JavaScript is disabled in your browser. Please enable JavaScript to view this website.
AB178400

Anti-Islet 1 antibody [EPR10362] - Neural Stem Cell Marker

  • BOND RX™ Validated
  • RabMAb
  • Recombinant
  • KO Validated
  • 20ul selling size
  • What is this?

5

(1 Review)

|

(10 Publications)

Anti-Islet 1 antibody [EPR10362] (ab178400) is a rabbit monoclonal antibody detecting Islet 1 in Western Blot, IP, IHC-P. Suitable for Human.

- KO validated for confirmed specificity
- Biophysical QC for unrivalled batch-batch consistency

View Alternative Names

Insulin gene enhancer protein ISL-1, Islet-1, ISL1

10 Images
Immunohistochemistry (Formalin/PFA-fixed paraffin-embedded sections) - Anti-Islet 1 antibody [EPR10362] - Neural Stem Cell Marker (AB178400)
  • IHC-P

Unknown

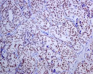
Immunohistochemistry (Formalin/PFA-fixed paraffin-embedded sections) - Anti-Islet 1 antibody [EPR10362] - Neural Stem Cell Marker (AB178400)

Immunohistochemistry (Formalin/PFA-fixed paraffin-embedded sections) analysis of human pancreas tissue sections labeling Islet 1 with purified ab178400 at 1/6000 dilution (0.02 µg/ml). Perform heat mediated antigen retrieval using ab93684 (Tris/EDTA buffer, pH 9.0). ImmunoHistoProbe one step HRP Polymer (ready to use) was used as the secondary antibody. Secondary only control : PBS instead of the primary antibody. Hematoxylin was used as a counterstain.

Immunohistochemistry (Formalin/PFA-fixed paraffin-embedded sections) - Anti-Islet 1 antibody [EPR10362] - Neural Stem Cell Marker (AB178400)
  • IHC-P

Supplier Data

Immunohistochemistry (Formalin/PFA-fixed paraffin-embedded sections) - Anti-Islet 1 antibody [EPR10362] - Neural Stem Cell Marker (AB178400)

Immunohistochemical analysis of formalin-fixed, paraffin-embedded, human small cell lung carcinoma tissue labeling Islet 1 with unpurified ab178400 at a 1/250 dilution.

Perform heat mediated antigen retrieval before commencing with IHC staining protocol.

Immunohistochemistry (Formalin/PFA-fixed paraffin-embedded sections) - Anti-Islet 1 antibody [EPR10362] - Neural Stem Cell Marker (AB178400)
  • IHC-P

Supplier Data

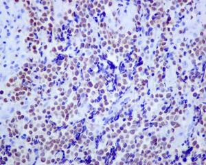
Immunohistochemistry (Formalin/PFA-fixed paraffin-embedded sections) - Anti-Islet 1 antibody [EPR10362] - Neural Stem Cell Marker (AB178400)

Immunohistochemical analysis of formalin-fixed, paraffin-embedded, human gastric neuroendocrine carcinoma tissue labeling Islet 1 with unpurified ab178400 at a 1/250 dilution.

Perform heat mediated antigen retrieval before commencing with IHC staining protocol.

Immunoprecipitation - Anti-Islet 1 antibody [EPR10362] - Neural Stem Cell Marker (AB178400)
  • IP

Unknown

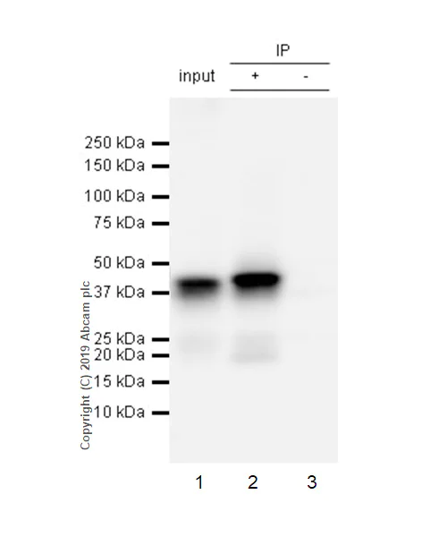
Immunoprecipitation - Anti-Islet 1 antibody [EPR10362] - Neural Stem Cell Marker (AB178400)

ab178400 (purified ) at 1/20 dilution (1ug) immunoprecipitating Islet 1 in SH-SY5Y whole cell lysate.
Lane 1 (input) : SH-SY5Y (Human neuroblastoma epithelial cell) whole cell lysate 10ug
Lane 2 (+) : ab178400 & SH-SY5Y whole cell lysate
Lane 3 (-) : Rabbit monoclonal IgG (ab172730) instead of ab178400 in SH-SY5Y whole cell lysate
For western blotting, VeriBlot for IP Detection Reagent (HRP) (ab131366) was at 1/1000 dilution.
Blocking and diluting buffer : 5% NFDM/TBST.

