JavaScript is disabled in your browser. Please enable JavaScript to view this website.
AB86472

Anti-Islet 1 antibody [1H9] - Neural Stem Cell Marker

4

(1 Review)

|

(21 Publications)

Anti-Islet 1 antibody [1H9] (ab86472) is a mouse monoclonal antibody detecting Islet 1 in Western Blot, Flow Cytometry, IHC-P, ICC/IF. Suitable for Human,.

- KO validated for confirmed specificity
- Over 10 publications
- Trusted since 2009

View Alternative Names

Insulin gene enhancer protein ISL-1, Islet-1, ISL1

6 Images
Western blot - Anti-Islet 1 antibody [1H9] - Neural Stem Cell Marker (AB86472)
  • WB

Lab

Western blot - Anti-Islet 1 antibody [1H9] - Neural Stem Cell Marker (AB86472)

Lanes 1 - 4 : Merged signal (red and green). Green - ab86472 observed at 40 kDa. Red - loading control, ab176560, observed at 50 kDa.

ab86472 was shown to recognize Islet 1 in wild-type HAP1 cells as signal was lost at the expected MW in Islet 1 knockout cells. Additional cross-reactive bands were observed in the wild-type and knockout cells. Wild-type and Islet 1 knockout samples were subjected to SDS-PAGE. ab86472 and ab176560 (Rabbit anti-alpha Tubulin loading control) were incubated overnight at 4°C at 1/500 dilution and 1/20000 dilution respectively. Blots were developed with Goat anti-Mouse IgG H&L (IRDye® 800CW) preabsorbed ab216772 and Goat anti-Rabbit IgG H&L (IRDye® 680RD) preabsorbed ab216777 secondary antibodies at 1/20000 dilution for 1 hour at room temperature before imaging.

All lanes:

Western blot - Anti-Islet 1 antibody [1H9] - Neural Stem Cell Marker (ab86472) at 1/500 dilution

Lane 1:

Wild-type HAP1 whole cell lysate at 20 µg

Lane 2:

ISL1 (Islet 1) knockout HAP1 whole cell lysate at 20 µg

Lane 3:

SH-SY5Y whole cell lysate at 20 µg

Lane 4:

HepG2 whole cell lysate at 20 µg

Predicted band size: 39 kDa

Observed band size: 40 kDa

false

Flow Cytometry - Anti-Islet 1 antibody [1H9] - Neural Stem Cell Marker (AB86472)
  • Flow Cyt

Unknown

Flow Cytometry - Anti-Islet 1 antibody [1H9] - Neural Stem Cell Marker (AB86472)

Overlay histogram showing SH-SY5Y cells stained with ab86472 (red line). The cells were fixed with 80% methanol (5 min) and then permeabilized with 0.1% PBS-Tween for 20 min. The cells were then incubated in 1x PBS / 10% normal goat serum / 0.3M glycine to block non-specific protein-protein interactions followed by the antibody (ab86472, 1/50 dilution) for 30 min at 22°C. The secondary antibody used was DyLight® 488 goat anti-mouse IgG (H+L) (ab96879) at 1/500 dilution for 30 min at 22°C. Isotype control antibody (black line) was mouse IgG1 [ICIGG1] (ab91353, 2μg/1x10^6 cells) used under the same conditions. Acquisition of >5,000 events was performed. This antibody gave a positive result in SH-SY5Y cells fixed with 4% paraformaldehyde (10 min)/permeabilized in 0.1% PBS-Tween for 20 min used under the same conditions.

Immunohistochemistry (Formalin/PFA-fixed paraffin-embedded sections) - Anti-Islet 1 antibody [1H9] - Neural Stem Cell Marker (AB86472)
  • IHC-P

Unknown

Immunohistochemistry (Formalin/PFA-fixed paraffin-embedded sections) - Anti-Islet 1 antibody [1H9] - Neural Stem Cell Marker (AB86472)

ab86472 at a 1/200 dilution staining Islet 1 in human lung cancer tissue. DAB staining shows nuclear localisation.

Immunocytochemistry/ Immunofluorescence - Anti-Islet 1 antibody [1H9] - Neural Stem Cell Marker (AB86472)
  • ICC/IF

Unknown

Immunocytochemistry/ Immunofluorescence - Anti-Islet 1 antibody [1H9] - Neural Stem Cell Marker (AB86472)

Confocal immunofluorescence analysis of HEK293 cells trasfected with full-length Islet 1-hIgGFc using ab86472 at 1/150 dilution (green). Blue : DRAQ5 fluorescent DNA dye.

