JavaScript is disabled in your browser. Please enable JavaScript to view this website.
AB315282

Anti-ISG15 antibody [EPR28318-62] - BSA and Azide free

Be the first to review this product! Submit a review

|

(0 Publication)

Rabbit Recombinant Monoclonal ISG15 antibody. Carrier free. Suitable for IHC-P, ICC/IF, Flow Cyt (Intra), WB, IP, IHC-Fr and reacts with Mouse samples.

View Alternative Names

G1p2, Ucrp, Isg15, Ubiquitin-like protein ISG15, Interferon-induced 15 kDa protein, Interferon-induced 17 kDa protein, Ubiquitin cross-reactive protein, IP17

10 Images
Immunohistochemistry (Formalin/PFA-fixed paraffin-embedded sections) - Anti-ISG15 antibody [EPR28318-62] - BSA and Azide free (AB315282)
  • IHC-P

Supplier Data

Immunohistochemistry (Formalin/PFA-fixed paraffin-embedded sections) - Anti-ISG15 antibody [EPR28318-62] - BSA and Azide free (AB315282)

This data was developed using ab315281, the same antibody clone in a different buffer formulation.

Immunohistochemical analysis of paraffin-embedded Mouse cererbrum tissue labeling ISG15 with ab315281 at 1/2000 (0.262 ug/ml) dilution, followed by a ready to use LeicaDS9800 (Bond™ Polymer Refine Detection).

Low expression : weak staining on mouse cerebrum. The section was incubated with ab315281 for 30 mins at room temperature. The immunostaining was performed on a Leica Biosystems BOND® RX instrument. Counterstained with Hematoxylin.

Secondary antibody only control : Secondary antibody is a ready to use LeicaDS9800 (Bond™ Polymer Refine Detection).

Heat mediated antigen retrieval was performed with Tris-EDTA buffer (pH 9.0, Epitope Retrieval Solution2) for 20 mins.

Immunohistochemistry (Formalin/PFA-fixed paraffin-embedded sections) - Anti-ISG15 antibody [EPR28318-62] - BSA and Azide free (AB315282)
  • IHC-P

Supplier Data

Immunohistochemistry (Formalin/PFA-fixed paraffin-embedded sections) - Anti-ISG15 antibody [EPR28318-62] - BSA and Azide free (AB315282)

This data was developed using ab315281, the same antibody clone in a different buffer formulation.

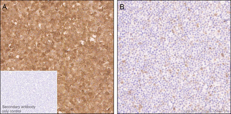
Immunohistochemical analysis of paraffin-embedded (A) RAW 264.7 (mouse abelson murine leukemia virus-induced tumor macrophage) treated with 1 ug/ml Lipopolysaccharides (LPS) for 21 hours, 1 ug/ml Brefeldin A was then added for additional 3 hours (B) Untreated RAW 264.7 tissue labeling ISG15 with ab315281 at 1/2000 (0.262 ug/ml) dilution, followed by a ready to use LeicaDS9800 (Bond™ Polymer Refine Detection).

Positive staining on (A) Raw 264.7 cell pellet treated with 1 ug/ml Lipopolysaccharides (LPS) for 21 hours, 1 ug/ml Brefeldin A was then added for additional 3 hours; weak staining on (B) Untreated RAW 264.7. The section was incubated with ab315281 for 30 mins at room temperature. The immunostaining was performed on a Leica Biosystems BOND® RX instrument. Counterstained with Hematoxylin.

Secondary antibody only control : Secondary antibody is a ready to use LeicaDS9800 (Bond™ Polymer Refine Detection).

Heat mediated antigen retrieval was performed with Tris-EDTA buffer (pH 9.0, Epitope Retrieval Solution2) for 20 mins.

