JavaScript is disabled in your browser. Please enable JavaScript to view this website.
AB138005

Anti-JAK1 (phospho Y1034 + Y1035) antibody [EPR1899(2)]

5

(2 Reviews)

|

(73 Publications)

Anti-JAK1 (phospho Y1034 + Y1035) antibody [EPR1899(2)] (ab138005) is a rabbit monoclonal antibody detecting JAK1 in Western Blot, IHC-P, ELISA, Dot Blot. Suitable for Human.

- Biophysical QC for unrivalled batch-batch consistency
- Over 40 publications

View Alternative Names

JAK1A, JAK1B, JAK1, Tyrosine-protein kinase JAK1, Janus kinase 1, JAK-1

8 Images
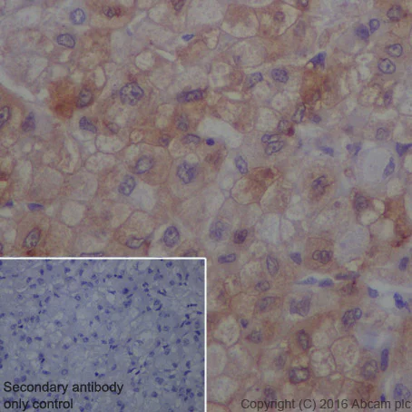
Immunohistochemistry (Formalin/PFA-fixed paraffin-embedded sections) - Anti-JAK1 (phospho Y1034 + Y1035) antibody [EPR1899(2)] (AB138005)
  • IHC-P

Unknown

Immunohistochemistry (Formalin/PFA-fixed paraffin-embedded sections) - Anti-JAK1 (phospho Y1034 + Y1035) antibody [EPR1899(2)] (AB138005)

Immunohistochemical analysis of paraffin-embedded human liver carcinoma sections labelling JAK1 (phospho Y1034 + Y1035) with purified ab138005 at dilution of 1/50. The secondary antibody used was ImmunoHistoProbe HRP Polymer for Rabbit IgG at dilution of 1 : 0. The sample was counterstained with hematoxylin. Antigen retrieval was performed using EDTA Buffer; pH 9.0.

PBS was used instead of the primary antibody as the negative control and is shown in the inset.

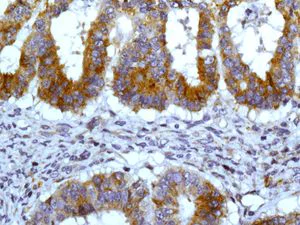
Immunohistochemistry (Formalin/PFA-fixed paraffin-embedded sections) - Anti-JAK1 (phospho Y1034 + Y1035) antibody [EPR1899(2)] (AB138005)
  • IHC-P

Unknown

Immunohistochemistry (Formalin/PFA-fixed paraffin-embedded sections) - Anti-JAK1 (phospho Y1034 + Y1035) antibody [EPR1899(2)] (AB138005)

Immunohistochemical analysis of paraffin embedded human colon adenocarcinoma tissue labelling JAK1 with unpurified ab138005 antibody at 1/50 dilution.

Perform heat mediated antigen retrieval with citrate buffer pH 6 before commencing with IHC staining protocol.

Western blot - Anti-JAK1 (phospho Y1034 + Y1035) antibody [EPR1899(2)] (AB138005)
  • WB

Lab

Western blot - Anti-JAK1 (phospho Y1034 + Y1035) antibody [EPR1899(2)] (AB138005)

Blocking and diluting buffer 5% NFDM/TBST.

All lanes:

Western blot - Anti-JAK1 (phospho Y1034 + Y1035) antibody [EPR1899(2)] (ab138005) at 1/500 dilution

Lane 1:

Untreated Ramos whole cell lysate at 10 µg

Lane 2:

Ramos treated with 1mM pervanadate for 30 minutes whole cell lysate at 10 µg

Secondary

All lanes:

Western blot - Goat Anti-Rabbit IgG H&L (HRP) (<a href='/en-us/products/secondary-antibodies/goat-rabbit-igg-h-l-hrp-ab97051'>ab97051</a>) at 1/20000 dilution

Predicted band size: 133 kDa

Observed band size: 133 kDa

false

ELISA - Anti-JAK1 (phospho Y1034 + Y1035) antibody [EPR1899(2)] (AB138005)
  • ELISA

Lab

ELISA - Anti-JAK1 (phospho Y1034 + Y1035) antibody [EPR1899(2)] (AB138005)

Antigen :

  1. JAK1 (pY1034) phospho peptide
  2. JAK1 (pY1035) phospho peptide
  3. JAK1 non-phospho peptide

Antigen concentration : 0~1000ng/ml

Primary antibody concentration range : 1000ng/ml

Secondary antibody : Alkaline Phosphatase-conjugated AffiniPure Goat Anti-Rabbit IgG(H+L), 1/2500 dilution

Western blot - Anti-JAK1 (phospho Y1034 + Y1035) antibody [EPR1899(2)] (AB138005)
  • WB

Lab

Western blot - Anti-JAK1 (phospho Y1034 + Y1035) antibody [EPR1899(2)] (AB138005)

Blocking and diluting buffer and concentration : 5% NFDM /TBST.

ab181602 was used as a GAPDH loading control.

