JavaScript is disabled in your browser. Please enable JavaScript to view this website.
AB219728

Anti-JAK2 (phospho Y1007 + Y1008) + JAK1 (phospho Y1034 + Y1035) antibody [E132] - BSA & Azide free

Be the first to review this product! Submit a review

|

(23 Publications)

Rabbit Recombinant Monoclonal JAK2 phospho Y1007 + Y1008 and JAK1 phospho Y1034 + Y1035 antibody. Carrier free. Suitable for IHC-P, ICC/IF, ELISA, Dot, WB, Flow Cyt (Intra) and reacts with Human, Mouse, Rat, Synthetic peptide samples. Cited in 23 publications.

View Alternative Names

Tyrosine-protein kinase JAK2, Janus kinase 2, JAK-2, JAK2

12 Images
Immunocytochemistry/ Immunofluorescence - Anti-JAK2 (phospho Y1007 + Y1008) + JAK1 (phospho Y1034 + Y1035) antibody [E132] - BSA & Azide free (AB219728)
  • ICC/IF

Unknown

Immunocytochemistry/ Immunofluorescence - Anti-JAK2 (phospho Y1007 + Y1008) + JAK1 (phospho Y1034 + Y1035) antibody [E132] - BSA & Azide free (AB219728)

Immunocytochemistry/Immunofluorescence analysis of Jurkat +/- pervanadate (1mM, 30min) and Jurkat + pervanadate (1mM, 30min) + LP cells labelling JAK2 (phospho Y1007 + Y1008) with ab32101 at a dilution of 1/1000. Cells were fixed with 4% paraformaldehyde and permeabilized with 0.1% tritonX-100. ab150077 (goat anti-rabbit IgG Alexa Fluor® 488) (1/1000) was used as the secondary antibody. The cells were co-stained with ab195889 (Anti-alpha Tubulin antibody [DM1A] - Microtubule Marker (Alexa Fluor® 594)) at a 1/200 dilution. Nuclei counterstained with DAPI (blue).

This data was developed using the same antibody clone in a different buffer formulation containing PBS, BSA, glycerol, and sodium azide (ab32101).

Immunohistochemistry (Formalin/PFA-fixed paraffin-embedded sections) - Anti-JAK2 (phospho Y1007 + Y1008) + JAK1 (phospho Y1034 + Y1035) antibody [E132] - BSA & Azide free (AB219728)
  • IHC-P

Supplier Data

Immunohistochemistry (Formalin/PFA-fixed paraffin-embedded sections) - Anti-JAK2 (phospho Y1007 + Y1008) + JAK1 (phospho Y1034 + Y1035) antibody [E132] - BSA & Azide free (AB219728)

This data was developed using the same antibody clone in a different buffer formulation containing PBS, BSA, glycerol, and sodium azide (ab32101).

ab32101 showing positive staining in Human differentiated squamous cell carcinoma of the cervix tissue at 1/10000 dilution. Goat Anti-Rabbit IgG H&L (HRP) was used as secondary antibody. Antigen retreival was carried out by Heat mediated antigen retrieval using ab93684 (Tris/EDTA buffer, pH 9.0).

Nuclear staining on human differentiated squamous cell carcinoma of the cervix without alkaline phosphatase treatment (image A). No staining on human differentiated squamous cell carcinoma of the cervix with alkaline phosphatase treatment (image B)

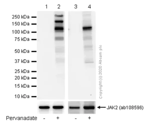
Western blot - Anti-JAK2 (phospho Y1007 + Y1008) + JAK1 (phospho Y1034 + Y1035) antibody [E132] - BSA and Azide free (AB219728)
  • WB

Lab

Western blot - Anti-JAK2 (phospho Y1007 + Y1008) + JAK1 (phospho Y1034 + Y1035) antibody [E132] - BSA and Azide free (AB219728)

This data was developed using ab32101, the same antibody clone in a different buffer formulation.

Exposure time :
Left image : 1 second
Right image : 5 minutes

All lanes:

Western blot - Anti-JAK2 (phospho Y1007 + Y1008) + JAK1 (phospho Y1034 + Y1035) antibody [E132] (<a href='/en-us/products/primary-antibodies/jak2-phospho-y1007-y1008-jak1-phospho-y1034-y1035-antibody-e132-ab32101'>ab32101</a>) at 1/1000 dilution

Lane 1:

Jurkat (Human T cell leukemia T lymphocyte) whole cell lysates at 15 µg

Lane 2:

Jurkat (Human T cell leukemia T lymphocyte) treated with 50mM Pervanadate for 5 minutes whole cell lysates at 15 µg

Secondary

All lanes:

Western blot - Goat Anti-Rabbit IgG H&L (HRP) (<a href='/en-us/products/secondary-antibodies/goat-rabbit-igg-h-l-hrp-ab97051'>ab97051</a>) at 1/20000 dilution

