JavaScript is disabled in your browser. Please enable JavaScript to view this website.
AB251518

Anti-ITLN1+ITLN2 antibody [EPR20311] - BSA and Azide free

Be the first to review this product! Submit a review

|

(0 Publication)

Rabbit Recombinant Monoclonal ITLN1 antibody. Carrier free. Suitable for WB, IHC-Fr, IHC-P and reacts with Human, Mouse, Rat samples.

View Alternative Names

INTL, ITLN, LFR, UNQ640/PRO1270, ITLN1, Intelectin-1, ITLN-1, Endothelial lectin HL-1, Galactofuranose-binding lectin, Intestinal lactoferrin receptor, Omentin

8 Images
Immunohistochemistry (Formalin/PFA-fixed paraffin-embedded sections) - Anti-ITLN1+ITLN2 antibody [EPR20311] - BSA and Azide free (AB251518)
  • IHC-P

Supplier Data

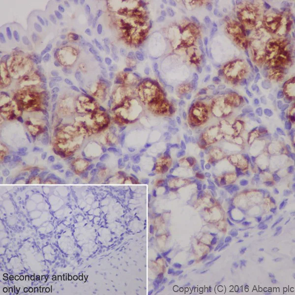
Immunohistochemistry (Formalin/PFA-fixed paraffin-embedded sections) - Anti-ITLN1+ITLN2 antibody [EPR20311] - BSA and Azide free (AB251518)

This data was developed using ab210483, the same antibody clone in a different buffer formulation.

Immunohistochemical analysis of paraffin-embedded human colon tissue labeling ITLN1 + ITLN2 with ab210483 at 1/1000 dilution, followed by Goat Anti-Rabbit IgG H&L (HRP) (ab97051) at 1/500 dilution.

Cytoplasmic staining on goblet cells of human colon is observed [PMID : 22768319] [PMID : 19549487].

Counter stained with Hematoxylin.

Secondary antibody only control : Used PBS instead of primary antibody, secondary antibody is Goat Anti-Rabbit IgG H&L (HRP) (ab97051) at 1/500 dilution.

Perform heat mediated antigen retrieval with Tris/EDTA buffer pH 9.0 before commencing with IHC staining protocol.

Immunohistochemistry (Formalin/PFA-fixed paraffin-embedded sections) - Anti-ITLN1+ITLN2 antibody [EPR20311] - BSA and Azide free (AB251518)
  • IHC-P

Supplier Data

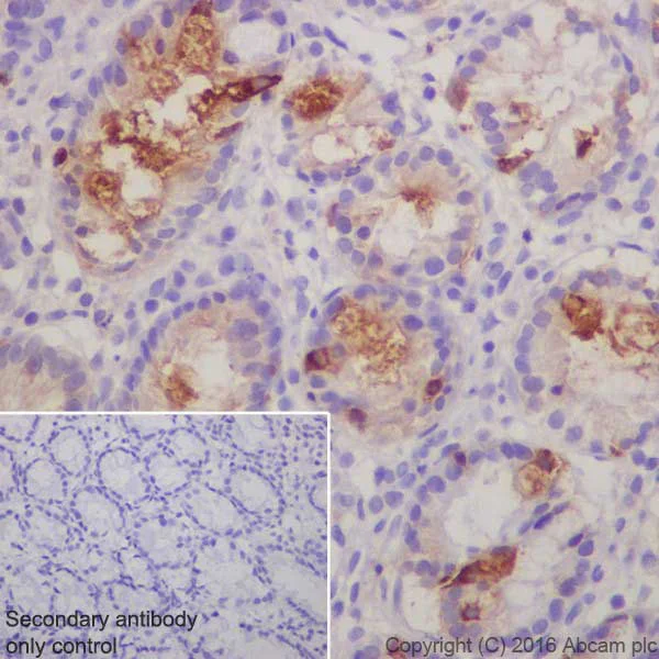
Immunohistochemistry (Formalin/PFA-fixed paraffin-embedded sections) - Anti-ITLN1+ITLN2 antibody [EPR20311] - BSA and Azide free (AB251518)

This data was developed using ab210483, the same antibody clone in a different buffer formulation.

