JavaScript is disabled in your browser. Please enable JavaScript to view this website.
AB119044

Anti-ITM2B antibody [OTI1C11]

Be the first to review this product! Submit a review

|

(1 Publication)

Mouse Monoclonal ITM2B antibody. Suitable for WB, IHC-P, Flow Cyt (Intra) and reacts with Human samples. Cited in 1 publication. Immunogen corresponding to Recombinant Full Length Protein corresponding to Human ITM2B.

View Alternative Names

BRI, BRI2, ITM2B, Integral membrane protein 2B, Immature BRI2, Protein E25B, Transmembrane protein BRI, imBRI2, Bri

4 Images
Western blot - Anti-ITM2B antibody [OTI1C11] (AB119044)
  • WB

Unknown

Western blot - Anti-ITM2B antibody [OTI1C11] (AB119044)

HEK293T cell lysates were generated from transient transfection of the cDNA clone (RC202377)

All lanes:

Western blot - Anti-ITM2B antibody [OTI1C11] (ab119044) at 1/2000 dilution

Lane 1:

HEK293T lysate transfected with pCMV6-ENTRY control cDNA at 5 µg

Lane 2:

HEK293T lysate transfected with pCMV6-ENTRY ITM2B cDNA at 5 µg

Predicted band size: 30 kDa,55 kDa

Observed band size: 75 kDa

false

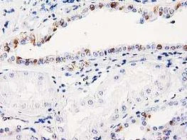
Immunohistochemistry (Formalin/PFA-fixed paraffin-embedded sections) - Anti-ITM2B antibody [OTI1C11] (AB119044)
  • IHC-P

Unknown

Immunohistochemistry (Formalin/PFA-fixed paraffin-embedded sections) - Anti-ITM2B antibody [OTI1C11] (AB119044)

ab119044, at 1/150 dilution, staining ITM2B in paraffin embedded Human kidney by Immunohistochemistry.

Flow Cytometry (Intracellular) - Anti-ITM2B antibody [OTI1C11] (AB119044)
  • Flow Cyt (Intra)

Unknown

Flow Cytometry (Intracellular) - Anti-ITM2B antibody [OTI1C11] (AB119044)

ab119044 at 1/100 dilution staining ITM2B in HeLa cells by Flow cytometry (Intracellular) (Red) compared to a nonspecific negative control antibody (Blue).

Flow Cytometry (Intracellular) - Anti-ITM2B antibody [OTI1C11] (AB119044)
  • Flow Cyt (Intra)

Unknown

Flow Cytometry (Intracellular) - Anti-ITM2B antibody [OTI1C11] (AB119044)

ab119044 at 1/100 dilution staining ITM2B in Jurkat cells by Flow cytometry (Intracellular) (Red) compared to a nonspecific negative control antibody (Blue).

Key facts

Host species

Mouse

Clonality

Monoclonal

Clone number

OTI1C11

Isotype

IgG2a

Carrier free

No

Reacts with

Human

Applications

Flow Cyt (Intra), WB, IHC-P

applications

Immunogen

Recombinant Full Length Protein corresponding to Human ITM2B.

Q9Y287

Reactivity data

{ "title": "Reactivity Data", "filters": { "stats": ["", "Species", "Dilution Info", "Notes"], "tabs": { "all-applications": {"fullname" : "All Applications", "shortname": "All Applications"}, "WB" : {"fullname" : "Western blot", "shortname":"WB"}, "IHCP" : {"fullname" : "Immunohistochemistry (Formalin/PFA-fixed paraffin-embedded sections)", "shortname":"IHC-P"}, "FlowCytIntra" : {"fullname" : "Flow Cytometry (Intracellular)", "shortname":"Flow Cyt (Intra)"} }, "product-promise": { "all": "all", "testedAndGuaranteed": "tested", "guaranteed": "expected", "predicted": "predicted", "notRecommended": "not-recommended" } }, "values": { "Human": { "WB-species-checked": "testedAndGuaranteed", "WB-species-dilution-info": "1/2000", "WB-species-notes": "<p></p>", "IHCP-species-checked": "testedAndGuaranteed", "IHCP-species-dilution-info": "1/150", "IHCP-species-notes": "<p></p>", "FlowCytIntra-species-checked": "testedAndGuaranteed", "FlowCytIntra-species-dilution-info": "1/100", "FlowCytIntra-species-notes": "<p><a href='/en-us/products/primary-antibodies/mouse-igg2c-kappa-monoclonal-18c8bc7ad10-isotype-control-ab170191'>ab170191</a> - Mouse monoclonal IgG2a, is suitable for use as an isotype control with this antibody.</p>" } } }

Product details

Dilute in PBS (pH7.3) before use.

The clone number has been updated from 1C11 to OTI1C11, both clone numbers name the same clone.

This product was changed from ascites to tissue culture supernatant on 5th September 2018. Please note that the dilutions may need to be adjusted accordingly. If you have any questions, please do not hesitate to contact our scientific support team.

