JavaScript is disabled in your browser. Please enable JavaScript to view this website.
AB248742

Anti-ITPA antibody [EPR8780] - BSA and Azide free

Be the first to review this product! Submit a review

|

(1 Publication)

Rabbit Recombinant Monoclonal ITPA antibody. Carrier free. Suitable for IHC-P, WB and reacts with Human samples. Cited in 1 publication.

View Alternative Names

C20orf37, My049, OK/SW-cl.9, ITPA, Inosine triphosphate pyrophosphatase, ITPase, Inosine triphosphatase, Non-canonical purine NTP pyrophosphatase, Non-standard purine NTP pyrophosphatase, Nucleoside-triphosphate diphosphatase, Nucleoside-triphosphate pyrophosphatase, Putative oncogene protein hlc14-06-p, NTPase

3 Images
Western blot - Anti-ITPA antibody [EPR8780] - BSA and Azide free (AB248742)
  • WB

Lab

Western blot - Anti-ITPA antibody [EPR8780] - BSA and Azide free (AB248742)

This data was developed using the same antibody clone in a different buffer formulation (ab134937).

Lanes 1-3 : Merged signal (red and green). Green - ab134937 observed at 21 kDa. Red - loading control ab8245 observed at 36 kDa.

ab134937 Anti-ITPA antibody [EPR8780] was shown to specifically react with ITPA in wild-type HEK293T cells. Loss of signal was observed when knockout cell line ab266679 (knockout cell lysate ab258477) was used. Wild-type and ITPA knockout samples were subjected to SDS-PAGE. ab134937 and Anti-GAPDH antibody [6C5] - Loading Control (ab8245) were incubated overnight at 4°C at 1 in 1000 dilution and 1 in 20000 dilution respectively. Blots were developed with Goat anti-Rabbit IgG H&L (IRDye® 800CW) preadsorbed (ab216773) and Goat anti-Mouse IgG H&L (IRDye® 680RD) preadsorbed (ab216776) secondary antibodies at 1 in 20000 dilution for 1 hour at room temperature before imaging.

All lanes:

Western blot - Anti-ITPA antibody [EPR8780] (<a href='/en-us/products/primary-antibodies/itpa-antibody-epr8780-ab134937'>ab134937</a>) at 1/1000 dilution

Lane 1:

Wild-type HEK293T cell lysate at 20 µg

Lane 2:

Western blot - Human ITPA knockout HEK-293T cell lysate (<a href='/en-us/products/cell-lysates/human-itpa-knockout-hek-293t-cell-lysate-ab258477'>ab258477</a>) at 20 µg

Lane 3:

Jurkat cell lysate at 20 µg

Secondary

Lanes 1 - 3:

Western blot - Goat anti-Rabbit IgG H&L (IRDye® 800CW) preadsorbed (<a href='/en-us/products/secondary-antibodies/goat-rabbit-igg-h-l-irdye-800cw-preadsorbed-ab216773'>ab216773</a>) at 1/10000 dilution

Lanes 1 - 3:

Western blot - Goat anti-Mouse IgG H&L (IRDye® 680RD) preadsorbed (<a href='/en-us/products/secondary-antibodies/goat-mouse-igg-h-l-irdye-680rd-preadsorbed-ab216776'>ab216776</a>) at 1/20000 dilution

Predicted band size: 21 kDa

Observed band size: 21 kDa

false

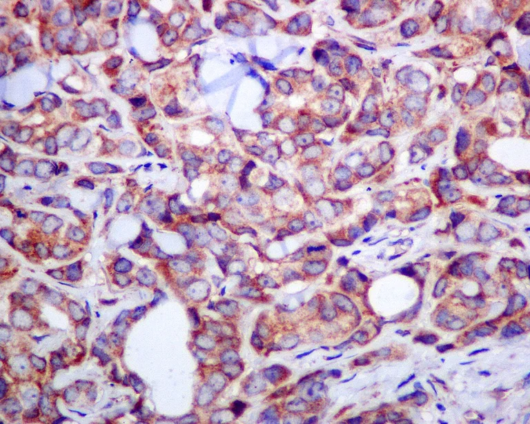
Immunohistochemistry (Formalin/PFA-fixed paraffin-embedded sections) - Anti-ITPA antibody [EPR8780] - BSA and Azide free (AB248742)
  • IHC-P

Unknown

Immunohistochemistry (Formalin/PFA-fixed paraffin-embedded sections) - Anti-ITPA antibody [EPR8780] - BSA and Azide free (AB248742)

This data was developed using ab134937, the same antibody clone in a different buffer formulation.

