JavaScript is disabled in your browser. Please enable JavaScript to view this website.
AB154393

Anti-ISG20 antibody

5

(1 Review)

|

(3 Publications)

Rabbit Polyclonal ISG20 antibody. Suitable for IHC-P, WB, ICC/IF and reacts with Human samples. Cited in 3 publications. Immunogen corresponding to Recombinant Fragment Protein within Human ISG20 aa 1 to C-terminus.

View Alternative Names

HEM45, ISG20, Interferon-stimulated gene 20 kDa protein, Estrogen-regulated transcript 45 protein, Promyelocytic leukemia nuclear body-associated protein ISG20

4 Images
Immunocytochemistry/ Immunofluorescence - Anti-ISG20 antibody (AB154393)
  • ICC/IF

Unknown

Immunocytochemistry/ Immunofluorescence - Anti-ISG20 antibody (AB154393)

Immunofluorescence analysis of paraformaldehyde-fixed HeLa cells labelling ISG20 with ab154393 at a 1/500 dilution. Co-stained with Hoechst 33342.

Immunohistochemistry (Formalin/PFA-fixed paraffin-embedded sections) - Anti-ISG20 antibody (AB154393)
  • IHC-P

Unknown

Immunohistochemistry (Formalin/PFA-fixed paraffin-embedded sections) - Anti-ISG20 antibody (AB154393)

Immunohistochemical analysis of paraffin-embedded BT483 xenograft, labelling ISG20 with ab154393 at 1/500 dilution.

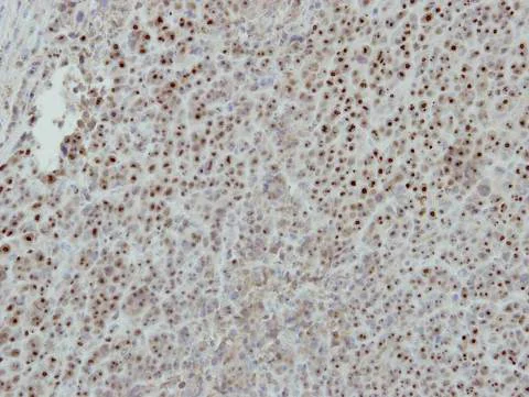
Immunohistochemistry (Formalin/PFA-fixed paraffin-embedded sections) - Anti-ISG20 antibody (AB154393)
  • IHC-P

AbReview51270****

Immunohistochemistry (Formalin/PFA-fixed paraffin-embedded sections) - Anti-ISG20 antibody (AB154393)

Immunohistochemical analysis of formaldehyde-fixed paraffin-embedded human non-Hodgkin lymphoma tissue sections, labelling ISG20 with ab154393 at a dilution of 1/50 incubated for 12 hours at 4°C. Heat mediated antigen retrival was with citrate buffer at pH 6.0 incubated for 15 minutes. Blocking was a with 5% serum incubated for 30 minutes at 25°C. Secondary was a Goat anti-rabbit polyclonal CY3® conjugate at 1/200. Counterstain was with DAPI against nuclear DNA.

Image is courtesy of an AbReview submitted by Dr Assia Angelova.

Western blot - Anti-ISG20 antibody (AB154393)
  • WB

Supplier Data

Western blot - Anti-ISG20 antibody (AB154393)

Samples were separated by 12% SDS-PAGE. The signal was developed with Trident ECL plus-Enhanced.

All lanes:

Western blot - Anti-ISG20 antibody (ab154393) at 1/1000 dilution

Lane 1:

Jurkat whole cell extracts at 30 µg

Lane 2:

Raji whole cell extracts at 30 µg

Lane 3:

NCI-H929 whole cell extracts at 30 µg

Secondary

All lanes:

HRP-conjugated anti-rabbit IgG antibody

Predicted band size: 20 kDa

true

Key facts

Host species

Rabbit

Clonality

Polyclonal

Isotype

IgG

Carrier free

No

Reacts with

Human

Applications

ICC/IF, IHC-P, WB

applications

Immunogen

Recombinant Fragment Protein within Human ISG20 aa 1 to C-terminus. The exact immunogen used to generate this antibody is proprietary information.

Q96AZ6

Reactivity data

{ "title": "Reactivity Data", "filters": { "stats": ["", "Species", "Dilution Info", "Notes"], "tabs": { "all-applications": {"fullname" : "All Applications", "shortname": "All Applications"}, "IHCP" : {"fullname" : "Immunohistochemistry (Formalin/PFA-fixed paraffin-embedded sections)", "shortname":"IHC-P"}, "WB" : {"fullname" : "Western blot", "shortname":"WB"}, "ICCIF" : {"fullname" : "Immunocytochemistry/ Immunofluorescence", "shortname":"ICC/IF"} }, "product-promise": { "all": "all", "testedAndGuaranteed": "tested", "guaranteed": "expected", "predicted": "predicted", "notRecommended": "not-recommended" } }, "values": { "Human": { "IHCP-species-checked": "testedAndGuaranteed", "IHCP-species-dilution-info": "1/100 - 1/1000", "IHCP-species-notes": "<p></p> Perform heat-mediated antigen retrieval with citrate buffer pH 6 before commencing with IHC staining protocol.", "WB-species-checked": "testedAndGuaranteed", "WB-species-dilution-info": "1/500 - 1/3000", "WB-species-notes": "<p></p>", "ICCIF-species-checked": "testedAndGuaranteed", "ICCIF-species-dilution-info": "1/100 - 1/1000", "ICCIF-species-notes": "<p></p>" }, "Pig": { "IHCP-species-checked": "predicted", "IHCP-species-dilution-info": "", "IHCP-species-notes": "", "WB-species-checked": "predicted", "WB-species-dilution-info": "", "WB-species-notes": "", "ICCIF-species-checked": "predicted", "ICCIF-species-dilution-info": "", "ICCIF-species-notes": "" } } }

