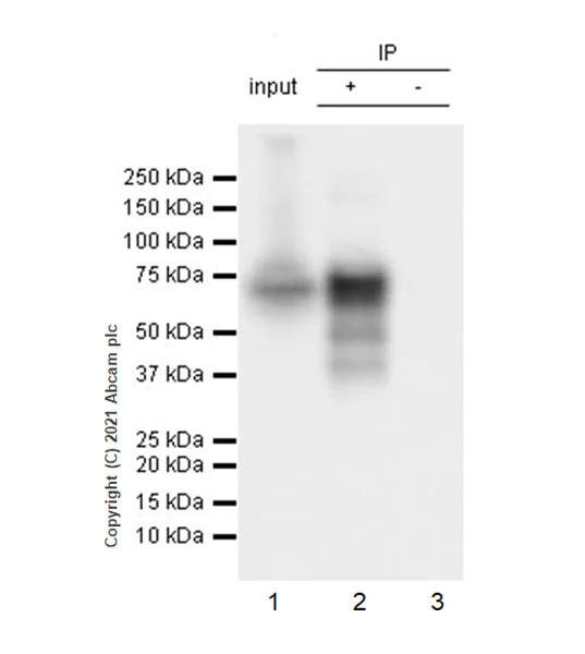
Immunoprecipitation - Anti-IRX5 antibody [EPR22724-43] (AB246494)
  • IP

Supplier Data

Immunoprecipitation - Anti-IRX5 antibody [EPR22724-43] (AB246494)

IRX5 was immunoprecipitated from 0.35 mg 293T transfected with a DDDDK-tagged mouse IRX5 (WT) expression vector, whole cell lysate 4 ug with ab246494 at 1/30 dilution (2ug in 0.35mg lysates). Western blot was performed on the immunoprecipitate using ab246494 at 1/1000 dilution. VeriBlot for IP Detection Reagent (HRP)(ab131366) was used at 1/5000 dilution.

Lane 1 : 293T transfected with a DDDDK-tagged mouse IRX5 (WT) expression vector, whole cell lysate 4 ug

Lane 2 : 293T transfected with a DDDDK-tagged mouse IRX5 (WT) expression vector, whole cell lysate

Lane 3 : Rabbit monoclonal IgG (ab172730) instead of ab246494 in 293T transfected with a DDDDK-tagged mouse IRX5 (WT) expression vector, whole cell lysate

Blocking and dilution buffer and concentration : 5% NFDM/TBST.

Exposure time : 1 second

All lanes:

Immunoprecipitation - Anti-IRX5 antibody [EPR22724-43] (ab246494)

Predicted band size: 50 kDa

Observed band size: 60 kDa

false

Western blot - Anti-IRX5 antibody [EPR22724-43] (AB246494)
  • WB

Lab

Western blot - Anti-IRX5 antibody [EPR22724-43] (AB246494)

Blocking and diluting buffer and concentration : 5% NFDM/TBST

In lane 1, the lysate was stored at -80°C prior to Western Blotting. In lane 2, lysate was freshly made and used for Western Blotting immediately to minimize protein degradation.

Exposure time : 3 minutes

All lanes:

Western blot - Anti-IRX5 antibody [EPR22724-43] (ab246494) at 1/1000 dilution

Lane 1:

Mouse lung (frozen) tissue lysate at 20 µg

Lane 2:

Mouse lung (fresh) tissue lysate at 20 µg

Secondary

All lanes:

Goat Anti-Rabbit IgG, (H+L), Peroxidase conjugated (<a href='/en-us/products/secondary-antibodies/goat-rabbit-igg-h-l-hrp-ab97051'>ab97051</a>) at 1/20000 dilution

Predicted band size: 50 kDa

Observed band size: 60 kDa

false

Western blot - Anti-IRX5 antibody [EPR22724-43] (AB246494)
  • WB

Lab

Western blot - Anti-IRX5 antibody [EPR22724-43] (AB246494)

Blocking and diluting buffer and concentration : 5% NFDM/TBST

Exposure time : 3 seconds

All lanes:

Western blot - Anti-IRX5 antibody [EPR22724-43] (ab246494) at 1/1000 dilution

Lane 1:

HeLa transfected with a DDDDK-tagged mouse IRX3 (WT) expression vector, whole cell lysate at 4 µg

Lane 2:

HeLa transfected with a DDDDK-tagged mouse IRX5 (WT) expression vector, whole cell lysate at 4 µg

Secondary

All lanes:

Goat Anti-Rabbit IgG, (H+L), Peroxidase conjugated (<a href='/en-us/products/secondary-antibodies/goat-rabbit-igg-h-l-hrp-ab97051'>ab97051</a>) at 1/100000 dilution

Predicted band size: 50 kDa

Observed band size: 60 kDa

false

Western blot - Anti-IRX5 antibody [EPR22724-43] (AB246494)
  • WB

Lab

Western blot - Anti-IRX5 antibody [EPR22724-43] (AB246494)

Blocking and diluting buffer and concentration : 5% NFDM/TBST

Exposure time : 15 seconds

The image is kindly provided by an anonymous collaborator.

