JavaScript is disabled in your browser. Please enable JavaScript to view this website.
AB203254

Anti-ITGA7 antibody

3

(2 Reviews)

|

(19 Publications)

Rabbit Polyclonal ITGA7 antibody. Suitable for Flow Cyt, WB, IHC-P and reacts with Mouse, Rat, Human samples. Cited in 19 publications. Immunogen corresponding to Synthetic Peptide within Human ITGA7 aa 700-800 conjugated to Keyhole Limpet Haemocyanin.

View Alternative Names

UNQ406/PRO768, ITGA7, Integrin alpha-7

2 Images
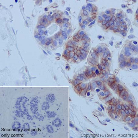
Immunohistochemistry (Formalin/PFA-fixed paraffin-embedded sections) - Anti-ITGA7 antibody (AB203254)
  • IHC-P

Supplier Data

Immunohistochemistry (Formalin/PFA-fixed paraffin-embedded sections) - Anti-ITGA7 antibody (AB203254)

Immunohistochemical analysis of formalin-fixed, paraffin-embedded Human lung carcinoma tissue sections labeling ITGA7 with ab203254 at a 1/200 dilution, followed by conjugation to the secondary antibody (Goat Anti-Rabbit IgG, Cy3 conjugated) used at 1/200 dilution for 40 minutes at 37°C.

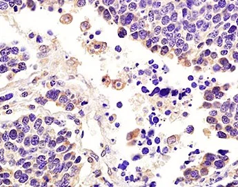
Immunohistochemistry (Formalin/PFA-fixed paraffin-embedded sections) - Anti-ITGA7 antibody (AB203254)
  • IHC-P

Supplier Data

Immunohistochemistry (Formalin/PFA-fixed paraffin-embedded sections) - Anti-ITGA7 antibody (AB203254)

Immunohistochemical analysis of formalin-fixed, paraffin-embedded Human lung carcinoma tissue sections labeling ITGA7 with ab203254 at a 1/200 dilution, followed by conjugation to the secondary antibody and DAB staining.

Key facts

Host species

Rabbit

Clonality

Polyclonal

Isotype

IgG

Carrier free

No

Reacts with

Human, Rat, Mouse

Applications

IHC-P, WB, Flow Cyt

applications

Immunogen

Synthetic Peptide within Human ITGA7 aa 700-800 conjugated to Keyhole Limpet Haemocyanin. The exact immunogen used to generate this antibody is proprietary information.

Q13683

Reactivity data

{ "title": "Reactivity Data", "filters": { "stats": ["", "Species", "Dilution Info", "Notes"], "tabs": { "all-applications": {"fullname" : "All Applications", "shortname": "All Applications"}, "FlowCyt" : {"fullname" : "Flow Cytometry", "shortname":"Flow Cyt"}, "WB" : {"fullname" : "Western blot", "shortname":"WB"}, "IHCP" : {"fullname" : "Immunohistochemistry (Formalin/PFA-fixed paraffin-embedded sections)", "shortname":"IHC-P"} }, "product-promise": { "all": "all", "testedAndGuaranteed": "tested", "guaranteed": "expected", "predicted": "predicted", "notRecommended": "not-recommended" } }, "values": { "Human": { "FlowCyt-species-checked": "guaranteed", "FlowCyt-species-dilution-info": "", "FlowCyt-species-notes": "<p><a href='/en-us/products/primary-antibodies/rabbit-igg-polyclonal-isotype-control-chip-grade-ab171870'>ab171870</a> - Rabbit polyclonal IgG, is suitable for use as an isotype control with this antibody.</p>", "WB-species-checked": "guaranteed", "WB-species-dilution-info": "", "WB-species-notes": "<p></p>", "IHCP-species-checked": "testedAndGuaranteed", "IHCP-species-dilution-info": "1/50 - 1/500", "IHCP-species-notes": "<p></p>" }, "Mouse": { "FlowCyt-species-checked": "guaranteed", "FlowCyt-species-dilution-info": "", "FlowCyt-species-notes": "<p><a href='/en-us/products/primary-antibodies/rabbit-igg-polyclonal-isotype-control-chip-grade-ab171870'>ab171870</a> - Rabbit polyclonal IgG, is suitable for use as an isotype control with this antibody.</p>", "WB-species-checked": "guaranteed", "WB-species-dilution-info": "", "WB-species-notes": "<p></p>", "IHCP-species-checked": "predicted", "IHCP-species-dilution-info": "", "IHCP-species-notes": "" }, "Rat": { "FlowCyt-species-checked": "guaranteed", "FlowCyt-species-dilution-info": "", "FlowCyt-species-notes": "<p><a href='/en-us/products/primary-antibodies/rabbit-igg-polyclonal-isotype-control-chip-grade-ab171870'>ab171870</a> - Rabbit polyclonal IgG, is suitable for use as an isotype control with this antibody.</p>", "WB-species-checked": "guaranteed", "WB-species-dilution-info": "", "WB-species-notes": "<p></p>", "IHCP-species-checked": "predicted", "IHCP-species-dilution-info": "", "IHCP-species-notes": "" } } }

