JavaScript is disabled in your browser. Please enable JavaScript to view this website.
AB203784

Anti-JAK1 (phospho Y1034 + Y1035) antibody [EPR1899(2)] - BSA and Azide free

4

(1 Review)

|

(3 Publications)

Rabbit Recombinant Monoclonal JAK1 phospho Y1034 + Y1035 antibody. Carrier free. Suitable for IHC-P, ELISA, Dot, WB and reacts with Human, Synthetic peptide, Transfected cell lysate - Human samples. Cited in 3 publications.

View Alternative Names

JAK1A, JAK1B, JAK1, Tyrosine-protein kinase JAK1, Janus kinase 1, JAK-1

7 Images
Immunohistochemistry (Formalin/PFA-fixed paraffin-embedded sections) - Anti-JAK1 (phospho Y1034 + Y1035) antibody [EPR1899(2)] - BSA and Azide free (AB203784)
  • IHC-P

Unknown

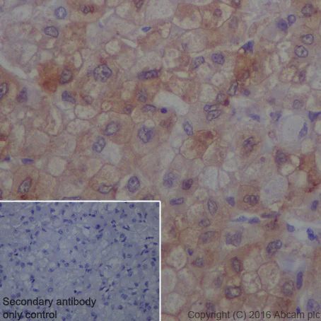
Immunohistochemistry (Formalin/PFA-fixed paraffin-embedded sections) - Anti-JAK1 (phospho Y1034 + Y1035) antibody [EPR1899(2)] - BSA and Azide free (AB203784)

Immunohistochemical analysis of paraffin-embedded human liver carcinoma sections labelling JAK1 (phospho Y1034 + Y1035) with purified ab138005 at dilution of 1/50. The secondary antibody used was ImmunoHistoProbe HRP Polymer for Rabbit IgG at dilution of 1 : 0. The sample was counterstained with hematoxylin. Antigen retrieval was performed using EDTA Buffer; pH 9.0. PBS was used instead of the primary antibody as the negative control and is shown in the inset.

This data was developed using the same antibody clone in a different buffer formulation containing PBS, BSA, glycerol, and sodium azide (ab138005).

Immunohistochemistry (Formalin/PFA-fixed paraffin-embedded sections) - Anti-JAK1 (phospho Y1034 + Y1035) antibody [EPR1899(2)] - BSA and Azide free (AB203784)
  • IHC-P

Unknown

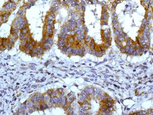
Immunohistochemistry (Formalin/PFA-fixed paraffin-embedded sections) - Anti-JAK1 (phospho Y1034 + Y1035) antibody [EPR1899(2)] - BSA and Azide free (AB203784)

Immunohistochemical analysis of paraffin embedded Human colon adenocarcinoma tissue labelling JAK1 with unpurified ab138005 antibody at 1/50 dilution. This data was developed using the same antibody clone in a different buffer formulation containing PBS, BSA, glycerol, and sodium azide (ab138005). Perform heat mediated antigen retrieval with citrate buffer pH 6 before commencing with IHC staining protocol.

Western blot - Anti-JAK1 (phospho Y1034 + Y1035) antibody [EPR1899(2)] - BSA and Azide free (AB203784)
  • WB

Lab

Western blot - Anti-JAK1 (phospho Y1034 + Y1035) antibody [EPR1899(2)] - BSA and Azide free (AB203784)

Blocking and diluting buffer 5% NFDM/TBST. This data was developed using the same antibody clone in a different buffer formulation containing PBS, BSA, glycerol, and sodium azide (ab138005).

All lanes:

Western blot - Anti-JAK1 (phospho Y1034 + Y1035) antibody [EPR1899(2)] (<a href='/en-us/products/primary-antibodies/jak1-phospho-y1034-y1035-antibody-epr18992-ab138005'>ab138005</a>) at 1/500 dilution

Lane 1:

Untreated Ramos whole cell lysate at 10 µg

Lane 2:

Ramos treated with 1mM pervanadate for 30 minutes whole cell lysate at 10 µg

Secondary

All lanes:

Western blot - Goat Anti-Rabbit IgG H&L (HRP) (<a href='/en-us/products/secondary-antibodies/goat-rabbit-igg-h-l-hrp-ab97051'>ab97051</a>) at 1/20000 dilution

Predicted band size: 133 kDa

Observed band size: 133 kDa

false

ELISA - Anti-JAK1 (phospho Y1034 + Y1035) antibody [EPR1899(2)] - BSA and Azide free (AB203784)
  • ELISA

Lab

ELISA - Anti-JAK1 (phospho Y1034 + Y1035) antibody [EPR1899(2)] - BSA and Azide free (AB203784)

Antigen :

  1. JAK1 (pY1034) phospho peptide
  2. JAK1 (pY1035) phospho peptide
  3. JAK1 non-phospho peptide

Antigen concentration : 0~1000ng/ml

Primary antibody concentration range : 1000ng/ml

Secondary antibody : Alkaline Phosphatase-conjugated AffiniPure Goat Anti-Rabbit IgG(H+L), 1/2500 dilution

This data was developed using the same antibody clone in a different buffer formulation containing PBS, BSA, glycerol, and sodium azide (ab138005).

