JavaScript is disabled in your browser. Please enable JavaScript to view this website.
AB285370

Anti-ISG15 antibody [EPR24482-49] - BSA and Azide free

  • BOND RX™ Validated
  • RabMAb
  • Recombinant
  • KO Validated
  • What is this?

Be the first to review this product! Submit a review

|

(0 Publication)

Rabbit Recombinant Monoclonal ISG15 antibody. Carrier free. Suitable for IP, WB, IHC-P, ICC/IF, Flow Cyt (Intra) and reacts with Human samples.

View Alternative Names

G1P2, UCRP, ISG15, Ubiquitin-like protein ISG15, Interferon-induced 15 kDa protein, Interferon-induced 17 kDa protein, Ubiquitin cross-reactive protein, IP17, hUCRP

7 Images
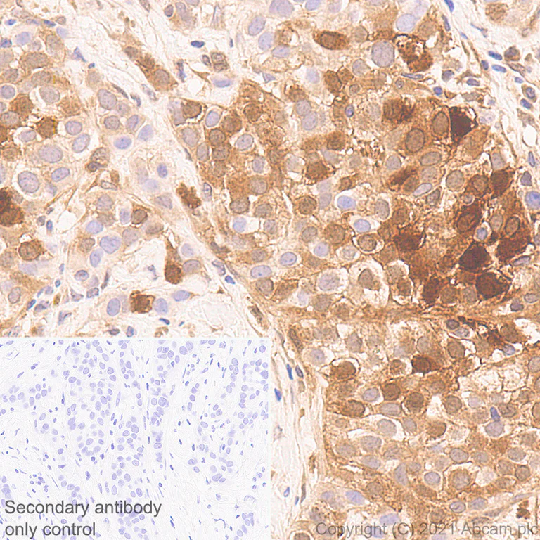
Immunohistochemistry (Formalin/PFA-fixed paraffin-embedded sections) - Anti-ISG15 antibody [EPR24482-49] - BSA and Azide free (AB285370)
  • IHC-P

Lab

Immunohistochemistry (Formalin/PFA-fixed paraffin-embedded sections) - Anti-ISG15 antibody [EPR24482-49] - BSA and Azide free (AB285370)

This data was developed using ab285367, the same antibody clone in a different buffer formulation.

Immunohistochemical analysis of paraffin-embedded Human breast cancer tissue labeling ISG15 with ab285367 at 1/500 (0.998 ug/ml) followed by a LeicaDS9800 (Bond™ Polymer Refine Detection) was used at Ready to use dilution.

Positive staining on human breast cancer (PMID : 18627608)

The section was incubated with ab285367 for 30 mins at room temperature.The immunostaining was performed on a Leica Biosystems BOND® RX instrument Counterstained with Hematoxylin.

Secondary antibody only control : Secondary antibody is a ready to use LeicaDS9800 (Bond™ Polymer Refine Detection).

Heat mediated antigen retrieval with Tris-EDTA buffer (pH 9.0, epitope retrieval solution2) for 20 mins.

Immunohistochemistry (Formalin/PFA-fixed paraffin-embedded sections) - Anti-ISG15 antibody [EPR24482-49] - BSA and Azide free (AB285370)
  • IHC-P

Lab

Immunohistochemistry (Formalin/PFA-fixed paraffin-embedded sections) - Anti-ISG15 antibody [EPR24482-49] - BSA and Azide free (AB285370)

This data was developed using ab285367, the same antibody clone in a different buffer formulation.

Immunohistochemical analysis of paraffin-embedded (A) Wild-type HAP1 cells treated with 1000 U/ml human IFN alpha 1 for 24 hours (B) Untreated wild-type HAP1 cells (C) ISG 15 knockout HAP1 cells treated with 1000U/ml human IFN alpha 1 for 24 hours (D) Untreated ISG 15 knockout HAP1 cells tissue labelling ISG15 with ab285367 at 1/500 (0.998 ug/ml) followed by a ready to use LeicaDS9800 (Bond™ Polymer Refine Detection) was used. Positive staining on (A) HAP1 cells treated with IFN alpha 1, no staining on (B) untreated wild-type HAP1 cells. Positive staining on a few cells of (C) ISG15 knockout HAP1 cells treated with 1000 U/ml IFN alpha 1, no staining on (D) untreated ISG 15 knockout HAP1 cells. The section was incubated with ab285367 for 30 mins at room temperature.The immunostaining was performed on a Leica Biosystems BOND® RX instrument Counterstained with Hematoxylin.