Immunohistochemical analysis of paraffin-embedded, formalin-fixed Human breast carcinoma tissue, labelling ITPA using ab134937 at a 1/50 dilution.

Perform heat mediated antigen retrieval with citrate buffer pH 6 before commencing with IHC staining protocol.

Western blot - Anti-ITPA antibody [EPR8780] - BSA and Azide free (AB248742)
  • WB

Unknown

Western blot - Anti-ITPA antibody [EPR8780] - BSA and Azide free (AB248742)

This data was developed using ab134937, the same antibody clone in a different buffer formulation.

All lanes:

Western blot - Anti-ITPA antibody [EPR8780] - BSA and Azide free (ab248742) at 1/1000 dilution

Lane 1:

Jurkat cell lysate at 10 µg

Lane 2:

HepG2 cell lysate at 10 µg

Lane 3:

HeLa cell lysate at 10 µg

Lane 4:

K562 cell lysate at 10 µg

Secondary

All lanes:

Standard HRP labelled goat anti-rabbit at 1/2000 dilution

Predicted band size: 21 kDa

true

Key facts

Host species

Rabbit

Clonality

Monoclonal

Clone number

EPR8780

Isotype

IgG

Carrier free

Yes

Reacts with

Human

Applications

IHC-P, WB

applications

Immunogen

The exact immunogen used to generate this antibody is proprietary information.

Reactivity data

{ "title": "Reactivity Data", "filters": { "stats": ["", "Species", "Dilution Info", "Notes"], "tabs": { "all-applications": {"fullname" : "All Applications", "shortname": "All Applications"}, "IHCP" : {"fullname" : "Immunohistochemistry (Formalin/PFA-fixed paraffin-embedded sections)", "shortname":"IHC-P"}, "IP" : {"fullname" : "Immunoprecipitation", "shortname":"IP"}, "FlowCyt" : {"fullname" : "Flow Cytometry", "shortname":"Flow Cyt"}, "WB" : {"fullname" : "Western blot", "shortname":"WB"}, "ICCIF" : {"fullname" : "Immunocytochemistry/ Immunofluorescence", "shortname":"ICC/IF"} }, "product-promise": { "all": "all", "testedAndGuaranteed": "tested", "guaranteed": "expected", "predicted": "predicted", "notRecommended": "not-recommended" } }, "values": { "Human": { "IHCP-species-checked": "testedAndGuaranteed", "IHCP-species-dilution-info": "", "IHCP-species-notes": "<p>For antigen retrieval: heat up to 98 degree C, below boiling, and then let cool for 10-20 min. Use of an HRP/AP polymerized secondary antibody is recommended.</p> Perform heat-mediated antigen retrieval with citrate buffer pH 6 before commencing with IHC staining protocol.", "IP-species-checked": "notRecommended", "IP-species-dilution-info": "", "IP-species-notes": "<p></p>", "FlowCyt-species-checked": "notRecommended", "FlowCyt-species-dilution-info": "", "FlowCyt-species-notes": "<p></p>", "WB-species-checked": "testedAndGuaranteed", "WB-species-dilution-info": "", "WB-species-notes": "<p></p>", "ICCIF-species-checked": "notRecommended", "ICCIF-species-dilution-info": "", "ICCIF-species-notes": "<p></p>" } } }

Product details

ab248742 is the carrier-free version of ab134937.

Species reactivity
Mouse, Rat: We have preliminary internal testing data to indicate this antibody may not react with these species.
Please contact us for more information.

Patented technology
Our RabMAb® technology is a patented hybridoma-based technology for making rabbit monoclonal antibodies. For details on our patents, please refer to RabMAb® patents.

What are the advantages of a recombinant monoclonal antibody?
This product is a recombinant monoclonal antibody, which offers several advantages including:

  • - High batch-to-batch consistency and reproducibility
  • - Improved sensitivity and specificity
  • - Long-term security of supply
  • - Animal-free batch production

For more information, read more on recombinant antibodies.

Conjugation ready
Our carrier-free antibodies are typically supplied in a PBS-only formulation, purified and free of BSA, sodium azide and glycerol. This conjugation-ready format is designed for use with fluorochromes, metal isotopes, oligonucleotides, and enzymes, which makes them ideal for antibody labelling, functional and cell-based assays, flow-based assays (e.g. mass cytometry) and Multiplex Imaging applications.

