JavaScript is disabled in your browser. Please enable JavaScript to view this website.
AB230183

Anti-IWS1 antibody

Be the first to review this product! Submit a review

|

(1 Publication)

Rabbit Polyclonal IWS1 antibody. Suitable for WB, IHC-P and reacts with Human samples. Cited in 1 publication. Immunogen corresponding to Recombinant Fragment Protein within Human IWS1 aa 550 to C-terminus.

View Alternative Names

IWS1L, IWS1, Protein IWS1 homolog, IWS1-like protein

3 Images
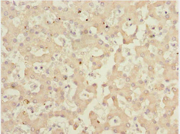
Immunohistochemistry (Formalin/PFA-fixed paraffin-embedded sections) - Anti-IWS1 antibody (AB230183)
  • IHC-P

Supplier Data

Immunohistochemistry (Formalin/PFA-fixed paraffin-embedded sections) - Anti-IWS1 antibody (AB230183)

Paraffin-embedded liver tissue stained for IWS1 using ab230183 at 1/100 dilution in immunohistochemical analysis.

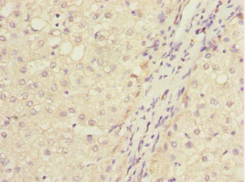
Immunohistochemistry (Formalin/PFA-fixed paraffin-embedded sections) - Anti-IWS1 antibody (AB230183)
  • IHC-P

Supplier Data

Immunohistochemistry (Formalin/PFA-fixed paraffin-embedded sections) - Anti-IWS1 antibody (AB230183)

Paraffin-embedded liver cancer tissue stained for IWS1 using ab230183 at 1/100 dilution in immunohistochemical analysis.

Western blot - Anti-IWS1 antibody (AB230183)
  • WB

Supplier Data

Western blot - Anti-IWS1 antibody (AB230183)

All lanes:

Western blot - Anti-IWS1 antibody (ab230183) at 1/1000 dilution

Lane 1:

HeLa (human epithelial cell line from cervix adenocarcinoma) whole cell lysate

Lane 2:

HEK-293T (human epithelial cell line from embryonic kidney transformed with large T antigen) whole cell lysate

Lane 3:

Jurkat (human T cell leukemia cell line from peripheral blood) whole cell lysate

Secondary

All lanes:

Goat anti-Rabbit IgG at 1/10000 dilution

Predicted band size: 92 kDa

false

Key facts

Host species

Rabbit

Clonality

Polyclonal

Isotype

IgG

Carrier free

No

Reacts with

Human

Applications

IHC-P, WB

applications

Immunogen

Recombinant Fragment Protein within Human IWS1 aa 550 to C-terminus. The exact immunogen used to generate this antibody is proprietary information.

Q96ST2

Reactivity data

{ "title": "Reactivity Data", "filters": { "stats": ["", "Species", "Dilution Info", "Notes"], "tabs": { "all-applications": {"fullname" : "All Applications", "shortname": "All Applications"}, "WB" : {"fullname" : "Western blot", "shortname":"WB"}, "IHCP" : {"fullname" : "Immunohistochemistry (Formalin/PFA-fixed paraffin-embedded sections)", "shortname":"IHC-P"} }, "product-promise": { "all": "all", "testedAndGuaranteed": "tested", "guaranteed": "expected", "predicted": "predicted", "notRecommended": "not-recommended" } }, "values": { "Human": { "WB-species-checked": "testedAndGuaranteed", "WB-species-dilution-info": "1/1000 - 1/5000", "WB-species-notes": "<p></p>", "IHCP-species-checked": "testedAndGuaranteed", "IHCP-species-dilution-info": "", "IHCP-species-notes": "<p></p>" }, "Mouse": { "WB-species-checked": "predicted", "WB-species-dilution-info": "", "WB-species-notes": "", "IHCP-species-checked": "predicted", "IHCP-species-dilution-info": "", "IHCP-species-notes": "" }, "Xenopus tropicalis": { "WB-species-checked": "predicted", "WB-species-dilution-info": "", "WB-species-notes": "", "IHCP-species-checked": "predicted", "IHCP-species-dilution-info": "", "IHCP-species-notes": "" } } }

Properties and storage information

Form
Liquid
Purification technique
Affinity purification Immunogen
Storage buffer
pH: 7.3 Preservative: 0.02% Sodium azide Constituents: PBS, 50% Glycerol (glycerin, glycerine)
Shipped at conditions
Blue Ice
Appropriate short-term storage duration
1-2 weeks
Appropriate short-term storage conditions
+4°C
Appropriate long-term storage conditions
-20°C
Aliquoting information
Upon delivery aliquot
Storage information
Avoid freeze / thaw cycle

Supplementary information

This supplementary information is collated from multiple sources and compiled automatically.

