JavaScript is disabled in your browser. Please enable JavaScript to view this website.
AB180532

Anti-ISCU antibody [OTI4F5]

Be the first to review this product! Submit a review

|

(2 Publications)

Mouse Monoclonal ISCU antibody. Suitable for IHC-P, WB and reacts with Human samples. Cited in 2 publications. Immunogen corresponding to Recombinant Full Length Protein corresponding to Human ISCU.

View Alternative Names

NIFUN, ISCU, Iron-sulfur cluster assembly enzyme ISCU, NifU-like N-terminal domain-containing protein, NifU-like protein

5 Images
Immunohistochemistry (Formalin/PFA-fixed paraffin-embedded sections) - Anti-ISCU antibody [OTI4F5] (AB180532)
  • IHC-P

Supplier Data

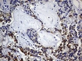
Immunohistochemistry (Formalin/PFA-fixed paraffin-embedded sections) - Anti-ISCU antibody [OTI4F5] (AB180532)

Paraffin-embedded human pancreas carcinoma tissue stained for ISCU with ab180532 at a 1/150 dilution in immunohistochemical analysis. Heat-induced epitope retrieval by 10 mM citric buffer, pH 6.0, 120°C for 3 minutes.

Immunohistochemistry (Formalin/PFA-fixed paraffin-embedded sections) - Anti-ISCU antibody [OTI4F5] (AB180532)
  • IHC-P

Supplier Data

Immunohistochemistry (Formalin/PFA-fixed paraffin-embedded sections) - Anti-ISCU antibody [OTI4F5] (AB180532)

Paraffin-embedded human thyroid carcinoma tissue stained for ISCU with ab180532 at a 1/150 dilution in immunohistochemical analysis. Heat-induced epitope retrieval by 10 mM citric buffer, pH 6.0, 120°C for 3 minutes.

Immunohistochemistry (Formalin/PFA-fixed paraffin-embedded sections) - Anti-ISCU antibody [OTI4F5] (AB180532)
  • IHC-P

Supplier Data

Immunohistochemistry (Formalin/PFA-fixed paraffin-embedded sections) - Anti-ISCU antibody [OTI4F5] (AB180532)

Paraffin-embedded human lymphoma tissue stained for ISCU with ab180532 at a 1/150 dilution in immunohistochemical analysis. Heat-induced epitope retrieval by 10 mM citric buffer, pH 6.0, 120°C for 3 minutes.

Western blot - Anti-ISCU antibody [OTI4F5] (AB180532)
  • WB

Supplier Data

Western blot - Anti-ISCU antibody [OTI4F5] (AB180532)

All lanes:

Western blot - Anti-ISCU antibody [OTI4F5] (ab180532) at 1/2000 dilution

Lane 1:

HEK-293T (Human epithelial cell line from embryonic kidney transformed with large T antigen) cell lysate transfected with pCMV6-ENTRY control cDNA for 48 hrs at 5 µg

Lane 2:

HEK-293T cell lysate transfected with the pCMV6-ENTRY ISCU cDNA for 48 hrs at 5 µg

Predicted band size: 18 kDa

true

Western blot - Anti-ISCU antibody [OTI4F5] (AB180532)
  • WB

CiteAb

Western blot - Anti-ISCU antibody [OTI4F5] (AB180532)

ISCU western blot using anti-ISCU antibody [OTI4F5] ab180532. Publication image and figure legend from Viollet, C., Davis, D. A., et al., 2017, PLoS Pathog, PubMed 28046107.

ab180532 was used in this publication in western blot. This may not be the same as the application(s) guaranteed by Abcam. For a full list of applications guaranteed by Abcam for ab180532 please see the product overview.

