JavaScript is disabled in your browser. Please enable JavaScript to view this website.
AB244502

Anti-IST1 antibody

Be the first to review this product! Submit a review

|

(1 Publication)

Rabbit Polyclonal IST1 antibody. Suitable for IHC-P, ICC, WB and reacts with Human samples. Cited in 1 publication. Immunogen corresponding to Recombinant Fragment Protein within Human IST1 aa 1-100.

View Alternative Names

KIAA0174, IST1, IST1 homolog, hIST1, Charged multivesicular body protein 8, Putative MAPK-activating protein PM28, CHMP8

6 Images
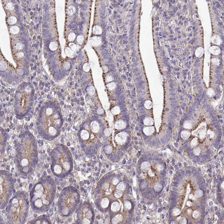
Immunohistochemistry (Formalin/PFA-fixed paraffin-embedded sections) - Anti-IST1 antibody (AB244502)
  • IHC-P

Supplier Data

Immunohistochemistry (Formalin/PFA-fixed paraffin-embedded sections) - Anti-IST1 antibody (AB244502)

Immunohistochemistry (Formalin/PFA-fixed paraffin-embedded sections) analysis of human duodenum tissue labelling IST1 with ab244502 at 1/50 dilution. Heat mediated antigen retrieval performed with citrate buffer pH 6 before commencing with IHC staining protocol.

Immunohistochemistry (Formalin/PFA-fixed paraffin-embedded sections) - Anti-IST1 antibody (AB244502)
  • IHC-P

Supplier Data

Immunohistochemistry (Formalin/PFA-fixed paraffin-embedded sections) - Anti-IST1 antibody (AB244502)

Immunohistochemistry (Formalin/PFA-fixed paraffin-embedded sections) analysis of human endometrium tissue labelling IST1 with ab244502 at 1/50 dilution. Heat mediated antigen retrieval performed with citrate buffer pH 6 before commencing with IHC staining protocol.

Immunocytochemistry - Anti-IST1 antibody (AB244502)
  • ICC

Unknown

Immunocytochemistry - Anti-IST1 antibody (AB244502)

PFA-fixed, Triton X-100 permeabilized MCF7 (human breast adenocarcinoma cell line) cells stained for IST1 (green) using ab244502 at 4 μg/ml in ICC.

Immunohistochemistry (Formalin/PFA-fixed paraffin-embedded sections) - Anti-IST1 antibody (AB244502)
  • IHC-P

Supplier Data

Immunohistochemistry (Formalin/PFA-fixed paraffin-embedded sections) - Anti-IST1 antibody (AB244502)

Immunohistochemistry (Formalin/PFA-fixed paraffin-embedded sections) analysis of human testis tissue labelling IST1 with ab244502 at 1/50 dilution. Heat mediated antigen retrieval performed with citrate buffer pH 6 before commencing with IHC staining protocol.

Immunohistochemistry (Formalin/PFA-fixed paraffin-embedded sections) - Anti-IST1 antibody (AB244502)
  • IHC-P

Supplier Data

Immunohistochemistry (Formalin/PFA-fixed paraffin-embedded sections) - Anti-IST1 antibody (AB244502)

Immunohistochemistry (Formalin/PFA-fixed paraffin-embedded sections) analysis of human liver tissue labelling IST1 with ab244502 at 1/50 dilution. Heat mediated antigen retrieval performed with citrate buffer pH 6 before commencing with IHC staining protocol.

Western blot - Anti-IST1 antibody (AB244502)
  • WB

Supplier Data

Western blot - Anti-IST1 antibody (AB244502)

All lanes:

Western blot - Anti-IST1 antibody (ab244502) at 0.4 µg/mL

Lane 1:

NTERA-2 (human malignant pluripotent embryonic carcinoma cell line) whole cell lysate

Lane 2:

SK-BR-3 (human mammary gland adenocarcinoma cell line) whole cell lysate

Predicted band size: 40 kDa

false

Key facts

Host species

Rabbit

Clonality

Polyclonal

Isotype

IgG

Carrier free

No

Reacts with

Human

Applications

WB, IHC-P, ICC

applications

Immunogen

Recombinant Fragment Protein within Human IST1 aa 1-100. The exact immunogen used to generate this antibody is proprietary information.