Western blot - Anti-JAK1 (phospho Y1034 + Y1035) antibody [EPR1899(2)] - BSA and Azide free (AB203784)
  • WB

Lab

Western blot - Anti-JAK1 (phospho Y1034 + Y1035) antibody [EPR1899(2)] - BSA and Azide free (AB203784)

This data was developed using the same antibody clone in a different buffer formulation containing PBS, BSA, glycerol, and sodium azide (ab138005).

Blocking and diluting buffer and concentration : 5% NFDM /TBST.

ab181602 was used as a GAPDH loading control.

Samples are non-boiled as boiling may cause protein aggregation.

All lanes:

Western blot - Anti-JAK1 (phospho Y1034 + Y1035) antibody [EPR1899(2)] (<a href='/en-us/products/primary-antibodies/jak1-phospho-y1034-y1035-antibody-epr18992-ab138005'>ab138005</a>) at 1/1000 dilution

Lane 1:

293T cells transfected with a Human JAK1 expression vector containing a His tag whole cell lysate at 20 µg

Lane 2:

293T cells transfected with a Human JAK1 expression vector containing a His tag were treated with 50uM pervanadate for 30 min whole cell lysate at 20 µg

Lane 3:

293T cells transfected with a Human JAK1 (mutated Y1034A, mutated Y1035A) expression vector containing a His tag whole cell lysate at 20 µg

Lane 4:

293T cells transfected with a Human JAK1 (mutated Y1034A, mutated Y1035A) expression vector containing a His tag were treated with 50uM pervanadate for 30 min whole cell lysate at 20 µg

Secondary

All lanes:

Western blot - Goat Anti-Rabbit IgG H&L (HRP) (<a href='/en-us/products/secondary-antibodies/goat-rabbit-igg-h-l-hrp-ab97051'>ab97051</a>) at 1/20000 dilution

Predicted band size: 133 kDa

Observed band size: 133 kDa

false

Exposure time: 180s

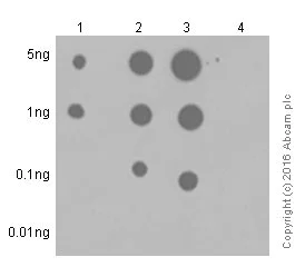
Dot Blot - Anti-JAK1 (phospho Y1034 + Y1035) antibody [EPR1899(2)] - BSA and Azide free (AB203784)
  • Dot

Lab

Dot Blot - Anti-JAK1 (phospho Y1034 + Y1035) antibody [EPR1899(2)] - BSA and Azide free (AB203784)

Primary antibody : 1/1000 (unpurified)

Secondary antibody : Goat Anti-Rabbit IgG, (H+L), Peroxidase conjugated (ab97051)

Secondary ab dilution : 1/100,000

Blocking buffer and concentration : 5% NFDM/TBST

Diluting buffer and concentration : 5% NFDM /TBST

Lane 1 : JAK1 (pY1034) phospho peptide

Lane 2 : JAK1 (pY1035) phospho peptide

Lane 3 : JAK1 (pY1034/pY1035) phospho peptide

Lane 4 : JAK1 non-phospho peptide

Exposure time : 3 minutes.

This data was developed using the same antibody clone in a different buffer formulation containing PBS, BSA, glycerol, and sodium azide (ab138005).

OI-RD Scanning - Anti-JAK1 (phospho Y1034 + Y1035) antibody [EPR1899(2)] - BSA and Azide free (AB203784)
  • OI-RD Scanning

Lab

OI-RD Scanning - Anti-JAK1 (phospho Y1034 + Y1035) antibody [EPR1899(2)] - BSA and Azide free (AB203784)

We have systematically measured KD (the equilibrium dissociation constant between the antibody and its antigen), of more than 840 recombinant antibodies to assess not only their individual KD values but also to see the average affinity of antibody. Based on the comparison with published literature values for mouse monoclonal antibodies, Recombinant antibodies appear to be on average 1-2 order of magnitude higher affinity.

Key facts

Host species

Rabbit

Clonality

Monoclonal

Clone number

EPR1899(2)

Isotype

IgG

Carrier free

Yes

Reacts with

Human

Applications

WB, ELISA, Dot, IHC-P

applications

Immunogen

The exact immunogen used to generate this antibody is proprietary information.

