JavaScript is disabled in your browser. Please enable JavaScript to view this website.
AB252926

Anti-ITLN1 + ITLN2 antibody [EPR22491-81]

Be the first to review this product! Submit a review

|

(2 Publications)

Rabbit Recombinant Monoclonal ITLN1 antibody. Suitable for WB, IHC-Fr, IHC-P and reacts with Recombinant full length protein - Human, Mouse, Rat, Human samples. Cited in 2 publications.

View Alternative Names

INTL, ITLN, LFR, UNQ640/PRO1270, ITLN1, Intelectin-1, ITLN-1, Endothelial lectin HL-1, Galactofuranose-binding lectin, Intestinal lactoferrin receptor, Omentin

8 Images
Immunohistochemistry (Formalin/PFA-fixed paraffin-embedded sections) - Anti-ITLN1 + ITLN2 antibody [EPR22491-81] (AB252926)
  • IHC-P

Unknown

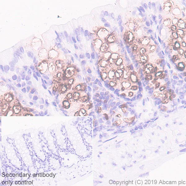
Immunohistochemistry (Formalin/PFA-fixed paraffin-embedded sections) - Anti-ITLN1 + ITLN2 antibody [EPR22491-81] (AB252926)

Immunohistochemical analysis of paraffin-embedded human colon tissue labeling ITLN1 + ITLN2 with ab252926 at 1/4000 dilution, followed by a ready to use Goat Anti-Rabbit IgG H&L (HRP). Positive staining in goblet cells of human colon (PMID : 22768319) is observed. Counterstained with hematoxylin.

Secondary antibody only control : Used PBS instead of primary antibody, secondary antibody is a ready to use Goat Anti-Rabbit IgG H&L (HRP).

Perform heat mediated antigen retrieval using ab93684 (Tris/EDTA buffer, pH 9.0).

Immunohistochemistry (Formalin/PFA-fixed paraffin-embedded sections) - Anti-ITLN1 + ITLN2 antibody [EPR22491-81] (AB252926)
  • IHC-P

Unknown

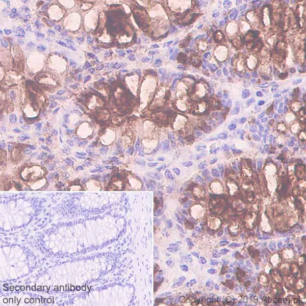
Immunohistochemistry (Formalin/PFA-fixed paraffin-embedded sections) - Anti-ITLN1 + ITLN2 antibody [EPR22491-81] (AB252926)

Immunohistochemical analysis of paraffin-embedded mouse colon tissue labeling ITLN1 + ITLN2 with ab252926 at 1/4000 dilution, followed by a ready to use Goat Anti-Rabbit IgG H&L (HRP). Positive staining in goblet cells of mouse colon (PMID : 22768319) is observed. Counterstained with hematoxylin.

Secondary antibody only control : Used PBS instead of primary antibody, secondary antibody is a ready to use Goat Anti-Rabbit IgG H&L (HRP).

Perform heat mediated antigen retrieval using ab93684 (Tris/EDTA buffer, pH 9.0).

Immunohistochemistry (Frozen sections) - Anti-ITLN1 + ITLN2 antibody [EPR22491-81] (AB252926)
  • IHC-Fr

Unknown

Immunohistochemistry (Frozen sections) - Anti-ITLN1 + ITLN2 antibody [EPR22491-81] (AB252926)

Immunohistochemical analysis of 4% PFA-fixed, 0.2% Triton X-100 permeabilized frozen mouse colon tissue labeling ITLN1 + ITLN2 with ab252926 at 1/1250 dilution (green), followed by ab150077 AlexaFluor®488 Goat anti-Rabbit secondary at a 1/1,000 dilution. Positive staining on goblet cells of mouse colon (PMID : 22768319) is observed. Counterstained with DAPI (blue).
Secondary antibody only control : Used PBS instead of primary antibody, secondary antibody is ab150077 AlexaFluor®488 Goat anti-Rabbit used at a 1/1,000 dilution.

Heat mediated antigen retrieval using sodium citrate buffer (10 mM citrate pH 6.0 and 0.05% Tween-20).

