JavaScript is disabled in your browser. Please enable JavaScript to view this website.
AB315235

Anti-ITM2B antibody [EPR27849-47] - BSA and Azide free

Be the first to review this product! Submit a review

|

(0 Publication)

Rabbit Recombinant Monoclonal ITM2B antibody. Carrier free. Suitable for Flow Cyt (Intra), WB and reacts with Mouse, Rat, Human samples.

View Alternative Names

BRI, BRI2, ITM2B, Integral membrane protein 2B, Immature BRI2, Protein E25B, Transmembrane protein BRI, imBRI2, Bri

6 Images
Flow Cytometry (Intracellular) - Anti-ITM2B antibody [EPR27849-47] - BSA and Azide free (AB315235)
  • Flow Cyt (Intra)

Supplier Data

Flow Cytometry (Intracellular) - Anti-ITM2B antibody [EPR27849-47] - BSA and Azide free (AB315235)

This data was developed using ab315234, the same antibody clone in a different buffer formulation.

Flow cytometric analysis of 4% paraformaldehyde fixed 90% methanol permeabilized Rat primary neuron cells labelling ITM2B with ab315234 at 1/50 dilution (1 ug, Red) compared with a Rabbit monoclonal IgG (ab172730) (Black) isotype control and an unlabelled control (cells without incubation with primary antibody and secondary antibody) (Blue).

Goat Anti-Rabbit IgG (Alexa Fluor® 488, ab150081) at 1/5000 dilution was used as the secondary antibody.

Flow Cytometry (Intracellular) - Anti-ITM2B antibody [EPR27849-47] - BSA and Azide free (AB315235)
  • Flow Cyt (Intra)

Supplier Data

Flow Cytometry (Intracellular) - Anti-ITM2B antibody [EPR27849-47] - BSA and Azide free (AB315235)

This data was developed using ab315234, the same antibody clone in a different buffer formulation.

Flow cytometric analysis of 4% paraformaldehyde fixed 90% methanol permeabilized Mouse primary neuron cells labelling ITM2B with ab315234 at 1/50 dilution (1 ug, Red) compared with a Rabbit monoclonal IgG (ab172730) (Black) isotype control and an unlabelled control (cells without incubation with primary antibody and secondary antibody) (Blue).

Goat Anti-Rabbit IgG (Alexa Fluor® 488, ab150081) at 1/5000 dilution was used as the secondary antibody.

Western blot - Anti-ITM2B antibody [EPR27849-47] - BSA and Azide free (AB315235)
  • WB

Supplier Data

Western blot - Anti-ITM2B antibody [EPR27849-47] - BSA and Azide free (AB315235)

This data was developed using ab315234, the same antibody clone in a different buffer formulation.

Blocking and diluting buffer and concentration : 5% NFDM/TBST.

Low expression : liver, skeletal muscle (PMID : 10391242)

55 kDa pro-ITM2B and 42-17 kDa ITM2B band were observed. Bands beneath 42 kDa were cleavage fragments (PMID : 24524963).

Samples are non-boiled as boiling may cause protein aggregation.

There is an unknown band at 120 kDa.

In Western blot, Anti-GAPDH antibody [EPR16891] - Loading Control (ab181602) staining at 1/200000 dilution.

All lanes:

Western blot - Anti-ITM2B antibody [EPR27849-47] (<a href='/en-us/products/primary-antibodies/itm2b-antibody-epr27849-47-ab315234'>ab315234</a>) at 1/1000 dilution

Lane 1:

Human hippocampus tissue lysate at 20 µg

Lane 2:

Human cerebellum tissue lysate at 20 µg

Lane 3:

Human skeletal muscle tissue lysate at 20 µg

Lane 4:

Human liver tissue lysate at 20 µg

Lane 5:

SH-SY5Y (human neuroblastoma epithelial cell) whole cell lysate at 20 µg

Secondary

All lanes:

Western blot - Goat Anti-Rabbit IgG H&L (HRP) (<a href='/en-us/products/secondary-antibodies/goat-rabbit-igg-h-l-hrp-ab97051'>ab97051</a>) at 1/100000 dilution

Observed band size: 55 kDa,42-17 kDa,36 kDa

false

Exposure time: 10s

Western blot - Anti-ITM2B antibody [EPR27849-47] - BSA and Azide free (AB315235)
  • WB

Supplier Data

Western blot - Anti-ITM2B antibody [EPR27849-47] - BSA and Azide free (AB315235)

This data was developed using ab315234, the same antibody clone in a different buffer formulation.

Blocking and diluting buffer and concentration : 5% NFDM/TBST.