Secondary antibody only control : Secondary antibody is a ready to use LeicaDS9800 (Bond™ Polymer Refine Detection) was used.

Heat mediated antigen retrieval with Tris-EDTA buffer (pH 9.0, epitope retrieval solution2) for 20 mins

Flow Cytometry (Intracellular) - Anti-ISG15 antibody [EPR24482-49] - BSA and Azide free (AB285370)
  • Flow Cyt (Intra)

Lab

Flow Cytometry (Intracellular) - Anti-ISG15 antibody [EPR24482-49] - BSA and Azide free (AB285370)

This data was developed using ab285367, the same antibody clone in a different buffer formulation.

Intracellular flow cytometric analysis of 4% paraformaldehyde fixed 90% methanol permeabilized Wild-type HAP1 (human chronic myelogenous leukemia near-haploid cell)(Right)/ ISG15 knockout HAP1 cells (Left)
HAP1 treated with 1000U/ml hIFN alpha 1 for 24 hours (Red) / Untreated control (Green) cells labelling ISG15 with ab285367 at 1/50 dilution (1ug) (Red) compared with a Rabbit monoclonal IgG (ab172730) (Black) isotype control and an unlabelled control (cells without incubation with primary antibody and secondary antibody) (Blue). A Goat Anti-Rabbit IgG (Alexa Fluor® 488, ab150081) at 1/2000 dilution was used as the secondary antibody.

Immunocytochemistry/ Immunofluorescence - Anti-ISG15 antibody [EPR24482-49] - BSA and Azide free (AB285370)
  • ICC/IF

Lab

Immunocytochemistry/ Immunofluorescence - Anti-ISG15 antibody [EPR24482-49] - BSA and Azide free (AB285370)

This data was developed using ab285367, the same antibody clone in a different buffer formulation.

Immunofluorescent analysis of 4% Paraformaldehyde-fixed, 0.1% TritonX-100 permeabilized parental HAP1+hIFN-a1(1000U/ml 24h)(-) parental HAP1+hIFN-a1(1000U/ml 24h)(+) ISG15 KO HAP1+hIFN-a1(1000U/ml 24h)(-) ISG15 KO HAP1+hIFN-a1(1000U/ml 24h)(+) cells labelling ISG15 with ab285367 at 1/100 (4.99 ug/ml) dilution, followed by ab150081 Goat Anti-Rabbit IgG H&L (Alexa Fluor® 488) preadsorbed antibody at 1/1000 (2 ug/ml) dilution (Green).

Confocal image showing increased cytoplasmic staining in HAP1 cells treated with hIFN-a1(1000 U/ml) for 24 h, and no staining in ISG15 knockout HAP1 cells treated with hIFN-a1(1000 U/ml) for 24 h is observed. ab195889 Anti-alpha Tubulin mouse monoclonal antibody - Microtubule Marker (Alexa Fluor® 594) was used to counterstain tubulin at 1/200 (2.5ug/ml) dilution (Red). The Nuclear counterstain was DAPI (Blue).

Secondary antibody only control : Secondary antibody is ab150081 Goat Anti-Rabbit IgG H&L (Alexa Fluor® 488) preadsorbed at 1/1000 (2 ug/ml) dilution.