Immunohistochemical analysis of paraffin-embedded rat colon tissue labeling ITLN1 + ITLN2 with ab210483 at 1/1000 dilution, followed by Goat Anti-Rabbit IgG H&L (HRP) (ab97051) at 1/500 dilution.

Cytoplasmic staining on goblet cells of rat colon is observed [PMID : 22768319] [PMID : 19549487].

Counter stained with Hematoxylin.

Secondary antibody only control : Used PBS instead of primary antibody, secondary antibody is Goat Anti-Rabbit IgG H&L (HRP) (ab97051) at 1/500 dilution.

Perform heat mediated antigen retrieval with Tris/EDTA buffer pH 9.0 before commencing with IHC staining protocol.

Immunohistochemistry (Frozen sections) - Anti-ITLN1+ITLN2 antibody [EPR20311] - BSA and Azide free (AB251518)
  • IHC-Fr

Supplier Data

Immunohistochemistry (Frozen sections) - Anti-ITLN1+ITLN2 antibody [EPR20311] - BSA and Azide free (AB251518)

This data was developed using ab210483, the same antibody clone in a different buffer formulation.

Immunohistochemical analysis of 4% paraformaldehyde-fixed, 0.2% Triton X-100 permeabilized frozen mouse colon tissue labeling ITLN1 + ITLN2 with ab210483 at 1/500 dilution, followed by Goat anti-rabbit IgG (Alexa Fluor® 488) (ab150077) secondary antibody at 1/1000 dilution (green).

Cytoplasmic staining on goblet cells of mouse colon is observed [PMID : 22768319] [PMID : 19549487].

The nuclear counterstain is DAPI (blue).

Secondary antibody only control : Used PBS instead of primary antibody, secondary antibody is Goat anti-rabbit IgG (Alexa Fluor® 488) (ab150077) at 1/1000 dilution.

Immunohistochemistry (Formalin/PFA-fixed paraffin-embedded sections) - Anti-ITLN1+ITLN2 antibody [EPR20311] - BSA and Azide free (AB251518)
  • IHC-P

Supplier Data

Immunohistochemistry (Formalin/PFA-fixed paraffin-embedded sections) - Anti-ITLN1+ITLN2 antibody [EPR20311] - BSA and Azide free (AB251518)

This data was developed using ab210483, the same antibody clone in a different buffer formulation.

Immunohistochemical analysis of paraffin-embedded mouse colon tissue labeling ITLN1 + ITLN2 with ab210483 at 1/1000 dilution, followed by Goat Anti-Rabbit IgG H&L (HRP) (ab97051) at 1/500 dilution.

Cytoplasmic staining on goblet cells of mouse colon is observed [PMID : 22768319] [PMID : 19549487].

Counter stained with Hematoxylin.

Secondary antibody only control : Used PBS instead of primary antibody, secondary antibody is Goat Anti-Rabbit IgG H&L (HRP) (ab97051) at 1/500 dilution.

Perform heat mediated antigen retrieval with Tris/EDTA buffer pH 9.0 before commencing with IHC staining protocol.

Western blot - Anti-ITLN1+ITLN2 antibody [EPR20311] - BSA and Azide free (AB251518)
  • WB

Supplier Data

Western blot - Anti-ITLN1+ITLN2 antibody [EPR20311] - BSA and Azide free (AB251518)

This data was developed using ab210483, the same antibody clone in a different buffer formulation.

Blocking and dilution buffer : 5% NFDM/TBST.

Spleen is a negative control (PMID : 11181563).