Immunohistochemistry (Formalin/PFA-fixed paraffin-embedded sections) - Anti-ISG15 antibody [EPR28318-62] - BSA and Azide free (AB315282)
  • IHC-P

Supplier Data

Immunohistochemistry (Formalin/PFA-fixed paraffin-embedded sections) - Anti-ISG15 antibody [EPR28318-62] - BSA and Azide free (AB315282)

This data was developed using ab315281, the same antibody clone in a different buffer formulation.

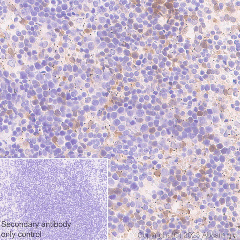
Immunohistochemical analysis of paraffin-embedded Mouse spleen tissue labeling ISG15 with ab315281 at 1/2000 (0.262 ug/ml) dilution, followed by a ready to use LeicaDS9800 (Bond™ Polymer Refine Detection).

Positive staining on mouse spleen. The section was incubated with ab315281 for 30 mins at room temperature. The immunostaining was performed on a Leica Biosystems BOND® RX instrument. Counterstained with Hematoxylin.

Secondary antibody only control : Secondary antibody is a ready to use LeicaDS9800 (Bond™ Polymer Refine Detection).

Heat mediated antigen retrieval was performed with Tris-EDTA buffer (pH 9.0, Epitope Retrieval Solution2) for 20 mins.

Immunohistochemistry (Formalin/PFA-fixed paraffin-embedded sections) - Anti-ISG15 antibody [EPR28318-62] - BSA and Azide free (AB315282)
  • IHC-P

Supplier Data

Immunohistochemistry (Formalin/PFA-fixed paraffin-embedded sections) - Anti-ISG15 antibody [EPR28318-62] - BSA and Azide free (AB315282)

This data was developed using ab315281, the same antibody clone in a different buffer formulation.

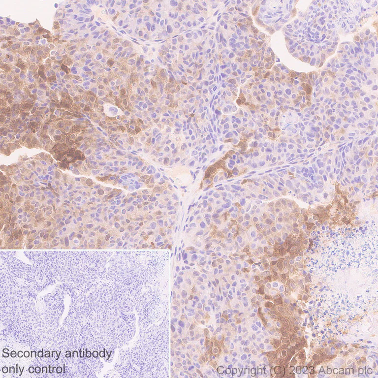
Immunohistochemical analysis of paraffin-embedded Mouse glioblastoma tissue labeling ISG15 with ab315281 at 1/2000 (0.262 ug/ml) dilution, followed by a ready to use LeicaDS9800 (Bond™ Polymer Refine Detection).

Positive staining on mouse glioblastoma. The section was incubated with ab315281 for 30 mins at room temperature. The immunostaining was performed on a Leica Biosystems BOND® RX instrument. Counterstained with Hematoxylin.

Secondary antibody only control : Secondary antibody is a ready to use LeicaDS9800 (Bond™ Polymer Refine Detection).

Heat mediated antigen retrieval was performed with Tris-EDTA buffer (pH 9.0, Epitope Retrieval Solution2) for 20 mins.

Immunohistochemistry (Formalin/PFA-fixed paraffin-embedded sections) - Anti-ISG15 antibody [EPR28318-62] - BSA and Azide free (AB315282)
  • IHC-P

Supplier Data

Immunohistochemistry (Formalin/PFA-fixed paraffin-embedded sections) - Anti-ISG15 antibody [EPR28318-62] - BSA and Azide free (AB315282)

This data was developed using ab315281, the same antibody clone in a different buffer formulation.