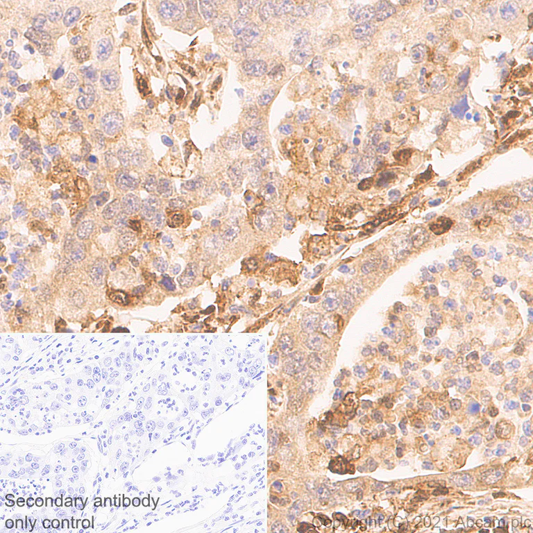
Immunohistochemistry (Formalin/PFA-fixed paraffin-embedded sections) - Anti-ISG15 antibody [EPR24482-49] - BSA and Azide free (AB285370)
  • IHC-P

Lab

Immunohistochemistry (Formalin/PFA-fixed paraffin-embedded sections) - Anti-ISG15 antibody [EPR24482-49] - BSA and Azide free (AB285370)

This data was developed using ab285367, the same antibody clone in a different buffer formulation.

Immunohistochemical analysis of paraffin-embedded Human gastric cancer tissue labelling ISG15 with ab285367 at 1/500 (0.998 ug/ml) followed by a ready to use LeicaDS9800 (Bond™ Polymer Refine Detection) was used. Positive staining on human gastric cancer (PMID : 30842212). The section was incubated with ab285367 for 30 mins at room temperature.The immunostaining was performed on a Leica Biosystems BOND® RX instrument Counterstained with Hematoxylin.

Secondary antibody only control : Secondary antibody is a ready to use LeicaDS9800 (Bond™ Polymer Refine Detection) was used.

Heat mediated antigen retrieval with Tris-EDTA buffer (pH 9.0, epitope retrieval solution2) for 20 mins

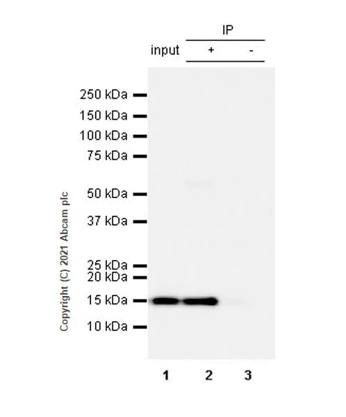
Immunoprecipitation - Anti-ISG15 antibody [EPR24482-49] - BSA and Azide free (AB285370)
  • IP

Lab

Immunoprecipitation - Anti-ISG15 antibody [EPR24482-49] - BSA and Azide free (AB285370)

ISG15 was immunoprecipitated from 0.35 mg Wild-type HAP1 (human chronic myelogenous leukemia near-haploid cell) treated with 1000U/ml human IFN alpha 1 for 24 hours whole cell lysate 10 μg with ab285367 at 1/30 dilution (2ug in 0.35mg lysates). Western blot was performed on the immunoprecipitate using ab285367 at 1/1000 dilution. VeriBlot for IP secondary antibody (HRP) (ab131366) was used at 1/5000 dilution.

Lane 1 : Wild-type HAP1 (human chronic myelogenous leukemia near-haploid cell) treated with 1000U/ml human IFN alpha 1 for 24 hours whole cell lysate 10 μg

Lane 2 : ab285367 IP in Wild-type HAP1 treated with 1000U/ml human IFN alpha 1 for 24 hours whole cell lysate

Lane 3 : Rabbit monoclonal IgG (ab172730) instead of ab285367 in Wild-type HAP1 treated with 1000U/ml human IFN alpha 1 for 24 hours whole cell lysate

Blocking and dilution buffer and concentration : 5% NFDM/TBST.

Exposure time : 7.75 seconds

All lanes:

Immunoprecipitation - Anti-ISG15 antibody [EPR24482-49] (<a href='/en-us/products/primary-antibodies/isg15-antibody-epr24482-49-ab285367'>ab285367</a>)

Predicted band size: 18 kDa

false

Western blot - Anti-ISG15 antibody [EPR24482-49] - BSA and Azide free (AB285370)
  • WB

Lab

Western blot - Anti-ISG15 antibody [EPR24482-49] - BSA and Azide free (AB285370)

This data was developed using 285367, the same antibody clone in a different buffer formulation.