Low expression : skeletal muscle (PMID : 12566161, PMID : 10391242)

55 kDa pro-ITM2B and 42-17 kDa ITM2B band were observed. Bands beneath 42 kDa were cleavage fragments (PMID : 24524963).

Samples are non-boiled as boiling may cause protein aggregation.

In Western blot, Anti-GAPDH antibody [EPR16891] - Loading Control (ab181602) staining at 1/200000 dilution.

All lanes:

Western blot - Anti-ITM2B antibody [EPR27849-47] (<a href='/en-us/products/primary-antibodies/itm2b-antibody-epr27849-47-ab315234'>ab315234</a>) at 1/1000 dilution

Lane 1:

Rat hippocampus tissue lysate at 20 µg

Lane 2:

Rat skeletal muscle tissue lysate at 20 µg

Lane 3:

Neuro-2a (mouse neuroblastoma neuroblast) whole cell lysate at 20 µg

Secondary

All lanes:

Western blot - Goat Anti-Rabbit IgG H&L (HRP) (<a href='/en-us/products/secondary-antibodies/goat-rabbit-igg-h-l-hrp-ab97051'>ab97051</a>) at 1/100000 dilution

Observed band size: 55 kDa,42-17 kDa,36 kDa

false

Exposure time: 180s

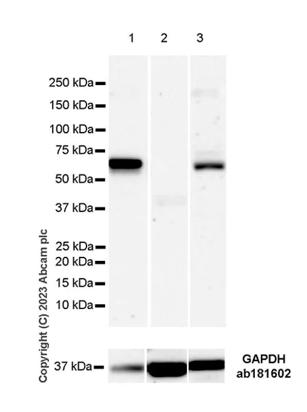
Western blot - Anti-ITM2B antibody [EPR27849-47] - BSA and Azide free (AB315235)
  • WB

Supplier Data

Western blot - Anti-ITM2B antibody [EPR27849-47] - BSA and Azide free (AB315235)

This data was developed using ab315234, the same antibody clone in a different buffer formulation.

Blocking and diluting buffer and concentration : 5% NFDM/TBST.

Low expression : liver, spleen, testis (PMID : 12566161).

The expression molecular weight observed is consistent with what has been described in the literature (PMID : 24524963, PMID : 28131015)

55 kDa pro-ITM2B and 42-17 kDa ITM2B band were observed. Bands beneath 42 kDa were cleavage fragments (PMID : 24524963).

Samples are non-boiled as boiling may cause protein aggregation.

In Western blot, Anti-GAPDH antibody [EPR16891] - Loading Control (ab181602) staining at 1/200000 dilution.

All lanes:

Western blot - Anti-ITM2B antibody [EPR27849-47] (<a href='/en-us/products/primary-antibodies/itm2b-antibody-epr27849-47-ab315234'>ab315234</a>) at 1/1000 dilution

Lane 1:

Rat brain tissue lysate at 20 µg

Lane 2:

Rat liver tissue lysate at 20 µg

Lane 3:

Rat testis tissue lysate at 20 µg

Lane 4:

Rat spleen tissue lysate at 20 µg

Secondary

All lanes:

Western blot - Goat Anti-Rabbit IgG H&L (HRP) (<a href='/en-us/products/secondary-antibodies/goat-rabbit-igg-h-l-hrp-ab97051'>ab97051</a>) at 1/100000 dilution

Observed band size: 55 kDa,42-17 kDa,36 kDa

false

Exposure time: 48s

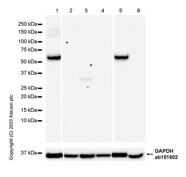
Western blot - Anti-ITM2B antibody [EPR27849-47] - BSA and Azide free (AB315235)
  • WB

Supplier Data

Western blot - Anti-ITM2B antibody [EPR27849-47] - BSA and Azide free (AB315235)

This data was developed using ab315234, the same antibody clone in a different buffer formulation.

Blocking and diluting buffer and concentration : 5% NFDM/TBST.

Low expression : spleen, testis, liver (PMID : 12566161, PMID : 10391242).

55 kDa pro-ITM2B and 42-17 kDa ITM2B band were observed. Bands beneath 42 kDa were cleavage fragment (PMID : 24524963).

Samples are non-boiled as boiling may cause protein aggregation.

In Western blot, Anti-GAPDH antibody [EPR16891] - Loading Control (ab181602) staining at 1/200000 dilution.