Immunohistochemistry (Frozen sections) - Anti-ITLN1 + ITLN2 antibody [EPR22491-81] (AB252926)
  • IHC-Fr

Unknown

Immunohistochemistry (Frozen sections) - Anti-ITLN1 + ITLN2 antibody [EPR22491-81] (AB252926)

Immunohistochemical analysis of 4% PFA-fixed, 0.2% Triton X-100 permeabilized frozen rat colon tissue labeling ITLN1 + ITLN2 with ab252926 at 1/1250 dilution (green), followed by ab150077 AlexaFluor®488 Goat anti-Rabbit secondary at a 1/1,000 dilution. Positive staining on goblet cells of rat colon (PMID : 22768319) is observed. Counterstained with DAPI (blue).

Secondary antibody only control : Used PBS instead of primary antibody, secondary antibody is ab150077 AlexaFluor®488 Goat anti-Rabbit used at a 1/1,000 dilution.

Heat mediated antigen retrieval using sodium citrate buffer (10 mM citrate pH 6.0 and 0.05% Tween-20).

Immunohistochemistry (Formalin/PFA-fixed paraffin-embedded sections) - Anti-ITLN1 + ITLN2 antibody [EPR22491-81] (AB252926)
  • IHC-P

Unknown

Immunohistochemistry (Formalin/PFA-fixed paraffin-embedded sections) - Anti-ITLN1 + ITLN2 antibody [EPR22491-81] (AB252926)

Immunohistochemical analysis of paraffin-embedded rat colon tissue labeling ITLN1 + ITLN2 with ab252926 at 1/4000 dilution, followed by a ready to use Goat Anti-Rabbit IgG H&L (HRP). Positive staining in goblet cells of rat colon (PMID : 22768319) is observed. Counterstained with hematoxylin.

Secondary antibody only control : Used PBS instead of primary antibody, secondary antibody is a ready to use Goat Anti-Rabbit IgG H&L (HRP).

Perform heat mediated antigen retrieval using ab93684 (Tris/EDTA buffer, pH 9.0).

Western blot - Anti-ITLN1 + ITLN2 antibody [EPR22491-81] (AB252926)
  • WB

Unknown

Western blot - Anti-ITLN1 + ITLN2 antibody [EPR22491-81] (AB252926)

Blocking/Dilution buffer : 5% NFDM/TBST.

All lanes:

Western blot - Anti-ITLN1 + ITLN2 antibody [EPR22491-81] (ab252926) at 1/1000 dilution

Lane 1:

His-tagged human ITLN2 recombinant protein, 20 ng

Lane 2:

His-tagged human ITLN1 recombinant protein, 20 ng

Secondary

All lanes:

Western blot - Goat Anti-Rabbit IgG H&L (HRP) (<a href='/en-us/products/secondary-antibodies/goat-rabbit-igg-h-l-hrp-ab97051'>ab97051</a>) at 1/100000 dilution

false

Exposure time: 15s

Western blot - Anti-ITLN1 + ITLN2 antibody [EPR22491-81] (AB252926)
  • WB

Unknown

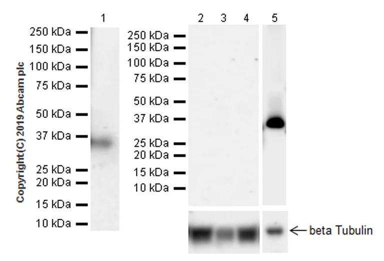
Western blot - Anti-ITLN1 + ITLN2 antibody [EPR22491-81] (AB252926)

The actual band size higher than predicted mainly due to glycosylation. The molecular weight observed is consistent with what has been described in the literature (PMID : 11313366, PMID : 20628387).

This blot was developed using a higher sensitivity ECL substrate.

Negative control : PC-3, A549, Caco-2 (PMID : 20628387).

Blocking/Dilution buffer : 5% NFDM/TBST.

Exposure times : Lane 1 : 3 mins; Lane 2-5 : 15 secs.

