JavaScript is disabled in your browser. Please enable JavaScript to view this website.
AB210483

Anti-ITLN1 + ITLN2 antibody [EPR20311]

Be the first to review this product! Submit a review

|

(2 Publications)

Rabbit Recombinant Monoclonal ITLN1 antibody. Suitable for WB, IHC-Fr, IHC-P and reacts with Mouse, Rat, Human samples. Cited in 2 publications.

View Alternative Names

INTL, ITLN, LFR, UNQ640/PRO1270, ITLN1, Intelectin-1, ITLN-1, Endothelial lectin HL-1, Galactofuranose-binding lectin, Intestinal lactoferrin receptor, Omentin

8 Images
Immunohistochemistry (Formalin/PFA-fixed paraffin-embedded sections) - Anti-ITLN1 + ITLN2 antibody [EPR20311] (AB210483)
  • IHC-P

Supplier Data

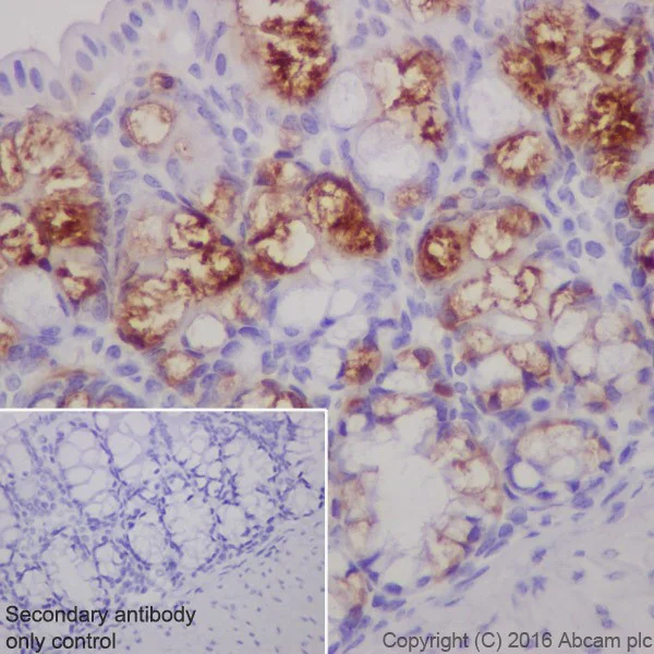
Immunohistochemistry (Formalin/PFA-fixed paraffin-embedded sections) - Anti-ITLN1 + ITLN2 antibody [EPR20311] (AB210483)

Immunohistochemical analysis of paraffin-embedded human colon tissue labeling ITLN1 + ITLN2 with ab210483 at 1/1000 dilution followed by Goat Anti-Rabbit IgG H&L (HRP) (ab97051) at 1/500 dilution.

Cytoplasmic staining on goblet cells of human colon is observed [PMID : 22768319] [PMID : 19549487].

Counter stained with Hematoxylin.

Secondary antibody only control : Used PBS instead of primary antibody secondary antibody is Goat Anti-Rabbit IgG H&L (HRP) (ab97051) at 1/500 dilution.

Perform heat mediated antigen retrieval with Tris/EDTA buffer pH 9.0 before commencing with IHC staining protocol.

Immunohistochemistry (Formalin/PFA-fixed paraffin-embedded sections) - Anti-ITLN1 + ITLN2 antibody [EPR20311] (AB210483)
  • IHC-P

Supplier Data

Immunohistochemistry (Formalin/PFA-fixed paraffin-embedded sections) - Anti-ITLN1 + ITLN2 antibody [EPR20311] (AB210483)

Immunohistochemical analysis of paraffin-embedded rat colon tissue labeling ITLN1 + ITLN2 with ab210483 at 1/1000 dilution followed by Goat Anti-Rabbit IgG H&L (HRP) (ab97051) at 1/500 dilution.

Cytoplasmic staining on goblet cells of rat colon is observed [PMID : 22768319] [PMID : 19549487].

Counter stained with Hematoxylin.

Secondary antibody only control : Used PBS instead of primary antibody secondary antibody is Goat Anti-Rabbit IgG H&L (HRP) (ab97051) at 1/500 dilution.

Perform heat mediated antigen retrieval with Tris/EDTA buffer pH 9.0 before commencing with IHC staining protocol.

Immunohistochemistry (Frozen sections) - Anti-ITLN1 + ITLN2 antibody [EPR20311] (AB210483)
  • IHC-Fr

Supplier Data

Immunohistochemistry (Frozen sections) - Anti-ITLN1 + ITLN2 antibody [EPR20311] (AB210483)

Immunohistochemical analysis of 4% paraformaldehyde-fixed 0.2% Triton X-100 permeabilized frozen mouse colon tissue labeling ITLN1 + ITLN2 with ab210483 at 1/500 dilution followed by Goat anti-rabbit IgG (Alexa Fluor® 488) (ab150077) secondary antibody at 1/1000 dilution (green).