All lanes:

Immunoprecipitation - Anti-Islet 1 antibody [EPR10362] - Neural Stem Cell Marker (ab178400)

Predicted band size: 39 kDa

false

Immunoprecipitation - Anti-Islet 1 antibody [EPR10362] - Neural Stem Cell Marker (AB178400)
  • IP

Supplier Data

Immunoprecipitation - Anti-Islet 1 antibody [EPR10362] - Neural Stem Cell Marker (AB178400)

Western blot analysis on Immunoprecipitation pellet from either Lane 1) SH-SY5Y cell lysate, or Lane 2) 1xPBS (negative control); showing Islet 1, using unpurifed ab178400 at 1/10 dilution and HRP-conjugated anti-rabbit IgG preferentially detecting the non-reduced form of rabbit IgG.

All lanes:

Immunoprecipitation - Anti-Islet 1 antibody [EPR10362] - Neural Stem Cell Marker (ab178400)

Predicted band size: 39 kDa

true

Immunoprecipitation - Anti-Islet 1 antibody [EPR10362] - Neural Stem Cell Marker (AB178400)
  • IP

Lab

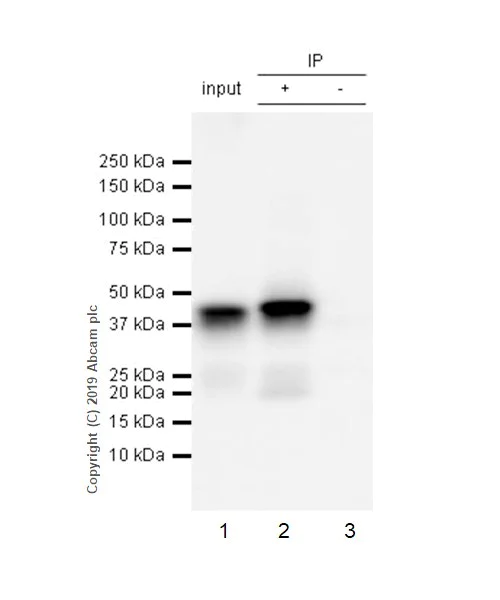
Immunoprecipitation - Anti-Islet 1 antibody [EPR10362] - Neural Stem Cell Marker (AB178400)

Islet 1 was immunoprecipitated from 0.35 mg SH-SY5Y (Human neuroblastoma epithelial cell) whole cell lysate 10μg with unpurifed ab178400 at 1 : 50 dilution (2μg in 0.35mg lysates). Western blot was performed on the immunoprecipitate using unpurified ab178400 1 : 1000 dilution (2 μg/ml). VeriBlot for IP Detection Reagent (HRP) (ab131366) was used as the secondary antibody at 1 : 1000 dilution.

Lane 1 : SH-SY5Y (Human neuroblastoma epithelial cell) whole cell lysate 10μg

Lane 2 : ab178400 IP in SH-SY5Y whole cell lysate

Lane 3 : Rabbit monoclonal IgG (ab172730) instead of ab178400 in SH-SY5Y whole cell lysate.

Blocking and dilution buffer and concentration : 5% NFDM/TBST. Exposure time : 1 second

All lanes:

Immunoprecipitation - Anti-Islet 1 antibody [EPR10362] - Neural Stem Cell Marker (ab178400)

Predicted band size: 39 kDa

false

Western blot - Anti-Islet 1 antibody [EPR10362] - Neural Stem Cell Marker (AB178400)
  • WB

Lab

Western blot - Anti-Islet 1 antibody [EPR10362] - Neural Stem Cell Marker (AB178400)

Lanes 1 - 4 : Merged signal (red and green). Green - ab178400 observed at 40 kDa. Red - loading control, ab18058, observed at 130 kDa.