All lanes:

Western blot - Anti-ITLN1 + ITLN2 antibody [EPR20311] (<a href='/en-us/products/primary-antibodies/itln1-itln2-antibody-epr20311-ab210483'>ab210483</a>) at 1/5000 dilution

Lane 1:

Human colon lysate at 20 µg

Lane 2:

Human fetal spleen tissue lysate at 20 µg

Secondary

All lanes:

Western blot - Goat Anti-Rabbit IgG H&L (HRP) (<a href='/en-us/products/secondary-antibodies/goat-rabbit-igg-h-l-hrp-ab97051'>ab97051</a>) at 1/100000 dilution

Predicted band size: 35 kDa

Observed band size: 40 kDa

false

Exposure time: 5s

Western blot - Anti-ITLN1+ITLN2 antibody [EPR20311] - BSA and Azide free (AB251518)
  • WB

Supplier Data

Western blot - Anti-ITLN1+ITLN2 antibody [EPR20311] - BSA and Azide free (AB251518)

This data was developed using ab210483, the same antibody clone in a different buffer formulation.

Blocking and dilution buffer : 5% NFDM/TBST.

The observed molecular weight is consistent with the literature (PMID : 11313366 and 20628387).

All lanes:

Western blot - Anti-ITLN1 + ITLN2 antibody [EPR20311] (<a href='/en-us/products/primary-antibodies/itln1-itln2-antibody-epr20311-ab210483'>ab210483</a>) at 1/5000 dilution

All lanes:

Human small intestine lysate at 10 µg

Secondary

All lanes:

Western blot - Goat Anti-Rabbit IgG H&L (HRP) (<a href='/en-us/products/secondary-antibodies/goat-rabbit-igg-h-l-hrp-ab97051'>ab97051</a>) at 1/100000 dilution

Predicted band size: 35 kDa

Observed band size: 40 kDa

false

Exposure time: 1s

Western blot - Anti-ITLN1+ITLN2 antibody [EPR20311] - BSA and Azide free (AB251518)
  • WB

Supplier Data

Western blot - Anti-ITLN1+ITLN2 antibody [EPR20311] - BSA and Azide free (AB251518)

This data was developed using ab210483, the same antibody clone in a different buffer formulation.

Blocking and dilution buffer : 5% NFDM/TBST. Exposure times : Lanes 1-2 : 1 minute; Lanes 3-4 : 30 seconds.

The observed molecular weight is consistent with the literature (PMID : 11313366, 20628387).

All lanes:

Western blot - Anti-ITLN1 + ITLN2 antibody [EPR20311] (<a href='/en-us/products/primary-antibodies/itln1-itln2-antibody-epr20311-ab210483'>ab210483</a>) at 1/5000 dilution

Lane 1:

Mouse colon lysate at 20 µg

Lane 2:

Rat small intestine lysate at 20 µg

Lane 3:

Mouse small intestine lysate at 20 µg

Lane 4:

Rat colon lysate at 20 µg

Secondary

All lanes:

Western blot - Goat Anti-Rabbit IgG H&L (HRP) (<a href='/en-us/products/secondary-antibodies/goat-rabbit-igg-h-l-hrp-ab97051'>ab97051</a>) at 1/100000 dilution

Predicted band size: 35 kDa

Observed band size: 40 kDa

false

Western blot - Anti-ITLN1+ITLN2 antibody [EPR20311] - BSA and Azide free (AB251518)
  • WB

Supplier Data

Western blot - Anti-ITLN1+ITLN2 antibody [EPR20311] - BSA and Azide free (AB251518)

This data was developed using ab210483, the same antibody clone in a different buffer formulation.

Blocking and dilution buffer : 5% NFDM/TBST.

All lanes:

Western blot - Anti-ITLN1 + ITLN2 antibody [EPR20311] (<a href='/en-us/products/primary-antibodies/itln1-itln2-antibody-epr20311-ab210483'>ab210483</a>) at 1/1000 dilution

Lane 1:

Recombinant human ITLN1 protein (<a href='/en-us/products/unavailable/recombinant-human-itln1-protein-ab109151'>ab109151</a>) at 0.01 µg

Lane 2:

Human ITLN2 His-tagged recombinant protein (aa27-325) at 0.01 µg

Secondary

All lanes:

