JavaScript is disabled in your browser. Please enable JavaScript to view this website.
AB45141

Anti-JAK3 antibody [EP909Y]

5

(1 Review)

|

(17 Publications)

Rabbit Recombinant Monoclonal JAK3 antibody. Suitable for IP, WB, ICC/IF, Flow Cyt (Intra), IHC-P and reacts with Human samples. Cited in 17 publications.

View Alternative Names

Tyrosine-protein kinase JAK3, Janus kinase 3, Leukocyte janus kinase, JAK-3, L-JAK, JAK3

8 Images
Immunohistochemistry (Formalin/PFA-fixed paraffin-embedded sections) - Anti-JAK3 antibody [EP909Y] (AB45141)
  • IHC-P

Unknown

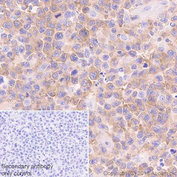
Immunohistochemistry (Formalin/PFA-fixed paraffin-embedded sections) - Anti-JAK3 antibody [EP909Y] (AB45141)

Immunohistochemistry (Formalin/PFA-fixed paraffin embedded sections) analysis of Human NK cell lymphoma tissue sections labeling JAK3 using purified ab45141. Samples were incubated the primary antibody at 1 : 2000 dilution (0.60 μg/ml). Hematoxylin was used as a counterstain. PBS instead of primary antibody was used for negative control. A ready to use ImmunoHistoProbe one step HRP Polymer at 1 : 0 dilution was used as the secondary antibody. Heatm mediated antigen retrieval was performed using ab93684 (Tris/EDTA buffer, pH 9.0).

Flow Cytometry (Intracellular) - Anti-JAK3 antibody [EP909Y] (AB45141)
  • Flow Cyt (Intra)

Unknown

Flow Cytometry (Intracellular) - Anti-JAK3 antibody [EP909Y] (AB45141)

Overlay histogram showing Jurkat (Human T cell leukemia cell line from peripheral blood) cells stained with ab45141 (red line). The cells were fixed with 80% methanol (5 minutes) and then permeabilized with 0.1% PBS-Tween for 20 minutes. The cells were then incubated in 1x PBS / 10% normal goat serum / 0.3M glycine to block non-specific protein-protein interactions. The cells were then incubated with the antibody (ab45141, 1/100 dilution) for 30 minutes at 22°C. The secondary antibody used was DyLight® 488 goat anti-rabbit IgG (H+L) (ab96899) at 1/500 dilution for 30 minutes at 22°C. Isotype control antibody (black line) was rabbit IgG (1μg/1x106 cells) used under the same conditions. Acquisition of >5,000 events was performed. This antibody gave a positive signal in Jurkat cells fixed with 4% paraformaldehyde (10 minutes)/permeabilized in 0.1% PBS-Tween used under the same conditions.

Immunocytochemistry/ Immunofluorescence - Anti-JAK3 antibody [EP909Y] (AB45141)
  • ICC/IF

Unknown

Immunocytochemistry/ Immunofluorescence - Anti-JAK3 antibody [EP909Y] (AB45141)

Immunocytochemistry/Immunofluorescence analysis of KARPAS-299 (human anaplastic large cell lymphoma) labelling JAK3 with ab45141 at a dilution of 1 : 100 dilution (12 μg/ml). Cells were fixed with 100% Methanol. Goat anti rabbit IgG (Alexa Fluor® 488, ab150077) (1 : 1000 dilution (2 μg/ml)) was used as the secondary antibody. The cells were co-stained with ab195889 Anti-alpha Tubulin antibody [DM1A] - Microtubule Marker (Alexa Fluor® 594) 1 : 200 (2.5 μg/ml). Nuclei counterstained with DAPI (blue). Control : PBS instead of the primary antibody.