All lanes:

Western blot - Anti-ITM2B antibody [EPR27849-47] (<a href='/en-us/products/primary-antibodies/itm2b-antibody-epr27849-47-ab315234'>ab315234</a>) at 1/1000 dilution

Lane 1:

Mouse hippocampus tissue lysate at 20 µg

Lane 2:

Mouse testis tissue lysate at 20 µg

Lane 3:

Mouse liver tissue lysate at 20 µg

Lane 4:

Mouse spleen tissue lysate at 20 µg

Lane 5:

Rat hippocampus tissue lysate at 20 µg

Lane 6:

Rat testis tissue lysate at 20 µg

Secondary

All lanes:

Western blot - Goat Anti-Rabbit IgG H&L (HRP) (<a href='/en-us/products/secondary-antibodies/goat-rabbit-igg-h-l-hrp-ab97051'>ab97051</a>) at 1/100000 dilution

Observed band size: 55 kDa,42-17 kDa,36 kDa

false

Exposure time: 81s

Key facts

Host species

Rabbit

Clonality

Monoclonal

Clone number

EPR27849-47

Isotype

IgG

Carrier free

Yes

Reacts with

Mouse, Rat, Human

Applications

Flow Cyt (Intra), WB

applications

Immunogen

The exact immunogen used to generate this antibody is proprietary information.

Reactivity data

{ "title": "Reactivity Data", "filters": { "stats": ["", "Species", "Dilution Info", "Notes"], "tabs": { "all-applications": {"fullname" : "All Applications", "shortname": "All Applications"}, "FlowCytIntra" : {"fullname" : "Flow Cytometry (Intracellular)", "shortname":"Flow Cyt (Intra)"}, "WB" : {"fullname" : "Western blot", "shortname":"WB"}, "IHCP" : {"fullname" : "Immunohistochemistry (Formalin/PFA-fixed paraffin-embedded sections)", "shortname":"IHC-P"}, "IP" : {"fullname" : "Immunoprecipitation", "shortname":"IP"}, "ICCIF" : {"fullname" : "Immunocytochemistry/ Immunofluorescence", "shortname":"ICC/IF"}, "IHCFr" : {"fullname" : "Immunohistochemistry (Frozen sections)", "shortname":"IHC-Fr"} }, "product-promise": { "all": "all", "testedAndGuaranteed": "tested", "guaranteed": "expected", "predicted": "predicted", "notRecommended": "not-recommended" } }, "values": { "Human": { "FlowCytIntra-species-checked": "guaranteed", "FlowCytIntra-species-dilution-info": "", "FlowCytIntra-species-notes": "", "WB-species-checked": "testedAndGuaranteed", "WB-species-dilution-info": "", "WB-species-notes": "<p></p>", "IHCP-species-checked": "notRecommended", "IHCP-species-dilution-info": "", "IHCP-species-notes": "<p></p>", "IP-species-checked": "notRecommended", "IP-species-dilution-info": "", "IP-species-notes": "", "ICCIF-species-checked": "notRecommended", "ICCIF-species-dilution-info": "", "ICCIF-species-notes": "", "IHCFr-species-checked": "notRecommended", "IHCFr-species-dilution-info": "", "IHCFr-species-notes": "" }, "Mouse": { "FlowCytIntra-species-checked": "testedAndGuaranteed", "FlowCytIntra-species-dilution-info": "", "FlowCytIntra-species-notes": "<p></p>", "WB-species-checked": "testedAndGuaranteed", "WB-species-dilution-info": "", "WB-species-notes": "<p></p>", "IHCP-species-checked": "notRecommended", "IHCP-species-dilution-info": "", "IHCP-species-notes": "<p></p>", "IP-species-checked": "notRecommended", "IP-species-dilution-info": "", "IP-species-notes": "<p></p>", "ICCIF-species-checked": "notRecommended", "ICCIF-species-dilution-info": "", "ICCIF-species-notes": "<p></p>", "IHCFr-species-checked": "notRecommended", "IHCFr-species-dilution-info": "", "IHCFr-species-notes": "<p></p>" }, "Rat": { "FlowCytIntra-species-checked": "testedAndGuaranteed", "FlowCytIntra-species-dilution-info": "", "FlowCytIntra-species-notes": "<p></p>", "WB-species-checked": "testedAndGuaranteed", "WB-species-dilution-info": "", "WB-species-notes": "<p></p>", "IHCP-species-checked": "notRecommended", "IHCP-species-dilution-info": "", "IHCP-species-notes": "<p></p>", "IP-species-checked": "notRecommended", "IP-species-dilution-info": "", "IP-species-notes": "", "ICCIF-species-checked": "notRecommended", "ICCIF-species-dilution-info": "", "ICCIF-species-notes": "<p></p>", "IHCFr-species-checked": "notRecommended", "IHCFr-species-dilution-info": "", "IHCFr-species-notes": "" } } }

Product details

ab315235 is the carrier-free version of ab315234.