Samples are non-boiled as boiling may cause protein aggregation.

All lanes:

Western blot - Anti-JAK1 (phospho Y1034 + Y1035) antibody [EPR1899(2)] (ab138005) at 1/1000 dilution

Lane 1:

293T cells transfected with a Human JAK1 expression vector containing a His tag whole cell lysate at 20 µg

Lane 2:

293T cells transfected with a Human JAK1 expression vector containing a His tag were treated with 50uM pervanadate for 30 min whole cell lysate at 20 µg

Lane 3:

293T cells transfected with a Human JAK1 (mutated Y1034A, mutated Y1035A) expression vector containing a His tag whole cell lysate at 20 µg

Lane 4:

293T cells transfected with a Human JAK1 (mutated Y1034A, mutated Y1035A) expression vector containing a His tag were treated with 50uM pervanadate for 30 min whole cell lysate at 20 µg

Secondary

All lanes:

Western blot - Goat Anti-Rabbit IgG H&L (HRP) (<a href='/en-us/products/secondary-antibodies/goat-rabbit-igg-h-l-hrp-ab97051'>ab97051</a>) at 1/20000 dilution

Predicted band size: 133 kDa

Observed band size: 133 kDa

false

Exposure time: 180s

Western blot - Anti-JAK1 (phospho Y1034 + Y1035) antibody [EPR1899(2)] (AB138005)
  • WB

Unknown

Western blot - Anti-JAK1 (phospho Y1034 + Y1035) antibody [EPR1899(2)] (AB138005)

All lanes:

Western blot - Anti-JAK1 (phospho Y1034 + Y1035) antibody [EPR1899(2)] (ab138005) at 1/1000 dilution

Lane 1:

Ramos cell lysates at 10 µg

Lane 2:

Ramos cell lysates, treated with pervanadate at 10 µg

Secondary

All lanes:

goat anti-rabbit HRP at 1/2000 dilution

Predicted band size: 133 kDa

false

Dot Blot - Anti-JAK1 (phospho Y1034 + Y1035) antibody [EPR1899(2)] (AB138005)
  • Dot

Lab

Dot Blot - Anti-JAK1 (phospho Y1034 + Y1035) antibody [EPR1899(2)] (AB138005)

Primary antibody : ab138005 at a 1/1000 dilution (unpurified).

Secondary antibody : Goat Anti-Rabbit IgG, (H+L), Peroxidase conjugated (ab97051) at a 1/100,000 dilution.

Blocking/Dilution buffer and concentration : 5% NFDM/TBST.

Lane 1 : JAK1 (pY1034) phospho peptide

Lane 2 : JAK1 (pY1035) phospho peptide

Lane 3 : JAK1 (pY1034/pY1035) phospho peptide

Lane 4 : JAK1 non-phospho peptide

Exposure time : 3 mins.

OI-RD Scanning - Anti-JAK1 (phospho Y1034 + Y1035) antibody [EPR1899(2)] (AB138005)
  • OI-RD Scanning

Lab

OI-RD Scanning - Anti-JAK1 (phospho Y1034 + Y1035) antibody [EPR1899(2)] (AB138005)

We have systematically measured KD (the equilibrium dissociation constant between the antibody and its antigen), of more than 840 recombinant antibodies to assess not only their individual KD values but also to see the average affinity of antibody. Based on the comparison with published literature values for mouse monoclonal antibodies, Recombinant antibodies appear to be on average 1-2 order of magnitude higher affinity.

