JavaScript is disabled in your browser. Please enable JavaScript to view this website.
AB316249

Anti-ITGA11 antibody [EPR28689-21]

  • BOND RX™ Validated
  • 20ul selling size
  • Recombinant
  • RabMAb
  • KO Validated
  • What is this?

Be the first to review this product! Submit a review

|

(0 Publication)

Knockout Tested Rabbit Recombinant Monoclonal ITGA11 antibody. Suitable for IHC-P, WB and reacts with Human, Mouse samples.

View Alternative Names

MSTP018, ITGA11, Integrin alpha-11

6 Images
Immunohistochemistry (Formalin/PFA-fixed paraffin-embedded sections) - Anti-ITGA11 antibody [EPR28689-21] (AB316249)
  • IHC-P

Supplier Data

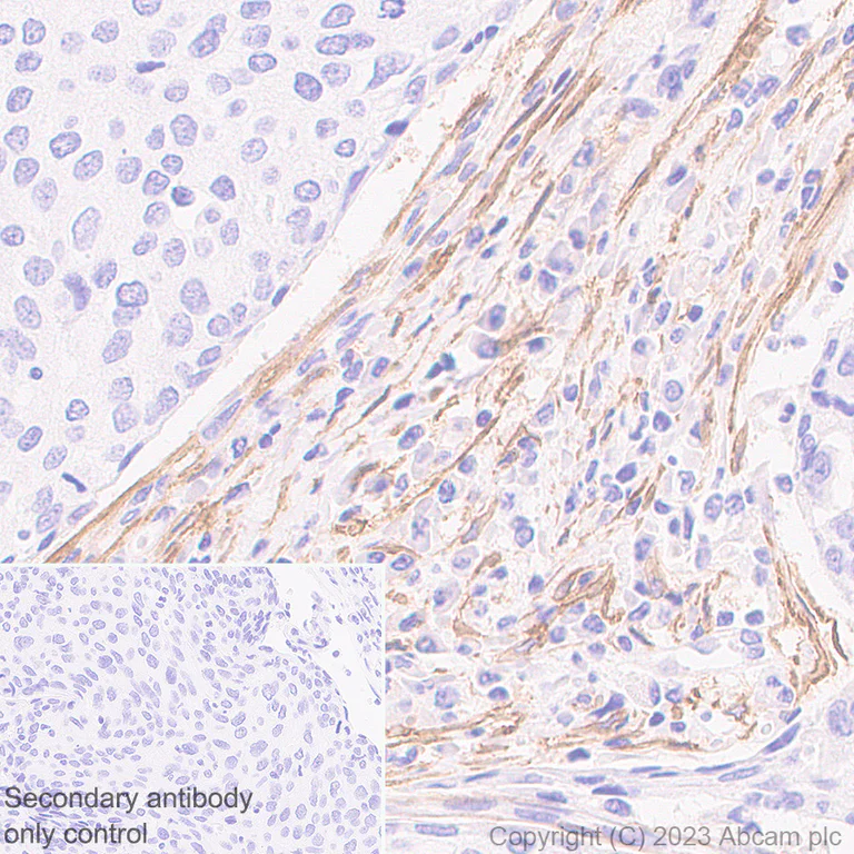
Immunohistochemistry (Formalin/PFA-fixed paraffin-embedded sections) - Anti-ITGA11 antibody [EPR28689-21] (AB316249)

Immunohistochemical analysis of paraffin-embedded Human breast carcinoma tissue labeling ITGA11 with ab316249 at 1/2000 (0.255 ug/ml) dilution, followed by a ready to use LeicaDS9800 (Bond™ Polymer Refine Detection).

Positive staining in tumor stroma interphase on Human breast carcinoma (PMID : 31605508).
The section was incubated with ab316249 for 30 mins at room temperature.
The immunostaining was performed on a Leica Biosystems BOND® RX instrument

Counterstained with Hematoxylin.

Secondary antibody only control : Secondary antibody is a ready to use LeicaDS9800 (Bond™ Polymer Refine Detection).

Heat mediated antigen retrieval was performed with Tris-EDTA buffer (pH 9.0, Epitope Retrieval Solution2) for 20 mins

Immunohistochemistry (Formalin/PFA-fixed paraffin-embedded sections) - Anti-ITGA11 antibody [EPR28689-21] (AB316249)
  • IHC-P

Supplier Data

Immunohistochemistry (Formalin/PFA-fixed paraffin-embedded sections) - Anti-ITGA11 antibody [EPR28689-21] (AB316249)

Immunohistochemical analysis of paraffin-embedded Human cervical squamous carcinoma tissue labeling ITGA11 with ab316249 at 1/2000 (0.255 ug/ml) dilution, followed by a ready to use LeicaDS9800 (Bond™ Polymer Refine Detection).