Cytoplasmic staining on goblet cells of mouse colon is observed [PMID : 22768319] [PMID : 19549487].

The nuclear counterstain is DAPI (blue).

Secondary antibody only control : Used PBS instead of primary antibody secondary antibody is Goat anti-rabbit IgG (Alexa Fluor® 488) (ab150077) at 1/1000 dilution.

Immunohistochemistry (Formalin/PFA-fixed paraffin-embedded sections) - Anti-ITLN1 + ITLN2 antibody [EPR20311] (AB210483)
  • IHC-P

Supplier Data

Immunohistochemistry (Formalin/PFA-fixed paraffin-embedded sections) - Anti-ITLN1 + ITLN2 antibody [EPR20311] (AB210483)

Immunohistochemical analysis of paraffin-embedded mouse colon tissue labeling ITLN1 + ITLN2 with ab210483 at 1/1000 dilution followed by Goat Anti-Rabbit IgG H&L (HRP) (ab97051) at 1/500 dilution.

Cytoplasmic staining on goblet cells of mouse colon is observed [PMID : 22768319] [PMID : 19549487].

Counter stained with Hematoxylin.

Secondary antibody only control : Used PBS instead of primary antibody secondary antibody is Goat Anti-Rabbit IgG H&L (HRP) (ab97051) at 1/500 dilution.

Perform heat mediated antigen retrieval with Tris/EDTA buffer pH 9.0 before commencing with IHC staining protocol.

Western blot - Anti-ITLN1 + ITLN2 antibody [EPR20311] (AB210483)
  • WB

Supplier Data

Western blot - Anti-ITLN1 + ITLN2 antibody [EPR20311] (AB210483)

Blocking/Dilution buffer : 5% NFDM/TBST.

Spleen is a negative control (PMID : 11181563).

All lanes:

Western blot - Anti-ITLN1 + ITLN2 antibody [EPR20311] (ab210483) at 1/5000 dilution

Lane 1:

Human colon lysate at 20 µg

Lane 2:

Human fetal spleen tissue lysate at 20 µg

Secondary

All lanes:

Western blot - Goat Anti-Rabbit IgG H&L (HRP) (<a href='/en-us/products/secondary-antibodies/goat-rabbit-igg-h-l-hrp-ab97051'>ab97051</a>) at 1/100000 dilution

Predicted band size: 35 kDa

Observed band size: 40 kDa

false

Exposure time: 5s

Western blot - Anti-ITLN1 + ITLN2 antibody [EPR20311] (AB210483)
  • WB

Supplier Data

Western blot - Anti-ITLN1 + ITLN2 antibody [EPR20311] (AB210483)

Blocking/Dilution buffer : 5% NFDM/TBST.

The observed molecular weight is consistent with the literature (PMID : 11313366, PMID : 20628387).

All lanes:

Western blot - Anti-ITLN1 + ITLN2 antibody [EPR20311] (ab210483) at 1/5000 dilution

All lanes:

Human small intestine lysate at 10 µg

Secondary

All lanes:

Western blot - Goat Anti-Rabbit IgG H&L (HRP) (<a href='/en-us/products/secondary-antibodies/goat-rabbit-igg-h-l-hrp-ab97051'>ab97051</a>) at 1/100000 dilution

Predicted band size: 35 kDa

Observed band size: 40 kDa

false

Exposure time: 1s

Western blot - Anti-ITLN1 + ITLN2 antibody [EPR20311] (AB210483)
  • WB

Supplier Data

Western blot - Anti-ITLN1 + ITLN2 antibody [EPR20311] (AB210483)

Blocking/Dilution buffer : 5% NFDM/TBST.

Exposure time : Lane 1/2 : 1 minute; Lane 3/4 : 30 seconds.

The observed molecular weight is consistent with the literature (PMID : 11313366, PMID : 20628387).

All lanes:

Western blot - Anti-ITLN1 + ITLN2 antibody [EPR20311] (ab210483) at 1/5000 dilution

Lane 1:

Mouse colon lysate at 20 µg

Lane 2:

Rat small intestine lysate at 20 µg

Lane 3:

Mouse small intestine lysate at 20 µg

Lane 4:

Rat colon lysate at 20 µg

Secondary

All lanes:

Western blot - Goat Anti-Rabbit IgG H&L (HRP) (<a href='/en-us/products/secondary-antibodies/goat-rabbit-igg-h-l-hrp-ab97051'>ab97051</a>) at 1/100000 dilution

Predicted band size: 35 kDa

Observed band size: 40 kDa

false

Western blot - Anti-ITLN1 + ITLN2 antibody [EPR20311] (AB210483)
  • WB

Supplier Data

Western blot - Anti-ITLN1 + ITLN2 antibody [EPR20311] (AB210483)

Blocking/Dilution buffer : 5% NFDM/TBST.