Western blot - Goat Anti-Rabbit IgG H&L (HRP) (<a href='/en-us/products/secondary-antibodies/goat-rabbit-igg-h-l-hrp-ab97051'>ab97051</a>) at 1/100000 dilution

Predicted band size: 35 kDa

Observed band size: 36 kDa,37 kDa

false

Exposure time: 10s

Key facts

Host species

Rabbit

Clonality

Monoclonal

Clone number

EPR20311

Isotype

IgG

Carrier free

Yes

Reacts with

Mouse, Rat, Human

Applications

WB, IHC-P, IHC-Fr

applications

Immunogen

The exact immunogen used to generate this antibody is proprietary information.

Specificity

ITLN1 mRNA expression in stomach has been reported [PMID: 19549487]. Another report [PMID: 22768319] shows no staining on stomach at protein level. In our hands this antibody showed weak cytoplasmic staining on stomach samples.

Reactivity data

{ "title": "Reactivity Data", "filters": { "stats": ["", "Species", "Dilution Info", "Notes"], "tabs": { "all-applications": {"fullname" : "All Applications", "shortname": "All Applications"}, "WB" : {"fullname" : "Western blot", "shortname":"WB"}, "IHCFr" : {"fullname" : "Immunohistochemistry (Frozen sections)", "shortname":"IHC-Fr"}, "IHCP" : {"fullname" : "Immunohistochemistry (Formalin/PFA-fixed paraffin-embedded sections)", "shortname":"IHC-P"} }, "product-promise": { "all": "all", "testedAndGuaranteed": "tested", "guaranteed": "expected", "predicted": "predicted", "notRecommended": "not-recommended" } }, "values": { "Human": { "WB-species-checked": "testedAndGuaranteed", "WB-species-dilution-info": "", "WB-species-notes": "<p></p>", "IHCFr-species-checked": "guaranteed", "IHCFr-species-dilution-info": "", "IHCFr-species-notes": "", "IHCP-species-checked": "guaranteed", "IHCP-species-dilution-info": "", "IHCP-species-notes": "" }, "Mouse": { "WB-species-checked": "guaranteed", "WB-species-dilution-info": "", "WB-species-notes": "", "IHCFr-species-checked": "testedAndGuaranteed", "IHCFr-species-dilution-info": "", "IHCFr-species-notes": "<p>Antigen retrieval: Heated citrate solution (10mM citrate PH 6.0 + 0.05% Tween-20).</p>", "IHCP-species-checked": "guaranteed", "IHCP-species-dilution-info": "", "IHCP-species-notes": "" }, "Rat": { "WB-species-checked": "guaranteed", "WB-species-dilution-info": "", "WB-species-notes": "", "IHCFr-species-checked": "guaranteed", "IHCFr-species-dilution-info": "", "IHCFr-species-notes": "", "IHCP-species-checked": "testedAndGuaranteed", "IHCP-species-dilution-info": "", "IHCP-species-notes": "<p></p>" } } }

Product details

ab251518 is the carrier-free version of ab210483.

Patented technology
Our RabMAb® technology is a patented hybridoma-based technology for making rabbit monoclonal antibodies. For details on our patents, please refer to RabMAb® patents.

What are the advantages of a recombinant monoclonal antibody?
This product is a recombinant monoclonal antibody, which offers several advantages including:

  • - High batch-to-batch consistency and reproducibility
  • - Improved sensitivity and specificity
  • - Long-term security of supply
  • - Animal-free batch production

For more information, read more on recombinant antibodies.

Conjugation ready
Our carrier-free antibodies are typically supplied in a PBS-only formulation, purified and free of BSA, sodium azide and glycerol. This conjugation-ready format is designed for use with fluorochromes, metal isotopes, oligonucleotides, and enzymes, which makes them ideal for antibody labelling, functional and cell-based assays, flow-based assays (e.g. mass cytometry) and Multiplex Imaging applications.

Use our conjugation kits for antibody conjugates that are ready-to-use in as little as 20 minutes with 1 minute hands-on-time and 100% antibody recovery: available for fluorescent dyes, HRP, biotin and gold.