Properties and storage information

Form
Liquid
Purification technique
Affinity purification Immunogen
Storage buffer
pH: 7 Preservative: 0.01% Thimerosal (merthiolate) Constituents: 20% Glycerol (glycerin, glycerine), 1.21% Tris, 0.75% Glycine
Shipped at conditions
Blue Ice
Appropriate short-term storage conditions
+4°C
Appropriate long-term storage conditions
-20°C
Aliquoting information
Upon delivery aliquot
Storage information
Avoid freeze / thaw cycle

Supplementary information

This supplementary information is collated from multiple sources and compiled automatically.

ISG20 also known as Interferon Stimulated Gene 20 kDa is an exonuclease enzyme with a molecular weight of around 20 kilodaltons. It degrades single-stranded RNA and DNA primarily involved in antiviral defense by targeting viral RNAs. ISG20 is widely expressed in several human tissues with high expression levels in immune-related cells and tissues such as lymph nodes spleen and blood leukocytes. This protein becomes strongly upregulated in response to interferons linking it to the body's innate immune response.
Biological function summary

ISG20 serves as an antiviral factor by degrading viral genomes to restrict infection. It does not work alone; often it functions as part of a larger antiviral mechanism alongside other interferon-induced proteins like PKR and OAS. Through its RNA-degrading activity ISG20 contributes significantly to controlling the spread of viruses by breaking down the RNA from invading organisms particularly RNA viruses. This makes ISG20 an important player in reducing viral loads during infections.

Pathways

ISG20 is mainly associated with the interferon signaling pathway where it acts downstream to execute immune processes. It interacts with and complements other antiviral proteins such as RNase L which also plays a role in degrading RNA during viral responses. Additionally ISG20 links to the broader regulation of apoptosis and cell death pathways showing how it assists in eliminating infected cells to prevent further viral proliferation.

ISG20 has implications in viral infections such as hepatitis C and influenza. Its role in degrading viral RNA positions it as a potential therapeutic target for mitigating these infections. During hepatitis C infection ISG20 works in conjunction with proteins like IRF9 to modulate immune response and limit virus replication. Researchers study ISG20 for its potential contribution to the severity of flu infections where its activity may influence the immune system's effectiveness in combating the influenza virus.

Product protocols

For this product, it's our understanding that no specific protocols are required. You can visit:

Target data

Interferon-induced antiviral exoribonuclease that acts mainly on single-stranded RNA (PubMed : 11401564, PubMed : 12594219, PubMed : 16033969). Exhibits antiviral activity against RNA viruses including hepatitis C virus (HCV), hepatitis A virus (HAV) and yellow fever virus (YFV) (PubMed : 16514659, PubMed : 21036379). Inhibition of several viruses such as chikungunya virus (CHIKV) does not involve the degradation of viral RNAs, but rather the inhibition of translation of viral proteins (By similarity). Exerts a translational control over a large panel of non-self RNA substrates while sparing endogenous transcripts. This activity correlates with the protein's ability to localize in cytoplasmic processing bodies (PubMed : 31600344). May also act as master regulator of over hundred interferon stimulated genes leading to viral genome translation inhibition (By similarity). May play additional roles in the maturation of snRNAs and rRNAs, and in ribosome biogenesis (PubMed : 16514659).
See full target information ISG20

Publications (3)

Recent publications for all applications. Explore the full list and refine your search

EMBO reports 22:e49568 PubMed33969602

2021

Interferon-induced degradation of the persistent hepatitis B virus cccDNA form depends on ISG20.

Applications

Unspecified application

Species

Unspecified reactive species

Daniela Stadler,Martin Kächele,Alisha N Jones,Julia Hess,Christian Urban,Jessica Schneider,Yuchen Xia,Andreas Oswald,Firat Nebioglu,Romina Bester,Felix Lasitschka,Marc Ringelhan,Chunkyu Ko,Wen-Min Chou,Arie Geerlof,Maarten A van de Klundert,Jochen M Wettengel,Peter Schirmacher,Mathias Heikenwälder,Sabrina Schreiner,Ralf Bartenschlager,Andreas Pichlmair,Michael Sattler,Kristian Unger,Ulrike Protzer

Genes to cells : devoted to molecular & cellular mechanisms 26:18-30 PubMed33147372

2020

ISG20 and nuclear exosome promote destabilization of nascent transcripts for spliceosomal U snRNAs and U1 variants.

Applications

Unspecified application

Species

Unspecified reactive species

Takahito Kawamoto,Rei Yoshimoto,Ichiro Taniguchi,Makoto Kitabatake,Mutsuhito Ohno

Intractable & rare diseases research 6:269-273 PubMed29259855

2017

Estradiol and proinflammatory cytokines stimulate ISG20 expression in synovial fibroblasts of patients with osteoarthritis.

Applications

Unspecified application

Species

Unspecified reactive species

Zhiwei Zheng,Lin Wang,Jihong Pan
View all publications

Product promise

We are committed to supporting your work with high-quality reagents, and we're here for you every step of the way. In the unlikely event that one of our products does not perform as expected, you're protected by our Product Promise.
For full details, please see our Terms & Conditions

Please note: All products are 'FOR RESEARCH USE ONLY. NOT FOR USE IN DIAGNOSTIC OR THERAPEUTIC PROCEDURES'.

For licensing inquiries, please contact partnerships@abcam.com