All lanes:

Western blot - Anti-IRX5 antibody [EPR22724-43] (ab246494) at 1/1000 dilution

Lane 1:

IRX5 (WT) over expression whole cell lysate

Lane 2:

Mouse lung (WT) tissue lysate

Lane 3:

IRX5 knock out mouse lung tissue lysate

Predicted band size: 50 kDa

Observed band size: 60 kDa

false

  • Carrier free

    Anti-IRX5 antibody [EPR22724-43] - BSA and Azide free

Key facts

Host species

Rabbit

Clonality

Monoclonal

Clone number

EPR22724-43

Isotype

IgG

Carrier free

No

Reacts with

Mouse

Applications

IP, WB

applications

Immunogen

The exact immunogen used to generate this antibody is proprietary information.

Reactivity data

{ "title": "Reactivity Data", "filters": { "stats": ["", "Species", "Dilution Info", "Notes"], "tabs": { "all-applications": {"fullname" : "All Applications", "shortname": "All Applications"}, "IP" : {"fullname" : "Immunoprecipitation", "shortname":"IP"}, "WB" : {"fullname" : "Western blot", "shortname":"WB"}, "FlowCytIntra" : {"fullname" : "Flow Cytometry (Intracellular)", "shortname":"Flow Cyt (Intra)"}, "ICCIF" : {"fullname" : "Immunocytochemistry/ Immunofluorescence", "shortname":"ICC/IF"}, "IHCP" : {"fullname" : "Immunohistochemistry (Formalin/PFA-fixed paraffin-embedded sections)", "shortname":"IHC-P"} }, "product-promise": { "all": "all", "testedAndGuaranteed": "tested", "guaranteed": "expected", "predicted": "predicted", "notRecommended": "not-recommended" } }, "values": { "Human": { "IP-species-checked": "notRecommended", "IP-species-dilution-info": "", "IP-species-notes": "", "WB-species-checked": "notRecommended", "WB-species-dilution-info": "1/1000", "WB-species-notes": "<p></p>", "FlowCytIntra-species-checked": "notRecommended", "FlowCytIntra-species-dilution-info": "", "FlowCytIntra-species-notes": "", "ICCIF-species-checked": "notRecommended", "ICCIF-species-dilution-info": "", "ICCIF-species-notes": "", "IHCP-species-checked": "notRecommended", "IHCP-species-dilution-info": "", "IHCP-species-notes": "<p></p>" }, "Mouse": { "IP-species-checked": "guaranteed", "IP-species-dilution-info": "", "IP-species-notes": "", "WB-species-checked": "testedAndGuaranteed", "WB-species-dilution-info": "1/1000", "WB-species-notes": "<p></p>", "FlowCytIntra-species-checked": "notRecommended", "FlowCytIntra-species-dilution-info": "", "FlowCytIntra-species-notes": "<p></p>", "ICCIF-species-checked": "notRecommended", "ICCIF-species-dilution-info": "", "ICCIF-species-notes": "<p></p>", "IHCP-species-checked": "notRecommended", "IHCP-species-dilution-info": "", "IHCP-species-notes": "<p></p>" }, "Rat": { "IP-species-checked": "notRecommended", "IP-species-dilution-info": "", "IP-species-notes": "", "WB-species-checked": "notRecommended", "WB-species-dilution-info": "1/1000", "WB-species-notes": "<p></p>", "FlowCytIntra-species-checked": "notRecommended", "FlowCytIntra-species-dilution-info": "", "FlowCytIntra-species-notes": "", "ICCIF-species-checked": "notRecommended", "ICCIF-species-dilution-info": "", "ICCIF-species-notes": "", "IHCP-species-checked": "notRecommended", "IHCP-species-dilution-info": "", "IHCP-species-notes": "<p></p>" }, "Transfected cell lysate - Mouse": { "IP-species-checked": "testedAndGuaranteed", "IP-species-dilution-info": "1/30", "IP-species-notes": "<p></p>", "WB-species-checked": "testedAndGuaranteed", "WB-species-dilution-info": "1/1000", "WB-species-notes": "<p></p>", "FlowCytIntra-species-checked": "notRecommended", "FlowCytIntra-species-dilution-info": "", "FlowCytIntra-species-notes": "", "ICCIF-species-checked": "notRecommended", "ICCIF-species-dilution-info": "", "ICCIF-species-notes": "", "IHCP-species-checked": "notRecommended", "IHCP-species-dilution-info": "", "IHCP-species-notes": "" } } }