Predicted band size: 131 kDa

Observed band size: 120 kDa,60 kDa

false

Flow Cytometry (Intracellular) - Anti-JAK2 (phospho Y1007 + Y1008) + JAK1 (phospho Y1034 + Y1035) antibody [E132] - BSA & Azide free (AB219728)
  • Flow Cyt (Intra)

Unknown

Flow Cytometry (Intracellular) - Anti-JAK2 (phospho Y1007 + Y1008) + JAK1 (phospho Y1034 + Y1035) antibody [E132] - BSA & Azide free (AB219728)

Intracellular Flow Cytometry analysis of Jurkat (human acute T cell leukemia) cells starved of serum for 16 hours then treated with 1 mM Pervanadate for 30 minutes labeling JAK2 (phospho Y1007 + Y1008) with ab32101 at 1/20 dilution (10 ug/mL) (red). Cells were fixed with 4% paraformaldehyde and permeabilised with 90% methanol. A Goat anti rabbit IgG (Alexa Fluor®488) at 1/2000 dilution was used as the secondary antibody. Rabbit monoclonal IgG (Black) was used as the isotype control, cells without incubation with primary antibody and secondary antibody (Blue) was used as the unlabeled control. Unstimulated Jurkat cells were used as a negative control (Green).

This data was developed using the same antibody clone in a different buffer formulation containing PBS, BSA, glycerol, and sodium azide (ab32101).

ELISA - Anti-JAK2 (phospho Y1007 + Y1008) + JAK1 (phospho Y1034 + Y1035) antibody [E132] - BSA & Azide free (AB219728)
  • ELISA

Unknown

ELISA - Anti-JAK2 (phospho Y1007 + Y1008) + JAK1 (phospho Y1034 + Y1035) antibody [E132] - BSA & Azide free (AB219728)

Direct ELISA antigen dose-response curve using ab32101 at 0~1000 ng/mL. Antigen concentration of 10 ng/mL. An Alkaline Phosphatase-conjugated AffiniPure Goat Anti-Rabbit IgG(H+L) (1/2500) was used as the secondary antibody.

This antibody preferentially recognizes phospho Y1007. When the concentration of peptides is lower than 10 ng/mL, it cannot recognize phospho Y1008.

This data was developed using the same antibody clone in a different buffer formulation containing PBS, BSA, glycerol, and sodium azide (ab32101).

ELISA - Anti-JAK2 (phospho Y1007 + Y1008) + JAK1 (phospho Y1034 + Y1035) antibody [E132] - BSA & Azide free (AB219728)
  • ELISA

Unknown

ELISA - Anti-JAK2 (phospho Y1007 + Y1008) + JAK1 (phospho Y1034 + Y1035) antibody [E132] - BSA & Azide free (AB219728)

Direct ELISA antigen dose-response curve using ab32101 at 0~1000 ng/mL. Antigen concentration of 100 ng/mL. An Alkaline Phosphatase-conjugated AffiniPure Goat Anti-Rabbit IgG(H+L) (1/2500) was used as the secondary antibody.

This antibody preferentially recognizes phospho Y1007. When the concentration of peptides is higher than 100 ng/mL, it also recognizes phospho Y1008.

This data was developed using the same antibody clone in a different buffer formulation containing PBS, BSA, glycerol, and sodium azide (ab32101).

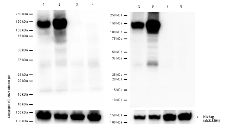
Western blot - Anti-JAK2 (phospho Y1007 + Y1008) + JAK1 (phospho Y1034 + Y1035) antibody [E132] - BSA and Azide free (AB219728)
  • WB

Lab

Western blot - Anti-JAK2 (phospho Y1007 + Y1008) + JAK1 (phospho Y1034 + Y1035) antibody [E132] - BSA and Azide free (AB219728)

This data was developed using the same antibody clone in a different buffer formulation (ab32101).

Blocking and dilution buffer : 5% NFDM /TBST.