Immunohistochemistry (Formalin/PFA-fixed paraffin-embedded sections) - Anti-JAK3 antibody [EP909Y] (AB45141)
  • IHC-P

Unknown

Immunohistochemistry (Formalin/PFA-fixed paraffin-embedded sections) - Anti-JAK3 antibody [EP909Y] (AB45141)

Immunohistochemistry (Formalin/PFA-fixed paraffin embedded sections) analysis of Human large B cell lymphoma tissue sections labeling JAK3 using purified ab45141. Samples were incubated the primary antibody at 1 : 2000 dilution (0.60 μg/ml). Hematoxylin was used as a counterstain. PBS instead of primary anitbody was used for negative control. A ready to use ImmunoHistoProbe one step HRP Polymer at 1 : 0 dilution was used as the secondary antibody. Heatm mediated antigen retrieval was performed using ab93684 (Tris/EDTA buffer, pH 9.0).

Immunoprecipitation - Anti-JAK3 antibody [EP909Y] (AB45141)
  • IP

Unknown

Immunoprecipitation - Anti-JAK3 antibody [EP909Y] (AB45141)

Lane 1 (input) : TF-1 (Human Erythroleukemia erythroblast) whole cell lysate, 10μg
Lane 2 (+) : TF-1 whole cell lysate
Lane 3 (-) : Rabbit monoclonal IgG (ab172730) instead of ab45141 in TF-1 whole cell lysate.

ab45141 at 1/60 immunoprecipitating JAK3 in TF-1 whole cell lysate. For western blotting, ab45141 was used as a primary antibody at 1/500 dilution (2.42 μg/ml). ab131366, VeriBlot for IP Detection Reagent was used for detection at 1/1000 dilution. Blocking and diluting buffer used was 5% NFDM/TBST.

All lanes:

Immunoprecipitation - Anti-JAK3 antibody [EP909Y] (ab45141)

Predicted band size: 125 kDa

false

Western blot - Anti-JAK3 antibody [EP909Y] (AB45141)
  • WB

Lab

Western blot - Anti-JAK3 antibody [EP909Y] (AB45141)

Blocking/Diluting buffer and concentration 5% NFDM/TBST

The expression profile observed in HaCaT is consistent with the literature (PMID : 11709700).
Negative control : HaCaT (PMID : 11709700)

All lanes:

Western blot - Anti-JAK3 antibody [EP909Y] (ab45141) at 1/1000 dilution

Lane 1:

TF-1 (Human Erythroleukemia erythroblast) whole cell lysate at 20 µg

Lane 2:

HaCaT (Human skin keratinocyte) whole cell lysate at 20 µg

Secondary

All lanes:

Western blot - Goat Anti-Rabbit IgG H&L (HRP) (<a href='/en-us/products/secondary-antibodies/goat-rabbit-igg-h-l-hrp-ab97051'>ab97051</a>) at 1/20000 dilution

Predicted band size: 125 kDa

Observed band size: 125 kDa

false

Exposure time: 3min

Western blot - Anti-JAK3 antibody [EP909Y] (AB45141)
  • WB

Lab

Western blot - Anti-JAK3 antibody [EP909Y] (AB45141)

Blocking and diluting buffer : 5% NFDM/TBST.

All lanes:

Western blot - Anti-JAK3 antibody [EP909Y] (ab45141) at 1.21 µg/mL

Lane 1:

KARPAS-299 (Human anaplastic large cell lymphoma ) whole cell lysate at 20 µg

Lane 2:

HEL (Human Erythroleukemia erythroblast ) whole cell lysate at 20 µg

Secondary

All lanes:

Western blot - Goat Anti-Rabbit IgG H&L (HRP) (<a href='/en-us/products/secondary-antibodies/goat-rabbit-igg-h-l-hrp-ab97051'>ab97051</a>) at 1/20000 dilution

Predicted band size: 125 kDa

Observed band size: 125 kDa

false

Exposure time: 26s

Western blot - Anti-JAK3 antibody [EP909Y] (AB45141)
  • WB

Unknown

Western blot - Anti-JAK3 antibody [EP909Y] (AB45141)