Properties and storage information

Form
Liquid
Purification technique
Affinity purification Protein A
Storage buffer
pH: 7.4 Preservative: 0.02% Proclin 300 Constituents: 50% Glycerol (glycerin, glycerine), 48.98% TBS, 1X, 1% BSA
Shipped at conditions
Blue Ice
Appropriate short-term storage duration
1-2 weeks
Appropriate short-term storage conditions
+4°C
Appropriate long-term storage conditions
-20°C
Aliquoting information
Upon delivery aliquot
Storage information
Avoid freeze / thaw cycle

Supplementary information

This supplementary information is collated from multiple sources and compiled automatically.

ITGA7 also known as integrin alpha 7 is a transmembrane protein that plays an important role in cell adhesion and signaling. Weighing approximately 124 kDa ITGA7 is part of the integrin family of proteins functioning as a receptor that binds primarily to extracellular matrix proteins such as laminins. It is expressed largely in skeletal and cardiac muscle tissues but research shows its presence in other tissues like the nervous system.
Biological function summary

ITGA7 interacts with the beta-1 integrin subunit to form a heterodimeric receptor. This combination mediates cell-matrix adhesion promoting cell migration differentiation and survival. ITGA7 is also involved in the stabilization of mature muscle cells and development of muscle fibers. By engaging with specific laminin isoforms ITGA7 influences tissue architecture and function.

Pathways

Researchers recognize that ITGA7 is important in signaling pathways like the PI3K/Akt pathway which affects cell growth and survival. ITGA7 interacts with proteins like focal adhesion kinase (FAK) to transmit signals from the extracellular matrix to the inside of the cell. This communication helps regulate cellular responses and adaptability in dynamic environments.

ITGA7 has connections to muscular dystrophy and certain types of cancer. Mutations or altered expression of ITGA7 can lead to muscular dystrophy where muscle function becomes compromised. In cancer altered ITGA7 expression may affect tumor progression and metastasis with connections to proteins such as dystroglycan. Understanding these relationships is essential for developing targeted therapeutic interventions.

Product protocols

For this product, it's our understanding that no specific protocols are required. You can visit:

Target data

Integrin alpha-7/beta-1 is the primary laminin receptor on skeletal myoblasts and adult myofibers. During myogenic differentiation, it may induce changes in the shape and mobility of myoblasts, and facilitate their localization at laminin-rich sites of secondary fiber formation. It is involved in the maintenance of the myofibers cytoarchitecture as well as for their anchorage, viability and functional integrity. Isoform Alpha-7X2B and isoform Alpha-7X1B promote myoblast migration on laminin 1 and laminin 2/4, but isoform Alpha-7X1B is less active on laminin 1 (In vitro). Acts as a Schwann cell receptor for laminin-2. Acts as a receptor of COMP and mediates its effect on vascular smooth muscle cells (VSMCs) maturation (By similarity). Required to promote contractile phenotype acquisition in differentiated airway smooth muscle (ASM) cells.
See full target information ITGA7

Publications (19)

Recent publications for all applications. Explore the full list and refine your search

The Journal of cell biology 224: PubMed40304687

2025

Extracellular vesicles adhere to cells primarily by interactions of integrins and GM1 with laminin.

Applications

Unspecified application

Species

Unspecified reactive species

Tatsuki Isogai,Koichiro M Hirosawa,Miki Kanno,Ayano Sho,Rinshi S Kasai,Naoko Komura,Hiromune Ando,Keiko Furukawa,Yuhsuke Ohmi,Koichi Furukawa,Yasunari Yokota,Kenichi G N Suzuki

Scientific reports 15:12306 PubMed40210748

2025

Molecular typing of gliomas on the basis of integrin family genes and a functional study of ITGA7.