Positive staining in tumor stroma interphase on human cervical squamous carcinoma (PMID : 36003785).
The section was incubated with ab316249 for 30 mins at room temperature.
The immunostaining was performed on a Leica Biosystems BOND® RX instrument

Counterstained with Hematoxylin.

Secondary antibody only control : Secondary antibody is a ready to use LeicaDS9800 (Bond™ Polymer Refine Detection).

Heat mediated antigen retrieval was performed with Tris-EDTA buffer (pH 9.0, Epitope Retrieval Solution2) for 20 mins

Immunohistochemistry (Formalin/PFA-fixed paraffin-embedded sections) - Anti-ITGA11 antibody [EPR28689-21] (AB316249)
  • IHC-P

Supplier Data

Immunohistochemistry (Formalin/PFA-fixed paraffin-embedded sections) - Anti-ITGA11 antibody [EPR28689-21] (AB316249)

Immunohistochemical analysis of paraffin-embedded Human spleen tissue labeling ITGA11 with ab316249 at 1/2000 (0.255 ug/ml) dilution, followed by a ready to use LeicaDS9800 (Bond™ Polymer Refine Detection).

Negative control : No staining on human spleen.
The section was incubated with ab316249 for 30 mins at room temperature.
The immunostaining was performed on a Leica Biosystems BOND® RX instrument

Counterstained with Hematoxylin.

Secondary antibody only control : Secondary antibody is a ready to use LeicaDS9800 (Bond™ Polymer Refine Detection).

Heat mediated antigen retrieval was performed with Tris-EDTA buffer (pH 9.0, Epitope Retrieval Solution2) for 20 mins

Western blot - Anti-ITGA11 antibody [EPR28689-21] (AB316249)
  • WB

Supplier Data

Western blot - Anti-ITGA11 antibody [EPR28689-21] (AB316249)

Negative control : 293T (PMID : 31605508).

In Western blot, Anti-GAPDH antibody [EPR16891] - Loading Control (ab181602) staining at 1/200000 dilution.

All lanes:

Western blot - Anti-ITGA11 antibody [EPR28689-21] (ab316249) at 1/1000 dilution

Lane 1:

HeLa (human cervix adenocarcinoma epithelial cell) whole cell fresh lysate at 20 µg

Lane 2:

293T (human embryonic kidney epithelial cell) whole cell fresh lysate at 20 µg

Secondary

All lanes:

Western blot - Goat Anti-Rabbit IgG H&L (HRP) (<a href='/en-us/products/secondary-antibodies/goat-rabbit-igg-h-l-hrp-ab97051'>ab97051</a>) at 1/100000 dilution

Observed band size: 160 kDa,36 kDa

false

Exposure time: 10s

Western blot - Anti-ITGA11 antibody [EPR28689-21] (AB316249)
  • WB

Supplier Data

Western blot - Anti-ITGA11 antibody [EPR28689-21] (AB316249)

Western blot : Anti-ITGA11 antibody (ab316249) staining at 1/1000 dilution, shown in green; Mouse anti-GAPDH antibody [6C5]

(ab8245) loading control staining at 1/20000 dilution, shown in red.

In Western blot, ab316249 was shown to bind specifically to ITGA11. Target of interest was observed at 160 kDa in wild-type HeLa cell lysates (lane 1) with no signal observed at this size in ITGA11 knockout cell line (lane 2, knockout cell line ab265494 / knockout cell lysate ab258929). To generate this image, samples were first run on an SDS-PAGE gel then transferred onto an immobilon-FL PVDF membrane. Membranes were blocked in a fluorescent western blot (TBS-based) blocking solution before incubation with primary antibodies overnight at 4 °C. Blots were washed in TBS-T, incubated with secondary antibodies Goat anti-Rabbit IgG H&L 800CW and Goat anti-Mouse IgG H&L 680RD at 1/20000 dilution for 1 h at room temperature, washed again then imaged.

Negative control : A431 (PMID : 31605508).