All lanes:

Western blot - Anti-JAK3 antibody [EP909Y] (ab45141) at 1/2000 dilution

All lanes:

TF-1 (Human bone marrow erythroleukemia cell line) cell lysate

Predicted band size: 125 kDa

Observed band size: 125 kDa

false

Key facts

Host species

Rabbit

Clonality

Monoclonal

Clone number

EP909Y

Isotype

IgG

Carrier free

No

Reacts with

Human

Applications

Flow Cyt (Intra), IHC-P, ICC/IF, WB, IP

applications

Immunogen

The exact immunogen used to generate this antibody is proprietary information.

Reactivity data

{ "title": "Reactivity Data", "filters": { "stats": ["", "Species", "Dilution Info", "Notes"], "tabs": { "all-applications": {"fullname" : "All Applications", "shortname": "All Applications"}, "IP" : {"fullname" : "Immunoprecipitation", "shortname":"IP"}, "WB" : {"fullname" : "Western blot", "shortname":"WB"}, "ICCIF" : {"fullname" : "Immunocytochemistry/ Immunofluorescence", "shortname":"ICC/IF"}, "FlowCytIntra" : {"fullname" : "Flow Cytometry (Intracellular)", "shortname":"Flow Cyt (Intra)"}, "IHCP" : {"fullname" : "Immunohistochemistry (Formalin/PFA-fixed paraffin-embedded sections)", "shortname":"IHC-P"} }, "product-promise": { "all": "all", "testedAndGuaranteed": "tested", "guaranteed": "expected", "predicted": "predicted", "notRecommended": "not-recommended" } }, "values": { "Human": { "IP-species-checked": "testedAndGuaranteed", "IP-species-dilution-info": "1/60", "IP-species-notes": "<p></p>", "WB-species-checked": "testedAndGuaranteed", "WB-species-dilution-info": "1/2000", "WB-species-notes": "<p></p>", "ICCIF-species-checked": "testedAndGuaranteed", "ICCIF-species-dilution-info": "", "ICCIF-species-notes": "<p></p>", "FlowCytIntra-species-checked": "testedAndGuaranteed", "FlowCytIntra-species-dilution-info": "1/100", "FlowCytIntra-species-notes": "<p><a href='/en-us/products/primary-antibodies/rabbit-igg-monoclonal-epr25a-isotype-control-ab172730'>ab172730</a> - Rabbit monoclonal IgG, is suitable for use as an isotype control with this antibody.</p>", "IHCP-species-checked": "testedAndGuaranteed", "IHCP-species-dilution-info": "", "IHCP-species-notes": "<p></p> Perform heat-mediated antigen retrieval with Tris/EDTA buffer pH 9.0 before commencing with IHC staining protocol." } } }

Product details

Species reactivity
Mouse, Rat: We have preliminary internal testing data to indicate this antibody may not react with these species.
Please contact us for more information.

Patented technology
Our RabMAb® technology is a patented hybridoma-based technology for making rabbit monoclonal antibodies. For details on our patents, please refer to RabMAb® patents.

What are the advantages of a recombinant monoclonal antibody?
This product is a recombinant monoclonal antibody, which offers several advantages including:

  • - High batch-to-batch consistency and reproducibility
  • - Improved sensitivity and specificity
  • - Long-term security of supply
  • - Animal-free batch production

For more information, read more on recombinant antibodies.

Properties and storage information

Form
Liquid
Purity
Tissue culture supernatant
Storage buffer
pH: 7.2 - 7.4 Preservative: 0.05% Sodium azide Constituents: 50% Tissue culture supernatant, 40% Glycerol (glycerin, glycerine), 9.85% Tris glycine, 0.1% BSA
Shipped at conditions
Blue Ice
Appropriate short-term storage duration
1-2 weeks
Appropriate short-term storage conditions
+4°C
Appropriate long-term storage conditions
-20°C
Aliquoting information
Upon delivery aliquot
Storage information
Avoid freeze / thaw cycle

Supplementary information

This supplementary information is collated from multiple sources and compiled automatically.