Unpurified ab178400 was shown to recognize Islet 1 in wild-type HAP1 cells as signal was lost at the expected MW in Islet 1 knockout cells. Additional cross-reactive bands were observed in the wild-type and knockout cells. Wild-type and Islet 1 knockout samples were subjected to SDS-PAGE. ab178400 and ab18058 (Mouse anti-Vinculin loading control) were incubated overnight at 4°C at 1/1,000 dilution and 1/20,000 dilution respectively. Blots were developed with Goat anti-Rabbit IgG H&L (IRDye® 800CW) preabsorbed ab216773 and Goat anti-Mouse IgG H&L (IRDye® 680RD) preabsorbed ab216776 secondary antibodies at 1/20,000 dilution for 1 hour at room temperature before imaging.

All lanes:

Western blot - Anti-Islet 1 antibody [EPR10362] - Neural Stem Cell Marker (ab178400) at 1/1000 dilution

Lane 1:

Wild-type HAP1 whole cell lysate at 20 µg

Lane 2:

Islet 1 knockout HAP1 whole cell lysate at 20 µg

Lane 3:

SH-SY5Y whole cell lysate at 20 µg

Lane 4:

HepG2 whole cell lysate at 20 µg

Predicted band size: 39 kDa

false

Western blot - Anti-Islet 1 antibody [EPR10362] - Neural Stem Cell Marker (AB178400)
  • WB

Lab

Western blot - Anti-Islet 1 antibody [EPR10362] - Neural Stem Cell Marker (AB178400)

All lanes:

Western blot - Anti-Islet 1 antibody [EPR10362] - Neural Stem Cell Marker (ab178400) at 1/10000 dilution

Lane 1:

HeLa (Human cervix adenocarcinoma epithelial cell) whole cell lysates at 15 µg

Lane 2:

A431 (Human epidermoid carcinoma epithelial cell) whole cell lysates at 15 µg

Secondary

All lanes:

Western blot - Goat Anti-Rabbit IgG H&L (HRP) (<a href='/en-us/products/secondary-antibodies/goat-rabbit-igg-h-l-hrp-ab97051'>ab97051</a>) at 1/20000 dilution

Predicted band size: 39 kDa

Observed band size: 39 kDa

false

Western blot - Anti-Islet 1 antibody [EPR10362] - Neural Stem Cell Marker (AB178400)
  • WB

Lab

Western blot - Anti-Islet 1 antibody [EPR10362] - Neural Stem Cell Marker (AB178400)

All lanes:

Western blot - Anti-Islet 1 antibody [EPR10362] - Neural Stem Cell Marker (ab178400) at 1/10000 dilution

All lanes:

A375 (HeLa (Human cervix adenocarcinoma epithelial cell) whole cell lysates) whole cell lysates at 15 µg

Secondary

All lanes:

Western blot - Goat Anti-Rabbit IgG H&L (HRP) (<a href='/en-us/products/secondary-antibodies/goat-rabbit-igg-h-l-hrp-ab97051'>ab97051</a>) at 1/20000 dilution

Predicted band size: 39 kDa

false

Western blot - Anti-Islet 1 antibody [EPR10362] - Neural Stem Cell Marker (AB178400)
  • WB

Supplier Data

Western blot - Anti-Islet 1 antibody [EPR10362] - Neural Stem Cell Marker (AB178400)

All lanes:

Western blot - Anti-Islet 1 antibody [EPR10362] - Neural Stem Cell Marker (ab178400) at 1/1000 dilution

Lane 1:

HeLa (human epithelial cell line from cervix adenocarcinoma) cell lysate at 10 µg

Lane 2:

K562 (human chronic myelogenous leukemia cell line from bone marrow ) cell lysate at 10 µg

Lane 3:

Jurkat (human T cell leukemia cell line from peripheral blood) cell lysate at 10 µg

Lane 4:

SH-SY5Y (human neuroblastoma cell line from bone marrow) cell lysate at 10 µg

Secondary

All lanes:

Goat anti-rabbit HRP at 1/2000 dilution

Predicted band size: 39 kDa

true

  • Carrier free

    Anti-Islet 1 antibody [EPR10362] - BSA and Azide free

Key facts

Host species

Rabbit

Clonality

Monoclonal

Clone number

EPR10362

Isotype

IgG

Carrier free

No

Reacts with

Human

Applications

IHC-P, IP, WB

applications

Immunogen

The exact immunogen used to generate this antibody is proprietary information.

Specificity

In western blot, we observe a specific band at ~40kDa which is not seen in KO cell lines. A cross-reactive band was observed in the wild-type and knockout cells. The additional band below this band of interest is seen at ~38kDa in both the WT and KO cells. We are unsure as to the identity of these extra bands.

