JavaScript is disabled in your browser. Please enable JavaScript to view this website.
AB232986

Anti-ISLR antibody

Be the first to review this product! Submit a review

|

(3 Publications)

Rabbit Polyclonal ISLR antibody. Suitable for WB, IHC-P and reacts with Human samples. Cited in 3 publications. Immunogen corresponding to Recombinant Full Length Protein corresponding to Human ISLR.

View Alternative Names

UNQ189/PRO215, ISLR, Immunoglobulin superfamily containing leucine-rich repeat protein

5 Images
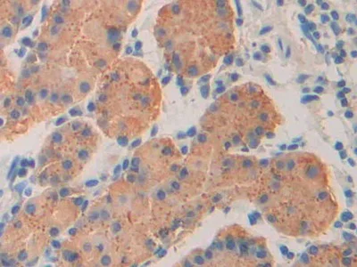
Immunohistochemistry (Formalin/PFA-fixed paraffin-embedded sections) - Anti-ISLR antibody (AB232986)
  • IHC-P

Supplier Data

Immunohistochemistry (Formalin/PFA-fixed paraffin-embedded sections) - Anti-ISLR antibody (AB232986)

Formalin-fixed, paraffin-embedded human stomach tissue stained for ISLR with ab232986 at 20 μg/ml in immunohistochemical analysis.

Secondary used : HRP-Linked Goat anti-Rabbit IgG polyclonal at 2 μg/ml. DAB staining.

Immunohistochemistry (Formalin/PFA-fixed paraffin-embedded sections) - Anti-ISLR antibody (AB232986)
  • IHC-P

Supplier Data

Immunohistochemistry (Formalin/PFA-fixed paraffin-embedded sections) - Anti-ISLR antibody (AB232986)

Formalin-fixed, paraffin-embedded human kidney tissue stained for ISLR with ab232986 at 20 μg/ml in immunohistochemical analysis.

Secondary used : HRP-Linked Goat anti-Rabbit IgG polyclonal at 2 μg/ml. DAB staining.

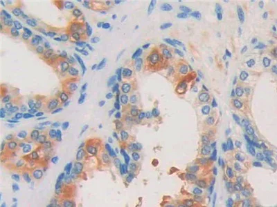
Immunohistochemistry (Formalin/PFA-fixed paraffin-embedded sections) - Anti-ISLR antibody (AB232986)
  • IHC-P

Supplier Data

Immunohistochemistry (Formalin/PFA-fixed paraffin-embedded sections) - Anti-ISLR antibody (AB232986)

Formalin-fixed, paraffin-embedded human prostate tissue stained for ISLR with ab232986 at 20 μg/ml in immunohistochemical analysis.

Secondary used : HRP-Linked Goat anti-Rabbit IgG polyclonal at 2 μg/ml. DAB staining.

Western blot - Anti-ISLR antibody (AB232986)
  • WB

Supplier Data

Western blot - Anti-ISLR antibody (AB232986)

All lanes:

Western blot - Anti-ISLR antibody (ab232986) at 2 µg/mL

All lanes:

Human serum

Secondary

All lanes:

HRP-linked Guinea pig anti-Rabbit at 1/2000 dilution

Predicted band size: 46 kDa

false

Western blot - Anti-ISLR antibody (AB232986)
  • WB

Supplier Data

Western blot - Anti-ISLR antibody (AB232986)

All lanes:

Western blot - Anti-ISLR antibody (ab232986) at 2 µg/mL

All lanes:

Recombinant human ISLR protein

Secondary

All lanes:

HRP-Linked Guinea pig Anti-Rabbit Ab at 1/2000 dilution

Predicted band size: 46 kDa

false

Key facts

Host species

Rabbit

Clonality

Polyclonal

Isotype

IgG

Carrier free

No

Reacts with

Human

Applications

IHC-P, WB

applications

Immunogen

Recombinant Full Length Protein corresponding to Human ISLR.

O14498

Reactivity data

{ "title": "Reactivity Data", "filters": { "stats": ["", "Species", "Dilution Info", "Notes"], "tabs": { "all-applications": {"fullname" : "All Applications", "shortname": "All Applications"}, "WB" : {"fullname" : "Western blot", "shortname":"WB"}, "IHCP" : {"fullname" : "Immunohistochemistry (Formalin/PFA-fixed paraffin-embedded sections)", "shortname":"IHC-P"} }, "product-promise": { "all": "all", "testedAndGuaranteed": "tested", "guaranteed": "expected", "predicted": "predicted", "notRecommended": "not-recommended" } }, "values": { "Human": { "WB-species-checked": "testedAndGuaranteed", "WB-species-dilution-info": "0.5-2 µg/mL", "WB-species-notes": "<p></p>", "IHCP-species-checked": "testedAndGuaranteed", "IHCP-species-dilution-info": "5-20 µg/mL", "IHCP-species-notes": "<p></p>" }, "Cow": { "WB-species-checked": "predicted", "WB-species-dilution-info": "", "WB-species-notes": "", "IHCP-species-checked": "predicted", "IHCP-species-dilution-info": "", "IHCP-species-notes": "" }, "Orangutan": { "WB-species-checked": "predicted", "WB-species-dilution-info": "", "WB-species-notes": "", "IHCP-species-checked": "predicted", "IHCP-species-dilution-info": "", "IHCP-species-notes": "" } } }