Product details

Patented technology
Our RabMAb® technology is a patented hybridoma-based technology for making rabbit monoclonal antibodies. For details on our patents, please refer to RabMAb® patents.

What are the advantages of a recombinant monoclonal antibody?
This product is a recombinant monoclonal antibody, which offers several advantages including:

  • - High batch-to-batch consistency and reproducibility
  • - Improved sensitivity and specificity
  • - Long-term security of supply
  • - Animal-free batch production

For more information, read more on recombinant antibodies.

Properties and storage information

Form
Liquid
Purification technique
Affinity purification Protein A
Storage buffer
pH: 7.2 - 7.4 Preservative: 0.01% Sodium azide Constituents: PBS, 40% Glycerol (glycerin, glycerine), 0.05% BSA
Shipped at conditions
Blue Ice
Appropriate short-term storage duration
1-2 weeks
Appropriate short-term storage conditions
+4°C
Appropriate long-term storage conditions
-20°C
Aliquoting information
Upon delivery aliquot
Storage information
Avoid freeze / thaw cycle

Supplementary information

This supplementary information is collated from multiple sources and compiled automatically.

IRX5 also known as Iroquois Homeobox 5 is a transcription factor with a molecular mass of approximately 50 kDa. It is part of the Iroquois (Irx) homeobox gene family which plays important roles in embryonic development. IRX5’s expression is mainly found in the heart brain and retina tissues. As a transcription factor it binds to specific DNA sequences regulating the transcription of various genes and influencing cell differentiation and tissue development.
Biological function summary

The function of IRX5 impacts cellular growth and patterning within tissues. It plays a significant role in cardiogenesis retinal differentiation and neuronal development. IRX5 does not operate alone; it forms part of the complex regulatory networks that guide development. During heart development IRX5’s expression patterns guide the proper formation of cardiac structures while in the retina its regulation is essential for developing photoreceptor cells.

Pathways

IRX5 engages in critical developmental pathways including the Wnt and Hedgehog signaling pathways. It modulates these pathways by interacting with other proteins such as β-catenin in the Wnt pathway and Gli proteins in the Hedgehog pathway. The precise control of these signaling pathways by IRX5 is essential in maintaining the balance between growth and differentiation during development.

IRX5 is associated with congenital heart defects and retinopathy. Mutations or dysregulation in IRX5 expression may lead to abnormalities in heart structure which are often linked with NKX2-5 another homeobox transcription factor involved in heart development. In the retina altered IRX5 function has connections to retinal degenerative conditions interacting with proteins such as CRX known for its role in photoreceptor function and survival. Understanding IRX5’s role in these diseases provides insights that might aid therapeutic development.

Product protocols

For this product, it's our understanding that no specific protocols are required. You can visit:

Target data

Establishes the cardiac repolarization gradient by its repressive actions on the KCND2 potassium-channel gene. Required for retinal cone bipolar cell differentiation. May regulate contrast adaptation in the retina and control specific aspects of visual function in circuits of the mammalian retina. Involved in craniofacial and gonadal development (By similarity). Modulates the migration of progenitor cell populations in branchial arches and gonads by repressing CXCL12.
See full target information Irx5

Publications (1)

Recent publications for all applications. Explore the full list and refine your search

iScience 28:112210 PubMed40230530

2025

The () homeobox genes are conserved Hox targets involved in motor neuron development.

Applications

Unspecified application

Species

Unspecified reactive species

Catarina Catela,Stavroula Assimacopoulos,Yihan Chen,Konstantinos Tsioras,Weidong Feng,Paschalis Kratsios
View all publications

Product promise

We are committed to supporting your work with high-quality reagents, and we're here for you every step of the way. In the unlikely event that one of our products does not perform as expected, you're protected by our Product Promise.
For full details, please see our Terms & Conditions

Please note: All products are 'FOR RESEARCH USE ONLY. NOT FOR USE IN DIAGNOSTIC OR THERAPEUTIC PROCEDURES'.

For licensing inquiries, please contact partnerships@abcam.com