The Integrator Complex Subunit 1 (IWS1) is a protein that plays an important role in RNA processing and transcriptional regulation. It is also known by other names such as Factor That Associates with Transcription Elongation Complex 6 (FACT Complex) and Suppressor of Ty6 Homolog (Spt16). IWS1 has a molecular mass of approximately 105 kDa. The expression of IWS1 is widespread with high levels observed in actively dividing cells especially in proliferative tissues and cancer cells indicating its important role in cell growth and division processes.
Biological function summary

The IWS1 protein is involved in mediating interactions between the transcription machinery and chromatin. IWS1 often functions as a part of the transcription elongation complex enhancing the efficiency of RNA polymerase II during the elongation phase of transcription. IWS1 as part of this complex assists in chromatin remodeling which allows for the transcription of tightly packaged DNA. This action facilitates efficient gene expression and is important in maintaining proper cellular functions and responses to environmental signals.

Pathways

IWS1 integrates into critical cellular processes like the cell cycle and DNA damage response pathways. One significant pathway is the RNA polymerase II transcription elongation pathway where IWS1 works closely with other elongation factors and chromatin remodeling proteins to ensure proper transcription regulation. Additionally IWS1 is associated with the DNA damage response pathway where it collaborates with proteins such as ATR and BRCA1 to manage cellular reactions to DNA damage contributing to genome stability and repair mechanisms.

IWS1 has been linked to cancer progression with a particular connection to breast and prostate cancers. The overexpression of IWS1 can lead to uncontrolled cell proliferation a feature observed in tumor cells. IWS1 has associations with the protein c-Myc which is a well-known oncogene involved in these cancers. Additionally IWS1's dysregulation may influence the pathogenesis of other proliferative disorders due to its role in transcription control and cellular growth processes.

Product protocols

For this product, it's our understanding that no specific protocols are required. You can visit:

Target data

Transcription factor which plays a key role in defining the composition of the RNA polymerase II (RNAPII) elongation complex and in modulating the production of mature mRNA transcripts. Acts as an assembly factor to recruit various factors to the RNAPII elongation complex and is recruited to the complex via binding to the transcription elongation factor SUPT6H bound to the C-terminal domain (CTD) of the RNAPII subunit RPB1 (POLR2A). The SUPT6H : IWS1 : CTD complex recruits mRNA export factors (ALYREF/THOC4, EXOSC10) as well as histone modifying enzymes (such as SETD2) to ensure proper mRNA splicing, efficient mRNA export and elongation-coupled H3K36 methylation, a signature chromatin mark of active transcription.
See full target information IWS1

Publications (1)

Recent publications for all applications. Explore the full list and refine your search

iScience 26:108370 PubMed38034348

2023

Molecular subtyping and characterization of clear cell renal cell carcinoma by tumor differentiation trajectories.

Applications

Unspecified application

Species

Unspecified reactive species

Xiu-Wu Pan,Wen-Jin Chen,Da Xu,Wen-Bin Guan,Lin Li,Jia-Xin Chen,Wei-Jie Chen,Ke-Qin Dong,Jian-Qing Ye,Si-Shun Gan,Wang Zhou,Xin-Gang Cui
View all publications

Product promise

We are committed to supporting your work with high-quality reagents, and we're here for you every step of the way. In the unlikely event that one of our products does not perform as expected, you're protected by our Product Promise.
For full details, please see our Terms & Conditions

Please note: All products are 'FOR RESEARCH USE ONLY. NOT FOR USE IN DIAGNOSTIC OR THERAPEUTIC PROCEDURES'.

For licensing inquiries, please contact partnerships@abcam.com