P53990

Reactivity data

{ "title": "Reactivity Data", "filters": { "stats": ["", "Species", "Dilution Info", "Notes"], "tabs": { "all-applications": {"fullname" : "All Applications", "shortname": "All Applications"}, "IHCP" : {"fullname" : "Immunohistochemistry (Formalin/PFA-fixed paraffin-embedded sections)", "shortname":"IHC-P"}, "ICC" : {"fullname" : "Immunocytochemistry", "shortname":"ICC"}, "WB" : {"fullname" : "Western blot", "shortname":"WB"} }, "product-promise": { "all": "all", "testedAndGuaranteed": "tested", "guaranteed": "expected", "predicted": "predicted", "notRecommended": "not-recommended" } }, "values": { "Human": { "IHCP-species-checked": "testedAndGuaranteed", "IHCP-species-dilution-info": "1/50 - 1/200", "IHCP-species-notes": "<p></p> Perform heat-mediated antigen retrieval with citrate buffer pH 6 before commencing with IHC staining protocol.", "ICC-species-checked": "testedAndGuaranteed", "ICC-species-dilution-info": "", "ICC-species-notes": "<p>Fixation/Permeabilization: PFA/Triton X-100</p>", "WB-species-checked": "testedAndGuaranteed", "WB-species-dilution-info": "0.04-0.4 µg/mL", "WB-species-notes": "<p></p>" }, "Mouse": { "IHCP-species-checked": "predicted", "IHCP-species-dilution-info": "", "IHCP-species-notes": "", "ICC-species-checked": "predicted", "ICC-species-dilution-info": "", "ICC-species-notes": "", "WB-species-checked": "predicted", "WB-species-dilution-info": "", "WB-species-notes": "" }, "Rat": { "IHCP-species-checked": "predicted", "IHCP-species-dilution-info": "", "IHCP-species-notes": "", "ICC-species-checked": "predicted", "ICC-species-dilution-info": "", "ICC-species-notes": "", "WB-species-checked": "predicted", "WB-species-dilution-info": "", "WB-species-notes": "" }, "Cow": { "IHCP-species-checked": "predicted", "IHCP-species-dilution-info": "", "IHCP-species-notes": "", "ICC-species-checked": "predicted", "ICC-species-dilution-info": "", "ICC-species-notes": "", "WB-species-checked": "predicted", "WB-species-dilution-info": "", "WB-species-notes": "" }, "Orangutan": { "IHCP-species-checked": "predicted", "IHCP-species-dilution-info": "", "IHCP-species-notes": "", "ICC-species-checked": "predicted", "ICC-species-dilution-info": "", "ICC-species-notes": "", "WB-species-checked": "predicted", "WB-species-dilution-info": "", "WB-species-notes": "" } } }

Properties and storage information

Form
Liquid
Purification technique
Affinity purification Immunogen
Storage buffer
pH: 7.2 Preservative: 0.02% Sodium azide Constituents: PBS, 40% Glycerol (glycerin, glycerine)
Shipped at conditions
Blue Ice
Appropriate short-term storage duration
1-2 weeks
Appropriate short-term storage conditions
+4°C
Appropriate long-term storage conditions
-20°C
Aliquoting information
Upon delivery aliquot
Storage information
Avoid freeze / thaw cycle

Supplementary information

This supplementary information is collated from multiple sources and compiled automatically.

IST1 also known as Increased Sodium Tolerance 1 is a protein involved in membrane trafficking within cells. It weighs around 37 kDa and expresses mainly in the cytoplasm of various cell types especially in tissues with high endocytic and exocytic activity. Researchers often study IST1 to understand its role in the endosomal sorting process. In addition to its presence in human tissues IST1 shows conservation across different species highlighting its importance in cellular functions.
Biological function summary

The IST1 protein operates as a regulator within the ESCRT (endosomal sorting complexes required for transport) machinery. This complex plays a role in the sorting of ubiquitinated cargoes into multivesicular bodies influencing their fate in lysosomal degradation. IST1 interacts with other proteins in the ESCRT-III complex facilitating the proper scission of membrane necks during vesicle budding processes. Its function finds relevance in maintaining cellular homeostasis by orchestrating the turnover of membrane proteins and lipids.

Pathways

IST1 participates in the ESCRT pathway which is integral for endosomal transportation and membrane reformation processes such as cytokinesis and autophagy. In this context IST1 interacts with proteins such as CHMP1A and CHMP1B serving a critical role in the endosomal sorting and degradation pathway. Proper functioning of IST1 is necessary for the correct execution of membrane repair processes aiding in cellular recycling mechanisms.

IST1 exhibits links to neurodegenerative disorders and viral infections. Its role in membrane trafficking connects it to Alzheimer's disease through interactions with proteins like APP and PSEN1 which are related to amyloid-beta plaque formation. Furthermore viruses exploit the ESCRT machinery including IST1 for viral budding and release influencing the progression of viral diseases. Researchers continue to explore IST1's potential as a therapeutic target in such conditions given its involvement in these critical cellular mechanisms.

Product protocols

For this product, it's our understanding that no specific protocols are required. You can visit:

Target data

ESCRT-III-like protein involved in cytokinesis, nuclear envelope reassembly and endosomal tubulation (PubMed : 19129479, PubMed : 26040712, PubMed : 28242692). Is required for efficient abscission during cytokinesis (PubMed : 19129479). Involved in recruiting VPS4A and/or VPS4B to the midbody of dividing cells (PubMed : 19129479, PubMed : 19129480). During late anaphase, involved in nuclear envelope reassembly and mitotic spindle disassembly together with the ESCRT-III complex : IST1 acts by mediating the recruitment of SPAST to the nuclear membrane, leading to microtubule severing (PubMed : 26040712). Recruited to the reforming nuclear envelope (NE) during anaphase by LEMD2 (PubMed : 28242692). Regulates early endosomal tubulation together with the ESCRT-III complex by mediating the recruitment of SPAST (PubMed : 23897888).
See full target information IST1

Publications (1)

Recent publications for all applications. Explore the full list and refine your search

Life science alliance 6: PubMed37580082

2023

Neuroprotective effects of hepatoma-derived growth factor in models of Huntington's disease.

Applications

Unspecified application

Species

Unspecified reactive species

Kerstin Voelkl,Sara Gutiérrez-Ángel,Sophie Keeling,Seda Koyuncu,Miguel da Silva Padilha,Dennis Feigenbutz,Thomas Arzberger,David Vilchez,Rüdiger Klein,Irina Dudanova
View all publications

Product promise

We are committed to supporting your work with high-quality reagents, and we're here for you every step of the way. In the unlikely event that one of our products does not perform as expected, you're protected by our Product Promise.
For full details, please see our Terms & Conditions

Please note: All products are 'FOR RESEARCH USE ONLY. NOT FOR USE IN DIAGNOSTIC OR THERAPEUTIC PROCEDURES'.

For licensing inquiries, please contact partnerships@abcam.com