JAK3 also known as Janus kinase 3 is a protein with a molecular mass of approximately 125 kDa. It belongs to the Janus kinase family and plays an important role in the signal transduction pathways. JAK3 is expressed mainly in hematopoietic cells which include white blood cells and related precursor cells. Its primary function involves mediating signaling by associating with the common gamma chain used by cytokine receptors.
Biological function summary

JAK3 is instrumental in the signaling mechanism of the immune system. It participates in the activation of various interleukins specifically those that signal through the common gamma chain receptor complex. JAK3's role is essential in the proper functioning and development of immune cells such as T cells and natural killer cells. Within this framework JAK3 pairs with cytokine receptors transmitting signals that regulate both proliferation and differentiation of these immune cells.

Pathways

JAK3 integrates into JAK-STAT signaling pathways. This protein works alongside STAT proteins including STAT5 to facilitate the transcription of genes involved in cell survival and proliferation. It also interacts with JAK1 another member of the Janus kinase family to form functional complexes. These interactions are pivotal in maintaining normal immune responses and ensuring that signaling pathways are activated appropriately in response to extracellular cues.

Abnormal JAK3 function can lead to immune-related conditions. Severe combined immunodeficiency (SCID) is one such disorder arising from JAK3 mutations that impair immune cell function. Additionally JAK3 dysregulation links to malignancies such as T-cell acute lymphoblastic leukemia. Relating to these disorders JAK3 affects proteins like IL-7R and gamma chains which are important for cytokine signaling contributing to pathologies when malfunctioning.

Product protocols

For this product, it's our understanding that no specific protocols are required. You can visit:

Target data

Non-receptor tyrosine kinase involved in various processes such as cell growth, development, or differentiation. Mediates essential signaling events in both innate and adaptive immunity and plays a crucial role in hematopoiesis during T-cells development. In the cytoplasm, plays a pivotal role in signal transduction via its association with type I receptors sharing the common subunit gamma such as IL2R, IL4R, IL7R, IL9R, IL15R and IL21R. Following ligand binding to cell surface receptors, phosphorylates specific tyrosine residues on the cytoplasmic tails of the receptor, creating docking sites for STATs proteins. Subsequently, phosphorylates the STATs proteins once they are recruited to the receptor. Phosphorylated STATs then form homodimer or heterodimers and translocate to the nucleus to activate gene transcription. For example, upon IL2R activation by IL2, JAK1 and JAK3 molecules bind to IL2R beta (IL2RB) and gamma chain (IL2RG) subunits inducing the tyrosine phosphorylation of both receptor subunits on their cytoplasmic domain. Then, STAT5A and STAT5B are recruited, phosphorylated and activated by JAK1 and JAK3. Once activated, dimerized STAT5 translocates to the nucleus and promotes the transcription of specific target genes in a cytokine-specific fashion.
See full target information JAK3

Publications (17)

Recent publications for all applications. Explore the full list and refine your search

Journal for immunotherapy of cancer 13: PubMed40744660

2025

MIAT promotes tumor-infiltrating CD8 T-cell exhaustion and malignant progression of renal cell carcinoma via activating JAK3/STAT3 pathway.

Applications

Unspecified application

Species

Unspecified reactive species

Ming-Xiao Zhang,Lan-Yu Jing,Hao-Tian Tan,Zi-Ran Dai,Da-Zhi Long,Han-Chao Liu,An-Ze Yu,Bin Wang,Zi-Yin Chen,Jun-Hang Luo,Zhen-Hua Chen,Jian-Feng Wang

Journal of Cancer 16:1618-1630 PubMed39991585

2025

Stigmasterol Attenuates Triple-negative Breast Cancer Stem Cell Properties by Inhibiting JAK3.