Specificity

According to our ELISA result, this antibody preferentially recognizes JAK1 with phospho Y1035, but also recognizes JAK1 with phospho Y1034 if high amount peptides were coated.

Reactivity data

{ "title": "Reactivity Data", "filters": { "stats": ["", "Species", "Dilution Info", "Notes"], "tabs": { "all-applications": {"fullname" : "All Applications", "shortname": "All Applications"}, "IHCP" : {"fullname" : "Immunohistochemistry (Formalin/PFA-fixed paraffin-embedded sections)", "shortname":"IHC-P"}, "ELISA" : {"fullname" : "ELISA", "shortname":"ELISA"}, "Dot" : {"fullname" : "Dot Blot", "shortname":"Dot"}, "WB" : {"fullname" : "Western blot", "shortname":"WB"} }, "product-promise": { "all": "all", "testedAndGuaranteed": "tested", "guaranteed": "expected", "predicted": "predicted", "notRecommended": "not-recommended" } }, "values": { "Human": { "IHCP-species-checked": "testedAndGuaranteed", "IHCP-species-dilution-info": "", "IHCP-species-notes": "<p></p> Perform heat-mediated antigen retrieval with citrate buffer pH 6 before commencing with IHC staining protocol.", "ELISA-species-checked": "guaranteed", "ELISA-species-dilution-info": "", "ELISA-species-notes": "", "Dot-species-checked": "guaranteed", "Dot-species-dilution-info": "", "Dot-species-notes": "", "WB-species-checked": "testedAndGuaranteed", "WB-species-dilution-info": "", "WB-species-notes": "<p>Samples are non-boiled as boiling may cause protein aggregation.</p>" }, "Synthetic peptide": { "IHCP-species-checked": "notRecommended", "IHCP-species-dilution-info": "", "IHCP-species-notes": "", "ELISA-species-checked": "testedAndGuaranteed", "ELISA-species-dilution-info": "", "ELISA-species-notes": "<p></p>", "Dot-species-checked": "testedAndGuaranteed", "Dot-species-dilution-info": "", "Dot-species-notes": "<p></p>", "WB-species-checked": "notRecommended", "WB-species-dilution-info": "", "WB-species-notes": "" }, "Transfected cell lysate - Human": { "IHCP-species-checked": "notRecommended", "IHCP-species-dilution-info": "", "IHCP-species-notes": "", "ELISA-species-checked": "notRecommended", "ELISA-species-dilution-info": "", "ELISA-species-notes": "", "Dot-species-checked": "notRecommended", "Dot-species-dilution-info": "", "Dot-species-notes": "", "WB-species-checked": "testedAndGuaranteed", "WB-species-dilution-info": "", "WB-species-notes": "<p>Samples are non-boiled as boiling may cause protein aggregation.</p>" } } }

Product details

ab203784 is the carrier-free version of ab138005.

Species reactivity
Mouse: We have preliminary internal testing data to indicate this antibody may not react with this species.
Please contact us for more information.

Patented technology
Our RabMAb® technology is a patented hybridoma-based technology for making rabbit monoclonal antibodies. For details on our patents, please refer to RabMAb® patents.

What are the advantages of a recombinant monoclonal antibody?
This product is a recombinant monoclonal antibody, which offers several advantages including:

  • - High batch-to-batch consistency and reproducibility
  • - Improved sensitivity and specificity
  • - Long-term security of supply
  • - Animal-free batch production

For more information, read more on recombinant antibodies.

Conjugation ready
Our carrier-free antibodies are typically supplied in a PBS-only formulation, purified and free of BSA, sodium azide and glycerol. This conjugation-ready format is designed for use with fluorochromes, metal isotopes, oligonucleotides, and enzymes, which makes them ideal for antibody labelling, functional and cell-based assays, flow-based assays (e.g. mass cytometry) and Multiplex Imaging applications.

Use our conjugation kits for antibody conjugates that are ready-to-use in as little as 20 minutes with 1 minute hands-on-time and 100% antibody recovery: available for fluorescent dyes, HRP, biotin and gold.

Compatibility
This product is compatible with the Maxpar® Antibody Labeling Kit from Fluidigm, without the need for antibody preparation. Maxpar® is a trademark of Fluidigm Canada Inc.

Properties and storage information

Form
Liquid
Purification technique
Affinity purification Protein A
Storage buffer
pH: 7.2 - 7.4 Constituents: PBS
Shipped at conditions
Blue Ice
Appropriate short-term storage conditions
+4°C
Appropriate long-term storage conditions
+4°C
Storage information
Do Not Freeze

Supplementary information

This supplementary information is collated from multiple sources and compiled automatically.