Reactivity data

{ "title": "Reactivity Data", "filters": { "stats": ["", "Species", "Dilution Info", "Notes"], "tabs": { "all-applications": {"fullname" : "All Applications", "shortname": "All Applications"}, "IHCP" : {"fullname" : "Immunohistochemistry (Formalin/PFA-fixed paraffin-embedded sections)", "shortname":"IHC-P"}, "IP" : {"fullname" : "Immunoprecipitation", "shortname":"IP"}, "FlowCyt" : {"fullname" : "Flow Cytometry", "shortname":"Flow Cyt"}, "WB" : {"fullname" : "Western blot", "shortname":"WB"}, "ICCIF" : {"fullname" : "Immunocytochemistry/ Immunofluorescence", "shortname":"ICC/IF"} }, "product-promise": { "all": "all", "testedAndGuaranteed": "tested", "guaranteed": "expected", "predicted": "predicted", "notRecommended": "not-recommended" } }, "values": { "Human": { "IHCP-species-checked": "testedAndGuaranteed", "IHCP-species-dilution-info": "1/6000", "IHCP-species-notes": "<p>For unpurified use at 1/250 - 1/500</p> Perform heat-mediated antigen retrieval before commencing with IHC staining protocol.", "IP-species-checked": "testedAndGuaranteed", "IP-species-dilution-info": "1/10 - 1/100", "IP-species-notes": "<p></p>", "FlowCyt-species-checked": "notRecommended", "FlowCyt-species-dilution-info": "", "FlowCyt-species-notes": "<p></p>", "WB-species-checked": "testedAndGuaranteed", "WB-species-dilution-info": "1/1000 - 1/10000", "WB-species-notes": "<p></p>", "ICCIF-species-checked": "notRecommended", "ICCIF-species-dilution-info": "", "ICCIF-species-notes": "<p></p>" }, "Mouse": { "IHCP-species-checked": "notRecommended", "IHCP-species-dilution-info": "1/6000", "IHCP-species-notes": "<p>For unpurified use at 1/250 - 1/500</p> Perform heat-mediated antigen retrieval before commencing with IHC staining protocol.", "IP-species-checked": "notRecommended", "IP-species-dilution-info": "1/10 - 1/100", "IP-species-notes": "<p></p>", "FlowCyt-species-checked": "notRecommended", "FlowCyt-species-dilution-info": "", "FlowCyt-species-notes": "<p></p>", "WB-species-checked": "notRecommended", "WB-species-dilution-info": "1/1000 - 1/10000", "WB-species-notes": "<p></p>", "ICCIF-species-checked": "notRecommended", "ICCIF-species-dilution-info": "", "ICCIF-species-notes": "<p></p>" }, "Rat": { "IHCP-species-checked": "notRecommended", "IHCP-species-dilution-info": "1/6000", "IHCP-species-notes": "<p>For unpurified use at 1/250 - 1/500</p> Perform heat-mediated antigen retrieval before commencing with IHC staining protocol.", "IP-species-checked": "notRecommended", "IP-species-dilution-info": "1/10 - 1/100", "IP-species-notes": "<p></p>", "FlowCyt-species-checked": "notRecommended", "FlowCyt-species-dilution-info": "", "FlowCyt-species-notes": "<p></p>", "WB-species-checked": "notRecommended", "WB-species-dilution-info": "1/1000 - 1/10000", "WB-species-notes": "<p></p>", "ICCIF-species-checked": "notRecommended", "ICCIF-species-dilution-info": "", "ICCIF-species-notes": "<p></p>" } } }

Product details

What is this antibody validated in?
Anti-Islet 1 antibody [EPR10362] (ab178400) is a rabbit recombinant monoclonal antibody and is validated for use in Western Blot (WB), Immunoprecipitation (IP), Immunohistochemistry (IHC-P) in Human samples.

What is the molecular weight of Islet 1?
Anti-Islet 1 [EPR10362] (ab178400) specifically detects a band for Islet 1 (UniProt: P61371) at a molecular weight of 39kDa.

Trial sizes available!
Test your antibody or perform pre-screening before committing to a larger quantity. Sold in 10µl. Discover our selection of trial-size antibodies.

Specificity confirmed
The specificity of Anti-Islet 1 antibody [EPR10362] (ab178400) has been confirmed by Western blot testing in ISL1 Knockout HAP1 cells.

Patented technology
Our RabMAb® technology is a patented hybridoma-based technology for making rabbit monoclonal antibodies. For details on our patents, please refer to RabMAb® patents.