All lanes:

Western blot - Anti-ITLN1 + ITLN2 antibody [EPR22491-81] (ab252926) at 1/1000 dilution

Lane 1:

Human small intestine tissue lysate at 20 µg

Lane 2:

PC-3 (human prostate adenocarcinoma epithelial cell), whole cell lysate at 20 µg

Lane 3:

A549 (human lung carcinoma epithelial cell), whole cell lysate at 20 µg

Lane 4:

Caco-2 (human colorectal adenocarcinoma epithelial cell), whole cell lysate at 20 µg

Lane 5:

Human fetal colon tissue lysate at 20 µg

Secondary

Lanes 1 and 5:

Western blot - VeriBlot for IP Detection Reagent (HRP) (<a href='/en-us/products/reagents/veriblot-for-ip-detection-reagent-hrp-ab131366'>ab131366</a>) at 1/1000 dilution

Lanes 2 - 4:

Western blot - Goat Anti-Rabbit IgG H&L (HRP) (<a href='/en-us/products/secondary-antibodies/goat-rabbit-igg-h-l-hrp-ab97051'>ab97051</a>) at 1/100000 dilution

Observed band size: 40 kDa

false

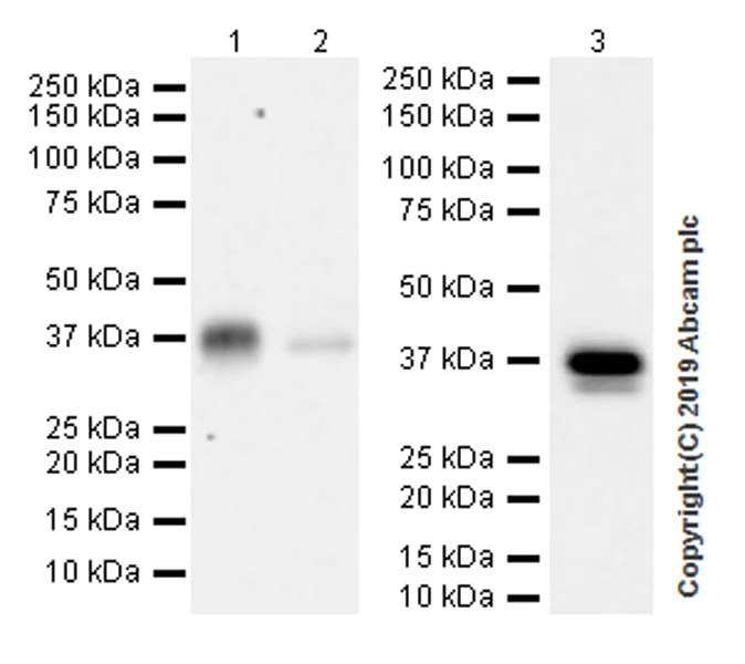
Western blot - Anti-ITLN1 + ITLN2 antibody [EPR22491-81] (AB252926)
  • WB

Unknown

Western blot - Anti-ITLN1 + ITLN2 antibody [EPR22491-81] (AB252926)

The actual band size higher than predicted mainly due to glycosylation. The molecular weight observed is consistent with what has been described in the literature (PMID : 11313366, PMID : 20628387). Lanes1-2 were developed using a higher sensitivity ECL substrate.

Blocking/Dilution buffer : 5% NFDM/TBST.

Exposure times : Lanes 1-2 : 3 mins; Lane 3 : 32 secs.

All lanes:

Western blot - Anti-ITLN1 + ITLN2 antibody [EPR22491-81] (ab252926) at 1/1000 dilution

Lane 1:

Rat colon tissue lysate at 20 µg

Lane 2:

Rat small intestine tissue lysate at 20 µg

Lane 3:

Mouse colon tissue lysate at 20 µg

Secondary

All lanes:

Western blot - Goat Anti-Rabbit IgG H&L (HRP) (<a href='/en-us/products/secondary-antibodies/goat-rabbit-igg-h-l-hrp-ab97051'>ab97051</a>) at 1/100000 dilution

Observed band size: 40 kDa

false

  • Carrier free

    Anti-ITLN1 + ITLN2 antibody [EPR22491-81] - BSA and Azide free

Key facts

Host species

Rabbit

Clonality

Monoclonal

Clone number

EPR22491-81

Isotype

IgG

Carrier free

No

Reacts with

Mouse, Rat, Human

Applications

IHC-P, WB, IHC-Fr

applications

Immunogen

The exact immunogen used to generate this antibody is proprietary information.