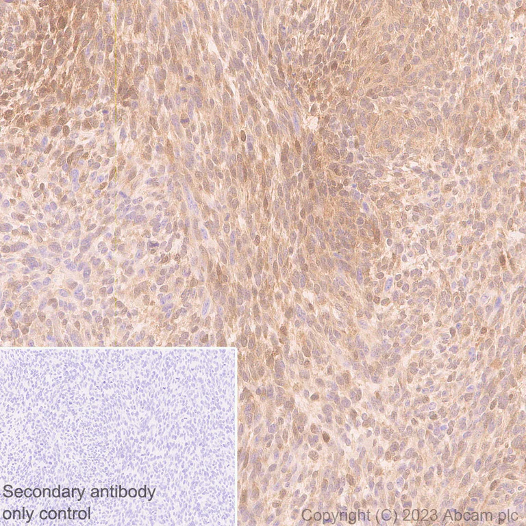
Immunohistochemical analysis of paraffin-embedded Mouse breast cancer tissue labeling ISG15 with ab315281 at 1/2000 (0.262 ug/ml) dilution, followed by a ready to use LeicaDS9800 (Bond™ Polymer Refine Detection).

Positive staining on mouse breast cancer. The section was incubated with ab315281 for 30 mins at room temperature. The immunostaining was performed on a Leica Biosystems BOND® RX instrument. Counterstained with Hematoxylin.

Secondary antibody only control : Secondary antibody is a ready to use LeicaDS9800 (Bond™ Polymer Refine Detection).

Heat mediated antigen retrieval was performed with Tris-EDTA buffer (pH 9.0, Epitope Retrieval Solution2) for 20 mins.

Immunohistochemistry (Frozen sections) - Anti-ISG15 antibody [EPR28318-62] - BSA and Azide free (AB315282)
  • IHC-Fr

Supplier Data

Immunohistochemistry (Frozen sections) - Anti-ISG15 antibody [EPR28318-62] - BSA and Azide free (AB315282)

This data was developed using ab315281, the same antibody clone in a different buffer formulation.

Immunohistochemical analysis of 4% PFA-fixed, 0.2% Triton X-100 permeabilized frozen Mouse spleen (fresh frozen) tissue labeling ISG15 with ab315281 at 1/500 (1.048 ug/ml) dilution followed by ab150081 Goat Anti-Rabbit IgG H&L (Alexa Fluor® 488) preadsorbed at 1/1000 (2 ug/mL) dilution (Green).

Confocal image showing positive staining on Mousee spleen. The nuclear counterstain was DAPI (Blue). The section was incubated with ab315281 for 60 mins at room temperature. The section was then mounted using Fluoromount®. The immunostaining was performed on a Leica Biosystems BOND® RX instrument. Image was taken with a confocal microscope (Leica-Microsystems, TCS SP8). The nuclear counterstain was DAPI (Blue).

Secondary antibody control : Secondary antibody is ab150081 Goat Anti-Rabbit IgG H&L (Alexa Fluor® 488) preadsorbed at 1/1000 (2 ug/mL) dilution.

Immunocytochemistry/ Immunofluorescence - Anti-ISG15 antibody [EPR28318-62] - BSA and Azide free (AB315282)
  • ICC/IF

Supplier Data

Immunocytochemistry/ Immunofluorescence - Anti-ISG15 antibody [EPR28318-62] - BSA and Azide free (AB315282)

This data was developed using ab315281, the same antibody clone in a different buffer formulation.

Immunofluorescent analysis of 4% Paraformaldehyde-fixed, 0.1% TritonX-100 permeabilized Raw 264.7 (mouse Abelson murine leukemia virus-induced tumor macrophage) cells labelling ISG15 with ab315281 at 1/2000 (0.262 ug/ml) dilution, followed by ab150081 Goat Anti-Rabbit IgG H&L (Alexa Fluor® 488) preadsorbed antibody at 1/1000 (2 ug/ml) dilution (Green).

Confocal image showing increased cytoplasmic staining in RAW 264.7 cells treated with Lipopolysaccharide (LPS, 1 μg/mL) for 24 hours, then add Brefeldin A (BFA, 1 μg/mL) for 3 hours. Image was taken with a confocal microscope (Leica-Microsystems, TCS SP8).

ab195889 Anti-alpha Tubulin mouse monoclonal antibody - Microtubule Marker (Alexa Fluor® 594) was used to counterstain tubulin at 1/200 (2.5 ug/ml) dilution (Red). The Nuclear counterstain was DAPI (Blue).