KSHV infection and hypoxia induce miR-210 independently and additively, while miR-210 modulates its target expression, ISCU, in KSHV-infected cells.(A) Data represent miR-210 relative expression in normoxic and hypoxic SLKK and SLK cells. Values are normalized to the average of normoxic SLK controls set to one. Taqman assays demonstrate that hypoxic conditions (1% O2 for 24hrs) up-regulate miR-210 in both KSHV-infected and uninfected cells (P ≤0.01, Student’s t-test). Additionally, Taqman assays show that KSHV infection alone up-regulates miR-210, in both normoxia and hypoxia (*P ≤0.05, Student’s t-test). (B) Analysis of miR-210 expression in normoxic and hypoxic SLKK cells transfected with miR-210 mimics, anti-miR-210 inhibitors or controls using Taqman assays. Bars depict the relative expression of miR-210 compared to normoxic NT controls. NT : No Transfection. (C) qRT-PCR analysis of ISCU transcript in normoxic and hypoxic SLKK cells transfected with miR-210 mimics, anti-miR-210 inhibitors or controls. Values normalized as in (B). NT : No Transfection. (D) Quantitative immunoblot analysis in normoxic and hypoxic SLKK cells transfected with miR-210 mimics, anti-miR-210 inhibitors or controls. (A), (B), (C), and (D) depict the mean ± sem of three independent experiments. *, **, and *** indicate P ≤0.05, P ≤0.01, and P ≤0.001, respectively.

false

Key facts

Host species

Mouse

Clonality

Monoclonal

Clone number

OTI4F5

Isotype

IgG1

Carrier free

No

Reacts with

Human

Applications

WB, IHC-P

applications

Immunogen

Recombinant Full Length Protein corresponding to Human ISCU.

Q9H1K1

Reactivity data

{ "title": "Reactivity Data", "filters": { "stats": ["", "Species", "Dilution Info", "Notes"], "tabs": { "all-applications": {"fullname" : "All Applications", "shortname": "All Applications"}, "IHCP" : {"fullname" : "Immunohistochemistry (Formalin/PFA-fixed paraffin-embedded sections)", "shortname":"IHC-P"}, "WB" : {"fullname" : "Western blot", "shortname":"WB"} }, "product-promise": { "all": "all", "testedAndGuaranteed": "tested", "guaranteed": "expected", "predicted": "predicted", "notRecommended": "not-recommended" } }, "values": { "Human": { "IHCP-species-checked": "testedAndGuaranteed", "IHCP-species-dilution-info": "1/150", "IHCP-species-notes": "<p></p>", "WB-species-checked": "testedAndGuaranteed", "WB-species-dilution-info": "1/2000", "WB-species-notes": "<p></p>" }, "Mouse": { "IHCP-species-checked": "predicted", "IHCP-species-dilution-info": "", "IHCP-species-notes": "", "WB-species-checked": "predicted", "WB-species-dilution-info": "", "WB-species-notes": "" } } }

Product details

Clone OTI4F5 (formerly 4F5).

Properties and storage information

Form
Liquid
Purification technique
Affinity purification
Purification notes
Purified from cell culture supernatant by affinity chromatography.
Storage buffer
pH: 7.3 Preservative: 0.02% Sodium azide Constituents: PBS, 50% Glycerol (glycerin, glycerine), 1% BSA
Shipped at conditions
Blue Ice
Appropriate short-term storage duration
1-2 weeks
Appropriate short-term storage conditions
+4°C
Appropriate long-term storage conditions
-20°C
Aliquoting information
Upon delivery aliquot
Storage information
Avoid freeze / thaw cycle

Supplementary information

This supplementary information is collated from multiple sources and compiled automatically.

ISCU also known as the iron-sulfur cluster scaffold protein is an important player in the assembly of iron-sulfur clusters. This protein possesses a molecular mass of approximately 14 kDa and is widely expressed in mitochondria highlighting its central involvement in cellular processes dependent on these organelles. ISCU interacts with several proteins to facilitate the transfer of iron-sulfur clusters to apoproteins ensuring the proper maturation of these metalloproteins necessary for a variety of cellular functions.
Biological function summary

ISCU protein functions as an important scaffold component in the biosynthesis of iron-sulfur (Fe-S) clusters which are integral for the activity of multiple enzymatic and non-enzymatic systems. Within the mitochondria ISCU forms part of a multi-component complex that includes other scaffold proteins and necessary enzymes such as cysteine desulfurase which provides sulfur for cluster assembly. This complex orchestrates the precise coordination of metal ions and scaffold protein interactions facilitating cluster formation.