All lanes:

Western blot - Anti-JAK2 (phospho Y1007 + Y1008) + JAK1 (phospho Y1034 + Y1035) antibody [E132] (<a href='/en-us/products/primary-antibodies/jak2-phospho-y1007-y1008-jak1-phospho-y1034-y1035-antibody-e132-ab32101'>ab32101</a>) at 1/1000 dilution

Lane 1:

293T cells transfected with a Human JAK1 expression vector containing a His tag whole cell lysate at 20 µg

Lane 2:

293T cells transfected with a Human JAK1 expression vector containing a His tag were treated with 50uM pervanadate for 30 min whole cell lysate at 20 µg

Lane 3:

293T cells transfected with a Human JAK1 (mutated Y1034A, mutated Y1035A) expression vector containing a His tag whole cell lysate at 20 µg

Lane 4:

293T cells transfected with a Human JAK1 (mutated Y1034A, mutated Y1035A) expression vector containing a His tag were treated with 50uM pervanadate for 30 min whole cell lysate at 20 µg

Lane 5:

293T cells transfected with a Human JAK2 expression vector containing a His tag whole cell lysate at 20 µg

Lane 6:

293T cells transfected with a Human JAK2 expression vector containing a His tag were treated with 50uM pervanadate for 30 min whole cell lysate at 20 µg

Lane 7:

293T cells transfected with a Human JAK2 (mutated Y1007A, mutated Y1008A) expression vector containing a His tag whole cell lysate at 20 µg

Lane 8:

293T cells transfected with a Human JAK2 (mutated Y1007A, mutated Y1008A) expression vector containing a His tag were treated with 50uM pervanadate for 30 min whole cell lysate at 20 µg

Secondary

All lanes:

Western blot - Goat Anti-Rabbit IgG H&L (HRP) (<a href='/en-us/products/secondary-antibodies/goat-rabbit-igg-h-l-hrp-ab97051'>ab97051</a>) at 1/20000 dilution

Observed band size: 130 kDa

false

Exposure time: 7s

Western blot - Anti-JAK2 (phospho Y1007 + Y1008) + JAK1 (phospho Y1034 + Y1035) antibody [E132] - BSA and Azide free (AB219728)
  • WB

Supplier Data

Western blot - Anti-JAK2 (phospho Y1007 + Y1008) + JAK1 (phospho Y1034 + Y1035) antibody [E132] - BSA and Azide free (AB219728)

This data was developed using the same antibody clone in a different buffer formulation containing PBS, BSA, glycerol, and sodium azide (ab32101). The extra bands are undefined.

All lanes:

Western blot - Anti-JAK2 (phospho Y1007 + Y1008) + JAK1 (phospho Y1034 + Y1035) antibody [E132] (<a href='/en-us/products/primary-antibodies/jak2-phospho-y1007-y1008-jak1-phospho-y1034-y1035-antibody-e132-ab32101'>ab32101</a>) at 1/1000 dilution

Lane 1:

Hepa1-6 (Mouse hepatoma epithelial cell) whole cell lysate at 15 µg

Lane 2:

Hepa1-6 (Mouse hepatoma epithelial cell) treated with 100 μM pervanadate for 30 minutes whole cell lysate at 15 µg

Lane 3:

MEF (Mouse embryonic fibroblast (immortalized)) whole cell lysate at 15 µg

Lane 4:

MEF (Mouse embryonic fibroblast (immortalized)) treated with 100 μM pervanadate for 30 minutes whole cell lysate at 15 µg

Predicted band size: 131 kDa

false

Western blot - Anti-JAK2 (phospho Y1007 + Y1008) + JAK1 (phospho Y1034 + Y1035) antibody [E132] - BSA and Azide free (AB219728)
  • WB

Supplier Data

Western blot - Anti-JAK2 (phospho Y1007 + Y1008) + JAK1 (phospho Y1034 + Y1035) antibody [E132] - BSA and Azide free (AB219728)

This data was developed using the same antibody clone in a different buffer formulation containing PBS, BSA, glycerol, and sodium azide (ab32101).

All lanes:

Western blot - Anti-JAK2 (phospho Y1007 + Y1008) + JAK1 (phospho Y1034 + Y1035) antibody [E132] (<a href='/en-us/products/primary-antibodies/jak2-phospho-y1007-y1008-jak1-phospho-y1034-y1035-antibody-e132-ab32101'>ab32101</a>)

Lane 1:

Mouse hippocampus lysate at 15 µg

Lane 2:

Mouse P240 hippocampus lysate at 15 µg

Lane 3:

Mouse P7 hippocampus lysate at 15 µg

Lane 4:

Rat hippocampus lysate at 15 µg

Lane 5:

Rat P7 hippocampus lysate at 15 µg

Lane 6:

Rat brain cortex lysate at 15 µg

Lane 7:

Human brain lysate at 15 µg

Lane 8:

Mouse brain lysate at 15 µg

Lane 9:

Rat brain lysate at 15 µg

Lane 10:

C6 (Rat glial tumor glial cell) whole cell lysate at 15 µg

Lane 11:

C6 (Rat glial tumor glial cell) treated with 50mM pervanadate for 5 minutes whole cell lysate at 15 µg

Predicted band size: 131 kDa

false

Western blot - Anti-JAK2 (phospho Y1007 + Y1008) + JAK1 (phospho Y1034 + Y1035) antibody [E132] - BSA and Azide free (AB219728)
  • WB

AbReview18053****

Western blot - Anti-JAK2 (phospho Y1007 + Y1008) + JAK1 (phospho Y1034 + Y1035) antibody [E132] - BSA and Azide free (AB219728)

This data was developed using ab32101, the same antibody clone in a different buffer formulation.