What are the advantages of a recombinant monoclonal antibody?
This product is a recombinant monoclonal antibody, which offers several advantages including:

  • - High batch-to-batch consistency and reproducibility
  • - Improved sensitivity and specificity
  • - Long-term security of supply
  • - Animal-free batch production

For more information, read more on recombinant antibodies.

Properties and storage information

Form
Liquid
Purification technique
Affinity purification Protein A
Storage buffer
Preservative: 0.01% Sodium azide Constituents: PBS, 40% Glycerol (glycerin, glycerine), 0.05% BSA
Shipped at conditions
Blue Ice
Appropriate short-term storage duration
1-2 weeks
Appropriate short-term storage conditions
+4°C
Appropriate long-term storage conditions
-20°C
Aliquoting information
Upon delivery aliquot
Storage information
Avoid freeze / thaw cycle

Supplementary information

This supplementary information is collated from multiple sources and compiled automatically.

Islet 1 also known as ISL1 is a LIM-homeodomain transcription factor with a molecular mass of approximately 38 kDa. It plays an important role in regulating gene expression during the development of the nervous system and pancreas. You can find Islet 1 predominantly in motor neurons pancreatic beta cells and cardiac muscle cells. Its expression is important during embryonic stages for cell differentiation and maturation. Researchers use "Isl 1 neuronal marker" antibodies to identify this protein's presence in tissue.
Biological function summary

Islet 1 is involved in the differentiation and survival of various cell types. As part of a transcription complex it regulates downstream target genes essential for the development of motor neurons and cardiac muscle. It also contributes significantly to the developmental pathways of insulin-producing beta cells in the pancreas. The ISL1 marker is therefore an important tool for studying cell lineage and fate in developmental biology.

Pathways

Islet 1 is involved in key developmental signaling pathways including the Notch signaling and Wnt signaling pathways. In these pathways Islet 1 collaborates with other proteins like Lhx3 and Ngn2 to ensure proper gene activation for neuronal and cardiac development. Wnt signaling affects the expression of isl 1 marker genes contributing to precise spatial and temporal regulation during embryogenesis.

Islet 1 has links to congenital heart defects and type 2 diabetes. Mutations or altered expression of this protein can disrupt pancreatic beta cell function and motor neuron development. In congenital heart disease the interaction of Islet 1 with proteins like Nkx2.5 is critical. Its role in type 2 diabetes ties with the functioning of other proteins involved in insulin secretion making it a potential target for therapeutic intervention in these conditions.

Product protocols

For this product, it's our understanding that no specific protocols are required. You can visit:

Target data

DNA-binding transcriptional activator. Recognizes and binds to the consensus octamer binding site 5'-ATAATTAA-3' in promoter of target genes. Plays a fundamental role in the gene regulatory network essential for retinal ganglion cell (RGC) differentiation. Cooperates with the transcription factor POU4F2 to achieve maximal levels of expression of RGC target genes and RGC fate specification in the developing retina. Involved in the specification of motor neurons in cooperation with LHX3 and LDB1 (By similarity). Binds to insulin gene enhancer sequences (By similarity). Essential for heart development. Marker of one progenitor cell population that give rise to the outflow tract, right ventricle, a subset of left ventricular cells, and a large number of atrial cells as well, its function is required for these progenitors to contribute to the heart. Controls the expression of FGF and BMP growth factors in this cell population and is required for proliferation and survival of cells within pharyngeal foregut endoderm and adjacent splanchnic mesoderm as well as for migration of cardiac progenitors into the heart (By similarity).
See full target information ISL1

Publications (10)

Recent publications for all applications. Explore the full list and refine your search

Journal of translational medicine 23:137 PubMed39885534

2025

Usp7 contributes to the tail regeneration of planarians via Islet/Wnt1 axis.

Applications

Unspecified application

Species

Unspecified reactive species

Ang Liang,Jinglong Liu,Zhiyuan Zhang,Jing Xiao,Dezeng Liu,Zimei Dong,Guangwen Chen

Bioactive materials 28:206-226 PubMed37274446

2023

Dual human iPSC-derived cardiac lineage cell-seeding extracellular matrix patches promote regeneration and long-term repair of infarcted hearts.

Applications

Unspecified application

Species

Unspecified reactive species

Yun Jiang,Ling-Ling Zhang,Fan Zhang,Wei Bi,Peng Zhang,Xiu-Jian Yu,Sen-Le Rao,Shi-Hui Wang,Qiang Li,Chen Ding,Yin Jin,Zhong-Min Liu,Huang-Tian Yang

Nature biotechnology 42:413-423 PubMed37156915

2023

Hypoimmune induced pluripotent stem cells survive long term in fully immunocompetent, allogeneic rhesus macaques.

