JavaScript is disabled in your browser. Please enable JavaScript to view this website.
AB118257

Anti-ITIH2/SHAP antibody

Be the first to review this product! Submit a review

|

(3 Publications)

Rabbit Polyclonal ITIH2/SHAP antibody. Suitable for WB, IHC-P and reacts with Human samples. Cited in 3 publications. Immunogen corresponding to Recombinant Fragment Protein within Human ITIH2 aa 100-350.

View Alternative Names

IGHEP2, ITIH2, Inter-alpha-trypsin inhibitor heavy chain H2, ITI heavy chain H2, ITI-HC2, Inter-alpha-inhibitor heavy chain 2, Inter-alpha-trypsin inhibitor complex component II, Serum-derived hyaluronan-associated protein, SHAP

2 Images
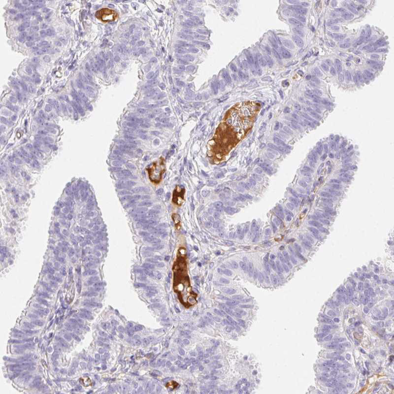
Immunohistochemistry (Formalin/PFA-fixed paraffin-embedded sections) - Anti-ITIH2/SHAP antibody (AB118257)
  • IHC-P

Unknown

Immunohistochemistry (Formalin/PFA-fixed paraffin-embedded sections) - Anti-ITIH2/SHAP antibody (AB118257)

Immunohistochemical analysis of formalin fixed paraffin embedded Human fetal brain tissue using ab118257 at 1/100

Western blot - Anti-ITIH2/SHAP antibody (AB118257)
  • WB

Unknown

Western blot - Anti-ITIH2/SHAP antibody (AB118257)

All lanes:

Western blot - Anti-ITIH2/SHAP antibody (ab118257) at 1/500 dilution

All lanes:

Human Fetal brain lysate

Predicted band size: 106 kDa

Observed band size: 106 kDa

false

Key facts

Host species

Rabbit

Clonality

Polyclonal

Isotype

IgG

Carrier free

No

Reacts with

Human

Applications

IHC-P, WB

applications

Immunogen

Recombinant Fragment Protein within Human ITIH2 aa 100-350. The exact immunogen used to generate this antibody is proprietary information.

P19823

Reactivity data

{ "title": "Reactivity Data", "filters": { "stats": ["", "Species", "Dilution Info", "Notes"], "tabs": { "all-applications": {"fullname" : "All Applications", "shortname": "All Applications"}, "WB" : {"fullname" : "Western blot", "shortname":"WB"}, "IHCP" : {"fullname" : "Immunohistochemistry (Formalin/PFA-fixed paraffin-embedded sections)", "shortname":"IHC-P"} }, "product-promise": { "all": "all", "testedAndGuaranteed": "tested", "guaranteed": "expected", "predicted": "predicted", "notRecommended": "not-recommended" } }, "values": { "Human": { "WB-species-checked": "testedAndGuaranteed", "WB-species-dilution-info": "1/500 - 1/1000", "WB-species-notes": "<p></p>", "IHCP-species-checked": "testedAndGuaranteed", "IHCP-species-dilution-info": "1/100 - 1/500", "IHCP-species-notes": "<p></p>" }, "Mouse": { "WB-species-checked": "predicted", "WB-species-dilution-info": "", "WB-species-notes": "", "IHCP-species-checked": "predicted", "IHCP-species-dilution-info": "", "IHCP-species-notes": "" }, "Rat": { "WB-species-checked": "predicted", "WB-species-dilution-info": "", "WB-species-notes": "", "IHCP-species-checked": "predicted", "IHCP-species-dilution-info": "", "IHCP-species-notes": "" } } }

Properties and storage information

Form
Liquid
Purification technique
Affinity purification Immunogen
Storage buffer
pH: 7.2 Preservative: 0.02% Sodium azide Constituents: PBS, 1% BSA
Shipped at conditions
Blue Ice
Appropriate short-term storage conditions
+4°C
Appropriate long-term storage conditions
-20°C
Aliquoting information
Upon delivery aliquot
Storage information
Avoid freeze / thaw cycle

Supplementary information

This supplementary information is collated from multiple sources and compiled automatically.