All lanes:

Western blot - Anti-ITGA11 antibody [EPR28689-21] (ab316249) at 1/1000 dilution

Lane 1:

Wild-type HeLa (human cervical adenocarcinoma epithelial cell) whole cell lysate at 20 µg with 1/2 volume of Odyssey Blocking Buffer (TBS)+ 1/2 volume of TBS

Lane 2:

ITGA11 knockout HeLa whole cell lysate at 20 µg with 1/2 volume of Odyssey Blocking Buffer (TBS)+ 1/2 volume of TBS

Lane 3:

A549 (human lung carcinoma epithelial cell) whole cell lysate at 20 µg with 1/2 volume of Odyssey Blocking Buffer (TBS)+ 1/2 volume of TBS

Lane 4:

A431 (human epidermoid carcinoma epithelial cell) whole cell lysate at 20 µg with 1/2 volume of Odyssey Blocking Buffer (TBS)+ 1/2 volume of TBS

Secondary

All lanes:

Goat Anti-Rabbit IgG H&L (800CW) and Goat Anti-Mouse IgG H&L (680RD) at 1/20000 dilution

Observed band size: 160 kDa,36 kDa

false

Western blot - Anti-ITGA11 antibody [EPR28689-21] (AB316249)
  • WB

Supplier Data

Western blot - Anti-ITGA11 antibody [EPR28689-21] (AB316249)

Negative control : 4T1 (PMID : 26990302), C2C12 (PMID : 11518510).

In Western blot, Anti-GAPDH antibody [EPR16891] - Loading Control (ab181602) staining at 1/200000 dilution.

All lanes:

Western blot - Anti-ITGA11 antibody [EPR28689-21] (ab316249) at 1/1000 dilution

Lane 1:

MEF (mouse embryo fibroblast) whole cell lysate at 20 µg

Lane 2:

4T1 (mouse mammary gland carcinoma epithelial cell) whole cell lysate at 20 µg

Lane 3:

C2C12 (mouse myoblasts myoblast) whole cell lysate at 20 µg

Secondary

All lanes:

Western blot - Goat Anti-Rabbit IgG H&L (HRP) (<a href='/en-us/products/secondary-antibodies/goat-rabbit-igg-h-l-hrp-ab97051'>ab97051</a>) at 1/100000 dilution

Observed band size: 160 kDa,36 kDa

false

Exposure time: 37s

  • Carrier free

    Anti-ITGA11 antibody [EPR28689-21] - BSA and Azide free

Key facts

Host species

Rabbit

Clonality

Monoclonal

Clone number

EPR28689-21

Isotype

IgG

Carrier free

No

Reacts with

Human, Mouse

Applications

WB, IHC-P

applications

Immunogen

The exact immunogen used to generate this antibody is proprietary information.

Specificity

Not suitable for mouse IHC-P

Reactivity data

{ "title": "Reactivity Data", "filters": { "stats": ["", "Species", "Dilution Info", "Notes"], "tabs": { "all-applications": {"fullname" : "All Applications", "shortname": "All Applications"}, "IHCP" : {"fullname" : "Immunohistochemistry (Formalin/PFA-fixed paraffin-embedded sections)", "shortname":"IHC-P"}, "WB" : {"fullname" : "Western blot", "shortname":"WB"}, "FlowCytIntra" : {"fullname" : "Flow Cytometry (Intracellular)", "shortname":"Flow Cyt (Intra)"}, "IP" : {"fullname" : "Immunoprecipitation", "shortname":"IP"}, "ICCIF" : {"fullname" : "Immunocytochemistry/ Immunofluorescence", "shortname":"ICC/IF"} }, "product-promise": { "all": "all", "testedAndGuaranteed": "tested", "guaranteed": "expected", "predicted": "predicted", "notRecommended": "not-recommended" } }, "values": { "Human": { "IHCP-species-checked": "testedAndGuaranteed", "IHCP-species-dilution-info": "1/2000", "IHCP-species-notes": "<p></p> Perform heat-mediated antigen retrieval with Tris/EDTA buffer pH 9.0 before commencing with IHC staining protocol.", "WB-species-checked": "testedAndGuaranteed", "WB-species-dilution-info": "1/1000", "WB-species-notes": "<p></p>", "FlowCytIntra-species-checked": "notRecommended", "FlowCytIntra-species-dilution-info": "", "FlowCytIntra-species-notes": "<p></p>", "IP-species-checked": "notRecommended", "IP-species-dilution-info": "", "IP-species-notes": "<p></p>", "ICCIF-species-checked": "notRecommended", "ICCIF-species-dilution-info": "", "ICCIF-species-notes": "<p></p>" }, "Mouse": { "IHCP-species-checked": "notRecommended", "IHCP-species-dilution-info": "", "IHCP-species-notes": "<p></p>", "WB-species-checked": "testedAndGuaranteed", "WB-species-dilution-info": "1/1000", "WB-species-notes": "<p></p>", "FlowCytIntra-species-checked": "notRecommended", "FlowCytIntra-species-dilution-info": "", "FlowCytIntra-species-notes": "", "IP-species-checked": "notRecommended", "IP-species-dilution-info": "", "IP-species-notes": "", "ICCIF-species-checked": "notRecommended", "ICCIF-species-dilution-info": "", "ICCIF-species-notes": "" }, "Rat": { "IHCP-species-checked": "notRecommended", "IHCP-species-dilution-info": "", "IHCP-species-notes": "<p></p>", "WB-species-checked": "notRecommended", "WB-species-dilution-info": "", "WB-species-notes": "", "FlowCytIntra-species-checked": "notRecommended", "FlowCytIntra-species-dilution-info": "", "FlowCytIntra-species-notes": "", "IP-species-checked": "notRecommended", "IP-species-dilution-info": "", "IP-species-notes": "", "ICCIF-species-checked": "notRecommended", "ICCIF-species-dilution-info": "", "ICCIF-species-notes": "" } } }