All lanes:

Western blot - Anti-JAK2 (phospho Y1007 + Y1008) + JAK1 (phospho Y1034 + Y1035) antibody [E132] (<a href='/en-us/products/primary-antibodies/jak2-phospho-y1007-y1008-jak1-phospho-y1034-y1035-antibody-e132-ab32101'>ab32101</a>) at 1/2000 dilution

Lane 1:

Rat uterine cell line - whole cell lysate. Treated with 1µg/mL Prolactin for 0 hours. at 30 µg

Lane 2:

Rat uterine cell line - whole cell lysate. Treated with 1µg/mL Prolactin for 15 minutes. at 30 µg

Lane 3:

Rat uterine cell line - whole cell lysate. Treated with 1µg/mL Prolactin for 30 minutes. at 30 µg

Lane 4:

Rat uterine cell line - whole cell lysate. Treated with 1µg/mL Prolactin for 1 hour. at 30 µg

Lane 5:

Rat uterine cell line - whole cell lysate. Treated with 1µg/mL Prolactin for 2 hours. at 30 µg

Lane 6:

Rat uterine cell line - whole cell lysate. Treated with 1µg/mL Prolactin for 4 hours. at 30 µg

Lane 7:

Rat uterine cell line - whole cell lysate. Treated with 1µg/mL Prolactin for 6 hours. at 30 µg

Lane 8:

Rat uterine cell line - whole cell lysate. Treated with 1µg/mL Prolactin for 24 hours. at 30 µg

Secondary

All lanes:

An HRP-conjugated donkey anti-rabbit polyclonal at 1/10000 dilution

Predicted band size: 131 kDa

Observed band size: 110 kDa,55 kDa

true

This image is courtesy of an anonymous Abreview

Western blot - Anti-JAK2 (phospho Y1007 + Y1008) + JAK1 (phospho Y1034 + Y1035) antibody [E132] - BSA and Azide free (AB219728)
  • WB

Lab

Western blot - Anti-JAK2 (phospho Y1007 + Y1008) + JAK1 (phospho Y1034 + Y1035) antibody [E132] - BSA and Azide free (AB219728)

This data was developed using ab32101, the same antibody clone in a different buffer formulation.

Lanes 1 - 3:

Western blot - Anti-JAK2 (phospho Y1007 + Y1008) + JAK1 (phospho Y1034 + Y1035) antibody [E132] (<a href='/en-us/products/primary-antibodies/jak2-phospho-y1007-y1008-jak1-phospho-y1034-y1035-antibody-e132-ab32101'>ab32101</a>) at 1/5000 dilution

Lanes 1 - 3:

Western blot - Anti-JAK2 (phospho Y1007 + Y1008) + JAK1 (phospho Y1034 + Y1035) antibody [E132] - BSA and Azide free (ab219728) at 1/5000 dilution

Lane 1:

Untreated Jurkat cells whole cell lysates at 10 µg

Lane 2:

Jurkat cells were treated with 50mM Pervanadate for 5 minutes whole cell lysates at 10 µg

Lane 3:

Jurkat cells were treated with 50mM Pervanadate for 5 minutes whole cell lysates. Then the membrane was incubated with Alkaline phosphatase. at 10 µg

Secondary

All lanes:

Western blot - Goat Anti-Rabbit IgG H&L (HRP) (<a href='/en-us/products/secondary-antibodies/goat-rabbit-igg-h-l-hrp-ab97051'>ab97051</a>) at 1/20000 dilution

Predicted band size: 131 kDa

Observed band size: 120 kDa

false

Exposure time: 5s

Dot Blot - Anti-JAK2 (phospho Y1007 + Y1008) + JAK1 (phospho Y1034 + Y1035) antibody [E132] - BSA & Azide free (AB219728)
  • Dot

Unknown

Dot Blot - Anti-JAK2 (phospho Y1007 + Y1008) + JAK1 (phospho Y1034 + Y1035) antibody [E132] - BSA & Azide free (AB219728)

Dot blot analysis of JAK2 (phospho Y1007 & Y1008) phospho peptide (Lane 1), JAK2 (phospho Y1007) phospho peptide (Lane 2), JAK2 (phospho Y1008) phospho peptide (Lane 3) and JAK2 non-phospho peptide (Lane 4) labelling JAK2 (phospho Y1007 & Y1008) with ab32101 at a dilution of 1/1000. A Goat Anti-Rabbit IgG, (H+L), Peroxidase conjugated (ab97051) was used as the secondary antibody at a dilution of 1/20,000. Blocking buffer : 5% NFDM/TBST. Dilution buffer : 5% NFDM /TBST.