  • HRP

    HRP Anti-JAK1 (phospho Y1034 + Y1035) antibody [EPR1899(2)]

  • Carrier free

    Anti-JAK1 (phospho Y1034 + Y1035) antibody [EPR1899(2)] - BSA and Azide free

  • 565 Alexa Fluor® 555

    Alexa Fluor® 555 Anti-JAK1 (phospho Y1034 + Y1035) antibody [EPR1899(2)]

  • 519 Alexa Fluor® 488

    Alexa Fluor® 488 Anti-JAK1 (phospho Y1034 + Y1035) antibody [EPR1899(2)]

  • 665 Alexa Fluor® 647

    Alexa Fluor® 647 Anti-JAK1 (phospho Y1034 + Y1035) antibody [EPR1899(2)]

  • 603 Alexa Fluor® 568

    Alexa Fluor® 568 Anti-JAK1 (phospho Y1034 + Y1035) antibody [EPR1899(2)]

Key facts

Host species

Rabbit

Clonality

Monoclonal

Clone number

EPR1899(2)

Isotype

IgG

Carrier free

No

Reacts with

Human

Applications

WB, IHC-P, ELISA, Dot

applications

Immunogen

The exact immunogen used to generate this antibody is proprietary information.

Specificity

According to our ELISA result, this antibody preferentially recognizes JAK1 with phospho Y1035, but also recognizes JAK1 with phospho Y1034 if high amount peptides were coated.

Reactivity data

{ "title": "Reactivity Data", "filters": { "stats": ["", "Species", "Dilution Info", "Notes"], "tabs": { "all-applications": {"fullname" : "All Applications", "shortname": "All Applications"}, "IHCP" : {"fullname" : "Immunohistochemistry (Formalin/PFA-fixed paraffin-embedded sections)", "shortname":"IHC-P"}, "ELISA" : {"fullname" : "ELISA", "shortname":"ELISA"}, "Dot" : {"fullname" : "Dot Blot", "shortname":"Dot"}, "WB" : {"fullname" : "Western blot", "shortname":"WB"} }, "product-promise": { "all": "all", "testedAndGuaranteed": "tested", "guaranteed": "expected", "predicted": "predicted", "notRecommended": "not-recommended" } }, "values": { "Human": { "IHCP-species-checked": "testedAndGuaranteed", "IHCP-species-dilution-info": "1/50 - 1/100", "IHCP-species-notes": "<p></p> Perform heat-mediated antigen retrieval with citrate buffer pH 6 before commencing with IHC staining protocol.", "ELISA-species-checked": "guaranteed", "ELISA-species-dilution-info": "", "ELISA-species-notes": "", "Dot-species-checked": "guaranteed", "Dot-species-dilution-info": "", "Dot-species-notes": "", "WB-species-checked": "testedAndGuaranteed", "WB-species-dilution-info": "1/1000 - 1/10000", "WB-species-notes": "<p>Samples are non-boiled as boiling may cause protein aggregation.</p>" }, "Synthetic peptide": { "IHCP-species-checked": "notRecommended", "IHCP-species-dilution-info": "", "IHCP-species-notes": "", "ELISA-species-checked": "testedAndGuaranteed", "ELISA-species-dilution-info": "", "ELISA-species-notes": "<p></p>", "Dot-species-checked": "testedAndGuaranteed", "Dot-species-dilution-info": "", "Dot-species-notes": "<p></p>", "WB-species-checked": "notRecommended", "WB-species-dilution-info": "", "WB-species-notes": "" }, "Transfected cell lysate - Human": { "IHCP-species-checked": "notRecommended", "IHCP-species-dilution-info": "", "IHCP-species-notes": "", "ELISA-species-checked": "notRecommended", "ELISA-species-dilution-info": "", "ELISA-species-notes": "", "Dot-species-checked": "notRecommended", "Dot-species-dilution-info": "", "Dot-species-notes": "", "WB-species-checked": "testedAndGuaranteed", "WB-species-dilution-info": "1/1000 - 1/10000", "WB-species-notes": "<p>Samples are non-boiled as boiling may cause protein aggregation.</p>" } } }

Product details

What is this antibody validated in?
Anti-JAK1 (phospho Y1034 + Y1035) antibody [EPR1899(2)] (ab138005) is a rabbit recombinant monoclonal antibody and is validated for use in Western Blot (WB), Immunohistochemistry (IHC-P), ELISA, Dot Blot in Human samples.

What is the molecular weight of JAK1?
Anti-JAK1 (phospho Y1034 + Y1035) [EPR1899(2)] (ab138005) specifically detects a band for JAK1 (UniProt: P23458) at a molecular weight of 133kDa.

Trusted by the scientific community
Anti-JAK1 (phospho Y1034 + Y1035) [EPR1899(2)] (ab138005) was first used in a scientific publication in 2012 and has been cited over 40 times in peer-reviewed journals.

Trial sizes available!
Test your antibody or perform pre-screening before committing to a larger quantity. Sold in 10µl. Discover our selection of trial-size antibodies.