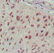
Immunohistochemistry (Formalin/PFA-fixed paraffin-embedded sections) - Anti-Islet 1 antibody [1H9] - Neural Stem Cell Marker (AB86472)
  • IHC-P

Unknown

Immunohistochemistry (Formalin/PFA-fixed paraffin-embedded sections) - Anti-Islet 1 antibody [1H9] - Neural Stem Cell Marker (AB86472)

ab86472 at a 1/200 dilution staining Islet 1 in human cervical carcinoma tissue. DAB staining shows nuclear localization.

Western blot - Anti-Islet 1 antibody [1H9] - Neural Stem Cell Marker (AB86472)
  • WB

Unknown

Western blot - Anti-Islet 1 antibody [1H9] - Neural Stem Cell Marker (AB86472)

Note : The molecular weight is larger than expected, as the recombinant protein is not the endogenouse protein, but rather the fc-fusion protein

All lanes:

Western blot - Anti-Islet 1 antibody [1H9] - Neural Stem Cell Marker (ab86472) at 1/500 dilution

All lanes:

HEK293 cells transfected with full length Islet 1 (aa1-349)-hIgGFc

Predicted band size: 39 kDa

false

Key facts

Host species

Mouse

Clonality

Monoclonal

Clone number

1H9

Isotype

IgG1

Carrier free

No

Reacts with

Human

Applications

IHC-P, Flow Cyt, WB, ICC/IF

applications

Immunogen

Recombinant Fragment Protein within Human ISL1 aa 150 to C-terminus. The exact immunogen used to generate this antibody is proprietary information.

P61371

Specificity

In western blot, we observe a specific band at ~40kDa which is not seen in KO cell lines. A cross-reactive band was observed in the wild-type and knockout cells. The additional band below this band of interest is seen at ~38kDa in both the WT and KO cells. We are unsure as to the identity of these extra bands.

Reactivity data

{ "title": "Reactivity Data", "filters": { "stats": ["", "Species", "Dilution Info", "Notes"], "tabs": { "all-applications": {"fullname" : "All Applications", "shortname": "All Applications"}, "FlowCyt" : {"fullname" : "Flow Cytometry", "shortname":"Flow Cyt"}, "WB" : {"fullname" : "Western blot", "shortname":"WB"}, "IHCP" : {"fullname" : "Immunohistochemistry (Formalin/PFA-fixed paraffin-embedded sections)", "shortname":"IHC-P"}, "ICCIF" : {"fullname" : "Immunocytochemistry/ Immunofluorescence", "shortname":"ICC/IF"} }, "product-promise": { "all": "all", "testedAndGuaranteed": "tested", "guaranteed": "expected", "predicted": "predicted", "notRecommended": "not-recommended" } }, "values": { "Human": { "FlowCyt-species-checked": "testedAndGuaranteed", "FlowCyt-species-dilution-info": "1/50 - 1/100", "FlowCyt-species-notes": "<p><a href='/en-us/products/primary-antibodies/mouse-igg1-kappa-monoclonal-15-6e10a7-isotype-control-ab170190'>ab170190</a> - Mouse monoclonal IgG1, is suitable for use as an isotype control with this antibody.</p>", "WB-species-checked": "testedAndGuaranteed", "WB-species-dilution-info": "1/500 - 1/2000", "WB-species-notes": "<p></p>", "IHCP-species-checked": "testedAndGuaranteed", "IHCP-species-dilution-info": "1/200 - 1/1000", "IHCP-species-notes": "<p></p>", "ICCIF-species-checked": "testedAndGuaranteed", "ICCIF-species-dilution-info": "1/200 - 1/1000", "ICCIF-species-notes": "<p></p>" }, "Transfected cell lysate - Human": { "FlowCyt-species-checked": "notRecommended", "FlowCyt-species-dilution-info": "", "FlowCyt-species-notes": "", "WB-species-checked": "testedAndGuaranteed", "WB-species-dilution-info": "1/500 - 1/2000", "WB-species-notes": "<p></p>", "IHCP-species-checked": "notRecommended", "IHCP-species-dilution-info": "", "IHCP-species-notes": "", "ICCIF-species-checked": "notRecommended", "ICCIF-species-dilution-info": "", "ICCIF-species-notes": "" } } }

Product details

What is this antibody validated in?
Anti-Islet 1 antibody [1H9] (ab86472) is a mouse monoclonal antibody and is validated for use in Western Blot (WB), Flow Cytometry (Flow Cyt), Immunohistochemistry (IHC-P), Immunocytochemistry/immunofluorescence (ICC/IF) in Human, samples.

