JavaScript is disabled in your browser. Please enable JavaScript to view this website.
AB234984

Anti-IRX7 antibody

Be the first to review this product! Submit a review

|

(1 Publication)

Rabbit Polyclonal IRX7 antibody. Suitable for WB, IHC-P and reacts with Rat, Human samples. Cited in 1 publication. Immunogen corresponding to Recombinant Fragment Protein within Human IRX6 aa 250-400.

View Alternative Names

IRX7, IRXB3, IRX6, Iroquois-class homeodomain protein IRX-6, Homeodomain protein IRXB3, Iroquois homeobox protein 6

2 Images
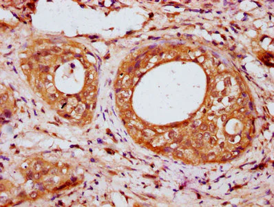
Immunohistochemistry (Formalin/PFA-fixed paraffin-embedded sections) - Anti-IRX7 antibody (AB234984)
  • IHC-P

Supplier Data

Immunohistochemistry (Formalin/PFA-fixed paraffin-embedded sections) - Anti-IRX7 antibody (AB234984)

Paraffin-embedded human cervical cancer tissue stained for IRX7 using ab234984 at 1/200 dilution in immunohistochemical analysis.

After dewaxing and hydration, antigen retrieval was mediated by high pressure in a citrate buffer (pH 6.0). Section was blocked with 10% normal goat serum 30minutes at room temperature. Then primary antibody (1% BSA) was incubated at 4°C overnight. The primary is detected by a biotinylated secondary antibody and visualized tissue using an HRP conjugated SP system.

Western blot - Anti-IRX7 antibody (AB234984)
  • WB

Supplier Data

Western blot - Anti-IRX7 antibody (AB234984)

All lanes:

Western blot - Anti-IRX7 antibody (ab234984) at 1/500 dilution

Lane 1:

A549 (human lung carcinoma cell line) whole cell lysate

Lane 2:

Rat heart lysate

Secondary

All lanes:

Goat polyclonal to rabbit IgG at 1/50000 dilution

Predicted band size: 48 kDa

false

Key facts

Host species

Rabbit

Clonality

Polyclonal

Isotype

IgG

Carrier free

No

Reacts with

Rat, Human

Applications

IHC-P, WB

applications

Immunogen

Recombinant Fragment Protein within Human IRX6 aa 250-400. The exact immunogen used to generate this antibody is proprietary information.

P78412

Reactivity data

{ "title": "Reactivity Data", "filters": { "stats": ["", "Species", "Dilution Info", "Notes"], "tabs": { "all-applications": {"fullname" : "All Applications", "shortname": "All Applications"}, "WB" : {"fullname" : "Western blot", "shortname":"WB"}, "IHCP" : {"fullname" : "Immunohistochemistry (Formalin/PFA-fixed paraffin-embedded sections)", "shortname":"IHC-P"} }, "product-promise": { "all": "all", "testedAndGuaranteed": "tested", "guaranteed": "expected", "predicted": "predicted", "notRecommended": "not-recommended" } }, "values": { "Human": { "WB-species-checked": "testedAndGuaranteed", "WB-species-dilution-info": "1/500 - 1/5000", "WB-species-notes": "<p></p>", "IHCP-species-checked": "testedAndGuaranteed", "IHCP-species-dilution-info": "1/200 - 1/500", "IHCP-species-notes": "<p></p>" }, "Rat": { "WB-species-checked": "testedAndGuaranteed", "WB-species-dilution-info": "1/500 - 1/5000", "WB-species-notes": "<p></p>", "IHCP-species-checked": "guaranteed", "IHCP-species-dilution-info": "", "IHCP-species-notes": "" } } }

Properties and storage information

Form
Liquid
Purification technique
Affinity purification Protein G
Purification notes
Purity >95%.
Storage buffer
pH: 7.4 Preservative: 0.03% Proclin 300 Constituents: PBS, 50% Glycerol (glycerin, glycerine)
Shipped at conditions
Blue Ice
Appropriate short-term storage duration
1-2 weeks
Appropriate short-term storage conditions
+4°C
Appropriate long-term storage conditions
-20°C
Aliquoting information
Upon delivery aliquot
Storage information
Avoid freeze / thaw cycle

Supplementary information

This supplementary information is collated from multiple sources and compiled automatically.

IRX7 also known as Iroquois homeobox 7 is a transcription factor involved in gene regulation. It belongs to the Iroquois homeobox family of proteins and weighs approximately 30 kDa. Researchers find IRX7 expression largely in cardiac and neural tissues where it plays an important role during developmental stages. Expression can also be observed in other tissue types although stronger evidence places it in heart and brain development.
Biological function summary

The IRX7 protein contributes to the development and differentiation of cardiac and neural cells. It acts as a transcription regulator binding to specific DNA sequences to control the expression of target genes involved in these processes. IRX7 can form part of a transcriptional complex interacting with other transcription factors or co-regulators to ensure precise regulation of gene expression. This function highlights its importance in establishing specific cell types during development.

Pathways

IRX7 participates in critical developmental pathways. It plays a significant role in the Notch signaling pathway which governs important cell differentiation decisions during development. In this pathway IRX7 might interact with proteins like JAG1 and NOTCH receptors to influence downstream gene expression. Additionally it fits within cardiac gene regulatory networks where it coordinates with proteins such as IRX5 and IRX3 highlighting its involvement in the morphogenesis of cardiac structures.

Researchers associate IRX7 with congenital heart defects due to its regulatory role in cardiac development. Mutations or dysregulation in its expression can contribute to structural heart abnormalities potentially linked through IRX5 and Nkx2-5 another important cardiac transcription factor. Moreover some studies suggest a potential link to neurodevelopmental disorders although connections to specific proteins or mechanisms require further investigation.

Product protocols

For this product, it's our understanding that no specific protocols are required. You can visit:

Target data

Transcription factor. Binds to the iroquois binding site (IBS) motif of target genes to regulate gene expression; functions as a transcriptional activator or repressor. Modulates expression of RCVRN, VSX1, BHLHE22/BHLHB5 and TACR3/Nk3r. Required downstream of retinal bipolar cell specification for the terminal differentiation of type 2, type 3a and possibly type 6 bipolar cells.
See full target information IRX6

Publications (1)

Recent publications for all applications. Explore the full list and refine your search

Chinese medicine 19:16 PubMed38268006

2024

Ganoderma lucidum polysaccharide ameliorates cholesterol gallstone formation by modulating cholesterol and bile acid metabolism in an FXR-dependent manner.

Applications

Unspecified application

Species

Unspecified reactive species

Dan Huang,Shuang Shen,Qian Zhuang,Xin Ye,Yueqin Qian,Zhixia Dong,Xinjian Wan
View all publications

Product promise

We are committed to supporting your work with high-quality reagents, and we're here for you every step of the way. In the unlikely event that one of our products does not perform as expected, you're protected by our Product Promise.
For full details, please see our Terms & Conditions

Please note: All products are 'FOR RESEARCH USE ONLY. NOT FOR USE IN DIAGNOSTIC OR THERAPEUTIC PROCEDURES'.

For licensing inquiries, please contact partnerships@abcam.com