Other related products
We have a range of other formats of antibody clone [EPR1899(2)] also available for your convenience: ab138005, Carrier free - ab203784, HRP - ab215338, Alexa Fluor® 488 - ab310950, Alexa Fluor® 647 - ab311068, Alexa Fluor® 568 - ab312925, Alexa Fluor® 555 - ab313138

Species reactivity
Mouse: We have preliminary internal testing data to indicate this antibody may not react with this species.
Please contact us for more information.

Patented technology
Our RabMAb® technology is a patented hybridoma-based technology for making rabbit monoclonal antibodies. For details on our patents, please refer to RabMAb® patents.

What are the advantages of a recombinant monoclonal antibody?
This product is a recombinant monoclonal antibody, which offers several advantages including:

  • - High batch-to-batch consistency and reproducibility
  • - Improved sensitivity and specificity
  • - Long-term security of supply
  • - Animal-free batch production

For more information, read more on recombinant antibodies.

Properties and storage information

Form
Liquid
Purification technique
Affinity purification Protein A
Storage buffer
pH: 7.2 - 7.4 Preservative: 0.01% Sodium azide Constituents: PBS, 40% Glycerol (glycerin, glycerine), 0.21% BSA
Shipped at conditions
Blue Ice
Appropriate short-term storage duration
1-2 weeks
Appropriate short-term storage conditions
+4°C
Appropriate long-term storage conditions
-20°C
Aliquoting information
Upon delivery aliquot
Storage information
Avoid freeze / thaw cycle

Supplementary information

This supplementary information is collated from multiple sources and compiled automatically.

JAK1 also known as Janus Kinase 1 plays an essential role in transmitting signals within cells. It is a tyrosine kinase enzyme with a molecular weight of approximately 130 kDa. JAK1 is expressed broadly in various tissues and is involved in cytokine receptor signaling. The kinase activity of JAK1 gets activated upon cytokine binding to its respective receptor which leads to phosphorylation events and downstream signaling cascades.
Biological function summary

This enzyme participates significantly in the immune response and hematopoiesis by being part of the JAK-STAT signaling pathway complex. When activated JAK1 phosphorylates specific tyrosine residues on the receptor creating docking sites for STAT proteins which then get phosphorylated by JAK1. This phosphorylation allows STAT proteins to dimerize and translocate to the nucleus affecting gene expression involved in growth survival and differentiation processes.

Pathways

JAK1 is importantly engaged in the JAK-STAT pathway and the Interferon signaling pathway. Within these pathways JAK1 collaborates closely with other proteins like JAK2 TYK2 and STAT proteins. It acts as a mediator of the cellular response to a variety of cytokines and growth factors playing a role in the regulation of immune responses and cell proliferation.

Dysregulation of JAK1 associates with autoimmune diseases like rheumatoid arthritis and certain cancers. JAK1 inhibitors have been developed as therapeutic agents for these conditions targeting its kinase activity to modulate aberrant signaling. The interaction between JAK1 and other kinases such as JAK2 and transcription factors like STATs highlights its importance in disease mechanisms providing a target for drugs to manage inflammatory and malignant disorders.

Product protocols

For this product, it's our understanding that no specific protocols are required. You can visit:

Target data

Tyrosine kinase of the non-receptor type, involved in the IFN-alpha/beta/gamma signal pathway (PubMed : 16239216, PubMed : 28111307, PubMed : 32750333, PubMed : 7615558, PubMed : 8232552). Kinase partner for the interleukin (IL)-2 receptor (PubMed : 11909529) as well as interleukin (IL)-10 receptor (PubMed : 12133952). Kinase partner for the type I interferon receptor IFNAR2 (PubMed : 16239216, PubMed : 28111307, PubMed : 32750333, PubMed : 7615558, PubMed : 8232552). In response to interferon-binding to IFNAR1-IFNAR2 heterodimer, phosphorylates and activates its binding partner IFNAR2, creating docking sites for STAT proteins (PubMed : 7759950). Directly phosphorylates STAT proteins but also activates STAT signaling through the transactivation of other JAK kinases associated with signaling receptors (PubMed : 16239216, PubMed : 32750333, PubMed : 8232552).
See full target information JAK1 phospho Y1034 + Y1035

Publications (73)

Recent publications for all applications. Explore the full list and refine your search

International journal of molecular sciences 26: PubMed40565000

2025

SARS-CoV-2 ORF7a Protein Impedes Type I Interferon-Activated JAK/STAT Signaling by Interacting with HNRNPA2B1.