ITIH2 also known as Inter-alpha-trypsin inhibitor heavy chain H2 is a protein involved in matrix stabilization during inflammation and tissue repair. With a mass of approximately 125 kDa this protein is primarily expressed in the liver and secreted into the bloodstream. It forms part of the inter-alpha-trypsin inhibitor family where it binds to small glycosaminoglycans such as hyaluronan playing a role in the structural integrity of extracellular matrices.
Biological function summary

ITIH2 functions as a stabilizer in extracellular matrices especially during inflammation and tissue repair processes. It is part of a complex known as the serum-derived hyaluronan-associated protein (SHAP) which contributes to the VCAN (versican) network of the extracellular matrix. This complex participates in organizing matrix assembly and modulating cellular responses during tissue injury.

Pathways

In inflammatory and repair mechanisms ITIH2 plays an important role. It engages in pathways involving extracellular matrix degradation and repair as well as inflammatory response signaling. ITIH2 interacts with proteins such as hyaluronan synthase to influence matrix dynamics. This interaction highlights its participation in significant pathways like those regulating tissue turnover and inflammatory responses.

ITIH2 has been linked to inflammatory conditions and liver disorders. In the context of liver diseases altered levels of ITIH2 may reflect liver pathology such as cirrhosis or hepatitis. Its connection to hyaluronan suggests a relationship with fibrosis where matrix remodeling occurs. Moreover in conditions like rheumatoid arthritis it may interact with C-reactive protein further implying its role in disease processes related to inflammation.

Product protocols

For this product, it's our understanding that no specific protocols are required. You can visit:

Target data

May act as a carrier of hyaluronan in serum or as a binding protein between hyaluronan and other matrix protein, including those on cell surfaces in tissues to regulate the localization, synthesis and degradation of hyaluronan which are essential to cells undergoing biological processes.
See full target information ITIH2

Publications (3)

Recent publications for all applications. Explore the full list and refine your search

ACS infectious diseases 8:1075-1085 PubMed35486714

2022

Glycomic Analysis Reveals a Conserved Response to Bacterial Sepsis Induced by Different Bacterial Pathogens.

Applications

Unspecified application

Species

Unspecified reactive species

Daniel W Heindel,Shuhui Chen,Peter V Aziz,Jonathan Y Chung,Jamey D Marth,Lara K Mahal

The Journal of biological chemistry 291:13789-801 PubMed27143355

2016

Tumor Necrosis Factor-stimulated Gene 6 (TSG-6)-mediated Interactions with the Inter-α-inhibitor Heavy Chain 5 Facilitate Tumor Growth Factor β1 (TGFβ1)-dependent Fibroblast to Myofibroblast Differentiation.

Applications

Unspecified application

Species

Unspecified reactive species

John Martin,Adam Midgley,Soma Meran,Emma Woods,Timothy Bowen,Aled O Phillips,Robert Steadman

The Journal of biological chemistry 288:25792-803 PubMed23878196

2013

Immobilized heavy chain-hyaluronic acid polarizes lipopolysaccharide-activated macrophages toward M2 phenotype.

Applications

WB

Species

Human

Hua He,Suzhen Zhang,Sean Tighe,Ji Son,Scheffer C G Tseng
View all publications

Product promise

We are committed to supporting your work with high-quality reagents, and we're here for you every step of the way. In the unlikely event that one of our products does not perform as expected, you're protected by our Product Promise.
For full details, please see our Terms & Conditions

Please note: All products are 'FOR RESEARCH USE ONLY. NOT FOR USE IN DIAGNOSTIC OR THERAPEUTIC PROCEDURES'.

For licensing inquiries, please contact partnerships@abcam.com