JavaScript is disabled in your browser. Please enable JavaScript to view this website.
AB254469

Anti-ITLN1 antibody [EPR22488-27] - BSA and Azide free

Be the first to review this product! Submit a review

|

(0 Publication)

Rabbit Recombinant Monoclonal ITLN1 antibody. Carrier free. Suitable for WB, IHC-P and reacts with Human samples.

View Alternative Names

INTL, ITLN, LFR, UNQ640/PRO1270, ITLN1, Intelectin-1, ITLN-1, Endothelial lectin HL-1, Galactofuranose-binding lectin, Intestinal lactoferrin receptor, Omentin

2 Images
Immunohistochemistry (Formalin/PFA-fixed paraffin-embedded sections) - Anti-ITLN1 antibody [EPR22488-27] - BSA and Azide free (AB254469)
  • IHC-P

Unknown

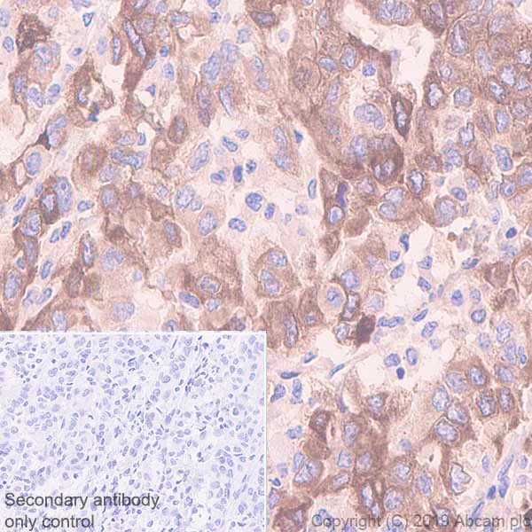
Immunohistochemistry (Formalin/PFA-fixed paraffin-embedded sections) - Anti-ITLN1 antibody [EPR22488-27] - BSA and Azide free (AB254469)

Immunohistochemical analysis of paraffin-embedded human mesothelioma tissue labeling ITLN1 with ab252927 at 1/2000 dilution, followed by a ready to use Goat Anti-Rabbit IgG H&L (HRP). Positive staining in human mesothelioma (PMID : 22768319,28394802) is observed. Counterstained with hematoxylin.

Secondary antibody only control : Used PBS instead of primary antibody, secondary antibody is a ready to use Goat Anti-Rabbit IgG H&L (HRP).

Perform heat mediated antigen retrieval using ab93684 (Tris/EDTA buffer, pH 9.0).

This data was developed using the same antibody clone in a different buffer formulation containing PBS, BSA, glycerol, and sodium azide (ab252927).

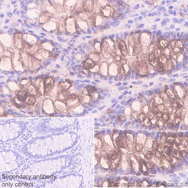
Immunohistochemistry (Formalin/PFA-fixed paraffin-embedded sections) - Anti-ITLN1 antibody [EPR22488-27] - BSA and Azide free (AB254469)
  • IHC-P

Unknown

Immunohistochemistry (Formalin/PFA-fixed paraffin-embedded sections) - Anti-ITLN1 antibody [EPR22488-27] - BSA and Azide free (AB254469)

Immunohistochemical analysis of paraffin-embedded human colon tissue labeling ITLN1 with ab252927 at 1/2000 dilution, followed by a ready to use Goat Anti-Rabbit IgG H&L (HRP). Positive staining in goblet cells of human colon (PMID : 22768319) is observed. Counterstained with hematoxylin.

Secondary antibody only control : Used PBS instead of primary antibody, secondary antibody is a ready to use Goat Anti-Rabbit IgG H&L (HRP).

Perform heat mediated antigen retrieval using ab93684 (Tris/EDTA buffer, pH 9.0).

This data was developed using the same antibody clone in a different buffer formulation containing PBS, BSA, glycerol, and sodium azide (ab252927).

Key facts

Host species

Rabbit

Clonality

Monoclonal

Clone number

EPR22488-27

Isotype

IgG

Carrier free

Yes

Reacts with

Human

Applications

IHC-P, WB

applications

Immunogen

The exact immunogen used to generate this antibody is proprietary information.

Reactivity data

{ "title": "Reactivity Data", "filters": { "stats": ["", "Species", "Dilution Info", "Notes"], "tabs": { "all-applications": {"fullname" : "All Applications", "shortname": "All Applications"}, "IP" : {"fullname" : "Immunoprecipitation", "shortname":"IP"}, "WB" : {"fullname" : "Western blot", "shortname":"WB"}, "IHCP" : {"fullname" : "Immunohistochemistry (Formalin/PFA-fixed paraffin-embedded sections)", "shortname":"IHC-P"} }, "product-promise": { "all": "all", "testedAndGuaranteed": "tested", "guaranteed": "expected", "predicted": "predicted", "notRecommended": "not-recommended" } }, "values": { "Human": { "IP-species-checked": "notRecommended", "IP-species-dilution-info": "", "IP-species-notes": "<p></p>", "WB-species-checked": "guaranteed", "WB-species-dilution-info": "", "WB-species-notes": "<p></p>", "IHCP-species-checked": "testedAndGuaranteed", "IHCP-species-dilution-info": "", "IHCP-species-notes": "<p></p>" } } }

Product details

ab254469 is the carrier-free version of ab252927.