Properties and storage information

Form
Liquid
Purification technique
Affinity purification Protein A
Purification notes
Antigen-specific affinity chromatography followed by Protein A affinity chromatography.
Storage buffer
pH: 7.4 Preservative: 0.011% Proclin 300 Constituents: PBS, 55.77% Glycerol (glycerin, glycerine)
Shipped at conditions
Blue Ice
Appropriate short-term storage duration
1-2 weeks
Appropriate short-term storage conditions
+4°C
Appropriate long-term storage conditions
-20°C
Aliquoting information
Upon delivery aliquot
Storage information
Avoid freeze / thaw cycle

Supplementary information

This supplementary information is collated from multiple sources and compiled automatically.

ISLR also known as Immunoglobulin Superfamily Containing Leucine-rich Repeat is a protein found in various tissues. With a mass of approximately 97 kDa this protein functions mechanically through its involvement in cellular adhesion and signal transduction. ISLR is highly expressed in stromal and immune cell types indicating its role in tissue architecture and immune responses. Its structure includes leucine-rich repeats and immunoglobulin-like domains contributing to its role in cell-cell interaction and communication.
Biological function summary

ISLR participates in critical processes such as cell migration and tissue homeostasis. It is a part of specific protein complexes that mediate interaction with extracellular matrix components and modulate signaling pathways important for immune function. ISLR’s involvement in these complexes suggests it contributes to maintaining the balance between cell proliferation and differentiation which is necessary for proper tissue maintenance. Furthermore its expression pattern highlights its influence on stromal-immune system interactions.

Pathways

ISLR integrates itself into the Wnt signaling pathway and TGF-beta signaling which are fundamental for cellular development and homeostasis. ISLR interacts with other proteins such as beta-catenin and SMADs reflecting its regulatory role in these pathways. These associations point towards its involvement in managing cellular responses to external stimuli and ambiance changes important for cell fate decisions and tissue regeneration.

ISLR shows a strong association with cancer progression and fibrosis. Elevated ISLR expression has been observed in tumor microenvironments implicating its role in promoting an environment conducive to cancer cell survival and proliferation. Additionally the interaction between ISLR and TGF-beta-related proteins can enhance fibrotic responses leading to pathological tissue scarring. Understanding these connections helps in unraveling ISLR's contributions to disease mechanisms potentially presenting targets for therapeutic intervention.

Product protocols

For this product, it's our understanding that no specific protocols are required. You can visit:

Publications (3)

Recent publications for all applications. Explore the full list and refine your search

International journal of clinical oncology 29:771-779 PubMed38600426

2024

Progressive changes in the protein expression profile of alveolar septa in early-stage lung adenocarcinoma.

Applications

Unspecified application

Species

Unspecified reactive species

Toru Kimura,Takashi Akazawa,Yu Mizote,Harumi Nakamura,Miki Sakaue,Tomohiro Maniwa,Yasushi Shintani,Keiichiro Honma,Hideaki Tahara,Jiro Okami

Journal of translational medicine 21:817 PubMed37974228

2023

HOXD9/miR-451a/PSMB8 axis is implicated in the regulation of cell proliferation and metastasis via PI3K/AKT signaling pathway in human anaplastic thyroid carcinoma.

Applications

Unspecified application

Species

Unspecified reactive species

Yong Zhong,Fan Yu,Ling Yang,Yu Wang,Lin Liu,Chengyou Jia,Haidong Cai,Jianshe Yang,Shiyang Sheng,Zhongwei Lv,Li Weng,Bo Wu,Xiaoping Zhang

International journal of molecular medicine 48: PubMed34713300

2021

Silencing of inhibits tumour progression and glycolysis by inactivating the IL‑6/JAK/STAT3 pathway in non‑small cell lung cancer.

Applications

Unspecified application

Species

Unspecified reactive species

Peng Zhang,Zhen Li,Guangming Yang
View all publications

Product promise

We are committed to supporting your work with high-quality reagents, and we're here for you every step of the way. In the unlikely event that one of our products does not perform as expected, you're protected by our Product Promise.
For full details, please see our Terms & Conditions

Please note: All products are 'FOR RESEARCH USE ONLY. NOT FOR USE IN DIAGNOSTIC OR THERAPEUTIC PROCEDURES'.

For licensing inquiries, please contact partnerships@abcam.com