Applications

Unspecified application

Species

Unspecified reactive species

Hongxi Han,Peng Feng,Guoqiang Yuan

Journal of applied physiology (Bethesda, Md. : 1985) 135:918-931 PubMed37675473

2023

Prolonged mechanical muscle loading increases mechanosensor gene and protein levels and causes a moderate fast-to-slow fiber type switch in mice.

Applications

Unspecified application

Species

Unspecified reactive species

Mathias Vanmunster,Ana Victoria Rojo-Garcia,Alexander Pacolet,Ilse Jonkers,Katrien Koppo,Rik Lories,Frank Suhr

eLife 11: PubMed36537758

2022

The mini-IDLE 3D biomimetic culture assay enables interrogation of mechanisms governing muscle stem cell quiescence and niche repopulation.

Applications

Unspecified application

Species

Unspecified reactive species

Erik Jacques,Yinni Kuang,Allison P Kann,Fabien Le Grand,Robert S Krauss,Penney M Gilbert

Oncology letters 25:26 PubMed36478908

2022

Effect of integrin α7 on cell proliferation, invasion, apoptosis and the PI3K/AKT pathway, and its association with clinicopathological features in endometrial cancer.

Applications

Unspecified application

Species

Unspecified reactive species

Minglin Liang,Cong Liu,Tao Lei,Shiyi Guo,Jie Min

Frontiers in medicine 8:674523 PubMed34355002

2021

Expression and Pathogenic Analysis of Integrin Family Genes in Systemic Sclerosis.

Applications

Unspecified application

Species

Unspecified reactive species

Dan Xu,Ting Li,Ruikang Wang,Rong Mu

Scientific reports 10:13939 PubMed32883960

2020

Multi-omic single cell analysis resolves novel stromal cell populations in healthy and diseased human tendon.

Applications

Unspecified application

Species

Unspecified reactive species

Adrian R Kendal,Thomas Layton,Hussein Al-Mossawi,Louise Appleton,Stephanie Dakin,Rick Brown,Constantinos Loizou,Mark Rogers,Robert Sharp,Andrew Carr

Brain communications 2:fcaa133 PubMed33005894

2020

Haploinsufficiency of TANK-binding kinase 1 prepones age-associated neuroinflammatory changes without causing motor neuron degeneration in aged mice.

Applications

Unspecified application

Species

Unspecified reactive species

Clara Bruno,Kirsten Sieverding,Axel Freischmidt,Takashi Satoh,Paul Walther,B Mayer,Albert C Ludolph,Shizuo Akira,Deniz Yilmazer-Hanke,Karin M Danzer,Christian S Lobsiger,David Brenner,Jochen H Weishaupt

Acta biochimica et biophysica Sinica 52:116-124 PubMed31942970

2020

Downregulating integrin subunit alpha 7 (ITGA7) promotes proliferation, invasion, and migration of papillary thyroid carcinoma cells through regulating epithelial-to-mesenchymal transition.

Applications

Unspecified application

Species

Unspecified reactive species

Yaoyao Guan,Adheesh Bhandari,Erjie Xia,Lingguo Kong,Xiaohua Zhang,Ouchen Wang

Medical science monitor : international medical jo 26:e919820 PubMed31902939

2020

Lysophosphatidic Acid Receptor 5 (LPAR5) Plays a Significance Role in Papillary Thyroid Cancer via Phosphatidylinositol 3-Kinase/Akt/Mammalian Target of Rapamycin (mTOR) Pathway.

Applications

Unspecified application

Species

Unspecified reactive species

Cheng-Yong Wu,Chen Zheng,Er-Jie Xia,Rui-Da Quan,Jing Hu,Xiao-Hua Zhang,Ru-Tian Hao
View all publications

Product promise

We are committed to supporting your work with high-quality reagents, and we're here for you every step of the way. In the unlikely event that one of our products does not perform as expected, you're protected by our Product Promise.
For full details, please see our Terms & Conditions

Please note: All products are 'FOR RESEARCH USE ONLY. NOT FOR USE IN DIAGNOSTIC OR THERAPEUTIC PROCEDURES'.

For licensing inquiries, please contact partnerships@abcam.com