This data was developed using the same antibody clone in a different buffer formulation containing PBS, BSA, glycerol, and sodium azide (ab32101).

  • Unconjugated

    Anti-JAK2 (phospho Y1007 + Y1008) + JAK1 (phospho Y1034 + Y1035) antibody [E132]

  • 775 Alexa Fluor® 750

    Alexa Fluor® 750 Anti-JAK2 (phospho Y1007 + Y1008) + JAK1 (phospho Y1034 + Y1035) antibody [E132]

  • 519 Alexa Fluor® 488

    Alexa Fluor® 488 Anti-JAK2 (phospho Y1007 + Y1008) + JAK1 (phospho Y1034 + Y1035) antibody [E132]

  • 665 Alexa Fluor® 647

    Alexa Fluor® 647 Anti-JAK2 (phospho Y1007 + Y1008) + JAK1 (phospho Y1034 + Y1035) antibody [E132]

  • 660 APC

    APC Anti-JAK2 (phospho Y1007 + Y1008)+ JAK1 (phospho Y1034 + Y1035) antibody [E132]

  • HRP

    HRP Anti-JAK2 (phospho Y1007 + Y1008) + JAK1 (phospho Y1034 + Y1035) antibody [E132]

  • 603 Alexa Fluor® 568

    Alexa Fluor® 568 Anti-JAK2 (phospho Y1007 + Y1008) + JAK1 (phospho Y1034 + Y1035) antibody [E132]

  • 565 Alexa Fluor® 555

    Alexa Fluor® 555 Anti-JAK2 (phospho Y1007 + Y1008) + JAK1 (phospho Y1034 + Y1035) antibody [E132]

  • 617 Alexa Fluor® 594

    Alexa Fluor® 594 Anti-JAK2 (phospho Y1007 + Y1008) + JAK1 (phospho Y1034 + Y1035) antibody [E132]

  • 578 PE

    PE Anti-JAK2 (phospho Y1007 + Y1008) + JAK1 (phospho Y1034 + Y1035) antibody [E132]

Key facts

Host species

Rabbit

Clonality

Monoclonal

Clone number

E132

Isotype

IgG

Carrier free

Yes

Reacts with

Mouse, Rat, Human

Applications

WB, ICC/IF, Flow Cyt (Intra), IHC-P, ELISA, Dot

applications

Immunogen

The exact immunogen used to generate this antibody is proprietary information.

Specificity

This antibody is phospho-specific and only detects phosphorylated JAK2 on Tyrosine 1007 and 1008 (pY1007+Y1008) and JAK1 on Tyrosine 1034 and 1035 (pY1034+Y1035). According to our ELISA results, this antibody preferentially recognizes phospho Y1007. Stimulation may be required to allow detection of the phosphorylated protein. Please see images below for recommended treatment conditions and positive controls.