Properties and storage information

Form
Liquid
Purity
Tissue culture supernatant
Purification notes
Purified from TCS.
Storage buffer
pH: 7.3 Preservative: 0.02% Sodium azide Constituents: PBS, 50% Glycerol (glycerin, glycerine), 1% BSA
Shipped at conditions
Blue Ice
Appropriate short-term storage conditions
+4°C
Appropriate long-term storage conditions
-20°C
Aliquoting information
Upon delivery aliquot
Storage information
Avoid freeze / thaw cycle

Supplementary information

This supplementary information is collated from multiple sources and compiled automatically.

ITM2B also known as Integral Membrane Protein 2B or BRI2 is a transmembrane protein weighing approximately 30 kDa. This protein is expressed widely in human tissues showing particularly high levels in the central nervous system and brain. ITM2B functions mechanically by playing a role in protein processing and trafficking owing to its transmembrane nature. With an integral role in cellular functions ITM2B interacts with various cellular components associated with membrane-related activities.
Biological function summary

ITM2B engages in several vital cellular processes such as regulation of amyloid precursor protein (APP) processing. ITM2B forms part of a complex with other proteins involved in APP cleavage which is significant for maintaining cell homeostasis. It also influences neuronal functions through its effects on synaptic plasticity and could impact cognitive abilities. The protein's presence in brain regions ties ITM2B closely to neural activities where protein interactions are essential for cellular communication.

Pathways

ITM2B exerts influence on critical processes in amyloidogenic pathways contributing to the modulation of amyloid-beta production. This protein directly interacts with other players like APP and presenilin 1 within this pathway affecting the levels of amyloids and ultimately impacting neural integrity. Additionally ITM2B participates in Wnt signaling pathways linking it to cellular differentiation and proliferation where it modulates interactions with proteins that convey Wnt signals such as beta-catenin.

ITM2B is directly linked to familial British dementia and familial Danish dementia both neurodegenerative conditions. These diseases involve mutations in the ITM2B gene leading to abnormal protein aggregates that disrupt normal brain function. ITM2B's relationship with amyloid-beta and presenilin 1 also connects it to Alzheimer's disease pathogenesis where these proteins play roles in amyloid plaque formation a hallmark of Alzheimer's. Studies focus on targeting ITM2B interactions and processing to develop therapies for these conditions highlighting its potential as a therapeutic target.

Product protocols

For this product, it's our understanding that no specific protocols are required. You can visit:

Target data

Plays a regulatory role in the processing of the amyloid-beta A4 precursor protein (APP) and acts as an inhibitor of the amyloid-beta peptide aggregation and fibrils deposition. Plays a role in the induction of neurite outgrowth. Functions as a protease inhibitor by blocking access of secretases to APP cleavage sites.. Mature BRI2 (mBRI2) functions as a modulator of the amyloid-beta A4 precursor protein (APP) processing leading to a strong reduction in the secretion of secretase-processed amyloid-beta protein 40 and amyloid-beta protein 42.. Bri23 peptide prevents aggregation of APP amyloid-beta protein 42 into toxic oligomers.
See full target information ITM2B

Publications (1)

Recent publications for all applications. Explore the full list and refine your search

The Journal of clinical investigation 133: PubMed37014703

2023

Accumulation of α-synuclein mediates podocyte injury in Fabry nephropathy.

Applications

Unspecified application

Species

Unspecified reactive species

Fabian Braun,Ahmed Abed,Dominik Sellung,Manuel Rogg,Mathias Woidy,Oysten Eikrem,Nicola Wanner,Jessica Gambardella,Sandra D Laufer,Fabian Haas,Milagros N Wong,Bernhard Dumoulin,Paula Rischke,Anne Mühlig,Wiebke Sachs,Katharina von Cossel,Kristina Schulz,Nicole Muschol,Sören W Gersting,Ania C Muntau,Oliver Kretz,Oliver Hahn,Markus M Rinschen,Michael Mauer,Tillmann Bork,Florian Grahammer,Wei Liang,Thorsten Eierhoff,Winfried Römer,Arne Hansen,Catherine Meyer-Schwesinger,Guido Iaccarino,Camilla Tøndel,Hans-Peter Marti,Behzad Najafian,Victor G Puelles,Christoph Schell,Tobias B Huber
View all publications

Product promise

We are committed to supporting your work with high-quality reagents, and we're here for you every step of the way. In the unlikely event that one of our products does not perform as expected, you're protected by our Product Promise.
For full details, please see our Terms & Conditions

Associated Products

Select an associated product type
Alternative Product
Primary Antibodies

AB89352

Anti-ITM2B antibody

primary-antibodies

itm2b-antibody-ab89352

4

(1 reviews)

Alternative Product
Primary Antibodies

AB101522

Anti-ITM2B antibody

primary-antibodies

itm2b-antibody-ab101522

0

(0 reviews)

Please note: All products are 'FOR RESEARCH USE ONLY. NOT FOR USE IN DIAGNOSTIC OR THERAPEUTIC PROCEDURES'.

For licensing inquiries, please contact partnerships@abcam.com