Applications

Unspecified application

Species

Unspecified reactive species

Ruijuan Zhou,Yuzhu Zhang,Leqin Xu,Yang Sun

Advanced science (Weinheim, Baden-Wurttemberg, Germany) 12:e2404089 PubMed39574357

2024

Cancer Cell-Derived Exosomal miR-500a-3p Modulates Hepatic Stellate Cell Activation and the Immunosuppressive Microenvironment.

Applications

Unspecified application

Species

Unspecified reactive species

Yu Zhang,Xin Li,Huiyan Chen,Jiawei Li,Xiaohuan Guo,Yilin Fang,Linjie Chen,Kaiqiang Li,Yi Zhang,Fei Kong,Aodong Chen,Jianxin Lyu,Wei Zhang,Zhen Wang

World journal of gastrointestinal oncology 16:2074-2090 PubMed38764826

2024

Transglutaminase 2 serves as a pathogenic hub gene of KRAS mutant colon cancer based on integrated analysis.

Applications

Unspecified application

Species

Unspecified reactive species

Wei-Bin Peng,Yu-Ping Li,Yong Zeng,Kai Chen

BMC cancer 23:455 PubMed37202742

2023

LncRNA-PVT1 was identified as a key regulator for TMZ resistance and STAT-related pathway in glioma.

Applications

Unspecified application

Species

Unspecified reactive species

Yusheng Chen,Fengjin Ma,Zhe Zhang,Yang Guo,Hanwei Shen,Hang Chen

Nature communications 13:7658 PubMed36496445

2022

Sirt6 attenuates chondrocyte senescence and osteoarthritis progression.

Applications

Unspecified application

Species

Unspecified reactive species

Ming-Liang Ji,Hua Jiang,Zhuang Li,Rui Geng,Jun Zheng Hu,Yu Cheng Lin,Jun Lu

Cancer biology & therapy 23:1-14 PubMed36245088

2022

Suppressive function of bone marrow-derived mesenchymal stem cell-derived exosomal microRNA-187 in prostate cancer.

Applications

Unspecified application

Species

Unspecified reactive species

Chuangui Li,Zhen Sun,Yajun Song,Yong Zhang

Journal of advanced research 40:153-166 PubMed36100323

2022

Prognostic value of JAK3 promoter methylation and mRNA expression in clear cell renal cell carcinoma.

Applications

Unspecified application

Species

Unspecified reactive species

Qian Long,Chunyu Huang,Jinsheng Huang,Qi Meng,Yanjun Cheng,Yilin Li,Liru He,Miao Chen,Changlin Zhang,Xiaonan Wang,Wancui Zhu,Jin Peng,Dingbo Shi,Fufu Zheng,Pei Dong,Wuguo Deng

American journal of translational research 13:12461-12479 PubMed34956466

2021

CD105 expression is associated with invasive capacity in ovarian cancer and promotes invasiveness by inhibiting NDRG1 and regulating the epithelial-mesenchymal transition.

Applications

Unspecified application

Species

Unspecified reactive species

Jin Zhang,Xiubo Sang,Rui Zhang,Jingjing Chi,Wenpei Bai

Laboratory investigation; a journal of technical methods and pathology 102:25-37 PubMed34725437

2021

FABP4 activates the JAK2/STAT2 pathway via Rap1a in the homocysteine-induced macrophage inflammatory response in ApoE mice atherosclerosis.

Applications

Unspecified application

Species

Unspecified reactive species

Lingbo Xu,Huiping Zhang,Yanhua Wang,Anning Yang,Xiaoyan Dong,Lingyu Gu,Dayue Liu,Ning Ding,Yideng Jiang
View all publications

Product promise

We are committed to supporting your work with high-quality reagents, and we're here for you every step of the way. In the unlikely event that one of our products does not perform as expected, you're protected by our Product Promise.
For full details, please see our Terms & Conditions

Please note: All products are 'FOR RESEARCH USE ONLY. NOT FOR USE IN DIAGNOSTIC OR THERAPEUTIC PROCEDURES'.

For licensing inquiries, please contact partnerships@abcam.com