What is the molecular weight of Islet 1?
Anti-Islet 1 [1H9] (ab86472) specifically detects a band for Islet 1 (UniProt: P61371) at a molecular weight of 39kDa.

Trusted by the scientific community
Anti-Islet 1 [1H9] (ab86472) was first used in a scientific publication in 2009 and has been cited over 10 times in peer-reviewed journals.

Specificity confirmed
The specificity of Anti-Islet 1 antibody [1H9] (ab86472) has been confirmed by Western blot testing in ISL1 Knockout HAP1 cells.

Properties and storage information

Form
Liquid
Purification technique
Affinity purification Protein G
Purification notes
Purified from tissue culture supernatant.
Storage buffer
Preservative: 0.05% Sodium azide Constituents: PBS
Shipped at conditions
Blue Ice
Appropriate short-term storage conditions
+4°C
Appropriate long-term storage conditions
-20°C
Aliquoting information
Upon delivery aliquot
Storage information
Avoid freeze / thaw cycle

Supplementary information

This supplementary information is collated from multiple sources and compiled automatically.

Islet 1 also known as ISL1 is a LIM-homeodomain transcription factor with a molecular mass of approximately 38 kDa. It plays an important role in regulating gene expression during the development of the nervous system and pancreas. You can find Islet 1 predominantly in motor neurons pancreatic beta cells and cardiac muscle cells. Its expression is important during embryonic stages for cell differentiation and maturation. Researchers use "Isl 1 neuronal marker" antibodies to identify this protein's presence in tissue.
Biological function summary

Islet 1 is involved in the differentiation and survival of various cell types. As part of a transcription complex it regulates downstream target genes essential for the development of motor neurons and cardiac muscle. It also contributes significantly to the developmental pathways of insulin-producing beta cells in the pancreas. The ISL1 marker is therefore an important tool for studying cell lineage and fate in developmental biology.

Pathways

Islet 1 is involved in key developmental signaling pathways including the Notch signaling and Wnt signaling pathways. In these pathways Islet 1 collaborates with other proteins like Lhx3 and Ngn2 to ensure proper gene activation for neuronal and cardiac development. Wnt signaling affects the expression of isl 1 marker genes contributing to precise spatial and temporal regulation during embryogenesis.

Islet 1 has links to congenital heart defects and type 2 diabetes. Mutations or altered expression of this protein can disrupt pancreatic beta cell function and motor neuron development. In congenital heart disease the interaction of Islet 1 with proteins like Nkx2.5 is critical. Its role in type 2 diabetes ties with the functioning of other proteins involved in insulin secretion making it a potential target for therapeutic intervention in these conditions.

Product protocols

For this product, it's our understanding that no specific protocols are required. You can visit:

Target data

DNA-binding transcriptional activator. Recognizes and binds to the consensus octamer binding site 5'-ATAATTAA-3' in promoter of target genes. Plays a fundamental role in the gene regulatory network essential for retinal ganglion cell (RGC) differentiation. Cooperates with the transcription factor POU4F2 to achieve maximal levels of expression of RGC target genes and RGC fate specification in the developing retina. Involved in the specification of motor neurons in cooperation with LHX3 and LDB1 (By similarity). Binds to insulin gene enhancer sequences (By similarity). Essential for heart development. Marker of one progenitor cell population that give rise to the outflow tract, right ventricle, a subset of left ventricular cells, and a large number of atrial cells as well, its function is required for these progenitors to contribute to the heart. Controls the expression of FGF and BMP growth factors in this cell population and is required for proliferation and survival of cells within pharyngeal foregut endoderm and adjacent splanchnic mesoderm as well as for migration of cardiac progenitors into the heart (By similarity).
See full target information ISL1

Publications (21)

Recent publications for all applications. Explore the full list and refine your search

Cancer cell international 25:322 PubMed41024119

2025

Transcription factor MYB regulates glycolysis to promote the transfer and malignant progression of gastric cancer through the SSBP2/ISL1 axis.

Applications

Unspecified application

Species

Unspecified reactive species

Zhenni Sun,Mi Zhou,Yasai Yao,Xuehong Chen,Tao Qin,Yafei Han,Lu Yue,Ruyong Yao

Scientific reports 14:22909 PubMed39358471

2024

EZH2 specifically regulates ISL1 during embryonic urinary tract formation.