Blocking and diluting buffer and concentration : Lanes 1-6 : Merged signal (red and green). Green - ab285367 observed at 14 kDa. Red - loading control ab8245 observed at 36 kDa.

ab285367 Anti-ISG15 antibody [EPR24482-49] was shown to specifically react with ISG15 in IFN alpha 1 induced wild-type HAP1 cells. Loss of signal was observed when knockout cell line was used. Wild-type and ISG15 knockout samples were subjected to SDS-PAGE. ab285367 and Anti-GAPDH antibody [6C5] - Loading Control (ab8245) were incubated at 4°C overnight at 1/ 1000 dilution and 1/ 20000 dilution respectively. Blots were developed with Goat anti-Rabbit IgG H&L (IRDye® 800CW) preadsorbed (ab216773) and Goat anti-Mouse IgG H&L (IRDye® 680RD) preadsorbed (ab216776) secondary antibodies at 1/ 10000 dilution for 1 hour at room temperature before imaging.

All lanes:

Western blot - Anti-ISG15 antibody [EPR24482-49] (<a href='/en-us/products/primary-antibodies/isg15-antibody-epr24482-49-ab285367'>ab285367</a>) at 1/1000 dilution

Lane 1:

Untreated wild-type HAP1 (human chronic myelogenous leukemia near-haploid cell) whole cell lysate at 20 µg

Lane 2:

Wild-type HAP1 treated with 1000U/ml human IFN alpha 1 for 24 hours whole cell lysate at 20 µg

Lane 3:

Untreated ISG 15 knockout HAP1 whole cell lysate at 20 µg

Lane 4:

ISG 15 knockout HAP1 treated with 1000U/ml human IFN alpha 1 for 24 hours whole cell lysate at 20 µg

Lane 5:

Untreated HeLa (human cervix adenocarcinoma epithelial cell) whole cell lysate at 20 µg

Lane 6:

HeLa treated with 10 ng/ml human IFN alpha 1 for 16 hours whole cell lysate at 20 µg

Secondary

All lanes:

Goat Anti-Rabbit IgG H&L (IRDye® 800CW) (<a href='/en-us/products/secondary-antibodies/goat-rabbit-igg-h-l-irdye-800cw-preadsorbed-ab216773'>ab216773</a>) and Goat Anti-Mouse IgG H&L (IRDye® 680RD) (<a href='/en-us/products/secondary-antibodies/goat-mouse-igg-h-l-irdye-680rd-preadsorbed-ab216776'>ab216776</a>) at 1/10000 dilution

Predicted band size: 18 kDa

false

  • Unconjugated

    Anti-ISG15 antibody [EPR24482-49]

  • Biotin

    Biotin Anti-ISG15 antibody [EPR24482-49]

Key facts

Host species

Rabbit

Clonality

Monoclonal

Clone number

EPR24482-49

Isotype

IgG

Carrier free

Yes

Reacts with

Human

Applications

ICC/IF, WB, IP, IHC-P, Flow Cyt (Intra)

applications

Immunogen

The exact immunogen used to generate this antibody is proprietary information.