Secondary antibody only control : Secondary antibody is ab150081 Goat Anti-Rabbit IgG H&L (Alexa Fluor® 488) preadsorbed at 1/1000 (2 ug/ml) dilution.

Flow Cytometry (Intracellular) - Anti-ISG15 antibody [EPR28318-62] - BSA and Azide free (AB315282)
  • Flow Cyt (Intra)

Supplier Data

Flow Cytometry (Intracellular) - Anti-ISG15 antibody [EPR28318-62] - BSA and Azide free (AB315282)

This data was developed using ab315281, the same antibody clone in a different buffer formulation.

Flow cytometric analysis of 4% paraformaldehyde fixed 90% methanol permeabilized RAW 264.7 (mouse Abelson murine leukemia virus-induced tumor macrophage) treated with 1 µg/mL LPS for 24h and 1ug/ml BFA for 3 h (Red) / untreated RAW 264.7 (Green) cells labelling ISG15 with ab315281 at 1/5000 dilution (0.01 ug, Red) compared with a Rabbit monoclonal IgG (ab172730) (Black) isotype control and an unlabelled control (cells without incubation with primary antibody and secondary antibody) (Blue).

Goat Anti-Rabbit IgG (Alexa Fluor® 488, ab150081) at 1/5000 dilution was used as the secondary antibody.

Immunoprecipitation - Anti-ISG15 antibody [EPR28318-62] - BSA and Azide free (AB315282)
  • IP

Supplier Data

Immunoprecipitation - Anti-ISG15 antibody [EPR28318-62] - BSA and Azide free (AB315282)

This data was developed using ab315281, the same antibody clone in a different buffer formulation.

ISG15 was immunoprecipitated from 0.35 mg RAW 264.7 (mouse abelson murine leukemia virus-induced tumor macrophage) treated with 1 ug/ml Lipopolysaccharides (LPS) for 21 hours, 1 ug/ml Brefeldin A was then added for additional 3 hours whole cell lysate with ab315281 at 1/30 dilution (2ug in 0.35mg lysates). Western blot was performed on the immunoprecipitate using ab315281 at 1/1000 dilution. VeriBlot for IP secondary antibody(HRP)(ab131366) was used at 1/5000 dilution.

Lane 1 : RAW 264.7 (mouse abelson murine leukemia virus-induced tumor macrophage) treated with 1 ug/ml Lipopolysaccharides (LPS) for 21 hours, 1 ug/ml Brefeldin A was then added for additional 3 hours whole cell lysate

Lane 2 : ab315281 IP in RAW 264.7 (mouse abelson murine leukemia virus-induced tumor macrophage) treated with 1 ug/ml Lipopolysaccharides (LPS) for 21 hours, 1 ug/ml Brefeldin A was then added for additional 3 hours whole cell lysate

Lane 3 : Rabbit monoclonal IgG (ab172730) instead of ab315281 in RAW 264.7 treated with 1 ug/ml Lipopolysaccharides (LPS) for 21 hours, 1 ug/ml Brefeldin A was then added for additional 3 hours whole cell lysate

Blocking and dilution buffer and concentration : 5% NFDM/TBST.

The expression profile/ molecular weight observed is consistent with what has been described in the literature (PMID : 16815975).