Applications

Unspecified application

Species

Unspecified reactive species

Enrico Mingardo,Jeshurun C Kalanithy,Gabriel Dworschak,Nina Ishorst,Öznur Yilmaz,Tobias Lindenberg,Ronja Hollstein,Tim Felger,Pierre-Olivier Angrand,Heiko Reutter,Benjamin Odermatt

Cell proliferation 56:e13492 PubMed37199067

2023

An aggregation of human embryonic and trophoblast stem cells reveals the role of trophectoderm on epiblast differentiation.

Applications

Unspecified application

Species

Unspecified reactive species

Xulun Wu,Wentao Zhao,Hao Wu,Qiancheng Zhang,Yiming Wang,Kunyuan Yu,Jinglei Zhai,Fan Mo,Meijiao Wang,Shiwen Li,Xili Zhu,Xiaoyan Liang,Baoyang Hu,Guang-Hui Liu,Jun Wu,Hongmei Wang,Fan Guo,Leqian Yu

The Journal of clinical endocrinology and metabolism 107:e4154-e4158 PubMed35904487

2022

Early Detection of Relapse by ctDNA Sequencing in a Patient with Metastatic Thymic Tumor and MEN1 Mosaicism.

Applications

Unspecified application

Species

Unspecified reactive species

Arnaud Lagarde,Lauriane Le Collen,Camille Boulagnon,Hedia Brixi,Anne Durlach,Grégory Mougel,Thomas Cuny,Brigitte Delemer,Anne Barlier,Pauline Romanet

Frontiers in integrative neuroscience 16:855071 PubMed35669734

2022

Validation of Functional Connectivity of Engineered Neuromuscular Junction With Recombinant Monosynaptic Pseudotyped ΔG-Rabies Virus Tracing.

Applications

Unspecified application

Species

Unspecified reactive species

Ulrich Stefan Bauer,Vegard Fiskum,Rajeevkumar Raveendran Nair,Rosanne van de Wijdeven,Clifford Kentros,Ioanna Sandvig,Axel Sandvig

Scientific reports 11:21722 PubMed34741076

2021

Improving motor neuron-like cell differentiation of hEnSCs by the combination of epothilone B loaded PCL microspheres in optimized 3D collagen hydrogel.

Applications

Unspecified application

Species

Unspecified reactive species

Narges Mahmoodi,Jafar Ai,Zahra Hassannejad,Somayeh Ebrahimi-Barough,Elham Hasanzadeh,Houra Nekounam,Alexander R Vaccaro,Vafa Rahimi-Movaghar

Nature communications 12:3359 PubMed34099715

2021

TET1-mediated DNA hydroxymethylation regulates adult remyelination in mice.

Applications

Unspecified application

Species

Unspecified reactive species

Sarah Moyon,Rebecca Frawley,Damien Marechal,Dennis Huang,Katy L H Marshall-Phelps,Linde Kegel,Sunniva M K Bøstrand,Boguslawa Sadowski,Yong-Hui Jiang,David A Lyons,Wiebke Möbius,Patrizia Casaccia

Cell proliferation 54:e13041 PubMed33942933

2021

Therapeutic effects of CXCR4 subpopulation of transgene-free induced cardiosphere-derived cells on experimental myocardial infarction.

Applications

Unspecified application

Species

Unspecified reactive species

Jianyong Xu,Huimei Wu,Zhigang Mai,Junbo Yi,Xianqi Wang,Lingyun Li,Zhong Huang

The Malaysian journal of medical sciences : MJMS 27:37-45 PubMed32158343

2020

The Role of ISL1 and LHX5 LIM Homeobox Genes in Bladder Tumourigenesis.

Applications

Unspecified application

Species

Unspecified reactive species

Mohd Khairul Anuar Md Akhir,Chan Soon Choy,Maizaton Atmadini Abdullah,Fauzah Abd Ghani,Abhi Veerakumarasivam,Huzlinda Hussin

Cell biology international 44:1168-1183 PubMed32022385

2020

Microtubule stabilizer epothilone B as a motor neuron differentiation agent for human endometrial stem cells.

Applications

Unspecified application

Species

Unspecified reactive species

Narges Mahmoodi,Jafar Ai,Somayeh Ebrahimi-Barough,Zahra Hassannejad,Elham Hasanzadeh,Arefeh Basiri,Alexander R Vaccaro,Vafa Rahimi-Movaghar
View all publications

Product promise

We are committed to supporting your work with high-quality reagents, and we're here for you every step of the way. In the unlikely event that one of our products does not perform as expected, you're protected by our Product Promise.
For full details, please see our Terms & Conditions

Please note: All products are 'FOR RESEARCH USE ONLY. NOT FOR USE IN DIAGNOSTIC OR THERAPEUTIC PROCEDURES'.

For licensing inquiries, please contact partnerships@abcam.com