Reactivity data

{ "title": "Reactivity Data", "filters": { "stats": ["", "Species", "Dilution Info", "Notes"], "tabs": { "all-applications": {"fullname" : "All Applications", "shortname": "All Applications"}, "IHCP" : {"fullname" : "Immunohistochemistry (Formalin/PFA-fixed paraffin-embedded sections)", "shortname":"IHC-P"}, "ICCIF" : {"fullname" : "Immunocytochemistry/ Immunofluorescence", "shortname":"ICC/IF"}, "ELISA" : {"fullname" : "ELISA", "shortname":"ELISA"}, "Dot" : {"fullname" : "Dot Blot", "shortname":"Dot"}, "WB" : {"fullname" : "Western blot", "shortname":"WB"}, "FlowCytIntra" : {"fullname" : "Flow Cytometry (Intracellular)", "shortname":"Flow Cyt (Intra)"} }, "product-promise": { "all": "all", "testedAndGuaranteed": "tested", "guaranteed": "expected", "predicted": "predicted", "notRecommended": "not-recommended" } }, "values": { "Human": { "IHCP-species-checked": "testedAndGuaranteed", "IHCP-species-dilution-info": "", "IHCP-species-notes": "<p></p> Perform heat-mediated antigen retrieval with Tris/EDTA buffer pH 9.0 before commencing with IHC staining protocol.", "ICCIF-species-checked": "testedAndGuaranteed", "ICCIF-species-dilution-info": "", "ICCIF-species-notes": "<p></p>", "ELISA-species-checked": "guaranteed", "ELISA-species-dilution-info": "", "ELISA-species-notes": "", "Dot-species-checked": "testedAndGuaranteed", "Dot-species-dilution-info": "", "Dot-species-notes": "<p></p>", "WB-species-checked": "testedAndGuaranteed", "WB-species-dilution-info": "", "WB-species-notes": "<p>The samples may require stimulation (E.g., Jurkat cells treated with pervanadate for 5 min)</p>", "FlowCytIntra-species-checked": "testedAndGuaranteed", "FlowCytIntra-species-dilution-info": "", "FlowCytIntra-species-notes": "<p><a href='/en-us/products/primary-antibodies/rabbit-igg-monoclonal-epr25a-isotype-control-low-endotoxin-azide-free-ab199376'>ab199376</a> - Rabbit monoclonal IgG, is suitable for use as an isotype control with this antibody.</p>" }, "Mouse": { "IHCP-species-checked": "notRecommended", "IHCP-species-dilution-info": "", "IHCP-species-notes": "<p></p>", "ICCIF-species-checked": "guaranteed", "ICCIF-species-dilution-info": "", "ICCIF-species-notes": "", "ELISA-species-checked": "guaranteed", "ELISA-species-dilution-info": "", "ELISA-species-notes": "", "Dot-species-checked": "guaranteed", "Dot-species-dilution-info": "", "Dot-species-notes": "", "WB-species-checked": "testedAndGuaranteed", "WB-species-dilution-info": "", "WB-species-notes": "<p>The samples may require stimulation (E.g., Jurkat cells treated with pervanadate for 5 min)</p>", "FlowCytIntra-species-checked": "guaranteed", "FlowCytIntra-species-dilution-info": "", "FlowCytIntra-species-notes": "" }, "Rat": { "IHCP-species-checked": "notRecommended", "IHCP-species-dilution-info": "", "IHCP-species-notes": "<p></p>", "ICCIF-species-checked": "guaranteed", "ICCIF-species-dilution-info": "", "ICCIF-species-notes": "", "ELISA-species-checked": "guaranteed", "ELISA-species-dilution-info": "", "ELISA-species-notes": "", "Dot-species-checked": "guaranteed", "Dot-species-dilution-info": "", "Dot-species-notes": "", "WB-species-checked": "testedAndGuaranteed", "WB-species-dilution-info": "", "WB-species-notes": "<p>The samples may require stimulation (E.g., Jurkat cells treated with pervanadate for 5 min)</p>", "FlowCytIntra-species-checked": "guaranteed", "FlowCytIntra-species-dilution-info": "", "FlowCytIntra-species-notes": "" }, "Synthetic peptide": { "IHCP-species-checked": "notRecommended", "IHCP-species-dilution-info": "", "IHCP-species-notes": "", "ICCIF-species-checked": "notRecommended", "ICCIF-species-dilution-info": "", "ICCIF-species-notes": "", "ELISA-species-checked": "testedAndGuaranteed", "ELISA-species-dilution-info": "", "ELISA-species-notes": "<p></p>", "Dot-species-checked": "notRecommended", "Dot-species-dilution-info": "", "Dot-species-notes": "", "WB-species-checked": "notRecommended", "WB-species-dilution-info": "", "WB-species-notes": "", "FlowCytIntra-species-checked": "notRecommended", "FlowCytIntra-species-dilution-info": "", "FlowCytIntra-species-notes": "" } } }

Product details

ab219728 is the carrier-free version of ab32101.

Patented technology
Our RabMAb® technology is a patented hybridoma-based technology for making rabbit monoclonal antibodies. For details on our patents, please refer to RabMAb® patents.

What are the advantages of a recombinant monoclonal antibody?
This product is a recombinant monoclonal antibody, which offers several advantages including:

  • - High batch-to-batch consistency and reproducibility
  • - Improved sensitivity and specificity
  • - Long-term security of supply
  • - Animal-free batch production

For more information, read more on recombinant antibodies.

Conjugation ready
Our carrier-free antibodies are typically supplied in a PBS-only formulation, purified and free of BSA, sodium azide and glycerol. This conjugation-ready format is designed for use with fluorochromes, metal isotopes, oligonucleotides, and enzymes, which makes them ideal for antibody labelling, functional and cell-based assays, flow-based assays (e.g. mass cytometry) and Multiplex Imaging applications.

Use our conjugation kits for antibody conjugates that are ready-to-use in as little as 20 minutes with 1 minute hands-on-time and 100% antibody recovery: available for fluorescent dyes, HRP, biotin and gold.

Compatibility
This product is compatible with the Maxpar® Antibody Labeling Kit from Fluidigm, without the need for antibody preparation. Maxpar® is a trademark of Fluidigm Canada Inc.

Properties and storage information

Form
Liquid
Purification technique
Affinity purification Protein A
Storage buffer
pH: 7.2 - 7.4 Constituents: PBS
Shipped at conditions
Blue Ice
Appropriate short-term storage conditions
+4°C
Appropriate long-term storage conditions
+4°C
Storage information
Do Not Freeze

Supplementary information

This supplementary information is collated from multiple sources and compiled automatically.