All lanes:

Western blot - Anti-ITLN1 + ITLN2 antibody [EPR20311] (ab210483) at 1/1000 dilution

Lane 1:

Recombinant human ITLN1 protein (<a href='/en-us/products/unavailable/recombinant-human-itln1-protein-ab109151'>ab109151</a>) at 0.01 µg

Lane 2:

Human ITLN2 His-tagged recombinant protein (aa27-325) at 0.01 µg

Secondary

All lanes:

Western blot - Goat Anti-Rabbit IgG H&L (HRP) (<a href='/en-us/products/secondary-antibodies/goat-rabbit-igg-h-l-hrp-ab97051'>ab97051</a>) at 1/100000 dilution

Predicted band size: 35 kDa

Observed band size: 36 kDa,37 kDa

false

Exposure time: 10s

  • Carrier free

    Anti-ITLN1+ITLN2 antibody [EPR20311] - BSA and Azide free

Key facts

Host species

Rabbit

Clonality

Monoclonal

Clone number

EPR20311

Isotype

IgG

Carrier free

No

Reacts with

Mouse, Rat, Human

Applications

WB, IHC-Fr, IHC-P

applications

Immunogen

The exact immunogen used to generate this antibody is proprietary information.

Specificity

ITLN1 mRNA expression in stomach has been reported [PMID: 19549487]. Another report [PMID: 22768319] shows no staining on stomach at protein level. In our hands this antibody showed weak cytoplasmic staining on stomach samples.

Reactivity data

{ "title": "Reactivity Data", "filters": { "stats": ["", "Species", "Dilution Info", "Notes"], "tabs": { "all-applications": {"fullname" : "All Applications", "shortname": "All Applications"}, "WB" : {"fullname" : "Western blot", "shortname":"WB"}, "IHCFr" : {"fullname" : "Immunohistochemistry (Frozen sections)", "shortname":"IHC-Fr"}, "IHCP" : {"fullname" : "Immunohistochemistry (Formalin/PFA-fixed paraffin-embedded sections)", "shortname":"IHC-P"} }, "product-promise": { "all": "all", "testedAndGuaranteed": "tested", "guaranteed": "expected", "predicted": "predicted", "notRecommended": "not-recommended" } }, "values": { "Human": { "WB-species-checked": "testedAndGuaranteed", "WB-species-dilution-info": "1/1000", "WB-species-notes": "<p></p>", "IHCFr-species-checked": "guaranteed", "IHCFr-species-dilution-info": "", "IHCFr-species-notes": "", "IHCP-species-checked": "testedAndGuaranteed", "IHCP-species-dilution-info": "1/1000", "IHCP-species-notes": "<p></p>" }, "Mouse": { "WB-species-checked": "testedAndGuaranteed", "WB-species-dilution-info": "1/1000", "WB-species-notes": "<p></p>", "IHCFr-species-checked": "testedAndGuaranteed", "IHCFr-species-dilution-info": "1/500", "IHCFr-species-notes": "<p>Antigen retrieval: Heated citrate solution (10mM citrate PH 6.0 + 0.05% Tween-20).</p>", "IHCP-species-checked": "testedAndGuaranteed", "IHCP-species-dilution-info": "1/1000", "IHCP-species-notes": "<p></p>" }, "Rat": { "WB-species-checked": "testedAndGuaranteed", "WB-species-dilution-info": "1/1000", "WB-species-notes": "<p></p>", "IHCFr-species-checked": "guaranteed", "IHCFr-species-dilution-info": "", "IHCFr-species-notes": "", "IHCP-species-checked": "testedAndGuaranteed", "IHCP-species-dilution-info": "1/1000", "IHCP-species-notes": "<p></p>" } } }

Product details

Patented technology
Our RabMAb® technology is a patented hybridoma-based technology for making rabbit monoclonal antibodies. For details on our patents, please refer to RabMAb® patents.

What are the advantages of a recombinant monoclonal antibody?
This product is a recombinant monoclonal antibody, which offers several advantages including:

  • - High batch-to-batch consistency and reproducibility
  • - Improved sensitivity and specificity
  • - Long-term security of supply
  • - Animal-free batch production

For more information, read more on recombinant antibodies.