JAK1 also known as Janus Kinase 1 plays an essential role in transmitting signals within cells. It is a tyrosine kinase enzyme with a molecular weight of approximately 130 kDa. JAK1 is expressed broadly in various tissues and is involved in cytokine receptor signaling. The kinase activity of JAK1 gets activated upon cytokine binding to its respective receptor which leads to phosphorylation events and downstream signaling cascades.
Biological function summary

This enzyme participates significantly in the immune response and hematopoiesis by being part of the JAK-STAT signaling pathway complex. When activated JAK1 phosphorylates specific tyrosine residues on the receptor creating docking sites for STAT proteins which then get phosphorylated by JAK1. This phosphorylation allows STAT proteins to dimerize and translocate to the nucleus affecting gene expression involved in growth survival and differentiation processes.

Pathways

JAK1 is importantly engaged in the JAK-STAT pathway and the Interferon signaling pathway. Within these pathways JAK1 collaborates closely with other proteins like JAK2 TYK2 and STAT proteins. It acts as a mediator of the cellular response to a variety of cytokines and growth factors playing a role in the regulation of immune responses and cell proliferation.

Dysregulation of JAK1 associates with autoimmune diseases like rheumatoid arthritis and certain cancers. JAK1 inhibitors have been developed as therapeutic agents for these conditions targeting its kinase activity to modulate aberrant signaling. The interaction between JAK1 and other kinases such as JAK2 and transcription factors like STATs highlights its importance in disease mechanisms providing a target for drugs to manage inflammatory and malignant disorders.

Product protocols

For this product, it's our understanding that no specific protocols are required. You can visit:

Target data

Tyrosine kinase of the non-receptor type, involved in the IFN-alpha/beta/gamma signal pathway (PubMed : 16239216, PubMed : 28111307, PubMed : 32750333, PubMed : 7615558, PubMed : 8232552). Kinase partner for the interleukin (IL)-2 receptor (PubMed : 11909529) as well as interleukin (IL)-10 receptor (PubMed : 12133952). Kinase partner for the type I interferon receptor IFNAR2 (PubMed : 16239216, PubMed : 28111307, PubMed : 32750333, PubMed : 7615558, PubMed : 8232552). In response to interferon-binding to IFNAR1-IFNAR2 heterodimer, phosphorylates and activates its binding partner IFNAR2, creating docking sites for STAT proteins (PubMed : 7759950). Directly phosphorylates STAT proteins but also activates STAT signaling through the transactivation of other JAK kinases associated with signaling receptors (PubMed : 16239216, PubMed : 32750333, PubMed : 8232552).
See full target information JAK1 phospho Y1034 + Y1035

Publications (3)

Recent publications for all applications. Explore the full list and refine your search

Computational and mathematical methods in medicine 2022:8911343 PubMed35495878

2022

Overexpression of miRNA-93-5p Promotes Proliferation and Migration of Bladder Urothelial Carcinoma via Inhibition of KLF9.

Applications

Unspecified application

Species

Unspecified reactive species

Tao Li,Qingjiang Xu,Yongbao Wei,Rongcheng Lin,Zhiwei Hong,Rong Zeng,Weilie Hu,Xiang Wu

Artificial cells, nanomedicine, and biotechnology 47:2265-2273 PubMed31184221

2019

Silence of lncRNA ANRIL represses cell growth and promotes apoptosis in retinoblastoma cells through regulating miR-99a and c-Myc.

Applications

Unspecified application

Species

Unspecified reactive species

Xiaomin Wang,Xinxia Zhang,Yutong Han,Qiuli Wang,Yanfan Ren,Baojun Wang,Junxi Hu

Mediators of inflammation 2014:612593 PubMed24692852

2014

Epigallocatechin-3-gallate ameliorates seawater aspiration-induced acute lung injury via regulating inflammatory cytokines and inhibiting JAK/STAT1 pathway in rats.

Applications

WB

Species

Rat

Wei Liu,Mingqing Dong,Liyan Bo,Congcong Li,Qingqing Liu,Yanyan Li,Lijie Ma,Yonghong Xie,Enqing Fu,Deguang Mu,Lei Pan,Faguang Jin,Zhichao Li
View all publications

Product promise

We are committed to supporting your work with high-quality reagents, and we're here for you every step of the way. In the unlikely event that one of our products does not perform as expected, you're protected by our Product Promise.
For full details, please see our Terms & Conditions

Please note: All products are 'FOR RESEARCH USE ONLY. NOT FOR USE IN DIAGNOSTIC OR THERAPEUTIC PROCEDURES'.

For licensing inquiries, please contact partnerships@abcam.com