JAK2 also known as Janus kinase 2 is a protein tyrosine kinase with a molecular weight of 125 kDa. It plays an essential mechanical role in the signaling pathways by acting as an intermediary between cell surface receptors and intracellular signaling molecules. The JAK2 protein binds to certain cytokine receptors facilitating signal transduction necessary for various cellular responses. JAK2 is expressed in many tissues including hematopoietic cells which are associated with the blood and immune systems.
Biological function summary

JAK2 is important for transmitting signals that dictate cell growth survival and differentiation within the hematopoietic system. It operates bodily functions by forming complexes with specific phosphorylation sites on its associated receptors. Through this formation JAK2 influences the signaling cascade particularly by interacting with other signal transducers and activators where it phosphorylates and becomes activated. This action affects gene transcription directly correlated with cellular proliferation and differentiation processes.

Pathways

The function of JAK2 integrates into the JAK-STAT signaling pathway which is an important pathway in the regulation of immune function growth and development. It works in conjunction with proteins such as STAT3 and STAT5 to transmit signals from cytokine receptors to the nucleus. This pathway critically impacts responses like inflammation and hematopoiesis aligning with its role in precursor proliferation within the bone marrow and various immune cells’ function.

JAK2 has significant implications in conditions like myeloproliferative neoplasms and polycythemia vera. Mutations in the JAK2 gene notably the JAK2 V617F mutation lead to uncontrolled cell division as they disrupt normal signaling mechanisms often resulting in blood cell disorders. In these contexts JAK2 interacts with proteins such as EpoR and MPL which play roles within these disease pathways. Understanding how JAK2 mutations contribute to disease progression offers pathways for targeted therapies.

Product protocols

For this product, it's our understanding that no specific protocols are required. You can visit:

Target data

Non-receptor tyrosine kinase involved in various processes such as cell growth, development, differentiation or histone modifications. Mediates essential signaling events in both innate and adaptive immunity. In the cytoplasm, plays a pivotal role in signal transduction via its association with type I receptors such as growth hormone (GHR), prolactin (PRLR), leptin (LEPR), erythropoietin (EPOR), thrombopoietin receptor (MPL/TPOR); or type II receptors including IFN-alpha, IFN-beta, IFN-gamma and multiple interleukins (PubMed : 15690087, PubMed : 7615558, PubMed : 9657743, PubMed : 15899890). Following ligand-binding to cell surface receptors, phosphorylates specific tyrosine residues on the cytoplasmic tails of the receptor, creating docking sites for STATs proteins (PubMed : 15690087, PubMed : 9618263). Subsequently, phosphorylates the STATs proteins once they are recruited to the receptor. Phosphorylated STATs then form homodimer or heterodimers and translocate to the nucleus to activate gene transcription. For example, cell stimulation with erythropoietin (EPO) during erythropoiesis leads to JAK2 autophosphorylation, activation, and its association with erythropoietin receptor (EPOR) that becomes phosphorylated in its cytoplasmic domain (PubMed : 9657743). Then, STAT5 (STAT5A or STAT5B) is recruited, phosphorylated and activated by JAK2. Once activated, dimerized STAT5 translocates into the nucleus and promotes the transcription of several essential genes involved in the modulation of erythropoiesis. Part of a signaling cascade that is activated by increased cellular retinol and that leads to the activation of STAT5 (STAT5A or STAT5B) (PubMed : 21368206). In addition, JAK2 mediates angiotensin-2-induced ARHGEF1 phosphorylation (PubMed : 20098430). Plays a role in cell cycle by phosphorylating CDKN1B (PubMed : 21423214). Cooperates with TEC through reciprocal phosphorylation to mediate cytokine-driven activation of FOS transcription. In the nucleus, plays a key role in chromatin by specifically mediating phosphorylation of 'Tyr-41' of histone H3 (H3Y41ph), a specific tag that promotes exclusion of CBX5 (HP1 alpha) from chromatin (PubMed : 19783980). Up-regulates the potassium voltage-gated channel activity of KCNA3 (PubMed : 25644777).
See full target information JAK2 phospho Y1007 + Y1008

Additional targets

JAK1 phospho Y1034 + Y1035

Publications (23)

Recent publications for all applications. Explore the full list and refine your search

The FEBS journal 289:4536-4548 PubMed35178865

2022

FOXD3 and GAB2 as a pair of rivals antagonistically control hepatocellular carcinogenesis.

Applications

Unspecified application

Species

Unspecified reactive species

Ruimin Liu,Yan Sun,Shuai Chen,Yun Hong,Zhongxian Lu

Cancer cell 39:1227-1244.e20 PubMed34297917

2021

Single-cell analysis defines a pancreatic fibroblast lineage that supports anti-tumor immunity.