All lanes:

Immunoprecipitation - Anti-ISG15 antibody [EPR28318-62] (<a href='/en-us/products/primary-antibodies/isg15-antibody-epr28318-62-ab315281'>ab315281</a>) at 1/30 dilution

All lanes:

RAW 264.7 (mouse abelson murine leukemia virus-induced tumor macrophage) treated with 1 ug/ml Lipopolysaccharides (LPS) for 21 hours, 1 ug/ml Brefeldin A was then added for additional 3 hours whole cell lysate

Secondary

All lanes:

Immunoprecipitation - VeriBlot for IP Detection Reagent (HRP) (<a href='/en-us/products/reagents/veriblot-for-ip-detection-reagent-hrp-ab131366'>ab131366</a>) at 1/5000 dilution

false

Exposure time: 10s

Western blot - Anti-ISG15 antibody [EPR28318-62] - BSA and Azide free (AB315282)
  • WB

Supplier Data

Western blot - Anti-ISG15 antibody [EPR28318-62] - BSA and Azide free (AB315282)

This data was developed using ab315281, the same antibody clone in a different buffer formulation.

Blocking and diluting buffer and concentration : 5% NFDM/TBST.

The expression of ISG15 is upregulated in response to Lipopolysaccharides treatment (PMID : 11854279).

In Western blot, Anti-GAPDH antibody [EPR16891] - Loading Control (ab181602) staining at 1/200000 dilution.

All lanes:

Western blot - Anti-ISG15 antibody [EPR28318-62] (<a href='/en-us/products/primary-antibodies/isg15-antibody-epr28318-62-ab315281'>ab315281</a>) at 1/1000 dilution

Lane 1:

Untreated RAW 264.7 (mouse abelson murine leukemia virus-induced tumor macrophage) whole cell lysate at 20 µg

Lane 2:

RAW 264.7 treated with 1 μg/ml Lipopolysaccharides (LPS) for 21 hours, 1 μg/ml Brefeldin A was then added for additional 3 hours whole cell lysate at 20 µg

Secondary

All lanes:

Western blot - Goat Anti-Rabbit IgG H&L (HRP) (<a href='/en-us/products/secondary-antibodies/goat-rabbit-igg-h-l-hrp-ab97051'>ab97051</a>) at 1/100000 dilution

Observed band size: 17 kDa,36 kDa

false

Exposure time: 10s

Key facts

Host species

Rabbit

Clonality

Monoclonal

Clone number

EPR28318-62

Isotype

IgG

Carrier free

Yes

Reacts with

Mouse

Applications

WB, IHC-P, Flow Cyt (Intra), IP, IHC-Fr, ICC/IF

applications

Immunogen

The exact immunogen used to generate this antibody is proprietary information.