Use our conjugation kits for antibody conjugates that are ready-to-use in as little as 20 minutes with 1 minute hands-on-time and 100% antibody recovery: available for fluorescent dyes, HRP, biotin and gold.

Compatibility
This product is compatible with the Maxpar® Antibody Labeling Kit from Fluidigm, without the need for antibody preparation. Maxpar® is a trademark of Fluidigm Canada Inc.

Properties and storage information

Form
Liquid
Purification technique
Affinity purification Protein A
Storage buffer
pH: 7.2 - 7.4 Constituents: PBS
Shipped at conditions
Blue Ice
Appropriate short-term storage conditions
+4°C
Appropriate long-term storage conditions
+4°C
Storage information
Do Not Freeze

Supplementary information

This supplementary information is collated from multiple sources and compiled automatically.

ITPA also known as inosine triphosphate pyrophosphatase is an important enzyme responsible for catalyzing the hydrolysis of inosine triphosphate (ITP) to inosine monophosphate (IMP). This enzyme prevents the accumulation of non-canonical nucleotides in the cell. ITPA has a mass of approximately 21 kDa and is expressed ubiquitously in various tissues indicating its importance across different cell types. The enzyme is also present in HEK 293T cells as researchers often use these cells for studies due to their growth characteristics and transfection efficiency.
Biological function summary

The enzyme plays a pivotal role in nucleotide metabolism by regulating the levels of ITP deoxyinosine triphosphate (dITP) and xanthosine triphosphate (XTP). By hydrolyzing these non-standard nucleotides ITPA maintains genomic integrity and prevents mutations during DNA replication. It is not typically considered part of a larger complex but acts independently to safeguard the nucleotide pool from potentially harmful nucleotide analogs.

Pathways

ITPA's activity is essential in the purine metabolism pathway where it helps maintain a proper balance of nucleotide synthesis and degradation. This function helps prevent the incorporation of non-standard bases into DNA and RNA which can lead to genetic instability. ITPA activity is also intertwined with the salvage pathway of purine nucleotides. This connection highlights its indirect relationship with proteins involved in nucleotide synthesis and repair such as DNA polymerases and other nucleotide-metabolizing enzymes.

ITPA has associations with certain pathological conditions. For example ITPA deficiency can lead to inosine triphosphate accumulation which might contribute to hemolytic anemia. Mutations in the ITPA gene can also impact drug metabolism notably in patients receiving thiopurine drugs such as those used for leukemia treatment. These mutations may lead to adverse drug reactions due to the altered nucleotide balance. The connection with these conditions emphasizes the role of ITPA in maintaining cellular homeostasis and its potential influence on pharmacogenomics.

Product protocols

For this product, it's our understanding that no specific protocols are required. You can visit:

Target data

Pyrophosphatase that hydrolyzes the non-canonical purine nucleotides inosine triphosphate (ITP), deoxyinosine triphosphate (dITP) as well as 2'-deoxy-N-6-hydroxylaminopurine triphosphate (dHAPTP) and xanthosine 5'-triphosphate (XTP) to their respective monophosphate derivatives. The enzyme does not distinguish between the deoxy- and ribose forms. Probably excludes non-canonical purines from RNA and DNA precursor pools, thus preventing their incorporation into RNA and DNA and avoiding chromosomal lesions.
See full target information ITPA

Publications (1)

Recent publications for all applications. Explore the full list and refine your search

NPJ precision oncology 7:95 PubMed37723227

2023

Targeted single-cell proteomic analysis identifies new liquid biopsy biomarkers associated with multiple myeloma.

Applications

Unspecified application

Species

Unspecified reactive species

Sonia M Setayesh,Libere J Ndacayisaba,Kate E Rappard,Valerie Hennes,Luz Yurany Moreno Rueda,Guilin Tang,Pei Lin,Robert Z Orlowski,David E Symer,Elisabet E Manasanch,Stephanie N Shishido,Peter Kuhn
View all publications

Product promise

We are committed to supporting your work with high-quality reagents, and we're here for you every step of the way. In the unlikely event that one of our products does not perform as expected, you're protected by our Product Promise.
For full details, please see our Terms & Conditions

Please note: All products are 'FOR RESEARCH USE ONLY. NOT FOR USE IN DIAGNOSTIC OR THERAPEUTIC PROCEDURES'.

For licensing inquiries, please contact partnerships@abcam.com