Applications

Unspecified application

Species

Unspecified reactive species

Colin Hutton,Felix Heider,Adrian Blanco-Gomez,Antonia Banyard,Alexander Kononov,Xiaohong Zhang,Saadia Karim,Viola Paulus-Hock,Dale Watt,Nina Steele,Samantha Kemp,Elizabeth K J Hogg,Joanna Kelly,Rene-Filip Jackstadt,Filipa Lopes,Matteo Menotti,Luke Chisholm,Angela Lamarca,Juan Valle,Owen J Sansom,Caroline Springer,Angeliki Malliri,Richard Marais,Marina Pasca di Magliano,Santiago Zelenay,Jennifer P Morton,Claus Jørgensen

Frontiers in immunology 12:658715 PubMed33927725

2021

Erythropoietin Promotes Infection Resolution and Lowers Antibiotic Requirements in and -Initiated Infections.

Applications

Unspecified application

Species

Unspecified reactive species

Feihong Liang,Huiting Guan,Wenhua Li,Xue Zhang,Tingting Liu,Yu Liu,Jie Mei,Cheng Jiang,Fengxue Zhang,Bangwei Luo,Zhiren Zhang

Journal of cellular biochemistry 122:16-28 PubMed32965043

2020

REST-repressed lncRNA NPPA-AS1 regulates cervical cancer progression by modulating miR-302e/DKK1/Wnt/β-catenin signaling pathway.

Applications

Unspecified application

Species

Unspecified reactive species

Yanan Luan,Bin Xie,Wenbin Wei

Marine drugs 16: PubMed29874843

2018

Anti-Obesity Effect of Chitosan Oligosaccharide Capsules (COSCs) in Obese Rats by Ameliorating Leptin Resistance and Adipogenesis.

Applications

Unspecified application

Species

Unspecified reactive species

Haitao Pan,Chuhan Fu,Lanlan Huang,Yao Jiang,Xiaoyi Deng,Jiao Guo,Zhengquan Su

Experimental and therapeutic medicine 12:2009-2014 PubMed27698686

2016

Osthole decreases renal ischemia-reperfusion injury by suppressing JAK2/STAT3 signaling activation.

Applications

WB

Species

Rat

Lin-Na Luo,De Qiong Xie,Xiao Gang Zhang,Rong Jiang

Cellular signalling 26:2951-60 PubMed25269780

2014

Crosstalk of JNK1-STAT3 is critical for RAW264.7 cell survival.

Applications

Unspecified application

Species

Mouse

Qinghua Wu,Xu Wang,Dan Wan,Juan Li,Zonghui Yuan

Blood 124:1492-501 PubMed24957147

2014

JAK2/STAT5 inhibition by nilotinib with ruxolitinib contributes to the elimination of CML CD34+ cells in vitro and in vivo.

Applications

Flow Cyt, WB

Species

Mouse, Mouse

Paolo Gallipoli,Amy Cook,Susan Rhodes,Lisa Hopcroft,Helen Wheadon,Anthony D Whetton,Heather G Jørgensen,Ravi Bhatia,Tessa L Holyoake

Mediators of inflammation 2014:612593 PubMed24692852

2014

Epigallocatechin-3-gallate ameliorates seawater aspiration-induced acute lung injury via regulating inflammatory cytokines and inhibiting JAK/STAT1 pathway in rats.

Applications

WB

Species

Rat

Wei Liu,Mingqing Dong,Liyan Bo,Congcong Li,Qingqing Liu,Yanyan Li,Lijie Ma,Yonghong Xie,Enqing Fu,Deguang Mu,Lei Pan,Faguang Jin,Zhichao Li

Annals of the rheumatic diseases 74:936-43 PubMed24431397

2014

Inhibition of casein kinase II reduces TGFβ induced fibroblast activation and ameliorates experimental fibrosis.

Applications

Unspecified application

Species

Unspecified reactive species

Yun Zhang,Clara Dees,Christian Beyer,Neng-Yu Lin,Alfiya Distler,Pawel Zerr,Katrin Palumbo,Laura Susok,Alexander Kreuter,Oliver Distler,Georg Schett,Jörg H W Distler
View all publications

Product promise

We are committed to supporting your work with high-quality reagents, and we're here for you every step of the way. In the unlikely event that one of our products does not perform as expected, you're protected by our Product Promise.
For full details, please see our Terms & Conditions

Please note: All products are 'FOR RESEARCH USE ONLY. NOT FOR USE IN DIAGNOSTIC OR THERAPEUTIC PROCEDURES'.

For licensing inquiries, please contact partnerships@abcam.com