Reactivity data

{ "title": "Reactivity Data", "filters": { "stats": ["", "Species", "Dilution Info", "Notes"], "tabs": { "all-applications": {"fullname" : "All Applications", "shortname": "All Applications"}, "WB" : {"fullname" : "Western blot", "shortname":"WB"}, "IHCFr" : {"fullname" : "Immunohistochemistry (Frozen sections)", "shortname":"IHC-Fr"}, "IHCP" : {"fullname" : "Immunohistochemistry (Formalin/PFA-fixed paraffin-embedded sections)", "shortname":"IHC-P"}, "IP" : {"fullname" : "Immunoprecipitation", "shortname":"IP"} }, "product-promise": { "all": "all", "testedAndGuaranteed": "tested", "guaranteed": "expected", "predicted": "predicted", "notRecommended": "not-recommended" } }, "values": { "Human": { "WB-species-checked": "testedAndGuaranteed", "WB-species-dilution-info": "1/1000", "WB-species-notes": "<p></p>", "IHCFr-species-checked": "guaranteed", "IHCFr-species-dilution-info": "", "IHCFr-species-notes": "", "IHCP-species-checked": "testedAndGuaranteed", "IHCP-species-dilution-info": "1/4000", "IHCP-species-notes": "<p></p>", "IP-species-checked": "notRecommended", "IP-species-dilution-info": "", "IP-species-notes": "<p></p>" }, "Mouse": { "WB-species-checked": "testedAndGuaranteed", "WB-species-dilution-info": "1/1000", "WB-species-notes": "<p></p>", "IHCFr-species-checked": "testedAndGuaranteed", "IHCFr-species-dilution-info": "1/250", "IHCFr-species-notes": "<p>Heat mediated antigen retrieval using sodium citrate buffer (10 mM citrate pH 6.0 and 0.05% Tween-20).</p>", "IHCP-species-checked": "testedAndGuaranteed", "IHCP-species-dilution-info": "1/4000", "IHCP-species-notes": "<p></p>", "IP-species-checked": "notRecommended", "IP-species-dilution-info": "", "IP-species-notes": "<p></p>" }, "Rat": { "WB-species-checked": "testedAndGuaranteed", "WB-species-dilution-info": "1/1000", "WB-species-notes": "<p></p>", "IHCFr-species-checked": "testedAndGuaranteed", "IHCFr-species-dilution-info": "1/250", "IHCFr-species-notes": "<p>Heat mediated antigen retrieval using sodium citrate buffer (10 mM citrate pH 6.0 and 0.05% Tween-20).</p>", "IHCP-species-checked": "testedAndGuaranteed", "IHCP-species-dilution-info": "1/4000", "IHCP-species-notes": "<p></p>", "IP-species-checked": "notRecommended", "IP-species-dilution-info": "", "IP-species-notes": "<p></p>" }, "Recombinant full length protein - Human": { "WB-species-checked": "testedAndGuaranteed", "WB-species-dilution-info": "1/1000", "WB-species-notes": "<p></p>", "IHCFr-species-checked": "notRecommended", "IHCFr-species-dilution-info": "", "IHCFr-species-notes": "", "IHCP-species-checked": "notRecommended", "IHCP-species-dilution-info": "", "IHCP-species-notes": "", "IP-species-checked": "notRecommended", "IP-species-dilution-info": "", "IP-species-notes": "" } } }

Product details

Patented technology
Our RabMAb® technology is a patented hybridoma-based technology for making rabbit monoclonal antibodies. For details on our patents, please refer to RabMAb® patents.

What are the advantages of a recombinant monoclonal antibody?
This product is a recombinant monoclonal antibody, which offers several advantages including:

  • - High batch-to-batch consistency and reproducibility
  • - Improved sensitivity and specificity
  • - Long-term security of supply
  • - Animal-free batch production

For more information, read more on recombinant antibodies.

Properties and storage information

Form
Liquid
Purification technique
Affinity purification Protein A
Storage buffer
pH: 7.2 - 7.4 Preservative: 0.01% Sodium azide Constituents: PBS, 40% Glycerol (glycerin, glycerine), 0.05% BSA
Shipped at conditions
Blue Ice
Appropriate short-term storage duration
1-2 weeks
Appropriate short-term storage conditions
+4°C
Appropriate long-term storage conditions
-20°C
Aliquoting information
Upon delivery aliquot
Storage information
Avoid freeze / thaw cycle

Supplementary information

This supplementary information is collated from multiple sources and compiled automatically.

