JavaScript is disabled in your browser. Please enable JavaScript to view this website.
AB198809

Anti-ITIH1/SHAP antibody

Be the first to review this product! Submit a review

|

(1 Publication)

Rabbit Polyclonal ITIH1/SHAP antibody. Suitable for IHC-P and reacts with Human samples. Cited in 1 publication. Immunogen corresponding to Synthetic Peptide within Human ITIH1.

View Alternative Names

IGHEP1, ITIH1, Inter-alpha-trypsin inhibitor heavy chain H1, ITI heavy chain H1, ITI-HC1, Inter-alpha-inhibitor heavy chain 1, Inter-alpha-trypsin inhibitor complex component III, Serum-derived hyaluronan-associated protein, SHAP

1 Images
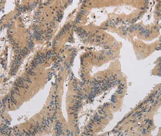
Immunohistochemistry (Formalin/PFA-fixed paraffin-embedded sections) - Anti-ITIH1/SHAP antibody (AB198809)
  • IHC-P

Supplier Data

Immunohistochemistry (Formalin/PFA-fixed paraffin-embedded sections) - Anti-ITIH1/SHAP antibody (AB198809)

Immunohistochemical analysis of paraffin-embedded Human colon cancer tissue labeling ITIH1/SHAP with ab198809 at 1/30 dilution.

Key facts

Host species

Rabbit

Clonality

Polyclonal

Isotype

IgG

Carrier free

No

Reacts with

Human

Applications

IHC-P

applications

Immunogen

Synthetic Peptide within Human ITIH1. The exact immunogen used to generate this antibody is proprietary information.

P19827

Reactivity data

{ "title": "Reactivity Data", "filters": { "stats": ["", "Species", "Dilution Info", "Notes"], "tabs": { "all-applications": {"fullname" : "All Applications", "shortname": "All Applications"}, "IHCP" : {"fullname" : "Immunohistochemistry (Formalin/PFA-fixed paraffin-embedded sections)", "shortname":"IHC-P"} }, "product-promise": { "all": "all", "testedAndGuaranteed": "tested", "guaranteed": "expected", "predicted": "predicted", "notRecommended": "not-recommended" } }, "values": { "Human": { "IHCP-species-checked": "testedAndGuaranteed", "IHCP-species-dilution-info": "1/50 - 1/200", "IHCP-species-notes": "<p></p>" }, "Mouse": { "IHCP-species-checked": "predicted", "IHCP-species-dilution-info": "", "IHCP-species-notes": "" } } }

Properties and storage information

Form
Liquid
Purification technique
Affinity purification Immunogen
Storage buffer
pH: 7.4 Preservative: 0.05% Sodium azide Constituents: PBS, 50% Glycerol (glycerin, glycerine)
Shipped at conditions
Blue Ice
Appropriate short-term storage duration
1-2 weeks
Appropriate short-term storage conditions
+4°C
Appropriate long-term storage conditions
-20°C
Aliquoting information
Upon delivery aliquot
Storage information
Avoid freeze / thaw cycle

Supplementary information

This supplementary information is collated from multiple sources and compiled automatically.

The target ITIH1 also known as Inter-alpha-trypsin inhibitor heavy chain H1 is a component of the inter-alpha-inhibitor family. ITIH1 has an approximate mass of 100 kDa. This protein is mainly expressed in the liver and secreted into the blood participating in the extracellular matrix. ITIH1 works by stabilizing urinary trypsin inhibitors and playing a role in maintaining structural integrity in tissues especially during inflammation and tissue repair.
Biological function summary

ITIH1 interacts with other macromolecules to form complexes that modulate the extracellular environment. It is part of a complex that involves proteins like bikunin which is important in the formation of the inter-alpha-inhibitor complex. This complex plays important roles in modulating inflammation and is implicated in various physiological processes like immunological responses.

Pathways

ITIH1 is integrated into the acute-phase response pathway which responds to inflammation. It cooperates with proteins such as ITIH2 another member of the inter-alpha-trypsin inhibitor family to mediate immune and inflammatory processes. Furthermore ITIH1 participates in the protective mechanisms against pathogenic invasion through the complement pathway.

ITIH1 has associations with conditions such as sepsis and liver cirrhosis. In sepsis ITIH1 levels may be altered influencing the inflammatory response and affecting patient outcomes. The interaction between ITIH1 and proteins involved in these diseases such as tumor necrosis factor-alpha (TNF-alpha) suggests its role as a potential biomarker or therapeutic target in these pathologies.

Product protocols

For this product, it's our understanding that no specific protocols are required. You can visit:

Target data

May act as a carrier of hyaluronan in serum or as a binding protein between hyaluronan and other matrix protein, including those on cell surfaces in tissues to regulate the localization, synthesis and degradation of hyaluronan which are essential to cells undergoing biological processes.. Contains a potential peptide which could stimulate a broad spectrum of phagocytotic cells.
See full target information ITIH1

Publications (1)

Recent publications for all applications. Explore the full list and refine your search

Frontiers in pharmacology 12:658511 PubMed33953685

2021

Uridine Diphosphate Promotes Rheumatoid Arthritis Through P2Y6 Activation.

Applications

Unspecified application

Species

Unspecified reactive species

Hongxing Wang,Hui Wu,Kehua Fang,Xiaotian Chang
View all publications

Product promise

We are committed to supporting your work with high-quality reagents, and we're here for you every step of the way. In the unlikely event that one of our products does not perform as expected, you're protected by our Product Promise.
For full details, please see our Terms & Conditions

Please note: All products are 'FOR RESEARCH USE ONLY. NOT FOR USE IN DIAGNOSTIC OR THERAPEUTIC PROCEDURES'.

For licensing inquiries, please contact partnerships@abcam.com