Reactivity data

{ "title": "Reactivity Data", "filters": { "stats": ["", "Species", "Dilution Info", "Notes"], "tabs": { "all-applications": {"fullname" : "All Applications", "shortname": "All Applications"}, "IP" : {"fullname" : "Immunoprecipitation", "shortname":"IP"}, "WB" : {"fullname" : "Western blot", "shortname":"WB"}, "IHCP" : {"fullname" : "Immunohistochemistry (Formalin/PFA-fixed paraffin-embedded sections)", "shortname":"IHC-P"}, "ICCIF" : {"fullname" : "Immunocytochemistry/ Immunofluorescence", "shortname":"ICC/IF"}, "FlowCytIntra" : {"fullname" : "Flow Cytometry (Intracellular)", "shortname":"Flow Cyt (Intra)"} }, "product-promise": { "all": "all", "testedAndGuaranteed": "tested", "guaranteed": "expected", "predicted": "predicted", "notRecommended": "not-recommended" } }, "values": { "Human": { "IP-species-checked": "testedAndGuaranteed", "IP-species-dilution-info": "", "IP-species-notes": "<p></p>", "WB-species-checked": "testedAndGuaranteed", "WB-species-dilution-info": "", "WB-species-notes": "<p></p>", "IHCP-species-checked": "testedAndGuaranteed", "IHCP-species-dilution-info": "", "IHCP-species-notes": "<p></p>", "ICCIF-species-checked": "testedAndGuaranteed", "ICCIF-species-dilution-info": "", "ICCIF-species-notes": "<p></p>", "FlowCytIntra-species-checked": "testedAndGuaranteed", "FlowCytIntra-species-dilution-info": "", "FlowCytIntra-species-notes": "<p></p>" }, "Mouse": { "IP-species-checked": "notRecommended", "IP-species-dilution-info": "", "IP-species-notes": "", "WB-species-checked": "notRecommended", "WB-species-dilution-info": "", "WB-species-notes": "<p></p>", "IHCP-species-checked": "notRecommended", "IHCP-species-dilution-info": "", "IHCP-species-notes": "<p></p>", "ICCIF-species-checked": "notRecommended", "ICCIF-species-dilution-info": "", "ICCIF-species-notes": "", "FlowCytIntra-species-checked": "notRecommended", "FlowCytIntra-species-dilution-info": "", "FlowCytIntra-species-notes": "" }, "Rat": { "IP-species-checked": "notRecommended", "IP-species-dilution-info": "", "IP-species-notes": "", "WB-species-checked": "notRecommended", "WB-species-dilution-info": "", "WB-species-notes": "<p></p>", "IHCP-species-checked": "notRecommended", "IHCP-species-dilution-info": "", "IHCP-species-notes": "<p></p>", "ICCIF-species-checked": "notRecommended", "ICCIF-species-dilution-info": "", "ICCIF-species-notes": "", "FlowCytIntra-species-checked": "notRecommended", "FlowCytIntra-species-dilution-info": "", "FlowCytIntra-species-notes": "" } } }

Product details

ab285370 is a carrier free version of ab285367.

Patented technology
Our RabMAb® technology is a patented hybridoma-based technology for making rabbit monoclonal antibodies. For details on our patents, please refer to RabMAb® patents.

What are the advantages of a recombinant monoclonal antibody?
This product is a recombinant monoclonal antibody, which offers several advantages including:

  • - High batch-to-batch consistency and reproducibility
  • - Improved sensitivity and specificity
  • - Long-term security of supply
  • - Animal-free batch production

For more information, read more on recombinant antibodies.

Conjugation ready
Our carrier-free antibodies are typically supplied in a PBS-only formulation, purified and free of BSA, sodium azide and glycerol. This conjugation-ready format is designed for use with fluorochromes, metal isotopes, oligonucleotides, and enzymes, which makes them ideal for antibody labelling, functional and cell-based assays, flow-based assays (e.g. mass cytometry) and Multiplex Imaging applications.

Use our conjugation kits for antibody conjugates that are ready-to-use in as little as 20 minutes with 1 minute hands-on-time and 100% antibody recovery: available for fluorescent dyes, HRP, biotin and gold.

Properties and storage information

Form
Liquid
Purification technique
Affinity purification Protein A
Storage buffer
pH: 7.2 - 7.4 Constituents: PBS
Shipped at conditions
Blue Ice
Appropriate short-term storage conditions
+4°C
Appropriate long-term storage conditions
+4°C

Supplementary information

This supplementary information is collated from multiple sources and compiled automatically.