Compatibility
This product is compatible with the Maxpar® Antibody Labeling Kit from Fluidigm, without the need for antibody preparation. Maxpar® is a trademark of Fluidigm Canada Inc.

Properties and storage information

Form
Liquid
Purification technique
Affinity purification Protein A
Storage buffer
pH: 7.2 - 7.4 Constituents: PBS
Shipped at conditions
Blue Ice
Appropriate short-term storage conditions
+4°C
Appropriate long-term storage conditions
+4°C
Storage information
Do Not Freeze

Supplementary information

This supplementary information is collated from multiple sources and compiled automatically.

ITLN1 and ITLN2 also known as intelectin-1 and intelectin-2 are carbohydrate-binding proteins. ITLN1 has a molecular mass approximately 35 kDa while ITLN2 is similar in size. Both proteins are mainly expressed in human adipose tissue small intestine and the respiratory tract. These proteins have a significant presence in epithelial cells and are secreted as part of the extracellular matrix. They belong to the lectin family and recognize galactofuranose-containing glycans in microorganisms.
Biological function summary

Intelectins modulate immune responses and have been identified in promoting microbial defense. They are known for their role in binding specific sugars and facilitating the neutralization of pathogens. ITLN1 and ITLN2 do not form a complex but share functional similarities in immune surveillance. Their activity contributes to interactions with lipid metabolism and insulin signaling influencing glucose homeostasis and inflammation regulation.

Pathways

Intelectins integrate with the immune response pathway and insulin signaling pathway. They influence immune system activation by recognizing carbohydrate structures unique to microorganisms. The proteins interact with immune molecules like complement proteins and play supportive roles in the insulin signaling cascade linking them to proteins such as GLUT4 and IRS-1. Their functions promote the maintenance of metabolic balance and protect against microbial infections.

ITLN1 and ITLN2 play roles in metabolic diseases and respiratory infections. In obesity dysregulation of ITLN1 links to altered insulin sensitivity associating the protein with adiponectin. In asthma differential expression of these proteins relates to inflammation and airway resistance connecting ITLN2 to interleukins. These associations highlight intelectins as potential biomarkers or therapeutic targets in metabolic and inflammatory conditions.

Product protocols

For this product, it's our understanding that no specific protocols are required. You can visit:

Target data

Lectin that specifically recognizes microbial carbohydrate chains in a calcium-dependent manner (PubMed : 11313366, PubMed : 26148048). Binds to microbial glycans that contain a terminal acyclic 1,2-diol moiety, including beta-linked D-galactofuranose (beta-Galf), D-phosphoglycerol-modified glycans, D-glycero-D-talo-oct-2-ulosonic acid (KO) and 3-deoxy-D-manno-oct-2-ulosonic acid (KDO) (PubMed : 26148048). Binds to glycans from Gram-positive and Gram-negative bacteria, including K.pneumoniae, S.pneumoniae, Y.pestis, P.mirabilis and P.vulgaris (PubMed : 26148048). Does not bind human glycans (PubMed : 26148048). Probably plays a role in the defense system against microorganisms (Probable). May function as adipokine that has no effect on basal glucose uptake but enhances insulin-stimulated glucose uptake in adipocytes (PubMed : 16531507). Increases AKT phosphorylation in the absence and presence of insulin (PubMed : 16531507). May interact with lactoferrin/LTF and increase its uptake, and may thereby play a role in iron absorption (PubMed : 11747454, PubMed : 23921499).
See full target information ITLN1

Additional targets

ITLN2

Product promise

We are committed to supporting your work with high-quality reagents, and we're here for you every step of the way. In the unlikely event that one of our products does not perform as expected, you're protected by our Product Promise.
For full details, please see our Terms & Conditions

Please note: All products are 'FOR RESEARCH USE ONLY. NOT FOR USE IN DIAGNOSTIC OR THERAPEUTIC PROCEDURES'.

For licensing inquiries, please contact partnerships@abcam.com