Product details

Patented technology
Our RabMAb® technology is a patented hybridoma-based technology for making rabbit monoclonal antibodies. For details on our patents, please refer to RabMAb® patents.

What are the advantages of a recombinant monoclonal antibody?
This product is a recombinant monoclonal antibody, which offers several advantages including:

  • - High batch-to-batch consistency and reproducibility
  • - Improved sensitivity and specificity
  • - Long-term security of supply
  • - Animal-free batch production

For more information, read more on recombinant antibodies.

Properties and storage information

Form
Liquid
Purification technique
Affinity purification Protein A
Storage buffer
pH: 7.2 - 7.4 Preservative: 0.01% Sodium azide Constituents: PBS, 40% Glycerol (glycerin, glycerine), 0.05% BSA
Shipped at conditions
Blue Ice
Appropriate short-term storage duration
1-2 weeks
Appropriate short-term storage conditions
+4°C
Appropriate long-term storage conditions
-20°C
Aliquoting information
Upon delivery aliquot
Storage information
Avoid freeze / thaw cycle

Supplementary information

This supplementary information is collated from multiple sources and compiled automatically.

ITGA11 also known as Integrin alpha-11 functions mechanically as an alpha subunit that combines with the beta-1 subunit to form a collagen receptor integrin complex. The protein has a mass of approximately 135 kDa and its expression occurs mainly in fibroblastic cells located within connective tissue including areas like skin and lungs. ITGA11 plays a role in cell adhesion helping mediate interactions between cells and the extracellular matrix which is essential for tissue structure and function.
Biological function summary

ITGA11 influences various cellular processes including cell migration proliferation and differentiation. The protein is part of the alpha-11 beta-1 integrin complex that specifically binds to interstitial collagens. This interaction allows ITGA11 to facilitate communication signals that control cellular behavior. Its effective function in collagen recognition establishes ITGA11 as important for maintaining the structural integrity and repair of tissues particularly during injury or developmental processes.

Pathways

ITGA11 integrates into the collagen-mediated signaling pathway which connects to cellular responses to the extracellular matrix. In particular ITGA11 interacts with other proteins like integrin beta-1 to affect cell survival and movement. Another important pathway involving ITGA11 is the TGF-beta signaling pathway where it contributes to matrix reorganization and fibroblast activation both significant in tissue development and repair mechanisms.

ITGA11 shows association with fibrotic diseases and certain cancers. In fibrosis excessive collagen deposition occurs and ITGA11's interaction with collagen and its regulatory role in fibroblasts can exacerbate this condition. This relationship links ITGA11 to proteins like integrin beta-1 and TGF-beta which are involved in fibrotic tissue transformation. In cancer ITGA11 supports tumor stroma formation contributing to cancer cell survival and spread emphasizing its importance in tumor biology and as a potential therapeutic target.

Product protocols

For this product, it's our understanding that no specific protocols are required. You can visit:

Target data

Integrin alpha-11/beta-1 is a receptor for collagen.
See full target information ITGA11

Product promise

We are committed to supporting your work with high-quality reagents, and we're here for you every step of the way. In the unlikely event that one of our products does not perform as expected, you're protected by our Product Promise.
For full details, please see our Terms & Conditions

Please note: All products are 'FOR RESEARCH USE ONLY. NOT FOR USE IN DIAGNOSTIC OR THERAPEUTIC PROCEDURES'.

For licensing inquiries, please contact partnerships@abcam.com