ISG15 also known as G1P2 is a ubiquitin-like protein with a molecular weight of approximately 17 kDa. This protein gets expressed highly in response to interferon stimulation particularly in white blood cells such as macrophages and monocytes. It consists of two ubiquitin-like domains contributing to its functionality. ISG15 performs its mechanical role by adding itself to target proteins in a process known as ISGylation. This process resembles ubiquitination and serves to modify the functions of targeted proteins.
Biological function summary

ISG15 plays an important role in the immune response to viral infections. It acts as an antiviral agent by inhibiting viral replication. It interacts with and becomes a part of protein complexes modifying cellular proteins involved in immune regulation. ISG15 influences the stability function and localization of these target proteins enhancing antiviral defenses and potentially modulating immune signaling pathways.

Pathways

ISG15 operates within the interferon signaling pathway and the antiviral response pathway. In the interferon signaling pathway ISG15 interacts with proteins like UBE1L and UBE2L6 which act together for effective ISGylation of targets. In the antiviral response pathway ISG15 boosts the effects of proteins like IRF3 and STAT1 enhancing antiviral responses. These interactions allow ISG15 to effectively contribute to halting viral propagation.

ISG15 connects to autoimmune diseases and certain viral infections. In autoimmune conditions like systemic lupus erythematosus abnormal ISG15 activity can contribute to disease pathology. ISG15 also interacts with proteins such as USP18 which regulates the expression of type I interferons to influence the disease processes. Furthermore ISG15 involvement in viral infections such as hepatitis C highlights its value in antiviral defenses. Understanding these interactions can support the development of therapies targeting ISG15 for managing immune-related conditions.

Product protocols

For this product, it's our understanding that no specific protocols are required. You can visit:

Target data

Ubiquitin-like protein which plays a key role in the innate immune response to viral infection either via its conjugation to a target protein (ISGylation) or via its action as a free or unconjugated protein (PubMed : 27564865). ISGylation involves a cascade of enzymatic reactions involving E1, E2, and E3 enzymes which catalyze the conjugation of ISG15 to a lysine residue in the target protein (PubMed : 33727702). Its target proteins include IFIT1, MX1/MxA, PPM1B, UBE2L6, UBA7, CHMP5, CHMP2A, CHMP4B and CHMP6. Isgylation of the viral sensor IFIH1/MDA5 promotes IFIH1/MDA5 oligomerization and triggers activation of innate immunity against a range of viruses, including coronaviruses, flaviviruses and picornaviruses (PubMed : 33727702). Can also isgylate : EIF2AK2/PKR which results in its activation, RIGI which inhibits its function in antiviral signaling response, EIF4E2 which enhances its cap structure-binding activity and translation-inhibition activity, UBE2N and UBE2E1 which negatively regulates their activity, IRF3 which inhibits its ubiquitination and degradation and FLNB which prevents its ability to interact with the upstream activators of the JNK cascade thereby inhibiting IFNA-induced JNK signaling. Exhibits antiviral activity towards both DNA and RNA viruses, including influenza A, HIV-1 and Ebola virus. Restricts HIV-1 and ebola virus via disruption of viral budding. Inhibits the ubiquitination of HIV-1 Gag and host TSG101 and disrupts their interaction, thereby preventing assembly and release of virions from infected cells. Inhibits Ebola virus budding mediated by the VP40 protein by disrupting ubiquitin ligase activity of NEDD4 and its ability to ubiquitinate VP40. ISGylates influenza A virus NS1 protein which causes a loss of function of the protein and the inhibition of virus replication. The secreted form of ISG15 can : induce natural killer cell proliferation, act as a chemotactic factor for neutrophils and act as a IFN-gamma-inducing cytokine playing an essential role in antimycobacterial immunity. The secreted form acts through the integrin ITGAL/ITGB2 receptor to initiate activation of SRC family tyrosine kinases including LYN, HCK and FGR which leads to secretion of IFNG and IL10; the interaction is mediated by ITGAL (PubMed : 29100055).
See full target information ISG15

Product promise

We are committed to supporting your work with high-quality reagents, and we're here for you every step of the way. In the unlikely event that one of our products does not perform as expected, you're protected by our Product Promise.
For full details, please see our Terms & Conditions

Please note: All products are 'FOR RESEARCH USE ONLY. NOT FOR USE IN DIAGNOSTIC OR THERAPEUTIC PROCEDURES'.

For licensing inquiries, please contact partnerships@abcam.com