Pathways

The iron-sulfur cluster scaffold ISCU is vital in the electron transport chain and the citric acid cycle both of which are central to energy production in cells. ISCU closely interacts with proteins like frataxin which delivers iron to the scaffold and ferredoxin which is involved in electron transfer. These interactions highlight the pathway interdependence that maintains cellular bioenergetics and redox balance.

Disruptions in ISCU expression or function link to conditions such as Myopathy with exercise intolerance and Friedreich’s ataxia. Altered iron-sulfur cluster biogenesis impairs energy metabolism affecting muscle and neural tissues. ISCU's partnership with the frataxin protein becomes significant here as frataxin mutations result in similar pathological features thereby providing a potential target for therapeutic intervention in related diseases.

Product protocols

For this product, it's our understanding that no specific protocols are required. You can visit:

Target data

Isoform 1. Mitochondrial scaffold protein, of the core iron-sulfur cluster (ISC) assembly complex, that provides the structural architecture on which the [2Fe-2S] clusters are assembled (PubMed : 34824239). The core iron-sulfur cluster (ISC) assembly complex is involved in the de novo synthesis of a [2Fe-2S] cluster, the first step of the mitochondrial iron-sulfur protein biogenesis. This process is initiated by the cysteine desulfurase complex (NFS1 : LYRM4 : NDUFAB1) that produces persulfide which is delivered on the scaffold protein ISCU in a FXN-dependent manner. Then this complex is stabilized by FDX2 which provides reducing equivalents to accomplish the [2Fe-2S] cluster assembly. Finally, the [2Fe-2S] cluster is transferred from ISCU to chaperone proteins, including HSCB, HSPA9 and GLRX5 (Probable) (PubMed : 24971490, PubMed : 29576242, PubMed : 30031876, PubMed : 34824239). Exists as two slow interchanging conformational states, a structured (S) and disordered (D) form (PubMed : 23940031). May modulate NFS1 desulfurase activity in a zinc-dependent manner (PubMed : 30031876). Modulates the interaction between FXN and the cysteine desulfurase complex (PubMed : 29576242).. Isoform 2. Cytoplasmic scaffold protein, of the cytoplasmic core iron-sulfur cluster (ISC) assembly complex that provides the structural architecture on which the Fe-S clusters are assembled and may be involved in the cytoplasmic iron-sulfur protein biogenesis.
See full target information ISCU

Publications (2)

Recent publications for all applications. Explore the full list and refine your search

MedChemComm 10:209-220 PubMed30881609

2019

4'-Phosphopantetheine and long acyl chain-dependent interactions are integral to human mitochondrial acyl carrier protein function.

Applications

Unspecified application

Species

Unspecified reactive species

Jaimeen D Majmudar,Xidong Feng,Nicholas G Fox,Joseph F Nabhan,Theresa Towle,Tiffany Ma,Renea Gooch,Christine Bulawa,Wyatt W Yue,Alain Martelli

PLoS pathogens 13:e1006143 PubMed28046107

2017

RNA Sequencing Reveals that Kaposi Sarcoma-Associated Herpesvirus Infection Mimics Hypoxia Gene Expression Signature.

Applications

Unspecified application

Species

Unspecified reactive species

Coralie Viollet,David A Davis,Shewit S Tekeste,Martin Reczko,Joseph M Ziegelbauer,Francesco Pezzella,Jiannis Ragoussis,Robert Yarchoan
View all publications

Product promise

We are committed to supporting your work with high-quality reagents, and we're here for you every step of the way. In the unlikely event that one of our products does not perform as expected, you're protected by our Product Promise.
For full details, please see our Terms & Conditions

Please note: All products are 'FOR RESEARCH USE ONLY. NOT FOR USE IN DIAGNOSTIC OR THERAPEUTIC PROCEDURES'.

For licensing inquiries, please contact partnerships@abcam.com