Properties and storage information

Form
Liquid
Purification technique
Affinity purification Protein A
Storage buffer
pH: 7.2 - 7.4 Preservative: 0.01% Sodium azide Constituents: PBS, 40% Glycerol (glycerin, glycerine), 0.05% BSA
Shipped at conditions
Blue Ice
Appropriate short-term storage duration
1-2 weeks
Appropriate short-term storage conditions
+4°C
Appropriate long-term storage conditions
-20°C
Aliquoting information
Upon delivery aliquot
Storage information
Avoid freeze / thaw cycle

Supplementary information

This supplementary information is collated from multiple sources and compiled automatically.

ITLN1 and ITLN2 also known as intelectin-1 and intelectin-2 are proteins with mass of approximately 35 and 34 kDa respectively. They are secreted glycoproteins primarily expressed in the intestinal tissues with substantial expression in adipose tissue and the respiratory tract as well. These proteins contain a carbohy­drate-binding domain that allows them to bind galactofuranose a sugar present in bacterial cell walls and play a role in host defense.
Biological function summary

Intelectin proteins participate actively in the recognition and binding of microbial pathogens thereby contributing to the innate immune response. They do not form part of larger protein complexes but interact with galactofuranose on pathogens to trigger immune mechanisms. By binding to carbohydrates specific to pathogens they help in the elimination of harmful microorganisms from the body therefore maintaining homeostasis in the host from a microbial perspective.

Pathways

ITLN1 and ITLN2 play significant roles in the immune system pathways interacting with related components to enhance pathogen recognition. These proteins modulate the activation of the immune pathway involving toll-like receptors (TLRs) which sense pathogen-associated molecular patterns. ITLN1 and ITLN2 contribute to these pathways alongside TLRs by facilitating enhanced recognition and response to invading pathogens.

ITLN1 and ITLN2 have associations with inflammatory bowel disease and type 2 diabetes. In inflammatory bowel disease altered expression of these proteins can influence the gut microbiota and immune response linked through interactions with cytokines like TNF-alpha. Similarly in the context of type 2 diabetes altered levels of these proteins in adipose tissue can impact insulin sensitivity also interacting with proteins like adiponectin which plays a role in regulating glucose levels and fatty acid breakdown.

Product protocols

For this product, it's our understanding that no specific protocols are required. You can visit:

Target data

Lectin that specifically recognizes microbial carbohydrate chains in a calcium-dependent manner (PubMed : 11313366, PubMed : 26148048). Binds to microbial glycans that contain a terminal acyclic 1,2-diol moiety, including beta-linked D-galactofuranose (beta-Galf), D-phosphoglycerol-modified glycans, D-glycero-D-talo-oct-2-ulosonic acid (KO) and 3-deoxy-D-manno-oct-2-ulosonic acid (KDO) (PubMed : 26148048). Binds to glycans from Gram-positive and Gram-negative bacteria, including K.pneumoniae, S.pneumoniae, Y.pestis, P.mirabilis and P.vulgaris (PubMed : 26148048). Does not bind human glycans (PubMed : 26148048). Probably plays a role in the defense system against microorganisms (Probable). May function as adipokine that has no effect on basal glucose uptake but enhances insulin-stimulated glucose uptake in adipocytes (PubMed : 16531507). Increases AKT phosphorylation in the absence and presence of insulin (PubMed : 16531507). May interact with lactoferrin/LTF and increase its uptake, and may thereby play a role in iron absorption (PubMed : 11747454, PubMed : 23921499).
See full target information ITLN1

Additional targets

ITLN2

Publications (2)

Recent publications for all applications. Explore the full list and refine your search

International journal of molecular sciences 25: PubMed39125754

2024

LncRNAs in the Domain Are Essential for Mid-Embryonic Heart Development.

Applications

Unspecified application

Species

Unspecified reactive species

Xiangqi Teng,Hongjuan He,Haoran Yu,Ximeijia Zhang,Jie Xing,Jiwei Shen,Chenghao Li,Mengyun Wang,Lan Shao,Ziwen Wang,Haopeng Yang,Yan Zhang,Qiong Wu

The American journal of pathology 189:2311-2322 PubMed31499027

2019

Lactoferrin CpG Island Hypermethylation and Decoupling of mRNA and Protein Expression in the Early Stages of Prostate Carcinogenesis.

Applications

Unspecified application

Species

Unspecified reactive species

Corey M Porter,Michael C Haffner,Ibrahim Kulac,Janielle P Maynard,Javier A Baena-Del Valle,William B Isaacs,Srinivasan Yegnasubramanian,Angelo M De Marzo,Karen S Sfanos
View all publications

Product promise

We are committed to supporting your work with high-quality reagents, and we're here for you every step of the way. In the unlikely event that one of our products does not perform as expected, you're protected by our Product Promise.
For full details, please see our Terms & Conditions

Please note: All products are 'FOR RESEARCH USE ONLY. NOT FOR USE IN DIAGNOSTIC OR THERAPEUTIC PROCEDURES'.

For licensing inquiries, please contact partnerships@abcam.com