Applications

Unspecified application

Species

Unspecified reactive species

Xiaomeng Hu,Kathy White,Ari G Olroyd,Rowena DeJesus,Antonia A Dominguez,William E Dowdle,Annabelle M Friera,Chi Young,Frank Wells,Elaine Y Chu,Cade Ellis Ito,Harini Krishnapura,Surbhi Jain,Ramya Ankala,Trevor J McGill,August Lin,Kyla Egenberger,Allison Gagnon,J Michael Rukstalis,Nathaniel J Hogrebe,Corie Gattis,Ron Basco,Jeffrey R Millman,Paul Kievit,Mark M Davis,Lewis L Lanier,Andrew J Connolly,Tobias Deuse,Sonja Schrepfer

Cell reports 42:111896 PubMed36596304

2023

Efficient generation of lower induced motor neurons by coupling Ngn2 expression with developmental cues.

Applications

Unspecified application

Species

Unspecified reactive species

Francesco Limone,Irune Guerra San Juan,Jana M Mitchell,Janell L M Smith,Kavya Raghunathan,Daniel Meyer,Sulagna Dia Ghosh,Alexander Couto,Joseph R Klim,Brian J Joseph,John Gold,Curtis J Mello,James Nemesh,Brittany M Smith,Matthijs Verhage,Steven A McCarroll,Olli Pietiläinen,Ralda Nehme,Kevin Eggan

International journal of molecular sciences 23: PubMed36555735

2022

PLEKHM2 Loss of Function Impairs the Activity of iPSC-Derived Neurons via Regulation of Autophagic Flux.

Applications

Unspecified application

Species

Unspecified reactive species

Hadas Ben-Zvi,Tatiana Rabinski,Rivka Ofir,Smadar Cohen,Gad D Vatine

Cell reports methods 2:100341 PubMed36452863

2022

Derivation of nociceptive sensory neurons from hiPSCs with early patterning and temporally controlled overexpression.

Applications

Unspecified application

Species

Unspecified reactive species

William Plumbly,Nikolaos Patikas,Sarah F Field,Stefanie Foskolou,Emmanouil Metzakopian

Molecular medicine (Cambridge, Mass.) 28:12 PubMed35100965

2022

Synergistic effects of ISL1 and KDM6B on non-alcoholic fatty liver disease through the regulation of SNAI1.

Applications

Unspecified application

Species

Unspecified reactive species

Fei Zhao,Jinjing Ke,Wensheng Pan,Hanghai Pan,Miao Shen

Communications biology 4:1039 PubMed34489520

2021

Generation and characterization of cardiac valve endothelial-like cells from human pluripotent stem cells.

Applications

Unspecified application

Species

Unspecified reactive species

LinXi Cheng,MingHui Xie,WeiHua Qiao,Yu Song,YanYong Zhang,YingChao Geng,WeiLin Xu,Lin Wang,Zheng Wang,Kai Huang,NianGuo Dong,YuHua Sun

Cell proliferation 52:e12612 PubMed31012189

2019

ERα is required for suppressing OCT4-induced proliferation of breast cancer cells via DNMT1/ISL1/ERK axis.

Applications

Unspecified application

Species

Unspecified reactive species

Xiangshu Jin,Yanru Li,Yantong Guo,Yiyang Jia,Huinan Qu,Yan Lu,Peiye Song,Xiaoli Zhang,Yijia Shao,Da Qi,Wenhong Xu,Chengshi Quan

Stem cell research & therapy 9:51 PubMed29482621

2018

ISL1 overexpression enhances the survival of transplanted human mesenchymal stem cells in a murine myocardial infarction model.

Applications

Unspecified application

Species

Unspecified reactive species

Qiuling Xiang,Yan Liao,Hua Chao,Weijun Huang,Jia Liu,Haixuan Chen,Dongxi Hong,Zhengwei Zou,Andy Peng Xiang,Weiqiang Li
View all publications

Product promise

We are committed to supporting your work with high-quality reagents, and we're here for you every step of the way. In the unlikely event that one of our products does not perform as expected, you're protected by our Product Promise.
For full details, please see our Terms & Conditions

Please note: All products are 'FOR RESEARCH USE ONLY. NOT FOR USE IN DIAGNOSTIC OR THERAPEUTIC PROCEDURES'.

For licensing inquiries, please contact partnerships@abcam.com