ITLN1 and ITLN2 also known as intelectin-1 and intelectin-2 are proteins with mass of approximately 35 and 34 kDa respectively. They are secreted glycoproteins primarily expressed in the intestinal tissues with substantial expression in adipose tissue and the respiratory tract as well. These proteins contain a carbohy­drate-binding domain that allows them to bind galactofuranose a sugar present in bacterial cell walls and play a role in host defense.
Biological function summary

Intelectin proteins participate actively in the recognition and binding of microbial pathogens thereby contributing to the innate immune response. They do not form part of larger protein complexes but interact with galactofuranose on pathogens to trigger immune mechanisms. By binding to carbohydrates specific to pathogens they help in the elimination of harmful microorganisms from the body therefore maintaining homeostasis in the host from a microbial perspective.

Pathways

ITLN1 and ITLN2 play significant roles in the immune system pathways interacting with related components to enhance pathogen recognition. These proteins modulate the activation of the immune pathway involving toll-like receptors (TLRs) which sense pathogen-associated molecular patterns. ITLN1 and ITLN2 contribute to these pathways alongside TLRs by facilitating enhanced recognition and response to invading pathogens.

ITLN1 and ITLN2 have associations with inflammatory bowel disease and type 2 diabetes. In inflammatory bowel disease altered expression of these proteins can influence the gut microbiota and immune response linked through interactions with cytokines like TNF-alpha. Similarly in the context of type 2 diabetes altered levels of these proteins in adipose tissue can impact insulin sensitivity also interacting with proteins like adiponectin which plays a role in regulating glucose levels and fatty acid breakdown.

Product protocols

For this product, it's our understanding that no specific protocols are required. You can visit:

Target data

Lectin that specifically recognizes microbial carbohydrate chains in a calcium-dependent manner (PubMed : 11313366, PubMed : 26148048). Binds to microbial glycans that contain a terminal acyclic 1,2-diol moiety, including beta-linked D-galactofuranose (beta-Galf), D-phosphoglycerol-modified glycans, D-glycero-D-talo-oct-2-ulosonic acid (KO) and 3-deoxy-D-manno-oct-2-ulosonic acid (KDO) (PubMed : 26148048). Binds to glycans from Gram-positive and Gram-negative bacteria, including K.pneumoniae, S.pneumoniae, Y.pestis, P.mirabilis and P.vulgaris (PubMed : 26148048). Does not bind human glycans (PubMed : 26148048). Probably plays a role in the defense system against microorganisms (Probable). May function as adipokine that has no effect on basal glucose uptake but enhances insulin-stimulated glucose uptake in adipocytes (PubMed : 16531507). Increases AKT phosphorylation in the absence and presence of insulin (PubMed : 16531507). May interact with lactoferrin/LTF and increase its uptake, and may thereby play a role in iron absorption (PubMed : 11747454, PubMed : 23921499).
See full target information ITLN1

Additional targets

ITLN2

Publications (2)

Recent publications for all applications. Explore the full list and refine your search

BMC gastroenterology 24:339 PubMed39354362

2024

Comprehensive evaluation of immunological attributes and immunotherapy responses of positive T cell function regulators in colorectal cancer.

Applications

Unspecified application

Species

Unspecified reactive species

Ke Pu,Jingyuan Gao,Yang Feng,Jian Hu,Shunli Tang,Guodong Yang,Chuan Xu

Open medicine (Warsaw, Poland) 18:20230790 PubMed37711155

2023

Lumican silencing ameliorates β-glycerophosphate-mediated vascular smooth muscle cell calcification by attenuating the inhibition of APOB on KIF2C activity.

Applications

Unspecified application

Species

Unspecified reactive species

Haibin Li,Chunyan Zhang,Qiang Liu
View all publications

Product promise

We are committed to supporting your work with high-quality reagents, and we're here for you every step of the way. In the unlikely event that one of our products does not perform as expected, you're protected by our Product Promise.
For full details, please see our Terms & Conditions

Please note: All products are 'FOR RESEARCH USE ONLY. NOT FOR USE IN DIAGNOSTIC OR THERAPEUTIC PROCEDURES'.

For licensing inquiries, please contact partnerships@abcam.com