Patented technology
Our RabMAb® technology is a patented hybridoma-based technology for making rabbit monoclonal antibodies. For details on our patents, please refer to RabMAb® patents.

What are the advantages of a recombinant monoclonal antibody?
This product is a recombinant monoclonal antibody, which offers several advantages including:

  • - High batch-to-batch consistency and reproducibility
  • - Improved sensitivity and specificity
  • - Long-term security of supply
  • - Animal-free batch production

For more information, read more on recombinant antibodies.

Conjugation ready
Our carrier-free antibodies are typically supplied in a PBS-only formulation, purified and free of BSA, sodium azide and glycerol. This conjugation-ready format is designed for use with fluorochromes, metal isotopes, oligonucleotides, and enzymes, which makes them ideal for antibody labelling, functional and cell-based assays, flow-based assays (e.g. mass cytometry) and Multiplex Imaging applications.

Use our conjugation kits for antibody conjugates that are ready-to-use in as little as 20 minutes with 1 minute hands-on-time and 100% antibody recovery: available for fluorescent dyes, HRP, biotin and gold.

Compatibility
This product is compatible with the Maxpar® Antibody Labeling Kit from Fluidigm, without the need for antibody preparation. Maxpar® is a trademark of Fluidigm Canada Inc.

Properties and storage information

Form
Liquid
Purification technique
Affinity purification Protein A
Storage buffer
pH: 7.2 - 7.4 Constituents: PBS
Shipped at conditions
Blue Ice
Appropriate short-term storage conditions
+4°C
Appropriate long-term storage conditions
+4°C
Storage information
Do Not Freeze

Supplementary information

This supplementary information is collated from multiple sources and compiled automatically.

ITLN1 also known as 'omentin-1' or 'omentin' is a carbohydrate-binding protein mainly involved in the recognition and binding of microbial polysaccharides. This protein weighs approximately 36 kDa and is predominantly expressed in visceral fat and other tissues such as the heart lungs and placenta. ITLN1 functions as an adipokine a signaling molecule released by fat tissue and it plays a significant role in regulating glucose metabolism and insulin sensitivity.
Biological function summary

This target contributes to various important processes related to inflammatory and immune responses. ITLN1 is part of a complex network of interactions involving lectin receptors and other carbohydrate-binding proteins. It functions in response to pathogens by recognizing and trapping them thereby aiding in pathogen clearance. Its anti-inflammatory effects are mediated through its capacity to bind to ligands found on the surface of bacteria therefore preventing their adhesion and invasion.

Pathways

ITLN1 interacts with the insulin signaling and inflammation pathways. It has a direct relation with the PI3K/Akt pathway known to play roles in glucose uptake and metabolism. This interaction has a connection to proteins like insulin receptor substrate-1 (IRS-1) through this pathway. Additionally ITLN1 engages with adipocytokine pathways impacting processes like lipid metabolism and inflammation.

Researchers have found links between ITLN1 and metabolic diseases particularly type 2 diabetes and obesity. Reduced levels of ITLN1 correlate with poor metabolic control and increased risk for these conditions. Moreover its expression and secretion tend to alter in response to inflammation linking it with inflammatory disorders and processes. Other proteins such as adiponectin also involve themselves in these metabolic pathways providing insight into their interconnected roles in metabolic homeostasis.

Product protocols

For this product, it's our understanding that no specific protocols are required. You can visit:

Target data

Lectin that specifically recognizes microbial carbohydrate chains in a calcium-dependent manner (PubMed : 11313366, PubMed : 26148048). Binds to microbial glycans that contain a terminal acyclic 1,2-diol moiety, including beta-linked D-galactofuranose (beta-Galf), D-phosphoglycerol-modified glycans, D-glycero-D-talo-oct-2-ulosonic acid (KO) and 3-deoxy-D-manno-oct-2-ulosonic acid (KDO) (PubMed : 26148048). Binds to glycans from Gram-positive and Gram-negative bacteria, including K.pneumoniae, S.pneumoniae, Y.pestis, P.mirabilis and P.vulgaris (PubMed : 26148048). Does not bind human glycans (PubMed : 26148048). Probably plays a role in the defense system against microorganisms (Probable). May function as adipokine that has no effect on basal glucose uptake but enhances insulin-stimulated glucose uptake in adipocytes (PubMed : 16531507). Increases AKT phosphorylation in the absence and presence of insulin (PubMed : 16531507). May interact with lactoferrin/LTF and increase its uptake, and may thereby play a role in iron absorption (PubMed : 11747454, PubMed : 23921499).
See full target information ITLN1

Product promise

We are committed to supporting your work with high-quality reagents, and we're here for you every step of the way. In the unlikely event that one of our products does not perform as expected, you're protected by our Product Promise.
For full details, please see our Terms & Conditions

Please note: All products are 'FOR RESEARCH USE ONLY. NOT FOR USE IN DIAGNOSTIC OR THERAPEUTIC PROCEDURES'.

For licensing inquiries, please contact partnerships@abcam.com