Reactivity data

{ "title": "Reactivity Data", "filters": { "stats": ["", "Species", "Dilution Info", "Notes"], "tabs": { "all-applications": {"fullname" : "All Applications", "shortname": "All Applications"}, "IHCP" : {"fullname" : "Immunohistochemistry (Formalin/PFA-fixed paraffin-embedded sections)", "shortname":"IHC-P"}, "ICCIF" : {"fullname" : "Immunocytochemistry/ Immunofluorescence", "shortname":"ICC/IF"}, "FlowCytIntra" : {"fullname" : "Flow Cytometry (Intracellular)", "shortname":"Flow Cyt (Intra)"}, "WB" : {"fullname" : "Western blot", "shortname":"WB"}, "IP" : {"fullname" : "Immunoprecipitation", "shortname":"IP"}, "IHCFr" : {"fullname" : "Immunohistochemistry (Frozen sections)", "shortname":"IHC-Fr"} }, "product-promise": { "all": "all", "testedAndGuaranteed": "tested", "guaranteed": "expected", "predicted": "predicted", "notRecommended": "not-recommended" } }, "values": { "Human": { "IHCP-species-checked": "notRecommended", "IHCP-species-dilution-info": "", "IHCP-species-notes": "<p></p>", "ICCIF-species-checked": "notRecommended", "ICCIF-species-dilution-info": "", "ICCIF-species-notes": "", "FlowCytIntra-species-checked": "notRecommended", "FlowCytIntra-species-dilution-info": "", "FlowCytIntra-species-notes": "", "WB-species-checked": "notRecommended", "WB-species-dilution-info": "", "WB-species-notes": "<p></p>", "IP-species-checked": "notRecommended", "IP-species-dilution-info": "", "IP-species-notes": "", "IHCFr-species-checked": "notRecommended", "IHCFr-species-dilution-info": "", "IHCFr-species-notes": "" }, "Mouse": { "IHCP-species-checked": "testedAndGuaranteed", "IHCP-species-dilution-info": "", "IHCP-species-notes": "<p></p>", "ICCIF-species-checked": "testedAndGuaranteed", "ICCIF-species-dilution-info": "", "ICCIF-species-notes": "<p></p>", "FlowCytIntra-species-checked": "testedAndGuaranteed", "FlowCytIntra-species-dilution-info": "", "FlowCytIntra-species-notes": "<p></p>", "WB-species-checked": "testedAndGuaranteed", "WB-species-dilution-info": "", "WB-species-notes": "<p></p>", "IP-species-checked": "testedAndGuaranteed", "IP-species-dilution-info": "", "IP-species-notes": "<p></p>", "IHCFr-species-checked": "testedAndGuaranteed", "IHCFr-species-dilution-info": "", "IHCFr-species-notes": "<p></p>" }, "Rat": { "IHCP-species-checked": "notRecommended", "IHCP-species-dilution-info": "", "IHCP-species-notes": "<p></p>", "ICCIF-species-checked": "notRecommended", "ICCIF-species-dilution-info": "", "ICCIF-species-notes": "", "FlowCytIntra-species-checked": "notRecommended", "FlowCytIntra-species-dilution-info": "", "FlowCytIntra-species-notes": "", "WB-species-checked": "notRecommended", "WB-species-dilution-info": "", "WB-species-notes": "<p></p>", "IP-species-checked": "notRecommended", "IP-species-dilution-info": "", "IP-species-notes": "", "IHCFr-species-checked": "notRecommended", "IHCFr-species-dilution-info": "", "IHCFr-species-notes": "" } } }

Product details

ab315282 is the carrier-free version of ab315281.

Patented technology
Our RabMAb® technology is a patented hybridoma-based technology for making rabbit monoclonal antibodies. For details on our patents, please refer to RabMAb® patents.

What are the advantages of a recombinant monoclonal antibody?
This product is a recombinant monoclonal antibody, which offers several advantages including:

  • - High batch-to-batch consistency and reproducibility
  • - Improved sensitivity and specificity
  • - Long-term security of supply
  • - Animal-free batch production

For more information, read more on recombinant antibodies.

Conjugation ready
Our carrier-free antibodies are typically supplied in a PBS-only formulation, purified and free of BSA, sodium azide and glycerol. This conjugation-ready format is designed for use with fluorochromes, metal isotopes, oligonucleotides, and enzymes, which makes them ideal for antibody labelling, functional and cell-based assays, flow-based assays (e.g. mass cytometry) and Multiplex Imaging applications.

Use our conjugation kits for antibody conjugates that are ready-to-use in as little as 20 minutes with 1 minute hands-on-time and 100% antibody recovery: available for fluorescent dyes, HRP, biotin and gold.

Compatibility
This product is compatible with the Maxpar® Antibody Labeling Kit from Fluidigm, without the need for antibody preparation. Maxpar® is a trademark of Fluidigm Canada Inc.

Properties and storage information

Form
Liquid
Purification technique
Affinity purification Protein A
Storage buffer
pH: 7.2 - 7.4 Constituents: PBS
Shipped at conditions
Blue Ice
Appropriate short-term storage conditions
+4°C
Appropriate long-term storage conditions
+4°C

Supplementary information

This supplementary information is collated from multiple sources and compiled automatically.