Patented technology
Our RabMAb® technology is a patented hybridoma-based technology for making rabbit monoclonal antibodies. For details on our patents, please refer to RabMAb® patents.

What are the advantages of a recombinant monoclonal antibody?
This product is a recombinant monoclonal antibody, which offers several advantages including:

  • - High batch-to-batch consistency and reproducibility
  • - Improved sensitivity and specificity
  • - Long-term security of supply
  • - Animal-free batch production

For more information, read more on recombinant antibodies.

Conjugation ready
Our carrier-free antibodies are typically supplied in a PBS-only formulation, purified and free of BSA, sodium azide and glycerol. This conjugation-ready format is designed for use with fluorochromes, metal isotopes, oligonucleotides, and enzymes, which makes them ideal for antibody labelling, functional and cell-based assays, flow-based assays (e.g. mass cytometry) and Multiplex Imaging applications.

Use our conjugation kits for antibody conjugates that are ready-to-use in as little as 20 minutes with 1 minute hands-on-time and 100% antibody recovery: available for fluorescent dyes, HRP, biotin and gold.

Compatibility
This product is compatible with the Maxpar® Antibody Labeling Kit from Fluidigm, without the need for antibody preparation. Maxpar® is a trademark of Fluidigm Canada Inc.

Properties and storage information

Form
Liquid
Purification technique
Affinity purification Protein A
Storage buffer
pH: 7.2 - 7.4 Constituents: PBS
Shipped at conditions
Blue Ice
Appropriate short-term storage conditions
+4°C
Appropriate long-term storage conditions
+4°C

Supplementary information

This supplementary information is collated from multiple sources and compiled automatically.

ITM2B also known as Integral Membrane Protein 2B or BRI2 is a transmembrane protein weighing approximately 30 kDa. This protein is expressed widely in human tissues showing particularly high levels in the central nervous system and brain. ITM2B functions mechanically by playing a role in protein processing and trafficking owing to its transmembrane nature. With an integral role in cellular functions ITM2B interacts with various cellular components associated with membrane-related activities.
Biological function summary

ITM2B engages in several vital cellular processes such as regulation of amyloid precursor protein (APP) processing. ITM2B forms part of a complex with other proteins involved in APP cleavage which is significant for maintaining cell homeostasis. It also influences neuronal functions through its effects on synaptic plasticity and could impact cognitive abilities. The protein's presence in brain regions ties ITM2B closely to neural activities where protein interactions are essential for cellular communication.

Pathways

ITM2B exerts influence on critical processes in amyloidogenic pathways contributing to the modulation of amyloid-beta production. This protein directly interacts with other players like APP and presenilin 1 within this pathway affecting the levels of amyloids and ultimately impacting neural integrity. Additionally ITM2B participates in Wnt signaling pathways linking it to cellular differentiation and proliferation where it modulates interactions with proteins that convey Wnt signals such as beta-catenin.

ITM2B is directly linked to familial British dementia and familial Danish dementia both neurodegenerative conditions. These diseases involve mutations in the ITM2B gene leading to abnormal protein aggregates that disrupt normal brain function. ITM2B's relationship with amyloid-beta and presenilin 1 also connects it to Alzheimer's disease pathogenesis where these proteins play roles in amyloid plaque formation a hallmark of Alzheimer's. Studies focus on targeting ITM2B interactions and processing to develop therapies for these conditions highlighting its potential as a therapeutic target.

Product protocols

For this product, it's our understanding that no specific protocols are required. You can visit:

Target data

Plays a regulatory role in the processing of the amyloid-beta A4 precursor protein (APP) and acts as an inhibitor of the amyloid-beta peptide aggregation and fibrils deposition. Plays a role in the induction of neurite outgrowth. Functions as a protease inhibitor by blocking access of secretases to APP cleavage sites.. Mature BRI2 (mBRI2) functions as a modulator of the amyloid-beta A4 precursor protein (APP) processing leading to a strong reduction in the secretion of secretase-processed amyloid-beta protein 40 and amyloid-beta protein 42.. Bri23 peptide prevents aggregation of APP amyloid-beta protein 42 into toxic oligomers.
See full target information ITM2B

Product promise

We are committed to supporting your work with high-quality reagents, and we're here for you every step of the way. In the unlikely event that one of our products does not perform as expected, you're protected by our Product Promise.
For full details, please see our Terms & Conditions

Please note: All products are 'FOR RESEARCH USE ONLY. NOT FOR USE IN DIAGNOSTIC OR THERAPEUTIC PROCEDURES'.

For licensing inquiries, please contact partnerships@abcam.com