Applications

Unspecified application

Species

Unspecified reactive species

Yujie Wen,Chaochao Li,Tian Tang,Chao Luo,Shan Lu,Na Lyu,Yongxi Li,Rong Wang

Acta pharmaceutica Sinica. B 15:1922-1937 PubMed40486832

2025

Identification of a JAK-STAT-miR155HG positive feedback loop in regulating natural killer (NK) cells proliferation and effector functions.

Applications

Unspecified application

Species

Unspecified reactive species

Songyang Li,Yongjie Liu,Xiaofeng Yin,Yao Yang,Xinjia Liu,Jiaxing Qiu,Qinglan Yang,Yana Li,Zhiguo Tan,Hongyan Peng,Peiwen Xiong,Shuting Wu,Lanlan Huang,Xiangyu Wang,Sulai Liu,Yuxing Gong,Yuan Gao,Lingling Zhang,Junping Wang,Yafei Deng,Zhaoyang Zhong,Youcai Deng

Journal of nanobiotechnology 23:215 PubMed40098176

2025

Protective effects of bone marrow mesenchymal stem cell-derived exosomes loaded cerium dioxide nanoparticle against deoxynivalenol-induced liver damage.

Applications

Unspecified application

Species

Unspecified reactive species

Zitong Meng,Mingmeng Tang,Shiyin Xu,Xiaolei Zhou,Zixuan Zhang,Liunan Yang,Andreas K Nüssler,Liegang Liu,Wei Yang

Basic & clinical pharmacology & toxicology 136:e70012 PubMed39995397

2025

Filgotinib Improves Experimental Pulmonary Fibrosis by Modulating JAK1/STAT3/SOCS3/IL-17A Signalling.

Applications

Unspecified application

Species

Unspecified reactive species

Yunying Lv,Guanghua Zhang,Dexin Kong,Wanglin Jiang

Cancer cell international 25:28 PubMed39881344

2025

Formin protein DAAM1 positively regulates PD-L1 expression via mediating the JAK1/STAT1 axis in pancreatic cancer.

Applications

Unspecified application

Species

Unspecified reactive species

Rui Xu,Mengyun Wan,Jiadong Pan,Jie Mei,Ji Zhou,Yan Shen,Jiayue Yang,Yichao Zhu,Jing Sun

Cytotechnology 77:5 PubMed39575323

2024

Yinjia pills inhibits the malignant biological behavior of HeLa cells through PKM2-medicated inhibition of JAK/STAT3 pathway.

Applications

Unspecified application

Species

Unspecified reactive species

Ying Shi,Xiaoli Min,Yi Li,Lihua Guo,Zheng Cai,Dongge Li,Xueying Jiang,Ni Feng,Xiaolin Li,Xiaoxia Yang

Molecular medicine (Cambridge, Mass.) 30:220 PubMed39563244

2024

BMSC-derived exosomes promote osteoporosis alleviation via M2 macrophage polarization.

Applications

Unspecified application

Species

Unspecified reactive species

Yanbin Zhang,Jing Bai,Bin Xiao,Chunyan Li

Molecular carcinogenesis 64:57-71 PubMed39387829

2024

ALKBH5-Mediated mA Modification of XBP1 Facilitates NSCLC Progression Through the IL-6-JAK-STAT3 Pathway.

Applications

Unspecified application

Species

Unspecified reactive species

Hengxing Liang,Chunmin Zhang,Minxin Hu,Fang Hu,Saihui Wang,Wei Wei,Wen Hu

Molecular medicine (Cambridge, Mass.) 30:149 PubMed39267003

2024

Branched-chain amino acids supplementation induces insulin resistance and pro-inflammatory macrophage polarization via INFGR1/JAK1/STAT1 signal pathway.

Applications

Unspecified application

Species

Unspecified reactive species

Huaying Huang,Heye Chen,Yu Yao,Xueyong Lou

International journal of biological sciences 20:4424-4437 PubMed39247809

2024

Tumor ABCC4-mediated release of PGE2 induces CD8 T cell dysfunction and impairs PD-1 blockade in prostate cancer.

Applications

Unspecified application

Species

Unspecified reactive species

Le Li,Zheng Chao,Hao Peng,Zhiquan Hu,Zhihua Wang,Xing Zeng
View all publications

Product promise

We are committed to supporting your work with high-quality reagents, and we're here for you every step of the way. In the unlikely event that one of our products does not perform as expected, you're protected by our Product Promise.
For full details, please see our Terms & Conditions

Please note: All products are 'FOR RESEARCH USE ONLY. NOT FOR USE IN DIAGNOSTIC OR THERAPEUTIC PROCEDURES'.

For licensing inquiries, please contact partnerships@abcam.com