ISG15 also known as G1P2 is a ubiquitin-like protein with a molecular weight of approximately 17 kDa. This protein gets expressed highly in response to interferon stimulation particularly in white blood cells such as macrophages and monocytes. It consists of two ubiquitin-like domains contributing to its functionality. ISG15 performs its mechanical role by adding itself to target proteins in a process known as ISGylation. This process resembles ubiquitination and serves to modify the functions of targeted proteins.
Biological function summary

ISG15 plays an important role in the immune response to viral infections. It acts as an antiviral agent by inhibiting viral replication. It interacts with and becomes a part of protein complexes modifying cellular proteins involved in immune regulation. ISG15 influences the stability function and localization of these target proteins enhancing antiviral defenses and potentially modulating immune signaling pathways.

Pathways

ISG15 operates within the interferon signaling pathway and the antiviral response pathway. In the interferon signaling pathway ISG15 interacts with proteins like UBE1L and UBE2L6 which act together for effective ISGylation of targets. In the antiviral response pathway ISG15 boosts the effects of proteins like IRF3 and STAT1 enhancing antiviral responses. These interactions allow ISG15 to effectively contribute to halting viral propagation.

ISG15 connects to autoimmune diseases and certain viral infections. In autoimmune conditions like systemic lupus erythematosus abnormal ISG15 activity can contribute to disease pathology. ISG15 also interacts with proteins such as USP18 which regulates the expression of type I interferons to influence the disease processes. Furthermore ISG15 involvement in viral infections such as hepatitis C highlights its value in antiviral defenses. Understanding these interactions can support the development of therapies targeting ISG15 for managing immune-related conditions.

Product protocols

For this product, it's our understanding that no specific protocols are required. You can visit:

Target data

Ubiquitin-like protein which plays a key role in the innate immune response to viral infection either via its conjugation to a target protein (ISGylation) or via its action as a free or unconjugated protein. ISGylation involves a cascade of enzymatic reactions involving E1, E2, and E3 enzymes which catalyze the conjugation of ISG15 to a lysine residue in the target protein. Its target proteins include SERPINA3G/SPI2A, JAK1, MAPK3/ERK1, PLCG1, TRIM25, STAT5A, MAPK1/ERK2 and globin. Isgylation of the viral sensor IFIH1/MDA5 promotes IFIH1/MDA5 oligomerization and triggers activation of innate immunity against a range of viruses, including coronaviruses, flaviviruses and picornaviruses. Can also isgylate : RIGI which inhibits its function in antiviral signaling response, IRF3 which inhibits its ubiquitination and degradation as well as EIF4E2 which enhances its cap structure-binding activity and translation-inhibition activity. Exhibits antiviral activity towards both DNA and RNA viruses, including influenza A and B virus, sindbis virus (SV) and herpes simplex type-1 (HHV-1). Plays a significant role in the control of neonatal Chikungunya virus (CHIKV) infection by acting as a putative immunomodulator of pro-inflammatory cytokines. Protects mice against the consequences of Chikungunya virus infection by down-regulating the pathogenic cytokine response, often denoted as the cytokine storm. Plays a role in erythroid differentiation. The secreted form of ISG15 can : induce natural killer cell proliferation, act as a chemotactic factor for neutrophils and act as a IFN-gamma-inducing cytokine playing an essential role in antimycobacterial immunity. The secreted form acts through the integrin ITGAL/ITGB2 receptor to initiate activation of SRC family tyrosine kinases including LYN, HCK and FGR which leads to secretion of IFNG and IL10; the interaction is mediated by ITGAL (By similarity).
See full target information Isg15

Product promise

We are committed to supporting your work with high-quality reagents, and we're here for you every step of the way. In the unlikely event that one of our products does not perform as expected, you're protected by our Product Promise.
For full details, please see our Terms & Conditions

Please note: All products are 'FOR RESEARCH USE ONLY. NOT FOR USE IN DIAGNOSTIC OR THERAPEUTIC PROCEDURES'.

For licensing inquiries, please contact partnerships@abcam.com